Plasma Cells as the Key Players of IVF Failure? Unlocking the Enigma of Infertility and In Vitro Fertilization Failure in the Light of Uterine Inflammation
Abstract
1. Introduction
2. Results and Discussion
2.1. Assessing Uterine Endometrium with Transvaginal Ultrasonography
2.2. Inflammation Within the Uterine Endometrium
2.2.1. The Endometrium
2.2.2. Inflammatory Response
2.2.3. Immune Response
2.2.4. Menstruation
2.2.5. Implantation
2.2.6. Endometritis
2.3. In Vitro Fertilisation (IVF) Failure
2.3.1. IVF Failure Due to Inflammation
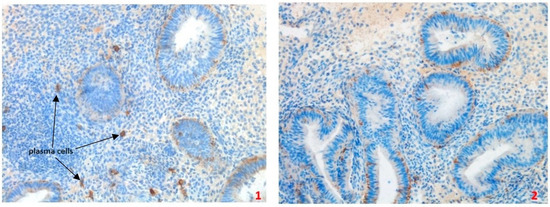
2.3.2. Plasma Cells Detection in Infertility and Recurrent Implantation Failures in IVF
3. Conclusions and Future Directions
Author Contributions
Funding
Institutional Review Board Statement
Informed Consent Statement
Data Availability Statement
Conflicts of Interest
References
- Freitag, N.; Pour, S.J.; Fehm, T.N.; Toth, B.; Markert, U.R.; Weber, M.; Togawa, R.; Kruessel, J.-S.; Baston-Buest, D.M.; Bielfeld, A.P. Are uterine natural killer and plasma cells in infertility patients associated with endometriosis, repeated implantation failure, or recurrent pregnancy loss? Arch. Gynecol. Obstet. 2020, 302, 1487–1494. [Google Scholar] [CrossRef] [PubMed]
- Santoro, A.; Travaglino, A.; Inzani, F.; Angelico, G.; Raffone, A.; Maruotti, G.M.; Straccia, P.; Arciuolo, D.; Castri, F.; D’Alessandris, N.; et al. The Role of Plasma Cells as a Marker of Chronic Endometritis: A Systematic Review and Meta-Analysis. Biomedicines 2023, 11, 1714. [Google Scholar] [CrossRef] [PubMed]
