In Vivo Pro-Inflammatory Effects of Silver Nanoparticles on the Colon Depend on Time and Route of Exposure
Abstract
1. Introduction
2. Results
2.1. Body Weight Gain
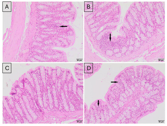
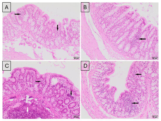
2.2. Histological Evaluation of the Effect of Silver Nanoparticle Exposure on the Colon Tissue of Rats
2.3. Cholesterol and Liver Enzymes
2.4. Antioxidant Defense and Oxidative Stress Parameters
2.5. Inflammatory Markers
3. Discussion
4. Materials and Methods
4.1. Nanoparticles Characterization
4.2. Animals and Experimental Design
4.3. Histopathological Evaluation
4.4. Cholesterol and Liver Enzymes
4.5. Inflammatory Markers
4.6. Colon Antioxidant Defense and Oxidative Stress Parameters
4.7. Statistical Analysis
5. Conclusions
Author Contributions
Funding
Institutional Review Board Statement
Informed Consent Statement
Data Availability Statement
Conflicts of Interest
References
- Akter, M.; Sikder, M.T.; Rahman, M.M.; Ullah, A.K.M.A.; Hossain, K.F.B.; Banik, S.; Hosokawa, T.; Saito, T.; Kurasaki, M. A Systematic Review on Silver Nanoparticles-Induced Cytotoxicity: Physicochemical Properties and Perspectives. J. Adv. Res. 2018, 9, 1–16. [Google Scholar] [CrossRef] [PubMed]
- Consumer Products—The Nanodatabase. Available online: https://nanodb.dk/en/analysis/consumer-products#chartHashsection (accessed on 16 February 2022).
- European Commission. Commission Recommendation 2011/696/EU. Available online: https://eur-lex.europa.eu/legal-content/EN/TXT/?uri=CELEX%3A32011H0696 (accessed on 16 February 2022).
- Li, Y.; Cummins, E. Hazard Characterization of Silver Nanoparticles for Human Exposure Routes. J. Environ. Sci. Health. Part A Toxic/Hazard. Subst. Environ. Eng. 2020, 55, 704–725. [Google Scholar] [CrossRef]
- Kruszewski, M.; Brzoska, K.; Brunborg, G.; Asare, N.; Dobrzyńska, M.; Dušinská, M.; Fjellsbø, L.M.; Georgantzopoulou, A.; Gromadzka-Ostrowska, J.; Gutleb, A.C.; et al. Toxicity of Silver Nanomaterials in Higher Eukaryotes. Adv. Mol. Toxicol. 2011, 5, 179–218. [Google Scholar] [CrossRef]
- Dziendzikowska, K.; Gromadzka-Ostrowska, J.; Lankoff, A.; Oczkowski, M.; Krawczyńska, A.; Chwastowska, J.; Sadowska-Bratek, M.; Chajduk, E.; Wojewódzka, M.; Dušinská, M.; et al. Time-Dependent Biodistribution and Excretion of Silver Nanoparticles in Male Wistar Rats. J. Appl. Toxicol. 2012, 32, 920–928. [Google Scholar] [CrossRef] [PubMed]
- Wen, R.; Hu, L.; Qu, G.; Zhou, Q.; Jiang, G. Exposure, Tissue Biodistribution, and Biotransformation of Nanosilver. Impact 2016, 2, 18–28. [Google Scholar] [CrossRef]
- Węsierska, M.; Dziendzikowska, K.; Gromadzka-Ostrowska, J.; Dudek, J.; Polkowska-Motrenko, H.; Audinot, J.N.; Gutleb, A.C.; Lankoff, A.; Kruszewski, M. Silver Ions Are Responsible for Memory Impairment Induced by Oral Administration of Silver Nanoparticles. Toxicol. Lett. 2018, 290, 133–144. [Google Scholar] [CrossRef] [PubMed]
