Alpinetin Exhibits Antioxidant and Anti-Inflammatory Effects in C57BL/6 Mice with Alcoholic Liver Disease Induced by the Lieber–DeCarli Ethanol Liquid Diet
Abstract
1. Introduction
2. Results
2.1. The Effects of Alpinetin on Body Weight, Liver Weight, and Liver Index
2.2. The Effects of Alpinetin on Serum ALT, AST, γ-G, and ALP Activity
2.3. The Effects of Alpinetin on Oxidative/Nitrosative Parameters
2.4. The Effects of Alpinetin on Antioxidative Parameters
2.5. The Effects of Alpinetin on Cytokines (IFN-γ and IL-4) and MPO Activity
2.6. The Effects of Alpinetin on Endoplasmic Reticulum (ER) Stress Parameters
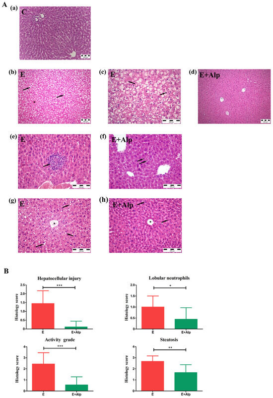
2.7. The Effects of Alpinetin on Liver Morphology
3. Discussion
4. Materials and Methods
4.1. Diet and Chemicals
4.2. Experimental Animals and Design
4.3. Preparation of the Blood and Tissue Samples
4.4. Determination of Serum Activity of ALT, AST, γ-GT, and ALP
4.5. Determination of Oxidative/Nitrosative Stress Parameters and Antioxidative Markers in the Liver Tissue
4.6. Determination of Cytokines in the Liver Tissue
4.7. Examination of ER Stress Parameters in the Liver
4.8. Histopathology of the Liver
4.9. Statistical Analysis
5. Conclusions
Supplementary Materials
Author Contributions
Funding
Institutional Review Board Statement
Data Availability Statement
Conflicts of Interest
References
- Narro, G.E.C.; Díaz, L.A.; Ortega, E.K.; Garín, M.F.B.; Reyes, E.C.; Delfin, P.S.M.; Arab, J.P.; Bataller, R. Alcohol-Related Liver Disease: A Global Perspective. Ann. Hepatol. 2024, 29, 101499. [Google Scholar] [CrossRef] [PubMed]
- Hernández-Évole, H.; Jiménez-Esquivel, N.; Pose, E.; Bataller, R. Alcohol-Associated Liver Disease: Epidemiology and Management. Ann. Hepatol. 2024, 29, 101162. [Google Scholar] [CrossRef] [PubMed]
- Huang, D.Q.; Mathurin, P.; Cortez-Pinto, H.; Loomba, R. Global Epidemiology of Alcohol-Associated Cirrhosis and HCC: Trends, Projections and Risk Factors. Nat. Rev. Gastroenterol. Hepatol. 2023, 20, 37–49. [Google Scholar] [CrossRef] [PubMed]
- Seitz, H.K.; Bataller, R.; Cortez-Pinto, H.; Gao, B.; Gual, A.; Lackner, C.; Mathurin, P.; Mueller, S.; Szabo, G.; Tsukamoto, H. Alcoholic Liver Disease. Nat. Rev. Dis. Primers 2018, 4, 16. [Google Scholar] [CrossRef]
- Mackowiak, B.; Fu, Y.; Maccioni, L.; Gao, B. Alcohol-Associated Liver Disease. J. Clin. Investig. 2024, 134, e176345. [Google Scholar] [CrossRef]
- Yan, C.; Hu, W.; Tu, J.; Li, J.; Liang, Q.; Han, S. Pathogenic Mechanisms and Regulatory Factors Involved in Alcoholic Liver Disease. J. Transl. Med. 2023, 21, 300. [Google Scholar] [CrossRef]
- Contreras-Zentella, M.L.; Villalobos-García, D.; Hernández-Muñoz, R. Ethanol Metabolism in the Liver, the Induction of Oxidant Stress, and the Antioxidant Defense System. Antioxidants 2022, 11, 1258. [Google Scholar] [CrossRef]
