Sulforaphane and Benzyl Isothiocyanate Suppress Cell Proliferation and Trigger Cell Cycle Arrest, Autophagy, and Apoptosis in Human AML Cell Line
Abstract
1. Introduction
2. Results
2.1. Effects of SFN and BITC on Cell Viability at Different Concentrations
2.2. Apoptosis Induced by SFN and BITC Treatment in SKM-1 and SKM/VCR Cells
2.3. SFN and BITC Treatment Induced Conversion of Autophagy Markers LC3-I to LC3-II
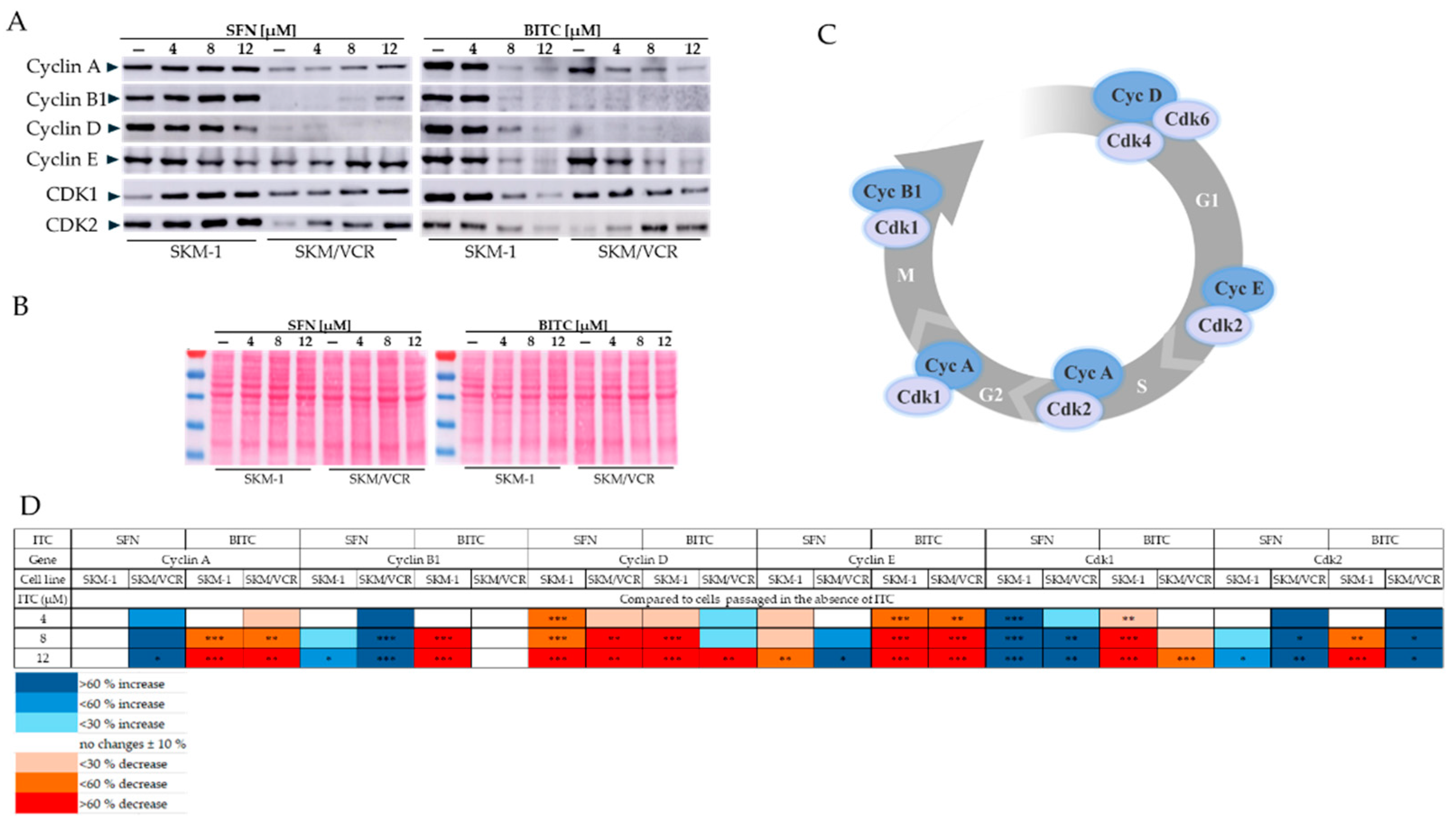
2.4. Cell Cycle Alterations Induced by SFN and BITC in SKM-1 and SKM/VCR Cells
3. Discussion
4. Materials and Methods
4.1. Chemicals
4.2. Cell Culture and Culture Conditions
4.3. Determination of the Number and Viability of Cells
4.4. Cell Viability Using an MTS Assay and Determination of IC50 Values
4.5. Cell Apoptosis Assay
4.6. Cell Cycle Analysis
4.7. Western Blotting
4.8. Ponceau S Staining
4.9. Statistical Analysis
5. Conclusions
Supplementary Materials
Author Contributions
Funding
Institutional Review Board Statement
Informed Consent Statement
Data Availability Statement
Acknowledgments
Conflicts of Interest
References
- Shallis, R.M.; Wang, R.; Davidoff, A.; Ma, X.; Zeidan, A.M. Epidemiology of Acute Myeloid Leukemia: Recent Progress and Enduring Challenges. Blood Rev. 2019, 36, 70–87. [Google Scholar] [CrossRef]
- Medeiros, B.C.; Chan, S.M.; Daver, N.G.; Jonas, B.A.; Pollyea, D.A. Optimizing Survival Outcomes with Post-Remission Therapy in Acute Myeloid Leukemia. Am. J. Hematol. 2019, 94, 803–811. [Google Scholar] [CrossRef] [PubMed]
- Cortes, J.E.; Heidel, F.H.; Hellmann, A.; Fiedler, W.; Smith, B.D.; Robak, T.; Montesinos, P.; Pollyea, D.A.; DesJardins, P.; Ottmann, O.; et al. Randomized Comparison of Low Dose Cytarabine with or without Glasdegib in Patients with Newly Diagnosed Acute Myeloid Leukemia or High-Risk Myelodysplastic Syndrome. Leukemia 2019, 33, 379–389. [Google Scholar] [CrossRef]
