Positive Effects of Argon Inhalation After Traumatic Brain Injury in Rats
Abstract
1. Introduction
2. Results
2.1. Mortality and Complications
2.2. Changes in Body Weight
2.3. Results of Neurological Examination via Limb-Placing Test (LPT)
2.4. Results of Magnetic Resonance Imaging
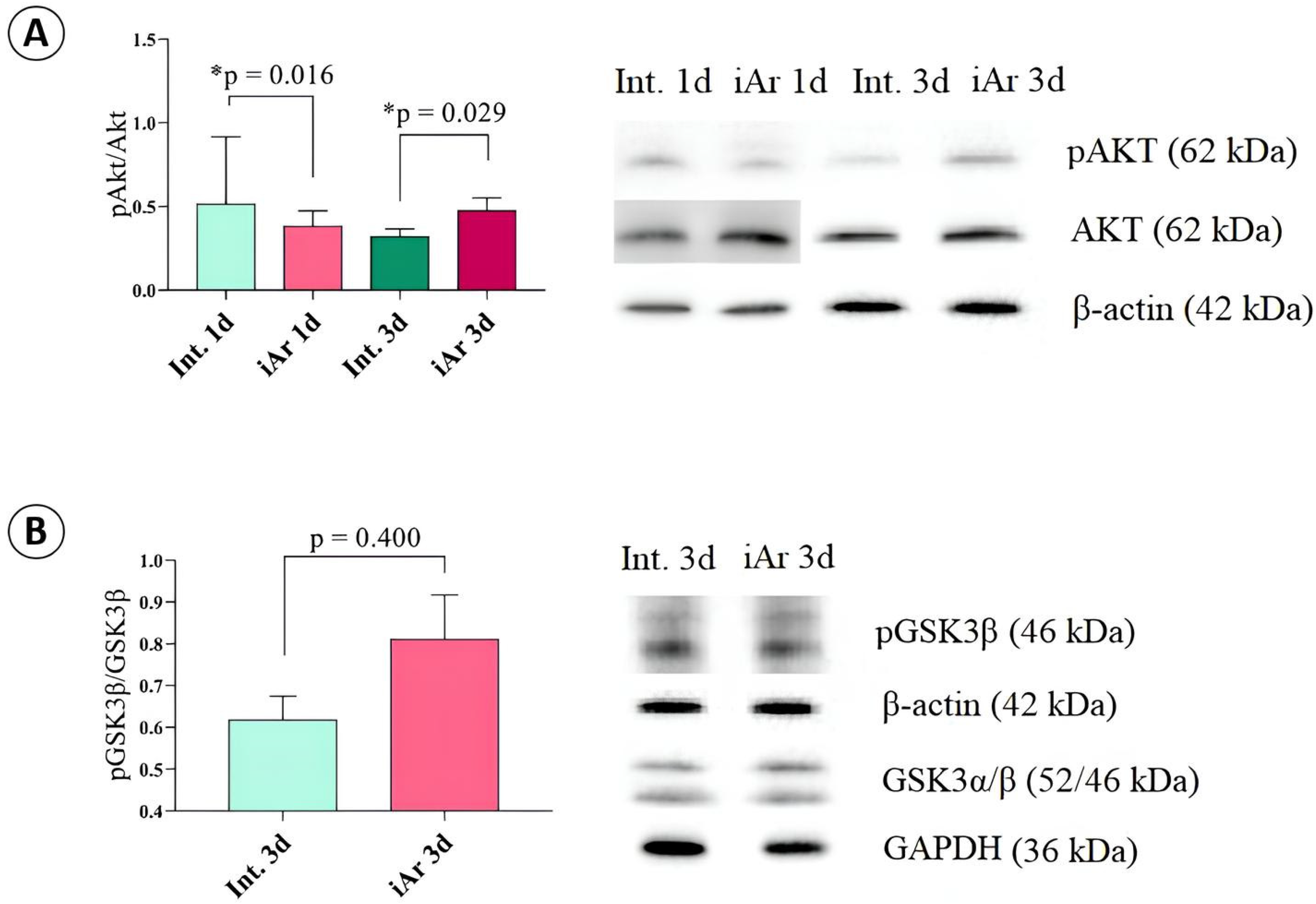
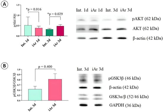
2.5. Molecular Mechanisms of Neuroprotection
2.5.1. Exposure to Argon Causes an Anti-Inflammatory Effect on TBI
2.5.2. Exposure to Argon Affects the Antioxidant System
2.5.3. Exposure to Argon Causes an Anti-Ischemic Effect
3. Discussion
4. Materials and Methods
4.1. Experimental Animals
- -
- Sham-operated animals that received anesthesia and preparatory procedures, without TBI and inhalations (SO group), n = 6;
- -
- Control group treated with TBI + N2 70%/O2 30% inhalation three times (TBI group), n = 16;
- -
- Experimental group treated with TBI + Ar 70%/O2 30% inhalation three times (TBI + iAr group), n = 17;
- -
- Intact animals that received inhalations with a nitrogen-oxygen gas mixture N2 70%/O2 30% only once (group Int. 1d, n = 6) or three times (group Int. 3d, n = 5);
- -
- Intact animals that received inhalations with an argon-oxygen gas mixture Ar 70%/O2 30% only once (group iAr 1d, n = 6) or three times (group iAr 3d, n = 5).
