Integrative Diagnostic and Prognostic Paradigms in Diffuse Axonal Injury: Insights from Clinical, Histopathological, Biomolecular, Radiological, and AI-Based Perspectives
Abstract
1. Introduction
2. Physiopathology
Phenotypes of Axonal Injury
3. Pathological Alteration and Morphological Findings
3.1. Macroscopic Findings
3.2. Microscopic Findings
- Presence of diffuse or multifocal axonal damage in white matter tracts;
- Widespread distribution involving multiple brain regions, with at least one lesion located above and one below the tentorium [54].
- Grade 1: Scattered axonal retraction balls predominantly observed in the parasagittal white matter of the cerebral hemispheres, corpus callosum, and brainstem, with occasional involvement of the cerebellum;
- Grade 2: In addition to axonal damage in the white matter of the cerebral hemisphere, a focal lesion in the corpus callosum;
- Grade 3: Widespread cerebral white matter damage combined with focal lesions in both the corpus callosum and the dorsolateral quadrant of the rostral brainstem [28].
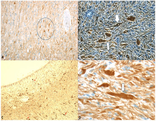
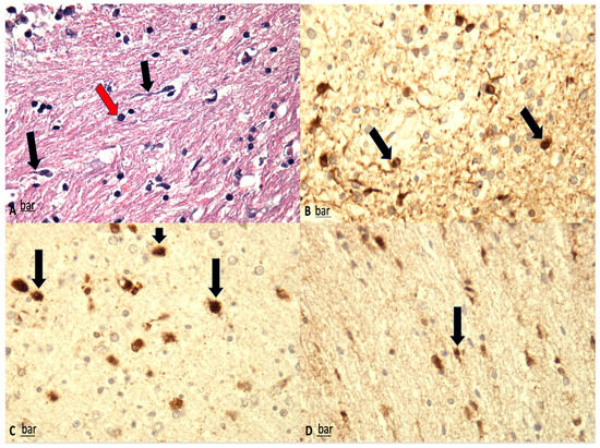
3.3. Immunohistochemistry
4. Clinical Severity Grading
Timing for Surgery
5. Outcome Assessment
5.1. Clinical Prognostic Markers
5.2. Serum Biomarkers
5.2.1. Neural Markers
5.2.2. Glial Markers
5.2.3. Inflammatory Markers and Miscellanea
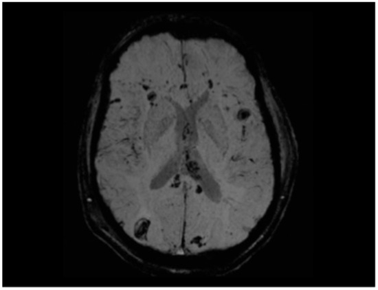
5.3. Radiological Assessment of Diffuse Axonal Injury (DAI) in Adult and Pediatric Patients
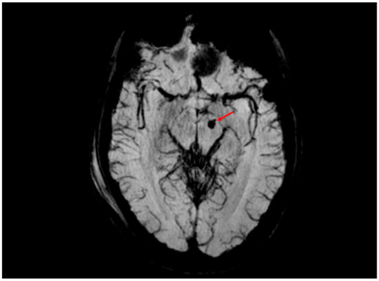
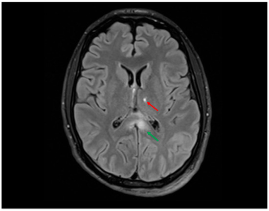
5.3.1. Radiological Findings in Adult DAI
5.3.2. Radiological Findings in Pediatric DAI
- Grade 1 refers to TAI located in the hemispheres or cerebellum, representing the least severe injury category;
- Grade 2 corresponds to TAI located in the corpus callosum;
- Grade 3 encompasses unilateral TAI in the thalamus or brainstem and bilateral TAI in the basal ganglia;
- Grade 4 includes bilateral TAI in the mesencephalon or thalami, also correlating with worse prognosis;
- Grade 5 denotes bilateral TAI in the pons, identified as the most severe and strongly predictive of poor outcomes.
5.4. DAI and Artificial Intelligence
5.4.1. Machine Learning-Based Prognosis Models
5.4.2. Improved Diagnosis and Prognosis Through Deep Learning
6. Conclusions
Author Contributions
Funding
Institutional Review Board Statement
Informed Consent Statement
Data Availability Statement
Conflicts of Interest
References
- Vieira, R.C.A.; Pipek, L.Z.; Oliveira, D.V.; Paiva, W.S.; Sousa, R.M.C. The relationship between injury characteristics and post-traumatic recovery after diffuse axonal injury. Biomedicines 2024, 12, 311. [Google Scholar] [CrossRef]
- Adams, J.H.; Doyle, D.; Ford, I.; Gennarelli, T.A.; Graham, D.I.; McLellan, D.R. Diffuse axonal injury in head injury: Definition, diagnosis and grading. Histopathology 1989, 15, 49–59. [Google Scholar] [CrossRef] [PubMed]
- Javeed, F.; Rehman, L.; Afzal, A.; Abbas, A. Outcome of diffuse axonal injury in moderate and severe traumatic brain injury. Surg. Neurol. Int. 2021, 12, 384. [Google Scholar] [CrossRef]
- Uparela-Reyes, M.J.; Villegas-Trujillo, L.M.; Cespedes, J.; Velásquez-Vera, M.; Rubiano, A.M. Usefulness of artificial intelligence in traumatic brain injury: A bibliometric analysis and mini-review. World Neurosurg. 2024, 188, 83–92. [Google Scholar] [CrossRef] [PubMed]
- Dell’Aquila, M.; Maiese, A.; De Matteis, A.; Viola, R.V.; Arcangeli, M.; La Russa, R.; Fineschi, V. Traumatic brain injury: Estimate of the age of the injury based on neuroinflammation, endothelial activation markers and adhesion molecules. Histol. Histopathol. 2021, 36, 795–806. [Google Scholar]
- Ropper, A.H.; Samuels, M.A.; Klein, J.P.; Prasad, S. Adams and Victor’s Principles of Neurology, 11th ed.; McGraw-Hill Medical: New York, NY, USA, 2019. [Google Scholar]
- Williams, A.J.; Wei, H.H.; Dave, J.R.; Tortella, F.C. Acute and delayed neuroinflammatory response following experimental penetrating ballistic brain injury in the rat. J. Neuroinflamm. 2007, 4, 17. [Google Scholar] [CrossRef] [PubMed]
- Pinchi, E.; Frati, A.; Cipolloni, L.; Aromatario, M.; Gatto, V.; La Russa, R.; Pesce, A.; Santurro, A.; Fraschetti, F.; Frati, P.; et al. Clinical-pathological study on β-APP, IL-1β, GFAP, NFL, Spectrin II, 8OHdG, TUNEL, miR-21, miR-16, miR-92 expressions to verify DAI-diagnosis, grade and prognosis. Sci. Rep. 2018, 8, 2387. [Google Scholar] [CrossRef]
- Hortobágyi, T.; Wise, S.; Hunt, N.; Cary, N.; Djurovic, V.; Fegan-Earl, A.; Shorrock, K.; Rouse, D.; Al-Sarraj, S. Traumatic axonal damage in the brain can be detected using β-APP immunohistochemistry within 35 min after head injury to human adults. Neuropathol. Appl. Neurobiol. 2007, 33, 226–237. [Google Scholar] [CrossRef] [PubMed]
- Mu, J.; Song, Y.; Zhang, J.; Lin, W.; Dong, H. Calcium signaling is implicated in the diffuse axonal injury of brain stem. Int. J. Clin. Exp. Pathol. 2015, 8, 4388–4397. [Google Scholar]
- Blennow, K.; Hardy, J.; Zetterberg, H. The neuropathology and neurobiology of traumatic brain injury. Neuron 2012, 76, 886–899. [Google Scholar] [CrossRef]