- Rezvani, E.; Rafferty, A.; McGuinness, C.; Kennedy, J. Adverse Effects of Nanosilver on Human Health and the Environment. Acta Biomater. 2019, 94, 145–159. [Google Scholar] [CrossRef] [PubMed]
- Krawczyńska, A.; Dziendzikowska, K.; Gromadzka-Ostrowska, J.; Lankoff, A.; Herman, A.P.; Oczkowski, M.; Królikowski, T.; Wilczak, J.; Wojewódzka, M.; Kruszewski, M. Silver and Titanium Dioxide Nanoparticles Alter Oxidative/Inflammatory Response and Renin-Angiotensin System in Brain. Food Chem. Toxicol. 2015, 85, 96–105. [Google Scholar] [CrossRef] [PubMed]
- Lappas, C.M. The Immunomodulatory Effects of Titanium Dioxide and Silver Nanoparticles. Food Chem. Toxicol. 2015, 85, 78–83. [Google Scholar] [CrossRef] [PubMed]
- Nallanthighal, S.; Chan, C.; Bharali, D.J.; Mousa, S.A.; Vásquez, E.; Reliene, R. Particle Coatings but Not Silver Ions Mediate Genotoxicity of Ingested Silver Nanoparticles in a Mouse Model. Nanoimpact 2017, 5, 92–100. [Google Scholar] [CrossRef]
- Dziendzikowska, K.; Wilczak, J.; Grodzicki, W.; Gromadzka-ostrowska, J. Coating-Dependent Neurotoxicity of Silver Nanoparticles—An In Vivo Study on Hippocampal Oxidative Stress and Neurosteroids. Int. J. Mol. Sci. 2022, 23, 1365. [Google Scholar] [CrossRef] [PubMed]
- Gromadzka-Ostrowska, J.; Dziendzikowska, K.; Lankoff, A.; Dobrzyńska, M.; Instanes, C.; Brunborg, G.; Gajowik, A.; Radzikowska, J.; Wojewódzka, M.; Kruszewski, M. Silver Nanoparticles Effects on Epididymal Sperm in Rats. Toxicol. Lett. 2012, 214, 251–258. [Google Scholar] [CrossRef]
- Strużyńska, L.; Skalska, J. Mechanisms Underlying Neurotoxicity of Silver Nanoparticles. Adv. Exp. Med. Biol. 2018, 1048, 227–250. [Google Scholar] [CrossRef] [PubMed]
- Matteis, V. De Exposure to Inorganic Nanoparticles: Routes of Entry, Immune Response, Biodistribution and In Vitro/In Vivo Toxicity Evaluation. Toxics 2017, 5, 29. [Google Scholar] [CrossRef] [PubMed]
- Ferdous, Z.; Nemmar, A. Health Impact of Silver Nanoparticles: A Review of the Biodistribution and Toxicity Following Various Routes of Exposure. Int. J. Mol. Sci. 2020, 21, 2375. [Google Scholar] [CrossRef] [PubMed]
- Ge, L.; Li, Q.; Wang, M.; Ouyang, J.; Li, X.; Xing, M.M.Q. Nanosilver Particles in Medical Applications: Synthesis, Performance, and Toxicity. Int. J. Nanomed. 2014, 9, 2399–2407. [Google Scholar] [CrossRef] [PubMed]
- Munger, M.A.; Radwanski, P.; Hadlock, G.C.; Stoddard, G.; Shaaban, A.; Falconer, J.; Grainger, D.W.; Deering-Rice, C.E. In Vivo Human Time-Exposure Study of Orally Dosed Commercial Silver Nanoparticles. Nanomed. Nanotechnol. Biol. Med. 2014, 10, 1–9. [Google Scholar] [CrossRef] [PubMed]
- Kim, Y.S.; Song, M.Y.; Park, J.D.; Song, K.S.; Ryu, H.R.; Chung, Y.H.; Chang, H.K.; Lee, J.H.; Oh, K.H.; Kelman, B.J.; et al. Subchronic Oral Toxicity of Silver Nanoparticles. Part. Fibre Toxicol. 2010, 7, 20. [Google Scholar] [CrossRef] [PubMed]
