Biological Effects of PMMA and Composite Resins on Human Gingival Fibroblasts: An In Vitro Comparative Study
Abstract
1. Introduction
2. Results
2.1. Cell Viability and Proliferation Evaluation
2.2. hGFs Alone, Cultured with Coldpac (Yates Motloid) and Cultured with ProTemp 4™ (3M ESPE ™) Morphological Analysis
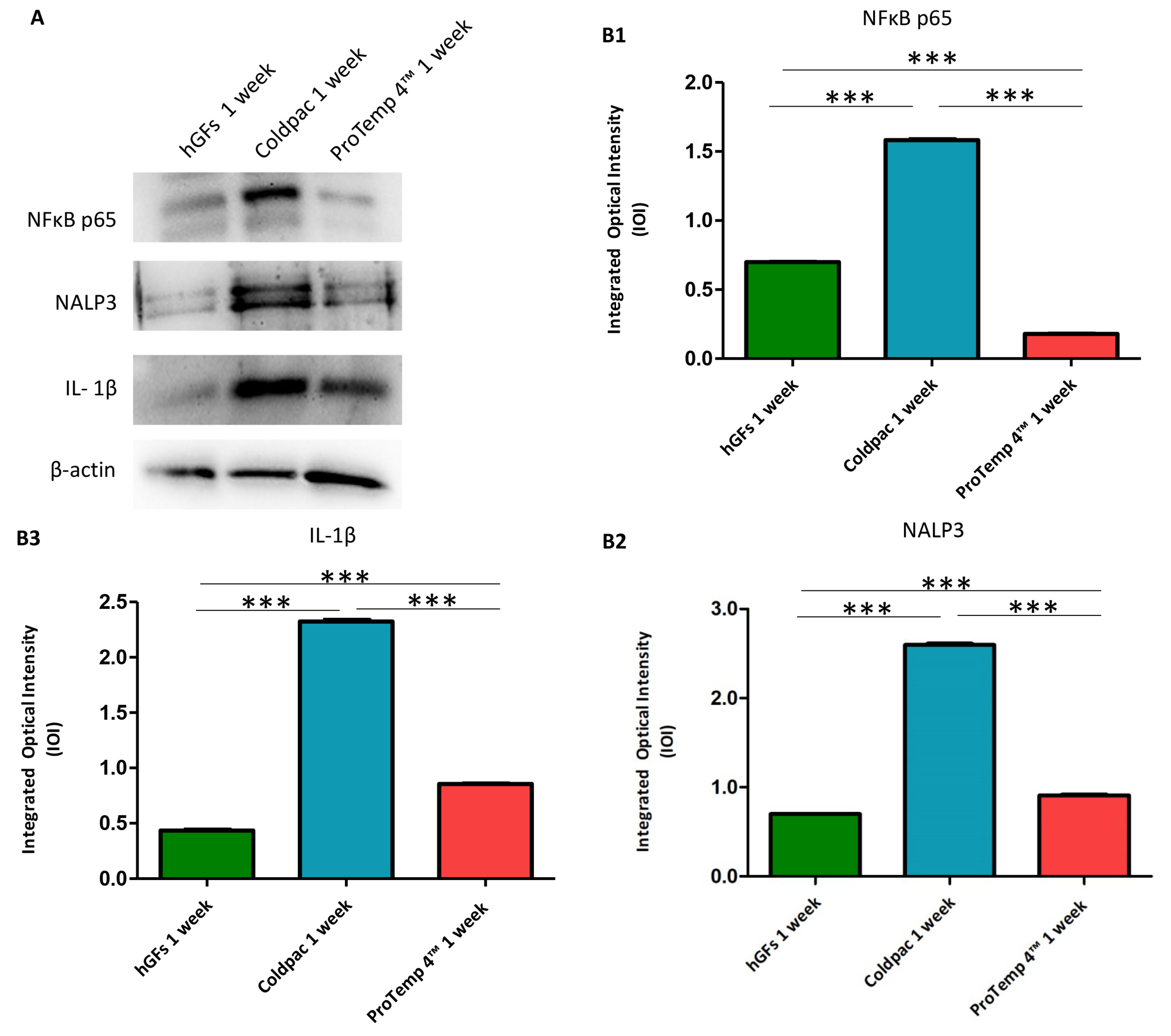
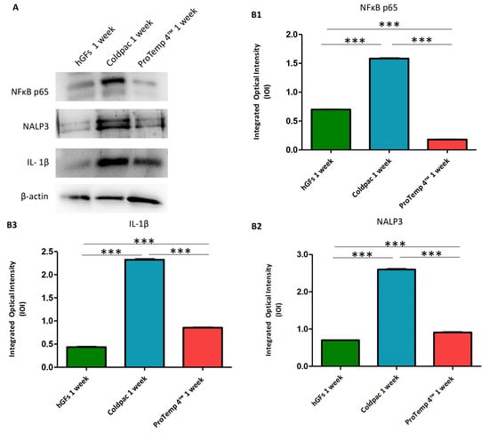
2.3. CLSM and Western Blot Analyses
2.4. Genes Expression
3. Discussion
4. Material and Methods
4.1. Resins
4.2. Sample Preparations for Eluates Deriving from Protemp 4™ (3M ESPE ™) and Coldpac Resins (Yates Motloid)
4.3. Cell Culture
4.4. Experimental Study Design
- -
- hGFs cultured alone for 24 h
- -
- hGFs cultured alone for 1 week
- -
- hGFs cultured with Coldpac (Yates Motloid) for 24 h
- -
- hGFs cultured with Coldpac (Yates Motloid) for 1 week
- -
- hGFs cultured with ProTemp 4™ (3M ESPE ™) for 24 h
- -
- hGFs cultured with ProTemp 4™ (3M ESPE ™) for 1 week
- -
- hGFs cultured alone for 24 h
- -
- hGFs cultured alone for 1 week
- -
- hGFs cultured with the eluate derived from ProTemp 4™ (3M ESPE ™) for 24 h
- -
- hGFs cultured with the eluate derived from ProTemp 4™ (3M ESPE ™) for 1 week
- -
- hGFs cultured with the eluate derived from Coldpac (Yates Motloid) for 24 h
- -
- hGFs cultured with the eluate derived from Coldpac (Yates Motloid) for for 1 week
4.5. Cell Metabolic Activity
4.6. SEM Analysis
4.7. Confocal Laser Scanning Microscope (CLSM)
4.8. Western Blotting Analysis
4.9. RNA Isolation and Real-Time RT-PCR Analysis
4.10. Statistical Analysis
5. Conclusions
Author Contributions
Funding
Institutional Review Board Statement
Informed Consent Statement
Data Availability Statement
Acknowledgments
Conflicts of Interest
References
- Stein, P.S.; Sullivan, J.; Haubenreich, J.E.; Osborne, P.B. Composite Resin in Medicine and Dentistry. J. Autom. Inf. Sci. 2005, 15, 641–654. [Google Scholar] [CrossRef] [PubMed]
- Wei, X.; Gao, L.; Wu, K.; Pan, Y.; Jiang, L.; Lin, H.; Wang, Y.; Cheng, H. In vitro study of surface properties and microbial adhesion of various dental polymers fabricated by different manufacturing techniques after thermocycling. Clin. Oral Investig. 2022, 26, 7287–7297. [Google Scholar] [CrossRef]
- Kostić, M.; Igić, M.; Gligorijević, N.; Nikolić, V.; Stošić, N.; Nikolić, L. The Use of Acrylate Polymers in Dentistry. Polymers 2022, 14, 4511. [Google Scholar] [CrossRef]