- Venkatesan, C.; Chrzaszcz, M.; Choi, N.; Wainwright, M.S. Chronic upregulation of activated microglia immunoreactive for galectin-3/Mac-2 and nerve growth factor following diffuse axonal injury. J. Neuroinflamm. 2010, 7, 32. [Google Scholar] [CrossRef]
- Oehmichen, M.; Theuerkauf, I.; Meissner, C. Is traumatic axonal injury (AI) associated with an early microglial activation? Application of a double-labeling technique for simultaneous detection of microglia and AI. Acta Neuropathol. 1999, 97, 491–494. [Google Scholar] [CrossRef]
- Mallick, R.; Basak, S.; Chowdhury, P.; Bhowmik, P.; Das, R.K.; Banerjee, A.; Paul, S.; Pathak, S.; Duttaroy, A.K. Targeting cytokine-mediated inflammation in brain disorders: Developing new treatment strategies. Pharmacol. Ther. 2025, 18, 104. [Google Scholar] [CrossRef]
- Lin, Y.; Wen, L. Inflammatory response following diffuse axonal injury. Int. J. Med. Sci. 2013, 10, 515–521. [Google Scholar] [CrossRef]
- Duan, Y.W.; Chen, S.X.; Li, Q.Y.; Zang, Y. Neuroimmune mechanisms underlying neuropathic pain: The potential role of TNF-α-necroptosis pathway. Int. J. Mol. Sci. 2022, 23, 7191. [Google Scholar] [CrossRef]
- Kummer, K.K.; Zeidler, M.; Kalpachidou, T.; Kress, M. Role of IL-6 in the regulation of neuronal development, survival and function. Cytokine 2021, 144, 155582. [Google Scholar] [CrossRef] [PubMed]
- Mattson, M.P.; Meffert, M.K. Roles for NF-kappaB in nerve cell survival, plasticity, and disease. Cell Death Differ. 2006, 13, 852–860. [Google Scholar] [CrossRef] [PubMed]
- Blank, T.; Prinz, M. NF-κB signaling regulates myelination in the CNS. Front. Mol. Neurosci. 2014, 7, 47. [Google Scholar] [CrossRef]
- Jessen, N.A.; Munk, A.S.F.; Lundgaard, I.; Nedergaard, M. The glymphatic system: A beginner’s guide. Neurochem. Res. 2015, 40, 2583–2599. [Google Scholar] [CrossRef] [PubMed]
- Sabayan, B.; Westendorp, R.G.J. Neurovascular-glymphatic dysfunction and white matter lesions. GeroScience 2021, 43, 1635–1642. [Google Scholar] [CrossRef]
- Fatima, G.; Ashiquzzaman, A.; Kim, S.S.; Kim, Y.R.; Kwon, H.S.; Chung, E. Vascular and glymphatic dysfunction as drivers of cognitive impairment in Alzheimer’s disease: Insights from computational approaches. Neurobiol. Dis. 2025, 208, 106877. [Google Scholar] [CrossRef]
- Iliff, J.J.; Wang, M.; Liao, Y.; Plogg, B.A.; Peng, W.; Gundersen, G.A.; Benveniste, H.; Vates, G.E.; Deane, R.; Goldman, S.A. A paravascular pathway facilitates CSF flow through the brain parenchyma and the clearance of interstitial solutes, including amyloid-β. Sci. Transl. Med. 2012, 4, 147ra111. [Google Scholar] [CrossRef]
- Xu, Z.; Xiao, N.; Chen, Y.; Huang, H.; Marshall, C.; Gao, J.; Cai, Z.; Wu, T.; Hu, G.; Xiao, M. Deletion of aquaporin-4 in APP/PS1 mice exacerbates brain Aβ accumulation and memory deficits. Mol. Neurodegener. 2015, 10, 58. [Google Scholar] [CrossRef]
- Iliff, J.J.; Chen, M.J.; Plog, B.A.; Zeppenfeld, D.M.; Soltero, M.; Yang, L.; Singh, I.; Deane, R.; Nedergaard, M. Impairment of glymphatic pathway function promotes tau pathology after traumatic brain injury. J. Neurosci. 2014, 34, 16180–16193. [Google Scholar] [CrossRef]
- An, S.H.; Han, M.; Jung, W.S.; Choi, J.W.; Ha, E.J.; Park, S.W.; Rhim, J.H.; Han, M.; Park, J.H. Impaired glymphatic function in diffuse axonal injury: Evaluation using the diffusion tensor imaging analysis along the perivascular space (DTI-ALPS) method. Magn. Reson. Med. Sci. 2025, 1, mp.2024-0088. [Google Scholar] [CrossRef]
- Ferrara, M.; Bertozzi, G.; Volonnino, G.; Di Fazio, N.; Frati, P.; Cipolloni, L.; La Russa, R.; Fineschi, V. Glymphatic system a window on TBI pathophysiology: A systematic review. Int. J. Mol. Sci. 2022, 23, 9138. [Google Scholar] [CrossRef] [PubMed]
- Frati, A.; Cerretani, D.; Fiaschi, A.I.; Frati, P.; Gatto, V.; La Russa, R.; Pesce, A.; Pinchi, E.; Santurro, A.; Fraschetti, F.; et al. Diffuse axonal injury and oxidative stress: A comprehensive review. Int. J. Mol. Sci. 2017, 18, 2600. [Google Scholar] [CrossRef] [PubMed]
- Cornelius, C.; Crupi, R.; Calabrese, V.; Graziano, A.; Milone, P.; Pennisi, G.; Radak, Z.; Calabrese, E.J.; Cuzzocrea, S. Traumatic brain injury: Oxidative stress and neuroprotection. Antioxid. Redox Signal. 2013, 19, 836–853. [Google Scholar] [CrossRef] [PubMed]
- Barker, R.B.; Karakaya, E.; Baran, D.; Ergul, A.; Yagmurlu, K.; Albayram, M.; Albayram, O. The glymphatic and meningeal lymphatic systems may converge, connecting traumatic brain injury progression with chronic traumatic encephalopathy onset. Mol. Cell. Neurosci. 2025, 134, 104031. [Google Scholar] [CrossRef]
- Murray, H.C.; Osterman, C.; Bell, P.; Vinnell, L.; Curtis, M.A. Neuropathology in chronic traumatic encephalopathy: A systematic review of comparative post-mortem histology literature. Acta Neuropathol. Commun. 2022, 10, 108. [Google Scholar] [CrossRef]
- Lu, Y.; Jin, J.; Zhang, H.; Lu, Q.; Zhang, Y.; Liu, C.; Liang, Y.; Tian, S.; Zhao, Y.; Fan, H. Traumatic brain injury: Bridging pathophysiological insights and precision treatment strategies. Neural Regen Res. 2025, 21, 887–907. [Google Scholar] [CrossRef] [PubMed]
- Krieg, J.L.; Leonard, A.V.; Turner, R.J.; Corrigan, F. Identifying the phenotypes of diffuse axonal injury following traumatic brain injury. Brain Sci. 2023, 13, 1607. [Google Scholar] [CrossRef] [PubMed]
