Microbubble-Protected Oncolytic Virotherapy Targeted by Sonoporation Induces Tumor Necrosis and T-Lymphocyte Infiltration in Humanized Mice Bearing Triple-Negative Breast Cancer
Abstract
1. Introduction
2. Results
2.1. Microbubble-Assisted Delivery of Oncolytic Adenoviruses Targets MDA-231-MB Human Triple Negative Breast Cancer In Vivo
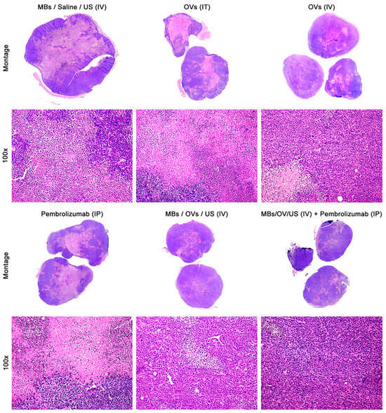
2.2. Microbubble-Assisted Delivery of Oncolytic Adenoviruses Increases the Necrosis but Not the Size of MDA-231-MB Human Triple Negative Breast Cancer In Vivo
3. Discussion
4. Materials and Methods
4.1. Cell Culture
4.2. Oncolytic Adenovirus Ad 5/3 Production and Titration
4.3. Incorporation of the OVs in the Imagent® Microbubbles
4.4. Mice, Human Tumor Xenografts, and Experimental Treatments
4.5. Tumor Volume Measurements
4.6. Tumor and Organ Collection
4.7. Hematoxylin and Eosin Staining and Immunohistochemical Analysis (IHC)
4.8. Statistical Analysis
5. Conclusions
Author Contributions
Funding
Institutional Review Board Statement
Informed Consent Statement
Data Availability Statement
Conflicts of Interest
References
- Zhu, X.; Fan, C.; Xiong, Z.; Chen, M.; Li, Z.; Tao, T.; Liu, X. Development and application of oncolytic viruses as the nemesis of tumor cells. Front. Microbiol. 2023, 14, 1188526. [Google Scholar] [CrossRef] [PubMed]
- Carlisle, R.; Choi, J.; Bazan-Peregrino, M.; Laga, R.; Subr, V.; Kostka, L.; Ulbrich, K.; Coussios, C.C.; Seymour, L.W. Enhanced tumor uptake and penetration of virotherapy using polymer stealthing and focused ultrasound. J. Natl. Cancer Inst. 2013, 105, 1701–1710. [Google Scholar] [CrossRef] [PubMed]
- Greco, A.; Di Benedetto, A.; Howard, C.M.; Kelly, S.; Nande, R.; Dementieva, Y.; Miranda, M.; Brunetti, A.; Salvatore, M.; Claudio, L.; et al. Eradication of therapy-resistant human prostate tumors using an ultrasound-guided site-specific cancer terminator virus delivery approach. Mol. Ther. 2010, 18, 295–306. [Google Scholar] [CrossRef] [PubMed]
- Sheth, R.A.; Murthy, R.; Hong, D.S.; Patel, S.; Overman, M.J.; Diab, A.; Hwu, P.; Tam, A. Assessment of Image-Guided Intratumoral Delivery of Immunotherapeutics in Patients With Cancer. JAMA Netw. Open 2020, 3, e207911. [Google Scholar] [CrossRef]
- Som, A.; Rosenboom, J.G.; Chandler, A.; Sheth, R.A.; Wehrenberg-Klee, E. Image-guided intratumoral immunotherapy: Developing a clinically practical technology. Adv. Drug Deliv. Rev. 2022, 189, 114505. [Google Scholar] [CrossRef]
- Edwards, I.A.; De Carlo, F.; Sitta, J.; Varner, W.; Howard, C.M.; Claudio, P.P. Enhancing Targeted Therapy in Breast Cancer by Ultrasound-Responsive Nanocarriers. Int. J. Mol. Sci. 2023, 24, 5474. [Google Scholar] [CrossRef]
- Sitta, J.; Howard, C.M. Applications of Ultrasound-Mediated Drug Delivery and Gene Therapy. Int. J. Mol. Sci. 2021, 22, 11491. [Google Scholar] [CrossRef]
- Xu, J.; Solban, N.; Wang, Y.; Ferguson, H.; Perera, S.; Lin, K.; Cai, M.; Paul, M.; Schutt, E.G.; Larsen, C.T.; et al. Sonoporation-Enhanced Delivery of STING Agonist Induced Robust Immune Modulation and Tumor Regression. Adv. Ther. 2021, 4, 2100154. [Google Scholar] [CrossRef]
