Positive Effect of Elevated Thawing Rate for Cryopreservation of Human Ovarian Tissue: Transcriptomic Analysis of Fresh and Cryopreserved Cells
Abstract
1. Introduction
2. Results
2.1. Differential Expression Genes (DEGs)
2.2. Kyoto Encyclopedia of Genes and Genomes (KEGG)
2.3. Gene Set Enrichment Analysis (GSEA)
2.4. Gene Ontology (GO)
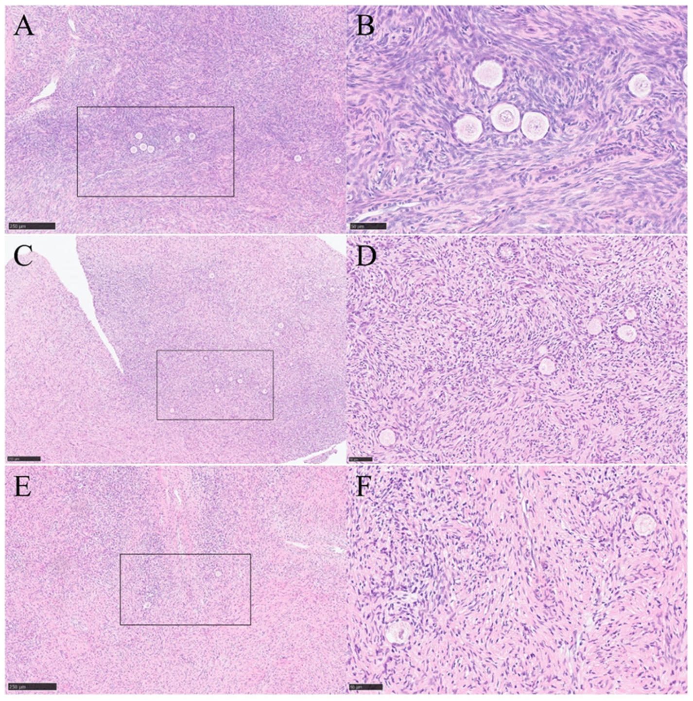
2.5. Morphology of Ovarian Tissue
3. Discussion
3.1. Transcriptomic Differences Between Cryopreserved Ovarian Tissue and Fresh Ovarian Tissue
3.1.1. Differentially Expressed Genes (DEGs)
3.1.2. Kyoto Encyclopedia of Genes and Genomes (KEGG) and Gene Set Enrichment Analysis (GSEA) Analysis
3.1.3. Gene Ontology (GO) Analysis
3.2. Transcriptomic Differences Between Quick-Thawing Cryopreserved Ovarian Tissue and Slow-Thawing Cryopreserved Ovarian Tissue
3.2.1. Differentially Expressed Genes (DEGs)
3.2.2. Kyoto Encyclopedia of Genes and Genomes (KEGG) and Gene Set Enrichment Analysis (GSEA) Analysis
3.2.3. Gene Ontology (GO) Analysis
3.3. Limitations
4. Materials and Methods
4.1. Design of Experiments
4.2. Collection and Cryopreservation of Ovarian Tissue
4.3. Sequencing and Data Extraction
4.4. Differential Expression Analysis
4.5. GO and KEGG Enrichment Analysis of Differentially Expressed Genes
4.6. Gene Set Enrichment Analysis
4.7. Histological Analysis
5. Conclusions
Author Contributions
Funding
Institutional Review Board Statement
Informed Consent Statement
Data Availability Statement
Acknowledgments
Conflicts of Interest
References
- Oktay, K. Fertility preservation in patients with cancer: ASCO clinical practice guideline update. J. Clin. Oncol. 2018, 36, 1994–2001. [Google Scholar] [CrossRef] [PubMed]
- Christianson, M.S.; Oktay, K. Advances in fertility-preservation surgery: Navigating new frontiers. Fertil. Steril. 2019, 112, 438–445. [Google Scholar] [CrossRef] [PubMed]
- Antunes, M.B.; Cardeal, S.P.; Magalhães, M.; Vale-Fernandes, E.; Barreiro, M.; Sá, R.; Sousa, M. Preservation of fertility in female patients with hematologic diseases. Blood Rev. 2023, 62, 101115. [Google Scholar] [CrossRef] [PubMed]
- Vuković, P.; Kasum, M.; Orešković, D.; Čehić, E.; Raguž, J.; Elezaj, S.; Beketić-Orešković, L. Importance of ovarian tissue cryopreservation in fertility preservation and anti-aging treatment. Gynecol. Endocrinol. Off. J. Int. Soc. Gynecol. Endocrinol. 2019, 35, 919–923. [Google Scholar] [CrossRef]
- Fraison, E.; Huberlant, S.; Labrune, E.; Cavalieri, M.; Montagut, M.; Brugnon, F.; Courbiere, B. Live birth rate after female fertility preservation for cancer or haematopoietic stem cell transplantation: A systematic review and meta-analysis of the three main techniques; embryo, oocyte and ovarian tissue cryopreservation. Hum. Reprod. 2023, 38, 489–502. [Google Scholar] [CrossRef]