- Na, M.; Yang, X.; Deng, Y.; Yin, Z.; Li, M. Endoplasmic Reticulum Stress in the Pathogenesis of Alcoholic Liver Disease. PeerJ 2023, 11, e16398. [Google Scholar] [CrossRef]
- Duwaerts, C.C.; Maiers, J.L. ER Disposal Pathways in Chronic Liver Disease: Protective, Pathogenic, and Potential Therapeutic Targets. Front. Mol. Biosci. 2022, 8, 804097. [Google Scholar] [CrossRef]
- Jackson, K.G.; Way, G.W.; Zeng, J.; Lipp, M.K.; Zhou, H. The Dynamic Role of Endoplasmic Reticulum Stress in Chronic Liver Disease. Am. J. Pathol. 2023, 193, 1389–1399. [Google Scholar] [CrossRef]
- Osna, N.A.; Donohue, T.M.; Kharbanda, K.K. Alcoholic Liver Disease: Pathogenesis and Current Management. Alcohol Res. 2017, 38, 147–161. [Google Scholar] [PubMed]
- Tsukamoto, H.; French, S.W.; Benson, N.; Delgado, G.; Rao, G.A.; Larkin, E.C.; Largman, C. Severe and Progressive Steatosis and Focal Necrosis in Rat Liver Induced by Continuous Intragastric Infusion of Ethanol and Low Fat Diet. Hepatology 1985, 5, 224–232. [Google Scholar] [CrossRef] [PubMed]
- Cohen, J.I.; Roychowdhury, S.; McMullen, M.R.; Stavitsky, A.B.; Nagy, L.E. Complement and Alcoholic Liver Disease: Role of C1q in the Pathogenesis of Ethanol-Induced Liver Injury in Mice. Gastroenterology 2010, 139, 664–674. [Google Scholar] [CrossRef]
- Zhou, Z.; Wang, L.; Song, Z.; Lambert, J.C.; McClain, C.J.; Kang, Y.J. A Critical Involvement of Oxidative Stress in Acute Alcohol-Induced Hepatic TNF-α Production. Am. J. Pathol. 2003, 163, 1137–1146. [Google Scholar] [CrossRef]
- Meadows, G.G.; Blank, S.E.; Duncan, D.D. Influence of Ethanol Consumption on Natural Killer Cell Activity in Mice. Alcohol. Clin. Exp. Res. 1989, 13, 476–479. [Google Scholar] [CrossRef]
- Bertola, A.; Mathews, S.; Ki, S.H.; Wang, H.; Gao, B. Mouse Model of Chronic and Binge Ethanol Feeding (the NIAAA Model). Nat. Protoc. 2013, 8, 627–637. [Google Scholar] [CrossRef]
- Ghosh Dastidar, S.; Warner, J.; Warner, D.; McClain, C.; Kirpich, I. Rodent Models of Alcoholic Liver Disease: Role of Binge Ethanol Administration. Biomolecules 2018, 8, 3. [Google Scholar] [CrossRef] [PubMed]
- Zhu, L.; Li, H.-D.; Xu, J.-J.; Li, J.-J.; Cheng, M.; Meng, X.-M.; Huang, C.; Li, J. Advancements in the Alcohol-Associated Liver Disease Model. Biomolecules 2022, 12, 1035. [Google Scholar] [CrossRef]
- Zhao, G.; Tong, Y.; Luan, F.; Zhu, W.; Zhan, C.; Qin, T.; An, W.; Zeng, N. Alpinetin: A Review of Its Pharmacology and Pharmacokinetics. Front. Pharmacol. 2022, 13, 814370. [Google Scholar] [CrossRef]
- Shareef, S.H.; Juma, A.S.M.; Agha, D.N.F.; Alzahrani, A.R.; Ibrahim, I.A.A.; Abdulla, M.A. Hepatoprotective Effect of Alpinetin on Thioacetamide-Induced Liver Fibrosis in Sprague Dawley Rat. Appl. Sci. 2023, 13, 5243. [Google Scholar] [CrossRef]