- Chen, Y.; Fang, R.; Luo, Y.; Luo, C. Analysis of the diagnostic value of CD138 for chronic endometritis, the risk factors for the pathogenesis of chronic endometritis and the effect of chronic endometritis on pregnancy: A cohort study. BMC Womens Health 2016, 16, 60. [Google Scholar] [CrossRef] [PubMed]
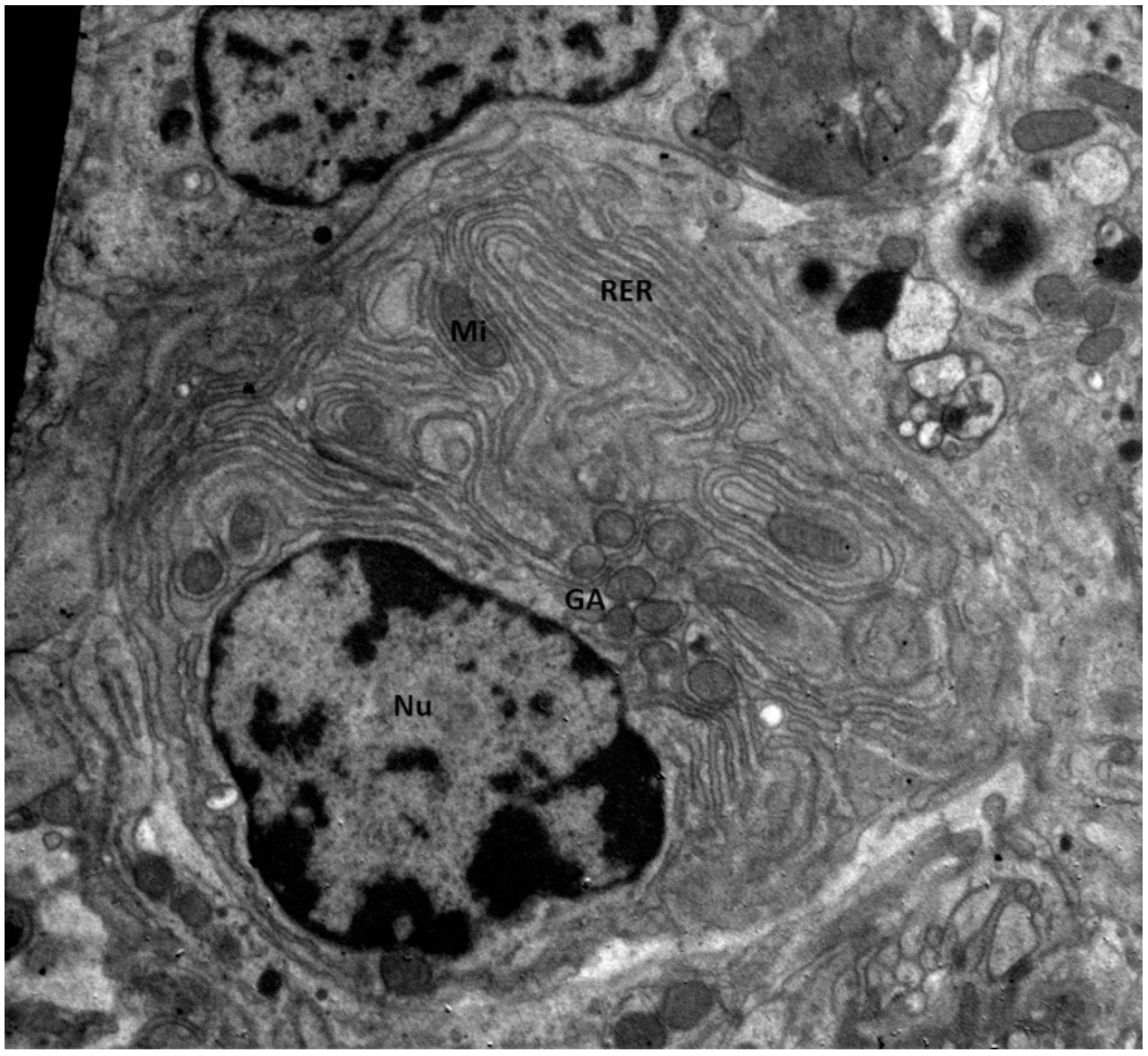
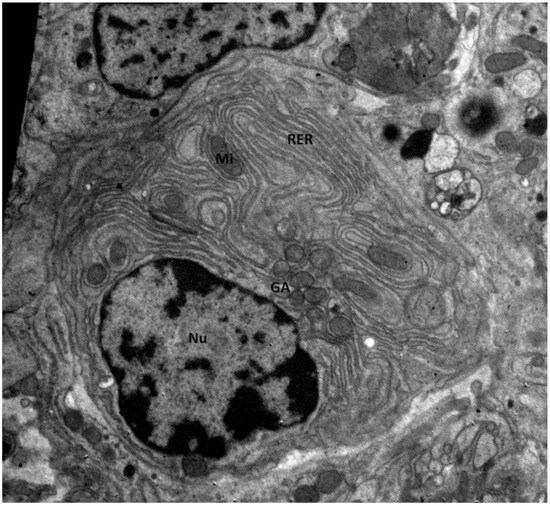
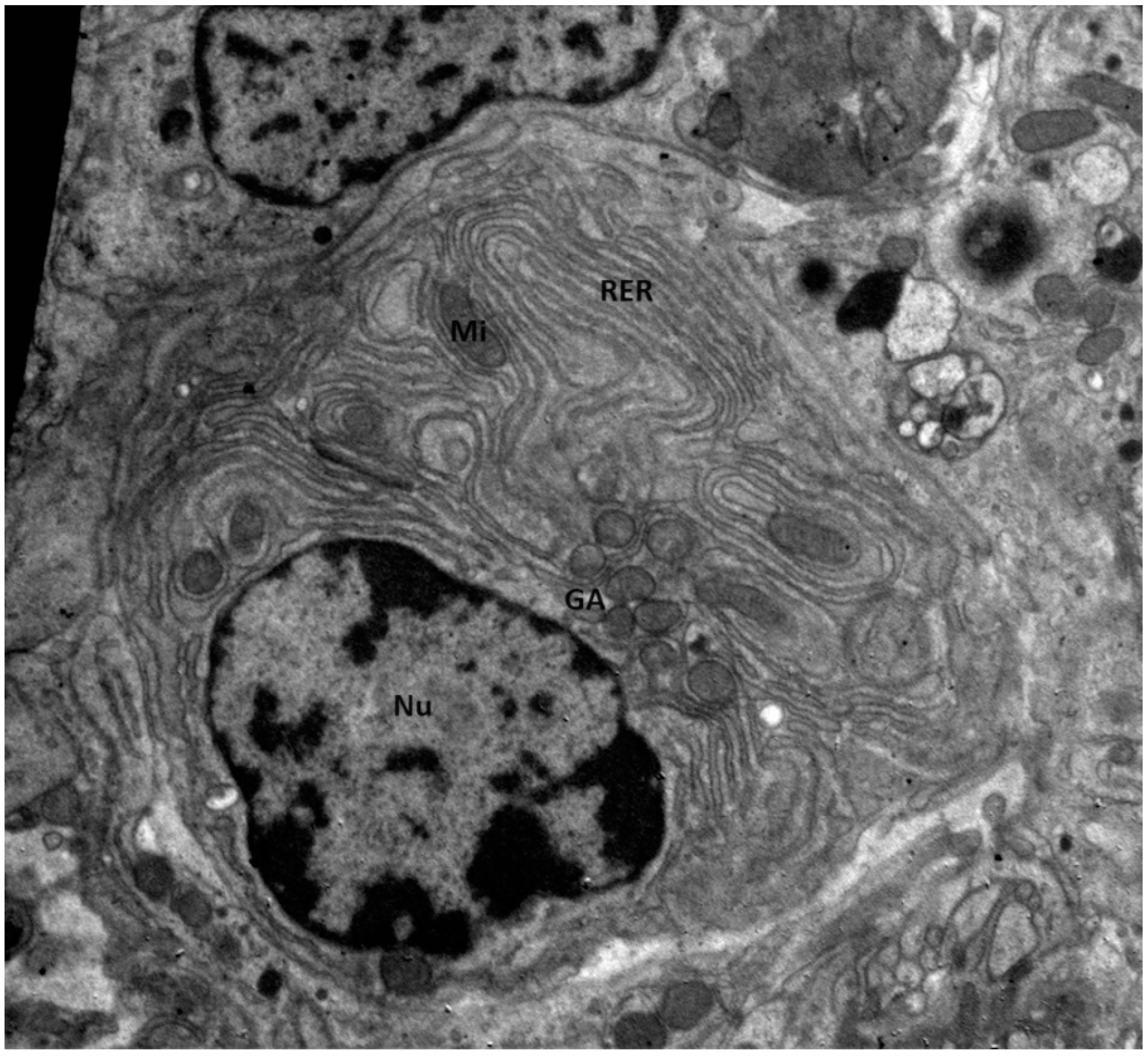
- Allen, H.C.; Sharma, P. Histology, Plasma Cells. In StatPearls [Internet]; StatPearls Publishing: St. Petersburg, FL, USA, 2022. Available online: https://www.ncbi.nlm.nih.gov/books/NBK556082/ (accessed on 9 May 2024).
