The Role of Epicardial Adipose Tissue in Acute Coronary Syndromes, Post-Infarct Remodeling and Cardiac Regeneration
Abstract
1. Introduction
2. The Contribution of Epicardial Adipose Tissue to Pathogenesis of Acute Coronary Syndromes
| First Author | Year | Study Population/Experimental Model | Main Findings | Reference |
|---|---|---|---|---|
| Moreno-Santos, I. | 2019 | Patients with ACS (n = 29), stable CAD (n = 16) or without CAD (n = 29) |
| [32] |
| Hao, S. | 2023 | Male Sprague Dawley rats: MI induction (n = 6) or sham surgery (n = 6); H9C2 cardiomyocytes |
| [33] |
| Pedicino, D. | 2017 | Patients with ACS (n = 18), SA (n = 16) or without CAD (n = 13) |
| [34] |
| Parisi, V. | 2020 | Patients with CCS (n = 54) or recent ACS (n = 33) |
| [35] |
| Pedicino, D. | 2022 | Patients with ACS (n = 32), CCS (n = 34) or MVD (n = 12) |
| [36] |
| Langheim, S. | 2010 | Patients with ACS (n = 32), stable CAD (n = 34) or without CAD (n = 23); HUVEC |
| [37] |
| Rachwalik, M. | 2014 | Patients undergoing CABG with history of MI (n = 17) or without previous MI (n = 16) |
| [38] |
| Hao, S. | 2021 | Male Sprague Dawley rats: MI induction (n = 20) or sham surgery (n = 10); H9C2 cardiomyocytes |
| [39] |
| Chang, H-X | 2017 | Sprague Dawley rats (n = 82) which underwent MI (with or without EAT removal) or sham surgery |
| [40] |
2.1. The Role of Inflammation
2.2. Adipokines
3. Impact of Epicardial Adipose Tissue on Post-Infarct Cardiac Remodeling
4. Epicardial Adipose Tissue as a Source of Stem Cells for Cardiac Regeneration
5. Imaging Assessment of Epicardial Adipose Tissue and Its Predictive Role
5.1. Methods for Imaging Assessment of EAT
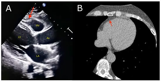
5.1.1. Echocardiography
5.1.2. Computed Tomography
5.1.3. Magnetic Resonance Imaging
5.1.4. Positron Emission Tomography
5.2. EAT Parameters Assessed in Imaging Studies
5.2.1. EAT Thickness
5.2.2. EAT Volume
5.2.3. EAT Attenuation and Mass
5.2.4. Pericoronary Adipose Tissue (PCAT)
6. Conclusions
Author Contributions
Funding
Institutional Review Board Statement
Informed Consent Statement
Data Availability Statement
Acknowledgments
Conflicts of Interest
References
- Mukherjee, A.G.; Renu, K.; Gopalakrishnan, A.V.; Jayaraj, R.; Dey, A.; Vellingiri, B.; Ganesan, R. Epicardial adipose tissue and cardiac lipotoxicity: A review. Life Sci. 2023, 328, 121913. [Google Scholar] [CrossRef]
- Sacks, H.S.; Fain, J.N.; Bahouth, S.W.; Ojha, S.; Frontini, A.; Budge, H.; Cinti, S.; Symonds, M.E. Adult epicardial fat exhibits beige features. J. Clin. Endocrinol. Metab. 2013, 98, E1448–E1455. [Google Scholar] [CrossRef]
- Iacobellis, G.; Bianco, A.C. Epicardial adipose tissue: Emerging physiological, pathophysiological and clinical features. Trends Endocrinol. Metab. 2011, 22, 450–457. [Google Scholar] [CrossRef]
- Iacobellis, G. Local and systemic effects of the multifaceted epicardial adipose tissue depot. Nat. Rev. Endocrinol. 2015, 11, 363–371. [Google Scholar] [CrossRef]
- Hatem, S.N.; Sanders, P. Epicardial adipose tissue and atrial fibrillation. Cardiovasc. Res. 2014, 102, 205–213. [Google Scholar] [CrossRef] [PubMed]
- Iacobellis, G.; Corradi, D.; Sharma, A.M. Epicardial adipose tissue: Anatomic, biomolecular and clinical relationships with the heart. Nat. Clin. Pract. Cardiovasc. Med. 2005, 2, 536–543. [Google Scholar] [CrossRef] [PubMed]
- Rabkin, S.W. Epicardial fat: Properties, function and relationship to obesity. Obes. Rev. 2007, 8, 253–261. [Google Scholar] [CrossRef] [PubMed]
- Ma, R.; Fari, R.; van der Harst, P.; De Cecco, C.N.; Stillman, A.E.; Vliegenthart, R.; van Assen, M. Evaluation of pericoronary adipose tissue attenuation on CT. Br. J. Radiol. 2023, 96, 20220885. [Google Scholar] [CrossRef] [PubMed]
- Akoumianakis, I.; Antoniades, C. The interplay between adipose tissue and the cardiovascular system: Is fat always bad? Cardiovasc. Res. 2017, 113, 999–1008. [Google Scholar] [CrossRef] [PubMed]
- Napoli, G.; Pergola, V.; Basile, P.; De Feo, D.; Bertrandino, F.; Baggiano, A.; Mushtaq, S.; Fusini, L.; Fazzari, F.; Carrabba, N.; et al. Epicardial and Pericoronary Adipose Tissue, Coronary Inflammation, and Acute Coronary Syndromes. J. Clin. Med. 2023, 12, 7212. [Google Scholar] [CrossRef]
- Iacobellis, G. Epicardial and pericardial fat: Close, but very different. Obesity 2009, 17, 625. [Google Scholar] [CrossRef]
- Iacobellis, G.; Barbaro, G. The double role of epicardial adipose tissue as pro- and anti-inflammatory organ. Horm. Metab. Res. 2008, 40, 442–445. [Google Scholar] [CrossRef]
- Iacobellis, G.; Malavazos, A.E.; Corsi, M.M. Epicardial fat: From the biomolecular aspects to the clinical practice. Int. J. Biochem. Cell Biol. 2011, 43, 1651–1654. [Google Scholar] [CrossRef]
- Iacobellis, G. Epicardial adipose tissue in contemporary cardiology. Nat. Rev. Cardiol. 2022, 19, 593–606. [Google Scholar] [CrossRef]
- Song, Y.; Tan, Y.; Deng, M.; Shan, W.; Zheng, W.; Zhang, B.; Cui, J.; Feng, L.; Shi, L.; Zhang, M.; et al. Epicardial adipose tissue, metabolic disorders, and cardiovascular diseases: Recent advances classified by research methodologies. MedComm 2023, 4, e413. [Google Scholar] [CrossRef]
- Bachar, G.N.; Dicker, D.; Kornowski, R.; Atar, E. Epicardial adipose tissue as a predictor of coronary artery disease in asymptomatic subjects. Am. J. Cardiol. 2012, 110, 534–538. [Google Scholar] [CrossRef]
- Si, Y.; Feng, Z.; Liu, Y.; Fan, W.; Shan, W.; Zhang, Y.; Shi, F.; Xing, E.; Sun, L. Inflammatory biomarkers, angiogenesis and lymphangiogenesis in epicardial adipose tissue correlate with coronary artery disease. Sci. Rep. 2023, 13, 2831. [Google Scholar] [CrossRef]
- van Woerden, G.; van Veldhuisen, D.J.; Westenbrink, B.D.; de Boer, R.A.; Rienstra, M.; Gorter, T.M. Connecting epicardial adipose tissue and heart failure with preserved ejection fraction: Mechanisms, management and modern perspectives. Eur. J. Heart Fail. 2022, 24, 2238–2250. [Google Scholar] [CrossRef]
- Nalliah, C.J.; Bell, J.R.; Raaijmakers, A.J.A.; Waddell, H.M.; Wells, S.P.; Bernasochi, G.B.; Montgomery, M.K.; Binny, S.; Watts, T.; Joshi, S.B.; et al. Epicardial Adipose Tissue Accumulation Confers Atrial Conduction Abnormality. J. Am. Coll. Cardiol. 2020, 76, 1197–1211. [Google Scholar] [CrossRef]
- Furuhashi, M.; Fuseya, T.; Murata, M.; Hoshina, K.; Ishimura, S.; Mita, T.; Watanabe, Y.; Omori, A.; Matsumoto, M.; Sugaya, T.; et al. Local Production of Fatty Acid-Binding Protein 4 in Epicardial/Perivascular Fat and Macrophages Is Linked to Coronary Atherosclerosis. Arter. Thromb. Vasc. Biol. 2016, 36, 825–834. [Google Scholar] [CrossRef]
- Iacobellis, G.; Barbarini, G.; Letizia, C.; Barbaro, G. Epicardial fat thickness and nonalcoholic fatty liver disease in obese subjects. Obesity 2014, 22, 332–336. [Google Scholar] [CrossRef]
- Tanami, Y.; Jinzaki, M.; Kishi, S.; Matheson, M.; Vavere, A.L.; Rochitte, C.E.; Dewey, M.; Chen, M.Y.; Clouse, M.E.; Cox, C.; et al. Lack of association between epicardial fat volume and extent of coronary artery calcification, severity of coronary artery disease, or presence of myocardial perfusion abnormalities in a diverse, symptomatic patient population: Results from the CORE320 multicenter study. Circ. Cardiovasc. Imaging 2015, 8, e002676. [Google Scholar] [CrossRef]
- Mancio, J.; Azevedo, D.; Fragao-Marques, M.; Falcao-Pires, I.; Leite-Moreira, A.; Lunet, N.; Fontes-Carvalho, R.; Bettencourt, N. Meta-Analysis of Relation of Epicardial Adipose Tissue Volume to Left Atrial Dilation and to Left Ventricular Hypertrophy and Functions. Am. J. Cardiol. 2019, 123, 523–531. [Google Scholar] [CrossRef]
- Frangogiannis, N.G. Pathophysiology of Myocardial Infarction. Compr. Physiol. 2015, 5, 1841–1875. [Google Scholar] [CrossRef]
- Nerlekar, N.; Brown, A.J.; Muthalaly, R.G.; Talman, A.; Hettige, T.; Cameron, J.D.; Wong, D.T.L. Association of Epicardial Adipose Tissue and High-Risk Plaque Characteristics: A Systematic Review and Meta-Analysis. J. Am. Heart Assoc. 2017, 6, e006379. [Google Scholar] [CrossRef]
- Echavarria-Pinto, M.; Hernando, L.; Alfonso, F. From the epicardial adipose tissue to vulnerable coronary plaques. World J. Cardiol. 2013, 5, 68–74. [Google Scholar] [CrossRef]
- Rajani, R.; Shmilovich, H.; Nakazato, R.; Nakanishi, R.; Otaki, Y.; Cheng, V.Y.; Hayes, S.W.; Thomson, L.E.; Friedman, J.D.; Slomka, P.J.; et al. Relationship of epicardial fat volume to coronary plaque, severe coronary stenosis, and high-risk coronary plaque features assessed by coronary CT angiography. J. Cardiovasc. Comput. Tomogr. 2013, 7, 125–132. [Google Scholar] [CrossRef]
- Oka, T.; Yamamoto, H.; Ohashi, N.; Kitagawa, T.; Kunita, E.; Utsunomiya, H.; Yamazato, R.; Urabe, Y.; Horiguchi, J.; Awai, K.; et al. Association between epicardial adipose tissue volume and characteristics of non-calcified plaques assessed by coronary computed tomographic angiography. Int. J. Cardiol. 2012, 161, 45–49. [Google Scholar] [CrossRef]
