Prognostic Value of “Basal-like” Morphology, Tumor-Infiltrating Lymphocytes and Multi-MAGE-A Expression in Triple-Negative Breast Cancer
Abstract
1. Introduction
2. Results
2.1. TNBC Infiltration by Lymphocytes
2.2. “Basal-like” Morphology
2.3. Histologic Type
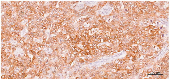
2.4. Multi-MAGE-A Expression
2.5. Prognostic Significance
3. Discussion
4. Materials and Methods
4.1. Patients
4.2. Institutional Review Board Statement
4.3. Outcomes of the Study
4.4. Histopathology and Immunohistochemistry
4.5. Statistical Analysis
5. Conclusions
Author Contributions
Funding
Institutional Review Board Statement
Informed Consent Statement
Data Availability Statement
Acknowledgments
Conflicts of Interest
References
- Nielsen, T.O.; Hsu, F.D.; Jensen, K.; Cheang, M.; Karaca, G.; Hu, Z.; Hernandez-Boussard, T.; Livasy, C.; Cowan, D.; Dressler, L.; et al. Immunohistochemical and clinical characterization of the basal-like subtype of invasive breast carcinoma. Clin. Cancer Res. 2004, 10, 5367–5374. [Google Scholar] [CrossRef]
- Lacroix, M.; Toillon, R.A.; Leclercq, G. Stable portrait of breast tumors during progression: Data from biology, pathology, and genetics. Endocr. Relat. Cancer 2004, 11, 497–522. [Google Scholar] [CrossRef]
- Fulford, L.G.; Reis-Filho, J.S.; Ryder, K.; Jones, C.; Gillett, C.E.; Hanby, A.; Easton, D.; Lakhani, S.R. Basal-like grade III invasive ductal carcinoma of the breast: Patterns of metastasis and long-term survival. Breast Cancer Res. 2007, 9, R4. [Google Scholar] [CrossRef] [PubMed]
- Hicks, D.G.; Short, S.M.; Prescott, N.L.; Tarr, S.; Coleman, K.; Yoder, B.J.; Crowe, J.P.; Choueiri, T.K.; Dawson, A.E.; Budd, G.T.; et al. Breast cancers with brain metastases are more likely to be estrogen receptor negative, express the basal cytokeratin CK5/6, and overexpress HER2 or EGFR. Am. J. Surg. Pathol. 2006, 30, 1097–1104. [Google Scholar] [CrossRef] [PubMed]
- Rouzier, R.; Perou, C.M.; Symmans, W.F.; Ibrahim, N.; Cristofanilli, M.; Anderson, K.; Hess, K.R.; Stec, J.; Ayers, M.; Wagner, P.; et al. Breast cancer molecular subtypes respond differently to preoperative chemotherapy. Clin. Cancer Res. 2005, 11, 5678–5685. [Google Scholar] [CrossRef]
- Carey, L.A.; Dees, E.C.; Sawyer, L.; Gatti, L.; Moore, D.T.; Collichio, F.; Ollila, D.W.; Sartor, C.I.; Graham, M.L.; Perou, C.M. The triple negative paradox: Primary tumor chemosensitivity of breast cancer subtypes. Clin. Cancer Res. 2007, 13, 2329–2334. [Google Scholar] [CrossRef] [PubMed]
- Perou, C.M.; Sørlie, T.; Eisen, M.B.; Van De Rijn, M.; Jeffrey, S.S.; Rees, C.A.; Pollack, J.R.; Ross, D.T.; Johnsen, H.; Akslen, L.A.; et al. Molecular portraits of human breast tumours. Nature 2000, 406, 747–752. [Google Scholar] [CrossRef]
- Lehmann, B.D.; Bauer, J.A.; Chen, X.; Sanders, M.E.; Chakravarthy, A.B.; Shyr, Y.; Pietenpol, J.A. Identification of human triple-negative breast cancer subtypes and preclinical models for selection of targeted therapies. J. Clin. Investig. 2011, 121, 2750–2767. [Google Scholar] [CrossRef]
- Lehmann, B.D.; Pietenpol, J.A. Identification and use of biomarkers in treatment strategies for triple-negative breast cancer subtypes. J. Pathol. 2014, 232, 142–150. [Google Scholar] [CrossRef]
