Analysis of CD1a-Positive Monocyte-Derived Cells in the Regional Lymph Nodes of Patients with Gallbladder Cancer
Abstract
1. Introduction
2. Results
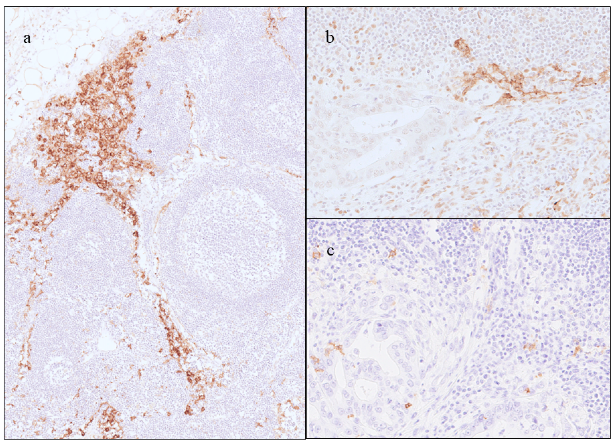
2.1. Patients and Assessment of DCs in Regional LNs of Patients with GBC
2.2. Association Between Clinicopathological Features and the Status of DCs in the Regional LNs of Patients with GBC
2.3. Kaplan-Meier Survival Curves According to the Infiltration of CD1a- and S100-DCs into Regional LNs
2.4. Univariate Analyses for DSS, OS and RFS in All Patients (n = 70)
2.5. Multivariate Analyses of Factors Associated with OS, DSS and RFS (n = 70)
2.6. Subgroup Analyses in Cases in the LN Metastasis Group
3. Discussion
4. Materials and Methods
4.1. Patients
4.2. Immunohistochemistry
4.3. Assessment of CD1a-DCs and S100-DCs
4.4. Statistical Analysis
Author Contributions
Funding
Institutional Review Board Statement
Informed Consent Statement
Data Availability Statement
Conflicts of Interest
Abbreviations
References
- Ishihara, S.; Horiguchi, A.; Miyakawa, S.; Endo, I.; Miyazaki, M.; Takada, T. Biliary tract cancer registry in Japan from 2008 to 2013. J. Hepato-Biliary-Pancreatic Sci. 2016, 23, 149–157. [Google Scholar] [CrossRef] [PubMed]
- Jang, J.Y.; Kim, S.W.; Lee, S.E.; Hwang, D.W.; Kim, E.J.; Lee, J.Y.; Kim, S.J.; Ryu, J.K.; Kim, Y.T. Differential diagnostic and staging accuracies of high resolution ultrasonography, endoscopic ultrasonography, and multidetector computed tomography for gallbladder polypoid lesions and gallbladder cancer. Ann. Surg. 2009, 250, 943–949. [Google Scholar] [CrossRef] [PubMed]
- Waisman, A.; Lukas, D.; Clausen, B.E.; Yogev, N. Dendritic cells as gatekeepers of tolerance. Semin. Immunopathol. 2017, 39, 153–163. [Google Scholar] [CrossRef] [PubMed]
- Geissmann, F.; Manz, M.G.; Jung, S.; Sieweke, M.H.; Merad, M.; Ley, K. Development of monocytes, macrophages, and dendritic cells. Science 2010, 5966, 656–661. [Google Scholar] [CrossRef] [PubMed]
- Patente, T.A.; Pinho, M.P.; Oliveira, A.A.; Evangelista, G.C.M.; Bergami-Santos, P.C.; Barbuto, J.A.M. Human Dendritic Cells: Their Heterogeneity and Clinical Application Potential in Cancer Immunotherapy. Front. Immunol. 2019, 9, 3176. [Google Scholar] [CrossRef] [PubMed]
- Seyfizadeh, N.; Muthuswamy, R.; Mitchell, D.A.; Nierkens, S.; Seyfizadeh, N. Migration of dendritic cells to the lymph nodes and its enhancement to drive anti-tumor responses. Crit. Rev. Oncol. Hematol. 2016, 107, 100–110. [Google Scholar] [CrossRef]
- Yoo, H.J.; Kim, N.Y.; Kim, J.H. Current Understanding of the Roles of CD1a-Restricted T Cells in the Immune System. Mol. Cells. 2021, 44, 310–317. [Google Scholar] [CrossRef] [PubMed]
- Chistiakov, D.A.; Sobenin, I.A.; Orekhov, A.N.; Bobryshev, Y.V. Myeloid dendritic cells: Development, functions, and role in atherosclerotic inflammation. Immunobiology 2015, 220, 833–844. [Google Scholar] [CrossRef]
