KDM4 Regulates the Glycolysis of Hemocytes in the Immune Priming of Eriocheir sinensis
Abstract
1. Introduction
2. Results
2.1. The Concentration of Glucose and Lactate, the Ratio of NAD+/NADH, and Transcripts of EsPFK and EsG-6-PD in the Hemocytes After Secondary Stimulation with A. hydrophila
2.2. The Level of H3K9me3 Modification and H3K9me3 Enrichment at the EsPFK and EsG-6-PD Promoters After the First Stimulation with A. hydrophila
2.3. Expression Level of EsKDM4 mRNA in Hemocytes and Different Tissues
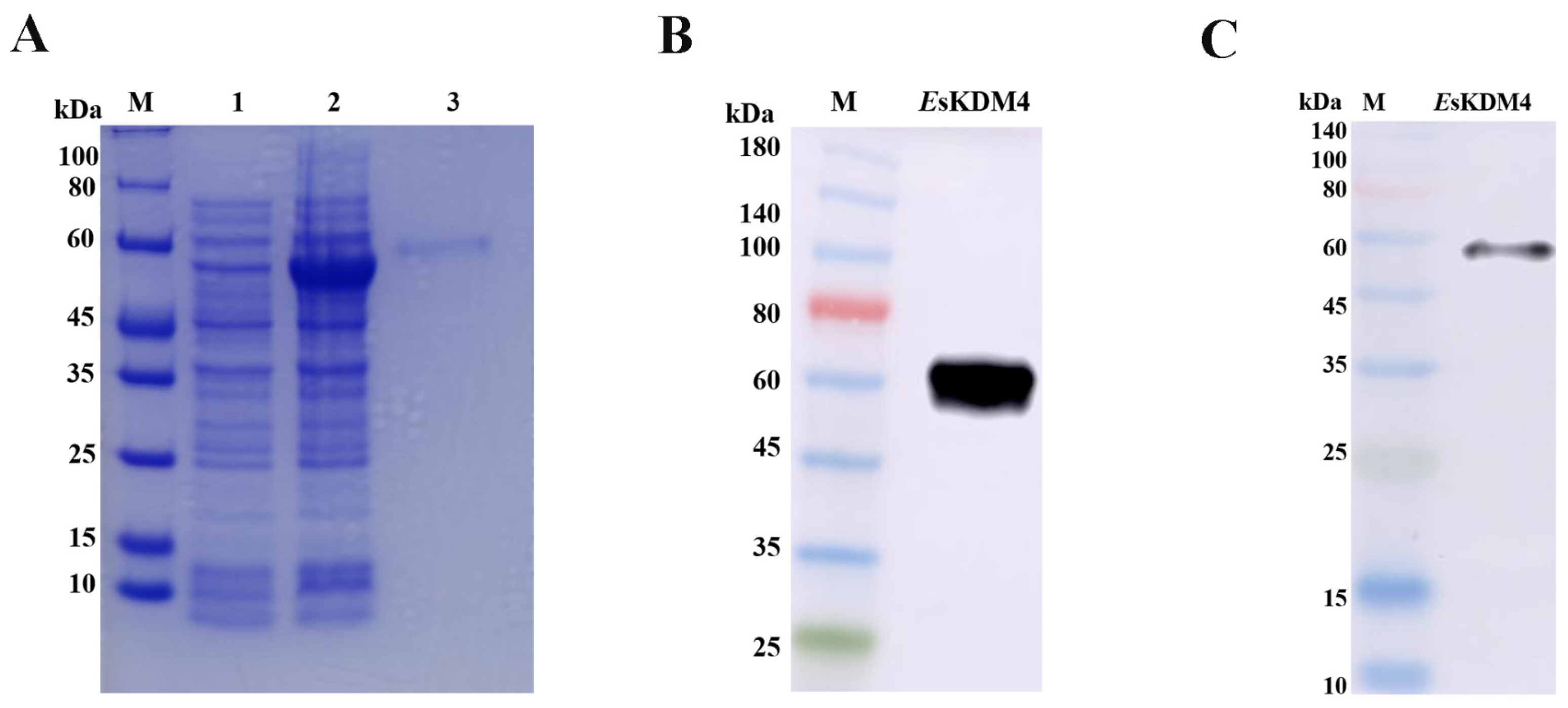
2.4. The Distribution of EsKDM4 Protein in Crab Hemocytes
2.5. Transcripts and Activity of EsKDM4 After Secondary Stimulation with A. hydrophila
2.6. The Level of H3K9me3 in Hemocytes and H3K9me3 Enrichment at EsPFK and EsG-6-PD Promoters in the KDM4-RNAi Crabs After Secondary Stimulation with A. hydrophila
2.7. The Concentration of Glucose and Lactate and the Ratio of NAD+/NADH in the KDM4-RNAi Crabs After Secondary Stimulation with A. hydrophila
3. Discussion
4. Materials and Methods
4.1. Animals, Immune Stimulations, and Sample Collection
4.2. Successive Immune Stimulation of Crab E. sinensis by A. hydrophila
4.3. RNA Interference (RNAi) of EsKDM4
4.4. RNA Isolation, cDNA Synthesis, and Sequence Analysis
4.5. Quantitative Real-Time PCR Analysis (qPCR)
4.6. Recombinant Expression and Purification of EsKDM4 Protein and Preparation of Its Polyclonal Antibody
4.7. Western Blotting of H3K9me3
4.8. Immunocytochemical Assay Analysis of EsKDM4 Protein in Hemocytes
4.9. Chromatin Immunoprecipitation (CHIP) Analysis
4.10. Determination of the Glucose Concentration in Hemolymph
4.11. Assay of NAD+/NADH in Hemolymph
4.12. Assay of Lactate in Hemolymph
4.13. KDM4 Enzyme Activity Assay
Supplementary Materials
Author Contributions
Funding
Institutional Review Board Statement
Informed Consent Statement
Data Availability Statement
Conflicts of Interest
References
- Dhinaut, J.; Chogne, M.; Moret, Y. Immune priming specificity within and across generations reveals the range of pathogens affecting evolution of immunity in an insect. J. Anim. Ecol. 2018, 87, 448–463. [Google Scholar] [CrossRef] [PubMed]
- Portela, J.; Duval, D.; Rognon, A.; Galinier, R.; Boissier, J.; Coustau, C.; Mitta, G.; Theron, A.; Gourbal, B. Evidence for specific genotype-dependent immune priming in the lophotrochozoan Biomphalaria glabrata snail. J. Innate Immun. 2013, 5, 261–276. [Google Scholar] [CrossRef] [PubMed]