- Jagger, D.C.; Harrison, A.; Jandt, K.D. The reinforcement of dentures. J. Oral Rehabil. 1999, 26, 185–194. [Google Scholar] [CrossRef] [PubMed]
- Garnon, J.; Meylheuc, L.; Jennings, J.; Koch, G.; Cazzato, R.L.; Bayle, B.; Gangi, A. PMMA Bone Cement in Interventional Oncology. Crit. Rev. Biomed. Eng. 2021, 49, 35–50. [Google Scholar] [CrossRef] [PubMed]
- Lewis, G. Properties of nanofiller-loaded poly (methyl methacrylate) bone cement composites for orthopedic applications: A review. J. Biomed. Mater. Res. Part B Appl. Biomater. 2017, 105, 1260–1284. [Google Scholar] [CrossRef]
- Rickman, L.J.; Padipatvuthikul, P.; Satterthwaite, J.D. Contemporary denture base resins: Part 1. Dent Update 2012, 39, 25–28. [Google Scholar] [CrossRef]
- Al-Dwairi, Z.N.; Tahboub, K.Y.; Baba, N.Z.; Goodacre, C.J.; Özcan, M. A Comparison of the Surface Properties of CAD/CAM and Conventional Polymethylmethacrylate (PMMA). J. Prosthodont. 2019, 28, 452–457. [Google Scholar] [CrossRef]
- Raszewski, Z.; Nowakowska-Toporowska, A.; Nowakowska, D.; Więckiewicz, W. Update on Acrylic Resins Used in Dentistry. Mini-Rev. Med. Chem. 2021, 21, 2130–2137. [Google Scholar] [CrossRef]
- Duruk, G.; Akküç, S.; Uğur, Y. Evaluation of residual monomer release after polymerization of different restorative materials used in pediatric dentistry. BMC Oral Health 2022, 22, 232. [Google Scholar] [CrossRef]
- Lai, C.-C.; Lin, C.-P.; Wang, Y.-L. Development of antibacterial composite resin containing chitosan/fluoride microparticles as pit and fissure sealant to prevent caries. J. Oral Microbiol. 2021, 14, 2008615. [Google Scholar] [CrossRef] [PubMed]
- Pinto, L.D.; Balbinot, G.d.S.; Rucker, V.B.; Ogliari, F.A.; Collares, F.M.; Leitune, V.C.B. Orthodontic resins loaded with niobium silicate particles: Impact of filler concentration on the physicochemical and biological properties. Orthod. Craniofacial Res. 2023, 26, 442–450. [Google Scholar] [CrossRef] [PubMed]
- Ferracane, J.; Condon, J. Rate of Elution of Leachable Components from Composite. Dent. Mater. 1990, 6, 282–287. [Google Scholar] [CrossRef] [PubMed]
- Mazzaoui, S.A.; Burrow, M.F.; Tyas, M.J.; Rooney, F.R.; Capon, R.J. Long-term quantification of the release of monomers from dental resin composites and a resin-modified glass ionomer cement. J. Biomed. Mater. Res. 2002, 63, 299–305. [Google Scholar] [CrossRef] [PubMed]