- Dolmans, M.M.; Donnez, J.; Cacciottola, L. Fertility Preservation: The Challenge of Freezing and Transplanting Ovarian Tissue. Trends Mol. Med. 2021, 27, 777–791. [Google Scholar] [CrossRef]
- Dolmans, M.M.; Donnez, J. Fertility preservation in women for medical and social reasons: Oocytes vs ovarian tissue. Best Pract. Res. Clin. Obstet. Gynaecol. 2021, 70, 63–80. [Google Scholar] [CrossRef]
- Donnez, J.; Squifflet, J.; Jadoul, P.; Demylle, D.; Cheron, A.C.; Van Langendonckt, A.; Dolmans, M.M. Pregnancy and live birth after autotransplantation of frozen-thawed ovarian tissue in a patient with metastatic disease undergoing chemotherapy and hematopoietic stem cell transplantation. Fertil. Steril. 2011, 95, 1787.e1–1787.e4. [Google Scholar] [CrossRef]
- Roux, C.; Amiot, C.; Agnani, G.; Aubard, Y.; Rohrlich, P.S.; Piver, P. Live birth after ovarian tissue autograft in a patient with sickle cell disease treated by allogeneic bone marrow transplantation. Fertil. Steril. 2010, 93, 2413.e15–2413.e19. [Google Scholar] [CrossRef]
- Zhou, X.H. Comparison of vitrification and conventional slow freezing for cryopreservation of ovarian tissue with respect to the number of intact primordial follicles: A meta-analysis. Medicine 2016, 95, e4095. [Google Scholar] [CrossRef]
- Kometas, M.; Christman, G.M.; Kramer, J.; Rhoton-Vlasak, A. Methods of Ovarian Tissue Cryopreservation: Is Vitrification Superior to Slow Freezing?-Ovarian Tissue Freezing Methods. Reprod. Sci. 2021, 28, 3291–3302. [Google Scholar] [CrossRef] [PubMed]
- Herraiz, S. Improving ovarian tissue cryopreservation for oncologic patients: Slow freezing versus vitrification, effect of different procedures and devices. Fertil. Steril. 2014, 101, 775–784.e1. [Google Scholar] [CrossRef] [PubMed]
- Vanni, V.S.; De Lorenzo, R.; Privitera, L.; Canti, V.; Viganò, P.; Rovere-Querini, P. Safety of fertility treatments in women with systemic autoimmune diseases (SADs). Expert Opin. Drug Saf. 2019, 18, 841–852. [Google Scholar] [CrossRef] [PubMed]
- Isachenko, V.; Dittrich, R.; Keck, G.; Isachenko, E.; Rahimi, G.; van der Ven, H.; Montag, M.; Hoffmann, I.; Müller, A.; Distler, W.; et al. Cryopreservation of Ovarian Tissue: Detailed Description of Methods for Transport, Freezing and Thawing. Geburtshilfe Frauenheilkd 2012, 72, 927–932. [Google Scholar] [CrossRef]
- Rahimi, G. Apoptosis in human ovarian tissue after conventional freezing or vitrification and xenotransplantation. CryoLetters 2009, 30, 300–309. [Google Scholar]
- Amorim, C.A.; Curaba, M.; Van Langendonckt, A.; Dolmans, M.M.; Donnez, J. Vitrification as an alternative means of cryopreserving ovarian tissue. Reprod. Biomed. Online 2011, 23, 160–186. [Google Scholar] [CrossRef]
