Identification of Novel/Rare EWSR1 Fusion Partners in Undifferentiated Mesenchymal Neoplasms
Abstract
1. Introduction
2. Results
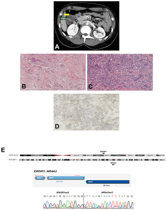
2.1. Case 1 (EWSR1::NR4A2)
2.1.1. Clinical and Pathological Features
2.1.2. Molecular Findings
2.2. Case 2 (EWSR1::RORB)
2.2.1. Clinical and Pathological Features
2.2.2. Molecular Findings
2.3. Case 3 (EWSR1::BEND2)
2.3.1. Clinical and Pathological Features
2.3.2. Molecular Findings
3. Discussion
4. Materials and Methods
4.1. Clinicopathological Data
4.2. Targeted RNA-Seq
4.3. RT-PCR and Sanger Sequencing
Supplementary Materials
Author Contributions
Funding
Institutional Review Board Statement
Informed Consent Statement
Data Availability Statement
Acknowledgments
Conflicts of Interest
Appendix A
| Case | RNA-Seq Panel | Fusion Transcript | Transcript Accession | Breakpoint (GRCh37–hg19) | Total Reads | Fusion Reads (% Primer Reads) | Unique Start Sites | QC |
|---|---|---|---|---|---|---|---|---|
| #1 | FusionPlex Sarcoma v2 | EWSR1ex11::BEND2ex5 | EWSR1 NM_001163285.1 BEND2 NM_153346.4 | chr22:29688595, chrX:18222035 | 2,091,797 | 1977 (35.9) | 207 | 116.7 |
| #2 | FusionPlex Sarcoma v1 | EWSR1ex7::RORBex2 | EWSR1 NM_001163285.1 RORB NM_006914.3 | chr22:29683123, chr9:77245198 | 2,014,755 | 156 (23.3) | 48 | 78.7 |
| #3 | FusionPlex Sarcoma v1 | EWSR1ex8::NR4A2ex3 | EWSR1 NM_001163285.1 NR4A2 NM_006186.3 | chr22:29684775, chr2:157186522 | 2,321,509 | 142 (14.3) | 58 | 99.7 |


References
- Fletcher, C.D.M.; Bridge, J.; Hogendoorn, P.C.W.; Mertens, F. (Eds.) WHO Classification of Tumours of Soft Tissue and Bone; World Health Organization: Geneva, Switzerland, 2013. [Google Scholar]
- Stacchiotti, S.; Frezza, A.M.; Blay, J.Y.; Baldini, E.H.; Bonvalot, S.; Bovee, J.; Callegaro, D.; Casali, P.G.; Chiang, R.C.; Demetri, G.D.; et al. Ultra-rare sarcomas: A consensus paper from the Connective Tissue Oncology Society community of experts on the incidence threshold and the list of entities. Cancer 2021, 127, 2934–2942. [Google Scholar] [CrossRef] [PubMed]
- Martin Broto, J.; Le Cesne, A.; Reichardt, P. The importance of treating by histological subtype in advanced soft tissue sarcoma. Future Oncol. 2017, 13, 23–31. [Google Scholar] [CrossRef] [PubMed]
- Stacchiotti, S.; Maria Frezza, A.; Demetri, G.D.; Blay, J.Y.; Bajpai, J.; Baldi, G.G.; Baldini, E.H.; Benjamin, R.S.; Bonvalot, S.; Bovee, J.; et al. Retrospective observational studies in ultra-rare sarcomas: A consensus paper from the Connective Tissue Oncology Society (CTOS) community of experts on the minimum requirements for the evaluation of activity of systemic treatments. Cancer Treat. Rev. 2022, 110, 102455. [Google Scholar] [CrossRef] [PubMed]
- Oda, Y.; Yamamoto, H.; Kohashi, K.; Yamada, Y.; Iura, K.; Ishii, T.; Maekawa, A.; Bekki, H. Soft tissue sarcomas: From a morphological to a molecular biological approach. Pathol. Int. 2017, 67, 435–446. [Google Scholar] [CrossRef] [PubMed]
- Mertens, F.; Antonescu, C.R.; Mitelman, F. Gene fusions in soft tissue tumors: Recurrent and overlapping pathogenetic themes. Genes Chromosomes Cancer 2016, 55, 291–310. [Google Scholar] [CrossRef] [PubMed]
