Methylene Blue Mitigates Doxorubicin-Induced Cardiotoxicity via KEAP1/NRF2/GPX-4/Caspase3 Modulation
Abstract
1. Introduction
2. Results
2.1. MB Effects on Troponin-1 and Noradrenaline DCT
2.2. Effects of MB on Oxidative Stress Markers Against DCT
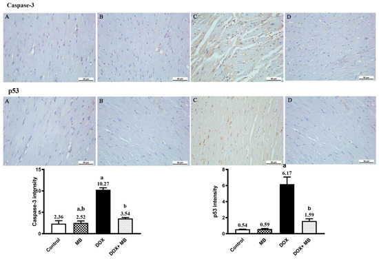
2.3. Evaluation of Immunohistochemistry Changes in Caspase-3 and p53
2.4. Evaluation of Histological Changes
3. Discussion
4. Materials and Methods
4.1. Animals
4.2. Drugs and Chemicals
4.3. Experimental Work
4.4. Blood Samples and Tissue Preparation
4.5. The Histopathological Assessment
4.6. Quantitative Assessment of the Rats’ Noradrenaline and Troponin I
4.7. Determination of the Heart Tissue Concentrations of Oxidative Stress Markers: KEAP1, NFE2L2, NRF-2, GPX-4, and 8-OHdG in Rats
4.8. Immunohistochemistry (IHC)
4.9. Quantitative Evaluation of IHC Staining
4.10. Statistical Analysis
5. Conclusions
Author Contributions
Funding
Data Availability Statement
Acknowledgments
Conflicts of Interest
References
- Ng, R.; Better, N.; Green, M.D. Anticancer Agents and Cardiotoxicity. Semin. Oncol. 2006, 33, 2–14. [Google Scholar] [CrossRef]
- Tacar, O.; Sriamornsak, P.; Dass, C.R. Doxorubicin: An Update on Anticancer Molecular Action, Toxicity and Novel Drug Delivery Systems. J. Pharm. Pharmacol. 2013, 65, 157–170. [Google Scholar] [CrossRef]
- Liu, H.; Wang, H.; Xiang, D.; Guo, W. Pharmaceutical Measures to Prevent Doxorubicin-Induced Cardiotoxicity. Mini Rev. Med. Chem. 2017, 17, 44–50. [Google Scholar] [CrossRef]
- Takemura, G.; Fujiwara, H. Doxorubicin-Induced Cardiomyopathy from the Cardiotoxic Mechanisms to Management. Prog. Cardiovasc. Dis. 2007, 49, 330–352. [Google Scholar] [CrossRef] [PubMed]
- Jain, D. Cardiotoxicity of Doxorubicin and Other Anthracycline Derivatives. J. Nucl. Cardiol. 2000, 7, 53–62. [Google Scholar] [CrossRef] [PubMed]
- Li, S.; Wang, W.; Niu, T.; Wang, H.; Li, B.; Shao, L.; Lai, Y.; Li, H.; Janicki, J.S.; Wang, X.L.; et al. Nrf2 Deficiency Exaggerates Doxorubicin-Induced Cardiotoxicity and Cardiac Dysfunction. Oxid. Med. Cell. Longev. 2014, 2014, 748524. [Google Scholar] [CrossRef]
- Wang, S.; Kotamraju, S.; Konorev, E.; Kalivendi, S.; Joseph, J.; Kalyanaraman, B. Activation of Nuclear Factor-kappaB during Doxorubicin-Induced Apoptosis in Endothelial Cells and Myocytes Is pro-Apoptotic: The Role of Hydrogen Peroxide. Biochem. J. 2002, 367, 729–740. [Google Scholar] [CrossRef] [PubMed]
- Guo, R.-M.; Xu, W.-M.; Lin, J.-C.; Mo, L.-Q.; Hua, X.-X.; Chen, P.-X.; Wu, K.; Zheng, D.-D.; Feng, J.-Q. Activation of the P38 MAPK/NF-κB Pathway Contributes to Doxorubicin-Induced Inflammation and Cytotoxicity in H9c2 Cardiac Cells. Mol. Med. Rep. 2013, 8, 603–608. [Google Scholar] [CrossRef] [PubMed]
- Chen, C.; Jin, Y. Effects of oxymatrine on expression of nuclear factor kappa B in kidneys of rats with adriamycin-induced chronic renal fibrosis. J. South. Med. Univ. 2007, 27, 345–348. [Google Scholar]
