Effects of Aerobic Treadmill Training on Oxidative Stress Parameters, Metabolic Enzymes, and Histomorphometric Changes in Colon of Rats with Experimentally Induced Hyperhomocysteinemia
Abstract
1. Introduction
2. Results
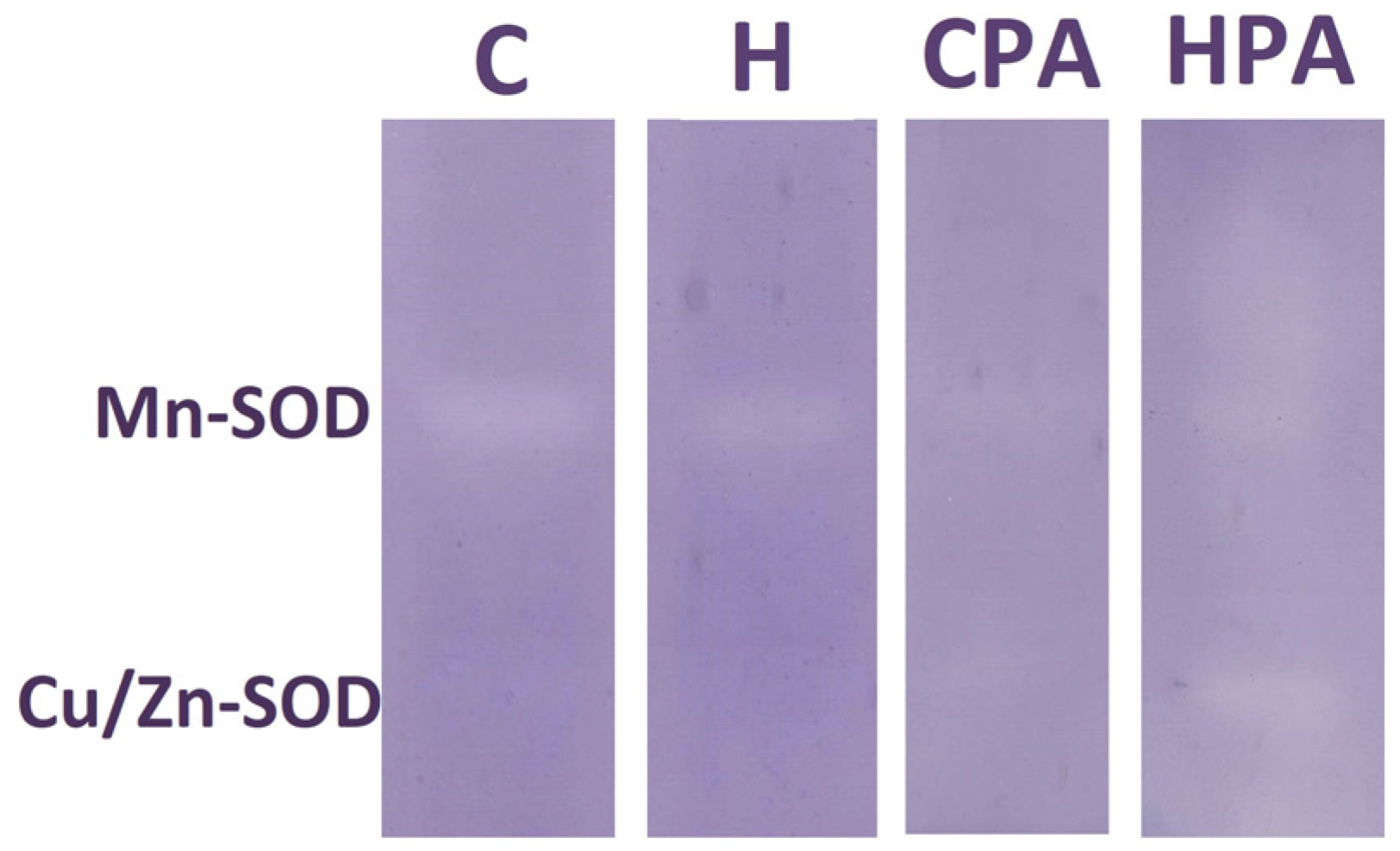
2.1. Oxidative Stress Parameters in Rat Colon Tissue
2.2. Metabolic Enzyme Activities in Rat Colon Tissues
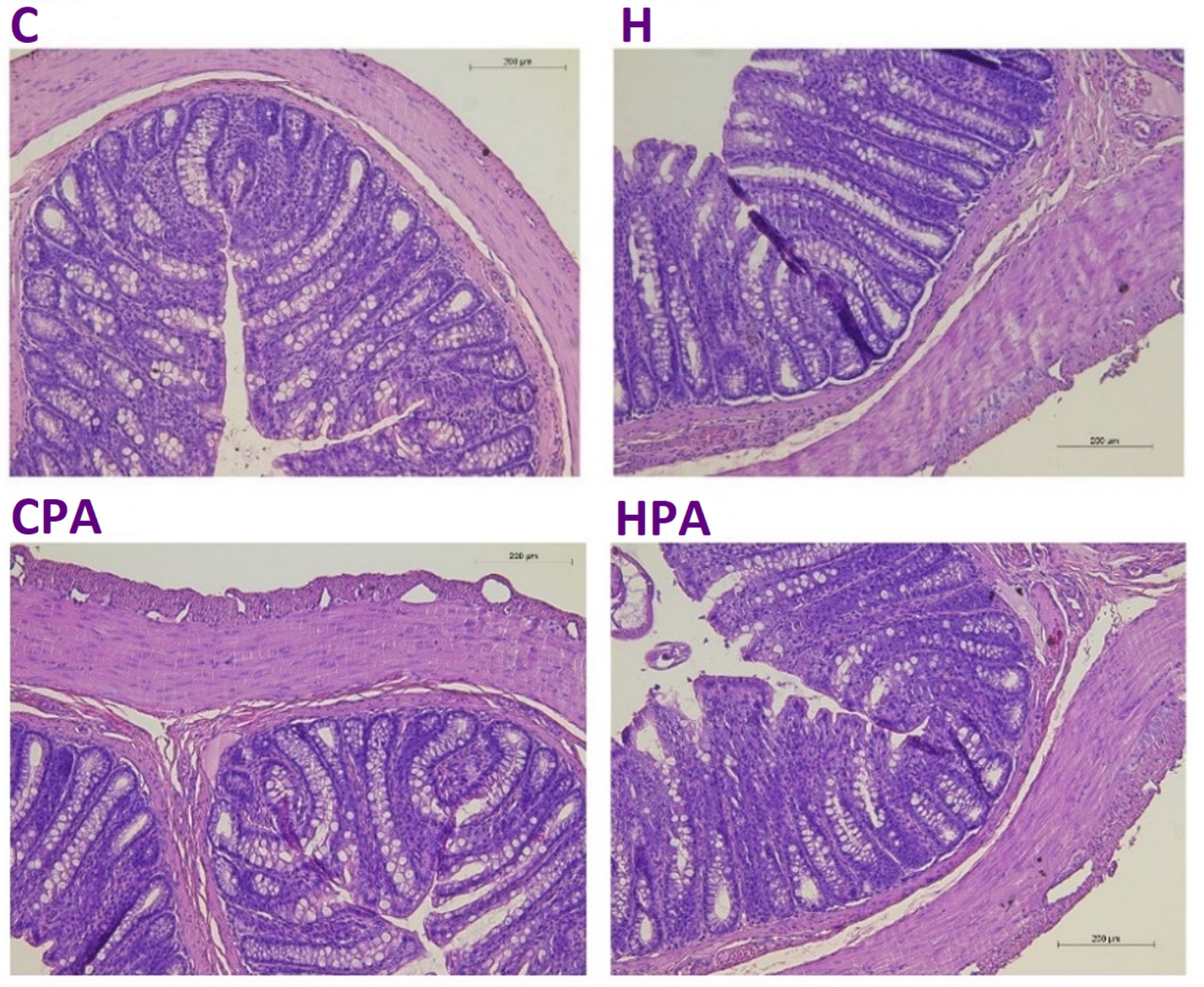
2.3. Histomorphometric Parameters in Rat Colon Wall
3. Discussion
4. Materials and Methods
4.1. Experimental Materials and Study Design
4.2. Chemicals
4.3. Determination of Oxidative Stress Parameters in Rat Colon Tissues
4.3.1. Determination of Lipid Peroxidation
4.3.2. Determination of CAT Activity
4.3.3. Determination of Total SOD Activity
4.3.4. Determination of the SOD Isoforms
4.4. Determination of Metabolic Enzyme Activities in Rat Colon Tissues
4.4.1. Determination of Total LDH Activity
4.4.2. Determination of Total MDH Activity
4.4.3. Determination of LDH Isoforms
4.4.4. Determination of MDH Isoforms
4.5. Determination of Histomorphometric Parameters in Rat Colon Wall
4.6. Statistical Analysis
5. Conclusions
Author Contributions
Funding
Institutional Review Board Statement
Informed Consent Statement
Data Availability Statement
Conflicts of Interest
References
- Škovierová, H.; Vidomanová, E.; Mahmood, S.; Sopková, J.; Drgová, A.; Červeňová, T.; Halašová, E.; Lehotský, J. The Molecular and Cellular Effect of Homocysteine Metabolism Imbalance on Human Health. Int. J. Mol. Sci. 2016, 17, 1733. [Google Scholar] [CrossRef]
- Brosnan, J.T.; Brosnan, M.E. The sulfur-containing amino acids: An overview. J. Nutr. 2006, 136 (Suppl. S6), 1636S–1640S. [Google Scholar] [CrossRef]
- Selhub, J. Homocysteine metabolism. Annu. Rev. Nutr. 1999, 19, 217–246. [Google Scholar] [CrossRef]
- Azad, M.A.K.; Huang, P.; Liu, G.; Ren, W.; Teklebrh, T.; Yan, W.; Zhou, X.; Yin, Y. Hyperhomocysteinemia and cardiovascular disease in animal model. Amino Acids 2018, 50, 3–9. [Google Scholar] [CrossRef]
- Tawfik, A.; Elsherbiny, N.M.; Zaidi, Y.; Rajpurohit, P. Homocysteine and Age-Related Central Nervous System Diseases: Role of Inflammation. Int. J. Mol. Sci. 2021, 22, 6259. [Google Scholar] [CrossRef]
- Tbahriti, H.F.; Messaoudi, A.; Kaddous, A.; Bouchenak, M.; Mekki, K. The degree of chronic renal failure is associated with the rate of pro-inflammatory cytokines, hyperhomocysteinemia and with oxidative stress. Ann. Cardiol. Angeiol. 2014, 63, 135–139. [Google Scholar] [CrossRef]