- Huang, X.J.; Li, W.P.; Lin, Y.; Feng, J.F.; Jia, F.; Mao, Q.; Jiang, J.Y. Blockage of the upregulation of voltage-gated sodium channel Nav1.3 improves outcomes after experimental traumatic brain injury. J. Neurotrauma 2014, 31, 346–357. [Google Scholar] [CrossRef] [PubMed]
- Grover, H.; Qian, Y.; Boada, F.; Lui, Y.W. Chapter 21-Sodium dysregulation in traumatic brain injury. In Cellular, Molecular, Physiological, and Behavioral Aspects of Traumatic Brain Injury; Rajendram, R., Preedy, V.R., Martin, C.R., Eds.; Academic Press: Cambridge, MA, USA, 2022; pp. 257–266. [Google Scholar]
- Song, H.; McEwan, P.P.; Ameen-Ali, K.E.; Tomasevich, A.; Kennedy-Dietrich, C.; Palma, A.; Arroyo, E.J.; Dolle, J.-P.; Johnson, V.E.; Stewart, W.; et al. Concussion leads to widespread axonal sodium channel loss and disruption of the node of Ranvier. Acta Neuropathol. 2022, 144, 967–985. [Google Scholar] [CrossRef]
- Adams, A.A.; Wood, T.L.; Kim, H.A. Mature and myelinating oligodendrocytes are specifically vulnerable to mild fluid percussion injury in mice. Neurotrauma Rep. 2023, 4, 433–446. [Google Scholar] [CrossRef]
- Özen, I.; Arkan, S.; Clausen, F.; Ruscher, K.; Marklund, N. Diffuse traumatic injury in the mouse disrupts axon-myelin integrity in the cerebellum. J. Neurotrauma 2022, 39, 411–422. [Google Scholar] [CrossRef]
- Reeves, T.M.; Greer, J.E.; Vanderveer, A.S.; Phillips, L.L. Proteolysis of submembrane cytoskeletal proteins ankyrin-G and αII-spectrin following diffuse brain injury. Brain Pathol. 2010, 20, 1055–1068. [Google Scholar] [CrossRef]
- McKenzie, K.J.; McLellan, D.R.; Gentleman, S.M.; Maxwell, W.L.; Gennarelli, T.A.; Graham, D.I. Is beta-APP a marker of axonal damage in short-surviving head injury? Acta Neuropathol. 1996, 92, 608–613. [Google Scholar] [CrossRef]
- Gentleman, S.M.; Roberts, G.W.; Gennarelli, T.A.; Maxwell, W.L.; Adams, J.H.; Kerr, S.; Graham, D.I. Axonal injury: A universal consequence of fatal closed head injury? Acta Neuropathol. 1995, 89, 537–543. [Google Scholar] [CrossRef]
- Hellewell, S.C.; Yan, E.B.; Agyapomaa, D.A.; Bye, N.; Morganti-Kossmann, M.C. Post-traumatic hypoxia exacerbates brain tissue damage. J. Neurotrauma 2010, 27, 1997–2010. [Google Scholar] [CrossRef]
- Mohamed, A.Z.; Corrigan, F.; Collins-Praino, L.E.; Plummer, S.L.; Soni, N.; Nasrallah, F.A. Evaluating spatiotemporal microstructural alterations following diffuse traumatic brain injury. NeuroImage Clin. 2020, 25, 102136. [Google Scholar] [CrossRef]
- Chen, X.-H.; Meaney, D.F.; Xu, B.N.; Nonaka, M.; Mcintosh, T.K.; Wolf, J.A.; Saatman, K.E.; Smith, D.H. Evolution of neurofilament subtype accumulation in axons following diffuse brain injury in the pig. J. Neuropathol. Exp. Neurol. 1999, 58, 588–596. [Google Scholar] [CrossRef]
- Stone, J.R.; Singleton, R.H.; Povlishock, J.T. Intra-axonal neurofilament compaction does not evoke local axonal swelling in all traumatically injured axons. Exp. Neurol. 2001, 172, 320–331. [Google Scholar] [CrossRef]
- Marmarou, C.R.; Walker, S.A.; Davis, C.L.; Povlishock, J.T. Relationship between neurofilament compaction and axonal transport after traumatic brain injury. J. Neurotrauma 2005, 22, 1066–1080. [Google Scholar] [CrossRef] [PubMed]
- Doust, Y.V.; Rowe, R.K.; Adelson, P.D.; Lifshitz, J.; Ziebell, J.M. Age at injury determines long-term neuropathology. Front. Neurol. 2021, 12, 722526. [Google Scholar] [CrossRef] [PubMed]
- Pike, B.R.; Zhao, X.; Newcomb, J.K.; Posmantur, R.M.; Wang, K.K.; Hayes, R.L. Calpain and Caspase-3 Proteolysis of Alpha-Spectrin after TBI. Neuroreport 1998, 9, 2437–2442. [Google Scholar] [CrossRef]
- Deng, Y.; Thompson, B.M.; Gao, X.; Hall, E.D. Oxidative Damage and Cytoskeletal Degradation after TBI. Exp. Neurol. 2007, 205, 154–165. [Google Scholar] [CrossRef] [PubMed]
- Mondello, S.; Robicsek, S.A.; Gabrielli, A.; Brophy, G.M.; Papa, L.; Tepas III, J.; Robertson, C.; Buki, A.; Scharf, D.; Jixiang, M.; et al. αII-Spectrin Breakdown Products: Diagnosis and Outcome in Severe TBI. J. Neurotrauma 2010, 27, 1203–1213. [Google Scholar] [CrossRef]
- Siman, R.; Cui, H.; Wewerka, S.S.; Hamel, L.; Smith, D.H.; Zwank, M.D. Serum SNTF as a Marker of Axonal Injury in Mild TBI. Front. Neurol. 2020, 11, 249. [Google Scholar] [CrossRef]
- Johnson, V.E.; Stewart, W.; Weber, M.T.; Cullen, D.K.; Siman, R.; Smith, D.H. SNTF Immunostaining Reveals Previously Undetected Axonal Pathology in Traumatic Brain Injury. Acta Neuropathol. 2016, 131, 115–135. [Google Scholar] [CrossRef]
- Adams, J.H.; Graham, D.I.; Murray, L.S.; Scott, G. Diffuse Axonal Injury Due to Nonmissile Head Injury in Humans. Ann. Neurol. 1982, 12, 557–563. [Google Scholar] [CrossRef]
- Davceva, N.; Basheska, N.; Balazic, J. Diffuse Axonal Injury—A Distinct Clinicopathological Entity in Closed Head Injuries. Am. J. Forensic Med. Pathol. 2015, 36, 127–133. [Google Scholar] [CrossRef]
- Gennarelli, T.A.; Thibault, L.E.; Adams, J.H.; Graham, D.I.; Thompson, C.J.; Marcincin, R.P. Diffuse Axonal Injury and Traumatic Coma in the Primate. Ann. Neurol. 1982, 12, 564–574. [Google Scholar] [CrossRef]