4.2. Modeling of TBI
4.3. Exposure to Argon
4.4. Assessment of Neurological Status
4.5. Brain MRI
4.6. Western Blot Analysis
4.7. Statistical Analysis
5. Conclusions
Supplementary Materials
Author Contributions
Funding
Institutional Review Board Statement
Informed Consent Statement
Data Availability Statement
Conflicts of Interest
References
- Edge, C.J.; Dickinson, R. Argon: A Noble, but Not Inert, Treatment for Brain Trauma? Br. J. Anaesth. 2021, 126, 41–43. [Google Scholar] [CrossRef] [PubMed]
- Grüßer, L.; Blaumeiser-Debarry, R.; Krings, M.; Kremer, B.; Höllig, A.; Rossaint, R.; Coburn, M. Argon Attenuates the Emergence of Secondary Injury after Traumatic Brain Injury within a 2-Hour Incubation Period Compared to Desflurane: An in Vitro Study. Med. Gas Res. 2017, 7, 93–100. [Google Scholar] [CrossRef] [PubMed]
- Ulbrich, F.; Lerach, T.; Biermann, J.; Kaufmann, K.B.; Lagreze, W.A.; Buerkle, H.; Loop, T.; Goebel, U. Argon Mediates Protection by Interleukin-8 Suppression via a TLR2/TLR4/STAT3/NF-ΚB Pathway in a Model of Apoptosis in Neuroblastoma Cells in Vitro and Following Ischemia-Reperfusion Injury in Rat Retina in Vivo. J. Neurochem. 2016, 138, 859–873. [Google Scholar] [CrossRef] [PubMed]
- Nowrangi, D.S.; Tang, J.; Zhang, J.H. Argon Gas: A Potential Neuroprotectant and Promising Medical Therapy. Med. Gas Res. 2014, 4, 3. [Google Scholar] [CrossRef] [PubMed]
- Zhao, H.; Mitchell, S.; Ciechanowicz, S.; Savage, S.; Wang, T.; Ji, X.; Ma, D. Argon Protects against Hypoxic-Ischemic Brain Injury in Neonatal Rats through Activation of Nuclear Factor (Erythroid-Derived 2)-like 2. Oncotarget 2016, 7, 25640–25651. [Google Scholar] [CrossRef]
- Haines, R.W.; Fowler, A.J.; Kirwan, C.J.; Prowle, J.R. The Incidence and Associations of Acute Kidney Injury in Trauma Patients Admitted to Critical Care: A Systematic Review and Meta-Analysis. J. Trauma Acute Care Surg. 2019, 86, 141–147. [Google Scholar] [CrossRef]
- Suleiman, S.; Klassen, S.; Katz, I.; Balakirski, G.; Krabbe, J.; von Stillfried, S.; Kintsler, S.; Braunschweig, T.; Babendreyer, A.; Spillner, J.; et al. Argon Reduces the Pulmonary Vascular Tone in Rats and Humans by GABA-Receptor Activation. Sci. Rep. 2019, 9, 1902. [Google Scholar] [CrossRef]
- Kusmenkov, T.; Braunstein, M.; Schneider, H.J.; Bidlingmaier, M.; Prall, W.C.; Flatz, W.; Boecker, W.; Bogner, V. Initial Free Cortisol Dynamics Following Blunt Multiple Trauma and Traumatic Brain Injury: A Clinical Study. J. Int. Med. Res. 2019, 47, 1185–1194. [Google Scholar] [CrossRef]
- Prokazyuk, A.A.; Zhanaspayev, M.A.; Aubakirova, S.K.; Musabekov, A.S.; Tlemissov, A.S. Polytrauma: Definition of the Problem and Management Strategy (Review). Gen. Reanimatol. 2022, 18, 78–88. [Google Scholar] [CrossRef]
- Wu, D.; Zhang, D.; Yin, H.; Zhang, B.; Xing, J. Meta-Analysis of the Effects of Inert Gases on Cerebral Ischemia–Reperfusion Injury. Sci. Rep. 2023, 13, 16896. [Google Scholar] [CrossRef]
- Höllig, A.; Schug, A.; Fahlenkamp, A.V.; Rossaint, R.; Coburn, M.; Brücken, A.; Fries, M.; Kepp, O.; Lemaire, M.; Ma, D.; et al. Argon: Systematic Review on Neuro- and Organoprotective Properties of an “Inert” Gas. Int. J. Mol. Sci. 2014, 15, 18175. [Google Scholar] [CrossRef] [PubMed]
- Yin, H.; Chen, Z.; Zhao, H.; Huang, H.; Liu, W. Noble Gas and Neuroprotection: From Bench to Bedside. Front. Pharmacol. 2022, 13, 1028688. [Google Scholar] [CrossRef] [PubMed]
