Differential Immunogenicity and Lung Disease-Inducing Potential of Mycobacterium immunogenum Genotypes and Impact of Co-Exposure with Pseudomonas: Optimizing a Mouse Model of Chronic Hypersensitivity Pneumonitis
Abstract
1. Introduction
2. Results
2.1. Optimization of Antigen Dose
2.2. Optimization of Timepoint for Sacrifice after the Final Dose Instillation
2.3. Dose–Response Relationship Using Live Cells of MI 700506
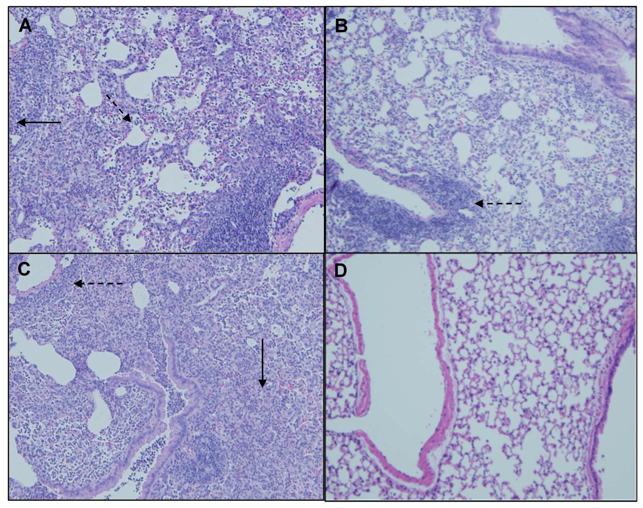
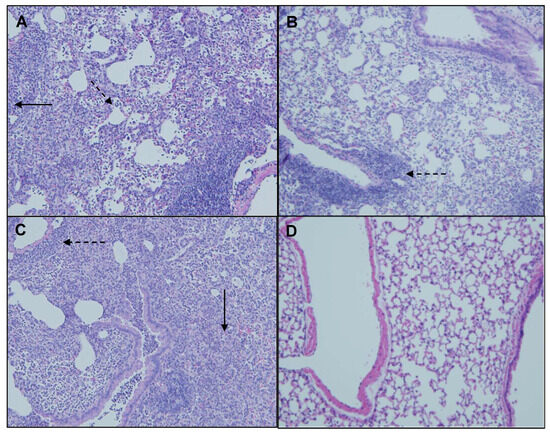
2.4. Comparative Immunopathological Responses to Different Genotypes of M. immunogenum
2.5. Co-Exposure with MI 700506 and P. fluorescens
3. Discussion
3.1. Dose–Response Relationship and Optimal Dose Selection
3.2. Capturing the HP-Specific Response Post-Exposure
3.3. Effect of Whole Cells vs. Cell Lysates in Mycobacterial Induction of HP
3.4. Effect of Co-Exposure on Induction of Mycobacterial HP
4. Materials and Methods
4.1. Animals
4.2. Bacterial Strains/Genotypes and Culture Conditions
4.3. Preparation of M. immunogenum (MI) Cell Lysate for Animal Dosing
4.4. Preparation of Saccharopolyspora rectivirgula (SR) Lysate
4.5. Preparation of Monocellular Mycobacterial Suspensions
4.6. Animal Exposure Protocol
4.7. Bronchoalveolar Lavage and Analyses
4.8. Histopathological Analyses
4.9. Splenocyte T-Cell Response Analysis
4.10. Statistical Analyses
5. Conclusions
Author Contributions
Funding
Institutional Review Board Statement
Informed Consent Statement
Data Availability Statement
Acknowledgments
Conflicts of Interest
References
- Alberti, M.L.; Rincon-Alvarez, E.; Buendia-Roldan, I.; Selman, M. Hypersensitivity Pneumonitis: Diagnostic and Therapeutic Challenges. Front. Med. 2021, 8, 718299. [Google Scholar] [CrossRef]
- Patel, A.M.; Ryu, J.H.; Reed, C.E. Hypersensitivity pneumonitis: Current concepts and future questions. J. Allergy Clin. Immunol. 2001, 108, 661–670. [Google Scholar] [CrossRef]
- Costabel, U.; Bonella, F.; Guzman, J. Chronic hypersensitivity pneumonitis. Clin. Chest Med. 2012, 33, 151–163. [Google Scholar] [CrossRef]
- Selman, M.; Buendía-Roldán, I. Immunopathology, diagnosis, and management of hypersensitivity pneumonitis. Semin. Respir. Crit. Care Med. 2012, 33, 543–554. [Google Scholar]
- Oh, J.H.; Kang, J.; Song, J.W. Fibrosis score predicts mortality in patients with fibrotic hypersensitivity pneumonitis. Front. Med. 2023, 10, 1131070. [Google Scholar] [CrossRef]
- Lacasse, Y.; Assayag, E.; Cormier, Y. Myths and controversies in hypersensitivity pneumonitis. Semin. Respir. Crit. Care Med. 2008, 29, 631–642. [Google Scholar] [CrossRef] [PubMed]