- Burstein, M.D.; Tsimelzon, A.; Poage, G.M.; Covington, K.R.; Contreras, A.; Fuqua, S.; Savage, M.I.; Osborne, C.K.; Hilsenbeck, S.G.; Chang, J.C.; et al. Comprehensive genomic analysis identifies novel subtypes and targets of triple-negative breast cancer. Clin. Cancer Res. 2015, 21, 1688–1698. [Google Scholar] [CrossRef]
- Prat, A.; Pineda, E.; Adamo, B.; Galván, P.; Fernández, A.; Gaba, L.; Díez, M.; Viladot, M.; Arance, A.; Muñoz, M. Clinical implications of the intrinsic molecular subtypes of breast cancer. Breast 2015, 24, S26–S35. [Google Scholar] [CrossRef] [PubMed]
- Gazinska, P.; Grigoriadis, A.; Brown, J.P.; Millis, R.R.; Mera, A.; Gillett, C.E.; Holmberg, L.H.; Tutt, A.N.; Pinder, S.E. Comparison of basal-like triple-negative breast cancer defined by morphology, immunohistochemistry, and transcriptional profiles. Mod. Pathol. 2013, 26, 955–966. [Google Scholar] [CrossRef] [PubMed]
- Thike, A.A.; Cheok, P.Y.; Jara-Lazaro, A.R.; Tan, B.; Tan, P.; Tan, P.H. Triple-negative breast cancer: Clinicopathological characteristics and relationship with basal-like breast cancer. Mod. Pathol. 2010, 23, 123–133. [Google Scholar] [CrossRef] [PubMed]
- Rakha, E.A.; Reis-Filho, J.S.; Ellis, I.O. Basal-like breast cancer: A critical review. J. Clin. Oncol. 2008, 26, 2568–2581. [Google Scholar] [CrossRef] [PubMed]
- Livasy, C.A.; Karaca, G.; Nanda, R.; Tretiakova, M.S.; Olopade, O.I.; Moore, D.T.; Perou, C.M. Phenotypic evaluation of the basal-like subtype of invasive breast carcinoma. Mod. Pathol. 2006, 19, 264–271. [Google Scholar] [CrossRef] [PubMed]
- Haupt, B.; Ro, J.Y.; Schwartz, M.R. Basal-like breast carcinoma: A phenotypically distinct entity. Arch. Pathol. Lab. Med. 2010, 134, 130–133. [Google Scholar] [CrossRef] [PubMed]
- Da Silva, L.; Clarke, C.; Lakhani, S.R. Demystifying basal-like breast carcinomas. J. Clin. Pathol. 2007, 60, 1328–1332. [Google Scholar] [CrossRef] [PubMed]
- Putti, T.C.; El-Rehim, D.M.; Rakha, E.A.; Paish, C.E.; Lee, A.H.S.; Pinder, S.E.; Ellis, I.O. Estrogen receptor-negative breast carcinomas: A review of morphology and immunophenotypical analysis. Mod. Pathol. 2005, 18, 26–35. [Google Scholar] [CrossRef]
- Winter, J. Morphological and immunophenotypic analysis of basal-like carcinoma of the breast. Biosci. Horiz. 2008, 1, 19–27. [Google Scholar] [CrossRef]
- Lokuhetty, D.; White, V.A.; Watanabe, R.; Cree, I.A. (Eds.) WHO Classification of Tumors, Breast Tumours, 15th ed.; IARC: Lyon, France, 2019. [Google Scholar]
- Cserni, G.; Quinn, C.M.; Foschini, M.P.; Bianchi, S.; Callagy, G.; Chmielik, E.; Decker, T.; Fend, F.; Kovács, A.; van Diest, P.J.; et al. Triple-negative breast cancer histological subtypes with a favourable prognosis. Cancers 2021, 13, 5694. [Google Scholar] [CrossRef]
- Loi, S.; Salgado, R.; Adams, S.; Pruneri, G.; Francis, P.A.; Lacroix-Triki, M.; Joensuu, H.; Dieci, M.V.; Badve, S.; Demaria, S.; et al. Tumor infiltrating lymphocyte stratification of prognostic staging of early-stage triple negative breast cancer. NPJ Breast Cancer 2022, 8, 3. [Google Scholar] [CrossRef] [PubMed]
- Balatoni, T.; Mohos, A.; Papp, E.; Sebestyén, T.; Liszkay, G.; Oláh, J.; Varga, A.; Lengyel, Z.; Emri, G.; Gaudi, I.; et al. Tumor-infiltrating immune cells as potential biomarkers predicting response to treatment and survival in patients with metastatic melanoma receiving ipilimumab therapy. Cancer Immunol. Immunother. 2018, 67, 141–151. [Google Scholar] [CrossRef] [PubMed]