- Sheppard, S.; Sun, J.C. Virus-specific NK cell memory. J. Exp. Med. 2021, 218, e20201731. [Google Scholar] [CrossRef] [PubMed]
- Melillo, D.; Marino, R.; Italiani, P.; Boraschi, D. Innate Immune Memory in Invertebrate Metazoans: A Critical Appraisal. Front. Immunol. 2018, 9, 1915. [Google Scholar] [CrossRef] [PubMed]
- Mendez-Lopez, T.T.; Carrero, J.C.; Lanz-Mendoza, H.; Ochoa-Zarzosa, A.; Mukherjee, K.; Contreras-Garduno, J. Metabolism and immune memory in invertebrates: Are they dissociated? Front. Immunol. 2024, 15, 1379471. [Google Scholar] [CrossRef]
- Arts, R.J.W.; Carvalho, A.; La Rocca, C.; Palma, C.; Rodrigues, F.; Silvestre, R.; Kleinnijenhuis, J.; Lachmandas, E.; Goncalves, L.G.; Belinha, A.; et al. Immunometabolic Pathways in BCG-Induced Trained Immunity. Cell Rep. 2016, 17, 2562–2571. [Google Scholar] [CrossRef]
- Mourits, V.P.; van Puffelen, J.H.; Novakovic, B.; Bruno, M.; Ferreira, A.V.; Arts, R.J.; Groh, L.; Crisan, T.O.; Zwaag, J.; Jentho, E.; et al. Lysine methyltransferase G9a is an important modulator of trained immunity. Clin. Transl. Immunol. 2021, 10, e1253. [Google Scholar] [CrossRef]
- Dominguez-Andres, J.; Joosten, L.A.; Netea, M.G. Induction of innate immune memory: The role of cellular metabolism. Curr. Opin. Immunol. 2019, 56, 10–16. [Google Scholar] [CrossRef]
- Black, J.C.; Van Rechem, C.; Whetstine, J.R. Histone lysine methylation dynamics: Establishment, regulation, and biological impact. Mol. Cell 2012, 48, 491–507. [Google Scholar] [CrossRef]
- Arts, R.J.; Joosten, L.A.; Netea, M.G. Immunometabolic circuits in trained immunity. Semin. Immunol. 2016, 28, 425–430. [Google Scholar] [CrossRef]
- Liu, Y.; Liang, S.; Ding, R.; Hou, Y.; Deng, F.; Ma, X.; Song, T.; Yan, D. BCG-induced trained immunity in macrophage: Reprograming of glucose metabolism. Int. Rev. Immunol. 2020, 39, 83–96. [Google Scholar] [CrossRef] [PubMed]
- Cheng, S.C.; Quintin, J.; Cramer, R.A.; Shepardson, K.M.; Saeed, S.; Kumar, V.; Giamarellos-Bourboulis, E.J.; Martens, J.H.; Rao, N.A.; Aghajanirefah, A.; et al. mTOR- and HIF-1alpha-mediated aerobic glycolysis as metabolic basis for trained immunity. Science 2014, 345, 1250684. [Google Scholar] [CrossRef] [PubMed]
- Arts, R.J.; Novakovic, B.; Ter Horst, R.; Carvalho, A.; Bekkering, S.; Lachmandas, E.; Rodrigues, F.; Silvestre, R.; Cheng, S.C.; Wang, S.Y.; et al. Glutaminolysis and Fumarate Accumulation Integrate Immunometabolic and Epigenetic Programs in Trained Immunity. Cell Metab. 2016, 24, 807–819. [Google Scholar] [CrossRef] [PubMed]