- Hamblin, M.; Prosch, H.; Vašáková, M. Diagnosis, course and management of hypersensitivity pneumonitis. Eur. Respir. Rev. 2022, 31, 210169. [Google Scholar] [CrossRef] [PubMed]
- Raghu, G.; Remy-Jardin, M.; Ryerson, C.J.; Myers, J.L.; Kreuter, M.; Vasakova, M.; Bargagli, E.; Chung, J.H.; Collins, B.F.; Bendstrup, E.; et al. Diagnosis of Hypersensitivity Pneumonitis in Adults. An Official ATS/JRS/ALAT Clinical Practice Guideline. Am. J. Respir. Crit. Care Med. 2020, 202, e36–e69. [Google Scholar] [CrossRef] [PubMed]
- Rosenman, K.D. Asthma, hypersensitivity pneumonitis and other respiratory diseases caused by metalworking fluids. Curr Opin Allergy Clin Immunol 2009, 9, 97–102. [Google Scholar] [CrossRef] [PubMed]
- Beckett, W.; Kallay, M.; Sood, A.; Zuo, Z.; Milton, D. Hypersensitivity pneumonitis associated with environmental mycobacteria. Environ. Health Perspect. 2005, 113, 767–770. [Google Scholar] [CrossRef] [PubMed]
- Bernstein, D.I.; Lummus, Z.L.; Santilli, G.; Siskosky, J.; Bernstein, I.L. Machine operator’s lung. A hypersensitivity pneumonitis disorder associated with exposure to metalworking fluid aerosols. Chest 1995, 108, 636–641. [Google Scholar] [CrossRef]
- CDC. Biopsy-confirmed hypersensitivity pneumonitis in automobile production workers exposed to metalworking fluids—Michigan, 1994–1995. MMWR Morb. Mortal. Wkly. Rep. 1996, 45, 606–610. [Google Scholar]
- Freeman, A.; Lockey, J.; Hawley, P.; Biddinger, P.; Trout, D. Hypersensitivity pneumonitis in a machinist. Am. J. Ind. Med. 1998, 34, 387–392. [Google Scholar] [CrossRef]
- Gupta, A.; Rosenman, K.D. Hypersensitivity pneumonitis due to metal working fluids: Sporadic or under reported? Am. J. Ind. Med. 2006, 49, 423–433. [Google Scholar] [CrossRef]
- Kreiss, K.; Cox-Ganser, J. Metalworking fluid-associated hypersensitivity pneumonitis: A workshop summary. Am. J. Ind. Med. 1997, 32, 423–432. [Google Scholar] [CrossRef]
- Lockey, J.; Freeman, A.; Bernstein, D.; Linz, D.; Lummus, Z. 148 Metalworking fluid associated hypersensitivity pneumonitis: A case series. J Allerg. Clin. Immunol. 2000, 105, S49. [Google Scholar] [CrossRef]
- Muilenberg, M.L.; Burge, H.A.; Sweet, T. Hypersensitivity pneumonitis and exposure to acid fast bacilli in coolant aerosols. J. Aller. Clin. Immunol. 1993, 91, 311. [Google Scholar]
- NIOSH. NIOSH Criteria for a Recommended Standard: Occupational Exposure to Metalworking Fluids; NIOSH DHHS Publication No. 98-102; NIOSH: Washington, DC, USA, 1998.