- Makino, Y.; Arai, N.; Hoshioka, Y.; Yoshida, M.; Kojima, M.; Horikoshi, T.; Mukai, H.; Iwase, H. Traumatic Axonal Injury Revealed by Postmortem MRI. Leg. Med. 2019, 36, 9–16. [Google Scholar] [CrossRef]
- Onaya, M. Neuropathological Investigation of Cerebral White Matter Lesions. Neuropathology 2002, 22, 243–251. [Google Scholar] [CrossRef] [PubMed][Green Version]
- Blumbergs, P.C.; Jones, N.R.; North, J.B. Diffuse Axonal Injury in Head Trauma. J. Neurol. Neurosurg. Psychiatry 1989, 52, 838–841. [Google Scholar] [CrossRef] [PubMed]
- Li, Y.; Zhang, L.; Kallakuri, S.; Cohen, A.; Cavanaugh, J.M. Correlation of Mechanical Impact Responses and Biomarker Levels: A New Model for Biomarker Evaluation in TBI. J. Neurol. Sci. 2015, 359, 280–286. [Google Scholar] [CrossRef]
- Li, D.R.; Zhang, F.; Wang, Y.; Tan, X.H.; Qiao, D.F.; Wang, H.J.; Michiue, T.; Maeda, H. Quantitative Analysis of GFAP- and S100 Protein-Immunopositive Astrocytes to Investigate the Severity of Traumatic Brain Injury. Leg. Med. 2012, 14, 84–92. [Google Scholar] [CrossRef]
- Shahim, F.M.; Gren, M.; Liman, V.; Andreasson, U.; Norgren, N.; Tegner, Y.; Mattsson, N.; Andreasen, N.; Öst, M.; Zetterberg, H.; et al. Serum Neurofilament Light Protein Predicts Clinical Outcome in Traumatic Brain Injury. Sci. Rep. 2016, 6, 36791. [Google Scholar] [CrossRef] [PubMed]
- Schiavone, S.; Neri, M.; Trabace, L.; Turillazzi, E. The NADPH Oxidase NOX2 Mediates Loss of Parvalbumin Interneurons in Traumatic Brain Injury: Human Autoptic Immunohistochemical Evidence. Sci. Rep. 2017, 7, 8752. [Google Scholar] [CrossRef]
- Yamaki, T.; Murakami, N.; Iwamoto, Y.; Nakagawa, Y.; Ueda, S.; Irizawa, Y.; Komura, S.; Matsuura, T. Pathological Study of DAI Patients. Acta Neurochir. 1992, 119, 153–158. [Google Scholar] [CrossRef] [PubMed]
- Sherriff, F.E.; Bridges, L.R.; Sivaloganathan, S. Early Detection of Axonal Injury Using Beta-APP Immunocytochemistry. Acta Neuropathol. 1994, 87, 55–62. [Google Scholar] [CrossRef]
- Hawryluk, G.W.J.; Rubiano, A.M.; Totten, A.M.; O’Reilly, C.; Ullman, J.S.; Bratton, S.L.; Chesnut, R.; Harris, O.A.; Kissoon, N.; Shutter, L.; et al. Guidelines for the Management of Severe Traumatic Brain Injury: 2020 Update of the Decompressive Craniectomy Recommendations. Neurosurgery 2020, 87, 427–434. [Google Scholar] [CrossRef] [PubMed]
- Cooper, D.J.; Rosenfeld, J.V.; Murray, L.; Arabi, Y.M.; Davies, A.R.; Ponsford, J.; Seppelt, I.; Reilly, P.; Wiegers, E.; Wolfe, R. Patient Outcomes at Twelve Months after Early Decompressive Craniectomy for Diffuse Traumatic Brain Injury in the Randomized DECRA Clinical Trial. J. Neurotrauma 2020, 37, 810–816. [Google Scholar] [CrossRef]
- Hutchinson, P.J.; Kolias, A.G.; Timofeev, I.S.; Corteen, E.A.; Czosnyka, M.; Timothy, J.; Anderson, I.; Bulters, D.O.; Belli, A.; Eynon, C.A.; et al. Trial of Decompressive Craniectomy for Traumatic Intracranial Hypertension. N. Engl. J. Med. 2016, 375, 1119–1130. [Google Scholar] [CrossRef]
- Friess, S.H.; Lapidus, J.B.; Brody, D.L. Decompressive Craniectomy Reduces White Matter Injury after Controlled Cortical Impact in Mice. J. Neurotrauma 2015, 32, 791–800. [Google Scholar] [CrossRef] [PubMed]
- Hernandez, M.L.; Marone, M.; Gorse, K.M.; Lafrenaye, A.D. Cathepsin B Relocalization in Late Membrane Disrupted Neurons Following Diffuse Brain Injury in Rats. ASN Neuro 2022, 14, 17590914221099112. [Google Scholar] [CrossRef] [PubMed]
- Lafrenaye, A.D.; McGinn, M.J.; Povlishock, J.T. Increased Intracranial Pressure after Diffuse Traumatic Brain Injury Exacerbates Neuronal Somatic Membrane Poration but Not Axonal Injury: Evidence for Primary Intracranial Pressure-Induced Neuronal Perturbation. J. Cereb. Blood Flow Metab. 2012, 32, 1919–1932. [Google Scholar] [CrossRef]
- Abu Hamdeh, S.; Marklund, N.; Lewén, A.; Howells, T.; Raininko, R.; Wikström, J.; Enblad, P. Intracranial Pressure Elevations in Diffuse Axonal Injury: Association with Nonhemorrhagic MR Lesions in Central Mesencephalic Structures. J. Neurosurg. 2019, 131, 604–611. [Google Scholar] [CrossRef]
- Vik, A.; Nag, T.; Fredriksli, O.A.; Skandsen, T.; Moen, K.G.; Schirmer-Mikalsen, K.; Manley, G.T. Relationship of “Dose” of Intracranial Hypertension to Outcome in Severe Traumatic Brain Injury. J. Neurosurg. 2008, 109, 678–684. [Google Scholar] [CrossRef] [PubMed]
- Martínez-Palacios, K.; Vásquez-García, S.; Fariyike, O.A.; Robba, C.; Rubiano, A.M.; Noninvasive Intracranial Pressure Monitoring International Consensus Group. Quantitative Pupillometry for Intracranial Pressure (ICP) Monitoring in Traumatic Brain Injury: A Scoping Review. Neurocrit. Care 2024, 41, 255–271. [Google Scholar] [CrossRef] [PubMed]
- Lee, T.T.; Galarza, M.; Villanueva, P.A. Diffuse Axonal Injury (DAI) Is Not Associated with Elevated Intracranial Pressure (ICP). Acta Neurochir. 1998, 140, 41–46. [Google Scholar] [CrossRef] [PubMed]
- Teasdale, G.; Jennett, B. Assessment of coma and impaired consciousness. A practical scale. Lancet 1974, 2, 81–84. [Google Scholar] [CrossRef]
- Vieira, R.C.; Paiva, W.S.; de Oliveira, D.V.; Teixeira, M.J.; de Andrade, A.F.; de Sousa, R.M. Diffuse axonal injury: Epidemiology, outcome and associated risk factors. Front. Neurol. 2016, 20, 178. [Google Scholar] [CrossRef]