- Merigo, G.; Florio, G.; Madotto, F.; Magliocca, A.; Silvestri, I.; Fumagalli, F.; Cerrato, M.; Motta, F.; De Giorgio, D.; Panigada, M.; et al. Treatment with Inhaled Argon: A Systematic Review of Pre-Clinical and Clinical Studies with Meta-Analysis on Neuroprotective Effect. eBioMedicine 2024, 103, 105143. [Google Scholar] [CrossRef]
- Liang, M.; Ahmad, F.; Dickinson, R. Neuroprotection by the Noble Gases Argon and Xenon as Treatments for Acquired Brain Injury: A Preclinical Systematic Review and Meta-Analysis. Br. J. Anaesth. 2022, 129, 200–218. [Google Scholar] [CrossRef]
- Creed, J.; Cantillana-Riquelme, V.; Yan, B.H.; Ma, S.; Chu, D.; Wang, H.; Turner, D.A.; Laskowitz, D.T.; Hoffmann, U. Argon Inhalation for 24 h After Closed-Head Injury Does Not Improve Recovery, Neuroinflammation, or Neurologic Outcome in Mice. Neurocritical Care 2021, 34, 833–843. [Google Scholar] [CrossRef]
- Moro, F.; Fossi, F.; Magliocca, A.; Pascente, R.; Sammali, E.; Baldini, F.; Tolomeo, D.; Micotti, E.; Citerio, G.; Stocchetti, N.; et al. Efficacy of Acute Administration of Inhaled Argon on Traumatic Brain Injury in Mice. Br. J. Anaesth. 2021, 126, 256–264. [Google Scholar] [CrossRef] [PubMed]
- Antonova, V.V.; Silachev, D.N.; Ryzhkov, I.A.; Lapin, K.N.; Kalabushev, S.N.; Ostrova, I.V.; Varnakova, L.A.; Grebenchikov, O.A. Three-Hour Argon Inhalation Has No Neuroprotective Effect after Open Traumatic Brain Injury in Rats. Brain Sci. 2022, 12, 920. [Google Scholar] [CrossRef] [PubMed]
- Ng, S.Y.; Lee, A.Y.W. Traumatic Brain Injuries: Pathophysiology and Potential Therapeutic Targets. Front. Cell. Neurosci. 2019, 13, 52. [Google Scholar] [CrossRef]
- Bocharnikov, A.D.; Boeva, E.A.; Milovanova, M.A.; Antonova, V.V.; Yakupova, E.I.; Grechko, A.V. Nueroprotection by Anesthetics in Brain Injury Models. Gen. Reanimatol. 2024, 20, 65–69. [Google Scholar] [CrossRef]
- Höllig, A.; Weinandy, A.; Liu, J.; Clusmann, H.; Rossaint, R.; Coburn, M. Beneficial Properties of Argon After Experimental Subarachnoid Hemorrhage: Early Treatment Reduces Mortality and Influences Hippocampal Protein Expression. Crit. Care Med. 2016, 44, e520–e529. [Google Scholar] [CrossRef]
- Russell, N.H.; Black, R.T.; Lee, N.N.; Doperalski, A.E.; Reeves, T.M.; Phillips, L.L. Time-Dependent Hemeoxygenase-1, Lipocalin-2 and Ferritin Induction after Non-Contusion Traumatic Brain Injury. Brain Res. 2019, 1725, 146466. [Google Scholar] [CrossRef] [PubMed]
- Thapa, K.; Khan, H.; Singh, T.G.; Kaur, A. Traumatic Brain Injury: Mechanistic Insight on Pathophysiology and Potential Therapeutic Targets. J. Mol. Neurosci. 2021, 71, 1725–1742. [Google Scholar] [CrossRef] [PubMed]
- Kalra, S.; Malik, R.; Singh, G.; Bhatia, S.; Al-Harrasi, A.; Mohan, S.; Albratty, M.; Albarrati, A.; Tambuwala, M.M. Pathogenesis and Management of Traumatic Brain Injury (TBI): Role of Neuroinflammation and Anti-Inflammatory Drugs. Inflammopharmacology 2022, 30, 1153. [Google Scholar] [CrossRef] [PubMed]
- Brücken, A.; Kurnaz, P.; Bleilevens, C.; Derwall, M.; Weis, J.; Nolte, K.; Rossaint, R.; Fries, M. Dose Dependent Neuroprotection of the Noble Gas Argon after Cardiac Arrest in Rats Is Not Mediated by K(ATP)-Channel Opening. Resuscitation 2014, 85, 826–832. [Google Scholar] [CrossRef] [PubMed]
- Qi, H.; Soto-Gonzalez, L.; Krychtiuk, K.A.; Ruhittel, S.; Kaun, C.; Speidl, W.S.; Kiss, A.; Podesser, B.K.; Yao, S.; Markstaller, K.; et al. Pretreatment With Argon Protects Human Cardiac Myocyte-Like Progenitor Cells from Oxygen Glucose Deprivation-Induced Cell Death by Activation of AKT and Differential Regulation of Mapkinases. Shock 2018, 49, 556–563. [Google Scholar] [CrossRef]
