Phenotypic Characterization and Genome Analysis of New Broad-Spectrum Virulent Salmophage, Salmonella Phage KKP_3822, for Biocontrol of Multidrug-Resistant Salmonella enterica Strains
Abstract
1. Introduction
2. Results and Discussion
2.1. Bacterial Host Strains
2.2. Lytic Spectrum of the Examined Phage
2.3. Phage Physiological Parameters
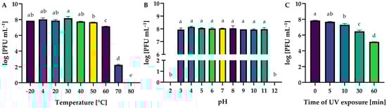
2.4. Impact of Selected Factors on the Maintenance of Salmonella Phage KKP_3822 Activity
2.5. Determination of Morphological Features of Salmonella Phage KKP_3822 and Its Plaques
2.6. Genome Sequencing and Bioinformatics Analysis of Salmonella Phage KKP_3822
3. Materials and Methods
3.1. Bacterial Host Strains
3.2. Isolation, Purification, and Bacteriophage Propagation
3.3. Bacterial Host Range for the Tested Phage
3.4. One-Step Growth
3.5. Phage Adsorption Time
3.6. Changes in the Growth Kinetics of Bacterial Hosts After Phage Infection
3.7. Influence of Selected Factors on the Preservation of the Phage Activity
3.8. Electron Micrographs of Phage Particles
3.9. Phage Genome Sequencing and Bioinformatics Analysis
3.10. Statistical Analysis
4. Conclusions
Author Contributions
Funding
Institutional Review Board Statement
Informed Consent Statement
Data Availability Statement
Acknowledgments
Conflicts of Interest
References
- Mkangara, M. Prevention and Control of Human Salmonella enterica Infections: An Implication in Food Safety. Int. J. Food Sci. 2023, 2023, 8899596. [Google Scholar] [CrossRef] [PubMed]
- Shaji, S.; Selvaraj, R.K.; Shanmugasundaram, R. Salmonella Infection in Poultry: A Review on the Pathogen and Control Strategies. Microorganisms 2023, 11, 2814. [Google Scholar] [CrossRef] [PubMed]
- European Food Safety Authority (EFSA); European Centre for Disease Prevention and Control (ECDC). The European Union One Health 2022 Zoonoses Report. EFSA J. 2023, 21, e8442. [Google Scholar]
- Wójcicki, M.; Świder, O.; Daniluk, K.J.; Średnicka, P.; Akimowicz, M.; Roszko, M.Ł.; Sokołowska, B.; Juszczuk-Kubiak, E. Transcriptional Regulation of the Multiple Resistance Mechanisms in Salmonella—A Review. Pathogens 2021, 10, 801. [Google Scholar] [CrossRef] [PubMed]
- Ehuwa, O.; Jaiswal, A.K.; Jaiswal, S. Salmonella, Food Safety and Food Handling Practices. Foods 2021, 10, 907. [Google Scholar] [CrossRef]
- Galán-Relaño, Á.; Valero Díaz, A.; Huerta Lorenzo, B.; Gómez-Gascón, L.; Mena Rodríguez, M.Á.; Carrasco Jiménez, E.; Pérez Rodríguez, F.; Astorga Márquez, R.J. Salmonella and Salmonellosis: An Update on Public Health Implications and Control Strategies. Animals 2023, 13, 3666. [Google Scholar] [CrossRef]
- Teklemariam, A.D.; Al-Hindi, R.R.; Albiheyri, R.S.; Alharbi, M.G.; Alghamdi, M.A.; Filimban, A.A.R.; Al Mutiri, A.S.; Al-Alyani, A.M.; Alseghayer, M.S.; Almaneea, A.M.; et al. Human Salmonellosis: A Continuous Global Threat in the Farm-to-Fork Food Safety Continuum. Foods 2023, 12, 1756. [Google Scholar] [CrossRef]
- Chandra, P.; Unnikrishnan, M.K.; Vandana, K.E.; Mukhopadhyay, C.; Dinesh Acharya, U.; Surulivel Rajan, M.; Rajesh, V. Antimicrobial resistance and the post antibiotic era: Better late than never effort. Expert Opin. Drug Saf. 2021, 20, 1375–1390. [Google Scholar] [CrossRef]
- Kose, A.; Colak, C. Knowledge and awareness of physicians about rational antibiotic use and antimicrobial resistance before and after graduation: A cross–sectional study conducted in Malatya Province in Turkey. Infect. Drug Resist. 2021, 14, 2557–2568. [Google Scholar] [CrossRef]
- Ben, Y.; Fu, C.; Hu, M.; Liu, L.; Wong, M.H.; Zheng, C. Human health risk assessment of antibiotic resistance associated with antibiotic residues in the environment: A review. Environ. Res. 2019, 169, 483–493. [Google Scholar] [CrossRef]
- Godziszewska, J.; Guzek, D.; Głąbski, K.; Wierzbicka, A. Mobilna antybiotykooporność—O rozprzestrzenianiu się genów determinujących oporność bakterii poprzez produkty spożywcze [Mobile antibiotic resistance—The spread of genes determining the resistance of bacteria through food products]. Postep. Hig. Med. Dosw. 2016, 70, 803–810. [Google Scholar] [CrossRef] [PubMed]
- Mole, B. MRSA: Farming up trouble. Nature 2013, 499, 398–400. [Google Scholar] [CrossRef] [PubMed]
- Wang, N.; Yang, X.; Jiao, S.; Zhang, J.; Ye, B.; Gao, S. Sulfonamide–resistant bacteria and their resistance genes in soils fertilized with manures from Jiangsu Province, Southeastern China. PLoS ONE 2014, 9, e112626. [Google Scholar] [CrossRef]