- Palmieri, M.; Frati, A.; Santoro, A.; Frati, P.; Fineschi, V.; Pesce, A. Diffuse axonal injury: Clinical prognostic factors, molecular experimental models and the impact of the trauma related oxidative stress. An extensive review concerning milestones and advances. Int. J. Mol. Sci. 2021, 22, 10865. [Google Scholar] [CrossRef]
- Skandsen, T.; Kvistad, K.A.; Solheim, O.; Strand, I.H.; Folvik, M.; Vik, A. Prevalence and impact of diffuse axonal injury in patients with moderate and severe head injury: A cohort study of early magnetic resonance imaging findings and 1-year outcome. J. Neurosurg. 2010, 113, 556–563. [Google Scholar] [CrossRef]
- van Eijck, M.M.; Schoonman, G.G.; van der Naalt, J.; de Vries, J.; Roks, G. Diffuse axonal injury after traumatic brain injury is a prognostic factor for functional outcome: A systematic review and meta-analysis. Brain Inj. 2018, 32, 395–402. [Google Scholar] [CrossRef]
- Chelly, H.; Chaari, A.; Daoud, E.; Dammak, H.; Medhioub, F.; Mnif, J.; Chokri, B.; Bahloul, M.; Bouaziz, M. Diffuse axonal injury in patients with head injuries: An epidemiologic and prognosis study of 124 cases. J. Trauma 2011, 71, 838–846. [Google Scholar] [CrossRef]
- Mata-Mbemba, D.; Mugikura, S.; Nakagawa, A.; Murata, T.; Kato, Y.; Tatewaki, Y.; Li, L.; Takase, K.; Ishii, K.; Kushimoto, S.; et al. Intraventricular hemorrhage on initial computed tomography as marker of diffuse axonal injury after traumatic brain injury. J. Neurotrauma 2015, 32, 359–365. [Google Scholar] [CrossRef] [PubMed]
- Ogata, M.; Tsuganezawa, O. Neuron-specific enolase as an effective immunohistochemical marker for injured axons after fatal brain injury. Int. J. Legal Med. 1999, 113, 19–25. [Google Scholar] [CrossRef] [PubMed]
- Pelinka, L.E.; Hertz, H.; Mauritz, W.; Harada, N.; Jafarmadar, M.; Albrecht, M.; Redl, H.; Bahrami, S. Nonspecific increase of systemic neuron-specific enolase after trauma: Clinical and experimental findings. Shock 2005, 24, 119–123. [Google Scholar] [CrossRef]
- Chen, W.; Wang, G.; Yao, C.; Zhu, Z.; Chen, R.; Su, W.; Jiang, R. The ratio of serum neuron-specific enolase level to admission Glasgow Coma Scale score is associated with diffuse axonal injury in patients with moderate to severe traumatic brain injury. Front. Neurol. 2022, 13, 887818. [Google Scholar] [CrossRef]
- Czeiter, E.; Mondello, S.; Kovacs, N.; Sandor, J.; Gabrielli, A.; Schmid, K.; Tortella, F.; Wang, K.K.W.; Hayes, R.L.; Barzo, P.; et al. Brain injury biomarkers may improve the predictive power of the IMPACT outcome calculator. J. Neurotrauma 2012, 29, 1770–1778. [Google Scholar] [CrossRef] [PubMed]
- Brophy, G.M.; Mondello, S.; Papa, L.; Robicsek, S.A.; Gabrielli, A.; Tepas, J., 3rd; Buki, A.; Robertson, C.; Tortella, F.C.; Hayes, R.L.; et al. Biokinetic analysis of ubiquitin C-terminal hydrolase-L1 (UCH-L1) in severe traumatic brain injury patient biofluids. J. Neurotrauma 2011, 28, 861–870. [Google Scholar] [CrossRef]
- Shin, M.K.; Vázquez-Rosa, E.; Koh, Y.; Dhar, M.; Chaubey, K.; Cintrón-Pérez, C.J.; Barker, S.; Miller, E.; Franke, K.; Noterman, M.F. Reducing acetylated tau is neuroprotective in brain injury. Cell 2021, 184, 2715–2732.e23. [Google Scholar] [CrossRef]
- Shahim, P.; Tegner, Y.; Wilson, D.H.; Randall, J.; Skillback, T.; Pazooki, D.; Kallberg, B.; Blennow, K.; Zetterberg, H. Blood biomarkers for brain injury in concussed professional ice hockey players. JAMA Neurol. 2014, 71, 684–692. [Google Scholar] [CrossRef] [PubMed]
- Wang, J.; Li, J.; Han, L.; Guo, S.; Wang, L.; Xiong, Z.; Chen, Z.; Chen, W.; Liang, J. Serum tau protein as a potential biomarker in the assessment of traumatic brain injury. Exp. Ther. Med. 2016, 11, 1147–1151. [Google Scholar] [CrossRef] [PubMed]
- Tomita, K.; Nakada, T.A.; Oshima, T.; Motoshima, T.; Kawaguchi, R.; Oda, S. Tau protein as a diagnostic marker for diffuse axonal injury. PLoS ONE 2019, 14, e0214381. [Google Scholar] [CrossRef]
- Rustandi, R.R.; Drohat, A.C.; Baldisseri, D.M.; Wilder, P.T.; Weber, D.J. The Ca2+-dependent interaction of S100B(ββ) with a peptide derived from p53. Biochemistry 1998, 37, 1951–1960. [Google Scholar] [CrossRef]
- Nguyen, D.N.; Spapen, H.; Su, F.; Schiettecatte, J.; Shi, L.; Hachimi-Idrissi, S.; Huyghens, L. Elevated serum levels of S-100beta protein and neuron-specific enolase are associated with brain injury in patients with severe sepsis and septic shock. Crit. Care Med. 2006, 34, 1967–1974. [Google Scholar] [CrossRef]
- Kleindienst, A.; Ross Bullock, M. A critical analysis of the role of the neurotrophic protein S100B in acute brain injury. J. Neurotrauma 2006, 23, 1185–1200. [Google Scholar] [CrossRef]
- Mondello, S.; Papa, L.; Buki, A.; Bullock, M.R.; Czeiter, E.; Tortella, F.C.; Wang, K.K.; Hayes, R.L. Neuronal and glial markers are differently associated with computed tomography findings and outcome in patients with severe traumatic brain injury: A case-control study. Crit. Care 2011, 15, R156. [Google Scholar] [CrossRef]
- Vos, P.E.; Jacobs, B.; Andriessen, T.M.; Lamers, K.J.; Borm, G.F.; Beems, T.; Edwards, M.; Rosmalen, C.F.; Vissers, J.L.M. GFAP and S100B are biomarkers of traumatic brain injury: An observational cohort study. Neurology 2010, 75, 1786–1793. [Google Scholar] [CrossRef] [PubMed]