- Pelcovits, A.; Niroula, R. Acute Myeloid Leukemia: A Review. Rhode Isl. Med. J. (2013) 2020, 103, 38–40. [Google Scholar]
- Simonicova, K.; Imrichova, D.; Husieva, V.; Vergara, A.Y.; Breier, A.; Messingerova, L. The Role of Enhanced Drug Efflux in Drug Resistance. In Resistance in Hematologic Malignancies and Cancer; Academic Press: Cambridge, MA, USA, 2024; pp. 77–104. [Google Scholar] [CrossRef]
- Borowski, E.; Bontemps-Gracz, M.M.; Piwkowska, A. Strategies for Overcoming ABC-Transporters-Mediated Multidrug Resistance (MDR) of Tumor Cells. Acta Biochim. Pol. 2005, 52, 609–627. [Google Scholar] [CrossRef]
- Shaffer, B.C.; Gillet, J.P.; Patel, C.; Baer, M.R.; Bates, S.E.; Gottesman, M.M. Drug Resistance: Still a Daunting Challenge to the Successful Treatment of AML. Drug Resist. Updates 2012, 15, 62–69. [Google Scholar] [CrossRef]
- Huls, M.; Russel, F.G.M.; Masereeuw, R. The Role of ATP Binding Cassette Transporters in Tissue Defense and Organ Regeneration. J. Pharmacol. Exp. Ther. 2009, 328, 3–9. [Google Scholar] [CrossRef] [PubMed]
- Drobnica, L.; Kristián, P.; Augustín, J. The Chemistry of the—NCS Group. Chem. Cyanates Their Thio Deriv. 2010, 2, 1003–1221. [Google Scholar] [CrossRef]
- Olayanju, J.B.; Bozic, D.; Naidoo, U.; Sadik, O.A. A Comparative Review of Key Isothiocyanates and Their Health Benefits. Nutrients 2024, 16, 757. [Google Scholar] [CrossRef] [PubMed]
- Fahey, J.W.; Stephenson, K.K.; Talalay, P. Glucosinolates, Myrosinase, and Isothiocyanates: Three Reasons for Eating Brassica Vegetables. ACS Symp. Ser. 1998, 701, 16–22. [Google Scholar] [CrossRef]
- “Lysine Is the Lord”, Thought Some Scientists in Regard to the Group Interacting with Fluorescein Isothiocyanate in ATP-Binding Sites of P-Type ATPases but, Is It Not Cysteine?—PubMed. Available online: https://pubmed.ncbi.nlm.nih.gov/11316056/ (accessed on 16 October 2024).
