Flow Cytometry Analysis in Breast Implant-Associated Anaplastic Large Cell Lymphoma: Three Case Reports
Abstract
1. Introduction
2. Detailed Case Description
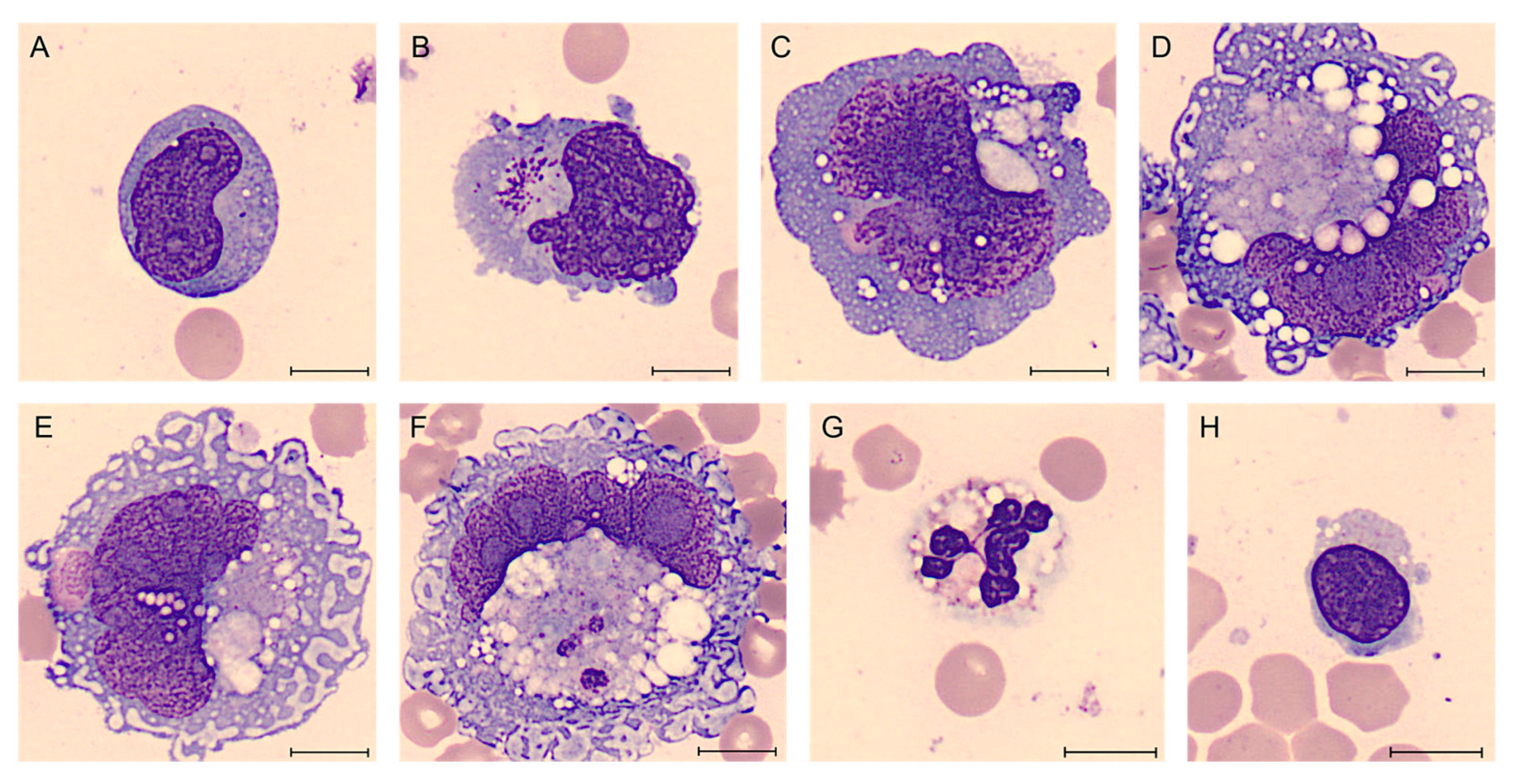
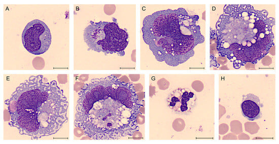
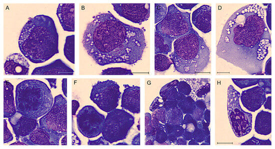
2.1. Case #1
2.2. Case #2
2.3. Case #3
3. Materials and Methods
4. Results
5. Discussion
6. Conclusions
Supplementary Materials
Author Contributions
Funding
Institutional Review Board Statement
Informed Consent Statement
Data Availability Statement
Acknowledgments
Conflicts of Interest
References
- Mendes, J., Jr.; Mendes Maykeh, V.A.; Frascino, L.F.; Zacchi, F.F.S. Gluteal Implant-Associated Anaplastic Large Cell Lymphoma. Plast. Reconstr. Surg. 2019, 144, 610–613. [Google Scholar] [CrossRef]
- U.S. Food and Drug Administration (FDA). Available online: https://www.fda.gov/medical-devices/products-and-medical-procedures/implants-and-prosthetics (accessed on 13 January 2024).