- Alexopoulos, N.; McLean, D.S.; Janik, M.; Arepalli, C.D.; Stillman, A.E.; Raggi, P. Epicardial adipose tissue and coronary artery plaque characteristics. Atherosclerosis 2010, 210, 150–154. [Google Scholar] [CrossRef]
- Yamaura, H.; Otsuka, K.; Ishikawa, H.; Shirasawa, K.; Fukuda, D.; Kasayuki, N. Determinants of Non-calcified Low-Attenuation Coronary Plaque Burden in Patients Without Known Coronary Artery Disease: A Coronary CT Angiography Study. Front. Cardiovasc. Med. 2022, 9, 824470. [Google Scholar] [CrossRef]
- Srinivasa, S.; Lu, M.T.; Fitch, K.V.; Hallett, T.R.; O’Malley, T.K.; Stone, L.A.; Martin, A.; Coromilas, A.J.; Burdo, T.H.; Triant, V.A.; et al. Epicardial adipose tissue volume and cardiovascular risk indices among asymptomatic women with and without HIV. Antivir. Ther. 2018, 23, 1–9. [Google Scholar] [CrossRef]
- Moreno-Santos, I.; Macias-Gonzalez, M.; Porras-Martin, C.; Castellano-Castillo, D.; Sanchez-Espin, G.; Gomez-Doblas, J.J.; de Teresa-Galvan, E.; Jimenez-Navarro, M. Role of epicardial adipose tissue NPR-C in acute coronary syndrome. Atherosclerosis 2019, 286, 79–87. [Google Scholar] [CrossRef]
- Hao, S.; Zhang, J.; Pei, Y.; Guo, L.; Liang, Z. Complement factor D derived from epicardial adipose tissue participates in cardiomyocyte apoptosis after myocardial infarction by mediating PARP-1 activity. Cell. Signal. 2023, 101, 110518. [Google Scholar] [CrossRef]
- Pedicino, D.; Severino, A.; Ucci, S.; Bugli, F.; Flego, D.; Giglio, A.F.; Trotta, F.; Ruggio, A.; Lucci, C.; Iaconelli, A.; et al. Epicardial adipose tissue microbial colonization and inflammasome activation in acute coronary syndrome. Int. J. Cardiol. 2017, 236, 95–99. [Google Scholar] [CrossRef]
- Parisi, V.; Petraglia, L.; Cabaro, S.; D’Esposito, V.; Bruzzese, D.; Ferraro, G.; Urbani, A.; Grieco, F.V.; Conte, M.; Caruso, A.; et al. Imbalance between Interleukin-1beta and Interleukin-1 Receptor Antagonist in Epicardial Adipose Tissue Is Associated with Non ST-Segment Elevation Acute Coronary Syndrome. Front. Physiol. 2020, 11, 42. [Google Scholar] [CrossRef]
- Pedicino, D.; Severino, A.; Di Sante, G.; De Rosa, M.C.; Pirolli, D.; Vinci, R.; Pazzano, V.; Giglio, A.F.; Trotta, F.; Russo, G.; et al. Restricted T-Cell Repertoire in the Epicardial Adipose Tissue of Non-ST Segment Elevation Myocardial Infarction Patients. Front. Immunol. 2022, 13, 845526. [Google Scholar] [CrossRef]
- Langheim, S.; Dreas, L.; Veschini, L.; Maisano, F.; Foglieni, C.; Ferrarello, S.; Sinagra, G.; Zingone, B.; Alfieri, O.; Ferrero, E.; et al. Increased expression and secretion of resistin in epicardial adipose tissue of patients with acute coronary syndrome. Am. J. Physiol. Heart Circ. Physiol. 2010, 298, H746–H753. [Google Scholar] [CrossRef]
- Rachwalik, M.; Zysko, D.; Diakowska, D.; Kustrzycki, W. Increased content of resistin in epicardial adipose tissue of patients with advanced coronary atherosclerosis and history of myocardial infarction. Thorac. Cardiovasc. Surg. 2014, 62, 554–560. [Google Scholar] [CrossRef]
- Hao, S.; Sui, X.; Wang, J.; Zhang, J.; Pei, Y.; Guo, L.; Liang, Z. Secretory products from epicardial adipose tissue induce adverse myocardial remodeling after myocardial infarction by promoting reactive oxygen species accumulation. Cell Death Dis. 2021, 12, 848. [Google Scholar] [CrossRef]
- Chang, H.X.; Zhao, X.J.; Zhu, Q.L.; Hou, Q.; Li, Y. Removal of epicardial adipose tissue after myocardial infarction improves cardiac function. Herz 2018, 43, 258–264. [Google Scholar] [CrossRef]
- Berbee, J.F.; Boon, M.R.; Khedoe, P.P.; Bartelt, A.; Schlein, C.; Worthmann, A.; Kooijman, S.; Hoeke, G.; Mol, I.M.; John, C.; et al. Brown fat activation reduces hypercholesterolaemia and protects from atherosclerosis development. Nat. Commun. 2015, 6, 6356. [Google Scholar] [CrossRef]
- Thoonen, R.; Ernande, L.; Cheng, J.; Nagasaka, Y.; Yao, V.; Miranda-Bezerra, A.; Chen, C.; Chao, W.; Panagia, M.; Sosnovik, D.E.; et al. Functional brown adipose tissue limits cardiomyocyte injury and adverse remodeling in catecholamine-induced cardiomyopathy. J. Mol. Cell. Cardiol. 2015, 84, 202–211. [Google Scholar] [CrossRef]
- Sarzani, R.; Dessi-Fulgheri, P.; Paci, V.M.; Espinosa, E.; Rappelli, A. Expression of natriuretic peptide receptors in human adipose and other tissues. J. Endocrinol. Investig. 1996, 19, 581–585. [Google Scholar] [CrossRef]
- Sengenes, C.; Berlan, M.; De Glisezinski, I.; Lafontan, M.; Galitzky, J. Natriuretic peptides: A new lipolytic pathway in human adipocytes. FASEB J. 2000, 14, 1345–1351. [Google Scholar] [CrossRef]
- Lafontan, M.; Moro, C.; Sengenes, C.; Galitzky, J.; Crampes, F.; Berlan, M. An unsuspected metabolic role for atrial natriuretic peptides: The control of lipolysis, lipid mobilization, and systemic nonesterified fatty acids levels in humans. Arter. Thromb. Vasc. Biol. 2005, 25, 2032–2042. [Google Scholar] [CrossRef]
- Bordicchia, M.; Liu, D.; Amri, E.Z.; Ailhaud, G.; Dessi-Fulgheri, P.; Zhang, C.; Takahashi, N.; Sarzani, R.; Collins, S. Cardiac natriuretic peptides act via p38 MAPK to induce the brown fat thermogenic program in mouse and human adipocytes. J. Clin. Investig. 2012, 122, 1022–1036. [Google Scholar] [CrossRef]
- Morrison, D.K. MAP kinase pathways. Cold Spring Harb. Perspect. Biol. 2012, 4, a011254. [Google Scholar] [CrossRef]
- Shen, S.H.; Singh, S.P.; Raffaele, M.; Waldman, M.; Hochhauser, E.; Ospino, J.; Arad, M.; Peterson, S.J. Adipocyte-Specific Expression of PGC1alpha Promotes Adipocyte Browning and Alleviates Obesity-Induced Metabolic Dysfunction in an HO-1-Dependent Fashion. Antioxidants 2022, 11, 1147. [Google Scholar] [CrossRef]
- Singh, S.P.; McClung, J.A.; Thompson, E.; Glick, Y.; Greenberg, M.; Acosta-Baez, G.; Edris, B.; Shapiro, J.I.; Abraham, N.G. Cardioprotective Heme Oxygenase-1-PGC1alpha Signaling in Epicardial Fat Attenuates Cardiovascular Risk in Humans as in Obese Mice. Obesity 2019, 27, 1634–1643. [Google Scholar] [CrossRef]
- Zhao, L.; Ma, Z.; Guo, Z.; Zheng, M.; Li, K.; Yang, X. Analysis of long non-coding RNA and mRNA profiles in epicardial adipose tissue of patients with atrial fibrillation. Biomed. Pharmacother. 2020, 121, 109634. [Google Scholar] [CrossRef]
- Kong, P.; Cui, Z.Y.; Huang, X.F.; Zhang, D.D.; Guo, R.J.; Han, M. Inflammation and atherosclerosis: Signaling pathways and therapeutic intervention. Signal Transduct. Target. Ther. 2022, 7, 131. [Google Scholar] [CrossRef]
- Kaplan, R.C.; Frishman, W.H. Systemic inflammation as a cardiovascular disease risk factor and as a potential target for drug therapy. Heart Dis. 2001, 3, 326–332. [Google Scholar] [CrossRef]
- Toivonen, S.; Lehtinen, M.; Raivio, P.; Sinisalo, J.; Loimaala, A.; Uusitalo, V. The Presence of Residual Vascular and Adipose Tissue Inflammation on (18)F-FDG PET in Patients with Chronic Coronary Artery Disease. Nucl. Med. Mol. Imaging 2023, 57, 117–125. [Google Scholar] [CrossRef] [PubMed]
- Zhang, Q.; Wang, L.; Wang, S.; Cheng, H.; Xu, L.; Pei, G.; Wang, Y.; Fu, C.; Jiang, Y.; He, C.; et al. Signaling pathways and targeted therapy for myocardial infarction. Signal Transduct. Target. Ther. 2022, 7, 78. [Google Scholar] [CrossRef] [PubMed]
- Cinti, S.; Mitchell, G.; Barbatelli, G.; Murano, I.; Ceresi, E.; Faloia, E.; Wang, S.; Fortier, M.; Greenberg, A.S.; Obin, M.S. Adipocyte death defines macrophage localization and function in adipose tissue of obese mice and humans. J. Lipid Res. 2005, 46, 2347–2355. [Google Scholar] [CrossRef] [PubMed]
- Malavazos, A.E.; Di Vincenzo, A.; Iacobellis, G.; Basilico, S.; Dubini, C.; Morricone, L.; Menicanti, L.; Luca, T.; Giordano, A.; Castorina, S.; et al. The density of crown-like structures in epicardial adipose tissue could play a role in cardiovascular diseases. Eat. Weight Disord. 2022, 27, 2905–2910. [Google Scholar] [CrossRef] [PubMed]
- Fan, W.; Si, Y.; Xing, E.; Feng, Z.; Ding, Z.; Liu, Y.; Wei, C.; Tian, Y.; Zhang, Y.; Liu, J.; et al. Human epicardial adipose tissue inflammation correlates with coronary artery disease. Cytokine 2023, 162, 156119. [Google Scholar] [CrossRef] [PubMed]
- Niccoli, G.; Montone, R.A.; Sabato, V.; Crea, F. Role of Allergic Inflammatory Cells in Coronary Artery Disease. Circulation 2018, 138, 1736–1748. [Google Scholar] [CrossRef] [PubMed]
- Mazurek, T.; Zhang, L.; Zalewski, A.; Mannion, J.D.; Diehl, J.T.; Arafat, H.; Sarov-Blat, L.; O’Brien, S.; Keiper, E.A.; Johnson, A.G.; et al. Human epicardial adipose tissue is a source of inflammatory mediators. Circulation 2003, 108, 2460–2466. [Google Scholar] [CrossRef]
- Swanson, K.V.; Deng, M.; Ting, J.P. The NLRP3 inflammasome: Molecular activation and regulation to therapeutics. Nat. Rev. Immunol. 2019, 19, 477–489. [Google Scholar] [CrossRef]