- Ghobrial, I.M.; Landgren, O. How I treat smoldering multiple myeloma. Blood 2014, 124, 3380–3388. [Google Scholar] [CrossRef]
- Bassan, H.; Gutmann, H.; Djaldetti, M. Ultrastructural Characteristics of the Plasma Cells of a Patient with Nonsecretory Myeloma and Plasma Cell Leukemia. Acta Haematol. 1981, 66, 129–133. [Google Scholar] [CrossRef]
- Tellier, J.; Nutt, S.L. Plasma cells: The programming of an antibody-secreting machine. Eur. J. Immunol. 2019, 49, 30–37. [Google Scholar] [CrossRef]
- O’Connell, F.P.; Pinkus, J.L.; Pinkus, G.S. CD138 (Syndecan-1), a Plasma Cell Marker. Am. J. Clin. Pathol. 2004, 121, 254–263. [Google Scholar] [CrossRef]
- Gilmore, H.; Fleischhacker, D.; Hecht, J.L. Diagnosis of chronic endometritis in biopsies with stromal breakdown. Hum. Pathol. 2007, 38, 581–584. [Google Scholar] [CrossRef]
- Yang, R.; Du, X.; Wang, Y.; Song, X.; Yang, Y.; Qiao, J. The hysteroscopy and histological diagnosis and treatment value of chronic endometritis in recurrent implantation failure patients. Arch. Gynecol. Obstet. 2014, 289, 1363–1369. [Google Scholar] [CrossRef]
- Li, J.; Xu, D.; Ma, L.; Li, L.; Yang, L. Adverse impact of CD138+ cells in proliferative-phase endometrium on pregnancy outcomes in fresh IVF/ICSI cycles. Medicine 2023, 102, e33106. [Google Scholar] [CrossRef]
- Takimoto, K.; Yamada, H.; Shimada, S.; Fukushi, Y.; Wada, S. Chronic Endometritis and Uterine Endometrium Microbiota in Recurrent Implantation Failure and Recurrent Pregnancy Loss. Biomedicines 2023, 11, 2391. [Google Scholar] [CrossRef] [PubMed]
- McQueen, D.B.; Maniar, K.P.; Hutchinson, A.; Confino, R.; Bernardi, L.; Pavone, M.E. Retained pregnancy tissue after miscarriage is associated with high rate of chronic endometritis. J. Obstet. Gynaecol. 2022, 42, 3101–3105. [Google Scholar] [CrossRef] [PubMed]
- Cicinelli, E.; Bettocchi, S.; de Ziegler, D.; Loizzi, V.; Cormio, G.; Marinaccio, M.; Trojano, G.; Crupano, F.M.; Francescato, R.; Vitagliano, A.; et al. A Common Disease Hidden Behind Endometrial Polyps in Premenopausal Women: First Evidence From a Case-Control Study. J. Minim. Invasive Gynecol. 2019, 26, 1346–1350. [Google Scholar] [CrossRef] [PubMed]
- Vitagliano, A.; Cialdella, M.; Cicinelli, R.; Santarsiero, C.M.; Greco, P.; Buzzaccarini, G.; Noventa, M.; Cicinelli, E. Association between Endometrial Polyps and Chronic Endometritis: Is It Time for a Paradigm Shift in the Pathophysiology of Endometrial Polyps in Pre-Menopausal Women? Results of a Systematic Review and Meta-Analysis. Diagnostics 2021, 11, 2182. [Google Scholar] [CrossRef] [PubMed]
- Gualco, G.; Weiss, L.M. Bacchi, MUM1/IRF4. Appl. Immunohistochem. Mol. Morphol. 2010, 18, 301–310. [Google Scholar] [CrossRef] [PubMed]
- Xiong, Z.; Zhang, W.; Liu, S.; Liu, K.; Wang, J.; Qin, P.; Liu, Y.; Jiang, Q. The combination of CD138/MUM1 dual-staining and artificial intelligence for plasma cell counting in the diagnosis of chronic endometritis. Am. J. Reprod. Immunol. 2023, 89, e13671. [Google Scholar] [CrossRef] [PubMed]
- Critchley, H.O.D.; Maybin, J.A.; Armstrong, G.M.; Williams, A.R.W. Physiology of the Endometrium and Regulation of Menstruation. Physiol. Rev. 2020, 100, 1149–1179. [Google Scholar] [CrossRef]
- Pandurangi, M.; Reddy, N.; Rani, G.; Kirubamani, H. Does pretrigger echogenic endometrium in assisted reproductive technology cycles reflect raised serum progesterone level? J. Hum. Reprod. Sci. 2018, 11, 29. [Google Scholar] [CrossRef]
