Adsorption and Desorption of Immune-Modulating Substances by Aluminium-Based Adjuvants: An Overlooked Feature of the Immune-Stimulating Mechanisms of Aluminium-Based Adjuvants
Abstract
1. Introduction
2. Results
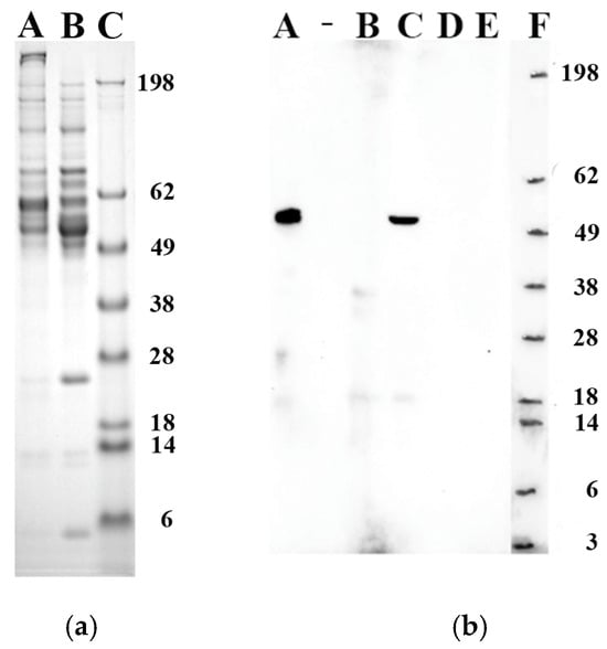
2.1. Formation of a Protein Corona on ABAs and Identification of Calreticulin Adsorbed by Alhydrogel® Possessing a Pre-Formed Protein Corona
2.2. Cytokines and Growth Factors Adsorbed by ABAs Possessing a Pre-Formed Corona
2.3. Saturation of Non-Glycosylated IFN-γ by Alhydrogel® and Its Desorption from Alhydrogel®
2.4. Biological Effects of IFN-γ Adsorbed and Released by Alhydrogel®
3. Discussion
4. Materials and Methods
4.1. Materials
4.2. Cell Culture
4.3. Pre-Coating of ABAs and the Formed Protein Corona
4.4. Identification of Adsorbed Calreticulin
4.5. Preparation of Cytokine-Containing Medium
4.6. Adsorption of Cytokines by ABAs
4.6.1. PBMC-Cytokine-Containing Medium
4.6.2. Medium Containing Recombinant Cytokines
4.7. Proteome Profiler Human Cytokine Array Kit
4.8. Cytokine ELISA
4.9. Release of Cytokines Adsorbed by ABA
4.10. Bioassay of IFN-γ
5. Conclusions
Supplementary Materials
Author Contributions
Funding
Institutional Review Board Statement
Informed Consent Statement
Data Availability Statement
Conflicts of Interest
References
- Glenny, A.T.; Pope, C.G.; Waddington, H.; Wallace, U. Immunological notes. XVII–XXIV. J. Pathol. Bacteriol. 1926, 29, 31–40. [Google Scholar] [CrossRef]
- Kool, M.; Fierens, K.; Lambrecht, B.N. Alum adjuvant: Some of the tricks of the oldest adjuvant. J. Med. Microbiol. 2012, 61 Pt 7, 927–934. [Google Scholar] [CrossRef]
- He, P.; Zou, Y.; Hu, Z. Advances in aluminum hydroxide-based adjuvant research and its mechanism. Hum. Vaccines Immunother. 2015, 11, 477–488. [Google Scholar] [CrossRef]
- HogenEsch, H.; O’Hagan, D.T.; Fox, C.B. Optimizing the utilization of aluminum adjuvants in vaccines: You might just get what you want. NPJ Vaccines 2018, 3, 51. [Google Scholar] [CrossRef]
- Danielsson, R.; Sandberg, T.; Eriksson, H. Aluminium Adjuvants—A Nanomaterial used as Adjuvants in Human Vaccines for Decades. Open Biotechnol. J. 2018, 12, 140–153. [Google Scholar] [CrossRef]
- Danielsson, R.; Eriksson, H. Aluminium adjuvants in vaccines—A way to modulate the immune response. Semin. Cell Dev. Biol. 2021, 115, 3–9. [Google Scholar] [CrossRef]
- al-Shakhshir, R.H.; Regnier, F.E.; White, J.L.; Hem, S.L. Contribution of electrostatic and hydrophobic interactions to the adsorption of proteins by aluminium-containing adjuvants. Vaccine 1995, 13, 41–44. [Google Scholar] [CrossRef]
- Iyer, S.; HogenEsch, H.; Hem, S.L. Effect of the degree of phosphate substitution in aluminum hydroxide adjuvant on the adsorption of phosphorylated proteins. Pharm. Dev. Technol. 2003, 8, 81–86. [Google Scholar] [CrossRef]
- Iyer, S.; Robinett, R.S.; HogenEsch, H.; Hem, S.L. Mechanism of adsorption of hepatitis B surface antigen by aluminum hydroxide adjuvant. Vaccine 2004, 22, 1475–1479. [Google Scholar] [CrossRef]