- Gunawan, C.; Marquis, C.P.; Amal, R.; Sotiriou, G.A.; Rice, S.A.; Harry, E.J. Widespread and Indiscriminate Nanosilver Use: Genuine Potential for Microbial Resistance. ACS Nano 2017, 11, 3438–3445. [Google Scholar] [CrossRef]
- Burdușel, A.C.; Gherasim, O.; Grumezescu, A.M.; Mogoantă, L.; Ficai, A.; Andronescu, E. Biomedical Applications of Silver Nanoparticles: An up-to-Date Overview. Nanomaterials 2018, 8, 681. [Google Scholar] [CrossRef]
- Savery, L.C.; Viñas, R.; Nagy, A.M.; Pradeep, P.; Merrill, S.J.; Hood, A.M.; Malghan, S.G.; Goering, P.L.; Brown, R.P. Deriving a Provisional Tolerable Intake for Intravenous Exposure to Silver Nanoparticles Released from Medical Devices. Regul. Toxicol. Pharmacol. 2017, 85, 108–118. [Google Scholar] [CrossRef] [PubMed]
- Qin, G.; Tang, S.; Li, S.; Lu, H.; Wang, Y.; Zhao, P.; Li, B.; Zhang, J.; Peng, L. Toxicological Evaluation of Silver Nanoparticles and Silver Nitrate in Rats Following 28 Days of Repeated Oral Exposure. Environ. Toxicol. 2017, 32, 609–618. [Google Scholar] [CrossRef]
- Juling, S.; Bachler, G.; von Götz, N.; Lichtenstein, D.; Böhmert, L.; Niedzwiecka, A.; Selve, S.; Braeuning, A.; Lampen, A. In Vivo Distribution of Nanosilver in the Rat: The Role of Ions and de Novo-Formed Secondary Particles. Food Chem. Toxicol. 2016, 97, 327–335. [Google Scholar] [CrossRef] [PubMed]
- Wen, H.; Dan, M.; Yang, Y.; Lyu, J.; Shao, A.; Cheng, X.; Chen, L.; Xu, L. Acute Toxicity and Genotoxicity of Silver Nanoparticle in Rats. PLoS ONE 2017, 12, e0185554. [Google Scholar] [CrossRef]
- Lala, V.; Goyal, A.; Minter, D.A. Liver Function Tests. StatPearls 2022. Available online: https://www.ncbi.nlm.nih.gov/books/NBK482489/ (accessed on 13 October 2023).
- Dasgupta, N.; Ranjan, S.; Ramalingam, C.; Gandhi, M. Silver Nanoparticles Engineered by Thermal Co-Reduction Approach Induces Liver Damage in Wistar Rats: Acute and Sub-Chronic Toxicity Analysis. 3 Biotech 2019, 9, 125. [Google Scholar] [CrossRef]
- Pourhamzeh, M.; Gholami Mahmoudian, Z.; Saidijam, M.; Asari, M.J.; Alizadeh, Z. The Effect of Silver Nanoparticles on the Biochemical Parameters of Liver Function in Serum, and the Expression of Caspase-3 in the Liver Tissues of Male Rats. Avicenna J. Med. Biochem. 2016, 4, 2–6. [Google Scholar] [CrossRef]
- Gan, J.; Sun, J.; Chang, X.; Li, W.; Li, J.; Niu, S.; Kong, L.; Zhang, T.; Wu, T.; Tang, M.; et al. Biodistribution and Organ Oxidative Damage Following 28 Days Oral Administration of Nanosilver with/without Coating in Mice. J. Appl. Toxicol. 2020, 40, 815–831. [Google Scholar] [CrossRef]
- Zuberek, M.; Grzelak, A. Nanoparticles-Caused Oxidative Imbalance. Adv. Exp. Med. Biol. 2018, 1048, 85–98. [Google Scholar] [CrossRef]
- Huang, X.; Tang, M. Review of Gut Nanotoxicology in Mammals: Exposure, Transformation, Distribution and Toxicity. Sci. Total Environ. 2021, 773, 145078. [Google Scholar] [CrossRef]
