Secondary Brain Injury After Parenchymal Cerebral Hemorrhage in Humans: The Role of NOX2-Mediated Oxidative Stress and Endothelin-1
Abstract
1. Introduction
2. Results
2.1. Patients’ Characteristics
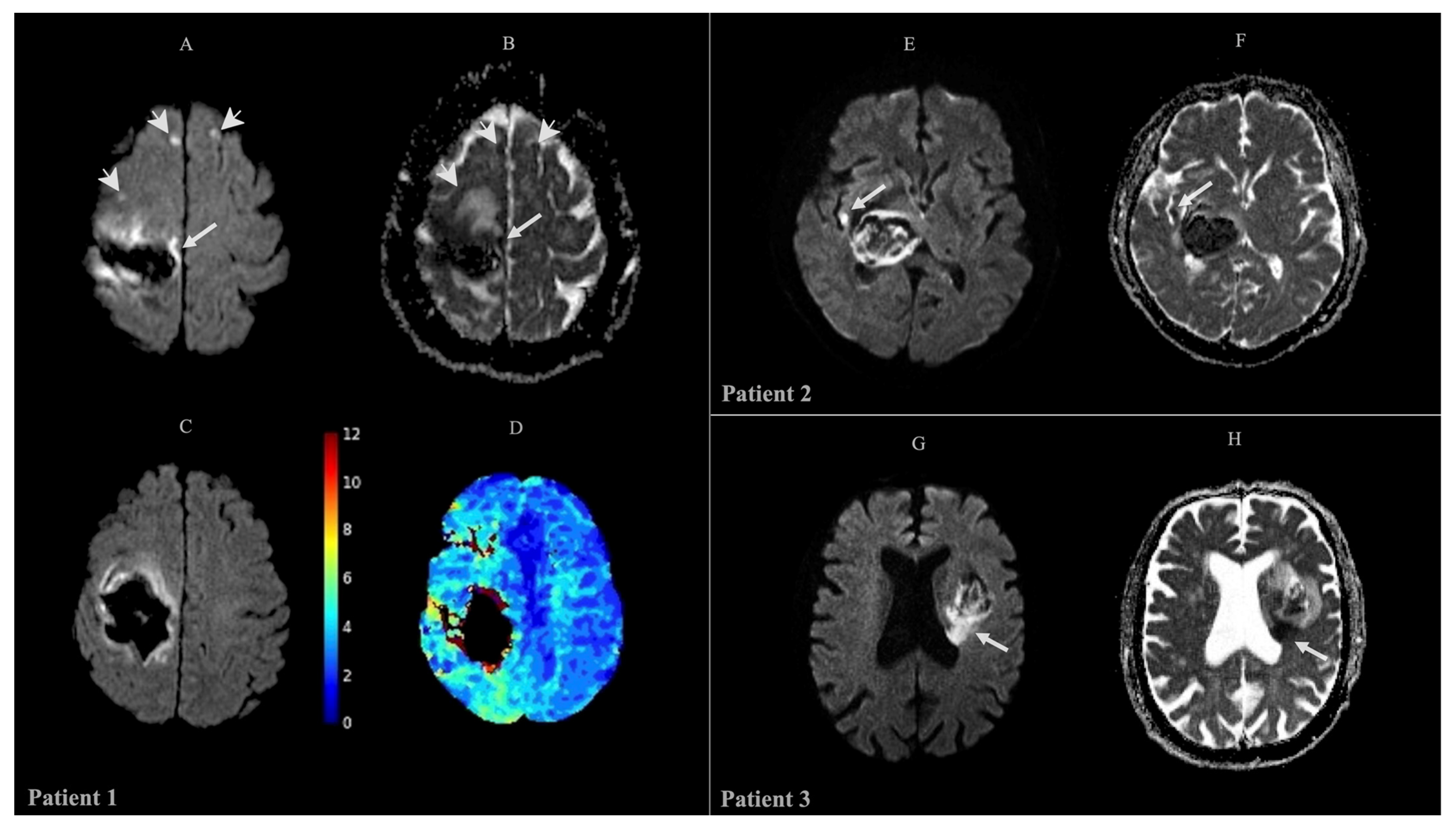
2.2. Radiological Features
2.3. Clinical Outcomes
2.4. Serum Biomarkers
2.5. Association Between Serum Biomarkers and Radiological Characteristics of Hematoma and Clinical Outcome
3. Materials and Methods
3.1. Patients
3.2. Laboratory Data
3.3. sNOX2-dp, ADMA, and ET-1
3.4. Nitric Oxide (NO) Assay
3.5. Radiological Data
3.6. Statistical Analysis
4. Discussion
Supplementary Materials
Author Contributions
Funding
Institutional Review Board Statement
Informed Consent Statement
Data Availability Statement
Conflicts of Interest
References
- GBD 2019 Stroke Collaborators. Global, regional, and national burden of stroke and its risk factors, 1990–2019: A systematic analysis for the Global Burden of Disease Study 2019. Lancet Neurol. 2021, 20, 795–820. [Google Scholar] [CrossRef] [PubMed]
- Flaherty, M.L.; Haverbusch, M.; Sekar, P.; Kissela, B.; Kleindorfer, D.; Moomaw, C.J.; Sauerbeck, L.; Schneider, A.; Broderick, J.P.; Woo, D. Long-term mortality after intracerebral hemorrhage. Neurology 2006, 66, 1182–1186. [Google Scholar] [CrossRef] [PubMed]
- Jolink, W.M.T.; Klijn, C.J.M.; Brouwers, P.J.A.M.; Kappelle, L.J.; Vaartjes, I. Time trends in incidence, case fatality, and mortality of intracerebral hemorrhage. Neurology 2015, 85, 1318–1324. [Google Scholar] [CrossRef] [PubMed]
- Zahuranec, D.B.; Lisabeth, L.D.; Sánchez, B.N.; Smith, M.A.; Brown, D.L.; Garcia, N.M.; Skolarus, L.E.; Meurer, W.J.; Burke, J.F.; Adelman, E.E.; et al. Intracerebral hemorrhage mortality is not changing despite declining incidence. Neurology 2014, 82, 2180–2186. [Google Scholar] [CrossRef]
- Bautista, W.; Adelson, P.D.; Bicher, N.; Themistocleous, M.; Tsivgoulis, G.; Chang, J.J. Secondary mechanisms of injury and viable pathophysiological targets in intracerebral hemorrhage. Ther. Adv. Neurol. Disord. 2021, 14, 17562864211049208. [Google Scholar] [CrossRef]
- Fainardi, E.; Borrelli, M.; Saletti, A.; Schivalocchi, R.; Azzini, C.; Cavallo, M.; Ceruti, S.; Tamarozzi, R.; Chieregato, A. CT perfusion mapping of hemodynamic disturbances associated to acute spontaneous intracerebral hemorrhage. Neuroradiology 2008, 50, 729–740. [Google Scholar] [CrossRef] [PubMed]
- Wilkinson, D.A.; Pandey, A.S.; Thompson, B.G.; Keep, R.F.; Hua, Y.; Xi, G. Injury mechanisms in acute intracerebral hemorrhage. Neuropharmacology 2018, 134 Pt B, 240–248. [Google Scholar] [CrossRef]