- Rosenman, K. Occupational diseases in individuals exposed to metal working fluids. Curr. Opin. Allergy Clin. Immunol. 2015, 15, 131–136. [Google Scholar] [CrossRef] [PubMed]
- Tustin, A.W.; Cooney, R.; Lamson, G.E.; Hodgson, M.J. A cluster of hypersensitivity pneumonitis associated with exposure to metalworking fluids. Am. J. Ind. Med. 2021, 64, 915–923. [Google Scholar] [CrossRef] [PubMed]
- Weiss, L.; Pue, C.; Lewis, R.; Rossmoore, H.; Fink, J.; Harvey, J.; Trout, D. Respiratory illness in workers exposed to metalworking fluid contaminated with nontuberculous mycobacteria—Ohio, 2001. MMWR Morb. Mortal. Wkly. Rep. 2002, 51, 349–352. [Google Scholar]
- Barber, C.M.; Burton, C.M.; Hendrick, D.J.; Pickering, C.A.; Robertson, A.S.; Robertson, W.; Burge, P.S. Hypersensitivity pneumonitis in workers exposed to metalworking fluids. Am. J. Ind. Med. 2014, 57, 872–880. [Google Scholar] [CrossRef]
- Barber, C.M.; Wiggans, R.E.; Carder, M.; Agius, R. Epidemiology of occupational hypersensitivity pneumonitis; Reports from the SWORD scheme in the UK from 1996 to 2015. Occup. Environ. Med. 2017, 74, 528–530. [Google Scholar] [CrossRef]
- Burge, P.S. Hypersensitivity Pneumonitis Due to Metalworking Fluid Aerosols. Curr. Allergy Asthma Rep. 2016, 16, 59. [Google Scholar] [CrossRef]
- Burton, C.M.; Crook, B.; Scaife, H.; Evans, G.S.; Barber, C.M. Systematic review of respiratory outbreaks associated with exposure to water-based metalworking fluids. Ann. Occup. Hyg. 2012, 56, 374–388. [Google Scholar]
- Caillaud, D.M.; Vergnon, J.M.; Madroszyk, A.; Melloni, B.M.; Murris, M.; Dalphin, J.C. Bronchoalveolar lavage in hypersensitivity pneumonitis: A series of 139 patients. Inflamm. Allergy Drug Targets 2012, 11, 15–19. [Google Scholar] [CrossRef] [PubMed]
- Cullinan, P.; D’Souza, E.; Tennant, R.; Barber, C. Lesson of the month: Extrinsic allergic (bronchiolo)alveolitis and metal working fluids. Thorax 2014, 69, 1059–1060. [Google Scholar] [CrossRef]
- Dawkins, P.; Robertson, A.; Robertson, W.; Moore, V.; Reynolds, J.; Langman, G.; Robinson, E.; Harris-Roberts, J.; Crook, B.; Burge, S. An outbreak of extrinsic alveolitis at a car engine plant. Occup. Med. 2006, 56, 559–565. [Google Scholar] [CrossRef] [PubMed]
- James, P.L.; Cannon, J.; Barber, C.M.; Crawford, L.; Hughes, H.; Jones, M.; Szram, J.; Cowman, S.; Cookson, W.O.C.; Moffatt, M.F.; et al. Metal worker’s lung: Spatial association with Mycobacterium avium. Thorax 2018, 73, 151–156. [Google Scholar] [CrossRef]
- Tillie-Leblond, I.; Grenouillet, F.; Reboux, G.; Roussel, S.; Chouraki, B.; Lorthois, C.; Dalphin, J.C.; Wallaert, B.; Millon, L. Hypersensitivity pneumonitis and metalworking fluids contaminated by mycobacteria. Eur. Respir. J. 2011, 37, 640–647. [Google Scholar] [CrossRef]
- Nett, R.J.; Stanton, M.; Grimes, G.R. Occupational respiratory and skin diseases among workers exposed to metalworking fluids. Curr. Opin. Allergy Clin. Immunol. 2021, 21, 121–127. [Google Scholar] [CrossRef] [PubMed]
- Barber, C.M.; Burge, P.S.; Feary, J.R.; Parfrey, H.; Renzoni, E.A.; Spencer, L.G.; Walters, G.I.; Wiggans, R.E. Identifying causation in hypersensitivity pneumonitis: A British perspective. BMJ Open Respir. Res. 2019, 6, e000469. [Google Scholar] [CrossRef] [PubMed]