- Swerdlow, S.H.; Campo, E.; Pileri, S.A.; Harris, N.L.; Stein, H.; Siebert, R.; Advani, R.; Ghielmini, M.; Salles, G.A.; Zelenetz, A.D.; et al. The 2016 revision of the World Health Organization classification of lymphoid neoplasms. Blood 2016, 127, 2375–2390. [Google Scholar] [CrossRef]
- Clemens, M.W.; Horwitz, S.M. NCCN Consensus Guidelines for the Diagnosis and Management of Breast Im-plant-Associated Anaplastic Large Cell Lymphoma. Aesthetic Surg. J. 2017, 37, 285–289. [Google Scholar] [CrossRef]
- Alaggio, R.; Amador, C.; Anagnostopoulos, I.; Attygalle, A.D.; Barreto de Oliveira Araujo, I.; Berti, E.; Bhagat, G.; Borges, A.M.; Boyer, D.; Calaminici, D.; et al. The 5th edition of the World Health Organization Classification of Haematolymphoid Tumours: Lymphoid Neoplasms. Leukemia 2022, 36, 1720–1748. [Google Scholar] [CrossRef]
- Campo, E.; Jaffe, E.S.; Cook, J.R.; Quintanilla-Martinez, L.; Swerdlow, S.H.; Anderson, K.C.; Brousset, P.; Cerroni, L.; de Leval, L.; Dirnhofer, S.; et al. The International Consensus Classification of Mature Lymphoid Neoplasms: A report from the Clinical Advisory Committee. Blood 2022, 140, 1229–1253. [Google Scholar] [CrossRef]
- Santanelli di Pompeo, F.; Clemens, M.W.; Atlan, M.; Botti, G.; Cordeiro, P.G.; De Jong, D.; Di Napoli, A.; Hammond, D.; Haymaker, C.L.; Horwitz, S.M. 2022 Practice Recommendation Updates From the World Consensus Conference on BIA-ALCL. Aesthetic Surg. J. 2022, 42, 1262–1278. [Google Scholar] [CrossRef]
- Yoo, H.; Park, J.U.; Chang, H. Comprehensive Evaluation of the Current Knowledge on Breast Implant Associated-Anaplastic Large Cell Lymphoma. Arch. Plast. Surg. 2022, 49, 141–149. [Google Scholar] [CrossRef] [PubMed]
- Clemens, M.W.; Jacobsen, E.D.; Horwitz, S.M. 2019 NCCN Consensus Guidelines on the Diagnosis and Treatment of Breast Implant-Associated Anaplastic Large Cell Lymphoma (BIA-ALCL). Aesthetic Surg. J. 2019, 39, S3–S13. [Google Scholar] [CrossRef] [PubMed]
- Quesada, A.E.; Medeiros, L.J.; Clemens, M.W.; Ferrufino-Schmidt, M.C.; Pina-Oviedo, S.; Miranda, R.N. Breast implant-associated anaplastic large cell lymphoma: A review. Mod. Pathol. 2019, 32, 166–188. [Google Scholar] [CrossRef] [PubMed]
- Foppiani, J.A.; Raska, O.; Taritsa, I.; Hernandez Alvarez, A.; Lee, D.; Escobar-Domingo, M.J.; Berger, J.; Klener, P.; Schuster, K.A.; Abdo, D.; et al. Incidental Bystander or Essential Culprit: A Systematic Review of Bacterial Significance in the Pathogenesis of Breast Implant-Associated Anaplastic Large Cell Lymphoma. Int. J. Mol. Sci. 2024, 25, 355. [Google Scholar] [CrossRef]