- Delattre, O.; Zucman, J.; Plougastel, B.; Desmaze, C.; Melot, T.; Peter, M.; Kovar, H.; Joubert, I.; de Jong, P.; Rouleau, G.; et al. Gene fusion with an ETS DNA-binding domain caused by chromosome translocation in human tumours. Nature 1992, 359, 162–165. [Google Scholar] [CrossRef]
- Riggi, N.; Knoechel, B.; Gillespie, S.M.; Rheinbay, E.; Boulay, G.; Suva, M.L.; Rossetti, N.E.; Boonseng, W.E.; Oksuz, O.; Cook, E.B.; et al. EWS-FLI1 utilizes divergent chromatin remodeling mechanisms to directly activate or repress enhancer elements in Ewing sarcoma. Cancer Cell 2014, 26, 668–681. [Google Scholar] [CrossRef] [PubMed]
- Tomazou, E.M.; Sheffield, N.C.; Schmidl, C.; Schuster, M.; Schonegger, A.; Datlinger, P.; Kubicek, S.; Bock, C.; Kovar, H. Epigenome mapping reveals distinct modes of gene regulation and widespread enhancer reprogramming by the oncogenic fusion protein EWS-FLI1. Cell Rep. 2015, 10, 1082–1095. [Google Scholar] [CrossRef]
- Boulay, G.; Sandoval, G.J.; Riggi, N.; Iyer, S.; Buisson, R.; Naigles, B.; Awad, M.E.; Rengarajan, S.; Volorio, A.; McBride, M.J.; et al. Cancer-Specific Retargeting of BAF Complexes by a Prion-like Domain. Cell 2017, 171, 163–178.e119. [Google Scholar] [CrossRef]
- Sanalkumar, R.; Dong, R.; Lee, L.; Xing, Y.H.; Iyer, S.; Letovanec, I.; La Rosa, S.; Finzi, G.; Musolino, E.; Papait, R.; et al. Highly connected 3D chromatin networks established by an oncogenic fusion protein shape tumor cell identity. Sci. Adv. 2023, 9, eabo3789. [Google Scholar] [CrossRef]
- Showpnil, I.A.; Selich-Anderson, J.; Taslim, C.; Boone, M.A.; Crow, J.C.; Theisen, E.R.; Lessnick, S.L. EWS/FLI mediated reprogramming of 3D chromatin promotes an altered transcriptional state in Ewing sarcoma. Nucleic Acids Res. 2022, 50, 9814–9837. [Google Scholar] [CrossRef]
- Flucke, U.; van Noesel, M.M.; Siozopoulou, V.; Creytens, D.; Tops, B.B.J.; van Gorp, J.M.; Hiemcke-Jiwa, L.S. EWSR1-The Most Common Rearranged Gene in Soft Tissue Lesions, Which Also Occurs in Different Bone Lesions: An Updated Review. Diagnostics 2021, 11, 1093. [Google Scholar] [CrossRef]
- Jo, V.Y. EWSR1 fusions: Ewing sarcoma and beyond. Cancer Cytopathol. 2020, 128, 229–231. [Google Scholar] [CrossRef]
- Grunewald, T.G.P.; Cidre-Aranaz, F.; Surdez, D.; Tomazou, E.M.; de Alava, E.; Kovar, H.; Sorensen, P.H.; Delattre, O.; Dirksen, U. Ewing sarcoma. Nat. Rev. Dis. Primers 2018, 4, 5. [Google Scholar] [CrossRef] [PubMed]
- Cidre-Aranaz, F.; Watson, S.; Amatruda, J.F.; Nakamura, T.; Delattre, O.; de Alava, E.; Dirksen, U.; Grunewald, T.G.P. Small round cell sarcomas. Nat. Rev. Dis. Primers 2022, 8, 66. [Google Scholar] [CrossRef] [PubMed]
- Kallen, M.E.; Hornick, J.L. The 2020 WHO Classification: What’s New in Soft Tissue Tumor Pathology? Am. J. Surg. Pathol. 2021, 45, e1–e23. [Google Scholar] [CrossRef] [PubMed]
- Watson, S.; Perrin, V.; Guillemot, D.; Reynaud, S.; Coindre, J.M.; Karanian, M.; Guinebretiere, J.M.; Freneaux, P.; Le Loarer, F.; Bouvet, M.; et al. Transcriptomic definition of molecular subgroups of small round cell sarcomas. J. Pathol. 2018, 245, 29–40. [Google Scholar] [CrossRef] [PubMed]
