Functional MICA Variants Are Differentially Associated with Immune-Mediated Inflammatory Diseases
Abstract
1. Introduction
2. Results
2.1. MICA*010 Is a Common Risk Factor for PSO and RA, Whereas MICA*045 Is Associated with SLE Susceptibility
2.2. MICA*010 Is Deficient in Cell Surface Expression
2.3. MICA Alleles Have Different Binding Capacity for NKG2D
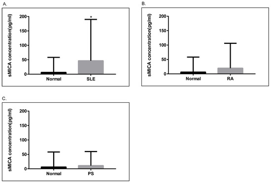
2.4. Soluble MICA (sMICA) Levels Were Significantly Increased in Serum Samples of SLE Patients
3. Discussion
4. Materials and Methods
4.1. Study Subjects
4.2. Determination of MICA Alleles by DNA Sequence Analysis
4.3. Construction of MICA Gene Expression Constructs
4.4. Generation of Stable Cell Lines Expressing MICA Alleles
4.5. Analysis of Membrane-Bound MICA by Flow Cytometry
4.6. Determination of MICA Trafficking
4.7. NKG2D Binding Assay
4.8. Determination of Soluble MICA (sMICA) Concentrations in Human Serum Samples
4.9. Statistical Analysis
5. Conclusions
Supplementary Materials
Author Contributions
Funding
Institutional Review Board Statement
Informed Consent Statement
Data Availability Statement
Acknowledgments
Conflicts of Interest
References
- Paul, S.; Lal, G. The Molecular Mechanism of Natural Killer Cells Function and Its Importance in Cancer Immunotherapy. Front. Immunol. 2017, 8, 1124. [Google Scholar] [CrossRef]
- Vivier, E.; Tomasello, E.; Baratin, M.; Walzer, T.; Ugolini, S. Functions of natural killer cells. Nat. Immunol. 2008, 9, 503–510. [Google Scholar] [CrossRef] [PubMed]
- Velardi, A. Natural killer cell alloreactivity 10 years later. Curr. Opin. Hematol. 2012, 19, 421–426. [Google Scholar] [CrossRef]
- Zitti, B.; Bryceson, Y.T. Natural killer cells in inflammation and autoimmunity. Cytokine Growth Factor Rev. 2018, 42, 37–46. [Google Scholar] [CrossRef]
- Kucuksezer, U.C.; Aktas Cetin, E.; Esen, F.; Tahrali, I.; Akdeniz, N.; Gelmez, M.Y.; Deniz, G. The Role of Natural Killer Cells in Autoimmune Diseases. Front. Immunol. 2021, 12, 622306. [Google Scholar] [CrossRef] [PubMed]
- Zou, Y.; Stastny, P. Role of MICA in the immune response to transplants. Tissue Antigens 2010, 76, 171–176. [Google Scholar] [CrossRef]
- Tchacrome, I.; Zhu, Q.; Saleh, M.A.; Zou, Y. Diseases association with the polymorphic major histocompatibility complex class I related chain a: MICA gene. Transpl. Immunol. 2022, 75, 101665. [Google Scholar] [CrossRef]
- Choy, M.K.; Phipps, M.E. MICA polymorphism: Biology and importance in immunity and disease. Trends Mol. Med. 2010, 16, 97–106. [Google Scholar] [CrossRef]
- Duan, S.; Guo, W.; Xu, Z.; He, Y.; Liang, C.; Mo, Y.; Wang, Y.; Xiong, F.; Guo, C.; Li, Y.; et al. Natural killer group 2D receptor and its ligands in cancer immune escape. Mol. Cancer 2019, 18, 29. [Google Scholar] [CrossRef]