- Bewtra, C.; Gharde, P. Current Understanding of Breast Implant-Associated Anaplastic Large Cell Lymphoma. Cureus 2022, 14, e30516. [Google Scholar] [CrossRef]
- Cordeiro, P.G.; Ghione, P.; Ni, A.; Hu, Q.; Ganesan, N.; Galasso, N.; Dogan, A.; Horwitz, S.M. Risk of Breast Implant Associated Anaplastic Large Cell Lymphoma (BIA-ALCL) in a Cohort of 3546 Women Prospectively Followed Long Term After Reconstruction with Textured Breast Implants. J. Plast. Reconstr. Aesthetic Surg. 2020, 73, 841–846. [Google Scholar] [CrossRef]
- Di Napoli, A.; Jain, P.; Duranti, E.; Margolskee, E.; Arancio, W.; Facchetti, F.; Alobeid, B.; Santanelli di Pompeo, F.; Mansukhani, M.; Bhagat, G. Targeted next generation sequencing of breast implant associated anaplastic large cell lymphoma reveals mutations in JAK/STAT signalling pathway genes, TP53 and DNMT3A. Br. J. Haematol. 2018, 180, 735–760. [Google Scholar] [CrossRef]
- Laurent, C.; Nicolae, A.; Laurent, C.; Le Bras, F.; Haioun, C.; Fataccioli, V.; Amara, N.; Adelaide, N.; Guille, A.; Schiano, J.-M.; et al. Gene alterations in epigenetic modifiers and JAK-STAT signaling are frequent in breast implant–associated ALCL. Blood 2020, 135, 360–370. [Google Scholar] [CrossRef]
- DeCoster, R.C.; Clemens, M.W.; Di Napoli, A.; Lynch, E.B.; Bonaroti, A.R.; Rinker, B.D.; Butterfield, T.A.; Vasconez, H.C. Cellular and Molecular Mechanisms of Breast Implant–Associated Anaplastic Large Cell Lymphoma. Plast. Reconstr. Surg. 2021, 147, 30e–41e. [Google Scholar] [CrossRef] [PubMed]
- DeCoster, R.C.; Rinker, B.D.; Butterfield, T.A.; Vasconez, R.C. Oncogenic Drivers of Breast Implant-Associated Anaplastic Large Cell Lymphoma. Plast. Reconstr. Surg. 2020, 145, 195e–196e. [Google Scholar] [CrossRef] [PubMed]
- Rondon-Lagos, M.; Rangel, N.; Camargo-Villalba, G.; Forero-Castro, M. Biological and genetic landscape of breast implant-associated anaplastic large cell lymphoma (BIA-ALCL). Eur. J. Surg. Oncol. 2021, 47, 942–951. [Google Scholar] [CrossRef] [PubMed]
- Di Napoli, A. Achieving Reliable Diagnosis in Late Breast Implant Seromas: From Reactive to Anaplastic Large Cell Lymphoma. Plast. Reconstr. Surg. 2019, 143, 15S. [Google Scholar] [CrossRef] [PubMed]
- Hu, H.; Jacombs, A.; Vickery, K.; Merten, S.L.; Pennington, D.G.; Deva, A.K. Chronic Biofilm Infection in Breast Implants Is Associated with an Increased T-Cell Lymphocytic Infiltrate: Implications for Breast Implant–Associated Lymphoma. Plast. Reconstr. Surg. 2015, 135, 319–329. [Google Scholar] [CrossRef] [PubMed]