- Bajic, Z.; Sobot, T.; Skrbic, R.; Stojiljkovic, M.P.; Ponorac, N.; Matavulj, A.; Djuric, D.M. Homocysteine, Vitamins B6 and Folic Acid in Experimental Models of Myocardial Infarction and Heart Failure-How Strong Is That Link? Biomolecules 2022, 12, 536. [Google Scholar] [CrossRef] [PubMed]
- Oussalah, A.; Guéant, J.L.; Peyrin-Biroulet, L. Meta-analysis: Hyperhomocysteinaemia in inflammatory bowel diseases. Aliment. Pharmacol. Ther. 2011, 34, 1173–1184. [Google Scholar] [CrossRef] [PubMed]
- Keshteli, A.H.; Baracos, V.E.; Madsen, K.L. Hyperhomocysteinemia as a potential contributor of colorectal cancer development in inflammatory bowel diseases: A review. World J. Gastroenterol. 2015, 21, 1081–1090. [Google Scholar] [CrossRef] [PubMed]
- Givvimani, S.; Munjal, C.; Narayanan, N.; Aqil, F.; Tyagi, G.; Metreveli, N.; Tyagi, S.C. Hyperhomocysteinemia decreases intestinal motility leading to constipation. Am. J. Physiol. Gastrointest. Liver Physiol. 2012, 303, 281–290. [Google Scholar] [CrossRef]
- Erzin, Y.; Uzun, H.; Celik, A.F.; Aydin, S.; Dirican, A.; Uzunismail, H. Hyperhomocysteinemia in inflammatory bowel disease patients without past intestinal resections: Correlations with cobalamin, pyridoxine, folate concentrations, acute phase reactants, disease activity, and prior thromboembolic complications. J. Clin. Gastroenterol. 2008, 42, 481–486. [Google Scholar] [CrossRef]
- Oldenburg, B.; Van Tuyl, B.A.; van der Griend, R.; Fijnheer, R.; van Berge Henegouwen, G.P. Risk factors for thromboembolic complications in inflammatory bowel disease: The role of hyperhomocysteinaemia. Dig. Dis. Sci. 2005, 50, 235–240. [Google Scholar] [CrossRef]
- Gao, X.; Li, J.; Chen, M. Effect of Homocysteine on the Differentiation of CD4+ T Cells into Th17 Cells. Dig. Dis. Sci. 2018, 63, 3339–3347. [Google Scholar] [CrossRef]
- Danese, S.; Sgambato, A.; Papa, A.; Scaldaferri, F.; Pola, R.; Sans, M.; Lovecchio, M.; Gasbarrini, G.; Cittadini, A.; Gasbarrini, A. Homocysteine triggers mucosal microvascular activation in inflammatory bowel disease. Am. J. Gastroenterol. 2005, 100, 886–895. [Google Scholar] [CrossRef]
- Chen, M.; Mei, Q.; Xu, J.; Lu, C.; Fang, H.; Liu, X. Detection of melatonin and homocysteine simultaneously in ulcerative colitis. Clin. Chim. Acta 2012, 413, 30–33. [Google Scholar] [CrossRef] [PubMed]
- Lishchinskaya, A.A.; Knyazev, O.V.; Kagramanova, A.V.; Dudina, G.A.; Sabelnikova, E.A.; Li, I.A.; Noskova, K.K.; Bodunova, N.A.; Parfenov, A.I. Frequency and risk factors for thromboembolic complications in patients with inflammatory bowel diseases. Ter. Arkh. 2022, 94, 172–179. [Google Scholar] [CrossRef] [PubMed]