- Afrasyab, A.; Qu, P.; Zhao, Y.; Peng, K.; Wang, H.; Lou, D.; Niu, N.; Yuan, D. Correlation of NLRP3 with severity and prognosis of coronary atherosclerosis in acute coronary syndrome patients. Heart Vessel. 2016, 31, 1218–1229. [Google Scholar] [CrossRef] [PubMed]
- Bando, S.; Fukuda, D.; Soeki, T.; Nishimoto, S.; Uematsu, E.; Matsuura, T.; Ise, T.; Tobiume, T.; Yamaguchi, K.; Yagi, S.; et al. Expression of NLRP3 in subcutaneous adipose tissue is associated with coronary atherosclerosis. Atherosclerosis 2015, 242, 407–414. [Google Scholar] [CrossRef] [PubMed]
- Hirata, Y.; Tabata, M.; Kurobe, H.; Motoki, T.; Akaike, M.; Nishio, C.; Higashida, M.; Mikasa, H.; Nakaya, Y.; Takanashi, S.; et al. Coronary atherosclerosis is associated with macrophage polarization in epicardial adipose tissue. J. Am. Coll. Cardiol. 2011, 58, 248–255. [Google Scholar] [CrossRef] [PubMed]
- Yin, Z.; Deng, T.; Peterson, L.E.; Yu, R.; Lin, J.; Hamilton, D.J.; Reardon, P.R.; Sherman, V.; Winnier, G.E.; Zhan, M.; et al. Transcriptome analysis of human adipocytes implicates the NOD-like receptor pathway in obesity-induced adipose inflammation. Mol. Cell. Endocrinol. 2014, 394, 80–87. [Google Scholar] [CrossRef] [PubMed]
- Shan, T.; Shuwen, Z.; Hengbin, W.; Min, Z. Can EAT be an INOCA goalkeeper. Front. Endocrinol. 2022, 13, 1028429. [Google Scholar] [CrossRef] [PubMed]
- Zhang, Q.; Dong, J.; Yu, Z. Pleiotropic use of Statins as non-lipid-lowering drugs. Int. J. Biol. Sci. 2020, 16, 2704–2711. [Google Scholar] [CrossRef] [PubMed]
- Parisi, V.; Petraglia, L.; D’Esposito, V.; Cabaro, S.; Rengo, G.; Caruso, A.; Grimaldi, M.G.; Baldascino, F.; De Bellis, A.; Vitale, D.; et al. Statin therapy modulates thickness and inflammatory profile of human epicardial adipose tissue. Int. J. Cardiol. 2019, 274, 326–330. [Google Scholar] [CrossRef]
- Li, L.; Hua, C.; Liu, X.; Wang, Y.; Zhao, L.; Zhang, Y.; Wang, L.; Su, P.; Yang, M.F.; Xie, B. SGLT2i alleviates epicardial adipose tissue inflammation by modulating ketone body-glyceraldehyde-3-phosphate dehydrogenase malonylation pathway. J. Cardiovasc. Med. 2023, 24, 232–243. [Google Scholar] [CrossRef]
- Dozio, E.; Vianello, E.; Malavazos, A.E.; Tacchini, L.; Schmitz, G.; Iacobellis, G.; Corsi Romanelli, M.M. Epicardial adipose tissue GLP-1 receptor is associated with genes involved in fatty acid oxidation and white-to-brown fat differentiation: A target to modulate cardiovascular risk? Int. J. Cardiol. 2019, 292, 218–224. [Google Scholar] [CrossRef]
- Ziyrek, M.; Kahraman, S.; Ozdemir, E.; Dogan, A. Metformin monotherapy significantly decreases epicardial adipose tissue thickness in newly diagnosed type 2 diabetes patients. Rev. Port. Cardiol. (Engl. Ed.) 2019, 38, 419–423. [Google Scholar] [CrossRef]
- Moody, A.J.; Molina-Wilkins, M.; Clarke, G.D.; Merovci, A.; Solis-Herrera, C.; Cersosimo, E.; Chilton, R.J.; Iozzo, P.; Gastaldelli, A.; Abdul-Ghani, M.; et al. Pioglitazone reduces epicardial fat and improves diastolic function in patients with type 2 diabetes. Diabetes Obes. Metab. 2023, 25, 426–434. [Google Scholar] [CrossRef]
- Farkhondeh, T.; Llorens, S.; Pourbagher-Shahri, A.M.; Ashrafizadeh, M.; Talebi, M.; Shakibaei, M.; Samarghandian, S. An Overview of the Role of Adipokines in Cardiometabolic Diseases. Molecules 2020, 25, 5218. [Google Scholar] [CrossRef]
- Jamaluddin, M.S.; Weakley, S.M.; Yao, Q.; Chen, C. Resistin: Functional roles and therapeutic considerations for cardiovascular disease. Br. J. Pharmacol. 2012, 165, 622–632. [Google Scholar] [CrossRef]
- Lee, S.H.; Ha, J.W.; Kim, J.S.; Choi, E.Y.; Park, S.; Kang, S.M.; Choi, D.; Jang, Y.; Chung, N. Plasma adiponectin and resistin levels as predictors of mortality in patients with acute myocardial infarction: Data from infarction prognosis study registry. Coron. Artery Dis. 2009, 20, 33–39. [Google Scholar] [CrossRef] [PubMed]
- Qatanani, M.; Szwergold, N.R.; Greaves, D.R.; Ahima, R.S.; Lazar, M.A. Macrophage-derived human resistin exacerbates adipose tissue inflammation and insulin resistance in mice. J. Clin. Investig. 2009, 119, 531–539. [Google Scholar] [CrossRef] [PubMed]
- Verma, S.; Li, S.H.; Wang, C.H.; Fedak, P.W.; Li, R.K.; Weisel, R.D.; Mickle, D.A. Resistin promotes endothelial cell activation: Further evidence of adipokine-endothelial interaction. Circulation 2003, 108, 736–740. [Google Scholar] [CrossRef] [PubMed]
- Sommer, G.; Kralisch, S.; Stangl, V.; Vietzke, A.; Kohler, U.; Stepan, H.; Faber, R.; Schubert, A.; Lossner, U.; Bluher, M.; et al. Secretory products from human adipocytes stimulate proinflammatory cytokine secretion from human endothelial cells. J. Cell. Biochem. 2009, 106, 729–737. [Google Scholar] [CrossRef] [PubMed]
- Cao, H.; Sekiya, M.; Ertunc, M.E.; Burak, M.F.; Mayers, J.R.; White, A.; Inouye, K.; Rickey, L.M.; Ercal, B.C.; Furuhashi, M.; et al. Adipocyte lipid chaperone AP2 is a secreted adipokine regulating hepatic glucose production. Cell Metab. 2013, 17, 768–778. [Google Scholar] [CrossRef] [PubMed]
- Hotamisligil, G.S.; Bernlohr, D.A. Metabolic functions of FABPs--mechanisms and therapeutic implications. Nat. Rev. Endocrinol. 2015, 11, 592–605. [Google Scholar] [CrossRef]
- Peeters, W.; de Kleijn, D.P.; Vink, A.; van de Weg, S.; Schoneveld, A.H.; Sze, S.K.; van der Spek, P.J.; de Vries, J.P.; Moll, F.L.; Pasterkamp, G. Adipocyte fatty acid binding protein in atherosclerotic plaques is associated with local vulnerability and is predictive for the occurrence of adverse cardiovascular events. Eur. Heart J. 2011, 32, 1758–1768. [Google Scholar] [CrossRef]
- Obokata, M.; Iso, T.; Ohyama, Y.; Sunaga, H.; Kawaguchi, T.; Matsui, H.; Iizuka, T.; Fukuda, N.; Takamatsu, H.; Koitabashi, N.; et al. Early increase in serum fatty acid binding protein 4 levels in patients with acute myocardial infarction. Eur. Heart J. Acute Cardiovasc. Care 2018, 7, 561–569. [Google Scholar] [CrossRef]
- Sun, F.; Du, J.; Li, H.; Hao, S.; Zhao, G.; Lu, F. FABP4 inhibitor BMS309403 protects against hypoxia-induced H9c2 cardiomyocyte apoptosis through attenuating endoplasmic reticulum stress. J. Cell. Mol. Med. 2020, 24, 11188–11197. [Google Scholar] [CrossRef]
- Yamawaki, H.; Kuramoto, J.; Kameshima, S.; Usui, T.; Okada, M.; Hara, Y. Omentin, a novel adipocytokine inhibits TNF-induced vascular inflammation in human endothelial cells. Biochem. Biophys. Res. Commun. 2011, 408, 339–343. [Google Scholar] [CrossRef]
- Yamawaki, H.; Tsubaki, N.; Mukohda, M.; Okada, M.; Hara, Y. Omentin, a novel adipokine, induces vasodilation in rat isolated blood vessels. Biochem. Biophys. Res. Commun. 2010, 393, 668–672. [Google Scholar] [CrossRef] [PubMed]
- Kataoka, Y.; Shibata, R.; Ohashi, K.; Kambara, T.; Enomoto, T.; Uemura, Y.; Ogura, Y.; Yuasa, D.; Matsuo, K.; Nagata, T.; et al. Omentin prevents myocardial ischemic injury through AMP-activated protein kinase- and Akt-dependent mechanisms. J. Am. Coll. Cardiol. 2014, 63, 2722–2733. [Google Scholar] [CrossRef] [PubMed]
- Du, Y.; Ji, Q.; Cai, L.; Huang, F.; Lai, Y.; Liu, Y.; Yu, J.; Han, B.; Zhu, E.; Zhang, J.; et al. Association between omentin-1 expression in human epicardial adipose tissue and coronary atherosclerosis. Cardiovasc. Diabetol. 2016, 15, 90. [Google Scholar] [CrossRef]
- Watanabe, K.; Watanabe, R.; Konii, H.; Shirai, R.; Sato, K.; Matsuyama, T.A.; Ishibashi-Ueda, H.; Koba, S.; Kobayashi, Y.; Hirano, T.; et al. Counteractive effects of omentin-1 against atherogenesisdagger. Cardiovasc. Res. 2016, 110, 118–128. [Google Scholar] [CrossRef]
- Gruzdeva, O.V.; Dyleva, Y.A.; Belik, E.V.; Sinitsky, M.Y.; Stasev, A.N.; Kokov, A.N.; Brel, N.K.; Krivkina, E.O.; Bychkova, E.E.; Tarasov, R.S.; et al. Relationship between Epicardial and Coronary Adipose Tissue and the Expression of Adiponectin, Leptin, and Interleukin 6 in Patients with Coronary Artery Disease. J. Pers. Med. 2022, 12, 129. [Google Scholar] [CrossRef]
- Hasty, A.H.; Shimano, H.; Osuga, J.; Namatame, I.; Takahashi, A.; Yahagi, N.; Perrey, S.; Iizuka, Y.; Tamura, Y.; Amemiya-Kudo, M.; et al. Severe hypercholesterolemia, hypertriglyceridemia, and atherosclerosis in mice lacking both leptin and the low density lipoprotein receptor. J. Biol. Chem. 2001, 276, 37402–37408. [Google Scholar] [CrossRef]
- Zhang, T.; Yang, P.; Li, T.; Gao, J.; Zhang, Y. Leptin Expression in Human Epicardial Adipose Tissue Is Associated with Local Coronary Atherosclerosis. Med. Sci. Monit. 2019, 25, 9913–9922. [Google Scholar] [CrossRef]
- Dubey, L.; Zeng, H.S.; Wang, H.J.; Liu, R.Y. Potential role of adipocytokine leptin in acute coronary syndrome. Asian Cardiovasc. Thorac. Ann. 2008, 16, 124–128. [Google Scholar] [CrossRef]
- Chen, H.; Liu, L.; Li, M.; Zhu, D.; Tian, G. Epicardial Adipose Tissue-Derived Leptin Promotes Myocardial Injury in Metabolic Syndrome Rats Through PKC/NADPH Oxidase/ROS Pathway. J. Am. Heart Assoc. 2023, 12, e029415. [Google Scholar] [CrossRef]