- Liu, J.; Nolte, K.; Brook, G.; Liebenstund, L.; Weinandy, A.; Höllig, A.; Veldeman, M.; Willuweit, A.; Langen, K.J.; Rossaint, R.; et al. Post-Stroke Treatment with Argon Attenuated Brain Injury, Reduced Brain Inflammation and Enhanced M2 Microglia/Macrophage Polarization: A Randomized Controlled Animal Study. Crit. Care 2019, 23, 198. [Google Scholar] [CrossRef]
- Ulbrich, F.; Kaufmann, K.B.; Coburn, M.; Lagrèze, W.A.; Roesslein, M.; Biermann, J.; Buerkle, H.; Loop, T.; Goebel, U. Neuroprotective Effects of Argon Are Mediated via an ERK-1/2 Dependent Regulation of Heme-Oxygenase-1 in Retinal Ganglion Cells. J. Neurochem. 2015, 134, 717–727. [Google Scholar] [CrossRef]
- Xue, K.; Qi, M.; She, T.; Jiang, Z.; Zhang, Y.; Wang, X.; Wang, G.; Xu, L.; Peng, B.; Liu, J.; et al. Argon Mitigates Post-Stroke Neuroinflammation by Regulating M1/M2 Polarization and Inhibiting NF-ΚB/NLRP3 Inflammasome Signaling. J. Mol. Cell Biol. 2023, 14, 77. [Google Scholar] [CrossRef]
- Schneider, F.I.; Krieg, S.M.; Lindauer, U.; Stoffel, M.; Ryang, Y.M. Neuroprotective Effects of the Inert Gas Argon on Experimental Traumatic Brain Injury In Vivo with the Controlled Cortical Impact Model in Mice. Biology 2022, 11, 158. [Google Scholar] [CrossRef]
- Wang, Z.; Li, J.; Wang, A.; Wang, Z.; Wang, J.; Yuan, J.; Wei, X.; Xing, F.; Zhang, W.; Xing, N. Sevoflurane Inhibits Traumatic Brain Injury-Induced Neuron Apoptosis via EZH2-Downregulated KLF4/P38 Axis. Front. Cell Dev. Biol. 2021, 9, 658720. [Google Scholar] [CrossRef]
- Wang, Z.; Wang, Z.; Wang, A.; Li, J.; Wang, J.; Yuan, J.; Wei, X.; Xing, F.; Zhang, W.; Xing, N. The Neuroprotective Mechanism of Sevoflurane in Rats with Traumatic Brain Injury via FGF2. J. Neuroinflammation 2022, 19, 51. [Google Scholar] [CrossRef] [PubMed]
- Kochubeinik, N.V.; Ivanov, A.O.; Petrov, V.A.; Groshilin, V.S.; Tanova, A.A.; Gostev, V.R. Evaluation of Antihypoxic Effects of Therapeutic Breathing Mixtures with High Argon Content on the Example of Acute Blood Loss in Laboratory Animals: A Preclinical Randomized Experimental Study. Kuban Sci. Med. Bull. 2024, 31, 69–79. [Google Scholar] [CrossRef]
- Kumar, V.; Zhang, M.X.; Swank, M.W.; Kunz, J.; Wu, G.Y. Regulation of Dendritic Morphogenesis by Ras-PI3K-Akt-MTOR and Ras-MAPK Signaling Pathways. J. Neurosci. Off. J. Soc. Neurosci. 2005, 25, 11288–11299. [Google Scholar] [CrossRef]
- Manning, B.D.; Toker, A. AKT/PKB Signaling: Navigating the Network. Cell 2017, 169, 381–405. [Google Scholar] [CrossRef]
- Dibble, C.C.; Cantley, L.C. Regulation of MTORC1 by PI3K Signaling. Trends Cell Biol. 2015, 25, 545–555. [Google Scholar] [CrossRef] [PubMed]
- Abe, N.; Borson, S.H.; Gambello, M.J.; Wang, F.; Cavalli, V. Mammalian Target of Rapamycin (MTOR) Activation Increases Axonal Growth Capacity of Injured Peripheral Nerves. J. Biol. Chem. 2010, 285, 28034–28043. [Google Scholar] [CrossRef] [PubMed]
- Erlich, S.; Alexandrovich, A.; Shohami, E.; Pinkas-Kramarski, R. Rapamycin Is a Neuroprotective Treatment for Traumatic Brain Injury. Neurobiol. Dis. 2007, 26, 86–93. [Google Scholar] [CrossRef]
- Lemoine, S.; Blanchart, K.; Souplis, M.; Lemaitre, A.; Legallois, D.; Coulbault, L.; Simard, C.; Allouche, S.; Abraini, J.H.; Hanouz, J.L.; et al. Argon Exposure Induces Postconditioning in Myocardial Ischemia-Reperfusion. J. Cardiovasc. Pharmacol. Ther. 2017, 22, 564–573. [Google Scholar] [CrossRef]