- Quesada, A.E.; Zhang, Y.; Ptashkin, R.; Ho, C.; Horwitz, S.; Benayed, R.; Dogan, A.; Arcila, M.E. Next generation sequencing of breast implant associated anaplastic large cell lymphomas reveals a novel STAT3-JAK2 fusion among other activating genetic alterations within the JAK-STAT pathway. Breast J. 2021, 27, 314–321. [Google Scholar] [CrossRef] [PubMed]
- Clemens, M.W.; DeCoster, R.C.; Fairchild, B.; Bessonov, A.A.; Santanelli di Pompeo, F. Finding Consensus After Two Decades of Breast Implant-Associated Anaplastic Large Cell Lymphoma. Semin. Plast. Surg. 2019, 33, 270–278. [Google Scholar] [CrossRef] [PubMed]
- Hillard, C.; Fowler, J.D.; Barta, R.; Cunningham, B. Silicone breast implant rupture: A review. Gland. Surg. 2017, 6, 163–168. [Google Scholar] [CrossRef] [PubMed]
- Kadin, M.E.; Morgan, J.; Xu, H.; Epstein, A.L.; Sieber, D.; Hubbard, B.A.; Adams, V.P.; Bacchi, C.E.; Goe, J.C.S.; Clemens, M.W. IL-13 is produced by tumor cells in breast implant–associated anaplastic large cell lymphoma: Implications for pathogenesis. Hum. Pathol. 2018, 78, 54–62. [Google Scholar] [CrossRef]
- Chena, J.; Zhang, J.; Petrus, M.N.; Xiao, W.; Nicolae, A.; Raffeld, M.; Pittaluga, S.; Bamford, R.N.; Nakagawa, M.; Ouyang, S.T.; et al. Cytokine receptor signaling is required for the survival of ALK− anaplastic large cell lymphoma, even in the presence of JAK1/STAT3 mutations. Proc. Natl. Acad. Sci. USA 2017, 114, 3975–3980. [Google Scholar] [CrossRef]
- Suh, L.J.; Khan, I.; Kelley-Patteson, C.; Mohan, G.; Hassanein, A.H.; Sinha, M. Breast Implant-Associated Immunological Disorders. J. Immunol. Res. 2022, 2022, 8536149. [Google Scholar] [CrossRef] [PubMed]
- Turton, P.; El-Sharkawi, D.; Lyburn, I.; Sharma, B.; Mahalingam, P.; Turner, S.D.; MacNeill, F.; Johnson, L.; Hamilton, S.; Burton, C.; et al. UK Guidelines on the Diagnosis and Treatment of Breast Implant Associated Anaplastic Large Cell Lymphoma (BIA-ALCL) on behalf of the Medicines and Healthcare products Regulatory Agency (MHRA) Plastic, Reconstructive and Aesthetic Surgery Expert Advisory Group (PRASEAG). Eur. J. Surg. Oncol. 2021, 47, 199–210. [Google Scholar]
- Mehdi, A.S.; Bitar, G.; Sharma, R.K.; Iyengar, S.; El-Sharkawi, D.; Tasoulis, M.K.; Attygalle, A.D.; Cunningham, D.; Sharma, B. Breast implant-associated anaplastic large cell lymphoma (BIA-ALCL): A good practice guide, pictorial review, and new perspectives. Clin. Radiol. 2022, 77, 79–87. [Google Scholar] [CrossRef]
- 2024 NCCN. Available online: https://www.nccn.org (accessed on 9 January 2024).
- Ministry of Health. Available online: https://www.salute.gov.it/portale/home.html (accessed on 6 January 2024).