- Zhao, S.; Kusminski, C.M.; Scherer, P.E. Adiponectin, Leptin and Cardiovascular Disorders. Circ. Res. 2021, 128, 136–149. [Google Scholar] [CrossRef]
- Zhou, Y.; Wei, Y.; Wang, L.; Wang, X.; Du, X.; Sun, Z.; Dong, N.; Chen, X. Decreased adiponectin and increased inflammation expression in epicardial adipose tissue in coronary artery disease. Cardiovasc. Diabetol. 2011, 10, 2. [Google Scholar] [CrossRef]
- Nomura, H.; Arashi, H.; Yamaguchi, J.; Ogawa, H.; Hagiwara, N. Relation of Adiponectin to Cardiovascular Events and Mortality in Patients with Acute Coronary Syndrome. Am. J. Cardiol. 2021, 140, 7–12. [Google Scholar] [CrossRef]
- Frantz, S.; Hundertmark, M.J.; Schulz-Menger, J.; Bengel, F.M.; Bauersachs, J. Left ventricular remodelling post-myocardial infarction: Pathophysiology, imaging, and novel therapies. Eur. Heart J. 2022, 43, 2549–2561. [Google Scholar] [CrossRef] [PubMed]
- Savarese, G.; Becher, P.M.; Lund, L.H.; Seferovic, P.; Rosano, G.M.C.; Coats, A.J.S. Global burden of heart failure: A comprehensive and updated review of epidemiology. Cardiovasc. Res. 2023, 118, 3272–3287. [Google Scholar] [CrossRef]
- Wang, K.J.; Zhao, X.; Liu, Y.Z.; Zeng, Q.T.; Mao, X.B.; Li, S.N.; Zhang, M.; Jiang, C.; Zhou, Y.; Qian, C.; et al. Circulating MiR-19b-3p, MiR-134-5p and MiR-186-5p are Promising Novel Biomarkers for Early Diagnosis of Acute Myocardial Infarction. Cell. Physiol. Biochem. 2016, 38, 1015–1029. [Google Scholar] [CrossRef] [PubMed]
- Yang, J.; Liu, S.; Wang, H.; Liu, Y.; Liu, Y. miR-134-5p inhibition reduces infarct-induced cardiomyocyte apoptosis via Creb1 upregulation. J. Stroke Cerebrovasc. Dis. 2020, 29, 104850. [Google Scholar] [CrossRef] [PubMed]
- Lu, M.; Qin, X.; Yao, J.; Yang, Y.; Zhao, M.; Sun, L. MiR-134-5p targeting XIAP modulates oxidative stress and apoptosis in cardiomyocytes under hypoxia/reperfusion-induced injury. IUBMB Life 2020, 72, 2154–2166. [Google Scholar] [CrossRef]
- Venteclef, N.; Guglielmi, V.; Balse, E.; Gaborit, B.; Cotillard, A.; Atassi, F.; Amour, J.; Leprince, P.; Dutour, A.; Clement, K.; et al. Human epicardial adipose tissue induces fibrosis of the atrial myocardium through the secretion of adipo-fibrokines. Eur. Heart J. 2015, 36, 795–805. [Google Scholar] [CrossRef] [PubMed]
- Yndestad, A.; Ueland, T.; Oie, E.; Florholmen, G.; Halvorsen, B.; Attramadal, H.; Simonsen, S.; Froland, S.S.; Gullestad, L.; Christensen, G.; et al. Elevated levels of activin A in heart failure: Potential role in myocardial remodeling. Circulation 2004, 109, 1379–1385. [Google Scholar] [CrossRef] [PubMed]
- Greulich, S.; Maxhera, B.; Vandenplas, G.; de Wiza, D.H.; Smiris, K.; Mueller, H.; Heinrichs, J.; Blumensatt, M.; Cuvelier, C.; Akhyari, P.; et al. Secretory products from epicardial adipose tissue of patients with type 2 diabetes mellitus induce cardiomyocyte dysfunction. Circulation 2012, 126, 2324–2334. [Google Scholar] [CrossRef]
- Park, J.J. Epidemiology, Pathophysiology, Diagnosis and Treatment of Heart Failure in Diabetes. Diabetes Metab. J. 2021, 45, 146–157. [Google Scholar] [CrossRef]
- Nieminen, M.S.; Brutsaert, D.; Dickstein, K.; Drexler, H.; Follath, F.; Harjola, V.P.; Hochadel, M.; Komajda, M.; Lassus, J.; Lopez-Sendon, J.L.; et al. EuroHeart Failure Survey II (EHFS II): A survey on hospitalized acute heart failure patients: Description of population. Eur. Heart J. 2006, 27, 2725–2736. [Google Scholar] [CrossRef] [PubMed]
- Parisi, V.; Cabaro, S.; D’Esposito, V.; Petraglia, L.; Conte, M.; Campana, P.; Gerundo, G.; Abitabile, M.; Tuccillo, A.; Accadia, M.; et al. Epicardial Adipose Tissue and IL-13 Response to Myocardial Injury Drives Left Ventricular Remodeling after ST Elevation Myocardial Infarction. Front. Physiol. 2020, 11, 575181. [Google Scholar] [CrossRef]
- Wodsedalek, D.J.; Paddock, S.J.; Wan, T.C.; Auchampach, J.A.; Kenarsary, A.; Tsaih, S.W.; Flister, M.J.; O’Meara, C.C. IL-13 promotes in vivo neonatal cardiomyocyte cell cycle activity and heart regeneration. Am. J. Physiol. Heart Circ. Physiol. 2019, 316, H24–H34. [Google Scholar] [CrossRef] [PubMed]
- D’Uva, G.; Aharonov, A.; Lauriola, M.; Kain, D.; Yahalom-Ronen, Y.; Carvalho, S.; Weisinger, K.; Bassat, E.; Rajchman, D.; Yifa, O.; et al. ERBB2 triggers mammalian heart regeneration by promoting cardiomyocyte dedifferentiation and proliferation. Nat. Cell Biol. 2015, 17, 627–638. [Google Scholar] [CrossRef]
- Gan, L.; Liu, D.; Xie, D.; Bond Lau, W.; Liu, J.; Christopher, T.A.; Lopez, B.; Liu, L.; Hu, H.; Yao, P.; et al. Ischemic Heart-Derived Small Extracellular Vesicles Impair Adipocyte Function. Circ. Res. 2022, 130, 48–66. [Google Scholar] [CrossRef]
- Jiang, D.S.; Zeng, H.L.; Li, R.; Huo, B.; Su, Y.S.; Fang, J.; Yang, Q.; Liu, L.G.; Hu, M.; Cheng, C.; et al. Aberrant Epicardial Adipose Tissue Extracellular Matrix Remodeling in Patients with Severe Ischemic Cardiomyopathy: Insight from Comparative Quantitative Proteomics. Sci. Rep. 2017, 7, 43787. [Google Scholar] [CrossRef]
- von Gise, A.; Pu, W.T. Endocardial and epicardial epithelial to mesenchymal transitions in heart development and disease. Circ. Res. 2012, 110, 1628–1645. [Google Scholar] [CrossRef] [PubMed]
- Zhou, B.; Honor, L.B.; He, H.; Ma, Q.; Oh, J.H.; Butterfield, C.; Lin, R.Z.; Melero-Martin, J.M.; Dolmatova, E.; Duffy, H.S.; et al. Adult mouse epicardium modulates myocardial injury by secreting paracrine factors. J. Clin. Investig. 2011, 121, 1894–1904. [Google Scholar] [CrossRef] [PubMed]
- Zangi, L.; Oliveira, M.S.; Ye, L.Y.; Ma, Q.; Sultana, N.; Hadas, Y.; Chepurko, E.; Spater, D.; Zhou, B.; Chew, W.L.; et al. Insulin-Like Growth Factor 1 Receptor-Dependent Pathway Drives Epicardial Adipose Tissue Formation after Myocardial Injury. Circulation 2017, 135, 59–72. [Google Scholar] [CrossRef]
- Liao, Y.; Li, H.; Pi, Y.; Li, Z.; Jin, S. Cardioprotective effect of IGF-1 against myocardial ischemia/reperfusion injury through activation of PI3K/Akt pathway in rats in vivo. J. Int. Med. Res. 2019, 47, 3886–3897. [Google Scholar] [CrossRef]
- Dai, W.; Kloner, R.A. Cardioprotection of insulin-like growth factor-1 during reperfusion therapy: What is the underlying mechanism or mechanisms? Circ. Cardiovasc. Interv. 2011, 4, 311–313. [Google Scholar] [CrossRef] [PubMed]
- Mollova, M.; Bersell, K.; Walsh, S.; Savla, J.; Das, L.T.; Park, S.Y.; Silberstein, L.E.; Dos Remedios, C.G.; Graham, D.; Colan, S.; et al. Cardiomyocyte proliferation contributes to heart growth in young humans. Proc. Natl. Acad. Sci. USA 2013, 110, 1446–1451. [Google Scholar] [CrossRef] [PubMed]
- Fadini, G.P.; Mehta, A.; Dhindsa, D.S.; Bonora, B.M.; Sreejit, G.; Nagareddy, P.; Quyyumi, A.A. Circulating stem cells and cardiovascular outcomes: From basic science to the clinic. Eur. Heart J. 2020, 41, 4271–4282. [Google Scholar] [CrossRef]
- Domaszk, O.; Skwarek, A.; Wojciechowska, M. In Search of the Holy Grail: Stem Cell Therapy as a Novel Treatment of Heart Failure with Preserved Ejection Fraction. Int. J. Mol. Sci. 2023, 24, 4903. [Google Scholar] [CrossRef]
- Caspi, O.; Huber, I.; Kehat, I.; Habib, M.; Arbel, G.; Gepstein, A.; Yankelson, L.; Aronson, D.; Beyar, R.; Gepstein, L. Transplantation of human embryonic stem cell-derived cardiomyocytes improves myocardial performance in infarcted rat hearts. J. Am. Coll. Cardiol. 2007, 50, 1884–1893. [Google Scholar] [CrossRef]
- Shi, Y.; Zhao, Y.; Li, Y.; Yi, J.; Ma, Y.; Chen, Y. High concentrations of H7 human embryonic stem cells at the point of care for acute myocardial infarction. Ann. Transl. Med. 2020, 8, 1510. [Google Scholar] [CrossRef]
- King, N.M.; Perrin, J. Ethical issues in stem cell research and therapy. Stem Cell Res. Ther. 2014, 5, 85. [Google Scholar] [CrossRef] [PubMed]
- Carbone, R.G.; Monselise, A.; Bottino, G.; Negrini, S.; Puppo, F. Stem cells therapy in acute myocardial infarction: A new era? Clin. Exp. Med. 2021, 21, 231–237. [Google Scholar] [CrossRef] [PubMed]
- Planat-Benard, V.; Menard, C.; Andre, M.; Puceat, M.; Perez, A.; Garcia-Verdugo, J.M.; Penicaud, L.; Casteilla, L. Spontaneous cardiomyocyte differentiation from adipose tissue stroma cells. Circ. Res. 2004, 94, 223–229. [Google Scholar] [CrossRef] [PubMed]
- Shoji, T.; Ii, M.; Mifune, Y.; Matsumoto, T.; Kawamoto, A.; Kwon, S.M.; Kuroda, T.; Kuroda, R.; Kurosaka, M.; Asahara, T. Local transplantation of human multipotent adipose-derived stem cells accelerates fracture healing via enhanced osteogenesis and angiogenesis. Lab. Investig. 2010, 90, 637–649. [Google Scholar] [CrossRef]
- Harris, L.J.; Abdollahi, H.; Zhang, P.; McIlhenny, S.; Tulenko, T.N.; DiMuzio, P.J. Differentiation of adult stem cells into smooth muscle for vascular tissue engineering. J. Surg. Res. 2011, 168, 306–314. [Google Scholar] [CrossRef]
- Bayes-Genis, A.; Soler-Botija, C.; Farre, J.; Sepulveda, P.; Raya, A.; Roura, S.; Prat-Vidal, C.; Galvez-Monton, C.; Montero, J.A.; Buscher, D.; et al. Human progenitor cells derived from cardiac adipose tissue ameliorate myocardial infarction in rodents. J. Mol. Cell. Cardiol. 2010, 49, 771–780. [Google Scholar] [CrossRef]