- Hatton, P.V.; Mulligan, S.; Martin, N. The safety and biocompatibility of direct aesthetic restorative materials. Br. Dent. J. 2022, 232, 611–614. [Google Scholar] [CrossRef]
- Guerrero-Gironés, J.; López-García, S.; Pecci-Lloret, M.R.; Pecci-Lloret, M.P.; Lozano, F.J.R.; García-Bernal, D. In vitro biocompatibility testing of 3D printing and conventional resins for occlusal devices. J. Dent. 2022, 123, 104163. [Google Scholar] [CrossRef] [PubMed]
- Landenberger, P.; Baumann, L.; Gerhardt-Szép, S.; Rüttermann, S. The effect of new anti-adhesive and antibacterial dental resin filling materials on gingival fibroblasts. Dent. Mater. 2021, 37, 1416–1424. [Google Scholar] [CrossRef] [PubMed]
- Atay, A.; Gürdal, I.; Çetıntas, V.B.; Üşümez, A.; Cal, E. Effects of New Generation All-Ceramic and Provisional Materials on Fibroblast Cells. J. Prosthodont. 2019, 28, E383–E394. [Google Scholar] [CrossRef]
- Bandarra, S.; Mascarenhas, P.; Luís, A.R.; Catrau, M.; Bekman, E.; Ribeiro, A.C.; Félix, S.; Caldeira, J.; Barahona, I. In vitro and in silico evaluations of resin-based dental restorative material toxicity. Clin. Oral Investig. 2020, 24, 2691–2700. [Google Scholar] [CrossRef]
- Borzangy, S.; Labban, N.; Windsor, L.J. Effects of Interim Acrylic Resins on the Expression of Cytokines from Epithelial Cells and on Collagen Degradation. J. Prosthet. Dent. 2013, 110, 296–302. [Google Scholar] [CrossRef]
- Gonçalves, F.P.; Alves, G.; Júnior, V.O.G.; Gallito, M.A.; Oliveira, F.; Scelza, M.Z. Cytotoxicity Evaluation of Two Bis-Acryl Composite Resins Using Human Gingival Fibroblasts. Braz. Dent. J. 2016, 27, 492–496. [Google Scholar] [CrossRef] [PubMed]
- Wuersching, S.N.; Hickel, R.; Edelhoff, D.; Kollmuss, M. Initial biocompatibility of novel resins for 3D printed fixed dental prostheses. Dent. Mater. 2022, 38, 1587–1597. [Google Scholar] [CrossRef] [PubMed]
- Trubiani, O.; Ballerini, P.; Murmura, G.; Pizzicannella, J.; Giuliani, P.; Buccella, S.; Caputi, S. Toll-like Receptor 4 Expression, Interleukin-6, -8 and Ccl-20 Release, and NF-KB Translocation in Human Periodontal Ligament Mesenchymal Stem Cells Stimulated with LPS-P. Gingivalis. Eur. J. Inflamm. 2012, 10, 81–89. [Google Scholar] [CrossRef]
- Weber, A.; Wasiliew, P.; Kracht, M. Interleukin-1beta (IL-1beta) processing pathway. Sci. Signal 2010, 3, cm2. [Google Scholar]