- Zhou, Y.; Ding, Y.-L.; Zhang, J.-L.; Zhang, P.; Wang, J.-Q.; Li, Z.-H. Alpinetin Improved High Fat Diet-Induced Non-Alcoholic Fatty Liver Disease (NAFLD) through Improving Oxidative Stress, Inflammatory Response and Lipid Metabolism. Biomed. Pharmacother. 2018, 97, 1397–1408. [Google Scholar] [CrossRef] [PubMed]
- Gravina, A.G.; Romeo, M.; Pellegrino, R.; Tuccillo, C.; Federico, A.; Loguercio, C. Just Drink a Glass of Water? Effects of Bicarbonate-Sulfate-Calcium-Magnesium Water on the Gut-Liver Axis. Front. Pharmacol. 2022, 28, 869446. [Google Scholar]
- Song, H.; Wei, C.; Yang, W.; Niu, Z.; Gong, M.; Hu, H.; Wang, H. Alpinetin Suppresses CYP3A4, 2C9, and 2E1 Activity in Vitro. Pharm. Biol. 2022, 60, 1032–1037. [Google Scholar] [CrossRef] [PubMed]
- Pan, J.; Chen, S.; Guo, W.; Cao, S.; Shi, X.; Zhang, J.; Zhang, H.; Zhang, S. Alpinetin Protects against Hepatic Ischemia/Reperfusion Injury in Mice by Inhibiting the NF-κB/MAPK Signaling Pathways. Int. Immunopharmacol. 2021, 95, 107527. [Google Scholar] [CrossRef]
- Sakhuja, P. Pathology of Alcoholic Liver Disease, Can It Be Differentiated from Nonalcoholic Steatohepatitis? World J. Gastroenterol. 2014, 20, 16474. [Google Scholar] [CrossRef] [PubMed]
- Louvet, A.; Mathurin, P. Alcoholic Liver Disease: Mechanisms of Injury and Targeted Treatment. Nat. Rev. Gastroenterol. Hepatol. 2015, 12, 231–242. [Google Scholar] [CrossRef]
- Prince, D.S.; Nash, E.; Liu, K. Alcohol-Associated Liver Disease: Evolving Concepts and Treatments. Drugs 2023, 83, 1459–1474. [Google Scholar] [CrossRef]
- Cerović, I.; Mladenović, D.; Ješić, R.; Naumović, T.; Branković, M.; Vučević, D.; Aleksić, V.; Radosavljević, T. Alcoholic Liver Disease/Nonalcoholic Fatty Liver Disease Index: Distinguishing Alcoholic from Nonalcoholic Fatty Liver Disease. Eur. J. Gastroenterol. Hepatol. 2013, 25, 899–904. [Google Scholar] [CrossRef]
- Subramaniyan, V.; Chakravarthi, S.; Jegasothy, R.; Seng, W.Y.; Fuloria, N.K.; Fuloria, S.; Hazarika, I.; Das, A. Alcohol-Associated Liver Disease: A Review on Its Pathophysiology, Diagnosis and Drug Therapy. Toxicol. Rep. 2021, 8, 376–385. [Google Scholar] [CrossRef]
- Takeuchi, M.; Suzuki, H.; Sakai-Sakasai, A. Major Generation Route of Cytotoxic Protein Adducts Derived from Acetaldehyde, a Metabolite of Alcohol. Med. Hypotheses 2024, 189, 111385. [Google Scholar] [CrossRef]
- Feng, D.; Hwang, S.; Guillot, A.; Wang, Y.; Guan, Y.; Chen, C.; Maccioni, L.; Gao, B. Inflammation in Alcohol-Associated Hepatitis: Pathogenesis and Therapeutic Targets. Cell. Mol. Gastroenterol. Hepatol. 2024, 18, 101352. [Google Scholar] [CrossRef] [PubMed]
- Zhou, Z.; Zhong, W. Targeting the Gut Barrier for the Treatment of Alcoholic Liver Disease. Liver Res. 2017, 1, 197–207. [Google Scholar] [CrossRef]
- Tharmalingam, J.; Gangadaran, P.; Rajendran, R.L.; Ahn, B.-C. Impact of Alcohol on Inflammation, Immunity, Infections, and Extracellular Vesicles in Pathogenesis. Cureus 2024, 16, e56923. [Google Scholar] [CrossRef] [PubMed]