- Boukouaci, W.; Busson, M.; Peffault de Latour, R.; Rocha, V.; Suberbielle, C.; Bengoufa, D.; Dulphy, N.; Haas, P.; Scieux, C.; Amroun, H.; et al. MICA-129 genotype, soluble MICA, and anti-MICA antibodies as biomarkers of chronic graft-versus-host disease. Blood 2009, 114, 5216–5224. [Google Scholar] [CrossRef]
- Boukouaci, W.; Al-Daccak, R.; Dulphy, N.; Lauden, L.; Amokrane, K.; Fortier, C.; Marzais, F.; Bennabi, M.; Peffault de Latour, R.; Socie, G.; et al. Soluble MICA-NKG2D interaction upregulates IFN-γ production by activated CD3-CD56+ NK cells: Potential impact on chronic graft versus host disease. Hum. Immunol. 2013, 74, 1536–1541. [Google Scholar] [CrossRef]
- Hervier, B.; Ribon, M.; Tarantino, N.; Mussard, J.; Breckler, M.; Vieillard, V.; Amoura, Z.; Steinle, A.; Klein, R.; Kötter, I.; et al. Increased Concentrations of Circulating Soluble MHC Class I-Related Chain A (sMICA) and sMICB and Modulation of Plasma Membrane MICA Expression: Potential Mechanisms and Correlation With Natural Killer Cell Activity in Systemic Lupus Erythematosus. Front. Immunol. 2021, 12, 633658. [Google Scholar] [CrossRef] [PubMed]
- Wang, C.M.; Tan, K.P.; Jan Wu, Y.J.; Lin, J.C.; Zheng, J.W.; Yu, A.L.; Wu, J.M.; Chen, J.Y. MICA*019 Allele and Soluble MICA as Biomarkers for Ankylosing Spondylitis in Taiwanese. J. Pers. Med. 2021, 11, 564. [Google Scholar] [CrossRef]
- Wei, L.; Xiang, Z.; Zou, Y. The Role of NKG2D and Its Ligands in Autoimmune Diseases: New Targets for Immunotherapy. Int. J. Mol. Sci. 2023, 24, 17545. [Google Scholar] [CrossRef]
- Bauer, S.; Groh, V.; Wu, J.; Steinle, A.; Phillips, J.H.; Lanier, L.L.; Spies, T. Activation of NK cells and T cells by NKG2D, a receptor for stress-inducible MICA. Science 1999, 285, 727–729. [Google Scholar] [CrossRef] [PubMed]
- Pabon, M.A.; Navarro, C.E.; Martin, R.; Rodriguez, M.; Martin, I.; Gaitan, L.; Gomez, A.; Lozano, E. Minor histocompatibility antigens as risk factor for poor prognosis in kidney transplantation. Transplant. Proc. 2011, 43, 3319–3323. [Google Scholar] [CrossRef] [PubMed]
- Suarez-Alvarez, B.; Alonso-Arias, R.; Bravo-Mendoza, C.; Lopez-Vazquez, A.; Ortega, T.; Baltar, J.M.; Coto, E.; Ortega, F.; Lopez-Larrea, C. Identification of epitopes and immunodominant regions on the MICA protein defined by alloantibodies from kidney transplant patients. Transplantation 2009, 88 (Suppl. S3), S68–S77. [Google Scholar] [CrossRef] [PubMed]
- Cox, S.T.; Stephens, H.A.; Fernando, R.; Karasu, A.; Harber, M.; Howie, A.J.; Powis, S.; Zou, Y.; Stastny, P.; Madrigal, J.A.; et al. Major histocompatibility complex class I-related chain A allele mismatching, antibodies, and rejection in renal transplantation. Hum. Immunol. 2011, 72, 827–834. [Google Scholar] [CrossRef] [PubMed]
- Isernhagen, A.; Schilling, D.; Monecke, S.; Shah, P.; Elsner, L.; Walter, L.; Multhoff, G.; Dressel, R. The MICA-129Met/Val dimorphism affects plasma membrane expression and shedding of the NKG2D ligand MICA. Immunogenetics 2016, 68, 109–123. [Google Scholar] [CrossRef]