- Kontar, S.; Imrichova, D.; Bertova, A.; MacKova, K.; Poturnayova, A.; Sulova, Z.; Breier, A. Cell Death Effects Induced by Sulforaphane and Allyl Isothiocyanate on P-Glycoprotein Positive and Negative Variants in L1210 Cells. Molecules 2020, 25, 2093. [Google Scholar] [CrossRef] [PubMed]
- Gupta, P.; Kim, B.; Kim, S.H.; Srivastava, S.K. Molecular Targets of Isothiocyanates in Cancer: Recent Advances. Mol. Nutr. Food Res. 2014, 58, 1685–1707. [Google Scholar] [CrossRef]
- Fimognari, C.; Hrelia, P. Sulforaphane as a Promising Molecule for Fighting Cancer. Mutat. Res. 2007, 635, 90–104. [Google Scholar] [CrossRef]
- Giménez-Xavier, P.; Francisco, R.; Platini, F.; Pérez, R.; Ambrosio, S. LC3-I Conversion to LC3-II Does Not Necessarily Result in Complete Autophagy. Int. J. Mol. Med. 2008, 22, 781–785. [Google Scholar] [CrossRef] [PubMed]
- Núñez-Sánchez, M.Á.; Martínez-Sánchez, M.A.; Verdejo-Sánchez, M.; García-Ibáñez, P.; Oliva Bolarín, A.; Ramos-Molina, B.; Moreno, D.A.; Ruiz-Alcaraz, A.J. Anti-Leukemic Activity of Brassica-Derived Bioactive Compounds in HL-60 Myeloid Leukemia Cells. Int. J. Mol. Sci. 2022, 23, 13400. [Google Scholar] [CrossRef]
- Lenzi, M.; Cocchi, V.; Malaguti, M.; Barbalace, M.C.; Marchionni, S.; Hrelia, S.; Hrelia, P.; Lenzi, M.; Cocchi, V.; Malaguti, M.; et al. 6-(Methylsulfonyl) Hexyl Isothiocyanate as Potential Chemopreventive Agent: Molecular and Cellular Profile in Leukaemia Cell Lines. Oncotarget 2017, 8, 111697–111714. [Google Scholar] [CrossRef] [PubMed]
- Huang, S.H.; Hsu, M.H.; Hsu, S.C.; Yang, J.S.; Huang, W.W.; Huang, A.C.; Hsiao, Y.P.; Yu, C.C.; Chung, J.G. Phenethyl Isothiocyanate Triggers Apoptosis in Human Malignant Melanoma A375.S2 Cells through Reactive Oxygen Species and the Mitochondria-Dependent Pathways. Hum. Exp. Toxicol. 2014, 33, 270–283. [Google Scholar] [CrossRef] [PubMed]
- Fofaria, N.M.; Ranjan, A.; Kim, S.H.; Srivastava, S.K. Mechanisms of the Anticancer Effects of Isothiocyanates. Enzymes 2015, 37, 111–137. [Google Scholar] [CrossRef] [PubMed]
- Soundararajan, P.; Kim, J.S. Anti-Carcinogenic Glucosinolates in Cruciferous Vegetables and Their Antagonistic Effects on Prevention of Cancers. Molecules 2018, 23, 2983. [Google Scholar] [CrossRef] [PubMed]
- Zhou, T.; Li, G.; Cao, B.; Liu, L.; Cheng, Q.; Kong, H.; Shan, C.; Huang, X.; Chen, J.; Gao, N. Downregulation of Mcl-1 through Inhibition of Translation Contributes to Benzyl Isothiocyanate-Induced Cell Cycle Arrest and Apoptosis in Human Leukemia Cells. Cell Death Dis. 2013, 4, e515. [Google Scholar] [CrossRef] [PubMed]
- Suppipat, K.; Park, C.S.; Shen, Y.; Zhu, X.; Lacorazza, H.D. Sulforaphane Induces Cell Cycle Arrest and Apoptosis in Acute Lymphoblastic Leukemia Cells. PLoS ONE 2012, 7, 51251. [Google Scholar] [CrossRef]