- Yang, J.; Jing, J.; Chen, S.; Liu, X.; Tang, Y.; Pan, C.; Tang, Z. Changes in Cerebral Blood Flow and Diffusion-Weighted Imaging Lesions After Intracerebral Hemorrhage. Transl. Stroke Res. 2022, 13, 686–706. [Google Scholar] [CrossRef]
- Boulanger, M.; Schneckenburger, R.; Join-Lambert, C.; Werring, D.J.; Wilson, D.; Hodel, J.; Zuber, M.; Touzé, E. Diffusion-Weighted Imaging Hyperintensities in Subtypes of Acute Intracerebral Hemorrhage: Meta-Analysis. Stroke 2019, 50, 135–142. [Google Scholar] [CrossRef]
- Menon, R.S.; Burgess, R.E.; Wing, J.J.; Gibbons, M.C.; Shara, N.M.; Fernandez, S.; Jayam-Trouth, A.; German, L.; Sobotka, I.; Edwards, D.; et al. Predictors of highly prevalent brain ischemia in intracerebral hemorrhage. Ann. Neurol. 2012, 71, 199–205. [Google Scholar] [CrossRef]
- Prabhakaran, S.; Naidech, A.M. Ischemic Brain Injury After Intracerebral Hemorrhage: A critical review. Stroke 2012, 43, 2258–2263. [Google Scholar] [CrossRef] [PubMed]
- Nocella, C.; D’Amico, A.; Cammisotto, V.; Bartimoccia, S.; Castellani, V.; Loffredo, L.; Marini, L.; Ferrara, G.; Testa, M.; Motta, G.; et al. Structure, Activation, and Regulation of NOX2: At the Crossroad between the Innate Immunity and Oxidative Stress-Mediated Pathologies. Antioxidants 2023, 12, 429. [Google Scholar] [CrossRef] [PubMed]
- Brandes, R.P.; Weissmann, N.; Schröder, K. Nox family NADPH oxidases: Molecular mechanisms of activation. Free Radic. Biol. Med. 2014, 76, 208–226. [Google Scholar] [CrossRef] [PubMed]
- Yao, H.; Ago, T.; Kitazono, T.; Nabika, T. NADPH Oxidase-Related Pathophysiology in Experimental Models of Stroke. Int. J. Mol. Sci. 2017, 18, 2123. [Google Scholar] [CrossRef]
- Zhang, L.; Li, Z.; Feng, D.; Shen, H.; Tian, X.; Li, H.; Wang, Z.; Chen, G. Involvement of Nox2 and Nox4 NADPH oxidases in early brain injury after subarachnoid hemorrhage. Free Radic. Res. 2017, 51, 316–328. [Google Scholar] [CrossRef]
- Chen, H.; Song, Y.S.; Chan, P.H. Inhibition of NADPH oxidase is neuroprotective after ischemia-reperfusion. J. Cereb. Blood Flow Metab. 2009, 29, 1262–1272. [Google Scholar] [CrossRef]
- Won, S.J.; Tang, X.N.; Suh, S.W.; Yenari, M.A.; Swanson, R.A. Hyperglycemia promotes tissue plasminogen activator-induced hemorrhage by Increasing superoxide production. Ann. Neurol. 2011, 70, 583–590. [Google Scholar] [CrossRef] [PubMed]
- Gupta, R.M.; Libby, P.; Barton, M. Linking regulation of nitric oxide to endothelin-1: The Yin and Yang of vascular tone in the atherosclerotic plaque. Atherosclerosis 2020, 292, 201–203. [Google Scholar] [CrossRef]