- Fernie, A.R.; Carrari, F.; Sweetlove, L.J. Respiratory metabolism: Glycolysis, the TCA cycle and mitochondrial electron transport. Curr. Opin. Plant Biol. 2004, 7, 254–261. [Google Scholar] [CrossRef] [PubMed]
- Mitroulis, I.; Ruppova, K.; Wang, B.; Chen, L.S.; Grzybek, M.; Grinenko, T.; Eugster, A.; Troullinaki, M.; Palladini, A.; Kourtzelis, I.; et al. Modulation of Myelopoiesis Progenitors Is an Integral Component of Trained Immunity. Cell 2018, 172, 147–161. [Google Scholar] [CrossRef]
- Su, H.; Liang, Z.; Weng, S.; Sun, C.; Huang, J.; Zhang, T.; Wang, X.; Wu, S.; Zhang, Z.; Zhang, Y.; et al. miR-9-5p regulates immunometabolic and epigenetic pathways in beta-glucan-trained immunity via IDH3alpha. JCI Insight 2021, 6, e144260. [Google Scholar] [CrossRef]
- Donohoe, D.R.; Bultman, S.J. Metaboloepigenetics: Interrelationships between energy metabolism and epigenetic control of gene expression. J. Cell Physiol. 2012, 227, 3169–3177. [Google Scholar] [CrossRef]
- Arts, R.J.; Blok, B.A.; van Crevel, R.; Joosten, L.A.; Aaby, P.; Benn, C.S.; Netea, M.G. Vitamin A induces inhibitory histone methylation modifications and down-regulates trained immunity in human monocytes. J. Leukoc. Biol. 2015, 98, 129–136. [Google Scholar] [CrossRef]
- Arts, R.J.; Blok, B.A.; Aaby, P.; Joosten, L.A.; de Jong, D.; van der Meer, J.W.; Benn, C.S.; van Crevel, R.; Netea, M.G. Long-term in vitro and in vivo effects of gamma-irradiated BCG on innate and adaptive immunity. J. Leukoc. Biol. 2015, 98, 995–1001. [Google Scholar] [CrossRef]
- Prentice, S.; Nassanga, B.; Webb, E.L.; Akello, F.; Kiwudhu, F.; Akurut, H.; Elliott, A.M.; Arts, R.J.W.; Netea, M.G.; Dockrell, H.M.; et al. BCG-induced non-specific effects on heterologous infectious disease in Ugandan neonates: An investigator-blind randomised controlled trial. Lancet Infect. Dis. 2021, 21, 993–1003. [Google Scholar] [CrossRef]
- Jiang, Y.; Liu, L.; Yang, Z.Q. KDM4 Demethylases: Structure, Function, and Inhibitors. Adv. Exp. Med. Biol. 2023, 1433, 87–111. [Google Scholar] [PubMed]
- Christ, A.; Gunther, P.; Lauterbach, M.A.R.; Duewell, P.; Biswas, D.; Pelka, K.; Scholz, C.J.; Oosting, M.; Haendler, K.; Bassler, K.; et al. Western Diet Triggers NLRP3-Dependent Innate Immune Reprogramming. Cell 2018, 172, 162–175.e14. [Google Scholar] [CrossRef] [PubMed]