- Rai, Y.; Pathak, R.; Kumari, N.; Sah, D.K.; Pandey, S.; Kalra, N.; Soni, R.; Dwarakanath, B.S.; Bhatt, A.N. Mitochondrial Biogenesis and Metabolic Hyperactivation Limits the Application of MTT Assay in the Estimation of Radiation Induced Growth Inhibition. Sci. Rep. 2018, 8, 1531. [Google Scholar] [CrossRef] [PubMed]
- Calabrese, E.J.; Kozumbo, W.J. The Phytoprotective Agent Sulforaphane Prevents Inflammatory Degenerative Diseases and Age-Related Pathologies via Nrf2-Mediated Hormesis. Pharmacol. Res. 2021, 163, 105283. [Google Scholar] [CrossRef] [PubMed]
- Calabrese, E.J.; Dhawan, G.; Kapoor, R.; Agathokleous, E.; Calabrese, V. Hormesis: Wound Healing and Keratinocytes. Pharmacol. Res. 2022, 183, 106393. [Google Scholar] [CrossRef] [PubMed]
- Shang, H.S.; Shih, Y.L.; Lee, C.H.; Hsueh, S.C.; Liu, J.Y.; Liao, N.C.; Chen, Y.L.; Huang, Y.P.; Lu, H.F.; Chung, J.G. Sulforaphane-Induced Apoptosis in Human Leukemia HL-60 Cells through Extrinsic and Intrinsic Signal Pathways and Altering Associated Genes Expression Assayed by CDNA Microarray. Environ. Toxicol. 2017, 32, 311–328. [Google Scholar] [CrossRef]
- Tsou, M.F.; Peng, C.T.; Shih, M.C.; Yang, J.S.; Lu, C.C.; Chiang, J.H.; Wu, C.L.; Lin, J.P.; Lo, C.; Fan, M.J.; et al. Benzyl Isothiocyanate Inhibits Murine WEHI-3 Leukemia Cells in Vitro and Promotes Phagocytosis in BALB/c Mice in Vivo. Leuk. Res. 2009, 33, 1505–1511. [Google Scholar] [CrossRef]
- Bertova, A.; Kontar, S.; Polozsanyi, Z.; Simkovic, M.; Rosenbergova, Z.; Rebros, M.; Sulova, Z.; Breier, A.; Imrichova, D. Effects of Sulforaphane-Induced Cell Death upon Repeated Passage of Either P-Glycoprotein-Negative or P-Glycoprotein-Positive L1210 Cell Variants. Int. J. Mol. Sci. 2022, 23, 10818. [Google Scholar] [CrossRef]
- Herman-Antosiewicz, A.; Johnson, D.E.; Singh, S.V. Sulforaphane Causes Autophagy to Inhibit Release of Cytochrome C and Apoptosis in Human Prostate Cancer Cells. Cancer Res. 2006, 66, 5828–5835. [Google Scholar] [CrossRef] [PubMed]
- Lin, J.F.; Tsai, T.F.; Liao, P.C.; Lin, Y.H.; Lin, Y.C.; Chen, H.E.; Chou, K.Y.; Hwang, T.I.S. Benzyl Isothiocyanate Induces Protective Autophagy in Human Prostate Cancer Cells via Inhibition of MTOR Signaling. Carcinogenesis 2013, 34, 406–414. [Google Scholar] [CrossRef] [PubMed]
- Lu, Z.; Ren, Y.; Yang, L.; Jia, A.; Hu, Y.; Zhao, Y.; Zhao, W.; Yu, B.; Zhao, W.; Zhang, J.; et al. Inhibiting Autophagy Enhances Sulforaphane-Induced Apoptosis via Targeting NRF2 in Esophageal Squamous Cell Carcinoma. Acta Pharm. Sin. B 2021, 11, 1246–1260. [Google Scholar] [CrossRef] [PubMed]