- De Carlo, F.; Thomas, L.; Brooke, B.; Varney, E.T.; Nande, R.; Boskovic, O.; Marshall, G.D.; Claudio, P.P.; Howard, C.M. Microbubble-mediated delivery of human adenoviruses does not elicit innate and adaptive immunity response in an immunocompetent mouse model of prostate cancer. J. Transl. Med. 2019, 17, 19. [Google Scholar] [CrossRef]
- Nande, R.; Howard, C.M.; Claudio, P.P. Ultrasound-mediated oncolytic virus delivery and uptake for increased therapeutic efficacy: State of art. Oncolytic Virotherapy 2015, 4, 193–205. [Google Scholar] [CrossRef][Green Version]
- Goldberg, B.B.; Liu, J.B.; Forsberg, F. Ultrasound contrast agents: A review. Ultrasound Med. Biol. 1994, 20, 319–333. [Google Scholar] [CrossRef] [PubMed]
- Howard, C.M. The role of ultrasound contrast agents in gene therapy. Appl. Radiol. 2004, 33, 126–135. [Google Scholar]
- Howard, C.M.; Forsberg, F.; Minimo, C.; Liu, J.B.; Merton, D.A.; Claudio, P.P. Ultrasound guided site specific gene delivery system using adenoviral vectors and commercial ultrasound contrast agents. J. Cell. Physiol. 2006, 209, 413–421. [Google Scholar] [CrossRef] [PubMed]
- Nande, R.; Claudio, P.P. Ultrasound Contrast Agents in Cancer Therapy. In Cutting Edge Therapies for Cancer in the 21st Century; Claudio, P.P., Ed.; Bentham Science Publishers: Soest, The Netherlands, 2014; pp. 425–512. [Google Scholar]
- Nande, R.; Greco, A.; Gossman, M.S.; Lopez, J.P.; Claudio, L.; Salvatore, M.; Brunetti, A.; Denvir, J.; Howard, C.M.; Claudio, P.P. Microbubble-assisted p53, RB, and p130 gene transfer in combination with radiation therapy in prostate cancer. Curr. Gene Ther. 2013, 13, 163–174. [Google Scholar] [CrossRef]
- Dash, R.; Azab, B.; Shen, X.N.; Sokhi, U.K.; Sarkar, S.; Su, Z.Z.; Wang, X.Y.; Claudio, P.P.; Dent, P.; Dmitriev, I.P.; et al. Developing an effective gene therapy for prostate cancer: New technologies with potential to translate from the laboratory into the clinic. Discov. Med. 2011, 11, 46–56. [Google Scholar]
- Wang, M.; Yao, L.C.; Cheng, M.; Cai, D.; Martinek, J.; Pan, C.X.; Shi, W.; Ma, A.H.; De Vere White, R.W.; Airhart, S.; et al. Humanized mice in studying efficacy and mechanisms of PD-1-targeted cancer immunotherapy. FASEB J. 2018, 32, 1537–1549. [Google Scholar] [CrossRef]
- Burton, D.R. Antiviral neutralizing antibodies: From in vitro to in vivo activity. Nat. Rev. Immunol. 2023, 23, 720–734. [Google Scholar] [CrossRef]
- Sitta, J.; Claudio, P.P.; Howard, C.M. Virus-Based Immuno-Oncology Models. Biomedicines 2022, 10, 1441. [Google Scholar] [CrossRef]
- Lee, T.J.; Nair, M.; Banasavadi-Siddegowda, Y.; Liu, J.; Nallanagulagari, T.; Jaime-Ramirez, A.C.; Guo, J.Y.; Quadri, H.; Zhang, J.; Bockhorst, K.H.; et al. Enhancing Therapeutic Efficacy of Oncolytic Herpes Simplex Virus-1 with Integrin beta1 Blocking Antibody OS2966. Mol. Cancer Ther. 2019, 18, 1127–1136. [Google Scholar] [CrossRef]
- Bollino, D.; Colunga, A.; Li, B.; Aurelian, L. DeltaPK oncolytic activity includes modulation of the tumour cell milieu. J. Gen. Virol. 2016, 97, 496–508. [Google Scholar] [CrossRef]