- Isernhagen, A.; Malzahn, D.; Viktorova, E.; Elsner, L.; Monecke, S.; von Bonin, F.; Kilisch, M.; Wermuth, J.M.; Walther, N.; Balavarca, Y.; et al. The MICA-129 dimorphism affects NKG2D signaling and outcome of hematopoietic stem cell transplantation. EMBO Mol. Med. 2015, 7, 1480–1502. [Google Scholar] [CrossRef]
- Harden, J.L.; Krueger, J.G.; Bowcock, A.M. The immunogenetics of Psoriasis: A comprehensive review. J. Autoimmun. 2015, 64, 66–73. [Google Scholar] [CrossRef]
- Knight, J.; Spain, S.L.; Capon, F.; Hayday, A.; Nestle, F.O.; Clop, A.; Barker, J.N.; Weale, M.E.; Trembath, R.C. Conditional analysis identifies three novel major histocompatibility complex loci associated with psoriasis. Hum. Mol. Genet. 2012, 21, 5185–5192. [Google Scholar] [CrossRef]
- Pollock, R.A.; Chandran, V.; Pellett, F.J.; Thavaneswaran, A.; Eder, L.; Barrett, J.; Rahman, P.; Farewell, V.; Gladman, D.D. The functional MICA-129 polymorphism is associated with skin but not joint manifestations of psoriatic disease independently of HLA-B and HLA-C. Tissue Antigens 2013, 82, 43–47. [Google Scholar] [CrossRef] [PubMed]
- Gonzalez, S.; Martinez-Borra, J.; Torre-Alonso, J.C.; Gonzalez-Roces, S.; Sanchez del Río, J.; Rodriguez Pérez, A.; Brautbar, C.; López-Larrea, C. The MICA-A9 triplet repeat polymorphism in the transmembrane region confers additional susceptibility to the development of psoriatic arthritis and is independent of the association of Cw*0602 in psoriasis. Arthritis Rheum. 1999, 42, 1010–1016. [Google Scholar] [CrossRef] [PubMed]
- González, S.; Martínez-Borra, J.; López-Vázquez, A.; García-Fernández, S.; Torre-Alonso, J.C.; López-Larrea, C. MICA rather than MICB, TNFA, or HLA-DRB1 is associated with susceptibility to psoriatic arthritis. J. Rheumatol. 2002, 29, 973–978. [Google Scholar] [PubMed]
- Feng, B.J.; Sun, L.D.; Soltani-Arabshahi, R.; Bowcock, A.M.; Nair, R.P.; Stuart, P.; Elder, J.T.; Schrodi, S.J.; Begovich, A.B.; Abecasis, G.R.; et al. Multiple Loci within the major histocompatibility complex confer risk of psoriasis. PLoS Genet. 2009, 5, e1000606. [Google Scholar] [CrossRef] [PubMed]
- Cheng, L.; Zhang, S.Z.; Xiao, C.Y.; Hou, Y.P.; Li, L.; Luo, H.C.; Jiang, H.Y.; Zuo, W.Q. The A5.1 allele of the major histocompatibility complex class I chain-related gene A is associated with psoriasis vulgaris in Chinese. Br. J. Dermatol. 2000, 143, 324–329. [Google Scholar] [CrossRef] [PubMed]
- Romphruk, A.V.; Romphruk, A.; Choonhakarn, C.; Puapairoj, C.; Inoko, H.; Leelayuwat, C. Major histocompatibility complex class I chain-related gene A in Thai psoriasis patients: MICA association as a part of human leukocyte antigen-B-Cw haplotypes. Tissue Antigens 2004, 63, 547–554. [Google Scholar] [CrossRef] [PubMed]
- Huang, Y.W.; Tsai, T.F. HLA-Cw1 and Psoriasis. Am. J. Clin. Dermatol. 2021, 22, 339–347. [Google Scholar] [CrossRef] [PubMed]
