Coronavirus Disease 2019-Associated Thrombotic Microangiopathy: A Single-Center Experience
Abstract
1. Introduction
2. Results
2.1. Demographic and Clinical Characteristics of Patients with COVID-19-Associated TMA
2.1.1. Patient Presenting with TTP
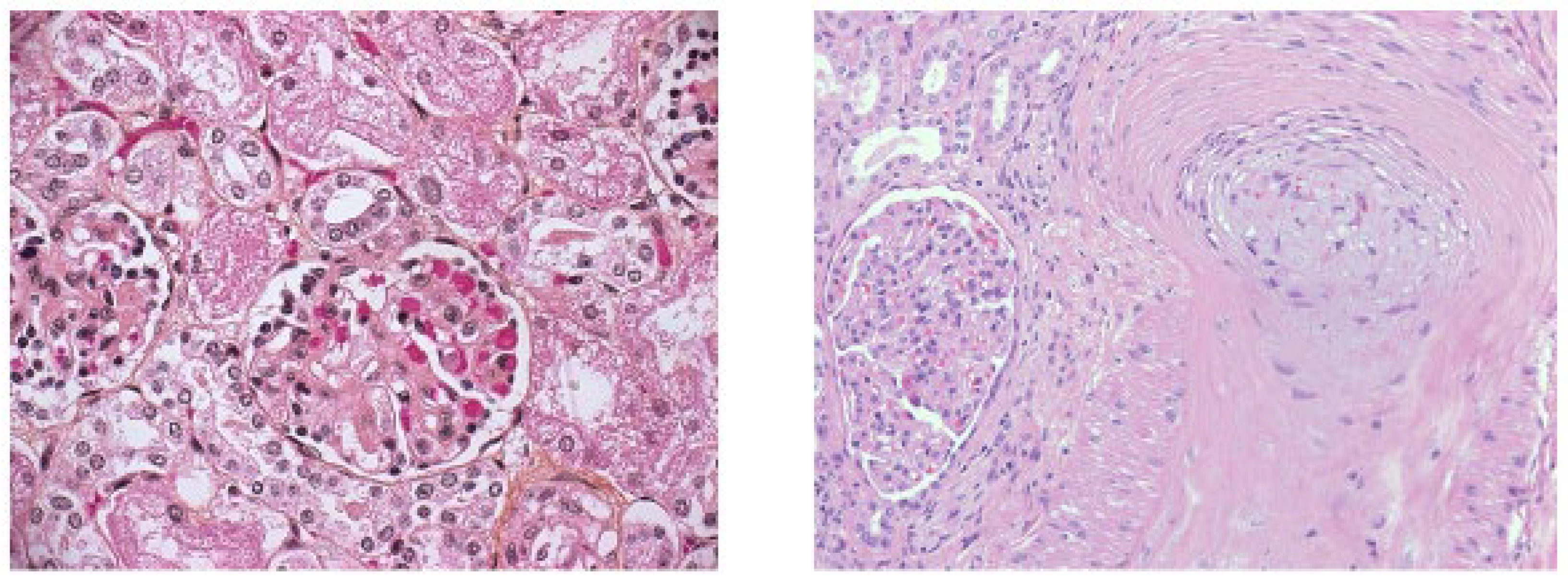
2.1.2. Patients Presenting with aHUS
3. Discussion
4. Patients and Methods
- Thrombocytopenia (platelet count <150 g/L);
 - MAHA (hemoglobin <100 g/dL, serum lactate dehydrogenase level above upper limit of normal range, undetectable haptoglobin, presence of schistocytes in blood smear);
 - Organ damage (AKI, neurological abnormalities);
 - Features of TMA in renal biopsy.
 
- Certain infections (we performed serologic tests for hepatitis B and C, human immunodeficiency virus, leptospirosis and hantavirus);
 - Autoimmune diseases (we tested for antibodies against cardiolipin, beta2-glycoprotein I and prothrombin, as well as antineutrophil cytoplasmic antibodies and anti-nuclear and anti-glomerular basement membrane antibodies);
 - Malignant diseases;
 - The transplantation of solid organs;
 - Exposure to certain medications that indicate drug-induced TMA (CNI, everolimus, sirolimus, gemcitabine, hydroxychloroquine, …).
