Shedding Light on Photodynamic Therapy in the Treatment of Necrobiosis Lipoidica: A Multicenter Real-Life Experience
Abstract
1. Introduction
2. Results
2.1. Patient Characteristics
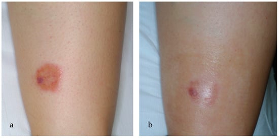
2.2. Efficacy
2.3. Visual Analogue Scale (VAS) Pain
3. Discussion
4. Materials and Methods
4.1. Inclusion and Exclusion Criteria
4.2. Study Design
Baseline Evaluation
4.3. Treatment Received by Patients
4.4. VAS Pain
4.5. Evaluation Post-Treatment
4.6. Objectives and Endpoints
4.7. Statistical Analysis
5. Conclusions and Future Perspectives
Author Contributions
Funding
Institutional Review Board Statement
Informed Consent Statement
Data Availability Statement
Conflicts of Interest
References
- Reid, S.D.; Ladizinski, B.; Lee, K.; Baibergenova, A.; Alavi, A. Update on Necrobiosis Lipoidica: A Review of Etiology, Diagnosis, and Treatment Options. J. Am. Acad. Dermatol. 2013, 69, 783–791. [Google Scholar] [CrossRef]
- Sibbald, C.; Reid, S.; Alavi, A. Necrobiosis Lipoidica. Dermatol. Clin. 2015, 33, 343–360. [Google Scholar] [CrossRef]
- Muller, S.A. Necrobiosis Lipoidica Diabeticorum. A Clinical and Pathological Investigation of 171 Cases. Arch. Dermatol. 1966, 93, 272–281. [Google Scholar] [CrossRef]
- Franklin, C.; Stoffels-Weindorf, M.; Hillen, U.; Dissemond, J. Ulcerated Necrobiosis Lipoidica as a Rare Cause for Chronic Leg Ulcers: Case Report Series of Ten Patients. Int. Wound J. 2015, 12, 548–554. [Google Scholar] [CrossRef] [PubMed]
- Lepe, K.; Riley, C.A.; Salazar, F.J. Necrobiosis Lipoidica; StatPearls Publishing: Treasure Island, FL, USA, 2024. [Google Scholar]
- Borgia, F.; Russo, G.T.; Villari, P.; Guarneri, F.; Cucinotta, D.; Cannavò, S.P. Necrobiosis Lipoidica Associated with Hashimoto’s Thyroiditis and Positive Detection of ANA and ASMA Autoantibodies. Clin. Case Rep. 2015, 3, 539–541. [Google Scholar] [CrossRef] [PubMed]
- Erfurt-Berge, C.; Seitz, A.-T.; Rehse, C.; Wollina, U.; Schwede, K.; Renner, R. Update on Clinical and Laboratory Features in Necrobiosis Lipoidica: A Retrospective Multicentre Study of 52 Patients. Eur. J. Dermatol. 2012, 22, 770–775. [Google Scholar] [CrossRef] [PubMed]
- Ionescu, C.; Petca, A.; Dumitrașcu, M.C.; Petca, R.-C.; Ionescu, A.I.; Șandru, F. The Intersection of Dermatological Dilemmas and Endocrinological Complexities: Understanding Necrobiosis Lipoidica—A Comprehensive Review. Biomedicines 2024, 12, 337. [Google Scholar] [CrossRef] [PubMed]
- Hammer, E.; Lilienthal, E.; Hofer, S.E.; Schulz, S.; Bollow, E.; Holl, R.W. Risk Factors for Necrobiosis Lipoidica in Type 1 Diabetes Mellitus. Diabet. Med. 2017, 34, 86–92. [Google Scholar] [CrossRef] [PubMed]
- Severson, K.J.; Costello, C.M.; Brumfiel, C.M.; Patel, M.H.; Butterfield, R.J.; Nelson, S.A.; Pittelkow, M.R.; Mangold, A.R. Clinical and Morphological Features of Necrobiosis Lipoidica. J. Am. Acad. Dermatol. 2022, 86, 1133–1135. [Google Scholar] [CrossRef] [PubMed]
- Weiss, G.; Shemer, A.; Trau, H. The Koebner Phenomenon: Review of the Literature. J. Eur. Acad. Dermatol. Venereol. 2002, 16, 241–248. [Google Scholar] [CrossRef] [PubMed]