- Wu, M.H.; Chen, C.H.; Chen, C.P.; Huang, T.L.; Yueh, T.C.; Wang, Z.H.; Tsai, C.W.; Pei, J.S.; Mong, M.C.; Yang, Y.C.; et al. Contribution of 5-Methyltetrahydrofolate-Homocysteine Methyltransferase Reductase Genotypes to Colorectal Cancer in Taiwan. Anticancer. Res. 2022, 42, 2375–2382. [Google Scholar] [CrossRef] [PubMed]
- Aoi, W.; Naito, Y.; Takagi, T.; Kokura, S.; Mizushima, K.; Takanami, Y.; Kawai, Y.; Tanimura, Y.; Hung, L.P.; Koyama, R.; et al. Regular exercise reduces colon tumorigenesis associated with suppression of iNOS. Biochem. Biophys. Res. Commun. 2010, 399, 14–19. [Google Scholar] [CrossRef] [PubMed]
- Wang, F.; Bai, Y.; Hua, B.; Zhou, W.; Wang, X. Effect of different intensity exercises on cardiopulmonary function and quality of life of patients with chronic heart failure: A systematic review and meta-analysis. Herz 2023. ahead of print. [Google Scholar] [CrossRef] [PubMed]
- Diao, X.; Ling, Y.; Zeng, Y.; Wu, Y.; Guo, C.; Jin, Y.; Chen, X.; Feng, S.; Guo, J.; Ding, C.; et al. Physical activity and cancer risk: A dose-response analysis for the Global Burden of Disease Study 2019. Cancer Commun. 2023, 43, 1229–1243. [Google Scholar] [CrossRef] [PubMed]
- Steege, R.W.F.; Kolkman, J.J. Review article: The pathophysiology and management of gastrointestinal symptoms during physical exercise, and the role of splanchnic blood flow. Aliment. Pharmacol. Ther. 2012, 35, 516–528. [Google Scholar] [CrossRef]
- Gisolfi, C.V. Is the GI System Built For Exercise? News Physiol. Sci. 2000, 15, 114–119. [Google Scholar] [CrossRef]
- Cho, S.Y.; Roh, H.T. Impact of Particulate Matter Exposure and Aerobic Exercise on Circulating Biomarkers of Oxidative Stress, Antioxidant Status, and Inflammation in Young and Aged Mice. Life 2023, 13, 1952. [Google Scholar] [CrossRef] [PubMed]
- Sarikaya, M.; Aslan, M.; Çinar, V.; Çibuk, S.; Selçuk, M.; Embiyaoğlu, N.M.; Öğe, B. Antioxidant effect of omega-3 fatty acids on exercise-induced oxidative stress in rats. Eur. Rev. Med. Pharmacol. Sci. 2023, 27, 8324–8329. [Google Scholar] [CrossRef] [PubMed]
- Aghaei, F.; Wong, A.; Zargani, M.; Sarshin, A.; Feizolahi, F.; Derakhshan, Z.; Hashemi, M.; Arabzadeh, E. Effects of swimming exercise combined with silymarin and vitamin C supplementation on hepatic inflammation, oxidative stress, and histopathology in elderly rats with high-fat diet-induced liver damage. Nutrition 2023, 115, 112167. [Google Scholar] [CrossRef]