- Tan, Y.; Zheng, C. Effects of Alpinetin on Intestinal Barrier Function, Inflammation and Oxidative Stress in Dextran Sulfate Sodium-Induced Ulcerative Colitis Mice. Am. J. Med. Sci. 2018, 355, 377–386. [Google Scholar] [CrossRef]
- Miao, Y.; Lv, Q.; Qiao, S.; Yang, L.; Tao, Y.; Yan, W.; Wang, P.; Cao, N.; Dai, Y.; Wei, Z. Alpinetin Improves Intestinal Barrier Homeostasis via Regulating AhR/Suv39h1/TSC2/mTORC1/Autophagy Pathway. Toxicol. Appl. Pharmacol. 2019, 384, 114772. [Google Scholar] [CrossRef]
- Thakur, S.; Kumar, V.; Das, R.; Sharma, V.; Mehta, D.K. Biomarkers of Hepatic Toxicity: An Overview. Curr. Ther. Res. Clin. Exp. 2024, 100, 100737. [Google Scholar] [CrossRef] [PubMed]
- Petagine, L.; Zariwala, M.G.; Patel, V.B. Alcoholic Liver Disease: Current Insights into Cellular Mechanisms. World J. Biol. Chem. 2021, 12, 87–103. [Google Scholar] [CrossRef]
- Torruellas, C. Diagnosis of Alcoholic Liver Disease. World J. Gastroenterol. 2014, 20, 11684. [Google Scholar] [CrossRef]
- Ndeh, F.J.; Ojong, E.W.; Akpan, U.O.; Ekeagba, I.I.; Smella, M.N. Association between Pyridoxal-5’-Phosphate Levels, Liver Homogenates and Serum Activities of Aminotransferases and DE Ritis Ratio amongst Alcoholic Hepatitis Patients. Asian J. Res. Rep. Hepatol. 2021, 6, 1–10. [Google Scholar]
- Liu, T.-G.; Sha, K.-H.; Zhang, L.-G.; Liu, X.-X.; Yang, F.; Cheng, J.-Y. Protective Effects of Alpinetin on Lipopolysaccharide/d-Galactosamine-Induced Liver Injury through Inhibiting Inflammatory and Oxidative Responses. Microb. Pathog. 2019, 126, 239–244. [Google Scholar] [CrossRef]
- Michalak, A.; Lach, T.; Cichoż-Lach, H. Oxidative Stress - A Key Player in the Course of Alcohol-Related Liver Disease. J. Clin. Med. 2021, 10, 3011. [Google Scholar] [CrossRef] [PubMed]
- Cichoż-Lach, H. Oxidative Stress as a Crucial Factor in Liver Diseases. World J. Gastroenterol. 2014, 20, 8082. [Google Scholar] [CrossRef]
- Ali, H.; Assiri, M.A.; Shearn, C.T.; Fritz, K.S. Lipid Peroxidation Derived Reactive Aldehydes in Alcoholic Liver Disease. Curr. Opin. Toxicol. 2019, 13, 110–117. [Google Scholar] [CrossRef]
- Simon, L.; Molina, P.E. Cellular Bioenergetics: Experimental Evidence for Alcohol-Induced Adaptations. Function 2022, 3, zqac039. [Google Scholar] [CrossRef] [PubMed]
- Sivapiriya, V.; Jayanthisakthisekaran; Venkatraman, S. Effects of Dimethoate (O,O-Dimethyl S-Methyl Carbamoyl Methyl Phosphorodithioate) and Ethanol in Antioxidant Status of Liver and Kidney of Experimental Mice. Pestic. Biochem. Physiol. 2006, 85, 115–121. [Google Scholar] [CrossRef]
- Das, S.K.; Balakrishnan, V.; Mukherjee, S.; Vasudevan, D.M. Evaluation of Blood Oxidative Stress-related Parameters in Alcoholic Liver Disease and Non-alcoholic Fatty Liver Disease. Scand. J. Clin. Lab. Investig. 2008, 68, 323–334. [Google Scholar] [CrossRef]