- Gujar, S.A.; Marcato, P.; Pan, D.; Lee, P.W. Reovirus virotherapy overrides tumor antigen presentation evasion and promotes protective antitumor immunity. Mol. Cancer Ther. 2010, 9, 2924–2933. [Google Scholar] [CrossRef] [PubMed]
- Bourgeois-Daigneault, M.C.; Roy, D.G.; Falls, T.; Twumasi-Boateng, K.; St-Germain, L.E.; Marguerie, M.; Garcia, V.; Selman, M.; Jennings, V.A.; Pettigrew, J.; et al. Oncolytic vesicular stomatitis virus expressing interferon-gamma has enhanced therapeutic activity. Mol. Ther. Oncolytics 2016, 3, 16001. [Google Scholar] [CrossRef] [PubMed]
- Rahman, M.M.; McFadden, G. Oncolytic Viruses: Newest Frontier for Cancer Immunotherapy. Cancers 2021, 13, 5452. [Google Scholar] [CrossRef] [PubMed]
- Hou, W.; Sampath, P.; Rojas, J.J.; Thorne, S.H. Oncolytic Virus-Mediated Targeting of PGE2 in the Tumor Alters the Immune Status and Sensitizes Established and Resistant Tumors to Immunotherapy. Cancer Cell 2016, 30, 108–119. [Google Scholar] [CrossRef] [PubMed]
- McCarthy, E.F. The toxins of William B. Coley and the treatment of bone and soft-tissue sarcomas. Iowa Orthop. J. 2006, 26, 154–158. [Google Scholar]
- Hamdan, F.; Cerullo, V. Cancer immunotherapies: A hope for the uncurable? Front. Mol. Med. 2023, 3, 1140977. [Google Scholar] [CrossRef]
- Hong, W.X.; Haebe, S.; Lee, A.S.; Westphalen, C.B.; Norton, J.A.; Jiang, W.; Levy, R. Intratumoral Immunotherapy for Early-stage Solid Tumors. Clin. Cancer Res. 2020, 26, 3091–3099. [Google Scholar] [CrossRef]
- Shyr, C.R.; Liu, L.C.; Chien, H.S.; Huang, C.P. Immunotherapeutic Agents for Intratumoral Immunotherapy. Vaccines 2023, 11, 1717. [Google Scholar] [CrossRef]
- Kadowaki, N. Intratumoral cancer immunotherapy exploiting anti-viral immunity. J. Clin. Exp. Hematop. 2022, 62, 1–8. [Google Scholar] [CrossRef]
- Luke, J.J.; Davar, D.; Andtbacka, R.H.; Bhardwaj, N.; Brody, J.D.; Chesney, J.; Coffin, R.; de Baere, T.; de Gruijl, T.D.; Fury, M.; et al. Society for Immunotherapy of Cancer (SITC) recommendations on intratumoral immunotherapy clinical trials (IICT): From premalignant to metastatic disease. J. Immunother. Cancer 2024, 12, e008378. [Google Scholar] [CrossRef]
- Ahmed, S.E.; Martins, A.M.; Husseini, G.A. The use of ultrasound to release chemotherapeutic drugs from micelles and liposomes. J. Drug Target. 2015, 23, 16–42. [Google Scholar] [CrossRef] [PubMed]
- Shin Low, S.; Nong Lim, C.; Yew, M.; Siong Chai, W.; Low, L.E.; Manickam, S.; Ti Tey, B.; Show, P.L. Recent ultrasound advancements for the manipulation of nanobiomaterials and nanoformulations for drug delivery. Ultrason. Sonochemistry 2021, 80, 105805. [Google Scholar] [CrossRef] [PubMed]
- Raskov, H.; Orhan, A.; Christensen, J.P.; Gogenur, I. Cytotoxic CD8(+) T cells in cancer and cancer immunotherapy. Br. J. Cancer 2021, 124, 359–367. [Google Scholar] [CrossRef] [PubMed]
