A Risk Factor for Attention Deficit Hyperactivity Disorder Induces Marked Long-Term Anatomical Changes at GABAergic-Dopaminergic Synapses in the Rat Ventral Tegmental Area
Abstract
1. Introduction
2. Results
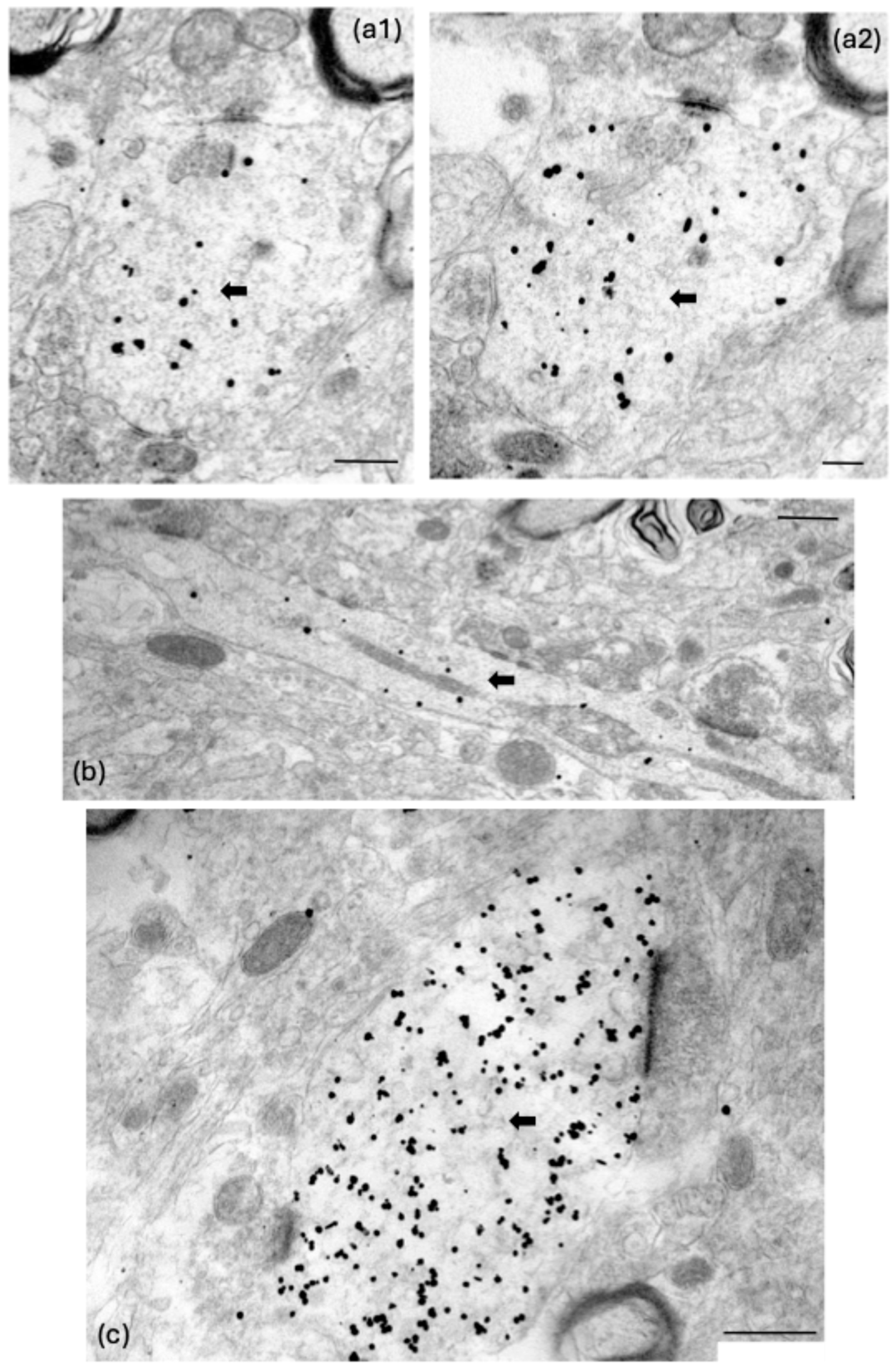
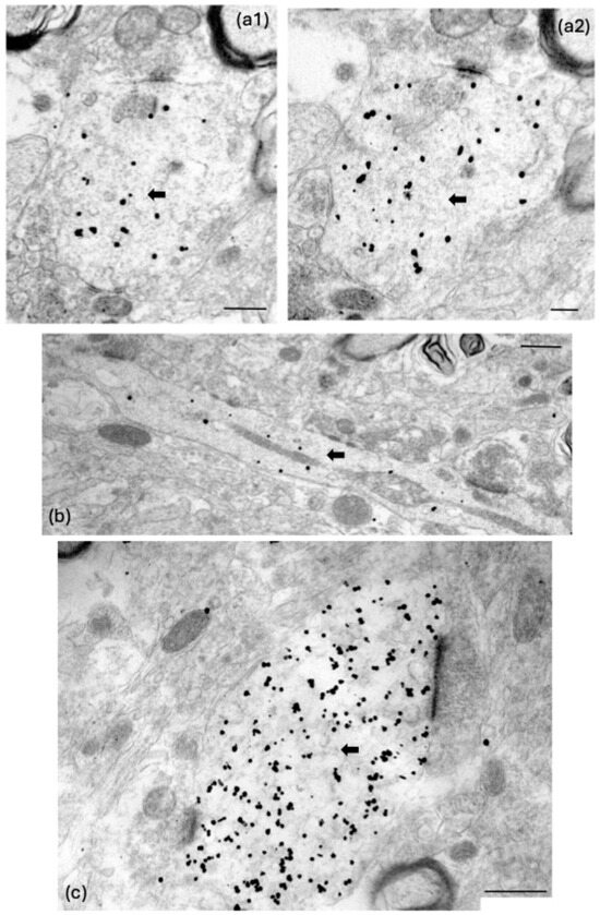
2.1. RMTg GABAergic Axons That Synapsed with Dopaminergic Dendrites in the pVTA Contributed to Synaptic Triads in Control Repeated Normoxic Rats at ~7 Months-of-Age
2.2. Synaptic Triads Were Not Present in Repeated Hypoxic Rats
2.3. RMTg GABAergic Synapses on pVTA Dopaminergic Dendrites Were Significantly Thicker and Longer in Repeated Hypoxic Rats Compared with Repeated Normoxic Rats
2.4. The Foregoing Quantitative Data Were Corrected for Processing-Induced Shrinkage
2.5. The Repeated Hypoxic Rats Exhibited Hyperactive Behaviour in the Staircase Test
2.6. Comparison of Results for an ADHD Risk Factor Versus a Schizophrenia Risk Factor
3. Discussion
3.1. Detailed Synaptic Findings and Therapeutic Implications
3.2. Presence or Absence of Synaptic Triads
3.3. Some Synaptic Changes in the Midbrain of ADHD-like Hyperactive Rats Are Opposite to Those Observed in MIA Rats
3.4. Staircase Test as a Measure of Hyperactivity
3.5. Potential Limitations
3.6. Males Versus Females
3.7. More General Comments: Anti-Psychotics, Exercise and Gene Expression
4. Materials and Methods
4.1. Animals and Overall Experimental Procedures
4.2. Repeated Hypoxic Model of ADHD-like Hyperactivity and Impulsivity
4.3. LV Vector Injection into the RMTg
4.4. Behavioural Testing
4.5. Double Immunohistochemical Staining
| Target Protein | Antigen | Species, RRID | Dilution | Source | 
|---|---|---|---|---|
| Tyrosine hydroxylase | Purified from rat pheochromocytoma | Rabbit polyclonal IgG, RRID:AB_39024 | 1:5000 | Millipore, catalogue No. AB152 | 
| Glutamic acid decarboxylase 67 kDa isoform (GAD-67) | Recombinant GAD67 protein | Mouse monoclonal IgG, RRID: AB_2278725 | 1:500 | Millipore, catalogue No. MAB5406 | 
4.6. Ultrastructural Investigation of Synaptic Circuitry
4.7. Correction for Section Thickness and Shrinkage
4.8. Statistical Analyses
5. Conclusions
Author Contributions
Funding
Institutional Review Board Statement
Informed Consent Statement
Data Availability Statement
Acknowledgments
Conflicts of Interest
References
- Kessler, R.C.; Berglund, P.; Demler, O.; Jin, R.; Merikangas, K.R.; Walters, E.E. Lifetime prevalence and age-of-onset distributions of DSM-IV disorders in the National Comorbidity Survey Replication. Arch. Gen. Psychiatry 2005, 62, 593–602. [Google Scholar] [CrossRef] [PubMed]
- Posner, J.; Polanczyk, G.V.; Sonuga-Barke, E. Attention-deficit hyperactivity disorder. Lancet 2020, 395, 450–462. [Google Scholar] [CrossRef] [PubMed]