- Rabelo, A.C.S.; Andrade, A.K.d.L.; Costa, D.C. The Role of Oxidative Stress in Alcoholic Fatty Liver Disease: A Systematic Review and Meta-Analysis of Preclinical Studies. Nutrients 2024, 16, 1174. [Google Scholar] [CrossRef]
- Galicia-Moreno, M.; Lucano-Landeros, S.; Monroy-Ramirez, H.C.; Silva-Gomez, J.; Gutierrez-Cuevas, J.; Santos, A.; Armendariz-Borunda, J. Roles of Nrf2 in Liver Diseases: Molecular, Pharmacological, and Epigenetic Aspects. Antioxidants 2020, 9, 980. [Google Scholar] [CrossRef]
- Dong, D.; Zhang, Y.; He, H.; Zhu, Y.; Ou, H. Alpinetin Inhibits Macrophage Infiltration and Atherosclerosis by Improving the Thiol Redox State: Requirement of GSk3β/Fyn-dependent Nrf2 Activation. FASEB J. 2022, 36, e22261. [Google Scholar] [CrossRef]
- Salete-Granado, D.; Carbonell, C.; Puertas-Miranda, D.; Vega-Rodríguez, V.-J.; García-Macia, M.; Herrero, A.B.; Marcos, M. Autophagy, Oxidative Stress, and Alcoholic Liver Disease: A Systematic Review and Potential Clinical Applications. Antioxidants 2023, 12, 1425. [Google Scholar] [CrossRef]
- Heidari, R.; Niknahad, H.; Sadeghi, A.; Mohammadi, H.; Ghanbarinejad, V.; Ommati, M.M.; Hosseini, A.; Azarpira, N.; Khodaei, F.; Farshad, O.; et al. Betaine Treatment Protects Liver through Regulating Mitochondrial Function and Counteracting Oxidative Stress in Acute and Chronic Animal Models of Hepatic Injury. Biomed. Pharmacother. 2018, 103, 75–86. [Google Scholar] [CrossRef] [PubMed]
- Vukićević, D.; Rovčanin, B.; Gopčević, K.; Stanković, S.; Vučević, D.; Jorgačević, B.; Mladenović, D.; Vesković, M.; Samardžić, J.; Ješić, R.; et al. The Role of MIF in Hepatic Function, Oxidative Stress, and Inflammation in Thioacetamide-Induced Liver Injury in Mice: Protective Effects of Betaine. Curr. Med. Chem. 2021, 28, 3249–3268. [Google Scholar] [CrossRef]
- Farzaei, M.H.; Zobeiri, M.; Parvizi, F.; El-Senduny, F.F.; Marmouzi, I.; Coy-Barrera, E.; Naseri, R.; Nabavi, S.M.; Rahimi, R.; Abdollahi, M. Curcumin in Liver Diseases: A Systematic Review of the Cellular Mechanisms of Oxidative Stress and Clinical Perspective. Nutrients 2018, 10, 855. [Google Scholar] [CrossRef] [PubMed]
- Longobardi, C.; Damiano, S.; Andretta, E.; Prisco, F.; Russo, V.; Pagnini, F.; Florio, S.; Ciarcia, R. Curcumin Modulates Nitrosative Stress, Inflammation, and DNA Damage and Protects against Ochratoxin A-Induced Hepatotoxicity and Nephrotoxicity in Rats. Antioxidants 2021, 10, 1239. [Google Scholar] [CrossRef]
- Zhang, Z.; Zhang, L.; Zhou, L.; Lei, Y.; Zhang, Y.; Huang, C. Redox Signaling and Unfolded Protein Response Coordinate Cell Fate Decisions under ER Stress. Redox Biol. 2019, 25, 101047. [Google Scholar] [CrossRef] [PubMed]
- Chen, X.; Shi, C.; He, M.; Xiong, S.; Xia, X. Endoplasmic Reticulum Stress: Molecular Mechanism and Therapeutic Targets. Signal Transduct. Target. Ther. 2023, 8, 1–40. [Google Scholar] [CrossRef] [PubMed]