- Raheja, A.; Sinha, S.; Samson, N.; Bhoi, S.; Subramanian, A.; Sharma, P.; Sharma, B.S. Serum biomarkers as predictors of long-term outcome in severe traumatic brain injury: Analysis from a randomized placebo-controlled Phase II clinical trial. J. Neurosurg. 2016, 125, 631–641. [Google Scholar] [CrossRef]
- Licastro, F.; Hrelia, S.; Porcellini, E.; Malaguti, M.; Di Stefano, C.; Angeloni, C.; Carbone, I.; Simoncini, L.; Piperno, R. Peripheral inflammatory markers and antioxidant response during the post-acute and chronic phase after severe traumatic brain injury. Front. Neurol. 2016, 7, 189. [Google Scholar] [CrossRef]
- Venetsanou, K.; Vlachos, K.; Moles, A.; Fragakis, G.; Fildissis, G.; Baltopoulos, G. Hypolipoproteinemia and hyperinflammatory cytokines in serum of severe and moderate traumatic brain injury (TBI) patients. Eur. Cytokine Netw. 2007, 18, 206–209. [Google Scholar]
- Woiciechowsky, C.; Schöning, B.; Cobanov, J.; Lanksch, W.R.; Volk, H.-D.; Döcke, W.-D. Early IL-6 plasma concentrations correlate with severity of brain injury and pneumonia in brain-injured patients. J. Trauma 2002, 52, 339–345. [Google Scholar] [CrossRef] [PubMed]
- Woodcock, T.; Morganti-Kossmann, M.C. The role of markers of inflammation in traumatic brain injury. Front. Neurol. 2013, 4, 18. [Google Scholar] [CrossRef]
- Ferreira, L.C.; Regner, A.; Miotto, K.D.; Moura, S.d.; Ikuta, N.; Vargas, A.E.; Chies, J.A.B.; Simon, D. Increased levels of interleukin-6, -8 and -10 are associated with fatal outcome following severe traumatic brain injury. Brain Inj. 2014, 28, 1311–1316. [Google Scholar] [CrossRef] [PubMed]
- Borghini, I.; Barja, F.; Pometta, D.; James, R.W. Characterization of subpopulations of lipoprotein particles isolated from human cerebrospinal fluid. Biochim. Biophys. Acta 1995, 1255, 192–200. [Google Scholar] [CrossRef]
- Zhong, Y.H.; Zheng, B.E.; He, R.H.; Zhou, Z.; Zhang, S.Q.; Wei, Y.; Fan, J.Z. Serum levels of HDL cholesterol are associated with diffuse axonal injury in patients with traumatic brain injury. Neurocrit. Care 2021, 34, 465–472. [Google Scholar] [CrossRef]
- Soltani, Z.; Shahrokhi, N.; Karamouzian, S.; Khaksari, M.; Mofid, B.; Nakhaee, N.; Reihani, H. Does progesterone improve outcome in diffuse axonal injury? Brain Inj. 2017, 31, 16–23. [Google Scholar] [CrossRef]
- Osborn, A.G.; Hedlund, G.; Salzman, K.L. Osborn’s Brain: Imaging, Pathology, and Anatomy, 2nd ed.; Elsevier: Philadelphia, PA, USA, 2018. [Google Scholar]
- Harder, T.J.; Leary, O.P.; Yang, Z.; Lucke-Wold, B.; Liu, D.D.; Still, M.E.; Zhang, M.; Yeatts, S.D.; Allen, J.W.; Wright, D.W.; et al. Early signs of elevated intracranial pressure on computed tomography correlate with measured intracranial pressure in the intensive care unit and six-month outcome after moderate to severe traumatic brain injury. J. Neurotrauma 2023, 40, 1603–1613. [Google Scholar] [CrossRef]
- Ravikanth, R.; Majumdar, P. Prognostic significance of magnetic resonance imaging in detecting diffuse axonal injuries: Analysis of outcomes and review of literature. Neurol. India 2022, 70, 2371–2377. [Google Scholar] [CrossRef] [PubMed]
- Abu Hamdeh, S.; Marklund, N.; Lannsjö, M.; Howells, T.; Raininko, R.; Wikström, J.; Enblad, P. Extended anatomical grading in diffuse axonal injury using MRI: Hemorrhagic lesions in the substantia nigra and mesencephalic tegmentum indicate poor long-term outcome. J. Neurotrauma 2017, 34, 341–352. [Google Scholar] [CrossRef]
- Janas, A.M.; Qin, F.; Hamilton, S.; Jiang, B.; Baier, N.; Wintermark, M.; Threlkeld, Z.; Lee, S. Diffuse axonal injury grade on early MRI is associated with worse outcome in children with moderate-severe traumatic brain injury. Neurocrit. Care 2022, 36, 492–503. [Google Scholar] [CrossRef]
- Ferrazzano, P.A. MRI and clinical variables for prediction of outcomes after pediatric severe traumatic brain injury. JAMA Netw. Open 2024, 7, e2425765. [Google Scholar] [CrossRef]
- Choucha, A.; De Simone, M.; Beucler, N.; Hulot, S.; Lagier, J.C.; Dufour, H. Brain Abscess Mimicking Brain Tumors: A Systematic Review of Individual Patient’s Data. Asian J Neurosurg. 2025, 20, 291–300. [Google Scholar] [CrossRef]
- Smitherman, E.; Hernandez, A.; Stavinoha, P.L.; Huang, R.; Kernie, S.G.; Diaz-Arrastia, R.; Miles, D.K. Predicting outcome after pediatric traumatic brain injury by early magnetic resonance imaging lesion location and volume. J. Neurotrauma 2016, 33, 35–48. [Google Scholar] [CrossRef] [PubMed]
- Baker, C.M.; Cox, A.P.; Hunsaker, J.C.; Scoville, J.; Bollo, R.J. Postoperative magnetic resonance imaging may predict poor outcome in children with severe traumatic brain injuries who undergo cranial surgery. J. Neurosurg. Pediatr. 2022, 29, 407–411. [Google Scholar] [CrossRef] [PubMed]
- Paolini, F.; Marrone, S.; Scalia, G.; Gerardi, R.M.; Bonosi, L.; Benigno, U.E.; Musso, S.; Scerrati, A.; Iacopino, D.G.; Signorelli, F.; et al. Diffusion tensor imaging as neurologic predictor in patients affected by traumatic brain injury: Scoping review. Brain Sci. 2025, 15, 70. [Google Scholar] [CrossRef]