- Davanzo, V.; Fogar, P.; Zuin, J.; Pelloso, M.; Ludwig, K.; Pizzi, M.; Santoro, L.; Lo Mele, M.; Toffanin, M.C.; Basso, D. Trovato l’ago nel pagliaio: Il primo caso di Breast Implant-Associated Anaplastic Large Cell Lymphoma (BIA-ALCL) nell’Azienda Ospedale Università di Padova. Biochim. Clin. 2023, 47, 51–54. [Google Scholar] [CrossRef]
- Deva, A.K. Response to “Breast Implant-Associated Anaplastic Large Cell Lymphoma (BIA-ALCL): Why the Search for an Infectious Etiology May Be Irrelevant”. Aesthetic Surg. J. 2017, 37, NP122–NP128. [Google Scholar] [CrossRef]
- Debliquis, A.; Baseggio, L.; Bouyer, S.; Guy, J.; Garnache-Ottou, F.; Genevieve, F.; Mayeur-Rousse, C.; Letestu, R.; Chapuis, N.; Harrivel, V.; et al. Multicentric MFI30 study: Standardization of FCM analysis of CD30 expression in non-Hodgkin lymphoma. Cytometry 2021, 100, 488–496. [Google Scholar] [CrossRef]
- Montgomery-Goecker, C.; Fuda, F.; Krueger, J.E.; Chen, W. Immunophenotypic Characteristics of Breast Implant-Associated Anaplastic Large-Cell Lymphoma by FCM. Cytom. Part B Clin. Cytom. 2015, 88B, 291–293. [Google Scholar] [CrossRef]
- Vittoria, L.; Sala, L.; Summo, V.; Capone, J.; Conca, E.; Toma, M.; Ottolenghi, J.; Testa, F.; Cortinovis, U.; Paolini, B. Breast implant associated anaplastic large cell lymphoma: Evidence for an efficient diagnostic workup. Tumori J. 2023, 109, 458–465. [Google Scholar] [CrossRef]
- Wu, D.; Allen, C.T.; Fromm, J.R. FCM of ALK-Negative Anaplastic Large Cell Lymphoma of Breast Implant Associated Effusion and Capsular Tissue. Cytom. Part B Clin. Cytom. 2015, 88, 58–63. [Google Scholar] [CrossRef]
- Rajendran, S.; Li, Y.; Ngoh, E.; Wong, H.J.; Cheng, M.S.; Wang, C.I.; Schwarz, H. Development of a Bispecific Antibody Targeting CD30 and CD137 on Hodgkin and Reed-Sternberg Cells. Front. Oncol. 2019, 9, 945. [Google Scholar] [CrossRef]
- Poujol, F.; Monneret, G.; Pachot, A.; Textoris, J.; Venet, F. Altered T Lymphocyte Proliferation upon Lipopolysaccharide Challenge Ex Vivo. PLoS ONE 2015, 10, e0144375. [Google Scholar] [CrossRef]
- Transfix. Available online: https://www.cytomark.co.uk/transfix/ (accessed on 15 January 2024).
- Koens, L.; van de Ven, P.M.; Hijmering, N.J.; Kersten, M.J.; Diepstra, A.; Chamuleau, M.; de Jong, D. Interobserver variation in CD30 immunohistochemistry interpretation; consequences for patient selection for targeted treatment. Histopathology 2018, 73, 473–482. [Google Scholar] [CrossRef]
- Goyal, A.; Hordinsky, M.; Lazaryan, A. Impressive response of CD30-negative, treatment-refractory mycosis fungoides to brentuximab vedotin. Dermatol. Ther. 2019, 32, e12835. [Google Scholar] [CrossRef]
- Nakashima, M.; Uchimaru, K. CD30 Expression and Its Functions during the Disease Progression of Adult T-Cell Leukemia. Int. J. Mol. Sci. 2023, 24, 8731. [Google Scholar] [CrossRef] [PubMed]
- Romero, M.; Melo, A.; Bedoya, N.; de la Hoz, J.; Mejia-Arango, M.; Galvis, K.; Hernandez, L.; Cuellar, G.; Martin, L.; Quijano, S.; et al. Should FCM Be Considered a First Line of Study in the Diagnosis of Breast Implant–Associated Anaplastic Large-Cell Lymphoma? J. Clin. Oncol. 2020, 38, 2816–2819. [Google Scholar] [CrossRef] [PubMed]