- Koelsche, C.; Kriegsmann, M.; Kommoss, F.K.F.; Stichel, D.; Kriegsmann, K.; Vokuhl, C.; Grunewald, T.G.P.; Romero-Perez, L.; Kirchner, T.; de Alava, E.; et al. DNA methylation profiling distinguishes Ewing-like sarcoma with EWSR1-NFATc2 fusion from Ewing sarcoma. J. Cancer Res. Clin. Oncol. 2019, 145, 1273–1281. [Google Scholar] [CrossRef] [PubMed]
- Fumagalli, C.; Orellana, R.; Ferre, M.; Gonzalez, A.; Catasus, L.; Vazquez, T.; Sebio, A.; Lopez-Pousa, A.; Llauger, J.; Peiro, A.; et al. Expanding the molecular landscape of undifferentiated sarcomas of bone with a novel EWSR1-SSX3 gene fusion. Genes Chromosomes Cancer 2024, 63, e23215. [Google Scholar] [CrossRef] [PubMed]
- Antonescu, C.R.; Rosenberg, A.E.; Xie, Z.; Zhang, L.; Perell, K.A.; Loya, A.C. Sarcomas with sclerotic epithelioid phenotype harboring novel EWSR1-SSX1 fusions. Genes Chromosomes Cancer 2021, 60, 616–622. [Google Scholar] [CrossRef] [PubMed]
- Cordier, F.; Van der Meulen, J.; Van Gaever, B.; Lapeire, L.; Sys, G.; Van Dorpe, J.; Creytens, D. Undifferentiated sarcoma of bone with a round to epithelioid cell phenotype harboring a novel EWSR1-SSX2 fusion identified by RNA-based next-generation sequencing. Genes Chromosomes Cancer 2022, 61, 44–49. [Google Scholar] [CrossRef]
- Walker, V.; Jin, D.X.; Millis, S.Z.; Nasri, E.; Corao-Uribe, D.A.; Tan, A.C.; Fridley, B.L.; Chen, J.L.; Seligson, N.D. Gene partners of the EWSR1 fusion may represent molecularly distinct entities. Transl. Oncol. 2023, 38, 101795. [Google Scholar] [CrossRef] [PubMed]
- Wang, X.Q.; Goytain, A.; Dickson, B.C.; Nielsen, T.O. Advances in sarcoma molecular diagnostics. Genes Chromosomes Cancer 2022, 61, 332–345. [Google Scholar] [CrossRef]
- Dickson, B.C.; Swanson, D. Targeted RNA sequencing: A routine ancillary technique in the diagnosis of bone and soft tissue neoplasms. Genes. Chromosomes Cancer 2019, 58, 75–87. [Google Scholar] [CrossRef] [PubMed]
- Noujaim, J.; Jones, R.L.; Swansbury, J.; Gonzalez, D.; Benson, C.; Judson, I.; Fisher, C.; Thway, K. The spectrum of EWSR1-rearranged neoplasms at a tertiary sarcoma centre; assessing 772 tumour specimens and the value of current ancillary molecular diagnostic modalities. Br. J. Cancer 2017, 116, 669–678. [Google Scholar] [CrossRef]
- Krystel-Whittemore, M.; Taylor, M.S.; Rivera, M.; Lennerz, J.K.; Le, L.P.; Dias-Santagata, D.; Iafrate, A.J.; Deshpande, V.; Chebib, I.; Nielsen, G.P.; et al. Novel and established EWSR1 gene fusions and associations identified by next-generation sequencing and fluorescence in-situ hybridization. Hum. Pathol. 2019, 93, 65–73. [Google Scholar] [CrossRef]
- Anderson, W.J.; Jo, V.Y. Diagnostic Immunohistochemistry of Soft Tissue and Bone Tumors: An Update on Biomarkers That Correlate with Molecular Alterations. Diagnostics 2021, 11, 690. [Google Scholar] [CrossRef] [PubMed]
- Nicholas, T.R.; Metcalf, S.A.; Greulich, B.M.; Hollenhorst, P.C. Androgen signaling connects short isoform production to breakpoint formation at Ewing sarcoma breakpoint region 1. NAR Cancer 2021, 3, zcab033. [Google Scholar] [CrossRef]
- Costantino, L.; Koshland, D. Genome-wide Map of R-Loop-Induced Damage Reveals How a Subset of R-Loops Contributes to Genomic Instability. Mol. Cell 2018, 71, 487–497.e483. [Google Scholar] [CrossRef]