- American Psychiatric Association (APA). Diagnostic and Statistical Manual of Mental Disorders, 5th ed.; American Psychiatric Publishing: Arlington, VA, USA, 2013. [Google Scholar]
- Luo, Y.; Weibman, D.; Halperin, J.M.; Li, X. A review of heterogeneity in attention deficit/hyperactivity disorder (ADHD). Front. Hum. Neurosci. 2019, 13, 42. [Google Scholar] [CrossRef] [PubMed]
- Ivanov, I.; Bjork, J.M.; Blair, J.; Newcorn, J.H. Sensitization-based risk for substance abuse in vulnerable individuals with ADHD: Review and re-examination of evidence. Neurosci. Biobehav. Rev. 2022, 135, 104575. [Google Scholar] [CrossRef]
- Sharma, A.; Couture, J. A review of the pathophysiology, etiology, and treatment of attention-deficit hyperactivity disorder (ADHD). Ann. Pharmacother. 2014, 48, 209–225. [Google Scholar] [CrossRef]
- Swanson, J.M.; Kinsbourne, M.; Nigg, J.; Lanphear, B.; Stefanatos, G.A.; Volkow, N.; Taylor, E.; Casey, B.J.; Castellanos, F.X.; Wadhwa, P.D. Etiologic subtypes of attention deficit/hyperactivity disorder: Brain imaging, molecular genetic and environmental factors and the dopamine hypothesis. Neuropsychol. Rev. 2007, 17, 39–59. [Google Scholar] [CrossRef]
- Brown, K.A.; Samuel, S.; Patel, D.R. Pharmacologic management of attention deficit hyperactivity disorder in children and adolescents: A review for practitioners. Transl. Pediatr. 2017, 7, 36–47. [Google Scholar] [CrossRef]
- Cascade, E.; Kalali, A.H.; Wigal, S.B. Real-world data on attention deficit hyperactivity disorder medication side effects. Psychiatry 2010, 7, 13–15. [Google Scholar]
- Clavenna, A.; Bonati, M. Pediatric pharmacoepidemiology-safety and effectiveness of medicines for ADHD. Expert Opin. Drug Saf. 2017, 16, 1335–1345. [Google Scholar] [CrossRef]
- Gajria, K.; Lu, M.; Sikirica, V.; Greven, P.; Zhong, Y.; Qin, P.; Xie, J. Adherence, persistence, and medication discontinuation in patients with attention-deficit/hyperactivity disorder-a systematic literature review. Neuropsychiatr. Dis. Treat. 2014, 10, 1543–1569. [Google Scholar]
- Padilha, S.; Virtuoso, S.; Tonin, F.S.; Borba HH, L.; Pontarolo, R. Efficacy and safety of drugs for attention deficit hyperactivity disorder in children and adolescents: A network meta-analysis. Eur. Child Adolesc. Psychiatry 2018, 27, 1335–1345. [Google Scholar] [CrossRef] [PubMed]
- Upadhyaya, H.P.; Rose, K.; Wang, W.; O’Rourke, K.; Sullivan, B.; Deas, D.; Brady, K.T. Attention-deficit/hyperactivity disorder, medication treatment, and substance use patterns among adolescents and young adults. J. Child Adolesc. Psychopharmacol. 2005, 15, 799–809. [Google Scholar] [CrossRef] [PubMed]
- Wigal, S.B. Efficacy and safety limitations of attention-deficit hyperactivity disorder pharmacotherapy in children and adults. CNS Drugs 2009, 23 (Suppl. S1), 21–31. [Google Scholar] [CrossRef] [PubMed]