- Vinayamohan, P.G.; Pellissery, A.J.; Venkitanarayanan, K. Role of horizontal gene transfer in the dissemination of antimicrobial resistance in food animal production. Curr. Opin. Food Sci. 2022, 47, 100882. [Google Scholar] [CrossRef]
- Llor, C.; Bjerrum, L. Antimicrobial resistance: Risk associated with antibiotic overuse and initiatives to reduce the problem. Ther. Adv. Drug Saf. 2014, 5, 229–241. [Google Scholar] [CrossRef] [PubMed]
- Velazquez-Meza, M.E.; Galarde-López, M.; Carrillo-Quiróz, B.; Alpuche-Aranda, C.M. Antimicrobial resistance: One Health approach. Vet. World 2022, 15, 743–749. [Google Scholar] [CrossRef]
- Muteeb, G.; Rehman, M.T.; Shahwan, M.; Aatif, M. Origin of Antibiotics and Antibiotic Resistance, and Their Impacts on Drug Development: A Narrative Review. Pharmaceuticals 2023, 16, 1615. [Google Scholar] [CrossRef]
- Oluwafemi, R.; Olawale, I.; Alagbe, J. Recent trends in the utilization of medicinal plants as growth promoters in poultry nutrition—A review. Res. Agric. Vet. Sci. 2020, 4, 5–11. [Google Scholar]
- Cuong, N.V.; Kiet, B.T.; Hien, V.B.; Truong, B.D.; Phu, D.H.; Thwaites, G.; Choisy, M.; Carrique-Mas, J. Antimicrobial use through consumption of medicated feeds in chicken flocks in the Mekong Delta of Vietnam: A three–year study before a ban on antimicrobial growth promoters. PLoS ONE 2021, 16, e0250082. [Google Scholar] [CrossRef]
- European Parliament and of the Council. Programme of Community Action in the Field of Public Health (2003 to 2008). Available online: https://eur-lex.europa.eu/EN/legal-content/summary/programme-of-community-action-in-the-field-of-public-health-2003-2008.html (accessed on 22 September 2024).
- National Program for Antibiotic Protection. Available online: https://antybiotyki.edu.pl/ (accessed on 22 September 2024).
- Chevallereau, A.; Pons, B.J.; van Houte, S.; Westra, E.R. Interactions between bacterial and phage communities in natural environments. Nat. Rev. Microbiol. 2022, 20, 49–62. [Google Scholar] [CrossRef]
- Endersen, L.; Coffey, A. The use of bacteriophages for food safety. Curr. Opin. Food Sci. 2020, 36, 1–8. [Google Scholar] [CrossRef]
- Popescu, M.; Van Belleghem, J.D.; Khosravi, A.; Bollyky, P.L. Bacteriophages and the immune system. Ann. Rev. Virol. 2021, 8, 415–435. [Google Scholar] [CrossRef] [PubMed]
- Podlacha, M.; Grabowski, Ł.; Kosznik-Kwaśnicka, K.; Zdrojewska, K.; Stasiłojć, M.; Węgrzyn, G.; Węgrzyn, A. Interactions of bacteriophages with animal and human organisms—Safety issues in the light of phage therapy. Int. J. Mol. Sci. 2021, 22, 8937. [Google Scholar] [CrossRef]
- Shuwen, H.; Kefeng, D. Intestinal phages interact with bacteria and are involved in human diseases. Gut Microbes 2022, 14, 2113717. [Google Scholar] [CrossRef] [PubMed]
- Liu, S.; Lu, H.; Zhang, S.; Shi, Y.; Chen, Q. Phages against pathogenic bacterial biofilms and biofilm–based infections: A review. Pharmaceutics 2022, 14, 427. [Google Scholar] [CrossRef] [PubMed]
- Blasco, L.; Bleriot, I.; González de Aledo, M.; Fernández-García, L.; Pacios, O.; Oliveira, H.; López, M.; Ortiz-Cartagena, C.; Fernández-Cuenca, F.; Pascual, Á.; et al. Development of an anti–Acinetobacter baumannii biofilm phage cocktail: Genomic adaptation to the host. Antimicrob. Agents Chemother. 2022, 66, e0192321. [Google Scholar] [CrossRef]
- Zhou, Y.; Li, L.; Han, K.; Wang, L.; Cao, Y.; Ma, D.; Wang, X. A polyvalent broad–spectrum Escherichia phage Tequatrovirus EP01 capable of controlling Salmonella and Escherichia coli contamination in foods. Viruses 2022, 14, 286. [Google Scholar] [CrossRef]
- Ortiz Charneco, G.; de Waal, P.P.; van Rijswijck, I.M.; van Peij, N.N.; van Sinderen, D.; Mahony, J. Bacteriophages in the dairy industry: A problem solved? Annu. Rev. Food Sci. Technol. 2023, 14, 367–385. [Google Scholar] [CrossRef]
- Olejnik-Schmidt, A.; Pietrzak, B.; Kawacka, I.; Malak, K.; Wawrzyniak, W.; Schmidt, M. A simple method for assessing diversity and dynamics of microbial community: Comparison of dairy phages from industrial and spontaneous fermentation. Appl. Sci. 2021, 11, 8915. [Google Scholar] [CrossRef]
- Guo, Y.; Li, J.; Islam, M.S.; Yan, T.; Zhou, Y.; Liang, L.; Connerton, I.F.; Deng, K.; Li, J. Application of a novel phage vB_SalS–LPSTLL for the biological control of Salmonella in foods. Food Res. Int. 2021, 147, 110492. [Google Scholar] [CrossRef]