- Sole, A.; Grossetête, S.; Heintzé, M.; Babin, L.; Zaïdi, S.; Revy, P.; Renouf, B.; De Cian, A.; Giovannangeli, C.; Pierre-Eugène, C.; et al. Unraveling Ewing Sarcoma Tumorigenesis Originating from Patient-Derived Mesenchymal Stem Cells. Cancer Res. 2021, 81, 4994–5006. [Google Scholar] [CrossRef]
- Yan, P.; Liu, Z.; Song, M.; Wu, Z.; Xu, W.; Li, K.; Ji, Q.; Wang, S.; Liu, X.; Yan, K.; et al. Genome-wide R-loop Landscapes during Cell Differentiation and Reprogramming. Cell Rep. 2020, 32, 107870. [Google Scholar] [CrossRef] [PubMed]
- Stacchiotti, S.; Baldi, G.G.; Morosi, C.; Gronchi, A.; Maestro, R. Extraskeletal Myxoid Chondrosarcoma: State of the Art and Current Research on Biology and Clinical Management. Cancers 2020, 12, 2703. [Google Scholar] [CrossRef] [PubMed]
- Maruyama, K.; Tsukada, T.; Ohkura, N.; Bandoh, S.; Hosono, T.; Yamaguchi, K. The NGFI-B subfamily of the nuclear receptor superfamily (review). Int. J. Oncol. 1998, 12, 1237–1243. [Google Scholar] [CrossRef]
- Safe, S.; Karki, K. The Paradoxical Roles of Orphan Nuclear Receptor 4A (NR4A) in Cancer. Mol. Cancer Res. 2021, 19, 180–191. [Google Scholar] [CrossRef] [PubMed]
- Safe, S.; Jin, U.H.; Morpurgo, B.; Abudayyeh, A.; Singh, M.; Tjalkens, R.B. Nuclear receptor 4A (NR4A) family—orphans no more. J. Steroid Biochem. Mol. Biol. 2016, 157, 48–60. [Google Scholar] [CrossRef]
- Brenca, M.; Stacchiotti, S.; Fassetta, K.; Sbaraglia, M.; Janjusevic, M.; Racanelli, D.; Polano, M.; Rossi, S.; Brich, S.; Dagrada, G.P.; et al. NR4A3 fusion proteins trigger an axon guidance switch that marks the difference between EWSR1 and TAF15 translocated extraskeletal myxoid chondrosarcomas. J. Pathol. 2019, 249, 90–101. [Google Scholar] [CrossRef] [PubMed]
- Feng, S.; Xu, S.; Wen, Z.; Zhu, Y. Retinoic acid-related orphan receptor RORbeta, circadian rhythm abnormalities and tumorigenesis (Review). Int. J. Mol. Med. 2015, 35, 1493–1500. [Google Scholar] [CrossRef]
- Lucas, C.G.; Gupta, R.; Wu, J.; Shah, K.; Ravindranathan, A.; Barreto, J.; Gener, M.; Ginn, K.F.; Prall, O.W.J.; Xu, H.; et al. EWSR1-BEND2 fusion defines an epigenetically distinct subtype of astroblastoma. Acta Neuropathol. 2022, 143, 109–113. [Google Scholar] [CrossRef]
- Lehman, N.L. Early ependymal tumor with MN1-BEND2 fusion: A mostly cerebral tumor of female children with a good prognosis that is distinct from classical astroblastoma. J. Neuro-Oncol. 2023, 161, 425–439. [Google Scholar] [CrossRef]
- Tsutsui, T.; Arakawa, Y.; Makino, Y.; Kataoka, H.; Mineharu, Y.; Naito, K.; Minamiguchi, S.; Hirose, T.; Nobusawa, S.; Nakano, Y.; et al. Spinal cord astroblastoma with EWSR1-BEND2 fusion classified as HGNET-MN1 by methylation classification: A case report. Brain Tumor Pathol. 2021, 38, 283–289. [Google Scholar] [CrossRef] [PubMed]
- Yamasaki, K.; Nakano, Y.; Nobusawa, S.; Okuhiro, Y.; Fukushima, H.; Inoue, T.; Murakami, C.; Hirato, J.; Kunihiro, N.; Matsusaka, Y.; et al. Spinal cord astroblastoma with an EWSR1-BEND2 fusion classified as a high-grade neuroepithelial tumour with MN1 alteration. Neuropathol. Appl. Neurobiol. 2020, 46, 190–193. [Google Scholar] [CrossRef]