- Wise, R.A. Dopamine, learning and motivation. Nat. Rev. Neurosci. 2004, 5, 483–494. [Google Scholar] [CrossRef]
- Ferreira, J.G.P.; Del-Fava, F.; Hasue, R.H.; Shammah-Lagnado, S.J. Organization of ventral tegmental area projections to the ventral tegmental area-nigral complex in the rat. Neuroscience 2008, 153, 196–213. [Google Scholar] [CrossRef]
- Morales, M.; Margolis, E.B. Ventral tegmental area: Cellular heterogeneity, connectivity and behaviour. Nat. Rev. Neurosci. 2017, 18, 73–85. [Google Scholar] [CrossRef]
- Barrot, M.; Sesack, S.R.; Georges, F.; Pistis, M.; Hong, S.; Jhou, T.C. Braking dopamine systems: A new GABA master structure for mesolimbic and nigrostriatal functions. J. Neurosci. 2012, 32, 14094–14101. [Google Scholar] [CrossRef]
- Zhou, J.C. The rostromedial tegmental (RMTg) “brake” on dopamine and behavior: A decade of progress but also much unfinished work. Neuropharmacology 2021, 198, 108763. [Google Scholar] [CrossRef]
- Dalteg, A.; Zandelin, A.; Tuninger, E.; Levander, S. Psychosis in adulthood is associated with high rates of ADHD and CD problems during childhood. Nord. J. Psychiatry 2014, 68, 560–566. [Google Scholar] [CrossRef]
- Karam, R.G.; Breda, V.; Picon, F.A.; Rovaris, D.L.; Victor, M.M.; Salgado CA, I.; Vitola, E.S.; Silva, K.L.; Guimaraes-da-Silva, P.O.; Mota, N.R.; et al. Persistence and remission of ADHD during adulthood: A 7-year clinical follow-up study. Psychol. Med. 2015, 45, 2045–2056. [Google Scholar] [CrossRef]
- Kleim, J.A.; Lussnig, E.; Schwarz, E.R.; Comery, T.A.; Greenough, W.T. Synaptogenesis and Fos expression in the motor cortex of the adult rat after motor skill learning. J. Neurosci. 1996, 16, 4529–4535. [Google Scholar] [CrossRef] [PubMed]
- Insel, T.R. Rethinking schizophrenia. Nature 2010, 468, 187–193. [Google Scholar] [CrossRef] [PubMed]
- Kohe, S.E.; Gowing, E.K.; Seo, S.; Oorschot, D.E. A novel rat model of ADHD-like hyperactivity/impulsivity after delayed reward has selective loss of dopaminergic neurons in the right ventral tegmental area. Int. J. Mol. Sci. 2023, 24, 11252. [Google Scholar] [CrossRef] [PubMed]
- Oorschot, D.E.; Voss, L.; Covey, M.V.; Bilkey, D.K.; Saunders, S.E. ADHD-like hyperactivity, with no attention deficit, in adult rats after repeated hypoxia during the equivalent of extreme prematurity. J. Neurosci. Methods 2007, 166, 315–322. [Google Scholar] [CrossRef]
- Oorschot, D.E.; Voss, L.; Covey, M.V.; Goddard, L.; Huang, W.; Birchall, P.; Bilkey, D.K.; Kohe, S.E. Spectrum of short- and long-term brain pathology and long-term behavioral deficits in male repeated hypoxic rats closely resembling human extreme prematurity. J. Neurosci. 2013, 33, 11863–11877. [Google Scholar] [CrossRef]