- Chatterjee, K.; Zhang, J.; Honbo, N.; Karliner, J.S. Doxorubicin Cardiomyopathy. Cardiology 2010, 115, 155–162. [Google Scholar] [CrossRef] [PubMed]
- Murata, T.; Yamawaki, H.; Hori, M.; Sato, K.; Ozaki, H.; Karaki, H. Chronic Vascular Toxicity of Doxorubicin in an Organ-Cultured Artery. Br. J. Pharmacol. 2001, 132, 1365–1373. [Google Scholar] [CrossRef]
- Cheung, J.Y.; Wang, J.; Zhang, X.-Q.; Song, J.; Tomar, D.; Madesh, M.; Judenherc-Haouzi, A.; Haouzi, P. Methylene Blue Counteracts Cyanide Cardiotoxicity: Cellular Mechanisms. J. Appl. Physiol. 2018, 124, 1164–1176. [Google Scholar] [CrossRef]
- Judenherc-Haouzi, A.; Zhang, X.-Q.; Sonobe, T.; Song, J.; Rannals, M.D.; Wang, J.; Tubbs, N.; Cheung, J.Y.; Haouzi, P. Methylene Blue Counteracts H2S Toxicity-Induced Cardiac Depression by Restoring L-Type Ca Channel Activity. Am. J. Physiol. Regul. Integr. Comp. Physiol. 2016, 310, R1030–R1044. [Google Scholar] [CrossRef]
- Barbosa Evora, P.R.; Celotto, A.C.; Sumarelli Albuquerque, A.A.; Martinez Évora, P. Methylene Blue. In Vasoplegic Endothelial Dysfunction: Circulatory Shock and Methylene Blue; Barbosa Evora, P.R., Celotto, A.C., Sumarelli Albuquerque, A.A., Martinez Évora, P., Eds.; Springer International Publishing: Cham, Switzerland, 2021; pp. 55–62. ISBN 978-3-030-74096-2. [Google Scholar]
- Mehaffey, J.H.; Johnston, L.E.; Hawkins, R.B.; Charles, E.J.; Yarboro, L.; Kern, J.A.; Ailawadi, G.; Kron, I.L.; Ghanta, R.K. Methylene Blue for Vasoplegic Syndrome After Cardiac Operation: Early Administration Improves Survival. Ann. Thorac. Surg. 2017, 104, 36–41. [Google Scholar] [CrossRef] [PubMed]
- Xavier, M.S.; Vane, M.F.; Vieira, R.F.; Oliveira, C.C.; Maia, D.R.R.; de Castro, L.U.C.; Carmona, M.J.C.; Costa Auler, J.O.; Otsuki, D.A. Methylene Blue as an Adjuvant during Cardiopulmonary Resuscitation: An Experimental Study in Rats. Braz. J. Anesthesiol. 2024, 74, 744470. [Google Scholar] [CrossRef] [PubMed]
- Rajah, G.B.; Ding, Y. Experimental Neuroprotection in Ischemic Stroke: A Concise Review. Neurosurg. Focus 2017, 42, E2. [Google Scholar] [CrossRef] [PubMed]
- Hosseinian, L.; Weiner, M.; Levin, M.A.; Fischer, G.W. Methylene Blue: Magic Bullet for Vasoplegia? Anesth. Analg. 2016, 122, 194–201. [Google Scholar] [CrossRef] [PubMed]
- Nantais, J.; Dumbarton, T.C.; Farah, N.; Maxan, A.; Zhou, J.; Minor, S.; Lehmann, C. Impact of Methylene Blue in Addition to Norepinephrine on the Intestinal Microcirculation in Experimental Septic Shock. Clin. Hemorheol. Microcirc. 2014, 58, 97–105. [Google Scholar] [CrossRef]
- Werner, I.; Guo, F.; Bogert, N.V.; Stock, U.A.; Meybohm, P.; Moritz, A.; Beiras-Fernandez, A. Methylene Blue Modulates Transendothelial Migration of Peripheral Blood Cells. PLoS ONE 2013, 8, e82214. [Google Scholar] [CrossRef]
- Menardi, A.C.; Viaro, F.; Vicente, W.V.d.A.; Rodrigues, A.J.; Evora, P.R.B. Hemodynamic and Vascular Endothelium Function Studies in Healthy Pigs After Intravenous Bolus Infusion of Methylene Blue. Arq. Bras. Cardiol. 2006, 87, 525–532. [Google Scholar] [CrossRef]