- Smith-Cohn, M.A.; Abdullaev, Z.; Aldape, K.D.; Quezado, M.; Rosenblum, M.K.; Vanderbilt, C.M.; Rodriguez, F.J.; Laterra, J.; Eberhart, C.G. Molecular clarification of brainstem astroblastoma with EWSR1-BEND2 fusion in a 38-year-old man. Free Neuropathol. 2021, 2, 16. [Google Scholar] [CrossRef]
- Ramkissoon, S.H.; Bandopadhayay, P.; Hwang, J.; Ramkissoon, L.A.; Greenwald, N.F.; Schumacher, S.E.; O’Rourke, R.; Pinches, N.; Ho, P.; Malkin, H.; et al. Clinical targeted exome-based sequencing in combination with genome-wide copy number profiling: Precision medicine analysis of 203 pediatric brain tumors. Neuro Oncol. 2017, 19, 986–996. [Google Scholar] [CrossRef] [PubMed]
- Scarpa, A.; Chang, D.K.; Nones, K.; Corbo, V.; Patch, A.M.; Bailey, P.; Lawlor, R.T.; Johns, A.L.; Miller, D.K.; Mafficini, A.; et al. Whole-genome landscape of pancreatic neuroendocrine tumours. Nature 2017, 543, 65–71. [Google Scholar] [CrossRef] [PubMed]
- Todorovic, E.; Dickson, B.C.; Weinreb, I. Salivary Gland Cancer in the Era of Routine Next-Generation Sequencing. Head. Neck Pathol. 2020, 14, 311–320. [Google Scholar] [CrossRef] [PubMed]
- Agaimy, A.; Kasajima, A.; Stoehr, R.; Haller, F.; Schubart, C.; Togel, L.; Pfarr, N.; von Werder, A.; Pavel, M.E.; Sessa, F.; et al. Gene fusions are frequent in ACTH-secreting neuroendocrine neoplasms of the pancreas, but not in their non-pancreatic counterparts. Virchows Arch. 2023, 482, 507–516. [Google Scholar] [CrossRef] [PubMed]
- Palsgrove, D.N.; Manucha, V.; Park, J.Y.; Bishop, J.A. A Low-grade Sinonasal Sarcoma Harboring EWSR1::BEND2: Expanding the Differential Diagnosis of Sinonasal Spindle Cell Neoplasms. Head Neck Pathol. 2023, 17, 571–575. [Google Scholar] [CrossRef] [PubMed]
- Yoshida, A.; Satomi, K.; Kobayashi, E.; Ryo, E.; Matsushita, Y.; Narita, Y.; Ichimura, K.; Kawai, A.; Mori, T. Soft-tissue sarcoma with MN1-BEND2 fusion: A case report and comparison with astroblastoma. Genes Chromosomes Cancer 2022, 61, 427–431. [Google Scholar] [CrossRef] [PubMed]
- Zöllner, S.K.; Amatruda, J.F.; Bauer, S.; Collaud, S.; de Álava, E.; DuBois, S.G.; Hardes, J.; Hartmann, W.; Kovar, H.; Metzler, M.; et al. Ewing Sarcoma-Diagnosis, Treatment, Clinical Challenges and Future Perspectives. J. Clin. Med. 2021, 10, 1685. [Google Scholar] [CrossRef] [PubMed]
- Ventura, S.; Aryee, D.N.; Felicetti, F.; De Feo, A.; Mancarella, C.; Manara, M.C.; Picci, P.; Colombo, M.P.; Kovar, H.; Carè, A.; et al. CD99 regulates neural differentiation of Ewing sarcoma cells through miR-34a-Notch-mediated control of NF-κB signaling. Oncogene 2016, 35, 3944–3954. [Google Scholar] [CrossRef]
- Ma, L.; Xie, D.; Luo, M.; Lin, X.; Nie, H.; Chen, J.; Gao, C.; Duo, S.; Han, C. Identification and characterization of BEND2 as a key regulator of meiosis during mouse spermatogenesis. Sci. Adv. 2022, 8, eabn1606. [Google Scholar] [CrossRef] [PubMed]
- Zhang, J.; Zhang, Y.; You, Q.; Huang, C.; Zhang, T.; Wang, M.; Zhang, T.; Yang, X.; Xiong, J.; Li, Y.; et al. Highly enriched BEND3 prevents the premature activation of bivalent genes during differentiation. Science 2022, 375, 1053–1058. [Google Scholar] [CrossRef] [PubMed]
- Kurniawan, F.; Prasanth, S.G. A BEN-domain protein and polycomb complex work coordinately to regulate transcription. Transcription 2022, 13, 82–87. [Google Scholar] [CrossRef] [PubMed]