- Blombery, P.; Thompson, E.R.; Jones, K.; Arnau, G.M.; Lade, S.; Markham, J.F.; Li, J.; Deva, A.; Johnstone, R.W.; Khot, A.; et al. Whole exome sequencing reveals activating JAK1and STAT3 mutations in breast implant-associated anaplastic large cell lymphoma. Letters to the Editor. Haematologica 2016, 101, 387–390. [Google Scholar] [CrossRef] [PubMed]
- Lajevardi, S.S.; Rastogi, P.; Isacson, D.; Deva, A.K. What are the likely causes of breast implant associated anaplastic large cell lymphoma (BIA-ALCL)? JPRAS Open 2022, 32, 34–42. [Google Scholar] [CrossRef]
- De Azambuja, A.P.; Gevert, F.; Oliveira, R.M.; Sebastiao, A.P.; Groth, A.P. Use of FCM and cytology to differentiate breast implant-associated anaplastic large cell lymphoma from reactive seromas in Brazilian patients. Cytom. B Clin. Cytom. 2022, 102, 312–316. [Google Scholar] [CrossRef]
- Jones, J.L.; Hanby, A.M.; Wells, C.; Calaminici, M.; Johnson, L.; Turton, P.; Deb, R.; Provenzano, E.; Shaaban, A.; Ellis, I.O. Breast implant-associated anaplastic large cell lymphoma (BIA-ALCL): An overview of presentation and pathogenesis and guidelines for pathological diagnosis and management. Histopathology 2019, 75, 787–796. [Google Scholar] [CrossRef] [PubMed]
- Ramos-Gallardo, G.; Cuenca-Pardo, J.; Cardenas-Camarena, L.; Duran-Vega, H.; Rodriguez-Olivares, E.; Bayter-Marin, J.E.; Levelier De Doig Alvear, G.; Vazquez, G.; Fontbona-Torres, M.; Galan-Suarez, R.; et al. Is Latin America Ready to Identify Anaplastic Large Cell Lymphoma in Breast Implants Patients? Aesthetic Plast. Surg. 2018, 42, 1421–1428. [Google Scholar] [CrossRef] [PubMed]
- Pfreundschuh, M.; Pohl, C.; Berenbeck, C.; Schroeder, J.; Jung, W.; Schmits, R.; Tschiersch, A.; Diehl, V.; Gause, A. Detection of a soluble form of the CD30 antigen in sera of patients with lymphoma, adult T-cell leukemia and infectious mononucleosis. Int. J. Cancer 1990, 45, 869–874. [Google Scholar] [CrossRef] [PubMed]
- Alessandri-Bonetti, M.; Jeong, T.; Vaienti, L.; De La Cruz, C.; Gimbel, M.L.; Nguyen, V.T.; Egro, F.M. The Role of Microorganisms in the Development of Breast Implant-Associated Anaplastic Large Cell Lymphoma. Pathogens 2023, 12, 313. [Google Scholar] [CrossRef]
- Dumitru, A.V.; Tapoi, D.A.; Halcu, G.; Munteanu, O.; Dumitrascu, D.I.; Ceaus, M.C.; Gheorghis-Galateanu, A.-A. The Polyvalent Role of CD30 for Cancer Diagnosis and Treatment. Cells 2023, 12, 1783. [Google Scholar] [CrossRef]












| FCM | IHC | ||||||
|---|---|---|---|---|---|---|---|
| Case 1 | Case 2 | Case 3 | Case 1 | Case 2 | Case 3 | ||
| Neoplastic cells | 70% | 50% | 4% | Neoplastic cells | Numerous | Rare | ND |
| CD30 | + (mod to bright) | + (bright) | + (bright) | CD30 | + | + | + |
| CD3 | − | − | − | CD3 | + focal | − | − |
| CD4 | + (mod) | + | + | CD4 | + (focal/doubt) | + | + (mod/doubt) |
| CD8 | − | − | − | CD8 | − | ND | − |
| CD2 | + | − | − | CD2 | + | ND | − |
| CD5 | − | − | − | CD5 | − | ND | ND |
| CD7 | − | − | − | CD7 | − | ND | + (mod/doubt) |
| CD19 | − | − | − | CD20 | − | − | − |
| CD15 | − | ND | ND | CD15 | + partial | + | + |