- Solomon, I.; Amann, M.; Goubier, A.; Arce Vargas, F.; Zervas, D.; Qing, C.; Henry, J.Y.; Ghorani, E.; Akarca, A.U.; Marafioti, T.; et al. CD25-T(reg)-depleting antibodies preserving IL-2 signaling on effector T cells enhance effector activation and antitumor immunity. Nat. Cancer 2020, 1, 1153–1166. [Google Scholar] [CrossRef]
- Oh, D.S.; Kim, H.; Oh, J.E.; Jung, H.E.; Lee, Y.S.; Park, J.H.; Lee, H.K. Intratumoral depletion of regulatory T cells using CD25-targeted photodynamic therapy in a mouse melanoma model induces antitumoral immune responses. Oncotarget 2017, 8, 47440–47453. [Google Scholar] [CrossRef]
- Onda, M.; Kobayashi, K.; Pastan, I. Depletion of regulatory T cells in tumors with an anti-CD25 immunotoxin induces CD8 T cell-mediated systemic antitumor immunity. Proc. Natl. Acad. Sci. USA 2019, 116, 4575–4582. [Google Scholar] [CrossRef]
- Wang, K.; Shen, T.; Siegal, G.P.; Wei, S. The CD4/CD8 ratio of tumor-infiltrating lymphocytes at the tumor-host interface has prognostic value in triple-negative breast cancer. Hum. Pathol. 2017, 69, 110–117. [Google Scholar] [CrossRef]
- Fattori, S.; Le Roy, A.; Houacine, J.; Robert, L.; Abes, R.; Gorvel, L.; Granjeaud, S.; Rouviere, M.S.; Ben Amara, A.; Boucherit, N.; et al. CD25high Effector Regulatory T Cells Hamper Responses to PD-1 Blockade in Triple-Negative Breast Cancer. Cancer Res. 2023, 83, 3026–3044. [Google Scholar] [CrossRef]
- Riazi Rad, F.; Ajdary, S.; Omranipour, R.; Alimohammadian, M.H.; Hassan, Z.M. Comparative analysis of CD4+ and CD8+ T cells in tumor tissues, lymph nodes and the peripheral blood from patients with breast cancer. Iran. Biomed. J. 2015, 19, 35–44. [Google Scholar] [CrossRef]
- Huang, Y.; Ma, C.; Zhang, Q.; Ye, J.; Wang, F.; Zhang, Y.; Hunborg, P.; Varvares, M.A.; Hoft, D.F.; Hsueh, E.C.; et al. CD4+ and CD8+ T cells have opposing roles in breast cancer progression and outcome. Oncotarget 2015, 6, 17462–17478. [Google Scholar] [CrossRef]
- Subhan, M.A.; Parveen, F.; Filipczak, N.; Yalamarty, S.S.K.; Torchilin, V.P. Approaches to Improve EPR-Based Drug Delivery for Cancer Therapy and Diagnosis. J. Pers. Med. 2023, 13, 389. [Google Scholar] [CrossRef] [PubMed]
- Dent, R.; Trudeau, M.; Pritchard, K.I.; Hanna, W.M.; Kahn, H.K.; Sawka, C.A.; Lickley, L.A.; Rawlinson, E.; Sun, P.; Narod, S.A. Triple-negative breast cancer: Clinical features and patterns of recurrence. Clin. Cancer Res. 2007, 13, 4429–4434. [Google Scholar] [CrossRef] [PubMed]
- Solinas, C.; Carbognin, L.; De Silva, P.; Criscitiello, C.; Lambertini, M. Tumor-infiltrating lymphocytes in breast cancer according to tumor subtype: Current state of the art. Breast 2017, 35, 142–150. [Google Scholar] [CrossRef] [PubMed]
- Loi, S.; Drubay, D.; Adams, S.; Pruneri, G.; Francis, P.A.; Lacroix-Triki, M.; Joensuu, H.; Dieci, M.V.; Badve, S.; Demaria, S.; et al. Tumor-Infiltrating Lymphocytes and Prognosis: A Pooled Individual Patient Analysis of Early-Stage Triple-Negative Breast Cancers. J. Clin. Oncol. 2019, 37, 559–569. [Google Scholar] [CrossRef]