- Siriwardena, D.K.; Tagori, H.; Thiemermann, C. Nitric Oxide Synthase Inhibitors. Methods Mol. Med. 2000, 36, 115–131. [Google Scholar] [CrossRef] [PubMed]
- Wen, Y.; Li, W.; Poteet, E.C.; Xie, L.; Tan, C.; Yan, L.-J.; Ju, X.; Liu, R.; Qian, H.; Marvin, M.A.; et al. Alternative Mitochondrial Electron Transfer as a Novel Strategy for Neuroprotection. J. Biol. Chem. 2011, 286, 16504–16515. [Google Scholar] [CrossRef]
- Rojas, J.C.; John, J.M.; Lee, J.; Gonzalez-Lima, F. Methylene Blue Provides Behavioral and Metabolic Neuroprotection Against Optic Neuropathy. Neurotox. Res. 2009, 15, 260–273. [Google Scholar] [CrossRef] [PubMed]
- Kwok, E.S.H.; Howes, D. Use of Methylene Blue in Sepsis: A Systematic Review. J. Intensive Care Med. 2006, 21, 359–363. [Google Scholar] [CrossRef]
- Zhu, L.; Lin, M. The Synthesis of Nano-Doxorubicin and Its Anticancer Effect. Anticancer. Agents Med. Chem. 2021, 21, 2466–2477. [Google Scholar] [CrossRef] [PubMed]
- Rawat, P.S.; Jaiswal, A.; Khurana, A.; Bhatti, J.S.; Navik, U. Doxorubicin-Induced Cardiotoxicity: An Update on the Molecular Mechanism and Novel Therapeutic Strategies for Effective Management. Biomed. Pharmacother. 2021, 139, 111708. [Google Scholar] [CrossRef]
- Linders, A.N.; Dias, I.B.; Ovchinnikova, E.S.; Vermeer, M.C.S.C.; Hoes, M.F.; Markousis Mavrogenis, G.; Deiman, F.E.; Arevalo Gomez, K.F.; Bliley, J.M.; Nehme, J.; et al. Evaluation of Senescence and Its Prevention in Doxorubicin-Induced Cardiotoxicity Using Dynamic Engineered Heart Tissues. JACC CardioOncol. 2023, 5, 298–315. [Google Scholar] [CrossRef] [PubMed]
- Robert Li, Y.; Traore, K.; Zhu, H. Novel Molecular Mechanisms of Doxorubicin Cardiotoxicity: Latest Leading-Edge Advances and Clinical Implications. Mol. Cell Biochem. 2024, 479, 1121–1132. [Google Scholar] [CrossRef] [PubMed]
- Sorodoc, V.; Sirbu, O.; Lionte, C.; Haliga, R.E.; Stoica, A.; Ceasovschih, A.; Petris, O.R.; Constantin, M.; Costache, I.I.; Petris, A.O.; et al. The Value of Troponin as a Biomarker of Chemotherapy-Induced Cardiotoxicity. Life 2022, 12, 1183. [Google Scholar] [CrossRef] [PubMed]
- Upadhyay, S.; Gupta, K.B.; Mantha, A.K.; Dhiman, M. A Short Review: Doxorubicin and Its Effect on Cardiac Proteins. J. Cell Biochem. 2021, 122, 153–165. [Google Scholar] [CrossRef] [PubMed]
- Shi, S.; Chen, Y.; Luo, Z.; Nie, G.; Dai, Y. Role of Oxidative Stress and Inflammation-Related Signaling Pathways in Doxorubicin-Induced Cardiomyopathy. Cell Commun. Signal. 2023, 21, 61. [Google Scholar] [CrossRef] [PubMed]
- Vitale, R.; Marzocco, S.; Popolo, A. Role of Oxidative Stress and Inflammation in Doxorubicin-Induced Cardiotoxicity: A Brief Account. Int. J. Mol. Sci. 2024, 25, 7477. [Google Scholar] [CrossRef]