- Willcut, E.G. The prevalence of DSM-IV attention-deficit/hyperactivity disorder: A meta-analytic review. Neurotherapeutics 2012, 9, 490–499. [Google Scholar] [CrossRef]
- Bhutta, A.T.; Cleves, M.A.; Casey, P.H.; Cradock, M.M.; Anand KJ, S. Cognitive and behavioral outcomes of school-aged children who were born preterm: A meta-analysis. J. Am. Med. Assoc. 2002, 288, 728–737. [Google Scholar] [CrossRef]
- Botting, N.; Powls, A.; Cooke, R.W.; Marlow, N. Attention deficit hyperactivity disorders and other psychiatric outcomes in very low birthweight children at 12 years. J. Child Psychol. Psychiatry 1997, 38, 9319–9324. [Google Scholar] [CrossRef]
- Szatmari, P.; Saigal, S.; Rosenbaum, P.; Campbell, D.; King, S. Psychiatric disorders at five years among children with birthweights less than 1000 g: A regional perspective. Dev. Med. Child Neurol. 1990, 32, 954–962. [Google Scholar] [CrossRef]
- Seo, S.; Sizemore, R.J.; Reader, K.L.; Smither, R.A.; Wicky, H.E.; Hughes, S.M.; Bilkey, D.K.; Parr-Brownlie, L.C.; Oorschot, D.E. A schizophrenia risk factor induces marked anatomical deficits at GABAergic-dopaminergic synapses in the rat ventral tegmental area: Essential evidence for new targeted therapies. J. Comp. Neurol. 2021, 529, 3946–3973. [Google Scholar] [CrossRef]
- Howes, O.D.; Kapur, S. The dopamine hypothesis of schizophrenia: Version III-the final common pathway. Schizophr. Bull. 2009, 35, 549–562. [Google Scholar] [CrossRef] [PubMed]
- Vederhus, B.J.; Markestad, T.; Eide, G.E.; Graue, M.; Halvorsen, T. Health related quality of life after extremely preterm birth: A matched controlled cohort study. Health Qual. Life Outcomes 2010, 8, 53. [Google Scholar] [CrossRef] [PubMed]
- Pan, K.; Jinnah, H.A.; Hess, E.J.; Smith, Y.; Villabla, R.M. Ultrastructural analysis of nigrostriatal dopaminergic terminals in a knockin mouse model of DYT1 dystonia. Eur. J. Neurosci. 2024, 59, 1407–1427. [Google Scholar] [CrossRef] [PubMed]
- Bromer, C.; Bartol, T.M.; Bowden, J.B.; Hubbard, D.D.; Hanka, D.C.; Gonzalez, P.V.; Kuwajima, M.; Mendenhall, J.M.; Parker, P.H.; Abraham, W.C.; et al. Long-term potentiation expands information content of hippocampal dentate gyrus synapses. Proc. Natl. Acad. Sci. USA 2018, 115, E2410–E2418. [Google Scholar] [CrossRef] [PubMed]
- Sizemore, R.J.; Zhang, R.; Lin, N.; Goddard, L.; Wastney, T.; Parr-Brownlie, L.C.; Reynolds JN, J.; Oorschot, D.E. Marked differences in the number and type of synapses innervating the somata and primary dendrites of midbrain dopaminergic neurons, striatal cholinergic interneurons and striatal spiny projection neurons in the rat. J. Comp. Neurol. 2016, 524, 1062–1080. [Google Scholar] [CrossRef]