- Zheng, X.; Song, X.; Shao, Y.; Xu, B.; Chen, L.; Zhou, Q.; Hu, W.; Zhang, D.; Wu, C.; Tao, M.; et al. Prognostic role of tumor-infiltrating lymphocytes in gastric cancer: A meta-analysis. Oncotarget 2017, 8, 57386. [Google Scholar] [CrossRef] [PubMed]
- Galon, J.; Pagès, F.; Marincola, F.M.; Thurin, M.; Trinchieri, G.; Fox, B.A.; Gajewski, T.F.; Ascierto, P.A. The immune score as a new possible approach for the classification of cancer. J. Transl. Med. 2012, 10, 1. [Google Scholar] [CrossRef] [PubMed]
- Salgado, R.; Denkert, C.; Demaria, S.; Sirtaine, N.; Klauschen, F.; Pruneri, G.; Wienert, S.; Van den Eynden, G.; Baehner, F.L.; Penault-Llorca, F.; et al. The evaluation of tumor-infiltrating lymphocytes (TILs) in breast cancer: Recommendations by an International TILs Working Group 2014. Ann. Oncol. 2015, 26, 259–271. [Google Scholar] [CrossRef] [PubMed]
- Denkert, C.; Loibl, S.; Noske, A.; Roller, M.; Muller, B.; Komor, M.; Budczies, J.; Darb-Esfahani, S.; Kronenwett, R.; Hanusch, C.; et al. Tumor-associated lymphocytes as an independent predictor of response to neoadjuvant chemotherapy in breast cancer. J. Clin. Oncol. 2010, 28, 105–113. [Google Scholar] [CrossRef]
- Ahn, S.; Cho, J.; Sung, J.; Lee, J.E.; Nam, S.J.; Kim, K.M.; Cho, E.Y. The prognostic significance of tumor-associated stroma in invasive breast carcinoma. Tumor Biol. 2012, 33, 1573–1580. [Google Scholar] [CrossRef]
- Denkert, C.; von Minckwitz, G.; Brase, J.C.; Sinn, B.V.; Gade, S.; Kronenwett, R.; Pfitzner, B.M.; Salat, C.; Loi, S.; Schmitt, W.D.; et al. Tumor-infiltrating lymphocytes and response to neoadjuvant chemotherapy with or without Carboplatin in human epidermal growth factor receptor 2-positive and triple-negative primary breast cancers. J. Clin. Oncol. 2015, 33, 983–991. [Google Scholar] [CrossRef]
- Scanlan, M.J.; Simpson, A.J.; Old, L.J. The cancer/testis genes: Review, standardization, and commentary. Cancer Immun. 2004, 4, 1. [Google Scholar]
- Čeprnja, T.; Mrklić, I.; Perić Balja, M.; Marušić, Z.; Blažićević, V.; Spagnoli, G.C.; Juretić, A.; Čapkun, V.; Tečić Vuger, A.; Vrdoljak, E.; et al. Prognostic significance of lymphocyte infiltrate localization in triple-negative breast cancer. J. Pers. Med. 2022, 12, 941. [Google Scholar] [CrossRef]
- Curigliano, G.; Viale, G.; Ghioni, M.; Jungbluth, A.A.; Bagnardi, V.; Spagnoli, G.C.; Neville, A.M.; Nolè, F.; Rotmensz, N.; Goldhirsch, A. Cancer–testis antigen expression in triple-negative breast cancer. Ann. Oncol. 2011, 22, 98–103. [Google Scholar] [CrossRef] [PubMed]
- Ademuyiwa, F.O.; Bshara, W.; Attwood, K.; Morrison, C.; Edge, S.B.; Karpf, A.R.; James, S.A.; Ambrosone, C.B.; O’Connor, T.L.; Levine, E.G.; et al. NY-ESO-1 cancer testis antigen demonstrates high immunogenicity in triple negative breast cancer. PLoS ONE 2012, 7, e38783. [Google Scholar] [CrossRef]
- Mrklić, I.; Spagnoli, G.C.; Juretić, A.; Pogorelić, Z.; Tomić, S. Co-expression of cancer testis antigens and topoisomerase 2-alpha in triple negative breast carcinomas. Acta Histochem. 2014, 116, 740–746. [Google Scholar] [CrossRef] [PubMed]