 
5. Conclusions
6. Limitations
Supplementary Materials
Author Contributions
Funding
Institutional Review Board Statement
Informed Consent Statement
Data Availability Statement
Conflicts of Interest
Abbreviations
| aHUS | atypical hemolytic–uremic syndrome | 
| aPL | antiphospholipid | 
| aPS | antiphospholipid syndrome | 
| AKI | acute kidney injury | 
| CNI | calcineurin inhibitor | 
| COVID-19 | coronavirus disease 2019 | 
| ESRD | end-stage renal disease2 | 
| FFP | fresh frozen plasma | 
| FSGS | focal segmental glomerulosclerosis | 
| KTR | kidney transplant recipient | 
| MAHA | microangiopathic hemolytic anemia | 
| PCR | polymerase chain reaction | 
| SARS-CoV-2 | severe acute respiratory syndrome coronavirus 2 | 
| STEC-HUS | Shiga toxin-mediated hemolytic uremic syndrome | 
| TMA | thrombotic microangiopathy | 
| TPE | therapeutic plasma exchange | 
| TTP | thrombotic thrombocytopenic purpura | 
References
- Gupta, A.; Madhavan, M.V.; Sehgal, K.; Nair, N.; Mahajan, S.; Sehrawat, T.S.; Bikdeli, B.; Ahluwalia, N.; Ausiello, J.C.; Wan, E.Y.; et al. Extrapulmonary manifestations of COVID-19. Nat. Med. 2020, 26, 1017–1032. [Google Scholar] [CrossRef]
 - Hirsch, J.S.; Ng, J.H.; Ross, D.W.; Sharma, P.; Shah, H.H.; Barnett, R.L.; Hazzan, A.D.; Fishbane, S.; Jhaveri, K.D.; on behalf of theNorthwell COVID-19 Research Consortium and theNorthwell Nephrology COVID-19 Research Consortium. Acute kidney injury in patients hospitalized with COVID-19. Kidney Int. 2020, 98, 209–218. [Google Scholar] [CrossRef] [PubMed]
 - Sharma, P.; Uppal, N.N.; Wanchoo, R.; Shah, H.H.; Yang, Y.; Parikh, R.; Khanin, Y.; Madireddy, V.; Larsen, C.P.; Jhaveri, K.D.; et al. COVID-19–Associated Kidney Injury: A Case Series of Kidney Biopsy Findings. J. Am. Soc. Nephrol. 2020, 31, 1948–1958. [Google Scholar] [CrossRef] [PubMed]
 - Jeyalan, V.; Storrar, J.; Wu, H.H.L.; Ponnusamy, A.; Sinha, S.; Kalra, P.A.; Chinnadurai, R. Native and transplant kidney histopathological manifestations in association with COVID-19 infection: A systematic review. World J. Transplant. 2021, 11, 480–502. [Google Scholar] [CrossRef] [PubMed]
 - Tiwari, N.R.; Phatak, S.; Sharma, V.R.; Agarwal, S.K. COVID-19 and thrombotic microangiopathies. Thromb. Res. 2021, 202, 191–198. [Google Scholar] [CrossRef] [PubMed]
 - George, J.N.; Nester, C.M. Syndromes of Thrombotic Microangiopathy. N. Engl. J. Med. 2014, 371, 1846–1848. [Google Scholar] [CrossRef] [PubMed]
 - Goodship, T.H.; Cook, H.T.; Fakhouri, F.; Fervenza, F.C.; Frémeaux-Bacchi, V.; Kavanagh, D.; Nester, C.M.; Noris, M.; Pickering, M.C.; de Córdoba, S.R.; et al. Atypical hemolytic uremic syndrome and C3 glomerulopathy: Conclusions from a “Kidney Disease: Improving Global Outcomes” (KDIGO) Controversies Conference. Kidney Int. 2017, 91, 539–551. [Google Scholar] [CrossRef]
 - Moake, J.L. Thrombotic Microangiopathies. N. Engl. J. Med. 2002, 347, 589–600. [Google Scholar] [CrossRef]