- Moen, K.G.; Flusund, A.M.H.; Moe, H.K.; Andelic, N.; Skandsen, T.; Håberg, A.; Kvistad, K.A.; Olsen, Ø.; Saksvoll, E.H.; Abel-Grüner, S.; et al. The prognostic importance of traumatic axonal injury on early MRI: The Trondheim TAI-MRI grading and quantitative models. Eur. Radiol. 2024, 34, 8015–8029. [Google Scholar] [CrossRef]
- Bellini, V.; Cascella, M.; Cutugno, F.; Russo, M.; Lanza, R.; Compagnone, C.; Bignami, E.G. Understanding basic principles of artificial intelligence: A practical guide for intensivists. Acta Biomed. 2022, 93, e2022297. [Google Scholar]
- Cascella, M.; Tracey, M.C.; Petrucci, E.; Bignami, E.G. Exploring artificial intelligence in anesthesia: A primer on ethics, and clinical applications. Surgeries 2023, 4, 264–274. [Google Scholar] [CrossRef]
- Mitra, J.; Shen, K.K.; Ghose, S.; Bourgeat, P.; Fripp, J.; Salvado, O.; Pannek, K.; Taylor, D.J.; Mathias, J.L.; Rose, S. Statistical machine learning to identify traumatic brain injury (TBI) from structural disconnections of white matter networks. Neuroimage 2016, 129, 247–259. [Google Scholar] [CrossRef]
- Zhu, X.; Sun, S.; Lin, L.; Wu, Y.; Ma, X. Transformer-based approaches for neuroimaging: An in-depth review of their role in classification and regression tasks. Rev. Neurosci. 2025, 36, 209–228. [Google Scholar] [CrossRef]
- Huang, S.C.; Pareek, A.; Jensen, M.; Lungren, M.P.; Yeung, S.; Chaudhari, A.S. Self-supervised learning for medical image classification: A systematic review and implementation guidelines. NPJ Digit. Med. 2023, 6, 74. [Google Scholar] [CrossRef] [PubMed]
- Rehman, M.H.U.; Lopez Pinaya, W.; Nachev, P.; Teo, J.T.; Ourselin, S.; Cardoso, M.J. Federated learning for medical imaging radiology. Br. J. Radiol. 2023, 96, 20220890. [Google Scholar] [CrossRef]
- Tjerkaski, J.; Nyström, H.; Raj, R.; Lindblad, C.; Bellander, B.M.; Nelson, D.W.; Thelin, E.P. Extended analysis of axonal injuries detected using magnetic resonance imaging in critically ill traumatic brain injury patients. J. Neurotrauma 2022, 39, 58–66. [Google Scholar] [CrossRef] [PubMed]
- Fletcher-Sandersjöö, A.; Tatter, C.; Yang, L.; Pontén, E.; Boman, M.; Lassarén, P.; Forsberg, S.; Grönlund, I.; Tidehag, V.; Rubenson-Wahlin, R.; et al. Stockholm score of lesion detection on computed tomography following mild traumatic brain injury (SELECT-TBI): Study protocol for a multicentre, retrospective, observational cohort study. BMJ Open 2022, 12, e060679. [Google Scholar] [CrossRef] [PubMed]
- Smith, C.W.; Malhotra, A.K.; Hammill, C.; Beaton, D.; Harrington, E.M.; He, Y.; Shakil, H.; McFarlan, A.; Jones, B.; Lin, H.M.; et al. Vision transformer-based decision support for neurosurgical intervention in acute traumatic brain injury: Automated surgical intervention support tool. Radiol. Artif. Intell. 2024, 6, e230088. [Google Scholar] [CrossRef]
- Malhotra, A.K.; Shakil, H.; Smith, C.W.; Huang, Y.Q.; Kwong, J.C.; Thorpe, K.E.; Witiw, C.D.; Kulkarni, A.V.; Wilson, J.R.; Nathens, A.B. Predicting outcomes after moderate and severe traumatic brain injury using artificial intelligence: A systematic review. NPJ Digit. Med. 2025, 8, 373. [Google Scholar] [CrossRef]
- Danilov, G.; Afandiev, R.; Pogosbekyan, E.; Goraynov, S.; Pronin, I.; Zakharova, N. Radiomics enhances diagnostic and prognostic value of diffusion kurtosis imaging in diffuse axonal injury. Stud. Health Technol. Inform. 2023, 309, 287–291. [Google Scholar]
- Mohamed, M.; Alamri, A.; Mohamed, M.; Khalid, N.; O’Halloran, P.; Staartjes, V.; Uff, C. Prognosticating outcome using magnetic resonance imaging in patients with moderate to severe traumatic brain injury: A machine learning approach. Brain Inj. 2022, 36, 353–358. [Google Scholar] [CrossRef]
- Treves, B.; Consalvo, F.; Delogu, G.; Morena, D.; Padovano, M.; Santurro, A.; Scopetti, M.; Fineschi, V. Osmotic demyelination syndrome: Revisiting the diagnostic criteria through two fatal cases. BMC Neurol. 2024, 24, 428. [Google Scholar] [CrossRef] [PubMed]
- Consalvo, F.; Padovano, M.; Scopetti, M.; Morena, D.; Cipolloni, L.; Fineschi, V.; Santurro, A. Analysis of miRNA expression profiles in traumatic brain injury (TBI) and their correlation with survival and severity of injury. Int. J. Mol. Sci. 2024, 25, 9539. [Google Scholar] [CrossRef] [PubMed]
- Cartocci, G.; Santurro, A.; Frati, P.; Guglielmi, G.; La Russa, R.; Fineschi, V. Imaging techniques for postmortem forensic radiology. In Radiology in Forensic Medicine: From Identification to Post-mortem Imaging; Springer: Cham, Switzerland, 2019; pp. 29–42. [Google Scholar]
- De Simone, M.; Choucha, A.; Ciaglia, E.; Conti, V.; Pecoraro, G.; Santurro, A.; Puca, A.A.; Cascella, M.; Iaconetta, G. Discogenic low back pain: Anatomic and pathophysiologic characterization, clinical evaluation, biomarkers, AI, and treatment options. J. Clin. Med. 2024, 13, 5915. [Google Scholar] [CrossRef]
- Vullo, A.; Panebianco, V.; Cannavale, G.; Aromatario, M.; Cipolloni, L.; Frati, P.; Santurro, A.; Vullo, F.; Catalano, C.; Fineschi, V. Post-mortem magnetic resonance fetal imaging: A study of morphological correlation with conventional autopsy and histopathological findings. Radiol. Med. 2016, 121, 847–856. [Google Scholar] [CrossRef]