- Kanematsu, S.; Uehara, N.; Miki, H.; Yoshizawa, K.; Kawanaka, A.; Yuri, T.; Tsubura, A. Autophagy Inhibition Enhances Sulforaphane-Induced Apoptosis in Human Breast Cancer Cells. Anticancer. Res. 2010, 30, 3381–3390. [Google Scholar]
- Racay, P. Switching between Autophagy and Apoptosis Prosurvival and Prodeath Balance in Leukemia Cells. In Resistance in Hematologic Malignancies and Cancer; Academic Press: Cambridge, MA, USA, 2025; pp. 139–163. [Google Scholar] [CrossRef]
- Wang, H.; Wang, L.; Cao, L.; Zhang, Q.; Song, Q.; Meng, Z.; Wu, X.; Xu, K. Inhibition of Autophagy Potentiates the Anti-Metastasis Effect of Phenethyl Isothiocyanate through JAK2/STAT3 Pathway in Lung Cancer Cells. Mol. Carcinog. 2018, 57, 522–535. [Google Scholar] [CrossRef] [PubMed]
- Zhang, Q.C.; Pan, Z.H.; Liu, B.N.; Meng, Z.W.; Wu, X.; Zhou, Q.H.; Xu, K. Benzyl Isothiocyanate Induces Protective Autophagy in Human Lung Cancer Cells through an Endoplasmic Reticulum Stress-Mediated Mechanism. Acta Pharmacol. Sin. 2017, 38, 539–550. [Google Scholar] [CrossRef] [PubMed]
- Kondo, Y.; Kanzawa, T.; Sawaya, R.; Kondo, S. The Role of Autophagy in Cancer Development and Response to Therapy. Nat. Rev. Cancer 2005, 5, 726–734. [Google Scholar] [CrossRef] [PubMed]
- Hu, K.; Morris, M.E. Effects of Benzyl-, Phenethyl-, and Alpha-Naphthyl Isothiocyanates on P-Glycoprotein- and MRP1-Mediated Transport. J. Pharm. Sci. 2004, 93, 1901–1911. [Google Scholar] [CrossRef]
- Bommareddy, A.; Hahm, E.R.; Xiao, D.; Powolny, A.A.; Fisher, A.L.; Jiang, Y.; Singh, S.V. Atg5 Regulates Phenethyl Isothiocyanate-Induced Autophagic and Apoptotic Cell Death in Human Prostate Cancer Cells. Cancer Res. 2009, 69, 3704. [Google Scholar] [CrossRef] [PubMed]
- Mantso, T.; Anestopoulos, I.; Lamprianidou, E.; Kotsianidis, I.; Pappa, A.; Panayiotidis, M.I. Isothiocyanate-Induced Cell Cycle Arrest in a Novel In Vitro Exposure Protocol of Human Malignant Melanoma (A375) Cells. Anticancer. Res. 2019, 39, 591–596. [Google Scholar] [CrossRef] [PubMed]
- Krishnan, M.; Saraswathy, S.; Singh, S.; Saggu, G.K.; Kalra, N.; Agrawala, P.K.; Abraham, K.M.; Das Toora, B. Sulforaphane Inhibits Histone Deacetylase Causing Cell Cycle Arrest and Apoptosis in Oral Squamous Carcinoma Cells. Med. J. Armed Forces India 2024, 80, 412–419. [Google Scholar] [CrossRef] [PubMed]
- Xie, H.; Rutz, J.; Maxeiner, S.; Grein, T.; Thomas, A.; Juengel, E.; Chun, F.K.H.; Cinatl, J.; Haferkamp, A.; Tsaur, I.; et al. Plant-Derived Sulforaphane Suppresses Growth and Proliferation of Drug-Sensitive and Drug-Resistant Bladder Cancer Cell Lines In Vitro. Cancers 2022, 14, 4682. [Google Scholar] [CrossRef] [PubMed]
- Rutz, J.; Thaler, S.; Maxeiner, S.; Chun, F.K.H.; Blaheta, R.A. Sulforaphane Reduces Prostate Cancer Cell Growth and Proliferation In Vitro by Modulating the Cdk-Cyclin Axis and Expression of the CD44 Variants 4, 5, and 7. Int. J. Mol. Sci. 2020, 21, 8724. [Google Scholar] [CrossRef]