- Ji, C.; Kaplowitz, N. Betaine Decreases Hyperhomocysteinemia, Endoplasmic Reticulum Stress, and Liver Injury in Alcohol-Fed Mice. Gastroenterology 2003, 124, 1488–1499. [Google Scholar] [CrossRef] [PubMed]
- Malhi, H.; Kaufman, R.J. Endoplasmic Reticulum Stress in Liver Disease. J. Hepatol. 2011, 54, 795–809. [Google Scholar] [CrossRef]
- Shakeri, A.; Zirak, M.R.; Wallace Hayes, A.; Reiter, R.; Karimi, G. Curcumin and Its Analogues Protect from Endoplasmic Reticulum Stress: Mechanisms and Pathways. Pharmacol. Res. 2019, 146, 104335. [Google Scholar] [CrossRef]
- Zhao, Y.; Jiang, Y.; Chen, L.; Zheng, X.; Zhu, J.; Song, X.; Shi, J.; Li, Y.; He, W. Inhibition of the Endoplasmic Reticulum (ER) Stress-Associated IRE-1/XBP-1 Pathway Alleviates Acute Lung Injury via Modulation of Macrophage Activation. J. Thorac. Dis. 2020, 12, 284–295. [Google Scholar] [CrossRef]
- Li, J.; Chen, Q.; Yi, J.; Lan, X.; Lu, K.; Du, X.; Guo, Z.; Guo, Y.; Geng, M.; Li, D.; et al. IFN-γ Contributes to the Hepatic Inflammation in HFD-Induced Nonalcoholic Steatohepatitis by STAT1β/TLR2 Signaling Pathway. Mol. Immunol. 2021, 134, 118–128. [Google Scholar] [CrossRef] [PubMed]
- Aoudjehane, L.; Pissaia, A., Jr.; Scatton, O.; Podevin, P.; Massault, P.-P.; Chouzenoux, S.; Soubrane, O.; Calmus, Y.; Conti, F. Interleukin-4 Induces the Activation and Collagen Production of Cultured Human Intrahepatic Fibroblasts via the STAT-6 Pathway. Lab. Investig. 2008, 88, 973–985. [Google Scholar] [CrossRef] [PubMed]
- Rizo-Téllez, S.A.; Sekheri, M.; Filep, J.G. Myeloperoxidase: Regulation of Neutrophil Function and Target for Therapy. Antioxidants 2022, 11, 2302. [Google Scholar] [CrossRef] [PubMed]
- Zhang, T.; Guo, S.; Zhu, X.; Qiu, J.; Deng, G.; Qiu, C. Alpinetin Inhibits Breast Cancer Growth by ROS/NF-κB/HIF-1α Axis. J. Cell. Mol. Med. 2020, 24, 8430–8440. [Google Scholar] [CrossRef]
- Hu, K.; Yang, Y.; Tu, Q.; Luo, Y.; Ma, R. Alpinetin Inhibits LPS-Induced Inflammatory Mediator Response by Activating PPAR-γ in THP-1-Derived Macrophages. Eur. J. Pharmacol. 2013, 721, 96–102. [Google Scholar] [CrossRef]
- Xiao, S.; Zhang, Y.; Liu, Z.; Li, A.; Tong, W.; Xiong, X.; Nie, J.; Zhong, N.; Zhu, G.; Liu, J.; et al. Alpinetin Inhibits Neuroinflammation and Neuronal Apoptosis via Targeting the JAK2/STAT3 Signaling Pathway in Spinal Cord Injury. CNS Neurosci. Ther. 2023, 29, 1094–1108. [Google Scholar] [CrossRef]
- Hu, K.; Ma, R.; Huang, M.; Cao, X.; Ding, Y.; Li, Y.; Chen, Y.; Xiao, L.; Ling, S.; Huang, Y.; et al. Mecp2 Promotes the Anti-inflammatory Effect of Alpinetin via Epigenetic Modification Crosstalk. J. Cell. Mol. Med. 2024, 28, e18510. [Google Scholar] [CrossRef] [PubMed]
- Uchiyama, M.; Mihara, M. Determination of Malonaldehyde Precursor in Tissues by Thiobarbituric Acid Test. Anal. Biochem. 1978, 86, 271–278. [Google Scholar] [CrossRef]