- Baville, F.; Ammouri, O.; Charpin, C.; Dellavalle, V.; Soulard, M.; Guillemin, M.C.; Osinaga, E.; Pancino, G.; Roseto, A.; Barque, J.P. Production of a Mouse Monoclonal-Antibody (B1n) Reactive with a Human Nuclear Antigen Associated with Cell-Proliferation. Comptes Rendus Acad. Des Sci. Ser. III-Sci. Vie-Life Sci. 1991, 312, 301–307. [Google Scholar]
- Booth, D.G.; Takagi, M.; Sanchez-Pulido, L.; Petfalski, E.; Vargiu, G.; Samejima, K.; Imamoto, N.; Ponting, C.P.; Tollervey, D.; Earnshaw, W.C.; et al. Ki-67 is a PP1-interacting protein that organises the mitotic chromosome periphery. Elife 2014, 3, e01641. [Google Scholar] [CrossRef] [PubMed]
- Cuylen, S.; Blaukopf, C.; Politi, A.Z.; Müller-Reichert, T.; Neumann, B.; Poser, I.; Ellenberg, J.; Hyman, A.A.; Gerlich, D.W. Ki-67 acts as a biological surfactant to disperse mitotic chromosomes. Nat. Cell Biol. 2016, 535, 308–312. [Google Scholar] [CrossRef] [PubMed]
- Sobecki, M.; Mrouj, K.; Camasses, A.; Parisis, N.; Nicolas, E.; Llères, D.; Gerbe, F.; Prieto, S.; Krasinska, L.; David, A.; et al. The cell proliferation antigen Ki-67 organises heterochromatin. Elife 2016, 5, e13722. [Google Scholar] [CrossRef] [PubMed]
- Gautam, R.; Singh, R.D.; Sharma, V.P.; Siddhartha, R.; Chand, P.; Kumar, R. Biocompatibility of polymethylmethacrylate resins used in dentistry. J. Biomed. Mater. Res. Part B-Appl. Biomater. 2012, 100B, 1444–1450. [Google Scholar] [CrossRef]
- Singh, R.D.; Gautam, R.; Siddhartha, R.; Singh, B.P.; Chand, P.; Sharma, V.P.; Jurel, S.K. High Performance Liquid Chromatographic Determination of Residual Monomer Released from Heat-Cured Acrylic Resin. An In Vivo Study. J. Prosthodont. -Implant. Esthet. Reconstr. Dent. 2013, 22, 358–361. [Google Scholar] [CrossRef]
- Tahayeri, A.; Morgan, M.; Fugolin, A.P.; Bompolaki, D.; Athirasala, A.; Pfeifer, C.S.; Ferracane, J.L.; Bertassoni, L.E. 3D printed versus conventionally cured provisional crown and bridge dental materials. Dent. Mater. 2018, 34, 192–200. [Google Scholar] [CrossRef]
- Robinson, F.B.; Hovijitra, S. Marginal fit of direct temporary crowns. J. Prosthet. Dent. 1982, 47, 390–392. [Google Scholar] [CrossRef]
- Samadzadeh, A.; Kugel, G.; Hurley, E.; Aboushala, A. Fracture strengths of provisional restorations reinforced with plasma-treated woven polyethylene fiber. J. Prosthet. Dent. 1997, 78, 447–450. [Google Scholar] [CrossRef]
- Yadav, B.; Dureja, I.; Malhotra, P.; Dabas, N.; Bhargava, A.; Pahwa, R. A comparative evaluation of vertical marginal fit of provisional crowns fabricated by computer-aided design/computer-aided manufacturing technique and direct (intraoral technique) and flexural strength of the materials: An in vitro study. J. Indian Prosthodont. Soc. 2018, 18, 314–320. [Google Scholar] [CrossRef]