- Kiss, A.; Shu, H.; Hamza, O.; Santer, D.; Tretter, E.V.; Yao, S.; Markstaller, K.; Hallström, S.; Podesser, B.K.; Klein, K.U. Argon Preconditioning Enhances Postischaemic Cardiac Functional Recovery Following Cardioplegic Arrest and Global Cold Ischaemia. Eur. J. Cardio-Thorac. Surgery Off. J. Eur. Assoc. Cardio Thorac. Surg. 2018, 54, 539–546. [Google Scholar] [CrossRef]
- Zhao, H.; Mitchell, S.; Koumpa, S.; Cui, Y.T.; Lian, Q.; Hagberg, H.; Johnson, M.R.; Takata, M.; Ma, D. Heme Oxygenase-1 Mediates Neuroprotection Conferred by Argon in Combination with Hypothermia in Neonatal Hypoxia-Ischemia Brain Injury. Anesthesiology 2016, 125, 180–192. [Google Scholar] [CrossRef]
- Scheid, S.; Lejarre, A.; Wollborn, J.; Buerkle, H.; Goebel, U.; Ulbrich, F. Argon Preconditioning Protects Neuronal Cells with a Toll-like Receptor-Mediated Effect. Neural Regen. Res. 2023, 18, 1371–1377. [Google Scholar] [CrossRef] [PubMed]
- Gardner, A.J.; Menon, D.K. Moving to Human Trials for Argon Neuroprotection in Neurological Injury: A Narrative Review. Br. J. Anaesth. 2018, 120, 453–468. [Google Scholar] [CrossRef] [PubMed]
- Forde, J.E.; Dale, T.C. Glycogen Synthase Kinase 3: A Key Regulator of Cellular Fate. Cell. Mol. Life Sci. CMLS 2007, 64, 1930–1944. [Google Scholar] [CrossRef]
- Fang, X.; Yu, S.X.; Lu, Y.; Bast, R.C.; Woodgett, J.R.; Mills, G.B. Phosphorylation and Inactivation of Glycogen Synthase Kinase 3 by Protein Kinase A. Proc. Natl. Acad. Sci. USA 2000, 97, 11960–11965. [Google Scholar] [CrossRef]
- Llorens-Martín, M.; Jurado, J.; Hernández, F.; Ávila, J. GSK-3β, a Pivotal Kinase in Alzheimer Disease. Front. Mol. Neurosci. 2014, 7, 46. [Google Scholar] [CrossRef]
- Li, D.W.; Liu, Z.Q.; Chen, W.; Yao, M.; Li, G.R. Association of Glycogen Synthase Kinase-3β with Parkinson’s Disease (Review). Mol. Med. Rep. 2014, 9, 2043–2050. [Google Scholar] [CrossRef]
- Martinez, A.; Castro, A.; Dorronsoro, I.; Alonso, M. Glycogen Synthase Kinase 3 (GSK-3) Inhibitors as New Promising Drugs for Diabetes, Neurodegeneration, Cancer, and Inflammation. Med. Res. Rev. 2002, 22, 373–384. [Google Scholar] [CrossRef]
- Tao, J.; Cui, Y.; Duan, Y.; Zhang, N.; Wang, C.; Zhang, F.; Tao, J.; Cui, Y.; Duan, Y.; Zhang, N.; et al. Puerarin Attenuates Locomotor and Cognitive Deficits as Well as Hippocampal Neuronal Injury through the PI3K/Akt1/GSK-3β Signaling Pathway in an in Vivo Model of Cerebral Ischemia. Oncotarget 2017, 8, 106283–106295. [Google Scholar] [CrossRef] [PubMed]
- Wang, W.; Li, M.; Wang, Y.; Li, Q.; Deng, G.; Wan, J.; Yang, Q.; Chen, Q.; Wang, J. GSK-3β Inhibitor TWS119 Attenuates RtPA-Induced Hemorrhagic Transformation and Activates the Wnt/β-Catenin Signaling Pathway after Acute Ischemic Stroke in Rats. Mol. Neurobiol. 2016, 53, 7028–7036. [Google Scholar] [CrossRef]
- Mo, Z.; Zeng, Z.; Liu, Y.; Zeng, L.; Fang, J.; Ma, Y. Activation of Wnt/Beta-Catenin Signaling Pathway as a Promising Therapeutic Candidate for Cerebral Ischemia/Reperfusion Injury. Front. Pharmacol. 2022, 13, 914537. [Google Scholar] [CrossRef]
- Suzuki, T.; Yamamoto, M. Stress-Sensing Mechanisms and the Physiological Roles of the Keap1-Nrf2 System during Cellular Stress. J. Biol. Chem. 2017, 292, 16817–16824. [Google Scholar] [CrossRef]
- Loboda, A.; Damulewicz, M.; Pyza, E.; Jozkowicz, A.; Dulak, J. Role of Nrf2/HO-1 System in Development, Oxidative Stress Response and Diseases: An Evolutionarily Conserved Mechanism. Cell. Mol. Life Sci. 2016, 73, 3221–3247. [Google Scholar] [CrossRef]
- Shirle, R.; Ord, E.N.J.; Work, L.M. Oxidative Stress and the Use of Antioxidants in Stroke. Antioxidants 2014, 3, 472–501. [Google Scholar] [CrossRef]