- Selmeci, L.; Seres, L.; Antal, M.; Lukács, J.; Regöly-Mérei, A.; Acsády, G. Advanced Oxidation Protein Products (AOPP) for Monitoring Oxidative Stress in Critically Ill Patients: A Simple, Fast and Inexpensive Automated Technique. Clin. Chem. Lab. Med. 2005, 43, 294–297. [Google Scholar] [CrossRef]
- Green, L.C.; Wagner, D.A.; Glogowski, J.; Skipper, P.L.; Wishnok, J.S.; Tannenbaum, S.R. Analysis of Nitrate, Nitrite, and [15N]Nitrate in Biological Fluids. Anal. Biochem. 1982, 126, 131–138. [Google Scholar] [CrossRef]
- Pick, E.; Keisari, Y. A Simple Colorimetric Method for the Measurement of Hydrogen Peroxide Produced by Cells in Culture. J. Immunol. Methods 1980, 38, 161–170. [Google Scholar] [CrossRef] [PubMed]
- Alamdari, D.H.; Paletas, K.; Pegiou, T.; Sarigianni, M.; Befani, C.; Koliakos, G. A Novel Assay for the Evaluation of the Prooxidant–Antioxidant Balance, before and after Antioxidant Vitamin Administration in Type II Diabetes Patients. Clin. Biochem. 2007, 40, 248–254. [Google Scholar] [CrossRef] [PubMed]
- Kothari, N.; Keshari, R.S.; Bogra, J.; Kohli, M.; Abbas, H.; Malik, A.; Dikshit, M.; Barthwal, M.K. Increased Myeloperoxidase Enzyme Activity in Plasma Is an Indicator of Inflammation and Onset of Sepsis. J. Crit. Care 2011, 26, 435.e1–435.e7. [Google Scholar] [CrossRef] [PubMed]
- Beutler, E. Red Cell Metabolism: Manual of Biochemical Methods, 3rd ed.; Grune & Stratton: London, UK, 1984. [Google Scholar]
- McCord, J.M.; Fridovich, I. The Reduction of Cytochrome c by Milk Xanthine Oxidase. J. Biol. Chem. 1968, 243, 5753–5760. [Google Scholar] [CrossRef] [PubMed]
- Sies, H.; Akerboom, T.P.M. Glutathione Disulfide (GSSG) Efflux from Cells and Tissues. In Methods in Enzymology; Packer, L., Ed.; Elsevier: Amsterdam, The Netherlands, 1984; Volume 105, pp. 445–451. [Google Scholar]
- Ellman, G.L. Tissue Sulfhydryl Groups. Arch. Biochem. Biophys. 1959, 82, 70–77. [Google Scholar] [CrossRef]
- Osei-Hyiaman, D.; Liu, J.; Zhou, L.; Godlewski, G.; Harvey-White, J.; Jeong, W.-I.; Bátkai, S.; Marsicano, G.; Lutz, B.; Buettner, C.; et al. Hepatic CB1 Receptor Is Required for Development of Diet-Induced Steatosis, Dyslipidemia, and Insulin and Leptin Resistance in Mice. J. Clin. Investig. 2008, 118, 3160–3169. [Google Scholar] [CrossRef]
- Lackner, C.; Stauber, R.E.; Davies, S.; Denk, H.; Dienes, H.P.; Gnemmi, V.; Guido, M.; Miquel, R.; Paradis, V.; Schirmacher, P.; et al. Development and Prognostic Relevance of a Histologic Grading and Staging System for Alcohol-Related Liver Disease. J. Hepatol. 2021, 75, 810–819. [Google Scholar] [CrossRef]





| Groups | Body Weight (BW) (g) | Liver Weight (LW) (g) | Liver Index (%) LW/BW % | Body Weight Loss (%) | 
|---|---|---|---|---|
| C | 21.93 ± 1.56 | 1.21 ± 0.04 | 5.53 ± 0.41 | −19.10 ± 9.54 | 
| E | 16.31 ± 1.01 ### | 1.34 ± 0.17 ### | 8.21 ± 1.09 ### | 13.21 ± 3.15 ### | 
| E+Alp | 16.9 ± 0.44 ### | 1.17 ± 0.08 * | 6.95 ± 0.5 #,** | 5.47 ± 4.44 ###,* | 