- Gilbert, Y.; Veillette, M.; Duchaine, C. Metalworking fluids biodiversity characterization. J. Appl. Microbiol. 2010, 108, 437–449. [Google Scholar] [CrossRef] [PubMed]
- Kapoor, R.; Selvaraju, S.B.; Yadav, J.S. Extended tracking of the microbial community structure and dynamics in an industrial synthetic metalworking fluid system. FEMS Microbiol. Ecol. 2014, 87, 664–677. [Google Scholar] [CrossRef][Green Version]
- Kapoor, R.; Selvaraju, S.B.; Subramanian, V.; Yadav, J.S. Microbial Community Establishment, Succession, and Temporal Dynamics in an Industrial Semi-Synthetic Metalworking Fluid Operation: A 50-Week Real-Time Tracking. Microorganisms 2024, 12, 267. [Google Scholar] [CrossRef]
- Murat, J.B.; Grenouillet, F.; Reboux, G.; Penven, E.; Batchili, A.; Dalphin, J.C.; Thaon, I.; Millon, L. Factors influencing the microbial composition of metalworking fluids and potential implications for machine operator’s lung. Appl. Environ. Microbiol. 2012, 78, 34–41. [Google Scholar] [CrossRef] [PubMed]
- Mattsby-Baltzer, I.; Edebo, L.; Järvholm, B.; Lavenius, B. Serum antibodies to Pseudomonas pseudoalcaligenes in metal workers exposed to infected metal-working fluids. Int. Arch. Allergy Appl. Immunol. 1989, 88, 304–311. [Google Scholar] [CrossRef] [PubMed]
- Falkinham, J.O., 3rd. Mycobacterial aerosols and respiratory disease. Emerg. Infect. Dis. 2003, 9, 763–767. [Google Scholar] [CrossRef]
- Moore, J.S.; Christensen, M.; Wilson, R.W.; Wallace, R.J., Jr.; Zhang, Y.; Nash, D.R.; Shelton, B. Mycobacterial contamination of metalworking fluids: Involvement of a possible new taxon of rapidly growing mycobacteria. Aihaj 2000, 61, 205–213. [Google Scholar] [CrossRef]
- Wilson, R.W.; Steingrube, V.A.; Böttger, E.C.; Springer, B.; Brown-Elliott, B.A.; Vincent, V.; Jost, K.C.; Zhang, Y.; Garcia, M.J.; Chiu, S.H.; et al. Mycobacterium immunogenum sp. nov., a novel species related to Mycobacterium abscessus and associated with clinical disease, pseudo-outbreaks and contaminated metalworking fluids: An international cooperative study on mycobacterial taxonomy. Int. J. Syst. Evol. Microbiol. 2001, 51 Pt 5, 1751–1764. [Google Scholar] [CrossRef]
- Selvaraju, S.B.; Khan, I.U.; Yadav, J.S. Biocidal activity of formaldehyde and nonformaldehyde biocides toward Mycobacterium immunogenum and Pseudomonas fluorescens in pure and mixed suspensions in synthetic metalworking fluid and saline. Appl. Environ. Microbiol. 2005, 71, 542–546. [Google Scholar] [CrossRef]
- Selvaraju, S.B.; Khan, I.U.; Yadav, J.S. Differential biocide susceptibility of the multiple genotypes of Mycobacterium immunogenum. J. Ind. Microbiol. Biotechnol. 2008, 35, 197–203. [Google Scholar] [CrossRef]
- Selvaraju, S.B.; Khan, I.U.; Yadav, J.S. Susceptibility of Mycobacterium immunogenum and Pseudomonas fluorescens to formaldehyde and non-formaldehyde biocides in semi-synthetic metalworking fluids. Int. J. Mol. Sci. 2011, 12, 725–741. [Google Scholar] [CrossRef]
- Gomez-Alvarez, V.; Revetta, R.P. Draft Genome Sequences of Six Mycobacterium immunogenum Strains Obtained from a Chloraminated Drinking Water Distribution System Simulator. Genome Announc. 2016, 4, e01538-15. [Google Scholar] [CrossRef] [PubMed]
- Iroh Tam, P.Y.; Kline, S.; Ward, G.; Ferrieri, P. Non-tuberculous mycobacterial infection in hospitalized children: A case series. Epidemiol. Infect. 2015, 143, 3173–3181. [Google Scholar] [CrossRef] [PubMed]