- Ho, S.S.; Tsai, T.F. Associations between HLA-Cw1 and Systemic Treatment Response of Asian Psoriasis Patients. Mol. Diagn. Ther. 2022, 26, 541–549. [Google Scholar] [CrossRef]
- Mariaselvam, C.M.; Boukouaci, W.; Charron, D.; Krishnamoorthy, R.; Tamouza, R.; Misra, D.P.; Negi, V.S. Association of MICA-129 polymorphism and circulating soluble MICA level with rheumatoid arthritis in a south Indian Tamil population. Int. J. Rheum. Dis. 2018, 21, 656–663. [Google Scholar] [CrossRef]
- Wielińska, J.; Tarassi, K.; Iwaszko, M.; Kościńska, K.; Wysoczańska, B.; Mole, E.; Kitsiou, V.; Świerkot, J.; Kolossa, K.; Kouniaki, D.; et al. Shared epitope and polymorphism of MICA and NKG2D encoding genes in Greek and Polish patients with rheumatoid arthritis. Cent.-Eur. J. Immunol. 2021, 46, 92–98. [Google Scholar] [CrossRef]
- Achour, Y.; Kammoun, A.; Ben Hamad, M.; Mahfoudh, N.; Chaabane, S.; Marzouk, S.; Keskes, L.; Gaddour, L.; Bahloul, Z.; Maalej, A. Association study of MICA gene polymorphisms with rheumatoid arthritis susceptibility in south Tunisian population. Int. J. Immunogenet. 2014, 41, 486–492. [Google Scholar] [CrossRef]
- Kirsten, H.; Petit-Teixeira, E.; Scholz, M.; Hasenclever, D.; Hantmann, H.; Heider, D.; Wagner, U.; Sack, U.; Hugo Teixeira, V.; Prum, B.; et al. Association of MICA with rheumatoid arthritis independent of known HLA-DRB1 risk alleles in a family-based and a case control study. Arthritis Res. Ther. 2009, 11, R60. [Google Scholar] [CrossRef]
- Iwaszko, M.; Świerkot, J.; Dratwa, M.; Wysoczańska, B.; Korman, L.; Bugaj, B.; Kolossa, K.; Jeka, S.; Wiland, P.; Bogunia-Kubik, K. Association of MICA-129Met/Val polymorphism with clinical outcome of anti-TNF therapy and MICA serum levels in patients with rheumatoid arthritis. Pharmacogenomics J. 2020, 20, 760–769. [Google Scholar] [CrossRef]
- Mok, J.W.; Lee, Y.J.; Kim, J.Y.; Lee, E.B.; Song, Y.W.; Park, M.H.; Park, K.S. Association of MICA polymorphism with rheumatoid arthritis patients in Koreans. Hum. Immunol. 2003, 64, 1190–1194. [Google Scholar] [CrossRef]
- Singal, D.P.; Li, J.; Zhang, G. Microsatellite polymorphism of the MICA gene and susceptibility to rheumatoid arthritis. Clin. Exp. Rheumatol. 2001, 19, 451–452. [Google Scholar]
- Martinez, A.; Fernandez-Arquero, M.; Balsa, A.; Rubio, A.; Alves, H.; Pascual-Salcedo, D.; Martin-Mola, E.; de la Concha, E.G. Primary association of a MICA allele with protection against rheumatoid arthritis. Arthritis Rheum. 2001, 44, 1261–1265. [Google Scholar] [CrossRef]
- Molfetta, R.; Quatrini, L.; Santoni, A.; Paolini, R. Regulation of NKG2D-Dependent NK Cell Functions: The Yin and the Yang of Receptor Endocytosis. Int. J. Mol. Sci. 2017, 18, 1677. [Google Scholar] [CrossRef] [PubMed]
- Yang, D.; Wang, H.; Ni, B.; He, Y.; Li, J.; Tang, Y.; Fu, X.; Wang, Q.; Xu, G.; Li, K.; et al. Mutual activation of CD4+ T cells and monocytes mediated by NKG2D-MIC interaction requires IFN-gamma production in systemic lupus erythematosus. Mol. Immunol. 2009, 46, 1432–1442. [Google Scholar] [CrossRef] [PubMed]