- Ozkaynak, B.; Sahin, I.; Ozenc, E.; Subasi, C.; Oran, D.S.; Totoz, T.; Tetikkurt, U.S.; Mert, B.; Polat, A.; Okuyan, E.; et al. Mesenchymal stem cells derived from epicardial adipose tissue reverse cardiac remodeling in a rabbit model of myocardial infarction. Eur. Rev. Med. Pharmacol. Sci. 2021, 25, 4372–4384. [Google Scholar] [CrossRef]
- Nagata, H.; Ii, M.; Kohbayashi, E.; Hoshiga, M.; Hanafusa, T.; Asahi, M. Cardiac Adipose-Derived Stem Cells Exhibit High Differentiation Potential to Cardiovascular Cells in C57BL/6 Mice. Stem Cells Transl. Med. 2016, 5, 141–151. [Google Scholar] [CrossRef]
- Wystrychowski, W.; Patlolla, B.; Zhuge, Y.; Neofytou, E.; Robbins, R.C.; Beygui, R.E. Multipotency and cardiomyogenic potential of human adipose-derived stem cells from epicardium, pericardium, and omentum. Stem Cell Res. Ther. 2016, 7, 84. [Google Scholar] [CrossRef]
- Kuo, C.T.; Morrisey, E.E.; Anandappa, R.; Sigrist, K.; Lu, M.M.; Parmacek, M.S.; Soudais, C.; Leiden, J.M. GATA4 transcription factor is required for ventral morphogenesis and heart tube formation. Genes Dev. 1997, 11, 1048–1060. [Google Scholar] [CrossRef] [PubMed]
- Zeisberg, E.M.; Ma, Q.; Juraszek, A.L.; Moses, K.; Schwartz, R.J.; Izumo, S.; Pu, W.T. Morphogenesis of the right ventricle requires myocardial expression of Gata4. J. Clin. Investig. 2005, 115, 1522–1531. [Google Scholar] [CrossRef]
- Thankam, F.G.; Agrawal, D.K. Single Cell Genomics Identifies Unique Cardioprotective Phenotype of Stem Cells derived from Epicardial Adipose Tissue under Ischemia. Stem Cell Rev. Rep. 2022, 18, 294–335. [Google Scholar] [CrossRef]
- Thankam, F.G.; Huynh, J.; Fang, W.; Chen, Y.; Agrawal, D.K. Exosomal-ribosomal proteins-driven heterogeneity of epicardial adipose tissue derived stem cells under ischemia for cardiac regeneration. J. Tissue Eng. Regen. Med. 2022, 16, 396–408. [Google Scholar] [CrossRef] [PubMed]
- Thankam, F.G.; Sedighim, S.; Kuan, R.; Agrawal, D.K. Ischemia challenged epicardial adipose tissue stem cells-derived extracellular vesicles alter the gene expression of cardiac fibroblasts to cardiomyocyte like phenotype. Transl. Res. 2023, 254, 54–67. [Google Scholar] [CrossRef]
- Xu, Y.; Cheng, X.; Hong, K.; Huang, C.; Wan, L. How to interpret epicardial adipose tissue as a cause of coronary artery disease: A meta-analysis. Coron. Artery Dis. 2012, 23, 227–233. [Google Scholar] [CrossRef]
- Hendricks, S.; Dykun, I.; Balcer, B.; Totzeck, M.; Rassaf, T.; Mahabadi, A.A. Epicardial adipose tissue is a robust measure of increased risk of myocardial infarction—A meta-analysis on over 6600 patients and rationale for the EPIC-ACS study. Medicine 2021, 100, e28060. [Google Scholar] [CrossRef]
- Eren, H.; Omar, M.B.; Kaya, U.; Ocal, L.; Yilmaz, M.F.; Akkan, S. Epicardial adipose tissue may predict new-onset atrial fibrillation in patients with ST-segment elevation myocardial infarction. J. Cardiovasc. Med. 2021, 22, 917–923. [Google Scholar] [CrossRef] [PubMed]
- Mahabadi, A.A.; Massaro, J.M.; Rosito, G.A.; Levy, D.; Murabito, J.M.; Wolf, P.A.; O’Donnell, C.J.; Fox, C.S.; Hoffmann, U. Association of pericardial fat, intrathoracic fat, and visceral abdominal fat with cardiovascular disease burden: The Framingham Heart Study. Eur. Heart J. 2009, 30, 850–856. [Google Scholar] [CrossRef]
- Goeller, M.; Achenbach, S.; Marwan, M.; Doris, M.K.; Cadet, S.; Commandeur, F.; Chen, X.; Slomka, P.J.; Gransar, H.; Cao, J.J.; et al. Epicardial adipose tissue density and volume are related to subclinical atherosclerosis, inflammation and major adverse cardiac events in asymptomatic subjects. J. Cardiovasc. Comput. Tomogr. 2018, 12, 67–73. [Google Scholar] [CrossRef]
- Pierdomenico, S.D.; Pierdomenico, A.M.; Cuccurullo, F.; Iacobellis, G. Meta-analysis of the relation of echocardiographic epicardial adipose tissue thickness and the metabolic syndrome. Am. J. Cardiol. 2013, 111, 73–78. [Google Scholar] [CrossRef] [PubMed]
- Iacobellis, G.; Willens, H.J. Echocardiographic epicardial fat: A review of research and clinical applications. J. Am. Soc. Echocardiogr. 2009, 22, 1311–1319. [Google Scholar] [CrossRef]
- Iacobellis, G.; Assael, F.; Ribaudo, M.C.; Zappaterreno, A.; Alessi, G.; Di Mario, U.; Leonetti, F. Epicardial fat from echocardiography: A new method for visceral adipose tissue prediction. Obes. Res. 2003, 11, 304–310. [Google Scholar] [CrossRef]
- Saura, D.; Oliva, M.J.; Rodriguez, D.; Pascual-Figal, D.A.; Hurtado, J.A.; Pinar, E.; de la Morena, G.; Valdes, M. Reproducibility of echocardiographic measurements of epicardial fat thickness. Int. J. Cardiol. 2010, 141, 311–313. [Google Scholar] [CrossRef]
- Pugliese, L.; Ricci, F.; Sica, G.; Scaglione, M.; Masala, S. Non-Contrast and Contrast-Enhanced Cardiac Computed Tomography Imaging in the Diagnostic and Prognostic Evaluation of Coronary Artery Disease. Diagnostics 2023, 13, 2074. [Google Scholar] [CrossRef]
- Yuvaraj, J.; Cheng, K.; Lin, A.; Psaltis, P.J.; Nicholls, S.J.; Wong, D.T.L. The Emerging Role of CT-Based Imaging in Adipose Tissue and Coronary Inflammation. Cells 2021, 10, 1196. [Google Scholar] [CrossRef] [PubMed]
- Leo, L.A.; Paiocchi, V.L.; Schlossbauer, S.A.; Ho, S.Y.; Faletra, F.F. The Intrusive Nature of Epicardial Adipose Tissue as Revealed by Cardiac Magnetic Resonance. J. Cardiovasc. Echogr. 2019, 29, 45–51. [Google Scholar] [CrossRef] [PubMed]
- Mazurek, T.; Kochman, J.; Kobylecka, M.; Wilimski, R.; Filipiak, K.J.; Krolicki, L.; Opolski, G. Inflammatory activity of pericoronary adipose tissue may affect plaque composition in patients with acute coronary syndrome without persistent ST-segment elevation: Preliminary results. Kardiol. Pol. 2014, 72, 410–416. [Google Scholar] [CrossRef] [PubMed]
- Ahn, S.G.; Lim, H.S.; Joe, D.Y.; Kang, S.J.; Choi, B.J.; Choi, S.Y.; Yoon, M.H.; Hwang, G.S.; Tahk, S.J.; Shin, J.H. Relationship of epicardial adipose tissue by echocardiography to coronary artery disease. Heart 2008, 94, e7. [Google Scholar] [CrossRef]
- Wang, Q.; Chi, J.; Wang, C.; Yang, Y.; Tian, R.; Chen, X. Epicardial Adipose Tissue in Patients with Coronary Artery Disease: A Meta-Analysis. J. Cardiovasc. Dev. Dis. 2022, 9, 253. [Google Scholar] [CrossRef]
- Eroglu, S.; Sade, L.E.; Yildirir, A.; Bal, U.; Ozbicer, S.; Ozgul, A.S.; Bozbas, H.; Aydinalp, A.; Muderrisoglu, H. Epicardial adipose tissue thickness by echocardiography is a marker for the presence and severity of coronary artery disease. Nutr. Metab. Cardiovasc. Dis. 2009, 19, 211–217. [Google Scholar] [CrossRef]
- Verma, B.; Katyal, D.; Patel, A.; Singh, V.R.; Kumar, S. Relation of systolic and diastolic epicardial adipose tissue thickness with presence and severity of coronary artery disease (The EAT CAD study). J. Fam. Med. Prim. Care 2019, 8, 1470–1475. [Google Scholar] [CrossRef]
- Jeong, J.W.; Jeong, M.H.; Yun, K.H.; Oh, S.K.; Park, E.M.; Kim, Y.K.; Rhee, S.J.; Lee, E.M.; Lee, J.; Yoo, N.J.; et al. Echocardiographic epicardial fat thickness and coronary artery disease. Circ. J. 2007, 71, 536–539. [Google Scholar] [CrossRef] [PubMed]
- Sinha, S.K.; Thakur, R.; Jha, M.J.; Goel, A.; Kumar, V.; Kumar, A.; Mishra, V.; Varma, C.M.; Krishna, V.; Singh, A.K.; et al. Epicardial Adipose Tissue Thickness and Its Association with the Presence and Severity of Coronary Artery Disease in Clinical Setting: A Cross-Sectional Observational Study. J. Clin. Med. Res. 2016, 8, 410–419. [Google Scholar] [CrossRef] [PubMed]
- Jehn, S.; Roggel, A.; Dykun, I.; Balcer, B.; Al-Rashid, F.; Totzeck, M.; Risse, J.; Kill, C.; Rassaf, T.; Mahabadi, A.A. Epicardial adipose tissue and obstructive coronary artery disease in acute chest pain: The EPIC-ACS study. Eur. Heart J. Open 2023, 3, oead041. [Google Scholar] [CrossRef] [PubMed]
- Kamal, D.; Abd ElMoteleb, A.M.; Samir, R.; Saeed, M. Epicardial fat thickness can predict severity and multivessel distribution in Egyptian patients with atherosclerotic coronary artery stenosis. Egypt. Heart J. 2018, 70, 323–327. [Google Scholar] [CrossRef] [PubMed]
- Akcay, M.; Sahin, M. Association of Epicardial Adipose Tissue Thickness with Extent and Complexity of Coronary Artery Disease in Patients with Acute Coronary Syndrome. Acta Cardiol. Sin. 2019, 35, 459–467. [Google Scholar] [CrossRef] [PubMed]
- Wang, T.; Liu, Q.; Liu, C.; Sun, L.; Li, D.; Liu, A.; Jia, R. Correlation of echocardiographic epicardial fat thickness with severity of coronary artery disease in patients with acute myocardial infarction. Echocardiography 2014, 31, 1177–1181. [Google Scholar] [CrossRef]
- Sen, F.; Yilmaz, S.; Balci, K.G.; Gul, M.; Balci, M.M.; Akboga, M.K.; Topaloglu, S.; Temizhan, A.; Aras, D.; Aydogdu, S. The Relationship between Epicardial Adipose Tissue Thickness and Infarct-Related Artery Patency in Patients with ST-Segment Elevation Myocardial Infarction. Angiology 2016, 67, 281–286. [Google Scholar] [CrossRef]