- Guilliams, M.; Ginhoux, F.; Jakubzick, C.; Naik, S.H.; Onai, N.; Schraml, B.U.; Segura, E.; Tussiwand, R.; Yona, S. Dendritic cells, monocytes and macrophages: A unified nomenclature based on ontogeny. Nat. Rev. Immunol. 2014, 14, 571–578. [Google Scholar] [CrossRef]
- Hoeffel, G.; Wang, Y.; Greter, M.; See, P.; Teo, P.; Malleret, B.; Leboeuf, M.; Low, D.; Oller, G.; Almeida, F.; et al. Adult Langerhans cells derive predominantly from embryonic fetal liver monocytes with a minor contribution of yolk sac-derived macrophages. J. Exp. Med. 2012, 209, 1167–1181. [Google Scholar] [CrossRef]
- Rigamonti, A.; Villar, J.; Segura, E. Monocyte differentiation within tissues: A renewed outlook. Trends Immunol. 2023, 44, 999–1013. [Google Scholar] [CrossRef] [PubMed]
- Cabeza-Cabrerizo, M.; Cardoso, A.; Minutti, C.M.; Pereira da Costa, M.; Reis e Sousa, C. Dendritic Cells Revisited. Annu. Rev. Immunol. 2021, 39, 131–166. [Google Scholar] [CrossRef] [PubMed]
- Patel, V.I.; Booth, J.L.; Duggan, E.S.; Cate, S.; White, V.L.; Hutchings, D.; Kovats, S.; Burian, D.M.; Dozmorov, M.; Metcalf, J.P. Transcriptional Classification and Functional Characterization of Human Airway Macrophage and Dendritic Cell Subsets. J. Immunol. 2017, 198, 1183–1201. [Google Scholar] [CrossRef] [PubMed]
- Rhodes, J.W.; Botting, R.A.; Bertram, K.M.; Vine, E.E.; Rana, H.; Baharlou, H.; Vegh, P.; O’N’eil, T.R.; Ashhurst, A.S.; Fletcher, J.; et al. Human anogenital monocyte-derived dendritic cells and langerin+cDC2 are major HIV target cells. Nat. Commun. 2021, 12, 2147. [Google Scholar] [CrossRef] [PubMed]
- Tang-Huau, T.L.; Gueguen, P.; Goudot, C.; Durand, M.; Bohec, M.; Baulande, S.; Pasquier, B.; Amigorena, S.; Segura, E. Human in vivo-generated monocyte-derived dendritic cells and macrophages cross-present antigens through a vacuolar pathway. Nat. Commun. 2018, 9, 2570. [Google Scholar] [CrossRef] [PubMed]
- Kai, K.; Tanaka, T.; Ide, T.; Kawaguchi, A.; Noshiro, H.; Aishima, S. Immunohistochemical analysis of the aggregation of CD1a-positive dendritic cells in resected specimens and its association with surgical outcomes for patients with gallbladder cancer. Transl. Oncol. 2021, 14, 100923. [Google Scholar] [CrossRef]
- Giorello, M.B.; Matas, A.; Marenco, P.; Davies, K.M.; Borzone, F.R.; Calcagno, M.L.; García-Rivello, H.; Wernicke, A.; Martinez, L.M.; Labovsky, V.; et al. CD1a- and CD83-positive dendritic cells as prognostic markers of metastasis development in early breast cancer patients. Breast Cancer 2021, 28, 1328–1339. [Google Scholar] [CrossRef]
- Gonçalves, A.S.; Costa, N.L.; Arantes, D.A.; de Cássia Gonçalves Alencar, R.; Silva, T.A.; Batista, A.C. Immune response in cervical lymph nodes from patients with primary oral squamous cell carcinoma. J. Oral. Pathol. Med. 2013, 42, 535–540. [Google Scholar] [CrossRef]
- Kawasaki, K.; Kai, K.; Minesaki, A.; Maeda, S.; Yamauchi, M.; Kuratomi, Y. Chemoradiotherapy and Lymph Node Metastasis Affect Dendritic Cell Infiltration and Maturation in Regional Lymph Nodes of Laryngeal Cancer. Int. J. Mol. Sci. 2024, 25, 2093. [Google Scholar] [CrossRef]