- Avagimyan, A.; Pogosova, N.; Kakturskiy, L.; Sheibani, M.; Challa, A.; Kogan, E.; Fogacci, F.; Mikhaleva, L.; Vandysheva, R.; Yakubovskaya, M.; et al. Doxorubicin-Related Cardiotoxicity: Review of Fundamental Pathways of Cardiovascular System Injury. Cardiovasc. Pathol. 2024, 73, 107683. [Google Scholar] [CrossRef] [PubMed]
- Zhang, H.; Liu, Y.; Zhang, K.; Hong, Z.; Liu, Z.; Liu, Z.; Li, G.; Xu, Y.; Pi, J.; Fu, J.; et al. Understanding the Transcription Factor NFE2L1/NRF1 from the Perspective of Hallmarks of Cancer. Antioxidants 2024, 13, 758. [Google Scholar] [CrossRef]
- Zhang, M.; Wang, J.; Liu, R.; Wang, Q.; Qin, S.; Chen, Y.; Li, W. The Role of KEAP1-Nrf2 Signaling Pathway in the Treatment of Respiratory Diseases and the Research Progress on Targeted Drugs. Heliyon 2024, 10, e37326. [Google Scholar] [CrossRef] [PubMed]
- Shakya, A.; McKee, N.W.; Dodson, M.; Chapman, E.; Zhang, D.D. Anti-Ferroptotic Effects of Nrf2: Beyond the Antioxidant Response. Mol. Cells 2023, 46, 165–175. [Google Scholar] [CrossRef]
- Baiskhanova, D.; Schäfer, H. The Role of Nrf2 in the Regulation of Mitochondrial Function and Ferroptosis in Pancreatic Cancer. Antioxidants 2024, 13, 696. [Google Scholar] [CrossRef]
- Vergaro, G.; Aimo, A.; Campora, A.; Castiglione, V.; Prontera, C.; Masotti, S.; Musetti, V.; Chianca, M.; Valleggi, A.; Spini, V.; et al. Patients with Cardiac Amyloidosis Have a Greater Neurohormonal Activation than Those with Non-Amyloidotic Heart Failure. Amyloid 2021, 28, 252–258. [Google Scholar] [CrossRef]
- Minatoguchi, S. Heart Failure and Its Treatment from the Perspective of Sympathetic Nerve Activity. J. Cardiol. 2022, 79, 691–697. [Google Scholar] [CrossRef]
- Kumar, A.; Pappachan, J.M.; Fernandez, C.J. Catecholamine-Induced Cardiomyopathy: An Endocrinologist’s Perspective. Rev. Cardiovasc. Med. 2021, 22, 1215–1228. [Google Scholar] [CrossRef]
- Borovac, J.A.; D’Amario, D.; Bozic, J.; Glavas, D. Sympathetic Nervous System Activation and Heart Failure: Current State of Evidence and the Pathophysiology in the Light of Novel Biomarkers. World J. Cardiol. 2020, 12, 373–408. [Google Scholar] [CrossRef]
- Tanai, E.; Frantz, S. Pathophysiology of Heart Failure. Compr. Physiol. 2015, 6, 187–214. [Google Scholar] [CrossRef]
- Grassi, G.; Mancia, G.; Esler, M. Central and Peripheral Sympathetic Activation in Heart Failure. Cardiovasc. Res. 2022, 118, 1857–1871. [Google Scholar] [CrossRef]
- Drinković, N.; Beus, M.; Barbir, R.; Debeljak, Ž.; Tariba Lovaković, B.; Kalčec, N.; Ćurlin, M.; Bekavac, A.; Gorup, D.; Mamić, I.; et al. Novel PLGA-Based Nanoformulation Decreases Doxorubicin-Induced Cardiotoxicity. Nanoscale 2024, 16, 9412–9425. [Google Scholar] [CrossRef] [PubMed]
- Goje, I.-D.; Goje, G.-I.; Ordodi, V.L.; Ciobotaru, V.G.; Ivan, V.S.; Buzaș, R.; Tunea, O.; Bojin, F.; Lighezan, D.-F. Doxorubicin-Induced Cardiotoxicity and the Emerging Role of SGLT2 Inhibitors: From Glycemic Control to Cardio-Oncology. Pharmaceuticals 2025, 18, 681. [Google Scholar] [CrossRef] [PubMed]