- Prieto-Torres, L.; Bernárdez, C.; Hernández-Ostiz, S.; Pastushenko, I.; Ara-Martin, M.; Requena, L. Necrobiosis Lipoidica Developing within a Surgical Scar in a Non-Diabetic Patient: Type III Koebner Phenomenon (Isomorphic Response), Wolf’s Isotopic Response or Ruocco’s Immunocompromised Cutaneous District? Indian. J. Dermatol. Venereol. Leprol. 2017, 83, 233. [Google Scholar] [CrossRef]
- Boateng, B.; Hiller, D.; Albrecht, H.P.; Hornstein, O.P. Cutaneous Microcirculation in Pretibial Necrobiosis Lipoidica. Comparative Laser Doppler Flowmetry and Oxygen Partial Pressure Determinations in Patients and Healthy Probands. Hautarzt 1993, 44, 581–586. [Google Scholar]
- Ngo, B.; Wigington, G.; Hayes, K.; Huerter, C.; Hillman, B.; Adler, M.; Rendell, M. Skin Blood Flow in Necrobiosis Lipoidica Diabeticorum. Int. J. Dermatol. 2008, 47, 354–358. [Google Scholar] [CrossRef]
- Muller, S.A. Necrobiosis Lipoidica Diabeticorum Histopathologic Study of 98 Cases. Arch. Dermatol. 1966, 94, 1–10. [Google Scholar] [CrossRef]
- Kota, S.; Jammula, S.; Kota, S.; Meher, L.; Modi, K. Necrobiosis Lipoidica Diabeticorum: A Case-Based Review of Literature. Indian. J. Endocrinol. Metab. 2012, 16, 614. [Google Scholar] [CrossRef]
- Quimby, S.R.; Muller, S.A.; Schroeter, A.L. The Cutaneous Immunopathology of Necrobiosis Lipoidica Diabeticorum. Arch. Dermatol. 1988, 124, 1364–1371. [Google Scholar] [CrossRef] [PubMed]
- Johnson, E.; Patel, M.H.; Brumfiel, C.M.; Severson, K.J.; Bhullar, P.; Boudreaux, B.; Butterfield, R.J.; DiCaudo, D.J.; Nelson, S.A.; Pittelkow, M.R.; et al. Histopathologic Features of Necrobiosis Lipoidica. J. Cutan. Pathol. 2022, 49, 692–700. [Google Scholar] [CrossRef] [PubMed]
- Nihal, A.; Caplan, A.S.; Rosenbach, M.; Damsky, W.; Mangold, A.R.; Shields, B.E. Treatment Options for Necrobiosis Lipoidica: A Systematic Review. Int. J. Dermatol. 2023, 62, 1529–1537. [Google Scholar] [CrossRef] [PubMed]
- Kreuter, A.; Knierim, C.; Stucker, M.; Pawlak, F.; Rotterdam, S.; Altmeyer, P.; Gambichler, T. Fumaric Acid Esters in Necrobiosis Lipoidica: Results of a Prospective Noncontrolled Study. Br. J. Dermatol. 2005, 153, 802–807. [Google Scholar] [CrossRef] [PubMed]
- Fertitta, L.; Vignon-Pennamen, M.-D.; Frazier, A.; Guibal, F.; Caumes, E.; Bagot, M.; Bouaziz, J.-D.; Frumholtz, L. Necrobiosis Lipoidica with Bone Involvement Successfully Treated with Infliximab. Rheumatology 2019, 58, 1702–1703. [Google Scholar] [CrossRef] [PubMed]
- Sandhu, V.K.; Alavi, A. The Role of Anti-Tumour Necrosis Factor in Wound Healing: A Case Report of Refractory Ulcerated Necrobiosis Lipoidica Treated with Adalimumab and Review of the Literature. SAGE Open Med. Case Rep. 2019, 7, 2050313X1988159. [Google Scholar] [CrossRef] [PubMed]
- Vetos, D.; Wu, D.J.; Downing, M.B.; Rajpara, A. Adalimumab for Treatment of Severe Ulcerative Sarcoidosis. Dermatol. Online J. 2021, 27, 9. [Google Scholar] [CrossRef] [PubMed]
- Panse, K.; Herrera, M.; Fung, M.; Brassard, A.; Moussa, K. Successful Treatment of Necrobiosis Lipoidica and Associated Retinal Vasculitis with Tumor Necrosis Factor (TNF)-Alpha Inhibitor. Am. J. Ophthalmol. Case Rep. 2023, 32, 101908. [Google Scholar] [CrossRef] [PubMed]