- Tao-Cheng, J.-H.; Crocker, V.T.; Winters, C.A.; Azzam, R.; Chludzinski, J.; Reese, T.S. Trafficking of AMPA receptors at plasma membranes of hippocampal neurons. J. Neurosci. 2011, 31, 4834–4843. [Google Scholar] [CrossRef]
- Harris, K.M.; Weinberg, R.J. Ultrastructure of synapses in the mammalian brain. Cold Spring Harb. Perspect. Biol. 2012, 4, a005587. [Google Scholar] [CrossRef]
- Brinschwitz, K.; Dittgen, A.; Madai, V.I.; Lommel, R.; Geisler, S.; Veh, R.W. Glutamatergic axons from the lateral habenula mainly terminate on GABAergic neurons of the ventral midbrain. Neuroscience 2010, 168, 463–476. [Google Scholar] [CrossRef]
- Jones, D.G.; Calverley, R.K.S. Perforated and non-perforated synapses in rat neocortex: Three-dimensional reconstructions. Brain Res. 1991, 556, 247–258. [Google Scholar] [CrossRef]
- Oorschot, D.E. Are you using neuronal densities, synaptic densities or neurochemical densities are your definitive data? There is a better way to go. Prog. Neurobiol. 1994, 44, 233–247. [Google Scholar] [CrossRef]
- Flores, C.E.; Méndez, P. Shaping inhibition: Activity dependent structural plasticity of GABAergic synapses. Front. Cell. Neurosci. 2014, 8, 327. [Google Scholar] [CrossRef] [PubMed]
- Nusser, Z.; Hájos, N.; Somogyi, P.; Mody, I. Increased number of synaptic GABA(A) receptors underlies potentiation at hippocampal inhibitory synapses. Nature 1998, 395, 172–177. [Google Scholar] [CrossRef]
- Christensen, N.R.; Čalyševa, J.; Fernandes EF, A.; Lüchow, S.; Clemmensen, L.S.; Haugaard-Kedström, L.M.; Strømgaard, K. PDZ Domains Drug targets. Adv. Ther. 2019, 2, 1800143. [Google Scholar] [CrossRef] [PubMed]
- Engin, E.; Benham, R.S.; Rudolph, U. An emerging circuit pharmacology of GABAA receptors. Trends Pharmacol. Sci. 2018, 39, 710–732. [Google Scholar] [CrossRef] [PubMed]
- Okada, H.; Matsushita NKobayashi, K.; Kobayashi, K. Identification of GABAA receptor subunit variants in midbrain dopaminergic neurons. J. Neurochem. 2004, 89, 7–14. [Google Scholar] [CrossRef] [PubMed]
- Nusser, Z.; Cull-Candy, S.; Farrant, M. Differences in synaptic GABAA receptor number underlie variation in GABA mini amplitude. Neuron 1997, 19, 697–709. [Google Scholar] [CrossRef]
- Bae, Y.C.; Kim, J.P.; Choi, B.J.; Park, K.P.; Choi, M.K.; Moritani, M.; Yoshida, A.; Shigenaga, Y. Synaptic organization of tooth pulp afferent terminals in the rat trigeminal sensory nuclei. J. Comp. Neurol. 2003, 463, 13–24. [Google Scholar] [CrossRef]
- Hamori, J.; Mezey, E. Serial and triadic synapses in the cerebellar nuclei of the cat. Exp. Brain Res. 1977, 30, 259–273. [Google Scholar]
- Harding, B.N.; Powell TP, S. An electron microscopic study of the centre-median and ventrolateral nuclei of the thalamus in the monkey. Philos. Trans. R. Soc. Lond. Ser. B Biol. Sci. 1977, 279, 357–412. [Google Scholar]