- Palmerini, E.; Gambarotti, M.; Connolly, E.A.; Dubois, S.G.; Provenzano, S.; Martin-Broto, J.; Italiano, A.; Koseła-Paterczyk, H.; Hindi, N.; Ratan, R.; et al. Ultra-rare Undifferentiated Small Round Cell Sarcoma: How should we treat them? An analysis from the GRACEFUL project. In Proceedings of the Connective Tissue Oncology Society, Dublin, Ireland, 1–4 November 2023. [Google Scholar]
- Untergasser, A.; Nijveen, H.; Rao, X.; Bisseling, T.; Geurts, R.; Leunissen, J.A. Primer3Plus, an enhanced web interface to Primer3. Nucleic Acids Res. 2007, 35, W71–W74. [Google Scholar] [CrossRef]



| Case | Sex | Age at Dx | Primary Tumor Location | Histologic Pattern | Original Diagnosis | Treatment | Outcome |
|---|---|---|---|---|---|---|---|
| #1 | F | 32 | Posterior right thigh | Round cells in myxoid stroma | Extraskeletal myxoid chondrosarcoma | Primary tumor: resection + RT Metastatic recurrence: sunitinib + nivolumab | AWD |
| #2 | F | 61 | Foot sole | Solid spindle cells and epithelioid-to-ovoid cells | Giant-cell tumor | Primary tumor: resection Local recurrence: metatarsal amputation | ANED |
| #3 | F | 16 | Second metatarsal of the left foot | Solid round, epithelioid, or spindle cells | Bone cyst | Primary tumor: neoadjuvant CT with no effect + radical resection | ANED |
Disclaimer/Publisher’s Note: The statements, opinions and data contained in all publications are solely those of the individual author(s) and contributor(s) and not of MDPI and/or the editor(s). MDPI and/or the editor(s) disclaim responsibility for any injury to people or property resulting from any ideas, methods, instructions or products referred to in the content. |
© 2024 by the authors. Licensee MDPI, Basel, Switzerland. This article is an open access article distributed under the terms and conditions of the Creative Commons Attribution (CC BY) license (https://creativecommons.org/licenses/by/4.0/).
Share and Cite
Salguero-Aranda, C.; Di Blasi, E.; Galán, L.; Zaldumbide, L.; Civantos, G.; Marcilla, D.; de Álava, E.; Díaz-Martín, J. Identification of Novel/Rare EWSR1 Fusion Partners in Undifferentiated Mesenchymal Neoplasms. Int. J. Mol. Sci. 2024, 25, 1735. https://doi.org/10.3390/ijms25031735
Salguero-Aranda C, Di Blasi E, Galán L, Zaldumbide L, Civantos G, Marcilla D, de Álava E, Díaz-Martín J. Identification of Novel/Rare EWSR1 Fusion Partners in Undifferentiated Mesenchymal Neoplasms. International Journal of Molecular Sciences. 2024; 25(3):1735. https://doi.org/10.3390/ijms25031735
Chicago/Turabian StyleSalguero-Aranda, Carmen, Elena Di Blasi, Lourdes Galán, Laura Zaldumbide, Gema Civantos, David Marcilla, Enrique de Álava, and Juan Díaz-Martín. 2024. "Identification of Novel/Rare EWSR1 Fusion Partners in Undifferentiated Mesenchymal Neoplasms" International Journal of Molecular Sciences 25, no. 3: 1735. https://doi.org/10.3390/ijms25031735
APA StyleSalguero-Aranda, C., Di Blasi, E., Galán, L., Zaldumbide, L., Civantos, G., Marcilla, D., de Álava, E., & Díaz-Martín, J. (2024). Identification of Novel/Rare EWSR1 Fusion Partners in Undifferentiated Mesenchymal Neoplasms. International Journal of Molecular Sciences, 25(3), 1735. https://doi.org/10.3390/ijms25031735