- Michaelis, C.; Grohmann, E. Horizontal gene transfer of antibiotic resistance genes in biofilms. Antibiotics 2023, 12, 328. [Google Scholar] [CrossRef] [PubMed]
- Cieślik, M.; Bagińska, N.; Jończyk-Matysiak, E.; Węgrzyn, A.; Węgrzyn, G.; Górski, A. Temperate bacteriophages—The powerful indirect modulators of eukaryotic cells and immune functions. Viruses 2021, 13, 1013. [Google Scholar] [CrossRef] [PubMed]
- Wójcicki, M.; Chmielarczyk, A.; Świder, O.; Średnicka, P.; Strus, M.; Kasperski, T.; Shymialevich, D.; Cieślak, H.; Emanowicz, P.; Kowalczyk, M.; et al. Bacterial Pathogens in the Food Industry: Antibiotic Resistance and Virulence Factors of Salmonella enterica Strains Isolated from Food Chain Links. Pathogens 2022, 11, 1323. [Google Scholar] [CrossRef] [PubMed]
- Schwengers, O.; Jelonek, L.; Dieckmann, M.A.; Beyvers, S.; Blom, J.; Goesmann, A. Bakta: Rapid and Standardized Annotation of Bacterial Genomes via Alignment-Free Sequence Identification. Microb. Genom. 2021, 7, 000685. [Google Scholar]
- Chaudhari, R.; Singh, K.; Kodgire, P. Biochemical and Molecular Mechanisms of Antibiotic Resistance in Salmonella spp. Res. Microbiol. 2022, 174, 103985. [Google Scholar] [CrossRef]
- Yamasaki, S.; Zwama, M.; Yoneda, T.; Hayashi-Nishino, M.; Nishino, K. Drug resistance and physiological roles of RND multidrug efflux pumps in Salmonella enterica, Escherichia coli and Pseudomonas aeruginosa. Microbiology 2023, 169, 001322. [Google Scholar] [CrossRef]
- Sharma, N.; Das, A.; Raja, P.; Marathe, S.A. The CRISPR-Cas system differentially regulates surface-attached and pellicle biofilm in Salmonella enterica serovar Typhimurium. Microbiol. Spectr. 2022, 10, e00202-22. [Google Scholar] [CrossRef]
- Haider, M.Z.; Shabbir, M.A.B.; Yaqub, T.; Sattar, A.; Maan, M.K.; Mahmood, S.; Mehmood, T.; Aslam, H.B. CRISPR-Cas system: An adaptive immune system’s association with antibiotic resistance in Salmonella enterica serovar Enteritidis. BioMed Res. Int. 2022, 2022, 9080396. [Google Scholar] [CrossRef]
- Andrews, K.; Landeryou, T.; Sicheritz-Pontén, T.; Nale, J.Y. Diverse Prophage Elements of Salmonella enterica Serovars Show Potential Roles in Bacterial Pathogenicity. Cells 2024, 13, 514. [Google Scholar] [CrossRef]
- Proksee Program. Available online: https://proksee.ca/ (accessed on 18 September 2024).
- Oechslin, F. Resistance Development to Bacteriophages Occurring during Bacteriophage Therapy. Viruses 2018, 10, 351. [Google Scholar] [CrossRef]
- Guerrero-Bustamante, C.A.; Dedrick, R.M.; Garlena, R.A.; Russell, D.A.; Hatfull, G.F. Toward a phage cocktail for tuberculosis: Susceptibility and tuberculocidal action of mycobacteriophages against diverse Mycobacterium tuberculosis strains. mBio 2021, 12. [Google Scholar] [CrossRef] [PubMed]
- Chung, K.M.; Liau, X.L.; Tang, S.S. Bacteriophages and Their Host Range in Multidrug-Resistant Bacterial Disease Treatment. Pharmaceuticals 2023, 16, 1467. [Google Scholar] [CrossRef]
- Wójcicki, M.; Świder, O.; Średnicka, P.; Shymialevich, D.; Ilczuk, T.; Koperski, Ł.; Cieślak, H.; Sokołowska, B.; Juszczuk-Kubiak, E. Newly Isolated Virulent Salmophages for Biocontrol of Multidrug-Resistant Salmonella in Ready-to-Eat Plant-Based Food. Int. J. Mol. Sci. 2023, 24, 10134. [Google Scholar] [CrossRef] [PubMed]
- Mohammed, M.; Casjens, S.R.; Millard, A.D.; Harrison, C.; Gannon, L.; Chattaway, M.A. Genomic Analysis of Anderson Typing Phages of Salmonella Typhimrium: Towards Understanding the Basis of Bacteria-Phage Interaction. Sci. Rep. 2023, 13, 10484. [Google Scholar] [CrossRef] [PubMed]
- Danis-Wlodarczyk, K.; Dąbrowska, K.; Abedon, S.T. Phage Therapy: The Pharmacology of Antibacterial Viruses. Curr. Issues Mol. Biol. 2021, 40, 81–164. [Google Scholar] [CrossRef]
- Islam, M.S.; Hu, Y.; Mizan, M.F.R.; Yan, T.; Nime, I.; Zhou, Y.; Li, J. Characterization of Salmonella Phage LPST153 That Effectively Targets Most Prevalent Salmonella Serovars. Microorganisms 2020, 8, 1089. [Google Scholar] [CrossRef]
- Sattar, S.; Ullah, I.; Khanum, S.; Bailie, M.; Shamsi, B.; Ahmed, I.; Shah, S.T.A.; Javed, S.; Ghafoor, A.; Pervaiz, A.; et al. Phenotypic characterization and genome analysis of a novel Salmonella Typhimurium phage having unique tail fiber genes. Sci. Rep. 2022, 12, 5732. [Google Scholar] [CrossRef]
- Mondal, P.; Mallick, B.; Dutta, M.; Dutta, S. Isolation, Characterization, and Application of a Novel Polyvalent Lytic Phage STWB21 against Typhoidal and Nontyphoidal Salmonella spp. Front. Microbiol. 2022, 13, 980025. [Google Scholar] [CrossRef]