- Théry, C.; Amigorena, S. The cell biology of antigen presentation in dendritic cells. Curr. Opin. Immunol. 2001, 13, 45–51. [Google Scholar] [CrossRef]
- Ohl, L.; Mohaupt, M.; Czeloth, N.; Hintzen, G.; Kiafard, Z.; Zwirner, J.; Blankenstein, T.; Henning, G.; Förster, R. CCR7 governs skin dendritic cell migration under inflammatory and steady-state conditions. Immunity 2004, 21, 279–288. [Google Scholar] [CrossRef] [PubMed]
- Brandum, E.P.; Jørgensen, A.S.; Rosenkilde, M.M.; Hjortø, G.M. Dendritic Cells and CCR7 Expression: An Important Factor for Autoimmune Diseases, Chronic Inflammation, and Cancer. Int. J. Mol. Sci. 2021, 22, 8340. [Google Scholar] [CrossRef] [PubMed]
- Weber, M.; Hauschild, R.; Schwarz, J.; Moussion, C.; de Vries, I.; Legler, D.F.; Luther, S.A.; Bollenbach, T.; Sixt, M. Interstitial dendritic cell guidance by haptotactic chemokine gradients. Science 2013, 339, 328–332. [Google Scholar] [CrossRef] [PubMed]
- Gardner, A.; Ruffell, B. Dendritic Cells and Cancer Immunity. Trends Immunol. 2016, 37, 855–865. [Google Scholar] [CrossRef] [PubMed]
- He, H.; Somlo, G.; Yun, Y.; Chu, P.G. Dendritic cell infiltration in lymph node positive breast carcinomas. Breast J. 2009, 15, 218–220. [Google Scholar] [CrossRef] [PubMed]
- La Rocca, G.; Anzalone, R.; Corrao, S.; Magno, F.; Rappa, F.; Marasà, S.; Czarnecka, A.M.; Marasà, L.; Sergi, C.; Zummo, G.; et al. CD1a down-regulation in primary invasive ductal breast carcinoma may predict regional lymph node invasion and patient outcome. Histopathology 2008, 52, 203–212. [Google Scholar] [CrossRef] [PubMed]
- Poindexter, N.J.; Sahin, A.; Hunt, K.K.; Grimm, E.A. Analysis of dendritic cells in tumor-free and tumor-containing sentinel lymph nodes from patients with breast cancer. Breast Cancer Res. 2004, 6, R408. [Google Scholar] [CrossRef]
- Blenman, K.R.M.; He, T.F.; Frankel, P.H.; Ruel, N.H.; Schwartz, E.J.; Krag, D.N.; Tan, L.K.; Yim, J.H.; Mortimer, J.E.; Yuan, Y.; et al. Sentinel lymph node B cells can predict disease-free survival in breast cancer patients. NPJ Breast Cancer. 2018, 4, 28. [Google Scholar] [CrossRef]
- Yang, Y.J.; Lim, S.J.; Song, J.Y. Tc-99m diphosphonate as a potential radiotracer to detect sentinel lymph nodes in patients with breast cancer. Nucl. Med. Mol. Imaging 2010, 44, 62–68. [Google Scholar] [CrossRef][Green Version]
- Zheng, J.; Wei, Y.; Li, X.; Shen, Z.; Zhang, Y.; Huang, B.; Jiang, Y.; Wang, D. Higher CD1a Levels Correlate with PD-L1 Expression and Predict Worse Overall Survival in Triple-Negative Breast Carcinoma. Breast Care 2022, 17, 31–39. [Google Scholar] [CrossRef] [PubMed]
- Vermi, W.; Bonecchi, R.; Facchetti, F.; Bianchi, D.; Sozzani, S.; Festa, S.; Berenzi, A.; Cella, M.; Colonna, M. Recruitment of immature plasmacytoid dendritic cells (plasmacytoid monocytes) and myeloid dendritic cells in primary cutaneous melanomas. J. Pathol. 2003, 200, 255–268. [Google Scholar] [CrossRef] [PubMed]