- Kim, B.S.; Park, I.-H.; Lee, A.-H.; Kim, H.-J.; Lim, Y.-H.; Shin, J.-H. Sacubitril/Valsartan Reduces Endoplasmic Reticulum Stress in a Rat Model of Doxorubicin-Induced Cardiotoxicity. Arch. Toxicol. 2022, 96, 1065–1074. [Google Scholar] [CrossRef] [PubMed]
- Dalimunthe, A.; Satria, D.; Sitorus, P.; Harahap, U.; Angela, I.F.D.; Waruwu, S.B. Cardioprotective Effect of Hydroalcohol Extract of Andaliman (Zanthoxylum acanthopodium DC.) Fruits on Doxorubicin-Induced Rats. Pharmaceuticals 2024, 17, 359. [Google Scholar] [CrossRef]
- Khan, M.A.; Singh, D.; Arif, A.; Sodhi, K.K.; Singh, D.K.; Islam, S.N.; Ahmad, A.; Akhtar, K.; Siddique, H.R. Protective Effect of Green Synthesized Selenium Nanoparticles against Doxorubicin Induced Multiple Adverse Effects in Swiss Albino Mice. Life Sci. 2022, 305, 120792. [Google Scholar] [CrossRef]
- Abbas, S.F.; Abdulkadim, H.; Hadi, N.R. Assessing the Cardioprotective Effect of Necrosulfonamide in Doxorubicin-Induced Cardiotoxicity in Mice. J. Med. Life 2023, 16, 1468–1473. [Google Scholar] [CrossRef]
- Liao, D.; Shangguan, D.; Wu, Y.; Chen, Y.; Liu, N.; Tang, J.; Yao, D.; Shi, Y. Curcumin Protects Against Doxorubicin Induced Oxidative Stress by Regulating the KEAP1-Nrf2-ARE and Autophagy Signaling Pathways. Psychopharmacology 2023, 240, 1179–1190. [Google Scholar] [CrossRef]
- Kang, S.; Li, H.; Li, M.; Zhao, Y.; Pang, J.; Dan, J.; Sheng, M. Erianin Alleviates Doxorubicin-Induced Cardiotoxicity by Activating the KEAP1-Nrf2 Signaling Pathway. Phytomedicine 2025, 141, 156684. [Google Scholar] [CrossRef]
- Shan, W.; Liu, G.; Deng, C.; Wei, Y.; Ding, K. Chlorogenic Acid Mitigates Ferroptosis by Activating the Nrf2/GPX4 Pathway through KEAP1 Blockade in Vascular Dementia Rats. J. Food Biochem. 2024, 2024, 7848982. [Google Scholar] [CrossRef]
- Kalyanaraman, B.; Joseph, J.; Kalivendi, S.; Wang, S.; Konorev, E.; Kotamraju, S. Doxorubicin-Induced Apoptosis: Implications in Cardiotoxicity. Mol. Cell Biochem. 2002, 234–235, 119–124. [Google Scholar] [CrossRef] [PubMed]
- Wu, S.; Lan, J.; Li, L.; Wang, X.; Tong, M.; Fu, L.; Zhang, Y.; Xu, J.; Chen, X.; Chen, H.; et al. Sirt6 Protects Cardiomyocytes against Doxorubicin-Induced Cardiotoxicity by Inhibiting P53/Fas-Dependent Cell Death and Augmenting Endogenous Antioxidant Defense Mechanisms. Cell Biol. Toxicol. 2023, 39, 237–258. [Google Scholar] [CrossRef] [PubMed]
- Khames, A.; Gad, A.M.; Abd El-raouf, O.M.; Kandeil, M.A.; Khalaf, M.M. Sodium Thiosulphate Shows Promising Anti-Inflammatory Role against Doxorubicin-Induced Renal Injury Depending on Tlr4 Pathway Inhibition. Plant Arch. 2020, 20, 2948–2958. [Google Scholar]
- Levin, R.L.; Degrange, M.A.; Bruno, G.F.; Del Mazo, C.D.; Taborda, D.J.; Griotti, J.J.; Boullon, F.J. Methylene Blue Reduces Mortality and Morbidity in Vasoplegic Patients after Cardiac Surgery. Ann. Thorac. Surg. 2004, 77, 496–499. [Google Scholar] [CrossRef]