- Shah, R. Endothelins in health and disease. Eur. J. Intern. Med. 2007, 18, 272–282. [Google Scholar] [CrossRef]
- Król, M.; Kepinska, M. Human Nitric Oxide Synthase—Its Functions, Polymorphisms, and Inhibitors in the Context of Inflammation, Diabetes and Cardiovascular Diseases. Int. J. Mol. Sci. 2021, 22, 56. [Google Scholar] [CrossRef]
- Džoljić, E.; Grbatinić, I.; Kostić, V. Why is nitric oxide important for our brain? Funct. Neurol. 2015, 30, 159–163. [Google Scholar] [CrossRef] [PubMed]
- Sibal, L.; Agarwal, S.C.; Home, P.D.; Boger, R.H. The Role of Asymmetric Dimethylarginine (ADMA) in Endothelial Dysfunction and Cardiovascular Disease. Curr. Cardiol. Rev. 2010, 6, 82–90. [Google Scholar] [CrossRef] [PubMed]
- Carnevale, R.; Silvestri, R.; Loffredo, L.; Novo, M.; Cammisotto, V.; Castellani, V.; Bartimoccia, S.; Nocella, C.; Violi, F. Oleuropein, a component of extra virgin olive oil, lowers postprandial glycaemia in healthy subjects. Br. J. Clin. Pharmacol. 2018, 84, 1566–1574. [Google Scholar] [CrossRef]
- Li, N.; Worthmann, H.; Heeren, M.; Schuppner, R.; Deb, M.; Tryc, A.B.; Bueltmann, E.; Lanfermann, H.; Donnerstag, F.; Weis-senborn, K.; et al. Temporal pattern of cytotoxic edema in the perihematomal region after intracerebral hemor-rhage: A serial magnetic resonance imaging study. Stroke 2013, 44, 1144–1146. [Google Scholar] [CrossRef] [PubMed]
- Kamhieh-Milz, J.; Chen, L.; Goettsch, C.; Pfefferkorn, A.M.; Hofmann, A.; Brunssen, C.; Müller, G.M.; Walther, T.; Ashraf, M.I.; Moll, G.; et al. Ang II Promotes ET-1 Production by Regulating NOX2 Activity Through Transcription Factor Oct-1. Arter. Thromb. Vasc. Biol. 2023, 43, 1429–1440. [Google Scholar] [CrossRef]
- Periayah, M.H.; Halim, A.S.; Mat Saad, A.Z. Mechanism Action of Platelets and Crucial Blood Coagulation Pathways in Hemostasis. Int. J. Hematol. Oncol. Stem Cell Res. 2017, 11, 319–327. [Google Scholar]
- Alioğlu, Z.; Bülbül, I.; Örem, A.; Özmenoğlu, M.; Vanizor, B.; Boz, C. Increased plasma endothelin-1 levels in patients with intracerebral hemorrhage. J. Stroke Cerebrovasc. Dis. 2000, 9, 176–180. [Google Scholar] [CrossRef]
- Ziv, I.; Fleminger, G.; Djaldetti, R.; Achiron, A.; Melamed, E.; Sokolovsky, M. Increased plasma endothelin-1 in acute ischemic stroke. Stroke 1992, 23, 1014–1016. [Google Scholar] [CrossRef]
- Alioğlu, Z.; Örem, A.; Bülbül, I.; Boz, C.; Özmenoğlu, M.; Vanizor, B. Evaluation of Plasma Endothelin-1 Levels in Patients with Cerebral Infarction. Angiology 2002, 53, 77–82. [Google Scholar] [CrossRef]