- Loi, S.; Sirtaine, N.; Piette, F.; Salgado, R.; Viale, G.; Van Eenoo, F.; Rouas, G.; Francis, P.; Crown, J.P.; Hitre, E.; et al. Prognostic and predictive value of tumor-infiltrating lymphocytes in a phase III randomized adjuvant breast cancer trial in node-positive breast cancer comparing the addition of docetaxel to doxorubicin with doxorubicin-based chemotherapy: BIG 02-98. J. Clin. Oncol. 2013, 31, 860–867. [Google Scholar] [CrossRef]
- Onkar, S.S.; Carleton, N.M.; Lucas, P.C.; Bruno, T.C.; Lee, A.V.; Vignali, D.A.A.; Oesterreich, S. The Great Immune Escape: Understanding the Divergent Immune Response in Breast Cancer Subtypes. Cancer Discov. 2023, 13, 23–40. [Google Scholar] [CrossRef]
- Naji, O.; Ghouzlani, A.; Rafii, S.; Sadiqi, R.U.; Kone, A.S.; Harmak, Z.; Choukri, K.; Kandoussi, S.; Karkouri, M.; Badou, A. Investigating tumor immunogenicity in breast cancer: Deciphering the tumor immune response to enhance therapeutic approaches. Front. Immunol. 2024, 15, 1399754. [Google Scholar] [CrossRef]
- Dunn, G.P.; Bruce, A.T.; Ikeda, H.; Old, L.J.; Schreiber, R.D. Cancer immunoediting: From immunosurveillance to tumor escape. Nat. Immunol. 2002, 3, 991–998. [Google Scholar] [CrossRef]
- Mahmoud, S.M.; Paish, E.C.; Powe, D.G.; Macmillan, R.D.; Grainge, M.J.; Lee, A.H.; Ellis, I.O.; Green, A.R. Tumor-infiltrating CD8+ lymphocytes predict clinical outcome in breast cancer. J. Clin. Oncol. 2011, 29, 1949–1955. [Google Scholar] [CrossRef]
- Huertas-Caro, C.A.; Ramirez, M.A.; Rey-Vargas, L.; Bejarano-Rivera, L.M.; Ballen, D.F.; Nunez, M.; Mejia, J.C.; Sua-Villegas, L.F.; Cock-Rada, A.; Zabaleta, J.; et al. Tumor infiltrating lymphocytes (TILs) are a prognosis biomarker in Colombian patients with triple negative breast cancer. Sci. Rep. 2023, 13, 21324. [Google Scholar] [CrossRef]
- Ibrahim, E.M.; Al-Foheidi, M.E.; Al-Mansour, M.M.; Kazkaz, G.A. The prognostic value of tumor-infiltrating lymphocytes in triple-negative breast cancer: A meta-analysis. Breast Cancer Res. Treat. 2014, 148, 467–476. [Google Scholar] [CrossRef] [PubMed]
- Jang, N.; Kwon, H.J.; Park, M.H.; Kang, S.H.; Bae, Y.K. Prognostic Value of Tumor-Infiltrating Lymphocyte Density Assessed Using a Standardized Method Based on Molecular Subtypes and Adjuvant Chemotherapy in Invasive Breast Cancer. Ann. Surg. Oncol. 2018, 25, 937–946. [Google Scholar] [CrossRef] [PubMed]
- Castaneda, C.A.; Mittendorf, E.; Casavilca, S.; Wu, Y.; Castillo, M.; Arboleda, P.; Nunez, T.; Guerra, H.; Barrionuevo, C.; Dolores-Cerna, K.; et al. Tumor infiltrating lymphocytes in triple negative breast cancer receiving neoadjuvant chemotherapy. World J. Clin. Oncol. 2016, 7, 387–394. [Google Scholar] [CrossRef] [PubMed]
- Gu-Trantien, C.; Loi, S.; Garaud, S.; Equeter, C.; Libin, M.; de Wind, A.; Ravoet, M.; Le Buanec, H.; Sibille, C.; Manfouo-Foutsop, G.; et al. CD4(+) follicular helper T cell infiltration predicts breast cancer survival. J. Clin. Investig. 2013, 123, 2873–2892. [Google Scholar] [CrossRef]
- Liu, S.; Lachapelle, J.; Leung, S.; Gao, D.; Foulkes, W.D.; Nielsen, T.O. CD8+ lymphocyte infiltration is an independent favorable prognostic indicator in basal-like breast cancer. Breast Cancer Res. 2012, 14, R48. [Google Scholar] [CrossRef]