- Barde, C.; Laffitte, E.; Campanelli, A.; Saurat, J.-H.; Thielen, A.-M. Intralesional Infliximab in Noninfectious Cutaneous Granulomas: Three Cases of Necrobiosis Lipoidica. Dermatology 2011, 222, 212–216. [Google Scholar] [CrossRef] [PubMed]
- Conte, H.; Milpied, B.; Kaloga, M.; Lalanne, N.; Belin, E.; Jouary, T.; Taieb, A.; Ezzedine, K. Treatment of Pre-Ulcerative Necrobiosis Lipoidica with Infliximab. Acta Derm. Venereol. 2011, 91, 587–588. [Google Scholar] [CrossRef]
- Guedes, R.; Leite, I.; Baptista, A.; Rocha, N. Ulcerative Necrobiosis Lipoidica: Is There a Place for Anti-TNFα Treatment? Case Rep. Med. 2012, 2012, 854738. [Google Scholar] [CrossRef][Green Version]
- Suárez-Amor, Ó.; Pérez-Bustillo, A.; Ruiz-González, I.; Rodríguez-Prieto, M.Á. Necrobiosis Lipoidica Therapy with Biologicals: An Ulcerated Case Responding to Etanercept and a Review of the Literature. Dermatology 2010, 221, 117–121. [Google Scholar] [CrossRef]
- Zeichner, J.A.; Stern, D.W.K.; Lebwohl, M. Treatment of Necrobiosis Lipoidica with the Tumor Necrosis Factor Antagonist Etanercept. J. Am. Acad. Dermatol. 2006, 54, S120–S121. [Google Scholar] [CrossRef]
- De Rie, M.A.; Sommer, A.; Hoekzema, R.; Neumann, H.A.M. Treatment of Necrobiosis Lipoidica with Topical Psoralen plus Ultraviolet A. Br. J. Dermatol. 2002, 147, 743–747. [Google Scholar] [CrossRef]
- Morton, C.A.; Szeimies, R.-M.; Basset-Séguin, N.; Calzavara-Pinton, P.G.; Gilaberte, Y.; Hædersdal, M.; Hofbauer, G.F.L.; Hunger, R.E.; Karrer, S.; Piaserico, S.; et al. European Dermatology Forum Guidelines on Topical Photodynamic Therapy 2019 Part 2: Emerging Indications—Field Cancerization, Photorejuvenation and Inflammatory/Infective Dermatoses. J. Eur. Acad. Dermatol. Venereol. 2020, 34, 17–29. [Google Scholar] [CrossRef]
- Calzavara-Pinton, P.G.; Rossi, M.T.; Aronson, E.; Sala, R. A Retrospective Analysis of Real-Life Practice of off-Label Photodynamic Therapy Using Methyl Aminolevulinate (MAL-PDT) in 20 Italian Dermatology Departments. Part 1: Inflammatory and Aesthetic Indications. Photochem. Photobiol. Sci. 2012, 12, 148–157. [Google Scholar] [CrossRef]
- Peckruhn, M.; Tittelbach, J.; Elsner, P. Update: Treatment of Necrobiosis Lipoidica. JDDG J. Der Dtsch. Dermatol. Ges. 2017, 15, 151–157. [Google Scholar] [CrossRef]
- Anzengruber, F.; Mergenthaler, C.; Murer, C.; Dummer, R. Potassium Iodide for Cutaneous Inflammatory Disorders: A Monocentric, Retrospective Study. Dermatology 2019, 235, 137–143. [Google Scholar] [CrossRef]
- Erfurt-Berge, C.; Heusinger, V.; Reinboldt-Jockenhöfer, F.; Dissemond, J.; Renner, R. Comorbidity and Therapeutic Approaches in Patients with Necrobiosis Lipoidica. Dermatology 2022, 238, 148–155. [Google Scholar] [CrossRef]
- Stanway, A.; Rademaker, M.; Newman, P. Healing of Severe Ulcerative Necrobiosis Lipoidica with Cyclosporin. Australas. J. Dermatol. 2004, 45, 119–122. [Google Scholar] [CrossRef]
- Aslan, E.; Körber, A.; Grabbe, S.; Dissemond, J. Erfolgreiche Therapie Einer Exulzerierten Necrobiosis Lipoidica Non Diabeticorum Mit Ciclosporin. Der Hautarzt 2007, 58, 684–688. [Google Scholar] [CrossRef]