- Lei, X.G.; Zhu, J.H.; Cheng, W.H.; Bao, Y.; Ho, Y.S.; Reddi, A.R.; Holmgren, A.; Arnér, E.S.J. Paradoxical Roles of Antioxidant Enzymes: Basic Mechanisms and Health Implications. Physiol. Rev. 2015, 96, 307–364. [Google Scholar] [CrossRef]
- Sears, M.E.; Montoliu, C.; Pungercar, J.; Sabatier, J.-M.; Thévenod, F.; Yasutake, A. Chelation: Harnessing and Enhancing Heavy Metal Detoxification—A Review. Sci. World J. 2013, 2013, 219840. [Google Scholar] [CrossRef]
- Wen, L.; Li, M.; Lin, X.; Li, Y.; Song, H.; Chen, H. AgNPs Aggravated Hepatic Steatosis, Inflammation, Oxidative Stress, and Epigenetic Changes in Mice with NAFLD induced by HFD. Front. Bioeng. Biotechnol. 2022, 10, 912178. [Google Scholar] [CrossRef]
- Fang, W.; Chi, Z.; Li, W.; Zhang, X.; Zhang, Q. Comparative Study on the Toxic Mechanisms of Medical Nanosilver and Silver Ions on the Antioxidant System of Erythrocytes: From the Aspects of Antioxidant Enzyme Activities and Molecular Interaction Mechanisms. J. Nanobiotechnol. 2019, 17, 66. [Google Scholar] [CrossRef]
- Yousef, M.I.; Abuzreda, A.A.; Kamel, M.A.E.-N. Neurotoxicity and Inflammation Induced by Individual and Combined Exposure to Iron Oxide Nanoparticles and Silver Nanoparticles. J. Taibah Univ. Sci. 2019, 13, 570–578. [Google Scholar] [CrossRef]
- Nakkala, J.R.; Mata, R.; Raja, K.; Khub Chandra, V.; Sadras, S.R. Green Synthesized Silver Nanoparticles: Catalytic Dye Degradation, in vitro Anticancer Activity and in Vivo Toxicity in Rats. Mater. Sci. Eng. C 2018, 91, 372–381. [Google Scholar] [CrossRef]
- Gabay, C. Interleukin-6 and Chronic Inflammation. Arthritis Res. Ther. 2006, 8, S3. [Google Scholar] [CrossRef]
- Ouyang, W.; Rutz, S.; Crellin, N.K.; Valdez, P.A.; Hymowitz, S.G. Regulation and Functions of the IL-10 Family of Cytokines in Inflammation and Disease. Annu. Rev. Immunol. 2011, 29, 71–109. [Google Scholar] [CrossRef]
- Vignali, D.A.A.; Kuchroo, V.K. IL-12 Family Cytokines: Immunological Playmakers. Nat. Immunol. 2012, 13, 722–728. [Google Scholar] [CrossRef]
- Zelová, H.; Hošek, J. TNF-α Signalling and Inflammation: Interactions between Old Acquaintances. Inflamm. Res. 2013, 62, 641–651. [Google Scholar] [CrossRef]
- De Jong, W.H.; Van Der Ven, L.T.M.; Sleijffers, A.; Park, M.V.D.Z.; Jansen, E.H.J.M.; Van Loveren, H.; Vandebriel, R.J. Systemic and Immunotoxicity of Silver Nanoparticles in an Intravenous 28 Days Repeated Dose Toxicity Study in Rats. Biomaterials 2013, 34, 8333–8343. [Google Scholar] [CrossRef]
- Sousa, A.; Azevedo, R.; Costa, V.M.; Oliveira, S.; Preguiça, I.; Viana, S.; Reis, F.; Almeida, A.; Matafome, P.; Dias-Pereira, P.; et al. Biodistribution and intestinal inflammatory response following voluntary oral intake of silver nanoparticles by C57BL/6J mice. Arch. Toxicol. 2023, 97, 2643–2657. [Google Scholar] [CrossRef]
- Ren, Q.; Ma, J.; Li, X.; Meng, Q.; Wu, S.; Xie, Y.; Qi, Y.; Liu, S.; Chen, R. Intestinal Toxicity of Metal Nanoparticles: Silver Nanoparticles Disorder the Intestinal Immune Microenvironment. ACS Appl. Mater. Interfaces 2024, 15, 27774–27788. [Google Scholar] [CrossRef] [PubMed]