- Park, J.S.; Choi, S.Y.; Zheng, M.; Yang, H.M.; Lim, H.S.; Choi, B.J.; Yoon, M.H.; Hwang, G.S.; Tahk, S.J.; Shin, J.H. Epicardial adipose tissue thickness is a predictor for plaque vulnerability in patients with significant coronary artery disease. Atherosclerosis 2013, 226, 134–139. [Google Scholar] [CrossRef]
- Park, S.S.; Jung, J.; Mintz, G.S.; Jin, U.; Park, J.S.; Park, B.; Shin, H.B.; Seo, K.W.; Yang, H.M.; Lim, H.S.; et al. Epicardial Adipose Tissue Thickness Is Related to Plaque Composition in Coronary Artery Disease. Diagnostics 2022, 12, 2836. [Google Scholar] [CrossRef]
- Kim, H.M.; Kim, K.J.; Lee, H.J.; Yu, H.T.; Moon, J.H.; Kang, E.S.; Cha, B.S.; Lee, H.C.; Lee, B.W.; Kim, Y.J. Epicardial adipose tissue thickness is an indicator for coronary artery stenosis in asymptomatic type 2 diabetic patients: Its assessment by cardiac magnetic resonance. Cardiovasc. Diabetol. 2012, 11, 83. [Google Scholar] [CrossRef]
- Alam, M.S.; Green, R.; de Kemp, R.; Beanlands, R.S.; Chow, B.J. Epicardial adipose tissue thickness as a predictor of impaired microvascular function in patients with non-obstructive coronary artery disease. J. Nucl. Cardiol. 2013, 20, 804–812. [Google Scholar] [CrossRef]
- Picard, F.A.; Gueret, P.; Laissy, J.P.; Champagne, S.; Leclercq, F.; Carrie, D.; Juliard, J.M.; Henry, P.; Niarra, R.; Chatellier, G.; et al. Epicardial adipose tissue thickness correlates with the presence and severity of angiographic coronary artery disease in stable patients with chest pain. PLoS ONE 2014, 9, e110005. [Google Scholar] [CrossRef]
- Nelson, M.R.; Mookadam, F.; Thota, V.; Emani, U.; Al Harthi, M.; Lester, S.J.; Cha, S.; Stepanek, J.; Hurst, R.T. Epicardial fat: An additional measurement for subclinical atherosclerosis and cardiovascular risk stratification? J. Am. Soc. Echocardiogr. 2011, 24, 339–345. [Google Scholar] [CrossRef]
- Tanindi, A.; Kocaman, S.A.; Erkan, A.F.; Ugurlu, M.; Alhan, A.; Tore, H.F. Epicardial adipose tissue thickness is associated with myocardial infarction and impaired coronary perfusion. Anatol J Cardiol 2015, 15, 224–231. [Google Scholar] [CrossRef]
- Tanindi, A.; Erkan, A.F.; Ekici, B. Epicardial adipose tissue thickness can be used to predict major adverse cardiac events. Coron. Artery Dis. 2015, 26, 686–691. [Google Scholar] [CrossRef]
- Ozcan, F.; Turak, O.; Canpolat, U.; Kanat, S.; Kadife, I.; Avci, S.; Isleyen, A.; Cebeci, M.; Tok, D.; Basar, F.N.; et al. Association of epicardial fat thickness with TIMI risk score in NSTEMI/USAP patients. Herz 2014, 39, 755–760. [Google Scholar] [CrossRef] [PubMed]
- Park, J.S.; Choi, B.J.; Choi, S.Y.; Yoon, M.H.; Hwang, G.S.; Tahk, S.J.; Shin, J.H. Echocardiographically measured epicardial fat predicts restenosis after coronary stenting. Scand Cardiovasc. J. 2013, 47, 297–302. [Google Scholar] [CrossRef] [PubMed]
- Chu, C.Y.; Lee, W.H.; Hsu, P.C.; Lee, M.K.; Lee, H.H.; Chiu, C.A.; Lin, T.H.; Lee, C.S.; Yen, H.W.; Voon, W.C.; et al. Association of Increased Epicardial Adipose Tissue Thickness with Adverse Cardiovascular Outcomes in Patients with Atrial Fibrillation. Medicine 2016, 95, e2874. [Google Scholar] [CrossRef] [PubMed]
- Tscharre, M.; Hauser, C.; Rohla, M.; Freynhofer, M.K.; Wojta, J.; Huber, K.; Weiss, T.W. Epicardial adipose tissue and cardiovascular outcome in patients with acute coronary syndrome undergoing percutaneous coronary intervention. Eur. Heart J. Acute Cardiovasc. Care 2017, 6, 750–752. [Google Scholar] [CrossRef] [PubMed]
- Islas, F.; Gutierrez, E.; Cachofeiro, V.; Martinez-Martinez, E.; Marin, G.; Olmos, C.; Carrion, I.; Gil, S.; Mahia, P.; Cobos, M.A.; et al. Importance of cardiac imaging assessment of epicardial adipose tissue after a first episode of myocardial infarction. Front. Cardiovasc. Med. 2022, 9, 995367. [Google Scholar] [CrossRef]
- Park, J.S.; Lee, Y.H.; Seo, K.W.; Choi, B.J.; Choi, S.Y.; Yoon, M.H.; Hwang, G.S.; Tahk, S.J.; Shin, J.H. Echocardiographic epicardial fat thickness is a predictor for target vessel revascularization in patients with ST-elevation myocardial infarction. Lipids Health Dis. 2016, 15, 194. [Google Scholar] [CrossRef]
- Mehta, R.; Bello-Chavolla, O.Y.; Mancillas-Adame, L.; Rodriguez-Flores, M.; Pedraza, N.R.; Encinas, B.R.; Carrion, C.I.P.; Avila, M.I.J.; Valladares-Garcia, J.C.; Vanegas-Cedillo, P.E.; et al. Epicardial adipose tissue thickness is associated with increased COVID-19 severity and mortality. Int. J. Obes. 2022, 46, 866–873. [Google Scholar] [CrossRef]
- Albuquerque, F.N.; Somers, V.K.; Blume, G.; Miranda, W.; Korenfeld, Y.; Calvin, A.D.; Qin, R.; Lopez-Jimenez, F. Usefulness of epicardial adipose tissue as predictor of cardiovascular events in patients with coronary artery disease. Am. J. Cardiol. 2012, 110, 1100–1105. [Google Scholar] [CrossRef] [PubMed]
- Zencirci, A.E.; Zencirci, E.; Degirmencioglu, A.; Erdem, A.; Karakus, G.; Ozden, K.; Karadeniz, F.; Buturak, A.; Belen, E.; Tipi, F.; et al. Predictive Value of the No-Reflow Phenomenon and Epicardial Adipose Tissue for Clinical Outcomes after Primary Percutaneous Coronary Intervention. Hellenic. J. Cardiol. 2015, 56, 311–319. [Google Scholar]
- Chen, Y.C.; Lee, W.H.; Lee, M.K.; Hsu, P.C.; Tsai, W.C.; Chu, C.Y.; Lee, C.S.; Yen, H.W.; Lin, T.H.; Voon, W.C.; et al. Epicardial adipose tissue thickness is not associated with adverse cardiovascular events in patients undergoing haemodialysis. Sci. Rep. 2020, 10, 6281. [Google Scholar] [CrossRef]
- Altun, B.; Colkesen, Y.; Gazi, E.; Tasolar, H.; Temiz, A.; Simsek, H.Y.; Barutcu, A.; Gungor, O.; Kirilmaz, B.; Ceyhan, K. Could epicardial adipose tissue thickness by echocardiography be correlated with acute coronary syndrome risk scores. Echocardiography 2013, 30, 1130–1134. [Google Scholar] [CrossRef]
- Eren, H.; Omar, M.B.; Ocal, L. Epicardial fat tissue may predict new-onset atrial fibrillation in patients with non-ST-segment elevation myocardial infarction. Turk Kardiyol. Dern. Ars. 2021, 49, 430–438. [Google Scholar] [CrossRef] [PubMed]
- Zencirci, E.; Zencirci, A.E.; Degirmencioglu, A.; Karakus, G.; Ugurlucan, M.; Ozden, K.; Erdem, A.; Gullu, A.U.; Ekmekci, A.; Velibey, Y.; et al. The relationship between epicardial adipose tissue and ST-segment resolution in patients with acute ST-segment elevation myocardial infarction undergoing primary percutaneous coronary intervention. Heart Vessel. 2015, 30, 147–153. [Google Scholar] [CrossRef] [PubMed]
- Sen, F.; Yilmaz, S.; Sen, O.; Balc, K.G.; Duman, I.; Topaloglu, S.; Temizhan, A.; Aras, D. Epicardial adipose tissue is related to coronary collateral vessel formation in patients with acute coronary syndrome. Scand Cardiovasc. J. 2015, 49, 130–135. [Google Scholar] [CrossRef]
- Mohamed, A. Predicting mortality and no-reflow in STEMI patients using epicardial adipose tissue. Clin. Cardiol. 2021, 44, 1371–1376. [Google Scholar] [CrossRef] [PubMed]
- Comert, N.; Yucel, O.; Ege, M.R.; Yaylak, B.; Erdogan, G.; Yilmaz, M.B. Echocardiographic epicardial adipose tissue predicts subclinical atherosclerosis: Epicardial adipose tissue and atherosclerosis. Angiology 2012, 63, 586–590. [Google Scholar] [CrossRef] [PubMed]
- Harada, K.; Amano, T.; Uetani, T.; Tokuda, Y.; Kitagawa, K.; Shimbo, Y.; Kunimura, A.; Kumagai, S.; Yoshida, T.; Kato, B.; et al. Cardiac 64-multislice computed tomography reveals increased epicardial fat volume in patients with acute coronary syndrome. Am. J. Cardiol. 2011, 108, 1119–1123. [Google Scholar] [CrossRef]
- Ito, T.; Nasu, K.; Terashima, M.; Ehara, M.; Kinoshita, Y.; Ito, T.; Kimura, M.; Tanaka, N.; Habara, M.; Tsuchikane, E.; et al. The impact of epicardial fat volume on coronary plaque vulnerability: Insight from optical coherence tomography analysis. Eur. Heart J. Cardiovasc. Imaging 2012, 13, 408–415. [Google Scholar] [CrossRef]
- Schlett, C.L.; Ferencik, M.; Kriegel, M.F.; Bamberg, F.; Ghoshhajra, B.B.; Joshi, S.B.; Nagurney, J.T.; Fox, C.S.; Truong, Q.A.; Hoffmann, U. Association of pericardial fat and coronary high-risk lesions as determined by cardiac CT. Atherosclerosis 2012, 222, 129–134. [Google Scholar] [CrossRef]
- Lu, M.T.; Park, J.; Ghemigian, K.; Mayrhofer, T.; Puchner, S.B.; Liu, T.; Fleg, J.L.; Udelson, J.E.; Truong, Q.A.; Ferencik, M.; et al. Epicardial and paracardial adipose tissue volume and attenuation—Association with high-risk coronary plaque on computed tomographic angiography in the ROMICAT II trial. Atherosclerosis 2016, 251, 47–54. [Google Scholar] [CrossRef]
- Sarin, S.; Wenger, C.; Marwaha, A.; Qureshi, A.; Go, B.D.; Woomert, C.A.; Clark, K.; Nassef, L.A.; Shirani, J. Clinical significance of epicardial fat measured using cardiac multislice computed tomography. Am. J. Cardiol. 2008, 102, 767–771. [Google Scholar] [CrossRef] [PubMed]