- Alfieri, A.; Srivastava, S.; Siow, R.C.M.; Cash, D.; Modo, M.; Duchen, M.R.; Fraser, P.A.; Williams, S.C.R.; Mann, G.E. Sulforaphane Preconditioning of the Nrf2/HO-1 Defense Pathway Protects the Cerebral Vasculature against Blood–Brain Barrier Disruption and Neurological Deficits in Stroke. Free. Radic. Biol. Med. 2013, 65, 1012–1022. [Google Scholar] [CrossRef]
- Liu, J.; Veldeman, M.; Höllig, A.; Nolte, K.; Liebenstund, L.; Willuweit, A.; Langen, K.J.; Rossaint, R.; Coburn, M. Post-Stroke Treatment with Argon Preserved Neurons and Attenuated Microglia/Macrophage Activation Long-Termly in a Rat Model of Transient Middle Cerebral Artery Occlusion (TMCAO). Sci. Rep. 2022, 12, 691. [Google Scholar] [CrossRef]
- Fu, C.; Wu, Y.; Liu, S.; Luo, C.; Lu, Y.; Liu, M.; Wang, L.; Zhang, Y.; Liu, X. Rehmannioside A Improves Cognitive Impairment and Alleviates Ferroptosis via Activating PI3K/AKT/Nrf2 and SLC7A11/GPX4 Signaling Pathway after Ischemia. J. Ethnopharmacol. 2022, 289, 115021. [Google Scholar] [CrossRef]
- Goebel, U.; Scheid, S.; Spassov, S.; Schallner, N.; Wollborn, J.; Buerkle, H.; Ulbrich, F. Argon Reduces Microglial Activation and Inflammatory Cytokine Expression in Retinal Ischemia/Reperfusion Injury. Neural Regen. Res. 2021, 16, 192–198. [Google Scholar]
- Gyengesi, E.; Paxinos, G.B.; Andrews, Z. Oxidative Stress in the Hypothalamus: The Importance of Calcium Signaling and Mitochondrial ROS in Body Weight Regulation. Curr. Neuropharmacol. 2012, 10, 344–353. [Google Scholar] [CrossRef]
- Wu, A.G.; Yong, Y.Y.; Pan, Y.R.; Zhang, L.; Wu, J.M.; Zhang, Y.; Tang, Y.; Wei, J.; Yu, L.; Law, B.Y.K.; et al. Targeting Nrf2-Mediated Oxidative Stress Response in Traumatic Brain Injury: Therapeutic Perspectives of Phytochemicals. Oxidative Med. Cell. Longev. 2022, 2022, 1015791. [Google Scholar] [CrossRef]
- Ross, D.; Siegel, D. The Diverse Functionality of NQO1 and Its Roles in Redox Control. Redox Biol. 2021, 41, 101950. [Google Scholar] [CrossRef] [PubMed]
- Zhao, H.; Yoshida, A.; Xiao, W.; Ologunde, R.; O’Dea, K.P.; Takata, M.; Tralau-Stewart, C.; George, A.J.T.; Ma, D. Xenon Treatment Attenuates Early Renal Allograft Injury Associated with Prolonged Hypothermic Storage in Rats. FASEB J. Off. Publ. Fed. Am. Soc. Exp. Biol. 2013, 27, 4076–4088. [Google Scholar] [CrossRef]
- Ryter, S.W. Heme Oxgenase-1, a Cardinal Modulator of Regulated Cell Death and Inflammation. Cells 2021, 10, 515. [Google Scholar] [CrossRef]
- Khan, M.; Dhammu, T.S.; Baarine, M.; Kim, J.; Paintlia, M.K.; Singh, I.; Singh, A.K. GSNO Promotes Functional Recovery in Experimental TBI by Stabilizing HIF-1α. Behav. Brain Res. 2018, 340, 63. [Google Scholar] [CrossRef]
- Xu, X.; Yang, M.; Zhang, B.; Dong, J.; Zhuang, Y.; Ge, Q.; Niu, F.; Liu, B. HIF-1α Participates in Secondary Brain Injury through Regulating Neuroinflammation. Transl. Neurosci. 2023, 14, 20220272. [Google Scholar] [CrossRef]
- Rizvi, M.; Jawad, N.; Li, Y.; Vizcaychipi, M.P.; Maze, M.; Ma, D. Effect of Noble Gases on Oxygen and Glucose Deprived Injury in Human Tubular Kidney Cells. Exp. Biol. Med. 2010, 235, 886–891. [Google Scholar] [CrossRef]
- Lawrence, T. The Nuclear Factor NF-ΚB Pathway in Inflammation. Cold Spring Harb. Perspect. Biol. 2009, 1, a001651. [Google Scholar] [CrossRef]
- Napetschnig, J.; Wu, H. Molecular Basis of NF-ΚB Signaling. Annu. Rev. Biophys. 2013, 42, 443–468. [Google Scholar] [CrossRef]
- Ulbrich, F.; Schallner, N.; Coburn, M.; Loop, T.; Lagrèze, W.A.; Biermann, J.; Goebel, U. Argon Inhalation Attenuates Retinal Apoptosis after Ischemia/Reperfusion Injury in a Time- and Dose-Dependent Manner in Rats. PLoS ONE 2014, 9, e115984. [Google Scholar] [CrossRef]