- Müller, A.; Keller, K.; Wacker, J.; Dittrich, R.; Keck, G.; Montag, M.; Van der Ven, H.; Wachter, D.; Beckmann, M.W.; Distler, W. Retransplantation of cryopreserved ovarian tissue: The first live birth in Germany. Dtsch. Ärzteblatt Int. 2012, 109, 8–13. [Google Scholar] [CrossRef]
- Kouzarides, T.; Ziff, E. Leucine zippers of fos, jun and GCN4 dictate dimerization specificity and thereby control DNA binding. Nature 1989, 340, 568–571. [Google Scholar] [CrossRef]
- Gazon, H.; Barbeau, B.; Mesnard, J.M.; Peloponese, J.M., Jr. Hijacking of the AP-1 Signaling Pathway during Development of ATL. Front. Microbiol. 2017, 8, 2686. [Google Scholar] [CrossRef]
- Filipovic, I.; Buddecke, E. Calmodulin antagonists suppress cholesterol synthesis by inhibiting sterol delta 24 reductase. Lipids 1987, 22, 261–265. [Google Scholar] [CrossRef]
- Fernández, C.; Suárez, Y.; Ferruelo, A.J.; Gómez-Coronado, D.; Lasunción, M.A. Inhibition of cholesterol biosynthesis by Delta22-unsaturated phytosterols via competitive inhibition of sterol Delta24-reductase in mammalian cells. Biochem. J. 2002, 366, 109–119. [Google Scholar] [CrossRef] [PubMed]
- Tan, J.X.; Finkel, T. A phosphoinositide signalling pathway mediates rapid lysosomal repair. Nature 2022, 609, 815–821. [Google Scholar] [CrossRef] [PubMed]
- Wang, F.; Gómez-Sintes, R.; Boya, P. Lysosomal membrane permeabilization and cell death. Traffic 2018, 19, 918–931. [Google Scholar] [CrossRef] [PubMed]
- Yang, C.; Wang, X. Lysosome biogenesis: Regulation and functions. J. Cell Biol. 2021, 220, e202102001. [Google Scholar] [CrossRef]
- Levine, B.; Kroemer, G. Biological Functions of Autophagy Genes: A Disease Perspective. Cell 2019, 176, 11–42. [Google Scholar] [CrossRef]
- Pellegrini, F.R.; De Martino, S.; Fianco, G.; Ventura, I.; Valente, D.; Fiore, M.; Trisciuoglio, D.; Degrassi, F. Blockage of autophagosome-lysosome fusion through SNAP29 O-GlcNAcylation promotes apoptosis via ROS production. Autophagy 2023, 19, 2078–2093. [Google Scholar] [CrossRef]
- Li, L.; Shi, X.; Shi, Y.; Wang, Z. The Signaling Pathways Involved in Ovarian Follicle Development. Front. Physiol. 2021, 12, 730196. [Google Scholar] [CrossRef]
- Wood, J.R.; Strauss, J.F., 3rd. Multiple signal transduction pathways regulate ovarian steroidogenesis. Rev. Endocr. Metab. Disord. 2002, 3, 33–46. [Google Scholar] [CrossRef]
- Hagedorn, J.; Alkurdi, G.; Barker, S.A.; Brunotte, R.; Deeb, T.; Hubenia, O.; Khayyat, D.; Leal-Marin, S.; Rittinghaus, T.; Glasmacher, B. The technology in cryotechnology. CryoLetters 2023, 44, 314–326. [Google Scholar] [CrossRef]
- Whaley, D.; Damyar, K.; Witek, R.P.; Mendoza, A.; Alexander, M.; Lakey, J.R. Cryopreservation: An Overview of Principles and Cell-Specific Considerations. Cell Transplant. 2021, 30, 963689721999617. [Google Scholar] [CrossRef]
- Pegg, D.E. Principles of cryopreservation. Methods Mol. Biol. 2007, 368, 39–57. [Google Scholar] [CrossRef] [PubMed]