- Rho, A.; Traicu, A.; Lepage, M.; Iyer, S.N.; Malla, A.; Joober, R. Clinical and functional implications of a history of childhood ADHD in first-episode psychosis. Schizophr. Res. 2015, 165, 128–133. [Google Scholar] [CrossRef]
- Söderlund GB, W.; Eckernäs, D.; Holmblad, O.; Bergquist, F. Acoustic noise improves motor learning in spontaneously hypertensive rats, a rat model of attention deficit hyperactivity disorder. Behav. Brain Res. 2015, 280, 84–91. [Google Scholar] [CrossRef] [PubMed]
- Sagvolden, T. Behavioral validation of the spontaneously hypertensive rat (SHR) as an animal model of attention-deficit/hyperactivity disorder (AD/HD). Neurosci. Biobehav. Rev. 2000, 24, 31–39. [Google Scholar] [CrossRef] [PubMed]
- Katzav, A.; Grigoriadis, N.C.; Ebert, T.; Touloumi, O.; Blank, M.; Pick, C.G.; Shoenfeld, Y.; Chapman, J. Coagulopathy triggered autoimmunity: Experimental antiphospholipid syndrome in factor V Leiden mice. BMC Med. J. 2013, 11, 92. [Google Scholar] [CrossRef] [PubMed]
- Taylor, G.L.; O’Shea, M. Extreme prematurity: Risk and resiliency. Curr. Probl. Pediatr. Adolesc. Health Care 2022, 52, 101132. [Google Scholar] [CrossRef] [PubMed]
- Li, X.; Zhou, W.; Yi, Z. A glimpse of gender differences in schizophrenia. Gen. Psychiatry 2022, 35, e100823. [Google Scholar] [CrossRef]
- Corbier, P.; Edwards, D.A.; Roffi, J. The neonatal testosterone surge: A comparative study. Arch. Int. Physiol. Biochim. Biophys. 1992, 100, 127–131. [Google Scholar] [CrossRef]
- Forgie, M.L.; Stewart, J. Sex differences in amphetamine-induced locomotor activity in adult rats: Role of testosterone exposure in the neonatal period. Pharmacol. Biochem. Behav. 1993, 46, 637–645. [Google Scholar] [CrossRef]
- Hermans, R.H.; Longo, L.D.; McGivern, R.F. Decreased postnatal testosterone and corticosterone concentrations in rats following acute intermittent prenatal hypoxia without alterations in adult male sex behavior. Neurotoxicology Teratol. 1994, 16, 201–206. [Google Scholar] [CrossRef]
- Boksa, P.; Zhang, Y. Global birth hypoxia increases the neonatal testosterone surge in the rat. Neuroendocrinology 2008, 88, 266–275. [Google Scholar] [CrossRef]
- El-Khodor, B.F.; Boksa, P. Differential vulnerability of male versus female rats to long-term effects of birth insult on brain catecholamine levels. Exp. Neurol. 2003, 182, 208–219. [Google Scholar] [CrossRef]
- Kipp, M.; Karakaya, S.; Pawlak, J.; Araujo-Wright, G.; Arnold, S.; Beyer, C. Estrogen and the development and protection of nigrostriatal dopaminergic neurons: Concerted action of a multitude of signals, protective molecules, and growth factors. Front. Neuroendocrinol. 2006, 27, 376–390. [Google Scholar] [CrossRef] [PubMed]