- Botella-Estrada, R.; Dasí, F.; Ramos, D.; Nagore, E.; Herrero, M.J.; Giménez, J.; Fuster, C.; Sanmartín, O.; Guillén, C.; Aliño, S. Cytokine expression and dendritic cell density in melanoma sentinel nodes. Melanoma Res. 2005, 15, 99–106. [Google Scholar] [CrossRef] [PubMed]
- van den Hout, M.F.C.M.; Koster, B.D.; Sluijter, B.J.R.; Molenkamp, B.G.; van de Ven, R.; van den Eertwegh, A.J.M.; Scheper, R.J.; van Leeuwen, P.A.M.; van den Tol, M.P.; de Gruijl, T.D. Melanoma Sequentially Suppresses Different DC Subsets in the Sentinel Lymph Node, Affecting Disease Spread and Recurrence. Cancer Immunol. Res. 2017, 11, 969–977. [Google Scholar] [CrossRef] [PubMed]
- Barbour, A.H.; Coventry, B.J. Dendritic cell density and activation status of tumour-infiltrating lymphocytes in metastatic human melanoma: Possible implications for sentinel node metastases. Melanoma Res. 2003, 13, 263–269. [Google Scholar] [CrossRef] [PubMed]
- Sakakura, K.; Chikamatsu, K.; Sakurai, T.; Takahashi, K.; Murata, T.; Oriuchi, N.; Furuya, N. Infiltration of dendritic cells and NK cells into the sentinel lymph node in oral cavity cancer. Oral. Oncol. 2005, 41, 89–96. [Google Scholar] [CrossRef]
- Nakamura, K.; Ninomiya, I.; Oyama, K.; Inokuchi, M.; Kinami, S.; Fushida, S.; Fujimura, T.; Kayahara, M.; Ohta, T. Evaluation of immune response according to the metastatic status in the regional lymph nodes in patients with gastric carcinoma. Oncol. Rep. 2010, 24, 1433–1441. [Google Scholar] [CrossRef][Green Version]
- Kara, P.P.; Ayhan, A.; Caner, B.; Gultekin, M.; Ugur, O.; Bozkurt, M.F.; Usubutun, A.; Under, A. Analysis of dendritic cells in sentinel lymph nodes of patients with endometrial and patients with cervical cancers. Int. J. Gynecol. Cancer 2009, 19, 1239–1243. [Google Scholar] [CrossRef]
- Athanasas-Platsis, S.; Savage, N.W.; Winning, T.A.; Walsh, L.J. Induction of the CD1a Langerhans cell marker on human monocytes. Arch. Oral Biol. 1995, 40, 157–160. [Google Scholar] [CrossRef]
- Zhou, T.; Chen, Y.; Hao, L.; Zhang, Y. DC-SIGN and immunoregulation. Cell Mol. Immunol. 2006, 3, 279–283. [Google Scholar]
- Pettersen, J.S.; Fuentes-Duculan, J.; Suárez-Fariñas, M.; Pierson, K.C.; Pitts-Kiefer, A.; Fan, L.; Belkin, D.A.; Wang, C.Q.; Bhuvanendran, S.; Johnson-Huang, L.M.; et al. Tumor-associated macrophages in the cutaneous SCC microenvironment are heterogeneously activated. J. Investig. Dermatol. 2011, 131, 1322–1330. [Google Scholar] [CrossRef]
- Li, X.; Zhao, S.; Bian, X.; Zhang, L.; Lu, L.; Pei, S.; Dong, L.; Shi, W.; Huang, L.; Zhang, X.; et al. Signatures of EMT, immunosuppression, and inflammation in primary and recurrent human cutaneous squamous cell carcinoma at single-cell resolution. Theranostics 2022, 12, 7532–7549. [Google Scholar] [CrossRef] [PubMed]