- Karn, T.; Pusztai, L.; Ruckhäberle, E.; Liedtke, C.; Müller, V.; Schmidt, M.; Metzler, D.; Wang, J.; Coombes, K.R.; Gätje, R.; et al. Melanoma antigen family A identified by the bimodality index defines a subset of triple negative breast cancers as candidates for immune response augmentation. Eur. J. Cancer 2012, 48, 12–23. [Google Scholar] [CrossRef] [PubMed]
- Tessari, A.; Pilla, L.; Silvia, D.; Duca, M.; Paolini, B.; Carcangiu, M.L.; Mariani, L.; de Braud, F.G.; Cresta, S. Expression of NY-ESO-1, MAGE-A3, PRAME and WT1 in different subgroups of breast cancer: An indication to immunotherapy? Breast 2018, 42, 68–73. [Google Scholar] [CrossRef] [PubMed]
- van der Bruggen, P.; Traversari, C.; Chomez, P.; Lurquin, C.; De Plaen, E.; Van den Eynde, B.; Knuth, A.; Boon, T. A gene encoding an antigen recognized by cytolytic T lymphocytes on a human melanoma. Science 1991, 254, 1643–1647. [Google Scholar] [CrossRef] [PubMed]
- Yang, P.; Meng, M.; Zhou, Q. Oncogenic cancer/testis antigens are a hallmark of cancer and a sensible target for cancer immunotherapy. Biochim. Biophys. Acta (BBA)-Rev. Cancer 2021, 1876, 188558. [Google Scholar]
- Ho-Yen, C.; Bowen, R.L.; Jones, J.L. Characterization of basal-like breast cancer: An update. Diagn. Histopathol. 2012, 18, 104–111. [Google Scholar] [CrossRef]
- Mrklić, I.; Pogorelić, Z.; Ćapkun, V.; Tomić, S. Expression of androgen receptors in triple negative breast carcinomas. Acta Histochem. 2013, 115, 344–348. [Google Scholar] [CrossRef]
- Cao, L.; Niu, Y. Triple negative breast cancer: Special histological types and emerging therapeutic methods. Cancer Biol. Med. 2020, 17, 293. [Google Scholar] [CrossRef]
- Honma, N.; Ogata, H.; Yamada, A.; Matsuda, Y.; Kontani, K.; Miyashita, M.; Arai, T.; Sasaki, E.; Shibuya, K.; Mikami, T.; et al. Clinicopathological characteristics and prognostic marker of triple-negative breast cancer in older women. Hum. Pathol. 2021, 111, 10–20. [Google Scholar] [CrossRef] [PubMed]
- Liao, H.Y.; Zhang, W.W.; Sun, J.Y.; Li, F.Y.; He, Z.Y.; Wu, S.G. The clinicopathological features and survival outcomes of different histological subtypes in triple-negative breast cancer. J. Cancer 2018, 9, 296. [Google Scholar] [CrossRef] [PubMed]
- Badowska-Kozakiewicz, A.M.; Budzik, M.P.; Liszcz, A.; Sobieraj, M.T.; Czerw, A.I.; Sobol, M.; Patera, J.; Deptała, A. Clinicopathological factors associated with novel prognostic markers for patients with triple negative breast cancer. Arch. Med. Sci. AMS 2019, 15, 1433. [Google Scholar] [CrossRef] [PubMed]
- Fulford, L.G.; Easton, D.F.; Reis-Filho, J.S.; Sofronis, A.; Gillett, C.E.; Lakhani, S.R.; Hanby, A. Specific morphological features predictive for the basal phenotype in grade 3 invasive ductal carcinoma of breast. Histopathology 2006, 49, 22–34. [Google Scholar] [CrossRef]
- Bauer, K.R.; Brown, M.; Cress, R.D.; Parise, C.A.; Caggiano, V. Descriptive analysis of estrogen receptor (ER)-negative, progesterone receptor (PR)-negative, and HER2-negative invasive breast cancer, the so-called triple-negative phenotype: A population-based study from the California cancer Registry. Cancer 2007, 109, 1721–1728. [Google Scholar] [CrossRef]
- Monnot, G.C.; Romero, P. Rationale for immunological approaches to breast cancer therapy. Breast 2018, 37, 187–195. [Google Scholar] [CrossRef]