- Shedd, A.D., IV; Edhegard, K.D., II; Lugo-Somolinos, A. Mycobacterium immunogenum skin infections: Two different presentations. Int. J. Dermatol. 2010, 49, 941–944. [Google Scholar] [CrossRef] [PubMed]
- Greninger, A.L.; Langelier, C.; Cunningham, G.; Keh, C.; Melgar, M.; Chiu, C.Y.; Miller, S. Two Rapidly Growing Mycobacterial Species Isolated from a Brain Abscess: First Whole-Genome Sequences of Mycobacterium immunogenum and Mycobacterium llatzerense. J. Clin. Microbiol. 2015, 53, 2374–2377. [Google Scholar] [CrossRef]
- Biggs, H.M.; Chudgar, S.M.; Pfeiffer, C.D.; Rice, K.R.; Zaas, A.K.; Wolfe, C.R. Disseminated Mycobacterium immunogenum infection presenting with septic shock and skin lesions in a renal transplant recipient. Transpl. Infect. Dis. 2012, 14, 415–421. [Google Scholar] [CrossRef]
- Chandra, H.; Yadav, E.; Yadav, J.S. Alveolar macrophage innate response to Mycobacterium immunogenum, the etiological agent of hypersensitivity pneumonitis: Role of JNK and p38 MAPK pathways. PLoS ONE 2013, 8, e83172. [Google Scholar] [CrossRef]
- Kaur, G.; Chander, A.M.; Kaur, G.; Maurya, S.K.; Nadeem, S.; Kochhar, R.; Bhadada, S.K.; Agrewala, J.N.; Mayilraj, S. A genomic analysis of Mycobacterium immunogenum strain CD11_6 and its potential role in the activation of T cells against Mycobacterium tuberculosis. BMC Microbiol. 2019, 19, 64. [Google Scholar] [CrossRef]
- Wallace, R.J., Jr.; Zhang, Y.; Wilson, R.W.; Mann, L.; Rossmoore, H. Presence of a single genotype of the newly described species Mycobacterium immunogenum in industrial metalworking fluids associated with hypersensitivity pneumonitis. Appl. Environ. Microbiol. 2002, 68, 5580–5584. [Google Scholar] [CrossRef]
- Kapoor, R.; Yadav, J.S. Expanding the mycobacterial diversity of metalworking fluids (MWFs): Evidence showing MWF colonization by Mycobacterium abscessus. FEMS Microbiol. Ecol. 2012, 79, 392–399. [Google Scholar] [CrossRef]
- Khan, I.U.; Selvaraju, S.B.; Yadav, J.S. Occurrence and characterization of multiple novel genotypes of Mycobacterium immunogenum and Mycobacterium chelonae in metalworking fluids. FEMS Microbiol. Ecol. 2005, 54, 329–338. [Google Scholar] [CrossRef] [PubMed]
- Blanchet, M.R.; Gold, M.J.; McNagny, K.M. Mouse models to evaluate the function of genes associated with allergic airway disease. Curr. Opin. Allergy Clin. Immunol. 2012, 12, 467–474. [Google Scholar] [CrossRef] [PubMed]
- Denis, M.; Cormier, Y.; Fournier, M.; Tardif, J.; Laviolette, M. Tumor necrosis factor plays an essential role in determining hypersensitivity pneumonitis in a mouse model. Am. J. Respir. Cell. Mol. Biol. 1991, 5, 477–483. [Google Scholar] [CrossRef] [PubMed]
- Jimenez-Alvarez, L.; Zúñiga, J.; Gaxiola, M.; Checa, M.; Becerril, C.; Mendoza, F.; Pardo, A.; Selman, M. Inflammatory response and dynamics of lung T cell subsets in Th1, Th2 biased and Th2 deficient mice during the development of hypersensitivity pneumonitis. Exp. Mol. Pathol. 2010, 88, 407–415. [Google Scholar] [CrossRef] [PubMed]
- Gordon, T.; Nadziejko, C.; Galdanes, K.; Lewis, D.; Donnelly, K. Mycobacterium immunogenum causes hypersensitivity pneumonitis-like pathology in mice. Inhal. Toxicol. 2006, 18, 449–456. [Google Scholar] [CrossRef] [PubMed]