- O’‘D’onnell, R.K.; Mick, R.; Feldman, M.; Hino, S.; Wang, Y.; Brose, M.S.; Muschel, R.J. Distribution of dendritic cell subtypes in primary oral squamous cell carcinoma is inconsistent with a functional response. Cancer Lett. 2007, 255, 145–152. [Google Scholar] [CrossRef]
- Verra, N.; de Jong, D.; Bex, A.; Batchelor, D.; Dellemijn, T.; Sein, J.; Nooijen, W.; Meinhardt, W.; Horenblas, S.; de Gast, G.; et al. Infiltration of activated dendritic cells and T cells in renal cell carcinoma following combined cytokine immunotherapy. Eur. Urol. 2005, 48, 527–533. [Google Scholar] [CrossRef] [PubMed]
- Figel, A.M.; Brech, D.; Prinz, P.U.; Lettenmeyer, U.K.; Eckl, J.; Turqueti-Neves, A.; Mysliwietz, J.; Anz, D.; Rieth, N.; Muenchmeier, N.; et al. Human renal cell carcinoma induces a dendritic cell subset that uses T-cell crosstalk for tumor-permissive milieu alterations. Am. J. Pathol. 2011, 179, 436–451. [Google Scholar] [CrossRef] [PubMed]
- Diop, M.K.; Molina, O.E.; Birlea, M.; LaRue, H.; Hovington, H.; Têtu, B.; Lacombe, L.; Bergeron, A.; Fradet, Y.; Trudel, D. Leukocytic Infiltration of Intraductal Carcinoma of the Prostate: An Exploratory Study. Cancers 2023, 15, 2217. [Google Scholar] [CrossRef]
- Szpor, J.; Streb, J.; Glajcar, A.; Frączek, P.; Winiarska, A.; Tyrak, K.E.; Basta, P.; Okoń, K.; Jach, R.; Hodorowicz-Zaniewska, D. Dendritic Cells Are Associated with Prognosis and Survival in Breast Cancer. Diagnostics 2021, 11, 702. [Google Scholar] [CrossRef]
- Gylstorff, S.; Wilke, V.; Kraft, D.; Bertrand, J.; Pech, M.; Haag, F.; Relja, B. Selective Internal Radiotherapy Alters the Profiles of Systemic Extracellular Vesicles in Hepatocellular Carcinoma. Int. J. Mol. Sci. 2023, 24, 12512. [Google Scholar] [CrossRef]
- Maciejewski, R.; Radej, S.; Furmaga, J.; Chrościcki, A.; Rudzki, S.; Roliński, J.; Wallner, G. Evaluation of immature monocyte-derived dendritic cells generated from patients with colorectal cancer. Pol Przegl Chir. 2013, 85, 714–720. [Google Scholar] [CrossRef]
- Yamada, R.; Ohnishi, K.; Pan, C.; Yano, H.; Fujiwara, Y.; Shiota, T.; Mikami, Y.; Komohara, Y. Expression of macrophage/dendritic cell-related molecules in lymph node sinus macrophages. Microbiol. Immunol. 2023, 67, 490–500. [Google Scholar] [CrossRef]
- Kanemitsu, K.; Yamada, R.; Pan, C.; Tsukamoto, H.; Yano, H.; Shiota, T.; Fujiwara, Y.; Miyamoto, Y.; Mikami, Y.; Baba, H.; et al. Age-associated reduction of sinus macrophages in human mesenteric lymph nodes. J. Clin. Exp. Hematop. 2024, 64, 79–85. [Google Scholar] [CrossRef]





| Age Years (Mean ± SD) | 71.1 ± 8.8 | |
|---|---|---|
| Gender | ||
| Male | 29 (41.4) | |
| Female | 41 (58.6) | |
| T (%) | ||
| 1b | 7 (10) | |
| 2a | 11 (15.7) | |
| 2b | 18 (25.7) | |
| 3 | 28 (40) | |
| 4 | 6 (8.6) | |
| N (%) | ||
| N0 | 38 (54.3) | |
| N1 | 27 (38.6) | |
| N2 | 5 (7.1) | |
| M (%) | ||
| M0 | 61 (87.1) | |
| M1 | 9 (12.9) | |
| CD1a-DCs in LN | ||
| high | 14 (20.0) | |
| low | 56 (80.0) | |
| S100-DCs in LN | ||
| high | 45 (64.3) | |
| low | 25 (35.7) | |
| CD1a-DCs in tumor | ||
| high | 35 (50.0) | |
| low | 35 (50.0) | |