- Zgura, A.; Galesa, L.; Bratila, E.; Anghel, R. Relationship between tumor infiltrating lymphocytes and progression in breast cancer. Maedica 2018, 13, 317–320. [Google Scholar]
- Chin, Y.; Janseens, J.; Vandepitte, J.; Vandenbrande, J.; Opdebeek, L.; Raus, J. Phenotypic analysis of tumor infiltrating lymphocytes from human breast cancer. Anticancer Res. 1992, 12, 1463–1466. [Google Scholar] [PubMed]
- Kos, Z.; Roblin, E.; Kim, R.S.; Michiels, S.; Gallas, B.D.; Chen, W.; van de Vijver, K.K.; Goel, S.; Adams, S.; Demaria, S.; et al. Pitfalls in assessing stromal tumor infiltrating lymphocytes (sTILs) in breast cancer. NPJ Breast Cancer 2020, 6, 17. [Google Scholar] [CrossRef]
- Amgad, M.; Stovgaard, E.S.; Balslev, E.; Thagaard, J.; Chen, W.; Dudgeon, S.; Sharma, A.; Kerner, J.K.; Denkert, C.; Yuan, Y.; et al. Report on computational assessment of Tumor Infiltrating Lymphocytes from the International Immuno-Oncology Biomarker Working Group. NPJ Breast Cancer 2020, 6, 16. [Google Scholar] [CrossRef]
- Liu, S.; Lachapelle, J.; Leung, S.; Gao, D.; Foulkes, W.D.; Nielsen, T.O. CD8+ lymphocyte infiltration is an independent favorable prognostic indicator in basal-like breast cancer. Breast Cancer Res. 2012, 14, R48. [Google Scholar] [CrossRef] [PubMed]
- Figenschau, S.L.; Fismen, S.; Fenton, K.A.; Fenton, C.; Mortensen, E.S. Tertiary lymphoid structures are associated with higher tumor grade in primary operable breast cancer patients. BMC Cancer 2015, 15, 101. [Google Scholar] [CrossRef] [PubMed]
- Stanton, S.E.; Adams, S.; Disis, M.L. Variation in the incidence and magnitude of tumor-infiltrating lymphocytes in breast cancer subtypes: A systematic review. JAMA Oncol. 2016, 2, 1354–1360. [Google Scholar] [CrossRef] [PubMed]
- Chen, L.; Han, X. Anti–PD-1/PD-L1 therapy of human cancer: Past, present, and future. J. Clin. Investig. 2015, 125, 3384–3391. [Google Scholar] [CrossRef] [PubMed]
- Planes-Laine, G.; Rochigneux, P.; Bertucci, F.; Chretien, A.S.; Viens, P.; Sabatier, R.; Gonçalves, A. PD-1/PD-L1 targeting in breast cancer: The first clinical evidences are emerging. A literature review. Cancers 2019, 11, 1033. [Google Scholar] [CrossRef]
- Tumeh, P.C.; Harview, C.L.; Yearley, J.H.; Shintaku, I.P.; Taylor, E.J.; Robert, L.; Chmielowski, B.; Spasic, M.; Henry, G.; Ciobanu, V.; et al. PD-1 blockade induces responses by inhibiting adaptive immune resistance. Nature 2014, 515, 568–571. [Google Scholar] [CrossRef]
- Loi, S.; Sirtaine, N.; Piette, F.; Salgado, R.; Viale, G.; Van Eenoo, F.; Rouas, G.; Francis, P.; Crown, J.P.; Hitre, E.; et al. Prognostic and predictive value of tumor-infiltrating lymphocytes in a phase III randomized adjuvant breast cancer trial in node-positive breast cancer comparing the addition of docetaxel to doxorubicin with doxorubicin-based chemotherapy: BIG 02-98. J. Clin. Oncol. 2013, 31, 860–867. [Google Scholar] [CrossRef] [PubMed]
- Adams, S.; Gray, R.J.; Demaria, S.; Goldstein, L.J.; Perez, E.A.; Shulman, L.N.; Martino, S.; Wang, M.; Jones, V.E.; Saphner, T.J.; et al. Prognostic Value of Tumor-Infiltrating Lymphocytes (TILs) in Triple Negative Breast Cancers (TNBC) from two Phase III Randomized Adjuvant Breast Cancer Trials: ECOG 2197 and ECOG 1199. J. Clin. Oncol. 2014, 32, 2959–2966. [Google Scholar] [CrossRef]