 - Merrill, J.T.; Erkan, D.; Winakur, J.; James, J.A. Emerging evidence of a COVID-19 thrombotic syndrome has treatment implications. Nat. Rev. Rheumatol. 2020, 16, 581–589. [Google Scholar] [CrossRef]
 - Vrečko, M.M.; Rigler, A.A.; Večerić-Haler, Ž. Coronavirus Disease 2019-Associated Thrombotic Microangiopathy: Literature Review. Int. J. Mol. Sci. 2022, 23, 11307. [Google Scholar] [CrossRef]
 - Vrecko, M.M.; Veceric-Haler, Z. Coronavirus Disease 2019-Associated Thrombotic Microangiopathy. J. Hematol. 2022, 11, 148–153. [Google Scholar] [CrossRef] [PubMed]
 - Donadelli, R.; Sinha, A.; Bagga, A.; Noris, M.; Remuzzi, G. HUS and TTP: Traversing the disease and the age spectrum. Semin. Nephrol. 2023, 43, 151436. [Google Scholar] [CrossRef] [PubMed]
 - El Sissy, C.; Saldman, A.; Zanetta, G.; Martins, P.V.; Poulain, C.; Cauchois, R.; Kaplanski, G.; Venetz, J.-P.; Bobot, M.; Dobosziewicz, H.; et al. COVID-19 as a potential trigger of complement-mediated atypical HUS. Blood 2021, 138, 1777–1782. [Google Scholar] [CrossRef]
 - Aigner, C.; Gaggl, M.; Schmidt, S.; Kain, R.; Kozakowski, N.; Oszwald, A.; Prohászka, Z.; Sunder-Plassmann, R.; Schmidt, A.; Sunder-Plassmann, G. Complement-Mediated Thrombotic Microangiopathy Related to COVID-19 or SARS-CoV-2 Vaccination. Kidney Int. Rep. 2023, 8, 1506–1513. [Google Scholar] [CrossRef] [PubMed]
 - Albiol, N.; Awol, R.; Martino, R. Autoimmune thrombotic thrombocytopenic purpura (TTP) associated with COVID-19. Ann. Hematol. 2020, 99, 1673–1674. [Google Scholar] [CrossRef]
 - Boudhabhay, I.; Rabant, M.; Roumenina, L.T.; Coupry, L.-M.; Poillerat, V.; Marchal, A.; Frémeaux-Bacchi, V.; El Karoui, K.; Monchi, M.; Pourcine, F. Case Report: Adult Post-COVID-19 Multisystem Inflammatory Syndrome and Thrombotic Microangiopathy. Front. Immunol. 2021, 12, 680567. [Google Scholar] [CrossRef]
 - Tarasewicz, A.; Perkowska-Ptasińska, A.; Dębska-Ślizień, A. Thrombotic microangiopathy in a kidney transplant patient after COVID-19. Pol. Arch. Intern. Med. 2021, 131. [Google Scholar] [CrossRef]
 - Jochims, J.A.; Yazdani, B.; Krüger, B.; Popovic, Z.V.; Krämer, B.K. Post-COVID-19 complement-mediated TMA: A case report. Clin. Nephrol. 2024, 102, 232–237. [Google Scholar] [CrossRef]
 - Bayer, G.; von Tokarski, F.; Thoreau, B.; Bauvois, A.; Barbet, C.; Cloarec, S.; Mérieau, E.; Lachot, S.; Garot, D.; Bernard, L.; et al. Etiology and Outcomes of Thrombotic Microangiopathies. Clin. J. Am. Soc. Nephrol. 2019, 14, 557–566. [Google Scholar] [CrossRef]
 - Serrano, M.; Espinosa, G.; Serrano, A.; Cervera, R. COVID-19 and the antiphospholipid syndrome. Autoimmun. Rev. 2022, 21, 103206. [Google Scholar] [CrossRef]
 - Borghi, M.O.; Beltagy, A.; Garrafa, E.; Curreli, D.; Cecchini, G.; Bodio, C.; Grossi, C.; Blengino, S.; Tincani, A.; Franceschini, F.; et al. Anti-Phospholipid Antibodies in COVID-19 Are Different from Those Detectable in the Anti-Phospholipid Syndrome. Front. Immunol. 2020, 11. [Google Scholar] [CrossRef] [PubMed]
 - Asherson, R.A.; Cervera, R. Antiphospholipid antibodies and infections. Ann. Rheum. Dis. 2003, 62, 388–393. [Google Scholar] [CrossRef] [PubMed]