| CD56 | − | − | − | AE1/AE3 | − | ND | ND |
| CD16 | − | − | − | EMA | + partial | + | − |
| CD14 | − | ND | ND | ALK-1 | − | − | − |
| CD43 | ND | + | ND | Perforin | + (focal/doubt) | + | + partial |
| CD45 | −/+ | + | + (mod) | PAX5 | − | − | − |
| HLA-DR | − | ND | ND | EBER | − | ND | ND |
| FSC | high | high | high | TIA-1 | + focal | ND | ND |
| SSC | high | high | high | ||||
| Experiments on Fixed Samples | Time of Acquisition (Hours) | Percentage of CD30+ Cells among Lymphocyte (%) | MFI of CD30 | MFI of CD45 |
|---|---|---|---|---|
| Lysed peripheral blood in ascitic fluid | 0 | 7.96 | 2.39 | 136.23 |
| 24 | 7.59 | 1.87 | 62.93 | |
| 72 | 7.73 | 2.51 | 47.40 | |
| PBMC stimulated with PHA in ascitic fluid | 0 | 57.58 | 2.78 | 129.60 |
| 72 | 53.30 | 1.38 | 39.74 |
| Experiments on Fresh Samples | Time of Acquisition (Hours) | Percentage of CD30+ Cells (%) | MFI of CD30+ Cells | Percentage of CD30+/7AAD− Cells (%) | Percentage of CD30+/7AAD+ Cells (%) | Percentage of CD30−/7AAD+ Cells (%) |
|---|---|---|---|---|---|---|
| PBMC stimulated with PHA | 0 | 51.78 | 7.79 | 55.29 | 1.21 | 1.48 |
| 24 | 55.11 | 4.49 | 53.36 | 2.17 | 4.77 | |
| 48 | 50.39 | 4.06 | 44.43 | 0.86 | 1.86 |
Disclaimer/Publisher’s Note: The statements, opinions and data contained in all publications are solely those of the individual author(s) and contributor(s) and not of MDPI and/or the editor(s). MDPI and/or the editor(s) disclaim responsibility for any injury to people or property resulting from any ideas, methods, instructions or products referred to in the content. |
© 2024 by the authors. Licensee MDPI, Basel, Switzerland. This article is an open access article distributed under the terms and conditions of the Creative Commons Attribution (CC BY) license (https://creativecommons.org/licenses/by/4.0/).
Share and Cite
Davanzo, V.; Falda, A.; Fogar, P.; Ludwig, K.; Zuin, J.; Toffanin, M.C.; Pizzi, M.; Dei Tos, A.P.; Basso, D. Flow Cytometry Analysis in Breast Implant-Associated Anaplastic Large Cell Lymphoma: Three Case Reports. Int. J. Mol. Sci. 2024, 25, 3518. https://doi.org/10.3390/ijms25063518
Davanzo V, Falda A, Fogar P, Ludwig K, Zuin J, Toffanin MC, Pizzi M, Dei Tos AP, Basso D. Flow Cytometry Analysis in Breast Implant-Associated Anaplastic Large Cell Lymphoma: Three Case Reports. International Journal of Molecular Sciences. 2024; 25(6):3518. https://doi.org/10.3390/ijms25063518
Chicago/Turabian StyleDavanzo, Veronica, Alessandra Falda, Paola Fogar, Kathrin Ludwig, Jenny Zuin, Maria Cristina Toffanin, Marco Pizzi, Angelo Paolo Dei Tos, and Daniela Basso. 2024. "Flow Cytometry Analysis in Breast Implant-Associated Anaplastic Large Cell Lymphoma: Three Case Reports" International Journal of Molecular Sciences 25, no. 6: 3518. https://doi.org/10.3390/ijms25063518
APA StyleDavanzo, V., Falda, A., Fogar, P., Ludwig, K., Zuin, J., Toffanin, M. C., Pizzi, M., Dei Tos, A. P., & Basso, D. (2024). Flow Cytometry Analysis in Breast Implant-Associated Anaplastic Large Cell Lymphoma: Three Case Reports. International Journal of Molecular Sciences, 25(6), 3518. https://doi.org/10.3390/ijms25063518