- Zhao, J.; Zhang, Q.; Li, Y. The effect of endometrial thickness and pattern measured by ultrasonography on pregnancy outcomes during IVF-ET cycles. Reprod. Biol. Endocrinol. 2012, 10, 100. [Google Scholar] [CrossRef]
- Narayan, R.; Goswamy, R.K. Transvaginal sonography of the uterine cavity with hysteroscopic correlation in the investigation of infertility. Ultrasound Obstet. Gynecol. 1993, 3, 129–133. [Google Scholar] [CrossRef]
- Said, T.H. Prediction of chronic endometritis using 2D and 3D transvaginal ultrasound examination in infertile women. Int. J. Reprod. Contracept. Obstet. Gynecol. 2021, 10, 865. [Google Scholar] [CrossRef]
- Hong, I.-S. Endometrial Stem Cells: Orchestrating Dynamic Regeneration of Endometrium and Their Implications in Diverse Endometrial Disorders. Int. J. Biol. Sci. 2024, 20, 864–879. [Google Scholar] [CrossRef] [PubMed]
- Wu, H.-M.; Chen, L.-H.; Hsu, L.-T.; Lai, C.-H. Immune Tolerance of Embryo Implantation and Pregnancy: The Role of Human Decidual Stromal Cell- and Embryonic-Derived Extracellular Vesicles. Int. J. Mol. Sci. 2022, 23, 13382. [Google Scholar] [CrossRef] [PubMed]
- Barrier, B.F. Immunology of Endometriosis. Clin. Obstet. Gynecol. 2010, 53, 397–402. [Google Scholar] [CrossRef]
- Maia, H.; Haddad, C.; Coelho, G.; Casoy, J. Role of Inflammation and Aromatase Expression in the Eutopic Endometrium and its Relationship with the Development of Endometriosis. Women’s Health 2012, 8, 647–658. [Google Scholar] [CrossRef]
- Shamshirsaz, A.A.; Paidas, M.; Krikun, G. Preeclampsia, Hypoxia, Thrombosis, and Inflammation. J. Pregnancy 2012, 2012, 374047. [Google Scholar] [CrossRef]
- Drizi, A.; Djokovic, D.; Laganà, A.S.; van Herendael, B. Impaired inflammatory state of the endometrium: A multifaceted approach to endometrial inflammation. Current insights and future directions. Menopausal Rev. 2020, 19, 90–100. [Google Scholar] [CrossRef]
- Kobayashi, H. Endometrial Inflammation and Impaired Spontaneous Decidualization: Insights into the Pathogenesis of Adenomyosis. Int. J. Environ. Res. Public Health 2023, 20, 3762. [Google Scholar] [CrossRef]
- Wang, Y.; Nicholes, K.; Shih, I.-M. The Origin and Pathogenesis of Endometriosis. Annu. Rev. Pathol. Mech. Dis. 2020, 15, 71–95. [Google Scholar] [CrossRef]
- de Fáveri, C.; Fermino, P.M.P.; Piovezan, A.P.; Volpato, L.K. The Inflammatory Role of Pro-Resolving Mediators in Endometriosis: An Integrative Review. Int. J. Mol. Sci. 2021, 22, 4370. [Google Scholar] [CrossRef]
- Kyathanahalli, C.; Snedden, M.; Hirsch, E. Is human labor at term an inflammatory condition? Biol. Reprod. 2023, 108, 23–40. [Google Scholar] [CrossRef] [PubMed]
- Miller, J.E.; Monsanto, S.P.; Ahn, S.H.; Khalaj, K.; Fazleabas, A.T.; Young, S.L.; Lessey, B.A.; Koti, M.; Tayade, C. Interleukin-33 modulates inflammation in endometriosis. Sci. Rep. 2017, 7, 17903. [Google Scholar] [CrossRef] [PubMed]
- Meyer, N.; Zenclussen, A.C. Immune Cells in the Uterine Remodeling: Are They the Target of Endocrine Disrupting Chemicals? Front Immunol 2020, 11, 246. [Google Scholar] [CrossRef] [PubMed]
- Lampiasi, N. Interactions between Macrophages and Mast Cells in the Female Reproductive System. Int. J. Mol. Sci. 2022, 23, 5414. [Google Scholar] [CrossRef]
- Von Woon, E.; Greer, O.; Shah, N.; Nikolaou, D.; Johnson, M.; Male, V. Number and function of uterine natural killer cells in recurrent miscarriage and implantation failure: A systematic review and meta-analysis. Hum. Reprod. Update 2022, 28, 548–582. [Google Scholar] [CrossRef]