- Todorovic, D.; Stojanovic, M.; Gopcevic, K.; Medic, A.; Stankovic, S.; Kotlica, B.; Labudovic Borovic, M.; Djuric, D. Effects of four weeks lasting aerobic physical activity on cardiovascular biomarkers, oxidative stress and histomorphometric changes of heart and aorta in rats with experimentally induced hyperhomocysteinemia. Mol. Cell. Biochem. 2023, 478, 161–172. [Google Scholar] [CrossRef] [PubMed]
- Kawamura, T.; Muraoka, I. Exercise-Induced Oxidative Stress and the Effects of Antioxidant Intake from a Physiological Viewpoint. Antioxidants 2018, 7, 119. [Google Scholar] [CrossRef]
- Liu, J.; Yeo, H.C.; Overvik-Douki, E.; Hagen, T.; Doniger, S.J.; Chyu, D.W.; Brooks, G.A.; Ames, B.N. Chronically and acutely exercised rats: Biomarkers of oxidative stress and endogenous antioxidants. J. Appl. Physiol. 2000, 89, 21–28. [Google Scholar] [CrossRef]
- Araujo, L.C.; de Souza, I.L.; Vasconcelos, L.H.; Brito Ade, F.; Queiroga, F.R.; Silva, A.S.; da Silva, P.M.; Cavalcante Fde, A.; da Silva, B.A. Chronic aerobic swimming exercise promotes functional and morphological changes in rat ileum. Biosci. Rep. 2015, 35, e00259. [Google Scholar] [CrossRef]
- Powers, R.W.; Majors, A.K.; Lykins, D.L.; Sims, C.J.; Lain, K.Y.; Roberts, J.M. Plasma homocysteine and malondialdehyde are correlated in an age- and gender-specific manner. Metabolism 2002, 51, 1433–1438. [Google Scholar] [CrossRef]
- Birben, E.; Sahiner, U.M.; Sackesen, C.; Erzurum, S.; Kalayci, O. Oxidative stress and antioxidant defense. World Allergy Organ. J. 2012, 5, 9–19. [Google Scholar] [CrossRef]
- Chan, S.H.; Hung, C.H.; Shih, J.Y.; Chu, P.M.; Cheng, Y.H.; Lin, H.C.; Hsieh, P.L.; Tsai, K.L. Exercise intervention attenuates hyperhomocysteinemia-induced aortic endothelial oxidative injury by regulating SIRT1 through mitigating NADPH oxidase/LOX-1 signaling. Redox Biol. 2018, 14, 116–125. [Google Scholar] [CrossRef]
- Sipkens, J.A.; Hahn, N.; van den Brand, C.S.; Meischl, C.; Cillessen, S.A.; Smith, D.E.; Juffermans, L.J.; Musters, R.J.; Roos, D.; Jakobs, C.; et al. Homocysteineinduced apoptosis in endothelial cells coincides with nuclear NOX2 and peri-nuclear NOX4 activity. Cell Biochem. Biophys. 2013, 67, 341–352. [Google Scholar] [CrossRef]
- Sipkens, J.A.; Krijnen, P.A.; Hahn, N.E.; Wassink, M.; Meischl, C.; Smith, D.E.; Musters, R.J.; Stehouwer, C.D.; Rauwerda, J.A.; van Hinsbergh, V.W.; et al. Homocysteine induced cardiomyocyte apoptosis and plasma membrane flip-flop are independent of Sadenosyl homocysteine: A crucial role for nuclear p47(phox). Mol. Cell Biochem. 2011, 358, 229–239. [Google Scholar] [CrossRef]