- Kwon, J.; Kim, S.G.; Kim, H.J.; Giri, S.S.; Kim, S.W.; Lee, S.B.; Park, S.C. Isolation and Characterization of Salmonella Jumbo-Phage pSal-SNUABM-04. Viruses 2021, 13, 27. [Google Scholar] [CrossRef]
- Kitti, T.; Kongfak, S.; Leungtongkam, U.; Thummeepak, R.; Tasanapak, K.; Thanwisai, A.; Sitthisa, k.S. Comparative genome analysis of Escherichia coli bacteriophages isolated from sewage and chicken meat. Virus Res. 2022, 315, 198784. [Google Scholar] [CrossRef]
- Shymialevich, D.; Błażejak, S.; Średnicka, P.; Cieślak, H.; Ostrowska, A.; Sokołowska, B.; Wójcicki, M. Biological Characterization and Genomic Analysis of Three Novel Serratia- and Enterobacter-Specific Virulent Phages. Int. J. Mol. Sci. 2024, 25, 5944. [Google Scholar] [CrossRef] [PubMed]
- Shang, Y.; Sun, Q.; Chen, H.; Wu, Q.; Chen, M.; Yang, S.; Du, M.; Zha, F.; Ye, Q.; Zhang, J. Isolation and Characterization of a Novel Salmonella Phage vB_SalP_TR2. Front. Microbiol. 2021, 12, 664810. [Google Scholar] [CrossRef] [PubMed]
- Zhao, M.; Xie, R.; Wang, S.; Huang, X.; Yang, H.; Wu, W.; Lin, L.; Chen, H.; Fan, J.; Hua, L.; et al. Identification of a broad-spectrum lytic Myoviridae bacteriophage using multidrug resistant Salmonella isolates from pig slaughterhouses as the indicator and its application in combating Salmonella infections. BMC Vet. Res. 2022, 18, 270. [Google Scholar] [CrossRef]
- Jończyk-Matysiak, E.; Łodej, N.; Kula, D.; Owczarek, B.; Orwat, F.; Międzybrodzki, R.; Neuberg, J.; Bagińska, N.; Weber-Dąbrowska, B.; Górski, A. Factors determining phage stability/activity: Challenges in practical phage application. Expert Rev. Anti-Infect. Ther. 2019, 17, 583–606. [Google Scholar] [CrossRef] [PubMed]
- Egilmez, H.I.; Morozov, A.Y.; Galyov, E.E. Modelling the spatiotemporal complexity of interactions between pathogenic bacteria and a phage with a temperature-dependent life cycle switch. Sci. Rep. 2021, 11, 4382. [Google Scholar] [CrossRef] [PubMed]
- Abedon, S.T. Bacteriophage adsorption: Likelihood of virion encounter with bacteria and other factors affecting rates. Antibiotics 2023, 12, 723. [Google Scholar] [CrossRef]
- Ramos-Vivas, J.; Elexpuru-Zabaleta, M.; Samano, M.L.; Barrera, A.P.; Forbes-Hernández, T.Y.; Giampieri, F.; Battino, M. Phages and Enzybiotics in Food Biopreservation. Molecules 2021, 26, 5138. [Google Scholar] [CrossRef]
- Koskella, B.; Hernandez, C.A.; Wheatley, R.M. Understanding the Impacts of Bacteriophage Viruses: From Laboratory Evolution to Natural Ecosystems. Annu. Rev. Virol. 2022, 9, 57–78. [Google Scholar] [CrossRef]
- Khan, M.A.S.; Islam, Z.; Barua, C.; Sakar, M.H.; Ahmed, F.; Rahman, S.R. Phenotypic characterization and genomic analysis of a Salmonella phage L223 for biocontrol of Salmonella spp. in poultry. Sci. Rep. 2024, 14, 15347. [Google Scholar] [CrossRef]
- Šimoliūnas, E.; Šimoliūnienė, M.; Laskevičiūtė, G.; Kvederavičiūtė, K.; Skapas, M.; Kaupinis, A.; Valius, M.; Meškys, R.; Kuisienė, N. Geobacillus Bacteriophages from Compost Heaps: Representatives of Three New Genera within Thermophilic Siphoviruses. Viruses 2023, 15, 1691. [Google Scholar] [CrossRef]
- Zhao, R.; Jiang, S.; Ren, S.; Yang, L.; Han, W.; Guo, Z.; Gu, J. A novel phage putative depolymerase, Depo16, has specific activity against K1 capsular-type Klebsiella pneumoniae. Appl. Environ. Microbiol. 2024, 90, e01197-23. [Google Scholar] [CrossRef] [PubMed]
- Zheng, X.-F.; Yang, Z.-Q.; Zhang, H.; Jin, W.-X.; Xu, C.-W.; Gao, L.; Rao, S.-Q.; Jiao, X.-A. Isolation of Virulent Phages Infecting Dominant Mesophilic Aerobic Bacteria in Cucumber Pickle Fermentation. Food Microbiol. 2020, 86, 103330. [Google Scholar] [CrossRef] [PubMed]
- Turner, D.; Shkoporov, A.N.; Lood, C.; Millard, A.D.; Dutilh, B.E.; Alfenas-Zerbini, P.; van Zyl, L.J.; Aziz, R.K.; Oksanen, H.M.; Poranen, M.M.; et al. Abolishment of morphology-based taxa and change to binomial species names: 2022 taxonomy update of the ICTV bacterial viruses subcommittee. Arch. Virol. 2023, 168, 74. [Google Scholar] [CrossRef] [PubMed]
- Turner, D.; Kropinski, A.M.; Adriaenssens, E.M. A Roadmap for Genome-Based Phage Taxonomy. Viruses 2021, 13, 506. [Google Scholar] [CrossRef] [PubMed]
- Mihara, T.; Nishimura, Y.; Shimizu, Y.; Nishiyama, H.; Yoshikawa, G.; Uehara, H.; Hingamp, P.; Goto, S.; Ogata, H. Linking Virus Genomes with Host Taxonomy. Viruses 2016, 8, 66. [Google Scholar] [CrossRef]