- Nakanishi, R.; Rajani, R.; Cheng, V.Y.; Gransar, H.; Nakazato, R.; Shmilovich, H.; Otaki, Y.; Hayes, S.W.; Thomson, L.E.; Friedman, J.D.; et al. Increase in epicardial fat volume is associated with greater coronary artery calcification progression in subjects at intermediate risk by coronary calcium score: A serial study using non-contrast cardiac CT. Atherosclerosis 2011, 218, 363–368. [Google Scholar] [CrossRef]
- Bettencourt, N.; Toschke, A.M.; Leite, D.; Rocha, J.; Carvalho, M.; Sampaio, F.; Xara, S.; Leite-Moreira, A.; Nagel, E.; Gama, V. Epicardial adipose tissue is an independent predictor of coronary atherosclerotic burden. Int. J. Cardiol. 2012, 158, 26–32. [Google Scholar] [CrossRef]
- Yu, W.; Chen, Y.; Zhang, F.; Liu, B.; Wang, J.; Shao, X.; Yang, X.; Shi, Y.; Wang, Y. Association of epicardial adipose tissue volume with increased risk of hemodynamically significant coronary artery disease. Quant. Imaging Med. Surg. 2023, 13, 2582–2593. [Google Scholar] [CrossRef]
- Nakazato, R.; Dey, D.; Cheng, V.Y.; Gransar, H.; Slomka, P.J.; Hayes, S.W.; Thomson, L.E.; Friedman, J.D.; Min, J.K.; Berman, D.S. Epicardial fat volume and concurrent presence of both myocardial ischemia and obstructive coronary artery disease. Atherosclerosis 2012, 221, 422–426. [Google Scholar] [CrossRef]
- den Dekker, M.A.; Takashima, R.; van den Heuvel, E.R.; van den Dungen, J.J.; Tio, R.A.; Oudkerk, M.; Vliegenthart, R. Relationship between epicardial adipose tissue and subclinical coronary artery disease in patients with extra-cardiac arterial disease. Obesity 2014, 22, 72–78. [Google Scholar] [CrossRef]
- Yerramasu, A.; Dey, D.; Venuraju, S.; Anand, D.V.; Atwal, S.; Corder, R.; Berman, D.S.; Lahiri, A. Increased volume of epicardial fat is an independent risk factor for accelerated progression of sub-clinical coronary atherosclerosis. Atherosclerosis 2012, 220, 223–230. [Google Scholar] [CrossRef]
- Orlando, G.; Guaraldi, G.; Zona, S.; Carli, F.; Bagni, P.; Menozzi, M.; Cocchi, S.; Scaglioni, R.; Ligabue, G.; Raggi, P. Ectopic fat is linked to prior cardiovascular events in men with HIV. J. Acquir. Immune Defic. Syndr. 2012, 59, 494–497. [Google Scholar] [CrossRef] [PubMed]
- Lin, A.; Wong, N.D.; Razipour, A.; McElhinney, P.A.; Commandeur, F.; Cadet, S.J.; Gransar, H.; Chen, X.; Cantu, S.; Miller, R.J.H.; et al. Metabolic syndrome, fatty liver, and artificial intelligence-based epicardial adipose tissue measures predict long-term risk of cardiac events: A prospective study. Cardiovasc. Diabetol. 2021, 20, 27. [Google Scholar] [CrossRef] [PubMed]
- Lin, A.; Nerlekar, N.; Yuvaraj, J.; Fernandes, K.; Jiang, C.; Nicholls, S.J.; Dey, D.; Wong, D.T.L. Pericoronary adipose tissue computed tomography attenuation distinguishes different stages of coronary artery disease: A cross-sectional study. Eur. Heart J. Cardiovasc. Imaging 2021, 22, 298–306. [Google Scholar] [CrossRef]
- Romijn, M.A.; Danad, I.; Bakkum, M.J.; Stuijfzand, W.J.; Tulevski, I.I.; Somsen, G.A.; Lammertsma, A.A.; van Kuijk, C.; van de Ven, P.M.; Min, J.K.; et al. Incremental diagnostic value of epicardial adipose tissue for the detection of functionally relevant coronary artery disease. Atherosclerosis 2015, 242, 161–166. [Google Scholar] [CrossRef] [PubMed]
- Milanese, G.; Silva, M.; Ledda, R.E.; Goldoni, M.; Nayak, S.; Bruno, L.; Rossi, E.; Maffei, E.; Cademartiri, F.; Sverzellati, N. Validity of epicardial fat volume as biomarker of coronary artery disease in symptomatic individuals: Results from the ALTER-BIO registry. Int. J. Cardiol. 2020, 314, 20–24. [Google Scholar] [CrossRef]
- Mahabadi, A.A.; Berg, M.H.; Lehmann, N.; Kalsch, H.; Bauer, M.; Kara, K.; Dragano, N.; Moebus, S.; Jockel, K.H.; Erbel, R.; et al. Association of epicardial fat with cardiovascular risk factors and incident myocardial infarction in the general population: The Heinz Nixdorf Recall Study. J. Am. Coll. Cardiol. 2013, 61, 1388–1395. [Google Scholar] [CrossRef]
- Hajsadeghi, F.; Nabavi, V.; Bhandari, A.; Choi, A.; Vincent, H.; Flores, F.; Budoff, M.; Ahmadi, N. Increased epicardial adipose tissue is associated with coronary artery disease and major adverse cardiovascular events. Atherosclerosis 2014, 237, 486–489. [Google Scholar] [CrossRef]
- Kunita, E.; Yamamoto, H.; Kitagawa, T.; Ohashi, N.; Oka, T.; Utsunomiya, H.; Urabe, Y.; Tsushima, H.; Awai, K.; Budoff, M.J.; et al. Prognostic value of coronary artery calcium and epicardial adipose tissue assessed by non-contrast cardiac computed tomography. Atherosclerosis 2014, 233, 447–453. [Google Scholar] [CrossRef] [PubMed]
- Mahabadi, A.A.; Balcer, B.; Dykun, I.; Forsting, M.; Schlosser, T.; Heusch, G.; Rassaf, T. Cardiac computed tomography-derived epicardial fat volume and attenuation independently distinguish patients with and without myocardial infarction. PLoS ONE 2017, 12, e0183514. [Google Scholar] [CrossRef] [PubMed]
- Massalha, S.; Walpot, J.; Dey, D.; Guler, E.C.; Clarkin, O.; Godkin, L.; Ratnayake, I.; Jayasinghe, P.; Hossain, A.; Crean, A.; et al. Epicardial Adipose Tissue: An Independent Predictor of Post-Operative Adverse Cardiovascular Events (CTA VISION Substudy). JACC Cardiovasc. Imaging 2020, 13, 882–884. [Google Scholar] [CrossRef] [PubMed]
- Uygur, B.; Celik, O.; Demir, A.R.; Karakayali, M.; Arslan, C.; Otcu Temur, H.; Alis, D.; Yildirim, C.; Corekcioglu, B.; Erturk, M. Epicardial adipose tissue volume predicts long term major adverse cardiovascular events in patients with Type 2 diabetes. Turk Kardiyol. Dern. Ars. 2021, 49, 127–134. [Google Scholar] [CrossRef] [PubMed]
- Raggi, P.; Zona, S.; Scaglioni, R.; Stentarelli, C.; Ligabue, G.; Besutti, G.; Menozzi, M.; Santoro, A.; Malagoli, A.; Bellasi, A.; et al. Epicardial adipose tissue and coronary artery calcium predict incident myocardial infarction and death in HIV-infected patients. J. Cardiovasc. Comput. Tomogr. 2015, 9, 553–558. [Google Scholar] [CrossRef]
- Cosson, E.; Nguyen, M.T.; Rezgani, I.; Berkane, N.; Pinto, S.; Bihan, H.; Tatulashvili, S.; Taher, M.; Sal, M.; Soussan, M.; et al. Epicardial adipose tissue volume and myocardial ischemia in asymptomatic people living with diabetes: A cross-sectional study. Cardiovasc. Diabetol. 2021, 20, 224. [Google Scholar] [CrossRef]
- Janik, M.; Hartlage, G.; Alexopoulos, N.; Mirzoyev, Z.; McLean, D.S.; Arepalli, C.D.; Chen, Z.; Stillman, A.E.; Raggi, P. Epicardial adipose tissue volume and coronary artery calcium to predict myocardial ischemia on positron emission tomography-computed tomography studies. J. Nucl. Cardiol. 2010, 17, 841–847. [Google Scholar] [CrossRef] [PubMed]
- Hell, M.M.; Ding, X.; Rubeaux, M.; Slomka, P.; Gransar, H.; Terzopoulos, D.; Hayes, S.; Marwan, M.; Achenbach, S.; Berman, D.S.; et al. Epicardial adipose tissue volume but not density is an independent predictor for myocardial ischemia. J. Cardiovasc. Comput. Tomogr. 2016, 10, 141–149. [Google Scholar] [CrossRef]
- Tong, J.; Bei, G.G.; Zhang, L.B.; Sun, Y.; Qi, M.; Yang, B.Q. Relationship between quantitative epicardial adipose tissue based on coronary computed tomography angiography and coronary slow flow. BMC Cardiovasc. Disord. 2023, 23, 500. [Google Scholar] [CrossRef]
- Shan, D.; Wang, X.; Dou, G.; Zhang, W.; Jing, J.; He, B.; Li, Y.; Chen, Y.; Yang, J. Vascular-specific epicardial adipose tissue in predicting functional myocardial ischemia for patients with stable chest pain. J. Thromb. Thrombolysis 2021, 51, 915–923. [Google Scholar] [CrossRef]
- Muthalaly, R.G.; Nerlekar, N.; Wong, D.T.; Cameron, J.D.; Seneviratne, S.K.; Ko, B.S. Epicardial adipose tissue and myocardial ischemia assessed by computed tomography perfusion imaging and invasive fractional flow reserve. J. Cardiovasc. Comput. Tomogr. 2017, 11, 46–53. [Google Scholar] [CrossRef] [PubMed]
- Amisha; Malik, P.; Pathania, M.; Rathaur, V.K. Overview of artificial intelligence in medicine. J. Fam. Med. Prim. Care 2019, 8, 2328–2331. [Google Scholar] [CrossRef] [PubMed]
- Koulaouzidis, G.; Jadczyk, T.; Iakovidis, D.K.; Koulaouzidis, A.; Bisnaire, M.; Charisopoulou, D. Artificial Intelligence in Cardiology-A Narrative Review of Current Status. J. Clin. Med. 2022, 11, 3910. [Google Scholar] [CrossRef] [PubMed]
- Commandeur, F.; Slomka, P.J.; Goeller, M.; Chen, X.; Cadet, S.; Razipour, A.; McElhinney, P.; Gransar, H.; Cantu, S.; Miller, R.J.H.; et al. Machine learning to predict the long-term risk of myocardial infarction and cardiac death based on clinical risk, coronary calcium, and epicardial adipose tissue: A prospective study. Cardiovasc. Res. 2020, 116, 2216–2225. [Google Scholar] [CrossRef] [PubMed]
- Tamarappoo, B.K.; Lin, A.; Commandeur, F.; McElhinney, P.A.; Cadet, S.; Goeller, M.; Razipour, A.; Chen, X.; Gransar, H.; Cantu, S.; et al. Machine learning integration of circulating and imaging biomarkers for explainable patient-specific prediction of cardiac events: A prospective study. Atherosclerosis 2021, 318, 76–82. [Google Scholar] [CrossRef] [PubMed]