- Souad, L.; Dalila, N.; Cherifa, A. Hyperhomocysteinemia lead to transmural inflammation of colon and increase severity of disease in acetic acid-induced colitis in rat. Int. J. Pharm. Pharm. Sci. 2017, 9, 108–116. [Google Scholar] [CrossRef][Green Version]
- Stojanović, M.; Šćepanović, L.; Todorović, D.; Mitrović, D.; Šćepanović, V.; Šćepanović, R.; Ilić, S.; Šćepanović, T.; Borović, M.L.; Milićević, Ž.; et al. Suppression of methionine-induced colon injury of young rats by cysteine and N-acetyl-L-cysteine. Mol. Cell Biochem. 2018, 440, 53–64. [Google Scholar] [CrossRef] [PubMed]
- Manchado, F.D.B.; Gobatto, C.A.; Mello, M.A.R.D. The maximal lactate steady state in running rats. J. Exerc. Physiol. 2005, 8, 29–35. [Google Scholar]
- Han, J.H.; Lee, E.J.; Park, W.; Ha, K.T.; Chung, H.S. Natural compounds as lactate dehydrogenase inhibitors: Potential therapeutics for lactate dehydrogenase inhibitors-related diseases. Front. Pharmacol. 2023, 14, 1275000. [Google Scholar] [CrossRef] [PubMed]
- Shen, T.; Wang, H.; Tang, B.; Zhu, G.; Wang, X. The impact of RNA binding proteins and the associated long non-coding RNAs in the TCA cycle on cancer pathogenesis. RNA Biol. 2023, 20, 223–234. [Google Scholar] [CrossRef] [PubMed]
- Hao, X.; He, H.; Tao, L.; Wang, P. Using hyperhomocysteinemia and body composition to predict the risk of non-alcoholic fatty liver disease in healthcare workers. Front. Endocrinol. 2023, 13, 1063860. [Google Scholar] [CrossRef] [PubMed]
- Lim, Y.J.; Kim, J.H.; Park, S.K.; Son, H.J.; Kim, J.J.; Kim, Y.H. Hyperhomocysteinemia is a risk factor for colorectal adenoma in women. J. Clin. Biochem. Nutr. 2012, 51, 132–135. [Google Scholar] [CrossRef]
- Shen, W.; Gao, C.; Cueto, R.; Liu, L.; Fu, H.; Shao, Y.; Yang, W.Y.; Fang, P.; Choi, E.T.; Wu, Q.; et al. Homocysteine-methionine cycle is a metabolic sensor system controlling methylation-regulated pathological signaling. Redox Biol. 2020, 28, 101322. [Google Scholar] [CrossRef]
- Flannigan, K.L.; Agbor, T.A.; Blackler, R.W.; Kim, J.J.; Khan, W.I.; Verdu, E.F.; Ferraz, J.G.; Wallace, J.L. Impaired hydrogen sulfide synthesis and IL-10 signaling underlie hyperhomocysteinemia-associated exacerbation of colitis. Proc. Natl. Acad. Sci. USA 2014, 111, 13559–13564. [Google Scholar] [CrossRef]
- Feng, J.; Lü, S.; Ding, Y.; Zheng, M.; Wang, X. Homocysteine activates T cells by enhancing endoplasmic reticulum-mitochondria coupling and increasing mitochondrial respiration. Protein Cell 2016, 7, 391–402. [Google Scholar] [CrossRef]