- Baust, J.M.; Campbell, L.H.; Harbell, J.W. Best practices for cryopreserving, thawing, recovering, and assessing cells. Vitr. Cell. Dev. Biol. Anim. 2017, 53, 855–871. [Google Scholar] [CrossRef] [PubMed]
- Liebermann, D.A.; Hoffman, B. Gadd45 in the response of hematopoietic cells to genotoxic stress. Blood Cells Mol. Dis. 2007, 39, 329–335. [Google Scholar] [CrossRef] [PubMed]
- Palomer, X.; Salvador, J.M.; Griñán-Ferré, C.; Barroso, E.; Pallàs, M.; Vázquez-Carrera, M. GADD45A: With or without you. Med. Res. Rev. 2024, 44, 1375–1403. [Google Scholar] [CrossRef] [PubMed]
- Hoffman, B.; Liebermann, D.A. Gadd45 modulation of intrinsic and extrinsic stress responses in myeloid cells. J. Cell Physiol. 2009, 218, 26–31. [Google Scholar] [CrossRef]
- Fresno Vara, J.A.; Casado, E.; de Castro, J.; Cejas, P.; Belda-Iniesta, C.; González-Barón, M. PI3K/Akt signalling pathway and cancer. Cancer Treat. Rev. 2004, 30, 193–204. [Google Scholar] [CrossRef]
- Jafari, M.; Ghadami, E.; Dadkhah, T.; Akhavan-Niaki, H. PI3k/AKT signaling pathway: Erythropoiesis and beyond. J. Cell Physiol. 2019, 234, 2373–2385. [Google Scholar] [CrossRef]
- Horta, C.A.; Doan, K.; Yang, J. Mechanotransduction pathways in regulating epithelial-mesenchymal plasticity. Curr. Opin. Cell Biol. 2023, 85, 102245. [Google Scholar] [CrossRef]
- Levi, N.; Papismadov, N.; Solomonov, I.; Sagi, I.; Krizhanovsky, V. The ECM path of senescence in aging: Components and modifiers. FEBS J. 2020, 287, 2636–2646. [Google Scholar] [CrossRef]
- Rosso, F.; Giordano, A.; Barbarisi, M.; Barbarisi, A. From cell-ECM interactions to tissue engineering. J. Cell Physiol. 2004, 199, 174–180. [Google Scholar] [CrossRef]
- Jung, S.J.; Kim, H. Emerging View on the Molecular Functions of Sec62 and Sec63 in Protein Translocation. Int. J. Mol. Sci. 2021, 22, 12757. [Google Scholar] [CrossRef] [PubMed]
- Colombo, S.F.; Fasana, E. Mechanisms of insertion of tail-anchored proteins into the membrane of the endoplasmic reticulum. Curr. Protein Pept. Sci. 2011, 12, 736–742. [Google Scholar] [CrossRef] [PubMed]
- Mehlhorn, D.G.; Asseck, L.Y.; Grefen, C. Looking for a safe haven: Tail-anchored proteins and their membrane insertion pathways. Plant Physiol. 2021, 187, 1916–1928. [Google Scholar] [CrossRef]
- Zhou, Y.; Wang, W.; Todorov, P.; Pei, C.; Isachenko, E.; Rahimi, G.; Mallmann, P.; Nawroth, F.; Isachenko, V. RNA Transcripts in Human Ovarian Cells: Two-Time Cryopreservation Does Not Affect Developmental Potential. Int. J. Mol. Sci. 2023, 24, 6880. [Google Scholar] [CrossRef]
- Isachenko, V.; Morgenstern, B.; Todorov, P.; Isachenko, E.; Mallmann, P.; Hanstein, B.; Rahimi, G. Patient with ovarian insufficiency: Baby born after anticancer therapy and re-transplantation of cryopreserved ovarian tissue. J. Ovarian Res. 2020, 13, 118. [Google Scholar] [CrossRef]