- Moorlag, S.; Matzaraki, V.; van Puffelen, J.H.; van der Heijden, C.; Keating, S.; Groh, L.; Roring, R.J.; Bakker, O.B.; Mourits, V.P.; Koeken, V.; et al. An integrative genomics approach identifies KDM4 as a modulator of trained immunity. Eur. J. Immunol. 2022, 52, 431–446. [Google Scholar] [CrossRef] [PubMed]
- Wang, W.; Wen, B.; Gasparich, G.E.; Zhu, N.; Rong, L.; Chen, J.; Xu, Z. A spiroplasma associated with tremor disease in the Chinese mitten crab (Eriocheir sinensis). Microbiology 2004, 150, 3035–3040. [Google Scholar] [CrossRef]
- Wang, W.; Gu, W.; Gasparich, G.E.; Bi, K.; Ou, J.; Meng, Q.; Liang, T.; Feng, Q.; Zhang, J.; Zhang, Y. Spiroplasma eriocheiris sp. nov., associated with mortality in the Chinese mitten crab, Eriocheir sinensis. Int. J. Syst. Evol. Microbiol. 2011, 61, 703–708. [Google Scholar] [CrossRef]
- Roth, O.; Sadd, B.M.; Schmid-Hempel, P.; Kurtz, J. Strain-specific priming of resistance in the red flour beetle, Tribolium castaneum. Proc. Biol. Sci. 2009, 276, 145–151. [Google Scholar] [CrossRef]
- Wang, J.; Yang, B.; Wang, W.; Song, X.; Jiang, Q.; Qiu, L.; Wang, L.; Song, L. The Enhanced Immune Protection in Chinese Mitten Crab Eriocheir sinensis Against the Second Exposure to Bacteria Aeromonas hydrophila. Front. Immunol. 2019, 10, 2041. [Google Scholar] [CrossRef]
- Milutinovic, B.; Kurtz, J. Immune memory in invertebrates. Semin. Immunol. 2016, 28, 328–342. [Google Scholar] [CrossRef]
- Ferreira, A.V.; Dominguez-Andres, J.; Merlo Pich, L.M.; Joosten, L.A.B.; Netea, M.G. Metabolic Regulation in the Induction of Trained Immunity. Semin. Immunol. 2024, 46, 7. [Google Scholar] [CrossRef]
- Rodriguez-Prados, J.C.; Traves, P.G.; Cuenca, J.; Rico, D.; Aragones, J.; Martin-Sanz, P.; Cascante, M.; Bosca, L. Substrate fate in activated macrophages: A comparison between innate, classic, and alternative activation. J. Immunol. 2010, 185, 605–614. [Google Scholar] [CrossRef]
- Wang, W.; Li, Y.; Fan, S.; Lian, X.; Cao, W.; Song, X.; Yi, Q.; Wang, L.; Song, L. The Elevated Expressions of Anti-lipopolysaccharide Factors After Priming Stimulation Confer Lastingly Humoral Protection in Crab Eriocheir sinensis. Front. Immunol. 2021, 12, 757434. [Google Scholar] [CrossRef] [PubMed]
- Wu, J.; Liu, N.; Chen, J.; Tao, Q.; Li, Q.; Li, J.; Chen, X.; Peng, C. The Tricarboxylic Acid Cycle Metabolites for Cancer: Friend or Enemy. Research 2024, 7, 0351. [Google Scholar] [CrossRef] [PubMed]