- Walczak, A.P.; Fokkink, R.; Peters, R.; Tromp, P.; Herrera Rivera, Z.E.; Rietjens, I.M.C.M.; Hendriksen, P.J.M.; Bouwmeester, H. Behaviour of Silver Nanoparticles and Silver Ions in an in vitro Human Gastrointestinal Digestion Model. Nanotoxicology 2012, 7, 1198–1210. [Google Scholar] [CrossRef] [PubMed]
- Abdelkhaliq, A.; van der Zande, M.; Undas, A.K.; Peters, R.J.B.; Bouwmeester, H. Impact of in Vitro Digestion on Gastrointestinal Fate and Uptake of Silver Nanoparticles with Different Surface Modifications. Nanotoxicology 2020, 14, 111–126. [Google Scholar] [CrossRef] [PubMed]
- Shahare, B.; Yashpal, M.; Singh, G. Toxic Effects of Repeated Oral Exposure of Silver Nanoparticles on Small Intestine Mucosa of Mice. Toxicol. Mech. Methods 2013, 23, 161–167. [Google Scholar] [CrossRef] [PubMed]
- Williams, K.M.; Gokulan, K.; Cerniglia, C.E.; Khare, S. Size and Dose Dependent Effects of Silver Nanoparticle Exposure on Intestinal Permeability in an in Vitro Model of the Human Gut Epithelium. J. Nanobiotechnol. 2016, 14, 62. [Google Scholar] [CrossRef] [PubMed]
- Vancamelbeke, M.; Vermeire, S. The Intestinal Barrier: A Fundamental Role in Health and Disease. Expert. Rev. Gastroenterol. Hepatol. 2017, 11, 821–834. [Google Scholar] [CrossRef] [PubMed]
- Lankoff, A.; Sandberg, W.J.; Wegierek-Ciuk, A.; Lisowska, H.; Refsnes, M.; Zena Sartowska, B.; Schwarze, E.; Meczynska-Wielgosz, S.; Wojewodzka, M.; Kruszewski, M. The Effect of Agglomeration State of Silver and Titanium Dioxide Nanoparticles on Cellular Response of HepG2, A549 and THP-1 Cells. Toxicol. Lett. 2011, 208, 197–213. [Google Scholar] [CrossRef] [PubMed]
- Kim, Y.S.; Kim, J.S.; Cho, H.S.; Rha, D.S.; Kim, J.M.; Park, J.D.; Choi, B.S.; Lim, R.; Chang, H.K.; Chung, Y.H.; et al. Twenty-Eight-Day Oral Toxicity, Genotoxicity, and Gender-Related Tissue Distribution of Silver Nanoparticles in Sprague-Dawley Rats. Inhal. Toxicol. 2008, 20, 575–583. [Google Scholar] [CrossRef]
- Rebrin, I.; Forster, M.J.; Sohal, R.S. Effects of Age and Caloric Intake on Glutathione Redox State in Different Brain Regions of C57BL/6 and DBA/2 Mice. Brain Res. 2007, 1127, 10–18. [Google Scholar] [CrossRef]
- Ohkawa, H.; Ohishi, N.; Yagi, K. Assay for Lipid Peroxides in Animal Tissues by Thiobarbituric Acid Reaction. Anal. Biochem. 1979, 95, 351–358. [Google Scholar] [CrossRef] [PubMed]






| AgNPs | Ctrl | |||||||
|---|---|---|---|---|---|---|---|---|
| per os | i.v. | per os | i.v. | |||||
| 7 Days | 28 Days | 24 h | 28 Days | 7 Days | 28 Days | 24 h | 28 Days | |
| CHO [mg/dL] | 50.2 ± 0.8 | 55.9 ± 1.7 | 55.3 ± 1.4 * | 54.6 ± 0.8 | 56.6 ± 2.3 | 54.4 ± 2.1 | 48.7 ± 2.5 | 56.2 ± 1.3 a |
| AST [U/L] | 0.507 ± 0.024 | 0.482 ± 0.011 | 0.588 ± 0.024 | 0.553 ± 0.036 | 0.494 ± 0.028 | 0.532 ± 0.033 | 0.563 ± 0.045 | 0.498 ± 0.020 |