- Isachenko, V.; Mallmann, P.; Petrunkina, A.M.; Rahimi, G.; Nawroth, F.; Hancke, K.; Felberbaum, R.; Genze, F.; Damjanoski, I.; Isachenko, E. Comparison of in vitro- and chorioallantoic membrane (CAM)-culture systems for cryopreserved medulla-contained human ovarian tissue. PLoS ONE 2012, 7, e32549. [Google Scholar] [CrossRef][Green Version]
- Isachenko, V.; Todorov, P.; Isachenko, E.; Rahimi, G.; Hanstein, B.; Salama, M.; Mallmann, P.; Tchorbanov, A.; Hardiman, P.; Getreu, N.; et al. Cryopreservation and xenografting of human ovarian fragments: Medulla decreases the phosphatidylserine translocation rate. Reprod. Biol. Endocrinol. RBE 2016, 14, 79. [Google Scholar] [CrossRef]






Disclaimer/Publisher’s Note: The statements, opinions and data contained in all publications are solely those of the individual author(s) and contributor(s) and not of MDPI and/or the editor(s). MDPI and/or the editor(s) disclaim responsibility for any injury to people or property resulting from any ideas, methods, instructions or products referred to in the content. |
© 2024 by the authors. Licensee MDPI, Basel, Switzerland. This article is an open access article distributed under the terms and conditions of the Creative Commons Attribution (CC BY) license (https://creativecommons.org/licenses/by/4.0/).
Share and Cite
Kong, Q.; Todorov, P.; Pei, C.; Isachenko, E.; Rahimi, G.; Mallmann-Gottschalk, N.; Isachenko, V. Positive Effect of Elevated Thawing Rate for Cryopreservation of Human Ovarian Tissue: Transcriptomic Analysis of Fresh and Cryopreserved Cells. Int. J. Mol. Sci. 2024, 25, 13747. https://doi.org/10.3390/ijms252413747
Kong Q, Todorov P, Pei C, Isachenko E, Rahimi G, Mallmann-Gottschalk N, Isachenko V. Positive Effect of Elevated Thawing Rate for Cryopreservation of Human Ovarian Tissue: Transcriptomic Analysis of Fresh and Cryopreserved Cells. International Journal of Molecular Sciences. 2024; 25(24):13747. https://doi.org/10.3390/ijms252413747
Chicago/Turabian StyleKong, Qingduo, Plamen Todorov, Cheng Pei, Evgenia Isachenko, Gohar Rahimi, Nina Mallmann-Gottschalk, and Volodimir Isachenko. 2024. "Positive Effect of Elevated Thawing Rate for Cryopreservation of Human Ovarian Tissue: Transcriptomic Analysis of Fresh and Cryopreserved Cells" International Journal of Molecular Sciences 25, no. 24: 13747. https://doi.org/10.3390/ijms252413747
APA StyleKong, Q., Todorov, P., Pei, C., Isachenko, E., Rahimi, G., Mallmann-Gottschalk, N., & Isachenko, V. (2024). Positive Effect of Elevated Thawing Rate for Cryopreservation of Human Ovarian Tissue: Transcriptomic Analysis of Fresh and Cryopreserved Cells. International Journal of Molecular Sciences, 25(24), 13747. https://doi.org/10.3390/ijms252413747