- Ulbrich, F.; Goebel, U. The Molecular Pathway of Argon-Mediated Neuroprotection. Int. J. Mol. Sci. 2016, 17, 1816. [Google Scholar] [CrossRef]
- Zhang, X.; Wan, Y.; Feng, J.; Li, M.; Jiang, Z. Involvement of TLR2/4-MyD88-NF-κB Signaling Pathway in the Pathogenesis of Intracranial Aneurysm. Mol. Med. Rep. 2021, 23, 230. [Google Scholar] [CrossRef]
- Kawai, T.; Akira, S. Signaling to NF-ΚB by Toll-like Receptors. Trends Mol. Med. 2007, 13, 460–469. [Google Scholar] [CrossRef] [PubMed]
- Neri, M.; Frati, A.; Turillazzi, E.; Cantatore, S.; Cipolloni, L.; Di Paolo, M.; Frati, P.; La Russa, R.; Maiese, A.; Scopetti, M.; et al. Immunohistochemical Evaluation of Aquaporin-4 and Its Correlation with CD68, IBA-1, HIF-1α, GFAP, and CD15 Expressions in Fatal Traumatic Brain Injury. Int. J. Mol. Sci. 2018, 19, 3544. [Google Scholar] [CrossRef] [PubMed]
- Silachev, D.N.; Usatikova, E.A.; Pevzner, I.B.; Zorova, L.D.; Babenko, V.A.; Gulyaev, M.V.; Pirogov, Y.A.; Plotnikov, E.Y.; Zorov, D.B. Effect of Anesthetics on Efficiency of Remote Ischemic Preconditioning. Biochem. Biokhimiia 2017, 82, 1006–1016. [Google Scholar] [CrossRef] [PubMed]
- Fesharaki-Zadeh, A.; Datta, D. An Overview of Preclinical Models of Traumatic Brain Injury (TBI): Relevance to Pathophysiological Mechanisms. Front. Cell. Neurosci. 2024, 18, 1371213. [Google Scholar] [CrossRef] [PubMed]
- Feeney, D.M.; Boyeson, M.G.; Linn, R.T.; Murray, H.M.; Dail, W.G. Responses to Cortical Injury: I. Methodology and Local Effects of Contusions in the Rat. Brain Res. 1981, 211, 67–77. [Google Scholar] [CrossRef]
- Hicks, S.P.; D’Amato, C.J. Locating Corticospinal Neurons by Retrograde Axonal Transport of Horseradish Peroxidase. Exp. Neurol. 1977, 56, 410–420. [Google Scholar] [CrossRef]
- Salikhova, D.I.; Golovicheva, V.V.; Fatkhudinov, T.K.; Shevtsova, Y.A.; Soboleva, A.G.; Goryunov, K.V.; Dyakonov, A.S.; Mokroysova, V.O.; Mingaleva, N.S.; Shedenkova, M.O.; et al. Therapeutic Efficiency of Proteins Secreted by Glial Progenitor Cells in a Rat Model of Traumatic Brain Injury. Int. J. Mol. Sci. 2023, 24, 12341. [Google Scholar] [CrossRef]
- Klahr, A.C.; Nadeau, C.A.; Colbourne, F. Temperature Control in Rodent Neuroprotection Studies: Methods and Challenges. Ther. Hypothermia Temp. Manag. 2017, 7, 42–49. [Google Scholar] [CrossRef]
- Klune, C.B.; Robbins, H.N.K.; Leung, V.S.Y.; Pang, D.S.J. Hypothermia During General Anesthesia Interferes with Pain Assessment in Laboratory Rats (Rattus Norvegicus). J. Am. Assoc. Lab. Anim. Sci. JAALAS 2020, 59, 719–725. [Google Scholar] [CrossRef]
- Mallet, C.; Desmeules, J.; Pegahi, R.; Eschalier, A. An Updated Review on the Metabolite (AM404)-Mediated Central Mechanism of Action of Paracetamol (Acetaminophen): Experimental Evidence and Potential Clinical Impact. J. Pain Res. 2023, 16, 1081–1094. [Google Scholar] [CrossRef]
- Foley, P.L.; Kendall, L.V.; Turner, P.V. Clinical Management of Pain in Rodents. Comp. Med. 2019, 69, 468–489. [Google Scholar] [CrossRef] [PubMed]
- De Ryck, M.; Van Reempts, J.; Borgers, M.; Wauquier, A.; Janssen, P.A.J. Photochemical Stroke Model: Flunarizine Prevents Sensorimotor Deficits after Neocortical Infarcts in Rats. Stroke 1989, 20, 1383–1390. [Google Scholar] [CrossRef] [PubMed]
- Jolkkonen, J.; Puurunen, K.; Rantakömi, S.; Härkönen, A.; Haapalinna, A.; Sivenius, J. Behavioral Effects of the A2-Adrenoceptor Antagonist, Atipamezole, after Focal Cerebral Ischemia in Rats. Eur. J. Pharmacol. 2000, 400, 211–219. [Google Scholar] [CrossRef] [PubMed]