- Todorovic, D.; Stojanovic, M.; Medic, A.; Gopcevic, K.; Mutavdzin, S.; Stankovic, S.; Djuric, D. Four Weeks of Aerobic Training Affects Cardiac Tissue Matrix Metalloproteinase, Lactate Dehydrogenase and Malate Dehydrogenase Enzymes Activities, and Hepatorenal Biomarkers in Experimental Hyperhomocysteinemia in Rats. Int. J. Mol. Sci. 2021, 22, 6792. [Google Scholar] [CrossRef]
- Comandatore, A.; Franczak, M.; Smolenski, R.T.; Morelli, L.; Peters, G.J.; Giovannetti, E. Lactate Dehydrogenase and its clinical significance in pancreatic and thoracic cancers. Semin. Cancer Biol. 2022, 86 Pt 2, 93–100. [Google Scholar] [CrossRef] [PubMed]
- Buehlmeyer, K.; Doering, F.; Daniel, H.; Kindermann, B.; Schulz, T.; Michna, H. Alteration of gene expression in rat colon mucosa after exercise. Ann. Anat. 2008, 190, 71–80. [Google Scholar] [CrossRef] [PubMed]
- Muller, H.M.; Oberwalder, M.; Fiegl, H.; Morandell, M.; Goebel, G.; Zitt, M.; Muhlthaler, M.; Ofner, D.; Margreiter, R.; Widschwendter, M. Methylation changes in faecal DNA: A marker for colorectal cancer screening? Lancet 2004, 363, 1283–1285. [Google Scholar] [CrossRef] [PubMed]
- Castro, C.; Gratson, A.A.; Evans, J.C.; Jiracek, J.; Collinsova, M.; Ludwig, M.L.; Garrow, T.A. Dissecting the catalytic mechanism of betaine-homocysteine S-methyltransferase by use of intrinsic tryptophan fluorescence and site-directed mutagenesis. Biochemistry 2004, 43, 5341–5351. [Google Scholar] [CrossRef] [PubMed]
- Choi, S.W.; Mason, J.B. Folate and carcinogenesis: An intergrated scheme. J. Nutr. 2000, 133, 3748–3753. [Google Scholar] [CrossRef] [PubMed]
- Demarzo, M.M.; Martins, L.V.; Fernandes, C.R.; Herrero, F.A.; Perez, S.E.; Turatti, A.; Garcia, S.B. Exercise reduces inflammation and cell proliferation in rat colon carcinogenesis. Med. Sci. Sports Exerc. 2008, 40, 618–621. [Google Scholar] [CrossRef] [PubMed]
- Wendum, D.; Maliah, J.; Trugnan, G.; Flejou, F.J. Cyclooxigenase-2 and its role in colorectal cancer development. Virchows Arch. 2004, 445, 327–333. [Google Scholar] [CrossRef] [PubMed]
- Furuta, Y.; Hall, E.R.; Sanduja, S.; Barkley, T., Jr.; Milas, L. Prostaglandin production by murine tumors as a predictor for therapeutic response to indomethacin. Cancer Res. 1998, 48, 3002–3007. [Google Scholar]
- Pugh, S.; Thomas, G.A. Patients with adenomatous polyps and carcinomas have increased colonic mucosal prostaglandin E2. Gut 1994, 35, 675–678. [Google Scholar] [CrossRef] [PubMed]
- Kramer, H.F.; Goodyear, L.J. Exercise, MAPK, and NF-kappaB signaling in skeletal muscle. J. Appl. Physiol. 2007, 103, 388–395. [Google Scholar] [CrossRef] [PubMed]