- Fisser, C.; Colling, S.; Debl, K.; Hetzenecker, A.; Sterz, U.; Hamer, O.W.; Fellner, C.; Maier, L.S.; Buchner, S.; Arzt, M. The impact of epicardial adipose tissue in patients with acute myocardial infarction. Clin. Res. Cardiol. 2021, 110, 1637–1646. [Google Scholar] [CrossRef]
- Biere, L.; Behaghel, V.; Mateus, V.; Assuncao, A., Jr.; Grani, C.; Ouerghi, K.; Grall, S.; Willoteaux, S.; Prunier, F.; Kwong, R.; et al. Relation of Quantity of Subepicardial Adipose Tissue to Infarct Size in Patients with ST-Elevation Myocardial Infarction. Am. J. Cardiol. 2017, 119, 1972–1978. [Google Scholar] [CrossRef]
- Gohbara, M.; Iwahashi, N.; Akiyama, E.; Maejima, N.; Tsukahara, K.; Hibi, K.; Kosuge, M.; Ebina, T.; Umemura, S.; Kimura, K. Association between epicardial adipose tissue volume and myocardial salvage in patients with a first ST-segment elevation myocardial infarction: An epicardial adipose tissue paradox. J. Cardiol. 2016, 68, 399–405. [Google Scholar] [CrossRef]
- van Meijeren, A.R.; Ties, D.; de Koning, M.L.Y.; van Dijk, R.; van Blokland, I.V.; Lizana Veloz, P.; van Woerden, G.; Vliegenthart, R.; Pundziute, G.; Westenbrink, D.B.; et al. Association of epicardial adipose tissue with different stages of coronary artery disease: A cross-sectional UK Biobank cardiovascular magnetic resonance imaging substudy. Int. J. Cardiol. Heart Vasc. 2022, 40, 101006. [Google Scholar] [CrossRef]
- Homsi, R.; Sprinkart, A.M.; Gieseke, J.; Yuecel, S.; Meier-Schroers, M.; Luetkens, J.; Dabir, D.; Kuetting, D.; Marx, C.; Nadal, J.; et al. 3D-Dixon cardiac magnetic resonance detects an increased epicardial fat volume in hypertensive men with myocardial infarction. Eur. J. Radiol. 2016, 85, 936–942. [Google Scholar] [CrossRef] [PubMed]
- Franssens, B.T.; Nathoe, H.M.; Visseren, F.L.; van der Graaf, Y.; Leiner, T.; Group, S.S. Relation of Epicardial Adipose Tissue Radiodensity to Coronary Artery Calcium on Cardiac Computed Tomography in Patients at High Risk for Cardiovascular Disease. Am. J. Cardiol. 2017, 119, 1359–1365. [Google Scholar] [CrossRef]
- Du, Y.; Yang, L.; Liu, Y.; Yang, B.; Lv, S.; Hu, C.; Zhu, Y.; Zhang, H.; Ma, Q.; Wang, Z.; et al. Relation between quantity and quality of peri-coronary epicardial adipose tissue and its underlying hemodynamically significant coronary stenosis. BMC Cardiovasc. Disord. 2020, 20, 226. [Google Scholar] [CrossRef]
- Fluchter, S.; Haghi, D.; Dinter, D.; Heberlein, W.; Kuhl, H.P.; Neff, W.; Sueselbeck, T.; Borggrefe, M.; Papavassiliu, T. Volumetric assessment of epicardial adipose tissue with cardiovascular magnetic resonance imaging. Obesity 2007, 15, 870–878. [Google Scholar] [CrossRef]
- Doesch, C.; Suselbeck, T.; Haghi, D.; Streitner, F.; Schoenberg, S.O.; Borggrefe, M.; Papavassiliu, T. The relationship between the severity of coronary artery disease and epicardial adipose tissue depends on the left ventricular function. PLoS ONE 2012, 7, e48330. [Google Scholar] [CrossRef][Green Version]
- Doesch, C.; Suselbeck, T.; Leweling, H.; Fluechter, S.; Haghi, D.; Schoenberg, S.O.; Borggrefe, M.; Papavassiliu, T. Bioimpedance analysis parameters and epicardial adipose tissue assessed by cardiac magnetic resonance imaging in patients with heart failure. Obesity 2010, 18, 2326–2332. [Google Scholar] [CrossRef] [PubMed]
- Goeller, M.; Achenbach, S.; Duncker, H.; Dey, D.; Marwan, M. Imaging of the Pericoronary Adipose Tissue (PCAT) Using Cardiac Computed Tomography: Modern Clinical Implications. J. Thorac. Imaging 2021, 36, 149–161. [Google Scholar] [CrossRef] [PubMed]
- Oikonomou, E.K.; Marwan, M.; Desai, M.Y.; Mancio, J.; Alashi, A.; Hutt Centeno, E.; Thomas, S.; Herdman, L.; Kotanidis, C.P.; Thomas, K.E.; et al. Non-invasive detection of coronary inflammation using computed tomography and prediction of residual cardiovascular risk (the CRISP CT study): A post-hoc analysis of prospective outcome data. Lancet 2018, 392, 929–939. [Google Scholar] [CrossRef]
- Wang, Z.; Zhang, J.; Zhang, A.; Sun, Y.; Su, M.; You, H.; Zhang, R.; Jin, Q.; Shi, J.; Zhao, D.; et al. The role of epicardial and pericoronary adipose tissue radiomics in identifying patients with non-ST-segment elevation myocardial infarction from unstable angina. Heliyon 2023, 9, e15738. [Google Scholar] [CrossRef]
- Kuno, T.; Arce, J.; Fattouh, M.; Sarkar, S.; Skendelas, J.P.; Daich, J.; Schenone, A.L.; Zhang, L.; Rodriguez, C.J.; Virani, S.S.; et al. Cardiometabolic predictors of high-risk CCTA phenotype in a diverse patient population. Am. J. Prev. Cardiol. 2023, 15, 100578. [Google Scholar] [CrossRef] [PubMed]
- Balcer, B.; Dykun, I.; Schlosser, T.; Forsting, M.; Rassaf, T.; Mahabadi, A.A. Pericoronary fat volume but not attenuation differentiates culprit lesions in patients with myocardial infarction. Atherosclerosis 2018, 276, 182–188. [Google Scholar] [CrossRef]
- Duncker, H.; Achenbach, S.; Moshage, M.; Dey, D.; Bittner, D.O.; Ammon, F.; Marwan, M.; Goeller, M. Computed Tomography-derived Characterization of Pericoronary, Epicardial, and Paracardial Adipose Tissue and Its Association with Myocardial Ischemia as Assessed by Computed Fractional Flow Reserve. J. Thorac. Imaging 2023, 38, 46–53. [Google Scholar] [CrossRef] [PubMed]
- Zhou, K.; Shang, J.; Guo, Y.; Ma, S.; Lv, B.; Zhao, N.; Liu, H.; Zhang, J.; Xv, L.; Wang, Y.; et al. Incremental diagnostic value of radiomics signature of pericoronary adipose tissue for detecting functional myocardial ischemia: A multicenter study. Eur. Radiol. 2023, 33, 3007–3019. [Google Scholar] [CrossRef] [PubMed]
- Toya, T.; Corban, M.T.; Imamura, K.; Bois, J.P.; Gulati, R.; Oh, J.K.; Lerman, L.O.; Lerman, A. Coronary perivascular epicardial adipose tissue and major adverse cardiovascular events after ST segment-elevation myocardial infarction. Atherosclerosis 2020, 302, 27–35. [Google Scholar] [CrossRef] [PubMed]
- Ma, Y.; Ma, Q.; Wang, X.; Yu, T.; Dang, Y.; Shang, J.; Li, G.; Hou, Y. Incremental Prognostic Value of Pericoronary Adipose Tissue Thickness Measured Using Cardiac Magnetic Resonance Imaging after Revascularization in Patients with ST-Elevation Myocardial Infarction. Front. Cardiovasc. Med. 2022, 9, 781402. [Google Scholar] [CrossRef]
- Mazurek, T.; Kobylecka, M.; Zielenkiewicz, M.; Kurek, A.; Kochman, J.; Filipiak, K.J.; Mazurek, K.; Huczek, Z.; Krolicki, L.; Opolski, G. PET/CT evaluation of (18)F-FDG uptake in pericoronary adipose tissue in patients with stable coronary artery disease: Independent predictor of atherosclerotic lesions’ formation? J. Nucl. Cardiol. 2017, 24, 1075–1084. [Google Scholar] [CrossRef]
- Ohyama, K.; Matsumoto, Y.; Takanami, K.; Ota, H.; Nishimiya, K.; Sugisawa, J.; Tsuchiya, S.; Amamizu, H.; Uzuka, H.; Suda, A.; et al. Coronary Adventitial and Perivascular Adipose Tissue Inflammation in Patients with Vasospastic Angina. J. Am. Coll. Cardiol. 2018, 71, 414–425. [Google Scholar] [CrossRef]



Disclaimer/Publisher’s Note: The statements, opinions and data contained in all publications are solely those of the individual author(s) and contributor(s) and not of MDPI and/or the editor(s). MDPI and/or the editor(s) disclaim responsibility for any injury to people or property resulting from any ideas, methods, instructions or products referred to in the content. |
© 2024 by the authors. Licensee MDPI, Basel, Switzerland. This article is an open access article distributed under the terms and conditions of the Creative Commons Attribution (CC BY) license (https://creativecommons.org/licenses/by/4.0/).
Share and Cite
Krauz, K.; Kempiński, M.; Jańczak, P.; Momot, K.; Zarębiński, M.; Poprawa, I.; Wojciechowska, M. The Role of Epicardial Adipose Tissue in Acute Coronary Syndromes, Post-Infarct Remodeling and Cardiac Regeneration. Int. J. Mol. Sci. 2024, 25, 3583. https://doi.org/10.3390/ijms25073583
Krauz K, Kempiński M, Jańczak P, Momot K, Zarębiński M, Poprawa I, Wojciechowska M. The Role of Epicardial Adipose Tissue in Acute Coronary Syndromes, Post-Infarct Remodeling and Cardiac Regeneration. International Journal of Molecular Sciences. 2024; 25(7):3583. https://doi.org/10.3390/ijms25073583
Chicago/Turabian StyleKrauz, Kamil, Marcel Kempiński, Paweł Jańczak, Karol Momot, Maciej Zarębiński, Izabela Poprawa, and Małgorzata Wojciechowska. 2024. "The Role of Epicardial Adipose Tissue in Acute Coronary Syndromes, Post-Infarct Remodeling and Cardiac Regeneration" International Journal of Molecular Sciences 25, no. 7: 3583. https://doi.org/10.3390/ijms25073583
APA StyleKrauz, K., Kempiński, M., Jańczak, P., Momot, K., Zarębiński, M., Poprawa, I., & Wojciechowska, M. (2024). The Role of Epicardial Adipose Tissue in Acute Coronary Syndromes, Post-Infarct Remodeling and Cardiac Regeneration. International Journal of Molecular Sciences, 25(7), 3583. https://doi.org/10.3390/ijms25073583