- Nishimura, Y.; Yoshida, T.; Kuronishi, M.; Uehara, H.; Ogata, H.; Goto, S. ViPTree: The viral proteomic tree server. Bioinformatics 2017, 33, 2379–2380. [Google Scholar] [CrossRef]
- Lomeli-Ortega, C.O.; Balcázar, J.L. Why tRNA acquisition could be relevant to bacteriophages? Microbial Biotechnol. 2024, 17, e14464. [Google Scholar] [CrossRef]
- Jiang, T.; Guo, C.; Wang, M.; Wang, M.; Zhang, X.; Liu, Y.; Liang, Y.; Jiang, Y.; He, H.; Shao, H.; et al. Genome Analysis of Two Novel Synechococcus Phages That Lack Common Auxiliary Metabolic Genes: Possible Reasons and Ecological Insights by Comparative Analysis of Cyanomyoviruses. Viruses 2020, 12, 800. [Google Scholar] [CrossRef]
- Cui, Z.; Xu, Z.; Wei, Y.; Zhang, Q.; Qin, K.; Ji, X. Characterization and genome analysis of a novel Mu-like phage VW-6B isolated from the Napahai Plateau Wetland of China. Curr. Microbiol. 2021, 78, 150–158. [Google Scholar] [CrossRef]
- Abdelrahman, F.; Easwaran, M.; Daramola, O.I.; Ragab, S.; Lynch, S.; Oduselu, T.J.; Khan, F.M.; Ayobami, A.; Adnan, F.; Torrents, E.; et al. Phage-Encoded Endolysins. Antibiotics 2021, 10, 124. [Google Scholar] [CrossRef]
- Grabowski, Ł.; Łepek, K.; Stasiłojć, M.; Kosznik-Kwaśnicka, K.; Zdrojewska, K.; Maciąg-Dorszyńska, M.; Węgrzyn, G.; Węgrzyn, A. Bacteriophage-encoded enzymes destroying bacterial cell membranes and walls, and their potential use as antimicrobial agents. Microbiol. Res. 2021, 248, 126746. [Google Scholar] [CrossRef] [PubMed]
- Jain, C.; Rodriguez-R, L.M.; Phillippy, A.M.; Konstantinidis, K.T.; Aluru, S. High throughput ANI analysis of 90K prokaryotic genomes reveals clear species boundaries. Nat. Commun. 2018, 9, 5114. [Google Scholar] [CrossRef] [PubMed]
- Moraru, C.; Varsani, A.; Kropinski, A.M. VIRIDIC—A Novel Tool to Calculate the Intergenomic Similarities of Prokaryote-Infecting Viruses. Viruses 2020, 12, 1268. [Google Scholar] [CrossRef] [PubMed]
- Kolmogorov, M.; Yuan, J.; Lin, Y.; Pevzner, P.A. Assembly of long, error-prone reads using repeat graphs. Nat. Biotechnol. 2019, 37, 540–546. [Google Scholar] [CrossRef]
- Seemann, T. Prokka: Rapid Prokaryotic Genome Annotation. Bioinformatics 2014, 30, 2068–2069. [Google Scholar] [CrossRef]
- O’Leary, N.A.; Wright, M.W.; Brister, J.R.; Ciufo, S.; Haddad, D.; McVeigh, R.; Rajput, B.; Robbertse, B.; Smith-White, B.; Ako-Adjei, D.; et al. Reference sequence (RefSeq) database at NCBI: Current status, taxonomic expansion, and functional annotation. Nucleic Acids Res. 2016, 44, D733–D745. [Google Scholar] [CrossRef]
- Alcock, B.P.; Huynh, W.; Chalil, R.; Smith, K.W.; Raphenya, A.R.; Wlodarski, M.A.; Edalatmand, A.; Petkau, A.; Syed, S.A.; Tsang, K.K.; et al. CARD 2023: Expanded curation, support for machine learning, and resistome prediction at the Comprehensive Antibiotic Resistance Database. Nucleic Acids Res. 2023, 51, D690–D699. [Google Scholar] [CrossRef]
- Vernikos, G.S.; Parkhill, J. Interpolated variable order motifs for identification of horizontally acquired DNA: Revisiting the Salmonella pathogenicity islands. Bioinformatics 2006, 22, 2196–2203. [Google Scholar] [CrossRef]
- Brown, C.L.; Mullet, J.; Hindi, F.; Stoll, J.E.; Gupta, S.; Choi, M.; Keenum, I.; Vikesland, P.; Pruden, A.; Zhang, L. mobileOG-db: A manually curated database of protein families mediating the life cycle of bacterial mobile genetic elements. Appl. Environ. Microbiol. 2022, 88, e00991-22. [Google Scholar] [CrossRef]
- Couvin, D.; Bernheim, A.; Toffano-Nioche, C.; Touchon, M.; Michalik, J.; Néron, B.; Rocha, E.P.C.; Vergnaud, G.; Gautheret, D.; Pourcel, C. CRISPRCasFinder, an update of CRISRFinder, includes a portable version, enhanced performance and integrates search for Cas proteins. Nucleic Acids Res. 2018, 46, W246–W251. [Google Scholar] [CrossRef]
- Guo, J.; Bolduc, B.; Zayed, A.A.; Varsani, A.; Dominguez-Huerta, G.; Delmont, T.O.; Pratama, A.A.; Gazitúa, M.C.; Vik, D.; Sullivan, M.B.; et al. VirSorter2: A multi-classifier, expert-guided approach to detect diverse DNA and RNA viruses. Microbiome 2021, 9, 37. [Google Scholar] [CrossRef] [PubMed]
- Starikova, E.V.; Tikhonova, P.O.; Prianichnikov, N.A.; Rands, C.M.; Zdobnov, E.M.; Ilina, E.N.; Govorun, V.M. Phigaro: High-throughput prophage sequence annotation. Bioinformatics 2020, 36, 3882–3884. [Google Scholar] [CrossRef] [PubMed]
- Jamal, M.; Andleeb, S.; Jalil, F.; Imran, M.; Nawaz, M.A.; Hussain, T.; Ali, M.; Das, C.R. Isolation and characterization of a bacteriophage and its utilization against multi-drug resistant Pseudomonas aeruginosa-2995. Life Sci. 2017, 190, 21–28. [Google Scholar] [CrossRef]