- Patrone, P.; Stinco, G.; Elena Parlangeli, M.; De Francesco, V.; Frattasio, A.; Germino, M. Ulcerated Necrobiosis Lipoidica Treated with Cyclosporin A. Acta Derm. Venereol. 2003, 83, 151–153. [Google Scholar] [CrossRef] [PubMed]
- West, E.; Warren, R.; King, C. A Case of Recalcitrant Necrobiosis Lipoidica Responding to Combined Immunosuppression Therapy. J. Eur. Acad. Dermatol. Venereol. 2007, 21, 830–831. [Google Scholar] [CrossRef] [PubMed]
- Blevins, M. Atypical Ulcerative Necrobiosis Lipoidica Diabeticorum: A Case Study. Int. J. Low. Extrem. Wounds 2023, 22, 185–189. [Google Scholar] [CrossRef] [PubMed]
- Burns, E.; Ukoha, U.; Chan, A. Necrobiosis Lipoidica with Rapid Response to Doxycycline. Pediatr. Dermatol. 2020, 37, 981–982. [Google Scholar] [CrossRef] [PubMed]
- Elzaouk, E.; Bourlond, F.; Scrivener, Y.; Cribier, B. Post-Traumatic Ulcerated and Chronic Necrobiosis Lipoidica of the Elbow: A New Entity? Ann. Dermatol. Venereol. 2023, 150, 185–188. [Google Scholar] [CrossRef]
- Basoulis, D.; Fragiadaki, K.; Tentolouris, N.; Sfikakis, P.P.; Kokkinos, A. Anti-TNFα Treatment for Recalcitrant Ulcerative Necrobiosis Lipoidica Diabeticorum: A Case Report and Review of the Literature. Metabolism 2016, 65, 569–573. [Google Scholar] [CrossRef]
- Hassoun, L.A.; Sivamani, R.K.; Sharon, V.R.; Silverstein, M.A.; Burrall, B.A.; Tartar, D.M. Ustekinumab to Target Granulomatous Dermatitis in Recalcitrant Ulcerative Necrobiosis Lipoidica: Case Report and Proposed Mechanism. Dermatol. Online J. 2017, 23, 18. [Google Scholar] [CrossRef]
- Pourang, A.; Sivamani, R.K. Treatment-Resistant Ulcerative Necrobiosis Lipoidica in a Diabetic Patient Responsive to Ustekinumab. Dermatol. Online J. 2019, 25, 11. [Google Scholar] [CrossRef]
- Beatty, P.; Killion, L.; Blake, C.; Kelly, G.; Tobin, A. Ulcerating Necrobiosis Lipoidica Successfully Treated with Ustekinumab. Australas. J. Dermatol. 2021, 62, e473–e474. [Google Scholar] [CrossRef] [PubMed]
- McMullan, P.; Khan, A.; Adalsteinsson, J.A.; Waldman, R.; Stewart, C.; Sloan, B.; Rothe, M. Treatment of Recalcitrant Disseminated Ulcerative Necrobiosis Lipoidica with Ustekinumab. JAAD Case Rep. 2023, 41, 52–56. [Google Scholar] [CrossRef] [PubMed]
- Zhang, K.S.; Quan, L.T.; Hsu, S. Treatment of Necrobiosis Lipoidica with Etanercept and Adalimumab. Dermatol. Online J. 2009, 15, 12. [Google Scholar] [CrossRef] [PubMed]
- Leister, L.; Körber, A.; Dissemond, J. Erfolgreiche Behandlung Einer Patientin Mit Therapierefraktärer, Exulzerierter Necrobiosis Lipoidica Non Diabeticorum Mit Adalimumab. Der Hautarzt 2013, 64, 509–511. [Google Scholar] [CrossRef] [PubMed]
- Damsky, W.; Singh, K.; Galan, A.; King, B. Treatment of Necrobiosis Lipoidica with Combination Janus Kinase Inhibition and Intralesional Corticosteroid. JAAD Case Rep. 2020, 6, 133–135. [Google Scholar] [CrossRef] [PubMed]
- Nugent, S.; Coromilas, A.J.; English, J.C.; Rosenbach, M. Improvement of Necrobiosis Lipoidica with Topical Ruxolitinib Cream after Prior Nonresponse to Compounded Topical Tofacitinib Cream. JAAD Case Rep. 2022, 29, 25–26. [Google Scholar] [CrossRef] [PubMed]
- McPhie, M.L.; Swales, W.C.; Gooderham, M.J. Improvement of Granulomatous Skin Conditions with Tofacitinib in Three Patients: A Case Report. SAGE Open Med. Case Rep. 2021, 9, 2050313X2110394. [Google Scholar] [CrossRef]