- Gantz, L.; Fauxpoint, G.; Arntz, Y.; Pelletier, H.; Etienne, O. In vitro comparison of the surface roughness of polymethyl methacrylate and bis-acrylic resins for interim restorations before and after polishing. J. Prosthet. Dent. 2021, 125, 833.e1–833.e10. [Google Scholar] [CrossRef]
- Revilla-León, M.; Morillo, J.A.; Att, W.; Özcan, M. Chemical Composition, Knoop Hardness, Surface Roughness, and Adhesion Aspects of Additively Manufactured Dental Interim Materials. J. Prosthodont. -Implant. Esthet. Reconstr. Dent. 2021, 30, 698–705. [Google Scholar] [CrossRef]
- Ulker, M.; Ulker, H.E.; Zortuk, M.; Bulbul, M.; Tuncdemir, A.R.; Bilgin, M.S. Effects of current provisional restoration materials on the viability of fibroblasts. Eur. J. Dent. 2009, 3, 114–119. [Google Scholar] [CrossRef]
- Vignesh, K.; Kandaswamy, E. A Comparative Evaluation of Fracture Toughness of Composite Resin vs Protemp 4 for Use in Strip Crowns: An In Vitro Study. Int. J. Clin. Pediatr. Dent. 2020, 13, 57–60. [Google Scholar] [CrossRef]
- Yuodelis, R.A.; Faucher, R. Provisional restorations: An integrated approach to periodontics and restorative dentistry. Dent. Clin. North Am. 1980, 24, 285–303. [Google Scholar] [CrossRef]
- Luchinskaya, D.; Du, R.; Owens, D.M.; Tarnow, D.; Bittner, N. Various Surface Treatments to Implant Provisional Restorations and Their Effect on Epithelial Cell Adhesion: A Comparative Study. Implant. Dent. 2017, 26, 12–23. [Google Scholar] [CrossRef]
- Abrahamsson, I.; Berglundh, T.; Lindhe, J. The mucosal barrier following abutment dis/reconnection—An experimental study in dogs. J. Clin. Periodontol. 1997, 24, 568–572. [Google Scholar] [CrossRef]
- Liu, T.; Zhang, L.Y.; Joo, D.; Sun, S.C. NF-κB signaling in inflammation. Signal Transduct. Target. Ther. 2017, 2, 17023. [Google Scholar] [CrossRef]
- Diomede, F.; Fonticoli, L.; Guarnieri, S.; Della Rocca, Y.; Rajan, T.S.; Fontana, A.; Trubiani, O.; Marconi, G.D.; Pizzicannella, J. The Effect of Liposomal Curcumin as an Anti-Inflammatory Strategy on Lipopolysaccharide e from Porphyromonas gingivalis Treated Endothelial Committed Neural Crest Derived Stem Cells: Morphological and Molecular Mechanisms. Int. J. Mol. Sci. 2021, 22, 7534. [Google Scholar] [CrossRef]