- Acevedo, O.A.; Berrios, R.V.; Rodriguez-Guilarte, L.; Lillo-Dapremont, B.; Kalergis, A.M. Molecular and Cellular Mechanisms Modulating Trained Immunity by Various Cell Types in Response to Pathogen Encounter. Front. Immunol. 2021, 12, 745332. [Google Scholar] [CrossRef] [PubMed]
- Ochando, J.; Mulder, W.J.M.; Madsen, J.C.; Netea, M.G.; Duivenvoorden, R. Trained immunity-basic concepts and contributions to immunopathology. Nat. Rev. Nephrol. 2023, 19, 23–37. [Google Scholar] [CrossRef]
- Sola-Penna, M.; Da Silva, D.; Coelho, W.S.; Marinho-Carvalho, M.M.; Zancan, P. Regulation of mammalian muscle type 6-phosphofructo-1-kinase and its implication for the control of the metabolism. IUBMB Life 2010, 62, 791–796. [Google Scholar] [CrossRef]
- Ahamed, A.; Hosea, R.; Wu, S.; Kasim, V. The Emerging Roles of the Metabolic Regulator G6PD in Human Cancers. Int. J. Mol. Sci. 2023, 24, 17238. [Google Scholar] [CrossRef]
- Low, C.F.; Chong, C.M. Peculiarities of innate immune memory in crustaceans. Fish. Shellfish. Immunol. 2020, 104, 605–612. [Google Scholar] [CrossRef]
- Padeken, J.; Methot, S.P.; Gasser, S.M. Establishment of H3K9-methylated heterochromatin and its functions in tissue differentiation and maintenance. Nat. Rev. Mol. Cell Biol. 2022, 23, 623–640. [Google Scholar] [CrossRef]
- Vinci, M.C.; Costantino, S.; Damiano, G.; Rurali, E.; Rinaldi, R.; Vigorelli, V.; Sforza, A.; Carulli, E.; Pirola, S.; Mastroiacovo, G.; et al. Persistent epigenetic signals propel a senescence-associated secretory phenotype and trained innate immunity in CD34+ hematopoietic stem cells from diabetic patients. Cardiovasc. Diabetol. 2024, 23, 107. [Google Scholar] [CrossRef]
- Lu, C.; Yang, D.; Klement, J.D.; Colson, Y.L.; Oberlies, N.H.; Pearce, C.J.; Colby, A.H.; Grinstaff, M.W.; Liu, Z.; Shi, H.; et al. H3K9me3 represses G6PD expression to suppress the pentose phosphate pathway and ROS production to promote human mesothelioma growth. Oncogene 2022, 41, 2651–2662. [Google Scholar] [CrossRef]
- Zhu, Y.; van Essen, D.; Saccani, S. Cell-type-specific control of enhancer activity by H3K9 trimethylation. Mol. Cell 2012, 46, 408–423. [Google Scholar] [CrossRef] [PubMed]
- Zhang, Q.; Cao, X. Epigenetic regulation of the innate immune response to infection. Nat. Rev. Immunol. 2019, 19, 417–432. [Google Scholar] [CrossRef] [PubMed]
- Labbe, R.M.; Holowatyj, A.; Yang, Z.Q. Histone lysine demethylase (KDM) subfamily 4: Structures, functions and therapeutic potential. Am. J. Transl. Res. 2013, 6, 1. [Google Scholar] [PubMed]