- Dai, Z.; Turtle, C.J.; Booth, G.C.; Riddell, S.R.; Gooley, T.A.; Stevens, A.M.; Spies, T.; Groh, V. Normally occurring NKG2D+CD4+ T cells are immunosuppressive and inversely correlated with disease activity in juvenile-onset lupus. J. Exp. Med. 2009, 206, 793–805. [Google Scholar] [CrossRef]
- Pérez-Ferro, M.; Romero-Bueno, F.I.; Serrano Del Castillo, C.; Mahillo, I.; Alvear, A.; Largo, R.; Herrero-Beaumont, G.; Sánchez-Pernaute, O. A subgroup of lupus patients with nephritis, innate T cell activation and low vitamin D is identified by the enhancement of circulating MHC class I-related chain A. Clin. Exp. Immunol. 2019, 196, 336–344. [Google Scholar] [CrossRef] [PubMed]
- Vorwerk, G.; Zahn, S.; Bieber, T.; Wenzel, J. NKG2D and its ligands as cytotoxic factors in cutaneous lupus erythematosus. Exp. Dermatol. 2021, 30, 847–852. [Google Scholar] [CrossRef]
- Gambelunghe, G.; Gerli, R.; Bocci, E.B.; Del Sindaco, P.; Ghaderi, M.; Sanjeevi, C.B.; Bistoni, O.; Bini, V.; Falorni, A. Contribution of MHC class I chain-related A (MICA) gene polymorphism to genetic susceptibility for systemic lupus erythematosus. Rheumatology 2005, 44, 287–292. [Google Scholar] [CrossRef] [PubMed][Green Version]
- Sánchez, E.; Torres, B.; Vilches, J.R.; López-Nevot, M.A.; Ortego-Centeno, N.; Jiménez-Alonso, J.; González-Gay, M.A.; de Ramón, E.; Sánchez-Román, J.; Núñez-Roldán, A.; et al. No primary association of MICA polymorphism with systemic lupus erythematosus. Rheumatology 2006, 45, 1096–1100. [Google Scholar] [CrossRef] [PubMed][Green Version]
- Fojtíková, M.; Novota, P.; Cejková, P.; Pešičková, S.; Tegzová, D.; Cerná, M. HLA class II, MICA and PRL gene polymorphisms: The common contribution to the systemic lupus erythematosus development in Czech population. Rheumatol. Int. 2011, 31, 1195–1201. [Google Scholar] [CrossRef] [PubMed][Green Version]
- Yoshida, K.; Komai, K.; Shiozawa, K.; Mashida, A.; Horiuchi, T.; Tanaka, Y.; Nose, M.; Hashiramoto, A.; Shiozawa, S. Role of the MICA polymorphism in systemic lupus erythematosus. Arthritis Rheum. 2011, 63, 3058–3066. [Google Scholar] [CrossRef] [PubMed]
- Yu, P.; Zhu, Q.; Chen, C.; Fu, X.; Li, Y.; Liu, L.; Luo, Q.; Wang, F.; Wang, Y. Association Between Major Histocompatibility Complex Class I Chain-Related Gene Polymorphisms and Susceptibility of Systemic Lupus Erythematosus. Am. J. Med. Sci. 2017, 354, 430–435. [Google Scholar] [CrossRef] [PubMed]
- Morelli, M.; Galluzzo, M.; Scarponi, C.; Madonna, S.; Scaglione, G.L.; Girolomoni, G.; Talamonti, M.; Bianchi, L.; Albanesi, C. Allelic Variants of HLA-C Upstream Region, PSORS1C3, MICA, TNFA and Genes Involved in Epidermal Homeostasis and Barrier Function Influence the Clinical Response to Anti-IL-12/IL-23 Treatment of Patients with Psoriasis. Vaccines 2022, 10, 1977. [Google Scholar] [CrossRef]