| ALT [U/L] | 0.831 ± 0.053 | 0.824 ± 0.030 | 0.870 ± 0.061 | 0.868 ± 0.045 | 0.881 ± 0.053 | 0.779 ± 0.021 | 0.823 ± 0.036 | 0.827 ± 0.034 |
| AST liver [U/mg protein] | 5.196 ± 0.506 | 4.822 ± 0.319 | 5.036 ± 0.615 | 5.585 ± 0.577 | 4.681 ± 0.375 | 4.230 ± 0.677 | 3.609 ± 0.124 | 5.510 ± 0.440 |
| ALT liver [U/mg protein] | 3.061 ± 0.253 | 2.846 ± 0.269 | 2.708 ± 0.242 | 3.163 ± 0.337 | 2.449 ± 0.186 | 2.307 ± 0.334 | 2.269 ± 0.217 | 2.828 ± 0.377 |
| BSA-Coated AgNPs | |
|---|---|
| Nominal size of Ag particles [nm] | 20 ± 5 |
| Dynamic light scattering [nm] | 197.4 ± 2.7 |
| Polydispersity index | 0.295 |
| Zeta potential [mV] | −33.6 |
| BET surface area [m2/g] | 2.2419 |
| Micropore volume [cm3/g] | 0.0076 |
| Adsorption average pore width (nm) | 13.6698 |
| Desorption average pore width (nm) | 23.8934 |
Disclaimer/Publisher’s Note: The statements, opinions and data contained in all publications are solely those of the individual author(s) and contributor(s) and not of MDPI and/or the editor(s). MDPI and/or the editor(s) disclaim responsibility for any injury to people or property resulting from any ideas, methods, instructions or products referred to in the content. |
© 2024 by the authors. Licensee MDPI, Basel, Switzerland. This article is an open access article distributed under the terms and conditions of the Creative Commons Attribution (CC BY) license (https://creativecommons.org/licenses/by/4.0/).
Share and Cite
Grodzicki, W.; Dziendzikowska, K.; Gromadzka-Ostrowska, J.; Wilczak, J.; Oczkowski, M.; Kopiasz, Ł.; Sapierzyński, R.; Kruszewski, M.; Grzelak, A. In Vivo Pro-Inflammatory Effects of Silver Nanoparticles on the Colon Depend on Time and Route of Exposure. Int. J. Mol. Sci. 2024, 25, 4879. https://doi.org/10.3390/ijms25094879
Grodzicki W, Dziendzikowska K, Gromadzka-Ostrowska J, Wilczak J, Oczkowski M, Kopiasz Ł, Sapierzyński R, Kruszewski M, Grzelak A. In Vivo Pro-Inflammatory Effects of Silver Nanoparticles on the Colon Depend on Time and Route of Exposure. International Journal of Molecular Sciences. 2024; 25(9):4879. https://doi.org/10.3390/ijms25094879
Chicago/Turabian StyleGrodzicki, Wojciech, Katarzyna Dziendzikowska, Joanna Gromadzka-Ostrowska, Jacek Wilczak, Michał Oczkowski, Łukasz Kopiasz, Rafał Sapierzyński, Marcin Kruszewski, and Agnieszka Grzelak. 2024. "In Vivo Pro-Inflammatory Effects of Silver Nanoparticles on the Colon Depend on Time and Route of Exposure" International Journal of Molecular Sciences 25, no. 9: 4879. https://doi.org/10.3390/ijms25094879
APA StyleGrodzicki, W., Dziendzikowska, K., Gromadzka-Ostrowska, J., Wilczak, J., Oczkowski, M., Kopiasz, Ł., Sapierzyński, R., Kruszewski, M., & Grzelak, A. (2024). In Vivo Pro-Inflammatory Effects of Silver Nanoparticles on the Colon Depend on Time and Route of Exposure. International Journal of Molecular Sciences, 25(9), 4879. https://doi.org/10.3390/ijms25094879