- Mirzaei, K.; Nilsson, A.S. Isolation of phage for phage therapy: A comparison of spot tests and efficiency of plating analyses for determination of host range and efficacy. PLoS ONE 2015, 10, e0118557. [Google Scholar] [CrossRef]
- Wójcicki, M.; Świder, O.; Gientka, I.; Błażejak, S.; Średnicka, P.; Shymialevich, D.; Cieślak, H.; Wardaszka, A.; Emanowicz, P.; Sokołowska, B.; et al. Effectiveness of a Phage Cocktail as a Potential Biocontrol Agent against Saprophytic Bacteria in Ready-To-Eat Plant-Based Food. Viruses 2023, 15, 172. [Google Scholar] [CrossRef]
- Shakeri, G.; Hammerl, J.A.; Jamshidi, A.; Ghazvini, K.; Rohde, M.; Szabo, I.; Kehrenberg, C.; Plötz, M.; Kittler, S. The Lytic Siphophage vB_StyS-LmqsSP1 Reduces the Number of Salmonella enterica Serovar Typhimurium Isolates on Chicken Skin. Appl. Environ. Microbiol. 2021, 87, e0142421. [Google Scholar] [CrossRef]
- Son, H.M.; Duc, H.M.; Masuda, Y.; Honjoh, K.-I.; Miyamoto, T. Application of Bacteriophages in Simultaneously Controlling Escherichia coli O157:H7 and Extended-Spectrum Beta-Lactamase Producing Escherichia coli. Appl. Microbiol. Biotechnol. 2018, 102, 10259–10271. [Google Scholar] [CrossRef]
- Wang, C.; Chen, Q.; Zhang, C.; Yang, J.; Lu, Z.; Lu, F.; Bie, X. Characterization of a broad host-spectrum virulent Salmonella bacteriophage fmb-p1 and its application on duck meat. Virus Res. 2017, 236, 14–23. [Google Scholar] [CrossRef]
- Cieślik, M.; Harhala, M.; Orwat, F.; Dąbrowska, K.; Górski, A.; Jończyk-Matysiak, E. Two Newly Isolated Enterobacter-Specific Bacteriophages: Biological Properties and Stability Studies. Viruses 2022, 14, 1518. [Google Scholar] [CrossRef]
- Svab, D.; Falgenhauer, L.; Rohde, M.; Szabo, J.; Chakraborty, T.; Toth, I. Identification and Characterization of T5-Like Bacteriophages Representing Two Novel Subgroups from Food Products. Front. Microbiol. 2018, 9, 202. [Google Scholar] [CrossRef]
- McNair, K.; Zhou, C.; Dinsdale, E.A.; Souza, B.; Edwards, R.A. PHANOTATE: A Novel Approach to Gene Identification in Phage Genomes. Bioinformatics 2019, 35, 4537–4542. [Google Scholar] [CrossRef] [PubMed]
- Wu, J.; Liu, Q.; Li, M.; Xu, J.; Wang, C.; Zhang, J.; Xiao, M.; Bin, Y.; Xia, J. PhaGAA: An integrated web server platform for phage genome annotation and analysis. Bioinformatics 2023, 39, btad120. [Google Scholar] [CrossRef] [PubMed]
- EFSA. Evaluation of the safety and efficacy of ListexTM P100 for reduction of pathogens on different ready–to–eat (RTE) food products. EFSA Panel on Biological Hazards. EFSA J. 2016, 14, 1–94. [Google Scholar]
- Faltus, T. The Medicinal Phage—Regulatory Roadmap for Phage Therapy under EU Pharmaceutical Legislation. Viruses 2024, 16, 443. [Google Scholar] [CrossRef]
- European Medicines Agency. Guideline on Quality, Safety and Efficacy of Veterinary Medicinal Products Specifically Designed for Phage Therapy, 13 October 2023, EMA/CVMP/NTWP/32862/2022; European Medicines Agency: Amsterdam, The Netherlands, 2022.
- European Food Safety Authority (EFSA). EFSA statement on the requirements for whole genome sequence analysis of microorganisms intentionally used in the food chain. EFSA J. 2024, 22, e8912. [Google Scholar]








| Genome (GenBank Accession Number) | Genome Length [bp] | G+C Content [%] | CDS | tRNA | tmRNA | rRNA | ncRNA | ncRNA Region | Repeat Region | sORF | gap | oriC | oriV | oriT |
|---|---|---|---|---|---|---|---|---|---|---|---|---|---|---|
| S. Manchester strain KKP 1213 chromosome (CP121296) | 4,578,607 | 52.2 | 4271 | 89 | 1 | 22 | 131 | 60 | 2 | 10 | 0 | 2 | 0 | 0 |
| Bacterial Host Strain | GenBank Accession Number | Spot Test | Bacterial Host Strain | GenBank Accession Number | Spot Test |
|---|---|---|---|---|---|
| Salmonella Strains (n = 54) | |||||
| S. Berta strain KKP 996 | ON627842 | + | S. Typhimurium strain KKP 3079 | MW033548 | + |
| S. enterica R strain KKP 997 | MW046052 | + | S. Typhimurium strain KKP 3080 | MW033536 | + |
| S. I (6,8:1,v:-) strain KKP 998 | ON764274 | + | S. Typhimurium strain KKP 3081 | MW033602 | + |
| S. Oranienburg strain KKP 999 | ON627845 | + | S. Enteritidis strain KKP 3814 | ON732733 | + |
| S. I (4,12:i:-) strain KKP 1000 | ON312999 | + | S. Enteritidis strain KKP 3815 | ON732742 | + |
| S. Kunduchi strain KKP 1001 | MW332255 | + | S. Enteritidis strain KKP 3816 | ON756119 | + |