| MICA Alleles | Estimated Frequency | Logistic Regression | Logistic Regression Adjusted for Sex | ||||
|---|---|---|---|---|---|---|---|
| PSO | Normal | All | p Value | OR (95% CI) | PFDR Value | OR (95% CI) | |
| (2N = 1158) | (2N = 1858) | (2N = 3016) | |||||
| MICA*010:01 | 29.97% (347) | 16.68% (310) | 21.78% (657) | 4.01 × 10−17 | 2.19 (1.82–2.63) | 1.93 × 10−15 | 2.18 (1.82–2.62) |
| MICA*008:01 | 28.50% (330) | 30.95% (575) | 30.01% (905) | 0.1563 | 0.89 (0.76–1.05) | 0.9658 | 0.89 (0.76–1.04) |
| MICA*002:01 | 16.58% (192) | 20.56% (382) | 19.03% (574) | 0.0072 | 0.77 (0.64–0.93) | 0.0666 | 0.77 (0.64–0.93) |
| MICA*019:01 | 7.60% (88) | 7.97% (148) | 7.82% (236) | 0.7179 | 0.95 (0.72–1.25) | 0.9999 | 0.95 (0.73–1.25) |
| MICA*012:01 | 5.70% (66) | 8.40% (156) | 7.36% (222) | 0.0064 | 0.66 (0.49–0.89) | 0.0638 | 0.66 (0.49–0.89) |
| MICA*045 | 5.27% (61) | 5.11% (95) | 5.17% (156) | 0.8520 | 1.03 (0.74–1.44) | 0.9999 | 1.05 (0.76–1.47) |
| MICA*009:01 | 3.71% (43) | 7.05% (131) | 5.77% (174) | 0.0003 | 0.53 (0.37–0.75) | 0.0058 | 0.53 (0.38–0.75) |
| MICA*004 | 0.52% (6) | 0.86% (16) | 0.73% (22) | 0.3071 | 0.62 (0.25–1.55) | 0.9999 | 0.61 (0.24–1.52) |
| MICA Alleles | Estimated Frequency | Logistic Regression | Logistic Regression Adjusted for Sex | ||||
|---|---|---|---|---|---|---|---|
| RA (2N = 1208) | Control (2N = 1858) | All | PFDR Value | OR (95% CI) | PFDR Value | OR (95% CI) | |
| MICA*008:01 | 30.55% (369) | 30.95% (575) | 30.79% (944) | 0.8158 | 0.98 (0.84–1.15) | 0.1041 | 0.84 (0.69–1.04) |
| MICA*010:01 | 22.52% (272) | 16.68% (310) | 18.98% (582) | 5.03 × 10−5 | 1.47 (1.22–1.77) | 0.0011 | 1.51 (1.18–1.93) |
| MICA*002:01 | 11.75% (142) | 20.56% (382) | 17.09% (524) | 1.08 × 10−9 | 0.52 (0.43–0.64) | 4.16 × 10−6 | 0.53 (0.41–0.70) |
| MICA*012:01 | 11.75% (142) | 8.40% (156) | 9.72% (298) | 0.00278 | 1.44 (1.13–1.82) | 0.0330 | 1.41 (1.03–1.93) |
| MICA*019:01 | 8.44% (102) | 7.97% (148) | 8.15% (250) | 0.6347 | 1.07 (0.82–1.39) | 0.1586 | 1.29 (0.91–1.84) |
| MICA*045 | 5.96% (72) | 5.11% (95) | 5.45% (167) | 0.3113 | 1.18 (0.86–1.62) | 0.1589 | 1.35 (0.89–2.05) |
| MICA*009:01 | 5.30% (64) | 7.05% (131) | 6.36% (195) | 0.0593 | 0.75 (0.55–1.01) | 0.9867 | 1.00 (0.68–1.47) |
| MICA*001 | 0.83% (10) | 0.11% (2) | 0.39% (12) | 0.0149 | 6.52 (1.44–29.49) | 0.0080 | 12.44 (1.93–80.19) |
| MICA*004 | 0.66% (8) | 0.86% (16) | 0.78% (24) | 0.5575 | 0.78 (0.34–1.78) | 0.0694 | 0.37 (0.12–1.08) |
| MICA*008:02 | 0.41% (5) | 0.22% (4) | 0.29% (9) | 0.3284 | 1.93 (0.52–7.22) | 0.6333 | 1.48 (0.30–7.41) |
| MICA*072 | 0.33% (4) | 0.11% (2) | 0.20% (6) | 0.1935 | 3.09 (0.56–16.92) | 0.8524 | 0.83 (0.12–5.72) |
| MICA Alleles | Estimated Frequency | Logistic Regression | Logistic Regression Adjusted for Sex | ||||
|---|---|---|---|---|---|---|---|
| SLE (2N = 1364) | Control (2N = 1858) | All | PFDR Value | OR (95% CI) | PFDR Value | OR (95% CI) | |