| Adjuvant therapy | ||
| done | 37 (52.9) | |
| not done | 33 (47.1) |
| Characteristics | CD1a-DCs High (n = 14) | CD1a-DCs Low (n = 56) | p-Value |
|---|---|---|---|
| Age years (mean ± SD) | 70.9 ± 8.66 | 71.9 ± 9.43 | 0.718 |
| Male/Female (%) | 6/8 (42.9/57.1) | 23/33 (41.1/58.9) | 1.000 |
| T1b, T2/T3, T4 (%) | 3/11 (21.4/78.6) | 33/23 (58.9/41.1) | 0.017 |
| N0/N1, N2 (%) | 0/14 (0.0/100.0) | 38/18 (32.1/67.8) | <0.0001 |
| M0/M1 (%) | 11/3 (78.6/21.4) | 6/50 (10.7/89.3) | 0.370 |
| CD1a-DCs in tumor (high/low) | 8/6 (57.1/42.9) | 27/29 (48.2/51.8) | 0.766 |
| Adjuvant therapy (done/not done) | 8/6 (57.1/42.9) | 29/27 (51.8/48.2) | 0.772 |
| Characteristics | S100-DCs High (n = 45) | S100-DCs Low (n = 25) | p-Value |
|---|---|---|---|
| Age years (mean ± SD) | 70.9 ± 8.69 | 71.4 ± 9.05 | 0.821 |
| Male/Female (%) | 21/24 (46.7/53.3) | 8/17 (32.0/68.0) | 0.313 |
| T1b, T2/T3, T4 (%) | 24/21 (53.3/46.7) | 12/13 (48.0/52.0) | 0.804 |
| N0/N1, N2 (%) | 23/22 (51.1/48.9) | 15/10 (60.0/40.0) | 0.617 |
| M0/M1 (%) | 40/5 (88.9/11.1) | 21/4 (84.0/16.0) | 0.712 |
| Adjuvant therapy (done/not done) | 24/21 (53.3/46.7) | 13/12 (52.0/48.0) | 1.000 |
| Label | OS | DSS | RFS | |||
|---|---|---|---|---|---|---|
| HR (95% CI) | p-Value | HR | p-Value | HR | p-Value | |
| Age <71 years | 1.204 (0.651–2.225) | 0.554 | 1.680 (0.828–3.408) | 0.151 | 1.498 (0.786–2.855) | 0.220 |
| Gender (male) | 1.225 (0.661–2.274) | 0.519 | 0.980 (0.475–2.021) | 0.957 | 0.974 (0.505–1.879) | 0.937 |
| T3, T4 | 4.444 (2.242–8.809) | <0.000 | 7.431 (3.023–18.266) | <0.000 | 3.419 (1.709–6.839) | 0.001 |
| N1, N2 | 3.025 (1.605–5.670) | 0.001 | 4.014 (1.882–8.564) | 0.000 | 3.199 (1.636–6.254) | 0.001 |
| M1 | 3.501 (1.542–7.950) | 0.003 | 4.986 (2.114–11.759) | 0.000 | 6.006 (2.691–13.409) | <0.000 |
| Low CD1a-DCs in tumor | 1.636 (0.878–3.048) | 0.121 | 2.159 (1.033–4.509) | 0.041 | 1.530 (0.798–2.934) | 0.201 |
| High CD1a-DCs in LN | 2.195 (1.890–4.423) | 0.028 | 2.714 (1.272–5.790) | 0.010 | 2.327 (1.144–4.733) | 0.020 |
| High S100-DCs in LN | 1.035 (0.542–1.976) | 0.917 | 0.991 (0.474–2.070) | 0.981 | 0.952 (0.490–1.850) | 0.885 |
| Adjuvant therapy (done) | 1.389 (0.739–2.612) | 0.308 | 2.078 (0.953–4.530) | 0.066 | 3.409 (1.597–7.281) | 0.002 |
| Label | OS | DSS | RFS | |||
|---|---|---|---|---|---|---|
| HR | p-Value | HR | p-Value | HR | p-Value | |
| Age <71 years | 0.884 (0.424–1.842) | 0.742 | 1.050 (0.448–2.462) | 0.911 | 1.143 (0.543–2.404) | 0.725 |
| T3, T4 | 3.741 (1.542–9.072) | 0.004 | 5.560 (1.791–17.256) | 0.003 | 1.585 (0.633–3.970) | 0.326 |
| N1, N2 | 1.393 (0.548–3.540) | 0.486 | 1.183 (0.394–3.546) | 0.765 | 1.363 (0.514–3.610) | 0.534 |
| M1 | 1.889 (0.738–4.833) | 0.185 | 2.357 (0.878–6.328) | 0.089 | 2.764 (1.240–7.460) | 0.045 |
| Low CD1a-DCs in tumor | 1.521 (0.765–3.024) | 0.232 | 1.769 (0.803–3.897) | 0.157 | 1.208 (0.574–2.542) | 0.619 |