- Goozée, R.; Handley, R.; Kempton, M.J.; Dazzan, P. A systematic review and meta-analysis of the effects of antipsychotic medications on regional cerebral blood flow (rCBF) in schizophrenia: Association with response to treatment. Neurosci. Biobehav. Rev. 2014, 43, 118–136. [Google Scholar] [CrossRef] [PubMed]
- Girdler, S.J.; Confino, J.E.; Woesner, M.E. Exercise as a treatment for schizophrenia: A review. Psychopharmacol. Bull. 2019, 49, 56–69. [Google Scholar] [PubMed]
- Gozal, E.; Shah, Z.A.; Pequignot, J.M.; Pequignot, J.; Sachleben, L.R.; Czyzyk-Krzeska, M.F.; Li, R.C.; Guo, S.-Z.; Gozal, D. Tyrosine hydroxylase expression and activity in the rat brain: Differential regulation after long-term intermittent or sustained hypoxia. J. Appl. Physiol. 2005, 99, 642–649. [Google Scholar] [CrossRef]
- Linterman, K.S.; Palmer, D.N.; Kay, G.W.; Barry, L.A.; Mitchell, N.L.; McFarlane, R.G.; Black, M.A.; Sands, M.S.; Hughes, S.M. Lentiviral-mediated gene transfer to the sheep brain: Implications for gene therapy in Batten disease. Hum. Gene Ther. 2011, 22, 1011–1020. [Google Scholar] [CrossRef]
- Paxinos, G.; Watson, C. The Rat Brain in Stereotaxic Coordinates, 4th ed.; Academic Press: London, UK, 1998. [Google Scholar]
- Hobbs, C.E.; Oorschot, D.E. Neonatal rat hypoxia-ischemia: Long-term rescue of striatal neurons and motor skills by combined antioxidant-hypothermia treatment. Brain Pathol. 2008, 18, 443–454. [Google Scholar] [CrossRef]
- Jeyasingham, R.A.; Baird, A.L.; Meldrum, A.; Dunnett, S.B. Differential effects of unilateral striatal and nigrostriatal lesions on grip strength, skilled paw reaching and drug-induced rotation in the rat. Brain Res. Bull. 2001, 55, 541–548. [Google Scholar] [CrossRef]
- Sagvolden, T.; Aase, H.; Zeiner, P.; Berger, D. Altered reinforcement mechanisms in attention-deficit/hyperactivity disorder. Behav. Brain Res. 1998, 94, 61–71. [Google Scholar] [CrossRef]
- Oorschot, D.E.; Lin, N.; Cooper, B.H.; Reynolds JN, J.; Sun, H.; Wickens, J.R. Synaptic connectivity between rat striatal spiny projection neurons in vivo: Unexpected multiple somatic innervation in the context of overall sparse proximal connectivity. Basal Ganglia 2013, 3, 93–108. [Google Scholar] [CrossRef]
- Sizemore, R.J.; Reynolds JN, J.; Oorschot, D.E. Number and type of synapses on the distal dendrite of a rat striatal cholinergic interneuron: A quantitative, ultrastructural study. J. Anat. 2010, 217, 223–235. [Google Scholar] [CrossRef]
- Oorschot, D.E.; Peterson, D.A.; Jones, D.G. Neurite growth from, and neuronal survival within, cultured explants of the nervous system: A critical review of morphometric and stereological methods, and suggestions for the future. Prog. Neurobiol. 1991, 37, 525–546. [Google Scholar] [CrossRef] [PubMed]