- Thorne, P.S.; Adamcakova-Dodd, A.; Kelly, K.M.; O’Neill, M.E.; Duchaine, C. Metalworking fluid with mycobacteria and endotoxin induces hypersensitivity pneumonitis in mice. Am. J. Respir. Crit. Care Med. 2006, 173, 759–768. [Google Scholar] [CrossRef] [PubMed]
- Bangar, H.; Gupta, M.K.; Yadav, J.S. Mycobacterium immunogenum induces variable hypersensitivity pneumonitis pathology in mice: Studies on pathological, cellular, and immunological responses. In Proceedings of the 109th ASM General Meeting, Philadelphia, PA, USA, 17–21 May 2009; Volume 109 (Presentation B175/055), p. 147. [Google Scholar]
- Kapina, M.A.; Shepelkova, G.S.; Mischenko, V.V.; Sayles, P.; Bogacheva, P.; Winslow, G.; Apt, A.S.; Lyadova, I.V. CD27low CD4 T lymphocytes that accumulate in the mouse lungs during mycobacterial infection differentiate from CD27high precursors in situ, produce IFN-gamma, and protect the host against tuberculosis infection. J. Immunol. 2007, 178, 976–985. [Google Scholar] [CrossRef] [PubMed]
- Lakatos, H.F.; Burgess, H.A.; Thatcher, T.H.; Redonnet, M.R.; Hernady, E.; Williams, J.P.; Sime, P.J. Oropharyngeal aspiration of a silica suspension produces a superior model of silicosis in the mouse when compared to intratracheal instillation. Exp. Lung Res. 2006, 32, 181–199. [Google Scholar] [CrossRef]
- Girard, M.; Lacasse, Y.; Cormier, Y. Hypersensitivity pneumonitis. Allergy 2009, 64, 322–334. [Google Scholar] [CrossRef]
- Lacasse, Y.; Girard, M.; Cormier, Y. Recent advances in hypersensitivity pneumonitis. Chest 2012, 142, 208–217. [Google Scholar] [CrossRef] [PubMed]
- Ismail, T.; McSharry, C.; Boyd, G. Extrinsic allergic alveolitis. Respirology 2006, 11, 262–268. [Google Scholar] [CrossRef] [PubMed]
- Schuyler, M.; Gott, K.; Cherne, A. Mediators of hypersensitivity pneumonitis. J. Lab. Clin. Med. 2000, 136, 29–38. [Google Scholar] [CrossRef]
- Buckwalter, M.S.P. Form of antigen dictates immunity: Irradiated cell vs. whole cell lysate vaccination. J. Immunol. 2007, 178, 16. [Google Scholar] [CrossRef]
- Feng, X.; Zhang, N.; Tuo, W. Neospora caninum tachyzoite- and antigen-stimulated cytokine production by bone marrow-derived dendritic cells and spleen cells of naive BALB/c mice. J. Parasitol. 2010, 96, 717–723. [Google Scholar] [CrossRef]
- Joshi, A.D.; Fong, D.J.; Oak, S.R.; Trujillo, G.; Flaherty, K.R.; Martinez, F.J.; Hogaboam, C.M. Interleukin-17-mediated immunopathogenesis in experimental hypersensitivity pneumonitis. Am. J. Respir. Crit. Care Med. 2009, 179, 705–716. [Google Scholar] [CrossRef] [PubMed]
- Simonian, P.L.; Roark, C.L.; Wehrmann, F.; Lanham, A.K.; Diaz del Valle, F.; Born, W.K.; O’Brien, R.L.; Fontenot, A.P. Th17-polarized immune response in a murine model of hypersensitivity pneumonitis and lung fibrosis. J. Immunol. 2009, 182, 657–665. [Google Scholar] [CrossRef]
- Schuyler, M.; Gott, K.; Cherne, A.; Edwards, B. Th1 CD4+ cells adoptively transfer experimental hypersensitivity pneumonitis. Cell. Immunol. 1997, 177, 169–175. [Google Scholar] [CrossRef]
- Gudmundsson, G.; Hunninghake, G.W. Interferon-gamma is necessary for the expression of hypersensitivity pneumonitis. J. Clin. Investig. 1997, 99, 2386–2390. [Google Scholar] [CrossRef]
- Barrera, L.; Mendoza, F.; Zuñiga, J.; Estrada, A.; Zamora, A.C.; Melendro, E.I.; Ramírez, R.; Pardo, A.; Selman, M. Functional diversity of T-cell subpopulations in subacute and chronic hypersensitivity pneumonitis. Am. J. Respir. Crit. Care Med. 2008, 177, 44–55. [Google Scholar] [CrossRef]