- Jafarian, A.H.; Tasbandi, A.; Gilan, H.; Sheikhi, M.; Roshan, N.M. Evaluation of CD30/CD4/CD8 in triple-negative invasive ductal carcinoma of breast in association with clinicopathological prognostic factors. Indian J. Pathol. Microbiol. 2018, 61, 500–504. [Google Scholar] [CrossRef]
- Sakaguchi, S.; Mikami, N.; Wing, J.B.; Tanaka, A.; Ichiyama, K.; Ohkura, N. Regulatory T Cells and Human Disease. Annu. Rev. Immunol. 2020, 38, 541–566. [Google Scholar] [CrossRef]
- Kos, K.; de Visser, K.E. The Multifaceted Role of Regulatory T Cells in Breast Cancer. Annu. Rev. Cancer Biol. 2021, 5, 291–310. [Google Scholar] [CrossRef]
- Ghouse, S.M.; Nguyen, H.M.; Bommareddy, P.K.; Guz-Montgomery, K.; Saha, D. Oncolytic Herpes Simplex Virus Encoding IL12 Controls Triple-Negative Breast Cancer Growth and Metastasis. Front. Oncol. 2020, 10, 384. [Google Scholar] [CrossRef]
- Mercogliano, M.F.; Bruni, S.; Mauro, F.; Elizalde, P.V.; Schillaci, R. Harnessing Tumor Necrosis Factor Alpha to Achieve Effective Cancer Immunotherapy. Cancers 2021, 13, 564. [Google Scholar] [CrossRef]
- Santa-Maria, C.A.; Kato, T.; Park, J.H.; Kiyotani, K.; Rademaker, A.; Shah, A.N.; Gross, L.; Blanco, L.Z.; Jain, S.; Flaum, L.; et al. A pilot study of durvalumab and tremelimumab and immunogenomic dynamics in metastatic breast cancer. Oncotarget 2018, 9, 18985–18996. [Google Scholar] [CrossRef] [PubMed]
- Wu, S.Z.; Roden, D.L.; Wang, C.; Holliday, H.; Harvey, K.; Cazet, A.S.; Murphy, K.J.; Pereira, B.; Al-Eryani, G.; Bartonicek, N.; et al. Stromal cell diversity associated with immune evasion in human triple-negative breast cancer. EMBO J. 2020, 39, e104063. [Google Scholar] [CrossRef] [PubMed]
- Dobbins, G.C.; Ugai, H.; Curiel, D.T.; Gillespie, G.Y. A Multi Targeting Conditionally Replicating Adenovirus Displays Enhanced Oncolysis while Maintaining Expression of Immunotherapeutic Agents. PLoS ONE 2015, 10, e0145272. [Google Scholar] [CrossRef] [PubMed]







| Groups | 1 | 2 | 3 | 4 | 5 | 6 |
|---|---|---|---|---|---|---|
| Agents | MBs | OVs | OVs | Pembrolizumab | OVs/MBs | OVs/MBs + Pembrolizumab |
| Route | IV | IT | IV | IP | IV | IV/IP |
| US (right flank) | YES | NO | NO | NO | YES | YES |
| Dates | Average MBs/mL | +/−SE | MBs (Total in 2.3 mL) | MBs/100 µL/Mouse |
|---|---|---|---|---|
| Dec.06.2022 | 4.85 × 108 | 2.50 × 107 | 1.12 × 109 | 4.85 × 107 |
| Dec.14.2022 | 9.10 × 108 | 5.00 × 107 | 2.09 × 109 | 9.10 × 107 |
| Dec.19.2022 | 3.56 × 109 | 3.38 × 108 | 8.19 × 109 | 3.56 × 108 |
| Dates | Average PFU/mL | +/−SE | PFUs (Total in 2.3 mL) | PFU/100 µL/Mouse |
|---|---|---|---|---|
| Dec.06.2022 | 9.80 × 105 | 1.10 × 105 | 2.25 × 106 | 9.80 × 104 |
| Dec.14.2022 | 9.80 × 105 | 1.10 × 105 | 2.25 × 106 | 9.80 × 104 |
| Dec.19.2022 | 1.09 × 109 | 1.10 × 108 | 2.51 × 109 | 1.09 × 108 |
| Groups | Injection Route | Average Tumor Size/Tumor Necrosis Ratio (Right Flank) | SE | Average Tumor Size/Tumor Necrosis Ratio (Left Flank) | SE |
|---|---|---|---|---|---|
| 1. MBs | IV | 4.30 | 1.05 | 4.09 | 1.11 |
| 2. OVs | IT | 5.72 | 0.85 | 4.85 | 0.94 |