 - Arcani, R.; Cauchois, R.; Suchon, P.; Weber, S.; Jean, R.; Jarrot, P.-A.; Rey, L.; Venton, G.; Koubi, M.; Muller, R.; et al. “True” Antiphospholipid Syndrome in COVID-19: Contribution of the Follow-up of Antiphospholipid Autoantibodies. Semin. Thromb. Hemost. 2022, 49, 097–102. [Google Scholar] [CrossRef] [PubMed]
 - Sinkovits, G.; Mező, B.; Réti, M.; Müller, V.; Iványi, Z.; Gál, J.; Gopcsa, L.; Reményi, P.; Szathmáry, B.; Lakatos, B.; et al. Complement Overactivation and Consumption Predicts In-Hospital Mortality in SARS-CoV-2 Infection. Front. Immunol. 2021, 12, 663187. [Google Scholar] [CrossRef]
 - Medjeral-Thomas, N.R.; Cook, H.T.; Pickering, M.C. Complement activation in IgA nephropathy. Semin. Immunopathol. 2021, 43, 679–690. [Google Scholar] [CrossRef]
 - Zheng, X.L.; Vesely, S.K.; Cataland, S.R.; Coppo, P.; Geldziler, B.; Iorio, A.; Matsumoto, M.; Mustafa, R.A.; Pai, M.; Rock, G.; et al. ISTH guidelines for treatment of thrombotic thrombocytopenic purpura. J. Thromb. Haemost. 2020, 18, 2496–2502. [Google Scholar] [CrossRef]
 - Menne, J.; Delmas, Y.; Fakhouri, F.; Licht, C.; Lommelé, Å.; Minetti, E.E.; Provôt, F.; Rondeau, E.; Sheerin, N.S.; Wang, J.; et al. Outcomes in patients with atypical hemolytic uremic syndrome treated with eculizumab in a long-term observational study. BMC Nephrol. 2019, 20, 125. [Google Scholar] [CrossRef]
 - Terrell, D.R.; Williams, L.A.; Vesely, S.K.; Lämmle, B.; Hovinga, J.A.K.; George, J.N. The incidence of thrombotic thrombocytopenic purpura-hemolytic uremic syndrome: All patients, idiopathic patients, and patients with severe ADAMTS-13 deficiency. J. Thromb. Haemost. 2005, 3, 1432–1436. [Google Scholar] [CrossRef]
 

| Patient Number | Gender | Age | Type of TMA | Comorbidities | Symptoms of COVID-19 | PCR for SARS-CoV-2 | Serology for SARS-CoV-2 | Functional  Complement Analysis/Genetic Testing  | COVID-19 Vaccination | Lowest Platelet Count (×109/L) | Highest  Serum Creatinine (μmol/L)  | Kidney  Biopsy  | Immunoserology | TMA Treatment | Outcome | 
|---|---|---|---|---|---|---|---|---|---|---|---|---|---|---|---|
| 1 | F | 35 | TTP | none | none | pos. | not performed | normal/- | no | 37 | 77 | not performed | neg. | TPE,  caplacizumab, steroid  | complete  hematologic recovery  | 
| 2 | M | 43 | aHUS | none | none | neg. | pos. anti-S1 (IgG OD 1.14, IgA OD 1.26) | normal/no pathogenic variants | no | 67 | 852 (HD) | glomerular and vascular TMA  | pos. lupus anticoagulant and anticardiolipin antibodies (IgM)  | TPE, eculizumab, steroid | renal failure | 
| 3 | M [11] | 32 | aHUS | none | fatigue, low-grade fever, nausea | neg. (not performed when symptomatic) | pos. anti-S1 (IgG OD 5.54, IgA OD 2.57) | normal/- | no | 54 | 441 | not performed | neg. | TPE, steroid | complete  recovery of renal function  | 
| 4 | M | 33 | aHUS | untreated AH, congenital pulmonary valve stenosis | none | neg. | pos. anti-S1 (IgG OD 8.04, IgA OD 5.80) | normal/- | yes  (10 months prior to TMA)  | 29 | 796 (HD) | glomerular and  vascular TMA  | neg. | TPE, eculizumab, steroid | renal failure | 