- Sapira, V.; Cojocaru, I.M.; Lilios, G.; Grigorian, M.; Cojocaru, M. Study of endothelin-1 in acute ischemic stroke. Rom. J. Intern. Med. Rev. Roum. Med. 2010, 48, 329–332. [Google Scholar] [PubMed]
- Faßbender, K.; Hodapp, B.; Rossol, S.; Bertsch, T.; Schmeck, J.; Schütt, S.; Fritzinger, M.; Horn, P.; Vajkoczy, P.; Wendel-Wellner, M.; et al. Endothelin-1 in subarachnoid hemorrhage: An acute-phase reactant produced by cerebrospinal fluid leukocytes. Stroke 2000, 31, 2971–2975. [Google Scholar] [CrossRef] [PubMed]
- Bertsch, T.; Kuehl, S.; Muehlhauser, F.; Walter, S.; Hodapp, B.; Rossol, S.; Schmeck, J.; Ragoschke, A.; Schütt, S.; Fritzinger, M.; et al. Source of endothelin-1 in subarachnoid hemorrhage. Clin. Chem. Lab. Med. 2001, 39, 341–345. [Google Scholar] [CrossRef] [PubMed]
- Davenport, A.P.; Hyndman, K.A.; Dhaun, N.; Southan, C.; Kohan, D.E.; Pollock, J.S.; Pollock, D.M.; Webb, D.J.; Maguire, J.J. Endothelin. Pharmacol. Rev. 2016, 68, 357–418. [Google Scholar] [CrossRef] [PubMed]
- Valkonen, V.-P.; Laakso, J.; Päivä, H.; Lehtimäki, T.; A Lakka, T.; Isomustajärvi, M.; Ruokonen, I.; Salonen, J.T.; Laaksonen, R. Asymmetrical dimethylarginine (ADMA) and risk of acute coronary events. Does statin treatment influence plasma ADMA levels? Atheroscler. Suppl. 2003, 4, 19–22. [Google Scholar] [CrossRef]
- Luo, Z.; Teerlink, T.; Griendling, K.; Aslam, S.; Welch, W.J.; Wilcox, C.S. Angiotensin II and NADPH oxidase increase ADMA in vascular smooth muscle cells. Hypertension 2010, 56, 498–504. [Google Scholar] [CrossRef]





| All Patients n = 28 | Ischemic Lesions n = 12 | No Ischemic Lesions n = 16 | p | |
|---|---|---|---|---|
| Demographic characteristics and clinical history | ||||
| Age, mean (SD) | 70.2 (13.8) | 68.4 (15.5) | 70.8 (13.0) | 0.661 |
| Sex (female) (%) | 13 (44.8) | 6 (50) | 6 (37.5) | 0.508 |
| Pre-stroke mRS (%) | 0.620 | |||
| - 0 | 19/28 (67.9) | 7/11 (63.6) | 12 (75.0) | |
| - 1 | 5/28 (17.9) | 2/11 (18.2) | 3 (18.8) | |
| - 2 | 1/28 (3.6) | 0 | 0 | |
| - 3 | 3/28 (10.7) | 2/11 (18.2) | 1 (6.3) | |
| - 4 | 0 | 0 | 0 | |
| - 5 | 0 | 0 | 0 | |
| Pre-stroke mRS 0–1 (%) | 23/27 (85.2) | 9/11 (81.8) | 14/15 (93.3) | 0.556 |
| Smoking (%) | 0.174 | |||
| - no | 7 (24.1) | 3 (25.0) | 4 (25.0) | |
| - current | 15 (51.7) | 8 (66.7) | 6 (37.5) | |
| - previous | 7 (24.1) | 1 (8.3) | 6 (37.5) | |
| Obesity (%) | 7 (24.1) | 3 (25.0) | 4 (25.0) | 1.0 |
| Alcohol consumption (%) | 2 (6.9) | 0 | 2 (12.5) | 0.492 |