- Pizzicannella, J.; Fonticoli, L.; Guarnieri, S.; Marconi, G.D.; Rajan, T.S.; Trubiani, O.; Diomede, F. Antioxidant Ascorbic Acid Modulates NLRP3 Inflammasome in LPS-G Treated Oral Stem Cells through NFkappaB/Caspase-1/IL-1beta Pathway. Antioxidants 2021, 10, 797. [Google Scholar] [CrossRef]
- Trubiani, O.; Toniato, E.; Di Iorio, D.; Diomede, F.; Merciaro, I.; D’Arcangelo, C.; Caputi, S.; Oriana, T. Morphological Analysis and Interleukin Release in Human Gingival Fibroblasts Seeded on Different Denture Base Acrylic Resins. Int. J. Immunopathol. Pharmacol. 2012, 25, 637–643. [Google Scholar] [CrossRef] [PubMed]
- Diomede, F.; Marconi, G.D.; Guarnieri, S.; D’attilio, M.; Cavalcanti, M.F.X.B.; Mariggiò, M.A.; Pizzicannella, J.; Trubiani, O. A Novel Role of Ascorbic Acid in Anti-Inflammatory Pathway and ROS Generation in HEMA Treated Dental Pulp Stem Cells. Materials 2019, 13, 130. [Google Scholar] [CrossRef]
- Marconi, G.D.; Fonticoli, L.; Della Rocca, Y.; Rajan, T.S.; Piattelli, A.; Trubiani, O.; Pizzicannella, J.; Diomede, F. Human Periodontal Ligament Stem Cells Response to Titanium Implant Surface: Extracellular Matrix Deposition. Biology 2021, 10, 931, Erratum in Biology 2023, 12, 306. [Google Scholar] [CrossRef]
- Marconi, G.D.; Diomede, F.; Pizzicannella, J.; Fonticoli, L.; Merciaro, I.; Pierdomenico, S.D.; Mazzon, E.; Piattelli, A.; Trubiani, O. Enhanced VEGF/VEGF-R and RUNX2 Expression in Human Periodontal Ligament Stem Cells Cultured on Sandblasted/Etched Titanium Disk. Front. Cell Dev. Biol. 2020, 8, 315. [Google Scholar] [CrossRef]
- Marconi, G.D.; Fonticoli, L.; Guarnieri, S.; Cavalcanti, M.F.X.B.; Franchi, S.; Gatta, V.; Trubiani, O.; Pizzicannella, J.; Diomede, F. Ascorbic Acid: A New Player of Epigenetic Regulation in LPS-gingivalis Treated Human Periodontal Ligament Stem Cells. Oxid. Med. Cell. Longev. 2021, 2021, 6679708. [Google Scholar] [CrossRef]
- Rajan, T.S.; Diomede, F.; Bramanti, P.; Trubiani, O.; Mazzon, E. Conditioned medium from human gingival mesenchymal stem cells protects motor-neuron-like NSC-34 cells against scratch-injury-induced cell death. Int. J. Immunopathol. Pharmacol. 2017, 30, 383–394. [Google Scholar] [CrossRef] [PubMed]
- Diomede, F.; Marconi, G.D.; Cavalcanti, M.F.X.B.; Pizzicannella, J.; Pierdomenico, S.D.; Fonticoli, L.; Piattelli, A.; Trubiani, O. VEGF/VEGF-R/RUNX2 Upregulation in Human Periodontal Ligament Stem Cells Seeded on Dual Acid Etched Titanium Disk. Materials 2020, 13, 706. [Google Scholar] [CrossRef]