| MICA*008:01 | 30.13% (411) | 30.95% (575) | 30.60% (986) | 0.6209 | 0.96 (0.83–1.12) | 0.0598 | 0.81 (0.64–1.01) |
| MICA*002:01 | 19.57% (267) | 20.56% (382) | 20.14% (649) | 0.5005 | 0.94 (0.79–1.12) | 0.3699 | 1.13 (0.87–1.46) |
| MICA*010:01 | 16.13% (220) | 16.68% (310) | 16.45% (530) | 0.6703 | 0.96 (0.79–1.16) | 0.9243 | 0.99 (0.74–1.31) |
| MICA*019:01 | 9.02% (123) | 7.97% (148) | 8.41% (271) | 0.2912 | 1.14 (0.89–1.47) | 0.2151 | 1.27 (0.87–1.84) |
| MICA*045 | 8.58% (117) | 5.11% (95) | 6.58% (212) | 0.0001 | 1.74 (1.31–2.30) | 0.0002 | 2.24 (1.47–3.43) |
| MICA*012:01 | 7.11% (97) | 8.40% (156) | 7.85% (253) | 0.1904 | 0.84 (0.65–1.09) | 0.0670 | 0.71 (0.49–1.03) |
| MICA*009:01 | 6.52% (89) | 7.05% (131) | 6.83% (220) | 0.5637 | 0.92 (0.70–1.21) | 0.6874 | 1.09 (0.72–1.64) |
| MICA*004 | 0.51% (7) | 0.86% (16) | 0.71% (23) | 0.2709 | 0.62 (0.26–1.46) | 0.3758 | 0.60 (0.19–1.87) |
| MICA*033 | 0.37% (5) | 0.11% (2) | 0.22% (7) | 0.1421 | 3.42 (0.66–17.70) | 0.3014 | 3.54 (0.32–38.91) |
| MICA*002:03 | 0.29% (4) | 0.00% (0) | 0.12% (4) | ||||
| MICA*028 | 0.29% (4) | 0.00% (0) | 0.12% (4) | ||||
Disclaimer/Publisher’s Note: The statements, opinions and data contained in all publications are solely those of the individual author(s) and contributor(s) and not of MDPI and/or the editor(s). MDPI and/or the editor(s) disclaim responsibility for any injury to people or property resulting from any ideas, methods, instructions or products referred to in the content. |
© 2024 by the authors. Licensee MDPI, Basel, Switzerland. This article is an open access article distributed under the terms and conditions of the Creative Commons Attribution (CC BY) license (https://creativecommons.org/licenses/by/4.0/).
Share and Cite
Wang, C.-M.; Tan, K.-P.; Wu, Y.-J.J.; Zheng, J.-W.; Wu, J.; Chen, J.-Y. Functional MICA Variants Are Differentially Associated with Immune-Mediated Inflammatory Diseases. Int. J. Mol. Sci. 2024, 25, 3036. https://doi.org/10.3390/ijms25053036
Wang C-M, Tan K-P, Wu Y-JJ, Zheng J-W, Wu J, Chen J-Y. Functional MICA Variants Are Differentially Associated with Immune-Mediated Inflammatory Diseases. International Journal of Molecular Sciences. 2024; 25(5):3036. https://doi.org/10.3390/ijms25053036
Chicago/Turabian StyleWang, Chin-Man, Keng-Poo Tan, Yeong-Jian Jan Wu, Jian-Wen Zheng, Jianming Wu, and Ji-Yih Chen. 2024. "Functional MICA Variants Are Differentially Associated with Immune-Mediated Inflammatory Diseases" International Journal of Molecular Sciences 25, no. 5: 3036. https://doi.org/10.3390/ijms25053036
APA StyleWang, C.-M., Tan, K.-P., Wu, Y.-J. J., Zheng, J.-W., Wu, J., & Chen, J.-Y. (2024). Functional MICA Variants Are Differentially Associated with Immune-Mediated Inflammatory Diseases. International Journal of Molecular Sciences, 25(5), 3036. https://doi.org/10.3390/ijms25053036