| Drug abuse consumption (%) | 1 (3.4) | 0 | 1 (6.3) | 1.0 |
| Hypertension (%) | 22 (75.9) | 12 (100.0) | 9 (56.3) | 0.010 |
| Dyslipidemia (%) | 10 (34.5) | 9 (75.0) | 1 (6.3) | <0.001 |
| Atrial fibrillation (%) | 6 (20.7) | 2 (16.7) | 3 (18.8) | 1.0 |
| Ischemic cardiopathy (%) | 4 (13.8) | 1 (8.3) | 3 (18.8) | 0.613 |
| Diabetes mellitus (%) | 7 (24.1) | 4 (33.3) | 3 (18.8) | 0.418 |
| Previous stroke (%) | 2 (6.9) | 0 | 2 (12.5) | 0.492 |
| Previous TIA (%) | 0 | 0 | 0 | - |
| Coagulopathy (%) | 1 (3.4) | 0 | 1 (6.3) | 1.0 |
| Valvulopathy (%) | 2 (6.9) | 0 | 1 (6.3) | 1.0 |
| Peripheral vasculopathy (%) | 1 (3.4) | 0 | 1 (6.3) | 1.0 |
| Migraine (%) | 0 | 0 | 0 | - |
| Cancer (%) | 2 (6.9) | 1 (8.3) | 1 (6.3) | 1.0 |
| Stressful events (%) | 3 (10.3) | 1 (8.3) | 2 (12.5) | 1.0 |
| Therapy before hemorrhagic stroke | ||||
| Anticoagulants (%) | 7 (24.1) | 2 (16.7) | 4 (25.0) | 0.673 |
| Antiplatelets (%) | 8 (28.6) | 4/11 (36.4) | 4 (25.0) | 0.675 |
| Lipid-lowering medications (%) | 2 (6.9) | 2 (16.7) | 0 | 0.175 |
| ACE-1/ARB (%) | 12 (42.9) | 7/11 (63.6) | 4 (25.0) | 0.061 |
| Diuretics (%) | 5 (17.2) | 2 (16.7) | 2 (12.5) | 1.0 |
| Beta-blockers (%) | 5 (17.2) | 3 (25.0) | 2 (12.5) | 0.624 |
| Alpha-lytics (%) | 4 (13.8) | 3 (25.0) | 1 (6.3) | 0.285 |
| Calcium antagonists (%) | 0 | 0 | 0 | - |
| PPI (%) | 3 (10.3) | 1 (8.3) | 2 (12.5) | 1.0 |
| Blood-glucose-lowering medications (%) | 3 (10.3) | 2 (16.7) | 1 (6.3) | 0.560 |
| Insulin (%) | 0 | 0 | 0 | - |
| Nitrates (%) | 0 | 0 | 0 | - |
| Clinical characteristics of hemorrhagic stroke | ||||
| Stroke on awakening (%) | 11/29 (37.9) | 7 (58.4) | 4 (25.0) | 0.121 |
| NIHSS, median (IQR) | ||||
| - Admission (T0) | 11 (7.5–18) | 14 (6.75–17.50 | 9 (7.25–18.25) | 0.642 |
| - 12–24 h (T1) | 9 (6.5–13.5) | 13 (6–20) | 9 (7.75–10.50) | 0.667 |
| - 48–72 h (T2) | 10 (7.5–14.5) | 14 (6–20) | 8.50 (7.75–10.50) | 0.197 |
| - Discharge | 7 (5–11.5) | 8 (4–12.50) | 6 (5–11) | 0.720 |
| SBP, mean (SD) | ||||
| - T0 | 168.4 (31.50) | 168.5 (30.3) | 168.9 (34.4) | 0.977 |
| - T1 | 145.8 (25.9) | 150.1 (24.3) | 140.7 (29.0) | 0.534 |
| - T2 | 147.2 (22.4) | 149.9 (13.9) | 143.4 (32.7) | 0.646 |
| DBP, mean (SD) | ||||
| - T0 | 92.57 (19.21) | 91.4 (20.1) | 94.0 (19.7) | 0.740 |
| - T1 | 85.8 (17.6) | 88.9 (16.1) | 81 (19.4) | 0.387 |
| - T2 | 84.1 (16.7) | 83.3 (10.0) | 85.2 (24.8) | 0.855 |
| HR, mean (SD) | ||||
| - T0 | 80.6 (13.71) | 78.6 (15.5) | 81.1 (12.6) | 0.652 |
| - T1 | 81.2 (21.2) | 88 (22.6) | 73.3 (18.1) | 0.228 |
| - T2 | 79.3 (12.3) | 83.9 (19.6) | 73.0 (10.0) | 0.362 |