- Black, J.C.; Allen, A.; Van Rechem, C.; Forbes, E.; Longworth, M.; Tschop, K.; Rinehart, C.; Quiton, J.; Walsh, R.; Smallwood, A.; et al. Conserved antagonism between JMJD2A/KDM4A and HP1gamma during cell cycle progression. Mol. Cell 2010, 40, 736–748. [Google Scholar] [CrossRef] [PubMed]
- Whetstine, J.R.; Nottke, A.; Lan, F.; Huarte, M.; Smolikov, S.; Chen, Z.; Spooner, E.; Li, E.; Zhang, G.; Colaiacovo, M.; et al. Reversal of histone lysine trimethylation by the JMJD2 family of histone demethylases. Cell 2006, 125, 467–481. [Google Scholar] [CrossRef]
- Lloret-Llinares, M.; Carre, C.; Vaquero, A.; de Olano, N.; Azorin, F. Characterization of Drosophila melanogaster JmjC+N histone demethylases. Nucleic Acids Res. 2008, 36, 2852–2863. [Google Scholar] [CrossRef]
- Camacho, J.; Truong, L.; Kurt, Z.; Chen, Y.W.; Morselli, M.; Gutierrez, G.; Pellegrini, M.; Yang, X.; Allard, P. The Memory of Environmental Chemical Exposure in C. elegans Is Dependent on the Jumonji Demethylases jmjd-2 and jmjd-3/utx-1. Cell Rep. 2018, 23, 2392–2404. [Google Scholar] [CrossRef]
- Liu, H.; Zhai, L.; Liu, Y.; Lu, D.; Vander Ark, A.; Yang, T.; Krawczyk, C.M. The histone demethylase KDM5C controls female bone mass by promoting energy metabolism in osteoclasts. Sci. Adv. 2023, 9, eadg0731. [Google Scholar] [CrossRef]
- Livak, K.J.; Schmittgen, T.D. Analysis of relative gene expression data using real-time quantitative PCR and the 2(-Delta Delta C(T)) Method. Methods 2001, 25, 402–408. [Google Scholar] [CrossRef]
- Sun, J.; Wang, L.; Yang, C.; Song, L. An Ancient BCR-like Signaling Promotes ICP Production and Hemocyte Phagocytosis in Oyster. iScience 2020, 23, 100834. [Google Scholar] [CrossRef]
- Martinez, C.A.; Jiramongkol, Y.; Bal, N.; Alwis, I.; Nedoboy, P.E.; Farnham, M.M.J.; White, M.D.; Cistulli, P.A.; Cook, K.M. Intermittent hypoxia enhances the expression of hypoxia inducible factor HIF1A through histone demethylation. J. Biol. Chem. 2022, 298, 102536. [Google Scholar] [CrossRef] [PubMed]








| Primers | Sequence (5′-3′) |
|---|---|
| Clone primers | |
| EsKDM4-F | GCAATGACTTCGGTTTTCAA |
| EsKDM4-R | ATCTGGAGTTTCTTTATGAGGT |
| RT primers | |
| EsPFK-RT-F | AGATTACGGAGGAGGAGAGC |
| EsPFK-RT-R | TGCCTCACACGCAATACTAC |
| EsG6PD-RT-F | CACCTGGAATCGGGACAACA |
| EsG6PD-RT-R | TCCATCCCTACCACGTCCAT |
| EsPK-RT-F | ATCAGCAAGATCGAGAACCA |
| EsPK-RT-R | TCAACGGGAACCTCAATACC |