- Baccarani, A.; De Maria, F.; Pappalardo, M.; Pedone, A.; De Santis, G. Necrobiosis Lipoidica Affecting the Leg: What Is the Best Treatment in a Patient with Very High Aesthetic Demand? Plast. Reconstr. Surg. Glob. Open 2020, 8, e3000. [Google Scholar] [CrossRef]
- Fulgencio-Barbarin, J.; Conde Montero, E. Sequential Punch Grafting for Treatment of Ulcerative Necrobiosis Lipoidica. J. Tissue Viability 2022, 31, 560–561. [Google Scholar] [CrossRef]
- Ehlers, S. Tumor Necrosis Factor and Its Blockade in Granulomatous Infections: Differential Modes of Action of Infliximab and Etanercept? Clin. Infect. Dis. 2005, 41, S199–S203. [Google Scholar] [CrossRef]
- Heidelberger, V.; Ingen-Housz-Oro, S.; Marquet, A.; Mahevas, M.; Bessis, D.; Bouillet, L.; Caux, F.; Chapelon-Abric, C.; Debarbieux, S.; Delaporte, E.; et al. Efficacy and Tolerance of Anti–Tumor Necrosis Factor α Agents in Cutaneous Sarcoidosis. JAMA Dermatol. 2017, 153, 681. [Google Scholar] [CrossRef]
- Chen, A.; Truong, A.K.; Worswick, S. The Role of Biologics in the Treatment of Chronic Granuloma Annulare. Int. J. Dermatol. 2019, 58, 622–626. [Google Scholar] [CrossRef]
- Dai, C.; Shih, S.; Ansari, A.; Kwak, Y.; Sami, N. Biologic Therapy in the Treatment of Cutaneous Sarcoidosis: A Literature Review. Am. J. Clin. Dermatol. 2019, 20, 409–422. [Google Scholar] [CrossRef]
- Li Pomi, F.; Macca, L.; Peterle, L.; Romeo, P.; Vaccaro, M.; Borgia, F. Photodynamic Therapy for Intergluteal Warts in a Child Affected by Rett Syndrome. Photodiagnosis Photodyn. Ther. 2023, 42, 103620. [Google Scholar] [CrossRef] [PubMed]
- Li Pomi, F.; Peterle, L.; Vaccaro, M.; Borgia, F. Daylight Photodynamic Therapy for Cutaneous Leishmaniasis in a Pediatric Setting: A Case Report and Literature Review. Photodiagnosis Photodyn. Ther. 2023, 44, 103800. [Google Scholar] [CrossRef] [PubMed]
- Li Pomi, F.; Vaccaro, M.; Peterle, L.; Borgia, F. Photodynamic Therapy for Severe Acne. Photodiagnosis Photodyn. Ther. 2024, 45, 103893. [Google Scholar] [CrossRef] [PubMed]
- Condorelli, A.G.; Motolese, A.; Borgia, F.; Di Bartolomeo, L.; Bianchi, L.; Rossi, P.G.; Ottone, M.; Guarneri, F.; Motolese, A. Photodynamic Therapy for Superficial Basal Cell Carcinomas: Clinical Features of Partial Responses and Recurrences. Photodiagnosis Photodyn. Ther. 2022, 37, 102727. [Google Scholar] [CrossRef]
- Macca, L.; Li Pomi, F.; Custurone, P.; Vaccaro, M.; Borgia, F. Photodynamic Therapy for Pediatric Genital Warts: A Case Report. Dermatol. Ther. 2022, 35, e15313. [Google Scholar] [CrossRef]
- Kaae, J.; Philipsen, P.A.; Wulf, H.C. Photodynamic Therapy of Necrobiosis Lipoidica Using Methyl Aminolevulinate: A Retrospective Follow-up Study. Photodiagnosis Photodyn. Ther. 2018, 22, 223–226. [Google Scholar] [CrossRef] [PubMed]
- Berking, C.; Hegyi, J.; Arenberger, P.; Ruzicka, T.; Jemec, G.B.E. Photodynamic Therapy of Necrobiosis Lipoidica—A Multicenter Study of 18 Patients. Dermatology 2009, 218, 136–139. [Google Scholar] [CrossRef] [PubMed]