| 3. OVs | IV | 2.91 | 0.11 | 4.94 | 0.89 |
| 4. Pembro | IP | 4.52 | 1.13 | 5.20 | 1.32 |
| 5. MBs/OVs | IV | 2.32 | 0.30 | 2.49 | 0.34 |
| 6. MBs/OVs + Pembro | IV | 1.78 | 0.27 | 2.91 | 0.17 |
| Treated Tumors Right Flank | OV (IT) | OV (IV) | Pembro (IP) | MB/OV/US (IV) | MB/OV/US (IV) + Pembro (IP) |
|---|---|---|---|---|---|
| MB (IV) | 0.155 (ns) | 0.131 (ns) | 0.445 (ns) | 0.05 | 0.031 (* p < 0.05) |
| OV (IT) | 0.010 (* p < 0.05) | 0.213 (ns) | 0.002 (* p < 0.05) | 0.001 (* p < 0.05) | |
| OV (IV) | 0.147 (ns) | 0.063 (ns) | 0.002 (* p < 0.05) | ||
| Pembro (IP) | 0.064 (ns) | 0.045 (* p < 0.05) | |||
| MB/OV/US (IV) | 0.113 (ns) |
| Untreated Tumors Left Flank | OV (IT) | OV (IV) | Pembro (IP) | MB/OV (IV) | MB/OV (IV) + Pembro (IP) |
|---|---|---|---|---|---|
| MB (IV) | 0.303 (ns) | 0.287 (ns) | 0.276 (ns) | 0.100 (ns) | 0.183 (ns) |
| OV (IT) | 0.474 (ns) | 0.420 (ns) | 0.024 (* p < 0.05) | 0.05 | |
| OV (IV) | 0.445 (ns) | 0.011 (* p < 0.05) | 0.027 (* p < 0.05) | ||
| Pembro (IP) | 0.055 (ns) | 0.103 (ns) | |||
| MB/OV/US (IV) | 0.172 (ns) |
| Treated Tumors Right Flank | OV (IT) | OV (IV) | Pembro (IP) | MB/OV/US (IV) | MB/OV/US (IV) + Pembro (IP) |
|---|---|---|---|---|---|
| MB (IV) | ** < 0.01 (2.76–1.21) | * < 0.05 (−1.65–0.02) | 0.899 (ns) | <0.01 (2.55–0.94) | ** < 0.01 (3.25–1.57) |
| OV (IT) | ** < 0.01 (0.35–1.98) | ** < 0.01 (1.03–2.47) | 0.899 (ns) | 0.551 (ns) | |
| OV (IV) | 0.202 (ns) | * < 0.05 (0.09–1.77) | ** < 0.01 (0.72–2.47) | ||
| Pembro (IP) | ** < 0.01 (0.77–2.27) | ** < 0.01 (1.39–2.98) | |||
| MB/OV/US (IV) | 0.149 (ns) |
| Treated Tumors Right Flank | OV (IT) | OV (IV) | Pembro (IP) | MB/OV/US (IV) | MB/OV/US (IV) + Pembro (IP) |
|---|---|---|---|---|---|
| MB (IV) | ** < 0.01 (1.63–0.05) | 0.536 (ns) | 0.899 (ns) | ** < 0.01 (3.68–1.64) | ** < 0.01 (4.83–2.69) |
| OV (IT) | 0.093 (ns) | ** < 0.01 (0.84–2.72) | ** < 0.01 (0.23–2.19) | ** < 0.01 (1.28–3.34) | |
| OV (IV) | 0.110 (ns) | ** < 0.01 (1.03–3.16) | ** < 0.01 (2.08–4.31) | ||
| Pembro (IP) | ** < 0.01 (2.01–3.98) | ** < 0.01 (3.06–5.13) | |||
| MB/OV/US (IV) | * < 0.05 |
| Untreated Tumors Left Flank | OV (IT) | OV (IV) | Pembro (IP) | MB/OV/US (IV) | MB/OV/US (IV) + Pembro (IP) |
|---|---|---|---|---|---|
| MB (IV) | 0.899 (ns) | 0.391 (ns) | 0.899 (ns) | ** < 0.01 (1.77–0.22) | ** < 0.01 (2.11–0.48) |
| OV (IT) | 0.678 (ns) | 0.899 (ns) | * < 0.05 (0.10–1.60) | ** < 0.01 (0.37–1.94) | |
| OV (IV) | 0.615 (ns) | 0.391 (ns) | 0.054 (ns) | ||
| Pembro (IP) | ** < 0.01 (0.14–1.60) | ** < 0.01 (0.40–1.94) | |||
| MB/OV/US (IV) | 0.827 (ns) |
| Groups | Route | CD4+/CD8+ Ratio Right Flank Tumor | SD | CD4+/CD8+ Ratio Left Flank Tumor | SD | CD8+/CD25+ Ratio Right Flank Tumor | SD | CD8+/CD25+ Ratio Left Flank Tumor | SD |
|---|---|---|---|---|---|---|---|---|---|
| 1. MBs | IV | 0 | - | 0 | - | 0 | - | 0 | - |
| 2. OVs | IT | 1.16 | 0.33 | 0.75 | 0.50 | 0.56 | 0.13 | 0.39 | 0.19 |
| 3. OVs | IV | 1.00 | 0.00 | 0.80 | 0.27 | 1.87 | 1.54 | 1.66 | 0.57 |
| 4. Pembro | IP | 1.12 | 0.83 | 0.62 | 0.50 | 0.47 | 0.13 | 0.56 | 0.32 |