| Body temperature, mean (SD) | ||||
| - T0 | 36.0 (0) | 36 (0) | 36.0 (0) | - |
| - T1 | 36.9 (0.70) | 27.2 (0.8) | 36.6 (0.3) | 0.108 |
| - T2 | 36.9 (0.6) | 37.2 (0.4) | 36.6 (0.6) | 0.043 |
| HGT, mean (SD) | ||||
| - T0 | 128 (29.4) | 136 (32.9) | 120 (24.6) | 0.143 |
| - T1 | 128 (32.7) | 128 (30.9) | 130 (38.7) | 0.949 |
| - T2 | 119 (23.0) | 118 (25.8) | 120 (97.5–137.5) | 0.900 |
| Craniotomy (%) | 3/19 (15.8) | 2/8 (25.0) | 1/11 (9.1) | 0.546 |
| All Patients n = 28 | Ischemic Lesions n = 12 | No Ischemic Lesions n = 16 | p | |
|---|---|---|---|---|
| Routine blood tests | ||||
| Time onset, blood sampling T0, h, median (IQR) | 2.08 (1.27–2.57) | 2.33 (1.24–4.19) | 2.07 (1.14–2.41) | 0.429 |
| Time onset T1, h, median (IQR) | 26.50 (25.30–27.30) | 26.5 (25.6–29.5) | 26.60 (25.10, 27.58) | 0.927 |
| Time onset T2, h median (IQR) | 51.0 (48.5–53.2) | 51 (50.25–54.60) | 49.9 (48.3–52.9) | 0.361 |
| Haematocrit, T0, mean (SD) | 40.5 (5.1) | 38.7 (5.2) | 42.2 (4.7) | 0.073 |
| Platelets, T0, mean (SD) | 232.5 (74.95) | 233.3 (67.3) | 222.8 (75.2) | 0.703 |
| Total leukocytes, mean (SD) | ||||
| - T0 | 8.66 (2.96) | 10.18 (3.31) | 7.42 (2.17) | 0.013 |
| - T1 | 10.51 (5.24) | 12.32 (5.90) | 7.50 (2.21) | 0.234 |
| - T2 | 11.83 (7.87) | 13.52 (9.40) | 8.46 (1.32) | 0.400 |
| Neutrophils (absolute number), | ||||
| mean (SD) | ||||
| - T0 | 6.13 (2.91) | 7.44 (3.26) | 4.49 (2.35) | 0.037 |
| - T1 | 8.46 (5.11) | 10.2 (5.83) | 5.64 (2.06) | 0.254 |
| - T2 | 9.94 (7.36) | 11.55 (8.76) | 6.71 (1.14) | 0.387 |
| Neutrophils (%) | ||||
| - T0 | 68.90 (12.94) | 71.20 (11.88) | 67.4 (14.2) | 0.456 |
| - T1 | 77.56 (8.06) | 79.62 (9.25) | 74.13 (5.26) | 0.392 |
| - T2 | 81.86 (5.26) | 83.23 (6.03) | 79.10 (1.66) | 0.295 |
| Lymphocytes (absolute number), | ||||
| mean (SD) | ||||
| - T0 | 1.84 (1.03) | 1.94 (1.0) | 1.70 (1.08) | 0.555 |
| - T1 | 77.56 (8.06) | 1.31 (0.62) | 1.11 (0.19) | 0.612 |
| - T2 | 1.08 (0.35) | 1.09 (0.43) | 1.06 (0.16) | 0.912 |
| Lymphocytes (%), mean (SD) | ||||
| - T0 | 22.40 (11.35) | 20.24 (9.71) | 23.69 (12.81) | 0.443 |
| - T1 | 13.60 (5.95) | 12.68 (7.52) | 15.13 (2.29) | 0.612 |
| - T2 | 10.41 (3.20) | 9.23 (3.36) | 12.77 (0.56) | 0.123 |
| CRP (mg/dL), mean (SD) | ||||
| - T0 | 0.51 (0.72) | 0.79 (0.97) | 0.23 (0.24) | 0.111 |
| - T1 | 2.33 (1.68) | 3.10 (1.59) | 1.06 (0.95) | 0.094 |
| - T2 | 6.17 (6.19) | 8.70 (6.75) | 1.94 (0.07) | 0.144 |
| INR, T0, mean (SD) | 1.09 (0.22) | 1.04 (0.10) | 1.13 (0.28) | 0.253 |
| PTT ratio, T0, mean (SD) | 0.96 (0.23) | 0.94 (1.76) | 0.97 (0.27) | 0.804 |