| EsHK2-RT-F | CGGCCTATTGTTTGGAGGGT |
| EsHK2-RT-R | AGACACACTCACAGGCATGG |
| EsKDM4-RT-F | GCCAAGATCATCCCACCTCC |
| EsKDM4-RT-R | AGCCTTGAACTCCTTGACCG |
| Esβ-actin-RT-F | TCATCACCATCGGCAATGA |
| Esβ-actin-RT-F | TTGTAAGTGGTCTCGTGGATG |
| Recombination protein primers | |
| P1 (Forward) | CGCGGATCCATGATGGGGGATCAGCCC |
| P2 (Reverse) | CCCAAGCTTGGAACCGTCTCCCTTCAGC |
| Primer for CHIP | |
| EsPFK-CHIP-F | CCGCCATGTAGTCGATGAAT |
| EsPFK-CHIP-R | TTTAGGTGGCCACACATCAC |
| EsG6PD-CHIP-F | GAGAGTTGCCAGATTGTCGT |
| EsG6PD-CHIP-R | TGTTGATCTCACCTTCCCCT |
| Primer for RNA interference | |
| siRNA-EsKDM4-F | GCCACUAAGCACAGCACAUTT |
| siRNA-EsKDM4-R | AUGUGCUGUGCUUAGUGGCTT |
Disclaimer/Publisher’s Note: The statements, opinions and data contained in all publications are solely those of the individual author(s) and contributor(s) and not of MDPI and/or the editor(s). MDPI and/or the editor(s) disclaim responsibility for any injury to people or property resulting from any ideas, methods, instructions or products referred to in the content. |
© 2024 by the authors. Licensee MDPI, Basel, Switzerland. This article is an open access article distributed under the terms and conditions of the Creative Commons Attribution (CC BY) license (https://creativecommons.org/licenses/by/4.0/).
Share and Cite
Zhao, X.; Qiao, X.; Yu, S.; Jin, Y.; Niu, J.; Li, J.; Xu, Y.; Yang, Y.; Wang, L.; Song, L. KDM4 Regulates the Glycolysis of Hemocytes in the Immune Priming of Eriocheir sinensis. Int. J. Mol. Sci. 2024, 25, 13174. https://doi.org/10.3390/ijms252313174
Zhao X, Qiao X, Yu S, Jin Y, Niu J, Li J, Xu Y, Yang Y, Wang L, Song L. KDM4 Regulates the Glycolysis of Hemocytes in the Immune Priming of Eriocheir sinensis. International Journal of Molecular Sciences. 2024; 25(23):13174. https://doi.org/10.3390/ijms252313174
Chicago/Turabian StyleZhao, Xinyu, Xue Qiao, Simiao Yu, Yuhao Jin, Jixiang Niu, Jie Li, Yingmei Xu, Yuehong Yang, Lingling Wang, and Linsheng Song. 2024. "KDM4 Regulates the Glycolysis of Hemocytes in the Immune Priming of Eriocheir sinensis" International Journal of Molecular Sciences 25, no. 23: 13174. https://doi.org/10.3390/ijms252313174
APA StyleZhao, X., Qiao, X., Yu, S., Jin, Y., Niu, J., Li, J., Xu, Y., Yang, Y., Wang, L., & Song, L. (2024). KDM4 Regulates the Glycolysis of Hemocytes in the Immune Priming of Eriocheir sinensis. International Journal of Molecular Sciences, 25(23), 13174. https://doi.org/10.3390/ijms252313174