- Truchuelo, T.; Alcántara, J.; Fernández-Guarino, M.; Pérez, B.; Jaén, P. Photodynamic Therapy for Necrobiosis Lipoidica Is an Unpredictable Option: Three Cases with Different Results. Int. J. Dermatol. 2013, 52, 1589–1590. [Google Scholar] [CrossRef]
- Bernia, E.; Llombart, B.; Bancalari, B.; Diago, A.; Serra-Guillén, C. Tratamiento de La Necrobiosis Lipoídica Con Terapia Fotodinámica Convencional: Serie de 4 Casos Tratados Con Éxito. Actas Dermosifiliogr. 2020, 111, 605–608. [Google Scholar] [CrossRef]
- Borgia, F.; Vaccaro, M.; Cantavenera, L.G.; Aragona, E.; Cannavò, S.P. Ulcerative Necrobiosis Lipoidica Successfully Treated with Photodynamic Therapy: Case Report and Literature Review. Photodiagnosis Photodyn. Ther. 2014, 11, 516–518. [Google Scholar] [CrossRef] [PubMed]
- Mills, S.J.; Farrar, M.D.; Ashcroft, G.S.; Griffiths, C.E.M.; Hardman, M.J.; Rhodes, L.E. Topical Photodynamic Therapy Following Excisional Wounding of Human Skin Increases Production of Transforming Growth Factor-Β3 and Matrix Metalloproteinases 1 and 9, with Associated Improvement in Dermal Matrix Organization. Br. J. Dermatol. 2014, 171, 55–62. [Google Scholar] [CrossRef]
- Motta, S.; Monti, M. Photodynamic Therapy—A Promising Treatment Option for Autoimmune Skin Ulcers: A Case Report. Photochem. Photobiol. Sci. 2007, 6, 1150–1151. [Google Scholar] [CrossRef]
- Kim, Y.J.; Kang, H.Y.; Lee, E.S.; Kim, Y.C. Successful Treatment of Granuloma Annulare with Topical 5-aminolaevulinic Acid Photodynamic Therapy. J. Dermatol. 2006, 33, 642–643. [Google Scholar] [CrossRef]
- Goffe, B.S. Disseminated Granuloma Annulare Resolved with the T-Cell Modulator Efalizumab. Arch. Dermatol. 2004, 140, 1287–1288. [Google Scholar] [CrossRef]
- Hunt, D.W.; Chan, A.H. Influence of Photodynamic Therapy on Immunological Aspects of Disease—An Update. Expert. Opin. Investig. Drugs 2000, 9, 807–817. [Google Scholar] [CrossRef]
- Nesi-Reis, V.; Lera-Nonose, D.S.S.L.; Oyama, J.; Silva-Lalucci, M.P.P.; Demarchi, I.G.; Aristides, S.M.A.; Teixeira, J.J.V.; Silveira, T.G.V.; Lonardoni, M.V.C. Contribution of Photodynamic Therapy in Wound Healing: A Systematic Review. Photodiagnosis Photodyn. Ther. 2018, 21, 294–305. [Google Scholar] [CrossRef] [PubMed]
- Flanagan, M. Wound Healing and Skin Integrity: Principles and Practice; John Wiley & Sons: Hoboken, NJ, USA, 2013. [Google Scholar]
- Brown, S. Clinical Antimicrobial Photodynamic Therapy: Phase II Studies in Chronic Wounds. J. Natl. Compr. Cancer Netw. 2012, 10, S-80–S-83. [Google Scholar] [CrossRef] [PubMed]
- Borgia, F.; Giuffrida, R.; Caradonna, E.; Vaccaro, M.; Guarneri, F.; Cannavò, S. Early and Late Onset Side Effects of Photodynamic Therapy. Biomedicines 2018, 6, 12. [Google Scholar] [CrossRef] [PubMed]
- López Sanz, P.; Faura Berruga, C.; Guerrero Ramírez, C.; Manso Córdoba, S.; Alfaro Martínez, M.E.; García Vázquez, A. Daylight Photodynamic Therapy in Necrobiosis Lipoidica: A Promising Treatment? Photodermatol. Photoimmunol. Photomed. 2023, 39, 294–295. [Google Scholar] [CrossRef] [PubMed]
- Kosaka, S.; Kawana, S. Case of Necrobiosis Lipoidica Diabeticorum Successfully Treated by Photodynamic Therapy. J. Dermatol. 2012, 39, 497–499. [Google Scholar] [CrossRef] [PubMed]