- Radák, Z.; Chung, H.Y.; Naito, H.; Takahashi, R.; Jung, K.J.; Kim, H.J.; Goto, S. Age-associated increase in oxidative stress and nuclear factor kappaB activation are attenuated in rat liver by regular exercise. FASEB J. 2004, 18, 749–750. [Google Scholar] [CrossRef]
- Pavlikova, M.; Kovalska, M.; Tatarkova, Z.; Sivonova-Kmetova, M.; Kaplan, P.; Lehotsky, J. Response of secretory pathways Ca2+ ATPase gene expression to hyperhomocysteinemia and/or ischemic preconditioning in rat cerebral cortex and hippocampus. Gen. Physiol. Biophys. 2011, 30, S61–S69. [Google Scholar] [CrossRef][Green Version]
- Contarteze, R.V.; de Alencar Mota, C.S.; de Oliveira, C.A.; de AlmeidaLeme, J.A.; Bottcher, L.B.; de Mello, M.A.; Luciano, E. Exercise test and glucose homeostasis in rats treated with alloxan during the neonatal period or fed a high calorie diet. J. Diabetes 2009, 1, 65–72. [Google Scholar] [CrossRef]
- Rouet-Benzineb, P.; Buhler, J.M.; Dreyfus, P.; Delcourt, A.; Dorent, R.; Perennec, J.; Crozatier, B.; Harf, A.; Lafuma, C. Altered balance between matrix gelatinases (MMP-2 and MMP-9) and their tissue inhibitors in human dilated cardiomyopathy: Potential roleof MMP-9 in myosin-heavy chain degradation. Eur. J. Heart Fail. 1999, 1, 337–352. [Google Scholar] [CrossRef]
- Bradford, M.M. A rapid and sensitive method for the quantitation of microgram quantities of protein utilizing the principle of protein—Dye binding. Anal. Biochem. 1976, 72, 248–254. [Google Scholar] [CrossRef]
- Draper, H.; Hadley, M. Malondialdehyde determination a sindex of lipid peroxidation. Methods Enzymol. 1990, 186, 421–431. [Google Scholar] [CrossRef]
- Beers, R.F., Jr.; Sizer, I.W. A spectrophotometric method for measuring the breakdown of hydrogen peroxide by catalase. J. Biol. Chem. 1952, 195, 133–140. [Google Scholar] [CrossRef]
- Misra, H.P.; Fridovich, I. The role of superoxide anion in the autoxidation of epinephrine and a simple assay for superoxide dismutase. J. Biol. Chem. 1972, 247, 3170–3175. [Google Scholar] [CrossRef] [PubMed]
- Flohé, L.; Otting, F. Superoxide dismutase assays. Methods Enzymol. 1984, 105, 93–104. [Google Scholar] [CrossRef] [PubMed]
- Hollaar, L.; Van der Laarse, A. Interference of the measurement of lactate dehydrogenase (LDH) activity in human serum and plasma by LDH from blood cells. Clin. Chim. Acta 1979, 99, 135–142. [Google Scholar] [CrossRef] [PubMed]
- Frieden, C.; Fernandez-Sousa, J. Kinetic studies on pig heart cytoplasmic malate dehydrogenase. J. Biol. Chem. 1975, 250, 2106–2113. [Google Scholar] [CrossRef] [PubMed]