- Johannsen, C.M.; Nørholt, C.; Baltsen, C.; Eggertsen, M.A.; Magnussen, A.; Vormfenne, L.; Mortensen, S.Ø.; Hansen, E.S.S.; Vammen, L.; Andersen, L.W.; et al. The Effects of Methylene Blue during and after Cardiac Arrest in a Porcine Model; a Randomized, Blinded, Placebo-Controlled Study. Am. J. Emerg. Med. 2023, 73, 145–153. [Google Scholar] [CrossRef]
- Samoylova, N.A.; Gureev, A.P.; Popov, V.N. Methylene Blue Induces Antioxidant Defense and Reparation of Mitochondrial DNA in a Nrf2-Dependent Manner during Cisplatin-Induced Renal Toxicity. Int. J. Mol. Sci. 2023, 24, 6118. [Google Scholar] [CrossRef] [PubMed]
- Li, J.-W.; Wang, R.-L.; Xu, J.; Sun, K.-Y.; Jiang, H.-M.; Sun, Z.-Y.; Lv, Z.-Y.; Xu, X.-Q.; Wu, R.; Guo, H.; et al. Methylene Blue Prevents Osteoarthritis Progression and Relieves Pain in Rats via Upregulation of Nrf2/PRDX1. Acta Pharmacol. Sin. 2022, 43, 417–428. [Google Scholar] [CrossRef]
- Poteet, E.; Winters, A.; Yan, L.-J.; Shufelt, K.; Green, K.N.; Simpkins, J.W.; Wen, Y.; Yang, S.-H. Neuroprotective Actions of Methylene Blue and Its Derivatives. PLoS ONE 2012, 7, e48279. [Google Scholar] [CrossRef]
- Krutskikh, E.P.; Potanina, D.V.; Samoylova, N.A.; Gryaznova, M.V.; Sadovnikova, I.S.; Gureev, A.P.; Popov, V.N. Brain Protection by Methylene Blue and Its Derivative, Azur B, via Activation of the Nrf2/ARE Pathway in Cisplatin-Induced Cognitive Impairment. Pharmaceuticals 2022, 15, 815. [Google Scholar] [CrossRef]
- Jiang, Z.; Watts, L.T.; Huang, S.; Shen, Q.; Rodriguez, P.; Chen, C.; Zhou, C.; Duong, T.Q. The Effects of Methylene Blue on Autophagy and Apoptosis in MRI-Defined Normal Tissue, Ischemic Penumbra and Ischemic Core. PLoS ONE 2015, 10, e0131929. [Google Scholar] [CrossRef]
- Atamna, H.; Kumar, R. Protective Role of Methylene Blue in Alzheimer’s Disease via Mitochondria and Cytochrome c Oxidase. J. Alzheimers Dis. 2010, 20 (Suppl. 2), S439–S452. [Google Scholar] [CrossRef] [PubMed]
- Chen, J.-L.; Dai, L.; Zhang, P.; Chen, W.; Cai, G.-S.; Qi, X.-W.; Hu, M.-Z.; Du, B.; Pang, Q.-F. Methylene Blue Attenuates Acute Liver Injury Induced by Paraquat in Rats. Int. Immunopharmacol. 2015, 28, 808–812. [Google Scholar] [CrossRef] [PubMed]
- Wainwright, M.; Crossley, K.B. Methylene Blue—A Therapeutic Dye for All Seasons? J. Chemother. 2002, 14, 431–443. [Google Scholar] [CrossRef] [PubMed]
- Mantawy, E.M.; El-Bakly, W.M.; Esmat, A.; Badr, A.M.; El-Demerdash, E. Chrysin Alleviates Acute Doxorubicin Cardiotoxicity in Rats via Suppression of Oxidative Stress, Inflammation and Apoptosis. Eur. J. Pharmacol. 2014, 728, 107–118. [Google Scholar] [CrossRef]
- Gholami Jourabi, F.; Yari, S.; Amiri, P.; Heidarianpour, A.; Hashemi, H. The Ameliorative Effects of Methylene Blue on Testicular Damage Induced by Cisplatin in Rats. Andrologia 2021, 53, e13850. [Google Scholar] [CrossRef]