- De Giorgi, V.; Buggiani, G.; Rossi, R.; Sestini, S.; Grazzini, M.; Lotti, T. Successful Topical Photodynamic Treatment of Refractory Necrobiosis Lipoidica. Photodermatol. Photoimmunol. Photomed. 2008, 24, 332–333. [Google Scholar] [CrossRef]
- Heidenheim, M.; Jemec, G.B.E. Successful Treatment of Necrobiosis Lipoidica Diabeticorum with Photodynamic Therapy. Arch. Dermatol. 2006, 142, 1548–1550. [Google Scholar] [CrossRef]







| Patient | Sex | Age | NL Duration | Ulceration | Diabetes | Previous Therapy | PDT | N° Sessions, Interval | Outcome |
|---|---|---|---|---|---|---|---|---|---|
| 1 | F | 56 | 10 years | No | No | TS; ILS; CI; PRP | MAL | 7, monthly | PR |
| 2 | F | 39 | 16 years | Yes | Yes | TS; ILS; CI; PRP | MAL | 5, monthly | CR |
| 3 | M | 56 | 12 years | Yes | Yes | TS; ILS; CI; PRP | MAL | 6, monthly | PR |
| 4 | M | 56 | 12 years | Yes | Yes | TS; ILS; CI; PRP | MAL | 6 monthly | CR |
| 5 | F | 26 | 16 years | No | Yes | TS; ILS; CI; penthoxifilline | MAL | 7, monthly | PR |
| 6 | M | 29 | 5 years | No | Yes | TS; ILS | MAL | 5, monthly | PR |
| 7 | F | 44 | 7 years | Yes | Yes | TS; ILS; OTS | ALA | 5, two weeks | CR |
| 8 | F | 52 | 6 years | No | Yes | TS; CI | ALA | 8, two weeks | PR |
| 9 | F | 16 | 2 years | Yes | No | TS; CI; OTS | ALA | 7, two weeks | PR |
| 10 | F | 53 | 6 years | Yes | Yes | TS; CI | ALA | 11, two weeks | CR |
| 11 | F | 24 | 3 years | Yes | No | TS; CI | ALA | 6, two weeks | PR |
| 12 | F | 29 | 4 years | No | Yes | TS; CI, OTS | ALA | 6, two weeks | NR |
| 13 | F | 36 | 8 years | Yes | No | TS; CI | ALA | 5, two weeks | CR |
| 14 | M | 56 | 12 years | No | Yes | TS; CI; OTS | ALA | 7, two weeks | PR |
| 15 | F | 35 | 8 years | Yes | Yes | TS; CI | ALA | 8, two weeks | PR |
| 16 | M | 49 | 5 years | No | Yes | TS; CI, OTS | ALA | 8, two weeks | PR |
| 17 | F | 39 | 12 years | No | No | TS; CI | ALA | 6, two weeks | NR |
| Clearance | MAL-PDT | ALA-PDT | MAL+ALA |
|---|---|---|---|
| Complete clearance (>75%) | 2 (33%) | 3 (27%) | 5/17 (29%) |
| Partial clearance (25–75%) | 4 (67%) | 6 (55%) | 10/17 (59%) |
| Non-responders (<25%) | 0 (0%) | 2 (18%) | 2/17 (12%) |
| Author | Age, Sex | Ulceration | Diabetes | Previous Therapies | PDT | N° Sessions, Interval | Outcome |
|---|---|---|---|---|---|---|---|
| Lopez Sanz et al. [78] | 18, F | No | Yes | TS, CI, oral cyclosporine, PUVA phototherapy | Daylight ALA-PDT | 2, bi-monthly | CR |
| Bernia et al. [67] | 21, F | No | Yes | Penthoxyfilline, TS, CI, ASA, calcitriol, laser PDL | MAL-PDT | 11, two week | CR |
| 32, F | No | Yes | Pentoxifillina, TS | MAL-PDT | 18, two week | CR | |
| 22, F | No | Yes | TS, CI, PDL | MAL-PDT + ALA | 10, two week | CR | |
| 61, F | No | Yes | TS, cryotherapy | MAL-PDT + ALA | 6, two week | CR | |
| Borgia et al. [6] | 44, F | No | Yes | Not reported. | 10% ALA-PDT | 6, monthly | PR |
| Borgia et al. [68] | 44, F | Yes | Yes | TS, CI, UVB phototherapy | 10% ALA-PDT | 6, two week | CR |
| Kosaka et al. [79] | 66, F | No | Yes | Not reported | 20% ALA-PDT | 9, 2–3 weeks | CR |
| De Giorgi et al. [80] | 31, F | No | Yes | Not reported | 10% ALA-PDT | 4, monthly | CR |
| Heidenheim et al. [81] | 60, F | No | Yes | TS, systemic ascorbic acid and vitamin E, cryotherapy, radiotherapy using grenz rays, systemic allopurinol | MAL-PDT | 3, every week | CR |