- Imrichova, D.; Messingerova, L.; Seres, M.; Kavcova, H.; Pavlikova, L.; Coculova, M.; Breier, A.; Sulova, Z. Selection of Resistant Acute Myeloid Leukemia SKM-1 and MOLM-13 Cells by Vincristine-, Mitoxantrone- and Lenalidomide-Induced Upregulation of P-Glycoprotein Activity and Downregulation of CD33 Cell Surface Exposure. Eur. J. Pharm. Sci. 2015, 77, 29–39. [Google Scholar] [CrossRef]
- Laemmli, U.K. Cleavage of Structural Proteins during the Assembly of the Head of Bacteriophage T4. Nature 1970, 227, 680–685. [Google Scholar] [CrossRef] [PubMed]







Disclaimer/Publisher’s Note: The statements, opinions and data contained in all publications are solely those of the individual author(s) and contributor(s) and not of MDPI and/or the editor(s). MDPI and/or the editor(s) disclaim responsibility for any injury to people or property resulting from any ideas, methods, instructions or products referred to in the content. |
© 2024 by the authors. Licensee MDPI, Basel, Switzerland. This article is an open access article distributed under the terms and conditions of the Creative Commons Attribution (CC BY) license (https://creativecommons.org/licenses/by/4.0/).
Share and Cite
Bertova, A.; Kontar, S.; Ksinanova, M.; Vergara, A.Y.; Sulova, Z.; Breier, A.; Imrichova, D. Sulforaphane and Benzyl Isothiocyanate Suppress Cell Proliferation and Trigger Cell Cycle Arrest, Autophagy, and Apoptosis in Human AML Cell Line. Int. J. Mol. Sci. 2024, 25, 13511. https://doi.org/10.3390/ijms252413511
Bertova A, Kontar S, Ksinanova M, Vergara AY, Sulova Z, Breier A, Imrichova D. Sulforaphane and Benzyl Isothiocyanate Suppress Cell Proliferation and Trigger Cell Cycle Arrest, Autophagy, and Apoptosis in Human AML Cell Line. International Journal of Molecular Sciences. 2024; 25(24):13511. https://doi.org/10.3390/ijms252413511
Chicago/Turabian StyleBertova, Anna, Szilvia Kontar, Martina Ksinanova, Alberto Yoldi Vergara, Zdena Sulova, Albert Breier, and Denisa Imrichova. 2024. "Sulforaphane and Benzyl Isothiocyanate Suppress Cell Proliferation and Trigger Cell Cycle Arrest, Autophagy, and Apoptosis in Human AML Cell Line" International Journal of Molecular Sciences 25, no. 24: 13511. https://doi.org/10.3390/ijms252413511
APA StyleBertova, A., Kontar, S., Ksinanova, M., Vergara, A. Y., Sulova, Z., Breier, A., & Imrichova, D. (2024). Sulforaphane and Benzyl Isothiocyanate Suppress Cell Proliferation and Trigger Cell Cycle Arrest, Autophagy, and Apoptosis in Human AML Cell Line. International Journal of Molecular Sciences, 25(24), 13511. https://doi.org/10.3390/ijms252413511