| 5 | M | 25 | aHUS | none | none | neg. | pos. anti-S1 (total antibodies 41.96 BAU/mL), pos. anti-N (total antibodies OD > 1.2) | elevated serum C5b-9/no pathogenic variants | no | 58 | 1799 (HD) | chronic TMA, collapsing FSGS | neg. | TPE, eculizumab, steroid | renal failure | 
| 6 | M | 52 | aHUS | ESRD due to IgA GN–KTR, DM type 2, AH | none | neg. | pos. anti-S1 (IgG OD 6.29, IgA OD 11.68) | elevated serum C5b-9/- | no | 25 | 2050 (HD) | glomerular and  vascular TMA  | neg. | TPE, IVIg, discontinuation of  everolimus  | partial recovery of graft  function  | 
| 7 | M | 33 | aHUS | congenital hearing loss | none | neg. | pos. anti-S1 (total antibodies 1134 BAU/mL; IgG OD 4.00, IgA OD 3.95), pos. anti-N (total antibodies OD > 1.2) | elevated Bb fragment of complement factor B/pending | no | 63 | 1072 (HD) | chronic active TMA, collapsing FSGS, IgA GN | neg. | TPE, eculizumab, steroid | renal failure | 
| 8 | F | 29 | aHUS | none | none | neg. | pos. anti-S1 (total antibodies 390.2 BAU/mL), pos. anti-N (total antibodies OD > 1.2) | elevated Bb fragment of complement factor B/pending | no | 127 | 1071 (HD) | chronic active TMA, IgA GN | neg. | ravulizumab,  steroid  | renal failure | 
Disclaimer/Publisher’s Note: The statements, opinions and data contained in all publications are solely those of the individual author(s) and contributor(s) and not of MDPI and/or the editor(s). MDPI and/or the editor(s) disclaim responsibility for any injury to people or property resulting from any ideas, methods, instructions or products referred to in the content.  | 
© 2024 by the authors. Licensee MDPI, Basel, Switzerland. This article is an open access article distributed under the terms and conditions of the Creative Commons Attribution (CC BY) license (https://creativecommons.org/licenses/by/4.0/).
Share and Cite
Malgaj Vrečko, M.; Aleš-Rigler, A.; Borštnar, Š.; Večerić-Haler, Ž. Coronavirus Disease 2019-Associated Thrombotic Microangiopathy: A Single-Center Experience. Int. J. Mol. Sci. 2024, 25, 12475. https://doi.org/10.3390/ijms252212475
Malgaj Vrečko M, Aleš-Rigler A, Borštnar Š, Večerić-Haler Ž. Coronavirus Disease 2019-Associated Thrombotic Microangiopathy: A Single-Center Experience. International Journal of Molecular Sciences. 2024; 25(22):12475. https://doi.org/10.3390/ijms252212475
Chicago/Turabian StyleMalgaj Vrečko, Marija, Andreja Aleš-Rigler, Špela Borštnar, and Željka Večerić-Haler. 2024. "Coronavirus Disease 2019-Associated Thrombotic Microangiopathy: A Single-Center Experience" International Journal of Molecular Sciences 25, no. 22: 12475. https://doi.org/10.3390/ijms252212475
APA StyleMalgaj Vrečko, M., Aleš-Rigler, A., Borštnar, Š., & Večerić-Haler, Ž. (2024). Coronavirus Disease 2019-Associated Thrombotic Microangiopathy: A Single-Center Experience. International Journal of Molecular Sciences, 25(22), 12475. https://doi.org/10.3390/ijms252212475
        