- Silachev, D.N.; Uchevatkin, A.A.; Pirogov, Y.A.; Zorov, D.B.; Isaev, N.K. Comparative Evaluation of Two Methods for Studies of Experimental Focal Ischemia: Magnetic Resonance Tomography and Triphenyltetrazoleum Detection of Brain Injuries. Bull. Exp. Biol. Med. 2009, 147, 269–272. [Google Scholar] [CrossRef]
- Antonova, V.V.; Silachev, D.N.; Plotnikov, E.Y.; Pevzner, I.B.; Yakupova, E.I.; Pisarev, M.V.; Boeva, E.A.; Tsokolaeva, Z.I.; Lyubomudrov, M.A.; Shumov, I.V.; et al. Neuroprotective Effects of Krypton Inhalation on Photothrombotic Ischemic Stroke. Biomedicines 2024, 12, 635. [Google Scholar] [CrossRef]








| Parameter | Group | p-Value | |||||
|---|---|---|---|---|---|---|---|
| SO | TBI | TBI + iAr | K-W test | SO vs. TBI | SO vs. TBI + iAr | TBI vs. TBI + iAr | |
| LPT 3 d, points | 9 (5.5; 10.5) | 2 (1; 5) | 3 (1; 9.25) | 0.0399 | 0.0131 * | 0.0612 | 0.4006 |
| LPT 7 d, points | 12 (9.25; 13.3) | 2 (2; 6) | 5.5 (3.5; 8.5) | 0.0031 * | 0.0008 * | 0.0163 * | 0.2068 |
| LPT 14 d, points | 11 (8.75; 13.3) | 5 (3: 6) | 8.5 (8; 10.3) | 0.0005 * | 0.0002 * | 0.2090 | 0.0036 * |
| ΔLPT 7d − 3d, points | 3.5 (−0.75; 6) | 0 (0; 2) | 1 (−0.25; 3) | 0.4349 | 0.2137 | 0.3160 | 0.7242 |
| ΔLPT 14d − 3d, points | 2 (−1; 6) | 2 (1; 4) | 5.5 (0.75; 6.25) | 0.3210 | 0.8636 | 0.2625 | 0.1714 |
| ΔLPT 14d − 7d, points | 0 (−1; 0.5) | 1 (−3; 4) | 3.5 (1; 4) | 0.0232 * | 0.1827 | 0.0064 * | 0.1761 |
Disclaimer/Publisher’s Note: The statements, opinions and data contained in all publications are solely those of the individual author(s) and contributor(s) and not of MDPI and/or the editor(s). MDPI and/or the editor(s) disclaim responsibility for any injury to people or property resulting from any ideas, methods, instructions or products referred to in the content. |
© 2024 by the authors. Licensee MDPI, Basel, Switzerland. This article is an open access article distributed under the terms and conditions of the Creative Commons Attribution (CC BY) license (https://creativecommons.org/licenses/by/4.0/).
Share and Cite
Antonova, V.V.; Silachev, D.N.; Plotnikov, E.Y.; Pevzner, I.B.; Ivanov, M.E.; Boeva, E.A.; Kalabushev, S.N.; Yadgarov, M.Y.; Cherpakov, R.A.; Grebenchikov, O.A.; et al. Positive Effects of Argon Inhalation After Traumatic Brain Injury in Rats. Int. J. Mol. Sci. 2024, 25, 12673. https://doi.org/10.3390/ijms252312673
Antonova VV, Silachev DN, Plotnikov EY, Pevzner IB, Ivanov ME, Boeva EA, Kalabushev SN, Yadgarov MY, Cherpakov RA, Grebenchikov OA, et al. Positive Effects of Argon Inhalation After Traumatic Brain Injury in Rats. International Journal of Molecular Sciences. 2024; 25(23):12673. https://doi.org/10.3390/ijms252312673
Chicago/Turabian StyleAntonova, Viktoriya V., Denis N. Silachev, Egor Y. Plotnikov, Irina B. Pevzner, Mikhail E. Ivanov, Ekaterina A. Boeva, Sergey N. Kalabushev, Mikhail Ya. Yadgarov, Rostislav A. Cherpakov, Oleg A. Grebenchikov, and et al. 2024. "Positive Effects of Argon Inhalation After Traumatic Brain Injury in Rats" International Journal of Molecular Sciences 25, no. 23: 12673. https://doi.org/10.3390/ijms252312673
APA StyleAntonova, V. V., Silachev, D. N., Plotnikov, E. Y., Pevzner, I. B., Ivanov, M. E., Boeva, E. A., Kalabushev, S. N., Yadgarov, M. Y., Cherpakov, R. A., Grebenchikov, O. A., & Kuzovlev, A. N. (2024). Positive Effects of Argon Inhalation After Traumatic Brain Injury in Rats. International Journal of Molecular Sciences, 25(23), 12673. https://doi.org/10.3390/ijms252312673