- Loi, S.; Michiels, S.; Salgado, R.; Sirtaine, N.; Jose, V.; Fumagalli, D.; Kellokumpu-Lehtinen, P.L.; Bono, P.; Kataja, V.; Desmedt, C.; et al. Tumor infiltrating lymphocytes is prognostic and predictive for trastuzumab benefit in early breast cancer: Results from the FinHER trial. Ann. Oncol. 2014, 25, 1544–1550. [Google Scholar] [CrossRef]
- Dieci, M.V.; Mathieu, M.C.; Guarneri, V.; Conte, P.; Delaloge, S.; Andre, F.; Goubar, A. Prognostic and predictive value of tumor-infiltrating lymphocytes in two phase III randomized adjuvant breast cancer trials. Ann. Oncol. 2015, 26, 1698–1704. [Google Scholar] [CrossRef]
- Mahmoud, A.M. Cancer testis antigens as immunogenic and oncogenic targets in breast cancer. Immunotherapy 2018, 10, 769–778. [Google Scholar] [CrossRef] [PubMed]
- Tashireva, L.A.; Zavyalova, M.V.; Savelieva, O.E.; Gerashchenko, T.S.; Kaigorodova, E.V.; Denisov, E.V.; Perelmuter, V.M. Single tumor cells with epithelial-like morphology are associated with breast cancer metastasis. Front. Oncol. 2020, 10, 50. [Google Scholar] [CrossRef] [PubMed]
- Hamai, A.; Memeo, L.; Colarossi, C.; Canzonieri, V.; Perin, T.; Ayyoub, M.; Valmori, D. Expression of MAGE-A antigens is frequent in triple-negative breast cancers but does not correlate with that of basal-like markers. Ann. Oncol. 2011, 22, 986–987. [Google Scholar] [CrossRef] [PubMed]
- Gjerstorff, M.F.; Burns, J.; Ditzel, H.J. Cancer-germline antigen vaccines and epigenetic enhancers: Future strategies for cancer treatment. Expert Opin. Biol. Ther. 2010, 10, 1061–1075. [Google Scholar] [CrossRef] [PubMed]
- Elston, C.W.; Ellis, I.O. Pathological prognostic factors in breast cancer. I. The value of histological grade in breast cancer: Experience from a large study with long-term follow-up. Histopathology 1991, 19, 403–410. [Google Scholar] [CrossRef] [PubMed]
- Brierly, J.D.; Gospodarowicz, M.K.; Wittekind, C. (Eds.) TNM Classification of Malignant Tumors, 8th ed.; UICC: Geneva, Switzerland; John Wiley and Sons: Hoboken, NJ, USA, 2017. [Google Scholar]
- Jungbluth, A.A.; Busam, K.J.; Kolb, D.; Iversen, K.; Coplan, K.; Chen, Y.T.; Spagnoli, G.C.; Old, L.J. Expression of MAGE-antigens in normal tissues and cancer. Int. J. Cancer 2000, 85, 460–465. [Google Scholar] [CrossRef]
- Wolff, A.C.; Hammond, M.E.; Allison, K.H.; Harvey, B.E.; Mangu, P.B.; Bartlett, J.M.S.; Bilous, M.; Ellis, I.O.; Fitzgibbons, P.; Hanna, W.; et al. Human epidermal growth factor receptor 2 testing in breast cancer: American Society of Clinical Oncology/College of American Pathologists clinical practice guideline focused update. J. Clin. Oncol. 2018, 36, 2105–2122. [Google Scholar] [CrossRef] [PubMed]
- Allison, K.H.; Hammond, M.E.; Dowsett, M.; McKernin, S.E.; Carey, L.A.; Fitzgibbons, P.L.; Hayes, D.F.; Lakhani, S.R.; Chavez-MacGregor, M.; Perlmutter, J.; et al. Estrogen and progesterone receptor testing in breast cancer: ASCO/CAP guideline update. J. Clin. Oncol. 2020, 38, 1346–1366. [Google Scholar] [CrossRef]
- Dowsett, M.; Nielsen, T.O.; A’Hern, R.; Bartlett, J.; Coombes, R.C.; Cuzick, J.; Ellis, M.; Henry, N.L.; Hugh, J.C.; Lively, T.; et al. Assessment of Ki67 in breast cancer: Recommendations from the International Ki67 in Breast Cancer working group. J. Natl. Cancer Inst. 2011, 103, 1656–1664. [Google Scholar] [CrossRef]