- Lingasamy, P.; Modhukur, V.; Mändar, R.; Salumets, A. Exploring Immunome and Microbiome Interplay in Reproductive Health: Current Knowledge, Challenges, and Novel Diagnostic Tools. Semin. Reprod. Med. 2023, 41, 172–189. [Google Scholar] [CrossRef]
- Khan, N.L.A.; Nafee, T.; Shao, T.; Hart, A.R.; Elliott, S.; Ola, B.; Heath, P.R.; Fazeli, A. Dysregulation in Multiple Transcriptomic Endometrial Pathways Is Associated with Recurrent Implantation Failure and Recurrent Early Pregnancy Loss. Int. J. Mol. Sci. 2022, 23, 16051. [Google Scholar] [CrossRef]
- Bruno, V.; Corrado, G.; Baci, D.; Chiofalo, B.; Carosi, M.A.; Ronchetti, L.; Piccione, E.; Albini, A.; Noonan, D.M.; Piaggio, G.; et al. Endometrial Cancer Immune Escape Mechanisms: Let Us Learn From the Fetal–Maternal Interface. Front. Oncol. 2020, 10, 156. [Google Scholar] [CrossRef]
- Vallvé-Juanico, J.; Houshdaran, S.; Giudice, L.C. The endometrial immune environment of women with endometriosis. Hum. Reprod. Update 2019, 25, 565–592. [Google Scholar] [CrossRef]
- Berbic, M.; Ng, C.H.M.; Fraser, I.S. Inflammation and endometrial bleeding. Climacteric 2014, 17, 47–53. [Google Scholar] [CrossRef]
- Grzechocińska, B.; Dąbrowski, F.; Cyganek, A.; Panek, G.; Wielgoś, M. The role of metalloproteinases in endometrial remodelling during menstrual cycle. Ginekol. Pol. 2017, 88, 337–342. [Google Scholar] [CrossRef] [PubMed]
- Barcikowska, Z.; Rajkowska-Labon, E.; Grzybowska, M.E.; Hansdorfer-Korzon, R.; Zorena, K. Inflammatory Markers in Dysmenorrhea and Therapeutic Options. Int. J. Environ. Res. Public Health 2020, 17, 1191. [Google Scholar] [CrossRef] [PubMed]
- Sehring, J.; Beltsos, A.; Jeelani, R. Human implantation: The complex interplay between endometrial receptivity, inflammation, and the microbiome. Placenta 2022, 117, 179–186. [Google Scholar] [CrossRef]
- Granot, I.; Gnainsky, Y.; Dekel, N. Endometrial inflammation and effect on implantation improvement and pregnancy outcome. Reproduction 2012, 144, 661–668. [Google Scholar] [CrossRef]
- Tinelli, A.; Andjić, M.; Morciano, A.; Pecorella, G.; Malvasi, A.; D’Amato, A.; Sparić, R. Uterine Aging and Reproduction: Dealing with a Puzzle Biologic Topic. Int. J. Mol. Sci. 2023, 25, 322. [Google Scholar] [CrossRef]
- Evans, J.; Salamonsen, L.A. Inflammation, leukocytes and menstruation. Rev. Endocr. Metab. Disord. 2012, 13, 277–288. [Google Scholar] [CrossRef]
- Vaduva, C.-C.; Sandulescu, M.S.; Tenovici, M.; Siminel, M.A.; Novac, M.B. Results of in vitro fertilization after diagnosis and treatment of chronic endometritis. Eur. Rev. Med. Pharmacol. Sci. 2023, 27, 1069–1076. [Google Scholar] [CrossRef]
- Cicinelli, E.; Matteo, M.; Tinelli, R.; Lepera, A.; Alfonso, R.; Indraccolo, U.; Marrocchella, S.; Greco, P.; Resta, L. Prevalence of chronic endometritis in repeated unexplained implantation failure and the IVF success rate after antibiotic therapy. Human. Reprod. 2015, 30, 323–330. [Google Scholar] [CrossRef]
- Njagi, P.; Groot, W.; Arsenijevic, J.; Dyer, S.; Mburu, G.; Kiarie, J. Financial costs of assisted reproductive technology for patients in low- and middle-income countries: A systematic review. Hum. Reprod. Open 2023, 2023, hoad007. [Google Scholar] [CrossRef]
- Simon, A.; Laufer, N. Assessment and treatment of repeated implantation failure (RIF). J. Assist. Reprod. Genet. 2012, 29, 1227–1239. [Google Scholar] [CrossRef]