| Gene | Forward Primer Sequence (5′-3′) | Reverse Primer Sequence (5′-3′) |
|---|---|---|
| RELA | 5′-CGAGCTTGTAGGAAAGGACTG-3′ | 5′-TGACTGATAGC-CTGCTCCAG-3′ |
| NLRP3 | 5′-GAATGCCTTGG-GAGACTCAG-3′ | 5′-AGATTCTGATT-AGTGCTGAGTACC-3′ |
| IL-1β | 5′-CGTCCTAAAGA-CTCCATGATCTG-3′ | 5′-ACCAATCTTGT-AGGACTGACC-3′ |
| B2M | 5′-GGACTGGTCTT-TCTATCTCTTGT-3′ | 5′-ACCTCCATGAT-GCTGCTTAC-3′ |
Disclaimer/Publisher’s Note: The statements, opinions and data contained in all publications are solely those of the individual author(s) and contributor(s) and not of MDPI and/or the editor(s). MDPI and/or the editor(s) disclaim responsibility for any injury to people or property resulting from any ideas, methods, instructions or products referred to in the content. |
© 2024 by the authors. Licensee MDPI, Basel, Switzerland. This article is an open access article distributed under the terms and conditions of the Creative Commons Attribution (CC BY) license (https://creativecommons.org/licenses/by/4.0/).
Share and Cite
Della Rocca, Y.; Traini, E.M.; Trubiani, O.; Traini, T.; Mazzone, A.; Marconi, G.D.; Pizzicannella, J.; Diomede, F. Biological Effects of PMMA and Composite Resins on Human Gingival Fibroblasts: An In Vitro Comparative Study. Int. J. Mol. Sci. 2024, 25, 4880. https://doi.org/10.3390/ijms25094880
Della Rocca Y, Traini EM, Trubiani O, Traini T, Mazzone A, Marconi GD, Pizzicannella J, Diomede F. Biological Effects of PMMA and Composite Resins on Human Gingival Fibroblasts: An In Vitro Comparative Study. International Journal of Molecular Sciences. 2024; 25(9):4880. https://doi.org/10.3390/ijms25094880
Chicago/Turabian StyleDella Rocca, Ylenia, Enrico Matteo Traini, Oriana Trubiani, Tonino Traini, Antonella Mazzone, Guya Diletta Marconi, Jacopo Pizzicannella, and Francesca Diomede. 2024. "Biological Effects of PMMA and Composite Resins on Human Gingival Fibroblasts: An In Vitro Comparative Study" International Journal of Molecular Sciences 25, no. 9: 4880. https://doi.org/10.3390/ijms25094880
APA StyleDella Rocca, Y., Traini, E. M., Trubiani, O., Traini, T., Mazzone, A., Marconi, G. D., Pizzicannella, J., & Diomede, F. (2024). Biological Effects of PMMA and Composite Resins on Human Gingival Fibroblasts: An In Vitro Comparative Study. International Journal of Molecular Sciences, 25(9), 4880. https://doi.org/10.3390/ijms25094880