| Variables | Non-LPBC (n = 86; 89%) | LPBC (n = 11; 11%) | p | |
|---|---|---|---|---|
| Age (years) | Median (IQR) | 66.5 (55, 64) | 60 (54, 80) | 0.820 |
| Ki-67 (%) | Median (IQR) | 51 (35, 75) | 65 (60, 80) | 0.040 |
| Tumor size (cm) | Median (IQR) | 2.1 (1.6, 3) | 1.9 (1.1, 3) | 0.588 |
| Histologic grade * | 2; n (%) | 17 (20) | 1 (9) | 0.644 |
| 3; n (%) | 68 (80) | 10 (91) | ||
| Histologic type | NOS; n (%) | 70 (81) | 9 (82) | 0.999 |
| Other subtypes; n (%) | 16 (19) | 2 (18) | ||
| Intratumoral TIL (%) | Median (IQR) | 1.5 (1, 5) | 5 (5, 10) | <0.001 |
| Primary lymphoid aggregates | n (%) | 57 (66) | 9 (82) | 0.486 |
| Secondary lymphoid aggregates | n (%) | 11 (13) | 3 (27) | 0.406 |
| BL morphology | n (%) | 41 (48) | 6 (55) | 0.913 |
| Multi-MAGE-A ** | <10%; n (%) | 15 (18) | 4 (36) | 0.287 |
| ≥10%; n (%) | 70 (82) | 7 (64) | ||
| PD-L1 | Positive; n (%) | 36 (42) | 11 (11) | 0.001 |
| Variables | Non-BL Morphology (n = 50; 51%) | BL Morphology (n = 47; 49%) | p | OR (95% CI) | p *** | |
|---|---|---|---|---|---|---|
| Age (years) | Median (IQR) | 68.5 (57, 78) | 61 (53, 72) | 0.139 | ||
| Ki-67 (%) | Median (IQR) | 49 (30, 70) | 65 (40, 80) | 0.001 | ||
| Tumor size (cm) | Median (IQR) | 2 (1.5, 3) | 2,3 (1.8, 3.5) | 0.324 | ||
| Histologic grade * | 2; n (%) | 15 (31) | 3 (6,4) | 0.005 | 6.5 (1.7–24) | 0.005 |
| 3; n (%) | 34 (69) | 44 (94) | ||||
| Histologic type | NOS; n (%) | 37 (74) | 42 (89) | 0.092 | 2.9 (0.96–9) | 0.059 |
| Other subtypes; n (%) | 13 (26) | 5 (11) | ||||
| PD-L1 positive | n (%) | 21 (42) | 26 (55) | 0.268 | ||
| Intratumoral TIL (%) | Median (IQR) | 2 (1–5) | 1 (1–5) | 0.512 | ||
| Primary lymphoid aggregates | n (%) | 34 (68) | 32 (68) | 0.999 | ||
| Secondary lymphoid aggregates | n (%) | 10 (20) | 4 (8) | 0.187 | ||
| Multi-MAGE-A ** | <10%; n (%) | 14 (29) | 5 (11) | 0.051 | 3.4 (1.1–10) | 0.033 |
| ≥10%; n (%) | 35 (71) | 42 (89) |
| Variables | NOS (n = 79; 83%) | Other Subtypes (n = 16; 17%) | p | |
|---|---|---|---|---|
| Age (years) | Median (IQR) | 65 (54, 73) | 70 (61, 78) | 0.187 |
| Ki-67 (%) | Median (IQR) | 60 (40, 80) | 31 (13, 57) | 0.001 |
| Size of tumor (cm) | Median (IQR) | 2 (1.5, 3) | 2.6 (1.6, 4.9) | 0.235 |
| Histologic grade * | 2; n (%) | 10 (13) | 7 (44) | 0.009 |
| 3; n (%) | 69 (87) | 9 (56) | ||
| PD-L1 | Positive; n (%) | 42 (53) | 5 (31) | 0.185 |
| Intratumoral TIL | Median (IQR) | 2 (1, 5) | 1 (1, 2) | 0.015 |
| Primary lymphoid aggregates | Yes; n (%) | 56 (71) | 10 (63) | 0.714 |
| Secondary lymphoid aggregates | Yes; n (%) | 11 (14) | 3 (19) | 0.912 |
| Multi-MAGE-A ** | <10%; n (%) | 14 (18) | 4 (25) | 0.761 |
| ≥10%; n (%) | 64 (82) | 12 (75) | ||
| BL morphology | Yes; n (%) | 42 (53) | 5 (31) | 0.185 |
| Variables | Multi-MAGE-A Positive (n = 77; 80%) | Multi-MAGE-A Negative (n = 19; 20%) | p | |
|---|---|---|---|---|
| Age (years) | Median (IQR) | 66 (55, 73) | 65 (51, 77) | 0.669 |
| Ki-67 (%) | Median (IQR) | 56 (38, 80) | 50 (30, 70) | 0.287 |
| Size of tumor (cm) | Median (IQR) | 2.1 (1.6, 3) | 2.2 (1.1, 3) | 0.675 |
| Histologic grade * | 2; n (%) | 12 (16) | 6 (32) | 0.214 |