| S. Muenster strain KKP 1002 | ON340716 | + | S. Enteritidis strain KKP 3817 | ON756120 | + |
| S. Hadar strain KKP 1003 | ON756138 | + | S. Enteritidis strain KKP 3818 | ON756135 | + |
| S. enterica R strain KKP 1004 | ON627844 | + | S. Typhimurium strain KKP 3819 | ON732745 | + |
| S. Senftenberg strain KKP 1005 | ON627847 | + | S. I (4,12:i:-) strain KKP 3820 | ON732744 | + |
| S. Derby strain KKP 1006 | ON764251 | − | S. Abortusequi strain KKP 3821 | ON732827 | + |
| S. Mbandaka strain KKP 1007 | ON627846 | + | S. Sandiego strain KKP 3882 | OP745459 | + |
| S. I (6,8:1,v:-) strain KKP 1008 | ON340717 | + | Other Non-Pathogenic Enterobacterales Strains (n = 21) | ||
| S. Amsterdam strain KKP 1009 | ON764277 | + | Citrobacter freundii strain KKP 3655 | MZ827001 | − |
| S. Potsdam strain KKP 1010 | ON764279 | + | Enterobacter cloacae strain KKP 3082 | MZ827006 | + |
| S. Infantis strain KKP 1039 | ON764252 | + | Enterobacter cloacae strain KKP 3656 | OM304355 | − |
| S. enterica R strain KKP 1040 | ON764280 | − | Enterobacter cloacae strain KKP 3684 | OM281790 | + |
| S. Agona strain KKP 1041 | ON764253 | + | Enterobacter cloacae strain KKP 3686 | OM281778 | + |
| S. Infantis strain KKP 1042 | ON798424 | + | Enterobacter ludwigii strain KKP 3083 | MZ827002 | − |
| S. Kentucky strain KKP 1043 | ON764281 | + | Pantoea agglomerans strain KKP 3651 | OP978292 | − |
| S. Muenchen strain KKP 1044 | ON764287 | + | Raoultella terrigena strain KKP 3689 | OK085529 | − |
| S. Livingstone strain KKP 1045 | ON764254 | − | Serratia fonticola strain KKP 3084 | MZ827668 | − |
| S. enterica R strain KKP 1113 | ON775567 | − | Serratia fonticola strain KKP 3685 | OM281802 | − |
| S. Mbandaka strain KKP 1169 | ON764259 | − | Serratia fonticola strain KKP 3692 | OM281803 | − |
| S. Abony strain KKP 1193 | ON764258 | + | Serratia liquefaciens strain KKP 3654 | OP978313 | − |
| S. Manchester strain KKP 1213 | ON764805 | ++ H | Serratia marcescens strain KKP 3687 | OK103977 | − |
| S. Manchester strain KKP 1217 | ON764807 | + | Escherichia coli strain KKP 3688 | OM281784 | + |
| S. Manchester strain KKP 1514 | ON756136 | + | Escherichia coli strain KKP 3691 | OM281773 | − |
| S. Senftenberg strain KKP 1597 | ON461374 | + | Escherichia coli strain KKP 3707 | OM281777 | + |
| S. Newport strain KKP 1608 | ON312943 | + | Escherichia coli strain KKP 3800 | OM250392 | − |
| S. I (6,8:1,v:-) strain KKP 1610 | ON313000 | + | Escherichia coli strain KKP 3801 | OM250391 | + |
| S. Chandans strain KKP 1611 | ON764857 | + | Escherichia coli strain KKP 3802 | OM250393 | − |
| S. Manchester strain KKP 1612 | ON764858 | + | Escherichia coli strain KKP 3824 | ON303636 | − |
| S. Cannstatt strain KKP 1613 | ON766359 | + | Escherichia coli strain KKP 3825 | ON303626 | − |
| S. Newport strain KKP 1614 | ON312941 | + | Other Pathogenic Gram-Negative Strains (n = 2) | ||
| S. Typhimurium strain KKP 1636 | ON773156 | + | Pseudomonas aeruginosa strain KKP 994 | OQ302514 | – |
| S. Infantis strain KKP 1761 | ON798425 | + | Pseudomonas aeruginosa strain KKP 1593 | OK189606 | – |
| S. I (6,8:1,-:1,7) strain KKP 1762 | ON340720 | ++ | Other Pathogenic Gram-Positive Strains (n = 4) | ||
| S. Senftenberg strain KKP 1763 | ON773159 | + | Listeria monocytogenes strain KKP 1845 | OK663000 | – |
| S. enterica R strain KKP 1775 | ON832663 | + | Listeria monocytogenes strain KKP 3270 | MT990525 | – |
| S. Typhimurium strain KKP 1776 | ON461376 | + | Staphylococcus aureus strain KKP 995 | OQ302557 | – |
| S. Enteritidis strain KKP 3078 | MW034593 | + | Staphylococcus aureus strain KKP 1082 | OQ302555 | – |
| Phage Name (Complete Genome) | Genome Length [bp] | G+C Content [%] | No. of Genes/Protein | E-Value | Query Coverage [%] | Percent Identity [%] | Phage Family/ Genus | Genome | Country of Isolation | Isolation Source | Lab Host | GenBank Accession No. |
|---|---|---|---|---|---|---|---|---|---|---|---|---|
| Salmonella Phage KKP_3822 | ||||||||||||
| Salmonella phage MET_P1_137_112 | 112,278 | 40.0 | 185/160 | 0.0 | 92 | 96.97 | Demerecviridae/Epseptimavirus | linear dsDNA | Turkey | wastewater | ND | OQ383621.1 |
| Salmonella phage rutana | 114,544 | 40.0 | 166/166 | 0.0 | 90 | 98.53 | Demerecviridae/Epseptimavirus | linear dsDNA | Denmark | wastewater | S. Enteritidis PT1 | MT074468.1 |
| Salmonella phage beppo | 111,322 | 40.0 | 166/166 | 0.0 | 88 | 98.30 | Demerecviridae/Epseptimavirus | linear dsDNA | Denmark | wastewater | S. Enteritidis PT1 | MT074455.1 |