- Alrashdi, B.M.; Askar, H.; Germoush, M.O.; Fouda, M.; Massoud, D.; Alzwain, S.; Abdelsater, N.; Salim, L.M.S.; Gadelmawla, M.H.A.; Ashry, M. Cardioprotective, Anti-Inflammatory, and Antioxidative Outcome of Costus against Bleomycin-Induced Cardiotoxicity in Rat Model. J. Genet. Eng. Biotechnol. 2025, 23, 100466. [Google Scholar] [CrossRef] [PubMed]
- Arab, H.H.; Alsufyani, S.E.; Ashour, A.M.; Gad, A.M.; Elhemiely, A.A.; Gadelmawla, M.H.A.; Mahmoud, M.A.; Khames, A. Targeting JAK2/STAT3, NLRP3/Caspase-1, and PK2/PKR2 Pathways with Arbutin Ameliorates Lead Acetate-Induced Testicular Injury in Rats. Pharmaceuticals 2024, 17, 909. [Google Scholar] [CrossRef]
- Abdel-Wahhab, K.G.; Ashry, M.; Hassan, L.K.; Gadelmawla, M.H.A.; Elqattan, G.M.; El-Fakharany, E.M.; Mannaaa, F.A. Nano-Chitosan/Bovine Lactoperoxidase and Lactoferrin Formulation Modulates the Hepatic Deterioration Induced by 7,12-Dimethylbenz[a]Anthracene. Comp. Clin. Pathol. 2023, 32, 981–991. [Google Scholar] [CrossRef]





Disclaimer/Publisher’s Note: The statements, opinions and data contained in all publications are solely those of the individual author(s) and contributor(s) and not of MDPI and/or the editor(s). MDPI and/or the editor(s) disclaim responsibility for any injury to people or property resulting from any ideas, methods, instructions or products referred to in the content. |
© 2025 by the authors. Licensee MDPI, Basel, Switzerland. This article is an open access article distributed under the terms and conditions of the Creative Commons Attribution (CC BY) license (https://creativecommons.org/licenses/by/4.0/).
Share and Cite
Ibrahim, S.G.; Abu-Dief, A.M.; Gad, A.M.; Gad, E.S.; Alzahrani, A.Y.A.; Alraih, A.M.; Barnawi, I.O.; Mansour, M.; Gadelmawla, M.H.A.; Khames, A. Methylene Blue Mitigates Doxorubicin-Induced Cardiotoxicity via KEAP1/NRF2/GPX-4/Caspase3 Modulation. Int. J. Mol. Sci. 2025, 26, 7680. https://doi.org/10.3390/ijms26167680
Ibrahim SG, Abu-Dief AM, Gad AM, Gad ES, Alzahrani AYA, Alraih AM, Barnawi IO, Mansour M, Gadelmawla MHA, Khames A. Methylene Blue Mitigates Doxorubicin-Induced Cardiotoxicity via KEAP1/NRF2/GPX-4/Caspase3 Modulation. International Journal of Molecular Sciences. 2025; 26(16):7680. https://doi.org/10.3390/ijms26167680
Chicago/Turabian StyleIbrahim, Shaimaa G., Ahmed M. Abu-Dief, Amany M. Gad, Enas S. Gad, Abdullah Yahya Abdullah Alzahrani, Alhafez M. Alraih, Ibrahim Omar Barnawi, Mona Mansour, Mohamed H. A. Gadelmawla, and Ali Khames. 2025. "Methylene Blue Mitigates Doxorubicin-Induced Cardiotoxicity via KEAP1/NRF2/GPX-4/Caspase3 Modulation" International Journal of Molecular Sciences 26, no. 16: 7680. https://doi.org/10.3390/ijms26167680
APA StyleIbrahim, S. G., Abu-Dief, A. M., Gad, A. M., Gad, E. S., Alzahrani, A. Y. A., Alraih, A. M., Barnawi, I. O., Mansour, M., Gadelmawla, M. H. A., & Khames, A. (2025). Methylene Blue Mitigates Doxorubicin-Induced Cardiotoxicity via KEAP1/NRF2/GPX-4/Caspase3 Modulation. International Journal of Molecular Sciences, 26(16), 7680. https://doi.org/10.3390/ijms26167680