- De Groot, D.M.G. Comparison of methods for the estimation of the thickness of ultrathin tissue sections. J. Microsc. 1988, 151, 23–42. [Google Scholar] [CrossRef] [PubMed]
- Fiala, J.C.; Harris, K.M. Cylindrical diameters method for calibrating section thickness in serial electron microscopy. J. Microsc. 2001, 202, 468–472. [Google Scholar] [CrossRef] [PubMed]
- Small, J.V. Meaurement of section thickness. In Proceedings of the Abstracts of the Fourth European Regional Conference on Electron Microscopy, Rome, Italy, 1–7 September 1968; Volume 1, pp. 609–610. [Google Scholar]










| Disclaimer/Publisher’s Note: The statements, opinions and data contained in all publications are solely those of the individual author(s) and contributor(s) and not of MDPI and/or the editor(s). MDPI and/or the editor(s) disclaim responsibility for any injury to people or property resulting from any ideas, methods, instructions or products referred to in the content. | 
© 2024 by the authors. Licensee MDPI, Basel, Switzerland. This article is an open access article distributed under the terms and conditions of the Creative Commons Attribution (CC BY) license (https://creativecommons.org/licenses/by/4.0/).
Share and Cite
Seo, S.; Parr-Brownlie, L.C.; Wicky, H.E.; Bilkey, D.K.; Hughes, S.M.; Oorschot, D.E. A Risk Factor for Attention Deficit Hyperactivity Disorder Induces Marked Long-Term Anatomical Changes at GABAergic-Dopaminergic Synapses in the Rat Ventral Tegmental Area. Int. J. Mol. Sci. 2024, 25, 12970. https://doi.org/10.3390/ijms252312970
Seo S, Parr-Brownlie LC, Wicky HE, Bilkey DK, Hughes SM, Oorschot DE. A Risk Factor for Attention Deficit Hyperactivity Disorder Induces Marked Long-Term Anatomical Changes at GABAergic-Dopaminergic Synapses in the Rat Ventral Tegmental Area. International Journal of Molecular Sciences. 2024; 25(23):12970. https://doi.org/10.3390/ijms252312970
Chicago/Turabian StyleSeo, Steve, Louise C. Parr-Brownlie, Hollie E. Wicky, David K. Bilkey, Stephanie M. Hughes, and Dorothy E. Oorschot. 2024. "A Risk Factor for Attention Deficit Hyperactivity Disorder Induces Marked Long-Term Anatomical Changes at GABAergic-Dopaminergic Synapses in the Rat Ventral Tegmental Area" International Journal of Molecular Sciences 25, no. 23: 12970. https://doi.org/10.3390/ijms252312970
APA StyleSeo, S., Parr-Brownlie, L. C., Wicky, H. E., Bilkey, D. K., Hughes, S. M., & Oorschot, D. E. (2024). A Risk Factor for Attention Deficit Hyperactivity Disorder Induces Marked Long-Term Anatomical Changes at GABAergic-Dopaminergic Synapses in the Rat Ventral Tegmental Area. International Journal of Molecular Sciences, 25(23), 12970. https://doi.org/10.3390/ijms252312970
 
        


 
       