| Escherichia coli phage Shin27 DNA | 112,034 | 40.0 | 191/162 | 0.0 | 93 | 97.61 | Demerecviridae/Epseptimavirus | linear dsDNA | Japan | sewage | ND | LC788709.1 |
| Salmonella phage KKP 3953 | 115,522 | 40.0 | 179/179 | 0.0 | 87 | 97.48 | Demerecviridae/Epseptimavirus | linear dsDNA | Poland | wastewater | S. enterica subsp. enterica serowar 6,8:1,v:- strain KKP 1008 | OR067837.1 |
| Salmonella phage KKP_3831 | 113,006 | 39.5 | 171/160 | 0.0 | 85 | 97.59 | Demerecviridae/Epseptimavirus | linear dsDNA | Poland | wastewater | S. enterica subsp. enterica serovar 6,8:l,v:- strain KKP 998 | OQ674103.1 |
| Salmonella phage bux | 112,486 | 40.0 | 160/160 | 0.0 | 87 | 97.49 | Demerecviridae/Epseptimavirus | linear dsDNA | Denmark | wastewater | S. Enteritidis PT1 | MT074460.1 |
| Salmonella phage vaffelhjerte | 110,831 | 40.0 | 160/160 | 0.0 | 88 | 97.30 | Demerecviridae/Epseptimavirus | linear dsDNA | Denmark | wastewater | S. Enteritidis PT1 | MT074452.1 |
| Salmonella phage rokbiter | 112,006 | 40.0 | 192/163 | 0.0 | 90 | 97.22 | Demerecviridae/Epseptimavirus | linear dsDNA | Denmark | wastewater | S. Enteritidis PT1 | NC_048868.1 |
| Escherichia virus vB_Eco_mar003J3 | 115,471 | 39.8 | 189/163 | 0.0 | 85 | 97.11 | Demerecviridae/Epseptimavirus | linear dsDNA | USA | sea water | ND | NC_048203.1 |
| Salmonella phage atrejo | 114,059 | 40.0 | 196/167 | 0.0 | 90 | 96.57 | Demerecviridae/Epseptimavirus | linear dsDNA | Denmark | wastewater | S. Enteritidis PT1 | NC_048872.1 |
| Salmonella phage gmork | 113,259 | 40.0 | 167/167 | 0.0 | 90 | 96.44 | Demerecviridae/Epseptimavirus | linear dsDNA | Denmark | wastewater | S. Enteritidis PT1 | MT074463.1 |
| Salmonella phage RA40 | 111,611 | 40.0 | 190/162 | 0.0 | 90 | 96.10 | Demerecviridae/Epseptimavirus | linear dsDNA | United Kingdom | sewage | S. Typhimurium | OR242313.1 |
| Salmonella phage vB_SenS-3 | 119,586 | 40.0 | 230/229 | 0.0 | 90 | 95.55 | Demerecviridae/Epseptimavirus | linear dsDNA | Poland | sewage | S. enterica | MT004791.1 |
| Salmonella phage polluks | 111,599 | 40.0 | 162/162 | 0.0 | 89 | 95.48 | Demerecviridae/Epseptimavirus | linear dsDNA | Denmark | wastewater | S. Enteritidis PT1 | MT074456.1 |
Disclaimer/Publisher’s Note: The statements, opinions and data contained in all publications are solely those of the individual author(s) and contributor(s) and not of MDPI and/or the editor(s). MDPI and/or the editor(s) disclaim responsibility for any injury to people or property resulting from any ideas, methods, instructions or products referred to in the content. |
© 2024 by the authors. Licensee MDPI, Basel, Switzerland. This article is an open access article distributed under the terms and conditions of the Creative Commons Attribution (CC BY) license (https://creativecommons.org/licenses/by/4.0/).
Share and Cite
Wójcicki, M.; Shymialevich, D.; Średnicka, P.; Emanowicz, P.; Ostrowska, A.; Cieślak, H.; Sokołowska, B. Phenotypic Characterization and Genome Analysis of New Broad-Spectrum Virulent Salmophage, Salmonella Phage KKP_3822, for Biocontrol of Multidrug-Resistant Salmonella enterica Strains. Int. J. Mol. Sci. 2024, 25, 12930. https://doi.org/10.3390/ijms252312930
Wójcicki M, Shymialevich D, Średnicka P, Emanowicz P, Ostrowska A, Cieślak H, Sokołowska B. Phenotypic Characterization and Genome Analysis of New Broad-Spectrum Virulent Salmophage, Salmonella Phage KKP_3822, for Biocontrol of Multidrug-Resistant Salmonella enterica Strains. International Journal of Molecular Sciences. 2024; 25(23):12930. https://doi.org/10.3390/ijms252312930
Chicago/Turabian StyleWójcicki, Michał, Dziyana Shymialevich, Paulina Średnicka, Paulina Emanowicz, Agnieszka Ostrowska, Hanna Cieślak, and Barbara Sokołowska. 2024. "Phenotypic Characterization and Genome Analysis of New Broad-Spectrum Virulent Salmophage, Salmonella Phage KKP_3822, for Biocontrol of Multidrug-Resistant Salmonella enterica Strains" International Journal of Molecular Sciences 25, no. 23: 12930. https://doi.org/10.3390/ijms252312930
APA StyleWójcicki, M., Shymialevich, D., Średnicka, P., Emanowicz, P., Ostrowska, A., Cieślak, H., & Sokołowska, B. (2024). Phenotypic Characterization and Genome Analysis of New Broad-Spectrum Virulent Salmophage, Salmonella Phage KKP_3822, for Biocontrol of Multidrug-Resistant Salmonella enterica Strains. International Journal of Molecular Sciences, 25(23), 12930. https://doi.org/10.3390/ijms252312930