- Cunningham, V.R.; Phillips, J.; Field, E.J. Lactic dehydrogenase isoenzymes in normal and pathological spinal fluids. J. Clin. Pathol. 1965, 18, 765–770. [Google Scholar] [CrossRef] [PubMed]
- Yoshimura, Y.; Kawano, T.; Kuroi, M.; Morishita, M.; Mori, M.; Kawakatsu, K. Zymographic demonstration of lactate and malate dehydrogenases isoenzymes in the rodent salivary glands. Histochemie 1970, 22, 337–346. [Google Scholar] [CrossRef]








Disclaimer/Publisher’s Note: The statements, opinions and data contained in all publications are solely those of the individual author(s) and contributor(s) and not of MDPI and/or the editor(s). MDPI and/or the editor(s) disclaim responsibility for any injury to people or property resulting from any ideas, methods, instructions or products referred to in the content. |
© 2024 by the authors. Licensee MDPI, Basel, Switzerland. This article is an open access article distributed under the terms and conditions of the Creative Commons Attribution (CC BY) license (https://creativecommons.org/licenses/by/4.0/).
Share and Cite
Stojanović, M.; Todorović, D.; Gopčević, K.; Medić, A.; Labudović Borović, M.; Despotović, S.; Djuric, D. Effects of Aerobic Treadmill Training on Oxidative Stress Parameters, Metabolic Enzymes, and Histomorphometric Changes in Colon of Rats with Experimentally Induced Hyperhomocysteinemia. Int. J. Mol. Sci. 2024, 25, 1946. https://doi.org/10.3390/ijms25041946
Stojanović M, Todorović D, Gopčević K, Medić A, Labudović Borović M, Despotović S, Djuric D. Effects of Aerobic Treadmill Training on Oxidative Stress Parameters, Metabolic Enzymes, and Histomorphometric Changes in Colon of Rats with Experimentally Induced Hyperhomocysteinemia. International Journal of Molecular Sciences. 2024; 25(4):1946. https://doi.org/10.3390/ijms25041946
Chicago/Turabian StyleStojanović, Marija, Dušan Todorović, Kristina Gopčević, Ana Medić, Milica Labudović Borović, Sanja Despotović, and Dragan Djuric. 2024. "Effects of Aerobic Treadmill Training on Oxidative Stress Parameters, Metabolic Enzymes, and Histomorphometric Changes in Colon of Rats with Experimentally Induced Hyperhomocysteinemia" International Journal of Molecular Sciences 25, no. 4: 1946. https://doi.org/10.3390/ijms25041946
APA StyleStojanović, M., Todorović, D., Gopčević, K., Medić, A., Labudović Borović, M., Despotović, S., & Djuric, D. (2024). Effects of Aerobic Treadmill Training on Oxidative Stress Parameters, Metabolic Enzymes, and Histomorphometric Changes in Colon of Rats with Experimentally Induced Hyperhomocysteinemia. International Journal of Molecular Sciences, 25(4), 1946. https://doi.org/10.3390/ijms25041946