| High CD1a-DCs in LN | 1.214 (0.542–2.722) | 0.637 | 1.486 (0.610–3.620) | 0.384 | 1.204 (0.520–2.784) | 0.665 |
| Adjuvant therapy (done) | 0.734 (0.327–1.648) | 0.454 | 0.826 (0.297–2.298) | 0.715 | 2.006 (0.807–4.984) | 0.134 |
| Label | OS | DSS | RFS | |||
|---|---|---|---|---|---|---|
| HR (95% CI) | p-Value | HR | p-Value | HR | p-Value | |
| Age <71 years | 1.666 (0.738–3.761) | 0.219 | 1.920 (0.798–4.622) | 0.145 | 2.068 (0.900–4.753) | 0.087 |
| Gender (male) | 1.795 (0.245–1.269) | 0.164 | 1.674 (0.671–4.176) | 0.269 | 1.077 (0.441–2.627) | 0.871 |
| T3, T4 | 4.207 (0.976–18.136) | 0.054 | 7.282 (0.967–54.849) | 0.054 | 2.249 (0.663–7.628) | 0.193 |
| M1 | 2.498 (1.006–6.205) | 0.049 | 3.566 (1.355–9.382) | 0.010 | 3.159 (1.233–8.092) | 0.017 |
| Low CD1a-DCs in tumor | 4.495 (1.716–11.774) | 0.002 | 7.068 (2.282–21.898) | 0.001 | 6.871 (2.207–21.390) | 0.001 |
| High CD1a-DCs in LN | 1.081 (0.484–2.418) | 0.849 | 1.173 (0.497–2.768) | 0.715 | 1.166 (0.5103–2.664) | 0.716 |
| High S100-DCs in LN | 1.532 (0.638–3.681) | 0.340 | 1.186 (0.477–2.946) | 0.714 | 1.083 (0.457–2.564) | 0.856 |
| Adjuvant therapy (done) | 0.338 (0.149–0.769) | 0.010 | 1.956 (0.745–5.136) | 0.173 | 0.840 (0.328–2.153) | 0.716 |
Disclaimer/Publisher’s Note: The statements, opinions and data contained in all publications are solely those of the individual author(s) and contributor(s) and not of MDPI and/or the editor(s). MDPI and/or the editor(s) disclaim responsibility for any injury to people or property resulting from any ideas, methods, instructions or products referred to in the content. |
© 2024 by the authors. Licensee MDPI, Basel, Switzerland. This article is an open access article distributed under the terms and conditions of the Creative Commons Attribution (CC BY) license (https://creativecommons.org/licenses/by/4.0/).
Share and Cite
Maeda, S.; Kai, K.; Kawasaki, K.; Tanaka, T.; Ide, T.; Noshiro, H. Analysis of CD1a-Positive Monocyte-Derived Cells in the Regional Lymph Nodes of Patients with Gallbladder Cancer. Int. J. Mol. Sci. 2024, 25, 12763. https://doi.org/10.3390/ijms252312763
Maeda S, Kai K, Kawasaki K, Tanaka T, Ide T, Noshiro H. Analysis of CD1a-Positive Monocyte-Derived Cells in the Regional Lymph Nodes of Patients with Gallbladder Cancer. International Journal of Molecular Sciences. 2024; 25(23):12763. https://doi.org/10.3390/ijms252312763
Chicago/Turabian StyleMaeda, Sachiko, Keita Kai, Kanako Kawasaki, Tomokazu Tanaka, Takao Ide, and Hirokazu Noshiro. 2024. "Analysis of CD1a-Positive Monocyte-Derived Cells in the Regional Lymph Nodes of Patients with Gallbladder Cancer" International Journal of Molecular Sciences 25, no. 23: 12763. https://doi.org/10.3390/ijms252312763
APA StyleMaeda, S., Kai, K., Kawasaki, K., Tanaka, T., Ide, T., & Noshiro, H. (2024). Analysis of CD1a-Positive Monocyte-Derived Cells in the Regional Lymph Nodes of Patients with Gallbladder Cancer. International Journal of Molecular Sciences, 25(23), 12763. https://doi.org/10.3390/ijms252312763