- Li, Y.; Xu, S.; Yu, S.; Huang, C.; Lin, S.; Chen, W.; Mo, M.; Lian, R.; Diao, L.; Ding, L.; et al. Diagnosis of chronic endometritis: How many CD138 + cells/HPF in endometrial stroma affect pregnancy outcome of infertile women? Am. J. Reprod. Immunol. 2021, 85, e13369. [Google Scholar] [CrossRef] [PubMed]
- Gu, J.; Sun, Q.; Qi, Y.; Hu, F.; Cao, Y. The effect of chronic endometritis and treatment on patients with unexplained infertility. BMC Womens Health 2023, 23, 345. [Google Scholar] [CrossRef] [PubMed]
- Li, Y.; Xu, Y.; Yu, S.; Lin, S.; Chen, W.; Lian, R.; Diao, L.; Sun, H.; Ding, L.; Zeng, Y. Chronic endometritis impairs embryo implantation in patients with repeated implantation failure: A retrospective study. Taiwan J. Obstet. Gynecol. 2022, 61, 984–988. [Google Scholar] [CrossRef] [PubMed]
- Li, J.; Li, X.; Ding, J.; Zhao, J.; Chen, J.; Guan, F.; Deng, H.; Zhou, M.; Han, Y.; Xiao, Z.; et al. Analysis of pregnancy outcomes in patients with recurrent implantation failure complicated with chronic endometritis. Front. Cell Dev. Biol. 2023, 11, 1088586. [Google Scholar] [CrossRef]




Disclaimer/Publisher’s Note: The statements, opinions and data contained in all publications are solely those of the individual author(s) and contributor(s) and not of MDPI and/or the editor(s). MDPI and/or the editor(s) disclaim responsibility for any injury to people or property resulting from any ideas, methods, instructions or products referred to in the content. |
© 2024 by the authors. Licensee MDPI, Basel, Switzerland. This article is an open access article distributed under the terms and conditions of the Creative Commons Attribution (CC BY) license (https://creativecommons.org/licenses/by/4.0/).
Share and Cite
Dwojak, E.; Mroczek, M.; Dworacki, G.; Dobosz, P.; Ślubowska, A.; Stępień, M.; Borowczyk, M.; Filipczyńska, I.; Tomaszewska, A.; Ałtyn, R.; et al. Plasma Cells as the Key Players of IVF Failure? Unlocking the Enigma of Infertility and In Vitro Fertilization Failure in the Light of Uterine Inflammation. Int. J. Mol. Sci. 2024, 25, 13083. https://doi.org/10.3390/ijms252313083
Dwojak E, Mroczek M, Dworacki G, Dobosz P, Ślubowska A, Stępień M, Borowczyk M, Filipczyńska I, Tomaszewska A, Ałtyn R, et al. Plasma Cells as the Key Players of IVF Failure? Unlocking the Enigma of Infertility and In Vitro Fertilization Failure in the Light of Uterine Inflammation. International Journal of Molecular Sciences. 2024; 25(23):13083. https://doi.org/10.3390/ijms252313083
Chicago/Turabian StyleDwojak, Ewa, Magdalena Mroczek, Grzegorz Dworacki, Paula Dobosz, Antonina Ślubowska, Maria Stępień, Martyna Borowczyk, Izabela Filipczyńska, Agata Tomaszewska, Rafał Ałtyn, and et al. 2024. "Plasma Cells as the Key Players of IVF Failure? Unlocking the Enigma of Infertility and In Vitro Fertilization Failure in the Light of Uterine Inflammation" International Journal of Molecular Sciences 25, no. 23: 13083. https://doi.org/10.3390/ijms252313083
APA StyleDwojak, E., Mroczek, M., Dworacki, G., Dobosz, P., Ślubowska, A., Stępień, M., Borowczyk, M., Filipczyńska, I., Tomaszewska, A., Ałtyn, R., & Chowaniec, H. (2024). Plasma Cells as the Key Players of IVF Failure? Unlocking the Enigma of Infertility and In Vitro Fertilization Failure in the Light of Uterine Inflammation. International Journal of Molecular Sciences, 25(23), 13083. https://doi.org/10.3390/ijms252313083