| Fibrinogen (md/dL), T0, mean (SD) | 374.38 (90.50) | 389.3 (84.5) | 358.81 (96.37) | 0.391 |
| Total cholesterol (mg/dL), T0, mean (SD) | 162.63 (32.02) | 161.0 (21.6) | 164.3 (43.8) | 0.898 |
| LDL (md/dL), T0, mean (SD) | 103.25 (23.40) | 109.5 (19.7) | 97.0 (28.0) | 0.493 |
Disclaimer/Publisher’s Note: The statements, opinions and data contained in all publications are solely those of the individual author(s) and contributor(s) and not of MDPI and/or the editor(s). MDPI and/or the editor(s) disclaim responsibility for any injury to people or property resulting from any ideas, methods, instructions or products referred to in the content. |
© 2024 by the authors. Licensee MDPI, Basel, Switzerland. This article is an open access article distributed under the terms and conditions of the Creative Commons Attribution (CC BY) license (https://creativecommons.org/licenses/by/4.0/).
Share and Cite
De Michele, M.; Amisano, P.; Schiavo, O.G.; Cammisotto, V.; Carnevale, R.; Forte, M.; Picchio, V.; Ciacciarelli, A.; Berto, I.; Angeloni, U.; et al. Secondary Brain Injury After Parenchymal Cerebral Hemorrhage in Humans: The Role of NOX2-Mediated Oxidative Stress and Endothelin-1. Int. J. Mol. Sci. 2024, 25, 13180. https://doi.org/10.3390/ijms252313180
De Michele M, Amisano P, Schiavo OG, Cammisotto V, Carnevale R, Forte M, Picchio V, Ciacciarelli A, Berto I, Angeloni U, et al. Secondary Brain Injury After Parenchymal Cerebral Hemorrhage in Humans: The Role of NOX2-Mediated Oxidative Stress and Endothelin-1. International Journal of Molecular Sciences. 2024; 25(23):13180. https://doi.org/10.3390/ijms252313180
Chicago/Turabian StyleDe Michele, Manuela, Paolo Amisano, Oscar G. Schiavo, Vittoria Cammisotto, Roberto Carnevale, Maurizio Forte, Vittorio Picchio, Antonio Ciacciarelli, Irene Berto, Ugo Angeloni, and et al. 2024. "Secondary Brain Injury After Parenchymal Cerebral Hemorrhage in Humans: The Role of NOX2-Mediated Oxidative Stress and Endothelin-1" International Journal of Molecular Sciences 25, no. 23: 13180. https://doi.org/10.3390/ijms252313180
APA StyleDe Michele, M., Amisano, P., Schiavo, O. G., Cammisotto, V., Carnevale, R., Forte, M., Picchio, V., Ciacciarelli, A., Berto, I., Angeloni, U., Pugliese, S., Toni, D., & Lorenzano, S. (2024). Secondary Brain Injury After Parenchymal Cerebral Hemorrhage in Humans: The Role of NOX2-Mediated Oxidative Stress and Endothelin-1. International Journal of Molecular Sciences, 25(23), 13180. https://doi.org/10.3390/ijms252313180