- Santurro, A.; Vullo, A.M.; Borro, M.; Gentile, G.; La Russa, R.; Simmaco, M.; Frati, P.; Fineschi, V. Personalized medicine applied to forensic sciences: New advances and perspectives for a tailored forensic approach. Curr. Pharm. Biotechnol. 2017, 18, 263–273. [Google Scholar] [CrossRef]
- Riezzo, I.; Cerretani, D.; Fiore, C.; Bello, S.; Centini, F.; D’Errico, S.; Fiaschi, A.I.; Giorgi, G.; Neri, M.; Pomara, C.; et al. Enzymatic-nonenzymatic cellular antioxidant defense systems response and immunohistochemical detection of MDMA, VMAT2, HSP70, and apoptosis as biomarkers for MDMA (Ecstasy) neurotoxicity. J. Neurosci. Res. 2010, 88, 905–916. [Google Scholar] [CrossRef] [PubMed]
- Neri, M.; Frati, A.; Turillazzi, E.; Cantatore, S.; Cipolloni, L.; Di Paolo, M.; Frati, P.; La Russa, R.; Maiese, A.; Scopetti, M.; et al. Immunohistochemical evaluation of Aquaporin-4 and its correlation with CD68, IBA-1, HIF-1α, GFAP, and CD15 expressions in fatal traumatic brain injury. Int. J. Mol. Sci. 2018, 19, 3544. [Google Scholar] [CrossRef] [PubMed]






| Phenotype | Pathological Feature | Clinical Relevance | Imaging and Laboratory Correlates | Temporal Progression |
|---|---|---|---|---|
| Sodium Channel Pathology | Loss of Nav1.6 channels; nodal elongation; disorganization of the node of Ranvier | Disruption of action potential conduction; contributes to long-term network dysfunction | Not directly visualized; indirect evidence through advanced MRI (e.g., DTI abnormalities) | Early and persistent; may evolve independently of APP accumulation |
| Axolemma Mechanoporation | Physical disruption of axolemma; ionic imbalance and depolarization | Initiates cascade of ionic dysregulation (especially Ca2+); triggers apoptosis and secondary axonal damage | May contribute to diffuse signal abnormalities on DWI or T2WI | Immediate post-injury event; resolves or progresses based on severity |
| APP Accumulation | Blocked axonal transport leading to β-amyloid precursor protein build-up | Gold standard for diagnosis; indicates disrupted axonal transport | Correlates with DWI hyperintensities and microbleeds (SWI in hemorrhagic lesions) | Detectable as early as 30 min; peaks at 24 h; may persist for months |
| Neurofilament Alteration | Cytoskeletal damage with neurofilament compaction and accumulation | Marker of cytoskeletal disorganization; associated with structural instability of axons | Correlated with reduced FA on DTI; elevated NF-L levels in serum/CSF | Begins within hours; may persist for weeks to months |
| Calpain-Mediated Spectrin Degradation | Proteolytic cleavage of αII-spectrin by calpain/caspases | Indicates axonal disconnection and cytoskeletal collapse; relevant for prognosis and biomarker studies | Not visualized on imaging; detectable via serum/CSF spectrin breakdown products (SBDPs) | Rapid onset (minutes); peaks around 6 h; declines over 24–48 h |
Disclaimer/Publisher’s Note: The statements, opinions and data contained in all publications are solely those of the individual author(s) and contributor(s) and not of MDPI and/or the editor(s). MDPI and/or the editor(s) disclaim responsibility for any injury to people or property resulting from any ideas, methods, instructions or products referred to in the content. |
© 2025 by the authors. Licensee MDPI, Basel, Switzerland. This article is an open access article distributed under the terms and conditions of the Creative Commons Attribution (CC BY) license (https://creativecommons.org/licenses/by/4.0/).
Share and Cite
Santurro, A.; De Simone, M.; Choucha, A.; Morena, D.; Consalvo, F.; Romano, D.; Terrasi, P.; Corrivetti, F.; Scrofani, R.; Narciso, N.; et al. Integrative Diagnostic and Prognostic Paradigms in Diffuse Axonal Injury: Insights from Clinical, Histopathological, Biomolecular, Radiological, and AI-Based Perspectives. Int. J. Mol. Sci. 2025, 26, 7808. https://doi.org/10.3390/ijms26167808
Santurro A, De Simone M, Choucha A, Morena D, Consalvo F, Romano D, Terrasi P, Corrivetti F, Scrofani R, Narciso N, et al. Integrative Diagnostic and Prognostic Paradigms in Diffuse Axonal Injury: Insights from Clinical, Histopathological, Biomolecular, Radiological, and AI-Based Perspectives. International Journal of Molecular Sciences. 2025; 26(16):7808. https://doi.org/10.3390/ijms26167808
Chicago/Turabian StyleSanturro, Alessandro, Matteo De Simone, Anis Choucha, Donato Morena, Francesca Consalvo, Daniele Romano, Pamela Terrasi, Francesco Corrivetti, Raffaele Scrofani, Nicola Narciso, and et al. 2025. "Integrative Diagnostic and Prognostic Paradigms in Diffuse Axonal Injury: Insights from Clinical, Histopathological, Biomolecular, Radiological, and AI-Based Perspectives" International Journal of Molecular Sciences 26, no. 16: 7808. https://doi.org/10.3390/ijms26167808
APA StyleSanturro, A., De Simone, M., Choucha, A., Morena, D., Consalvo, F., Romano, D., Terrasi, P., Corrivetti, F., Scrofani, R., Narciso, N., Amoroso, E., Cascella, M., Fineschi, V., & Iaconetta, G. (2025). Integrative Diagnostic and Prognostic Paradigms in Diffuse Axonal Injury: Insights from Clinical, Histopathological, Biomolecular, Radiological, and AI-Based Perspectives. International Journal of Molecular Sciences, 26(16), 7808. https://doi.org/10.3390/ijms26167808