| Truchelo et al. [66] | 60, F | No | Yes | TS | MAL-PDT | 2 | NR |
| 35, F | Yes | No | TS | MAL-PDT | 1 | NR | |
| 28, F | No | Yes | TS | MAL-PDT | 3 | PR |
| Authors | Type of Study | PDT | Study Characteristics |
|---|---|---|---|
| Berking et al. [65] | Retrospective multicenter | MAL- and ALA-PDT | 18 patients (aged 16–62 years) from 3 European departments were treated with MAL- or ALA-PDT. CR was seen in 1/18 patients after 9 PDT cycles, and PR was seen in 6/18 patients (2–14 PDT cycles), with an overall response rate of 39% (7/18). |
| Kaae et al. [64] | Retrospective | Conventional and daylight MAL-PDT | 80 treatments (70 conventional and 10 daylight PDT) were performed on 65 NL patients. Conventional MAL-PDT had a 100% cure rate of 64% (45/70), while daylight PDT had a 100% cure rate in 80% of the treatment series (8/10), with an overall cure rate of 66% (53/80). |
| Calzavara-Pinton et al. [32] | Retrospective multicenter | MAL-PDT | 8 female patients aged 35 ± 16.9 underwent 10.0 ± 7.5 treatments with an interval of 18.0 ± 12.0 days. A total of 3/8 patients had a marked improvement (>75% lesion reduction) after PDT, 3/8 had moderate improvement (50–75% lesion reduction), and 2/8 reported poor results. |
Disclaimer/Publisher’s Note: The statements, opinions and data contained in all publications are solely those of the individual author(s) and contributor(s) and not of MDPI and/or the editor(s). MDPI and/or the editor(s) disclaim responsibility for any injury to people or property resulting from any ideas, methods, instructions or products referred to in the content. |
© 2024 by the authors. Licensee MDPI, Basel, Switzerland. This article is an open access article distributed under the terms and conditions of the Creative Commons Attribution (CC BY) license (https://creativecommons.org/licenses/by/4.0/).
Share and Cite
Li Pomi, F.; Motolese, A.; Paganelli, A.; Vaccaro, M.; Motolese, A.; Borgia, F. Shedding Light on Photodynamic Therapy in the Treatment of Necrobiosis Lipoidica: A Multicenter Real-Life Experience. Int. J. Mol. Sci. 2024, 25, 3608. https://doi.org/10.3390/ijms25073608
Li Pomi F, Motolese A, Paganelli A, Vaccaro M, Motolese A, Borgia F. Shedding Light on Photodynamic Therapy in the Treatment of Necrobiosis Lipoidica: A Multicenter Real-Life Experience. International Journal of Molecular Sciences. 2024; 25(7):3608. https://doi.org/10.3390/ijms25073608
Chicago/Turabian StyleLi Pomi, Federica, Alfonso Motolese, Alessia Paganelli, Mario Vaccaro, Alberico Motolese, and Francesco Borgia. 2024. "Shedding Light on Photodynamic Therapy in the Treatment of Necrobiosis Lipoidica: A Multicenter Real-Life Experience" International Journal of Molecular Sciences 25, no. 7: 3608. https://doi.org/10.3390/ijms25073608
APA StyleLi Pomi, F., Motolese, A., Paganelli, A., Vaccaro, M., Motolese, A., & Borgia, F. (2024). Shedding Light on Photodynamic Therapy in the Treatment of Necrobiosis Lipoidica: A Multicenter Real-Life Experience. International Journal of Molecular Sciences, 25(7), 3608. https://doi.org/10.3390/ijms25073608