| Groups | ALT (U/I) | AST (U/I) | AST/ALT Ratio | γ-GT (U/I) | 
|---|---|---|---|---|
| C | 33.78 ± 6.96 | 86.32 ± 13.34 | 2.6 ± 0.43 | 6.38 ± 1.74 | 
| E | 175.0 ± 42.5 ### | 381.1 ± 117.2 ### | 3.3 ± 0.43 ### | 20.96 ± 1.59 ### | 
| E+Alp | 59.04 ± 9.9 *** | 193.1 ± 42.1 *** | 3.17 ± 0.67 ###,** | 16.93 ± 0.75 ###,*** | 
| Content | Lieber–DeCarli Diet | Control Diet | 
|---|---|---|
| Dry mix (g) | 133 | 225 | 
| Maltose dextrin (g) | 20.3 | 89.9 | 
| Water (mL) | 910 | 860 | 
| 95% ethanol (mL) | 52.6 | 0 | 
| Disclaimer/Publisher’s Note: The statements, opinions and data contained in all publications are solely those of the individual author(s) and contributor(s) and not of MDPI and/or the editor(s). MDPI and/or the editor(s) disclaim responsibility for any injury to people or property resulting from any ideas, methods, instructions or products referred to in the content. | 
© 2024 by the authors. Licensee MDPI, Basel, Switzerland. This article is an open access article distributed under the terms and conditions of the Creative Commons Attribution (CC BY) license (https://creativecommons.org/licenses/by/4.0/).
Share and Cite
Radosavljevic, T.; Brankovic, M.; Djuretić, J.; Grujic-Milanovic, J.; Kovacic, M.; Jevtic, J.; Stankovic, S.; Samardzic, J.; Vucevic, D.; Jakovljevic, V. Alpinetin Exhibits Antioxidant and Anti-Inflammatory Effects in C57BL/6 Mice with Alcoholic Liver Disease Induced by the Lieber–DeCarli Ethanol Liquid Diet. Int. J. Mol. Sci. 2025, 26, 86. https://doi.org/10.3390/ijms26010086
Radosavljevic T, Brankovic M, Djuretić J, Grujic-Milanovic J, Kovacic M, Jevtic J, Stankovic S, Samardzic J, Vucevic D, Jakovljevic V. Alpinetin Exhibits Antioxidant and Anti-Inflammatory Effects in C57BL/6 Mice with Alcoholic Liver Disease Induced by the Lieber–DeCarli Ethanol Liquid Diet. International Journal of Molecular Sciences. 2025; 26(1):86. https://doi.org/10.3390/ijms26010086
Chicago/Turabian StyleRadosavljevic, Tatjana, Milica Brankovic, Jasmina Djuretić, Jelica Grujic-Milanovic, Marijana Kovacic, Jovan Jevtic, Sanja Stankovic, Janko Samardzic, Danijela Vucevic, and Vladimir Jakovljevic. 2025. "Alpinetin Exhibits Antioxidant and Anti-Inflammatory Effects in C57BL/6 Mice with Alcoholic Liver Disease Induced by the Lieber–DeCarli Ethanol Liquid Diet" International Journal of Molecular Sciences 26, no. 1: 86. https://doi.org/10.3390/ijms26010086
APA StyleRadosavljevic, T., Brankovic, M., Djuretić, J., Grujic-Milanovic, J., Kovacic, M., Jevtic, J., Stankovic, S., Samardzic, J., Vucevic, D., & Jakovljevic, V. (2025). Alpinetin Exhibits Antioxidant and Anti-Inflammatory Effects in C57BL/6 Mice with Alcoholic Liver Disease Induced by the Lieber–DeCarli Ethanol Liquid Diet. International Journal of Molecular Sciences, 26(1), 86. https://doi.org/10.3390/ijms26010086
 
         
                                                




 
       