| 5. MBs/OVs | IV | 0.69 | 0.18 | 0.66 | 0.25 | 3.5 | 0.70 | 4.00 | 0.00 |
| 6. MBs/OVs + Pembro | IV | 0.66 | 0.08 | 0.60 | 0.22 | 4.66 | 0.57 | 3.50 | 1.0 |
| Treated Tumors Right Flank | OV (IT) | OV (IV) | Pembro (IP) | MB/OV/US (IV) | MB/OV/US (IV) + Pembro (IP) |
|---|---|---|---|---|---|
| MB (IV) | 0.899 (ns) | * < 0.05 (2.66–0.08) | 0.899 (ns) | ** < 0.01 (4.63–1.36) | ** < 0.01 (5.58–2.74) |
| OV (IT) | * < 0.05 (2.56–0.04) | 0.785 (ns) | ** < 0.01 (1.32–4.53) | ** < 0.01 (2.71–5.48) | |
| OV (IV) | ** < 0.01 (0.47–2.93) | 0.054 (ns) | ** < 0.01 (1.26–4.32) | ||
| Pembro (IP) | ** < 0.01 (1.74–4.91) | ** < 0.01 (3.13–5.85) | |||
| MB/OV/US (IV) | 0.331 (ns) |
Disclaimer/Publisher’s Note: The statements, opinions and data contained in all publications are solely those of the individual author(s) and contributor(s) and not of MDPI and/or the editor(s). MDPI and/or the editor(s) disclaim responsibility for any injury to people or property resulting from any ideas, methods, instructions or products referred to in the content. |
© 2024 by the authors. Licensee MDPI, Basel, Switzerland. This article is an open access article distributed under the terms and conditions of the Creative Commons Attribution (CC BY) license (https://creativecommons.org/licenses/by/4.0/).
Share and Cite
Sitta, J.; De Carlo, F.; Kirven, I.; Tackett, J.H.; Penfornis, P.; Dobbins, G.C.; Barbier, M.; Del Valle, L.; Larsen, C.T.; Schutt, E.G.; et al. Microbubble-Protected Oncolytic Virotherapy Targeted by Sonoporation Induces Tumor Necrosis and T-Lymphocyte Infiltration in Humanized Mice Bearing Triple-Negative Breast Cancer. Int. J. Mol. Sci. 2024, 25, 13697. https://doi.org/10.3390/ijms252413697
Sitta J, De Carlo F, Kirven I, Tackett JH, Penfornis P, Dobbins GC, Barbier M, Del Valle L, Larsen CT, Schutt EG, et al. Microbubble-Protected Oncolytic Virotherapy Targeted by Sonoporation Induces Tumor Necrosis and T-Lymphocyte Infiltration in Humanized Mice Bearing Triple-Negative Breast Cancer. International Journal of Molecular Sciences. 2024; 25(24):13697. https://doi.org/10.3390/ijms252413697
Chicago/Turabian StyleSitta, Juliana, Flavia De Carlo, Imani Kirven, John H. Tackett, Patrice Penfornis, George Clement Dobbins, Mallory Barbier, Luis Del Valle, Clayton T. Larsen, Ernest G. Schutt, and et al. 2024. "Microbubble-Protected Oncolytic Virotherapy Targeted by Sonoporation Induces Tumor Necrosis and T-Lymphocyte Infiltration in Humanized Mice Bearing Triple-Negative Breast Cancer" International Journal of Molecular Sciences 25, no. 24: 13697. https://doi.org/10.3390/ijms252413697
APA StyleSitta, J., De Carlo, F., Kirven, I., Tackett, J. H., Penfornis, P., Dobbins, G. C., Barbier, M., Del Valle, L., Larsen, C. T., Schutt, E. G., Li, R., Howard, C. M., & Claudio, P. P. (2024). Microbubble-Protected Oncolytic Virotherapy Targeted by Sonoporation Induces Tumor Necrosis and T-Lymphocyte Infiltration in Humanized Mice Bearing Triple-Negative Breast Cancer. International Journal of Molecular Sciences, 25(24), 13697. https://doi.org/10.3390/ijms252413697