- Mitaka, K.; Miyazaki, Y.; Yasui, M.; Furuie, M.; Miyake, S.; Inase, N.; Yoshizawa, Y. Th2-biased immune responses are important in a murine model of chronic hypersensitivity pneumonitis. Int. Arch. Allergy Appl. Immunol. 2011, 154, 264–274. [Google Scholar] [CrossRef] [PubMed]
- Sterclova, M.; Matej, R.; Mandakova, P.; Skibova, J.; Vasakova, M. Role of interleukin 4 and its receptor in clinical presentation of chronic extrinsic allergic alveolitis: A pilot study. Multidiscip. Respir. Med. 2013, 8, 35. [Google Scholar] [CrossRef] [PubMed]
- Vercelli, D. Learning from discrepancies: CD14 polymorphisms, atopy and the endotoxin switch. Clin. Exp. Allergy 2003, 33, 153–155. [Google Scholar] [CrossRef] [PubMed]
- Brassard, J.; Roy, J.; Lemay, A.M.; Beaulieu, M.J.; Bernatchez, E.; Veillette, M.; Duchaine, C.; Blanchet, M.R. Exposure to the Gram-Negative Bacteria Pseudomonas aeruginosa Influences the Lung Dendritic Cell Population Signature by Interfering with CD103 Expression. Front. Cell. Infect. Microbiol. 2021, 11, 617481. [Google Scholar] [CrossRef]
- Gordon, T. Metalworking fluid—The toxicity of a complex mixture. J. Toxicol. Environ. Health A 2004, 67, 209–219. [Google Scholar] [CrossRef]












| Disclaimer/Publisher’s Note: The statements, opinions and data contained in all publications are solely those of the individual author(s) and contributor(s) and not of MDPI and/or the editor(s). MDPI and/or the editor(s) disclaim responsibility for any injury to people or property resulting from any ideas, methods, instructions or products referred to in the content. | 
© 2024 by the authors. Licensee MDPI, Basel, Switzerland. This article is an open access article distributed under the terms and conditions of the Creative Commons Attribution (CC BY) license (https://creativecommons.org/licenses/by/4.0/).
Share and Cite
Johansson, E.; Yadav, J.S. Differential Immunogenicity and Lung Disease-Inducing Potential of Mycobacterium immunogenum Genotypes and Impact of Co-Exposure with Pseudomonas: Optimizing a Mouse Model of Chronic Hypersensitivity Pneumonitis. Int. J. Mol. Sci. 2024, 25, 2058. https://doi.org/10.3390/ijms25042058
Johansson E, Yadav JS. Differential Immunogenicity and Lung Disease-Inducing Potential of Mycobacterium immunogenum Genotypes and Impact of Co-Exposure with Pseudomonas: Optimizing a Mouse Model of Chronic Hypersensitivity Pneumonitis. International Journal of Molecular Sciences. 2024; 25(4):2058. https://doi.org/10.3390/ijms25042058
Chicago/Turabian StyleJohansson, Elisabet, and Jagjit S. Yadav. 2024. "Differential Immunogenicity and Lung Disease-Inducing Potential of Mycobacterium immunogenum Genotypes and Impact of Co-Exposure with Pseudomonas: Optimizing a Mouse Model of Chronic Hypersensitivity Pneumonitis" International Journal of Molecular Sciences 25, no. 4: 2058. https://doi.org/10.3390/ijms25042058
APA StyleJohansson, E., & Yadav, J. S. (2024). Differential Immunogenicity and Lung Disease-Inducing Potential of Mycobacterium immunogenum Genotypes and Impact of Co-Exposure with Pseudomonas: Optimizing a Mouse Model of Chronic Hypersensitivity Pneumonitis. International Journal of Molecular Sciences, 25(4), 2058. https://doi.org/10.3390/ijms25042058
 
        

 
                        