| 3; n (%) | 64 (84) | 13 (68) | ||
| Histologic type | NOS; n (%) | 64 (83) | 14 (74) | 0.538 |
| Other subtypes; n (%) | 13 (17) | 5 (26) | ||
| Intratumoral TIL | Median (IQR) | 2 (1, 5) | 2 (1, 5) | 0.528 |
| LPBC | Yes; n (%) | 7 (9) | 4 (21) | 0.287 |
| Primary lymphoid aggregates | Yes; n (%) | 51 (66) | 15 (79) | 0.427 |
| Secondary lymphoid aggregates | Yes; n (%) | 11 (14) | 3 (16) | 0.999 |
| Variables | Log-Rank Test | Cox Regression Univariate Analysis | ||||||
|---|---|---|---|---|---|---|---|---|
| Average DFS (Months) (SE) | 95% CI | LR | p | RR | 95% CI | p | ||
| Histological type | NOS | 41.7 (1.3) | 39–44 | 0.570 | 0.450 | 1.45 | 0.39–5.4 | 0.577 |
| Other subtypes | 41.6 (3.6) | 35–48 | ||||||
| LPBC | No | 43 (1.4) | 41–46 | 0.108 | 0.743 | 0.730 | 0.094–5.6 | 0.763 |
| Yes | 42 (4) | 35–49 | ||||||
| Multi-MAGE A * | ≥10% | 42.9 (1.9) | 39–47 | 0.115 | 0.735 | 0.827 | 0.27–2.6 | 0.742 |
| <10% | 42 (1.6) | 37–45 | ||||||
| BL morphology | No | 44.3 (1.6) | 41–47 | 0.476 | 0.490 | 1.56 | 0.5–4.9 | 0.450 |
| Yes | 40.5 (1.9) | 37–44 | ||||||
Disclaimer/Publisher’s Note: The statements, opinions and data contained in all publications are solely those of the individual author(s) and contributor(s) and not of MDPI and/or the editor(s). MDPI and/or the editor(s) disclaim responsibility for any injury to people or property resulting from any ideas, methods, instructions or products referred to in the content. |
© 2024 by the authors. Licensee MDPI, Basel, Switzerland. This article is an open access article distributed under the terms and conditions of the Creative Commons Attribution (CC BY) license (https://creativecommons.org/licenses/by/4.0/).
Share and Cite
Čeprnja, T.; Tomić, S.; Perić Balja, M.; Marušić, Z.; Blažićević, V.; Spagnoli, G.C.; Juretić, A.; Čapkun, V.; Vuger, A.T.; Pogorelić, Z.; et al. Prognostic Value of “Basal-like” Morphology, Tumor-Infiltrating Lymphocytes and Multi-MAGE-A Expression in Triple-Negative Breast Cancer. Int. J. Mol. Sci. 2024, 25, 4513. https://doi.org/10.3390/ijms25084513
Čeprnja T, Tomić S, Perić Balja M, Marušić Z, Blažićević V, Spagnoli GC, Juretić A, Čapkun V, Vuger AT, Pogorelić Z, et al. Prognostic Value of “Basal-like” Morphology, Tumor-Infiltrating Lymphocytes and Multi-MAGE-A Expression in Triple-Negative Breast Cancer. International Journal of Molecular Sciences. 2024; 25(8):4513. https://doi.org/10.3390/ijms25084513
Chicago/Turabian StyleČeprnja, Toni, Snježana Tomić, Melita Perić Balja, Zlatko Marušić, Valerija Blažićević, Giulio Cesare Spagnoli, Antonio Juretić, Vesna Čapkun, Ana Tečić Vuger, Zenon Pogorelić, and et al. 2024. "Prognostic Value of “Basal-like” Morphology, Tumor-Infiltrating Lymphocytes and Multi-MAGE-A Expression in Triple-Negative Breast Cancer" International Journal of Molecular Sciences 25, no. 8: 4513. https://doi.org/10.3390/ijms25084513
APA StyleČeprnja, T., Tomić, S., Perić Balja, M., Marušić, Z., Blažićević, V., Spagnoli, G. C., Juretić, A., Čapkun, V., Vuger, A. T., Pogorelić, Z., & Mrklić, I. (2024). Prognostic Value of “Basal-like” Morphology, Tumor-Infiltrating Lymphocytes and Multi-MAGE-A Expression in Triple-Negative Breast Cancer. International Journal of Molecular Sciences, 25(8), 4513. https://doi.org/10.3390/ijms25084513