- Gupta, R. Aluminum compounds as vaccine adjuvants. Adv. Drug Deliv. Rev. 1998, 32, 155–172. [Google Scholar] [CrossRef]
- Heimlich, J.M.; Regnier, F.E.; White, J.L.; Hem, S.L. The in vitro displacement of adsorbed model antigens from aluminium-containing adjuvants by interstitial proteins. Vaccine 1999, 17, 2873–2881. [Google Scholar] [CrossRef]
- Hansen, B.; Belfast, M.; Soung, G.; Song, L.; Egan, P.M.; Capen, R.; Hogenesch, H.; Mancinelli, R.; Hem, S.L. Effect of the strength of adsorption of hepatitis B surface antigen to aluminum hydroxide adjuvant on the immune response. Vaccine 2009, 27, 888–892. [Google Scholar] [CrossRef]
- Svensson, A.; Sandberg, T.; Siesjo, P.; Eriksson, H. Sequestering of damage-associated molecular patterns (DAMPs): A possible mechanism affecting the immune-stimulating properties of aluminium adjuvants. Immunol. Res. 2017, 65, 1164–1175. [Google Scholar] [CrossRef]
- Janeway, C.A., Jr. Approaching the asymptote? Evolution and revolution in immunology. Cold Spring Harb. Symp. Quant. Biol. 1989, 54 Pt 1, 1–13. [Google Scholar] [CrossRef]
- ankovic, D.; Caspar, P.; Zweig, M.; Garcia-Moll, M.; Showalter, S.D.; Vogel, F.R.; Sher, A. Adsorption to aluminum hydroxide promotes the activity of IL-12 as an adjuvant for antibody as well as type 1 cytokine responses to HIV-1 gp120. J. Immunol. 1997, 159, 2409–2417. [Google Scholar] [CrossRef]
- Hancock, G.E.; Smith, J.D.; Heers, K.M. The immunogenicity of subunit vaccines for respiratory syncytial virus after co-formulation with aluminum hydroxide adjuvant and recombinant interleukin-12. Viral. Immunol. 2000, 13, 57–72. [Google Scholar] [CrossRef]
- Rabe, M.; Verdes, D.; Seeger, S. Understanding protein adsorption phenomena at solid surfaces. Adv. Colloid. Interface Sci. 2011, 162, 87–106. [Google Scholar] [CrossRef]
- Raval, A.; Puri, N.; Rath, P.C.; Saxena, R.K. Cytokine regulation of expression of class I MHC antigens. Exp. Mol. Med. 1998, 30, 1–13. [Google Scholar] [CrossRef]
- Awate, S.; Babiuk, L.A.; Mutwiri, G. Mechanisms of action of adjuvants. Front. Immunol. 2013, 4, 114. [Google Scholar] [CrossRef]
- Goto, N.; Kato, H.; Maeyama, J.; Shibano, M.; Saito, T.; Yamaguchi, J.; Yoshihara, S. Local tissue irritating effects and adjuvant activities of calcium phosphate and aluminium hydroxide with different physical properties. Vaccine 1997, 15, 1364–1371. [Google Scholar] [CrossRef]
- Lu, F.; Hogenesch, H. Kinetics of the inflammatory response following intramuscular injection of aluminum adjuvant. Vaccine 2013, 31, 3979–3986. [Google Scholar] [CrossRef]
- Calabro, S.; Tortoli, M.; Baudner, B.C.; Pacitto, A.; Cortese, M.; O’Hagan, D.T.; De Gregorio, E.; Seubert, A.; Wack, A. Vaccine adjuvants alum and MF59 induce rapid recruitment of neutrophils and monocytes that participate in antigen transport to draining lymph nodes. Vaccine 2011, 29, 1812–1823. [Google Scholar] [CrossRef]
- Marrack, P.; McKee, A.S.; Munks, M.W. Towards an understanding of the adjuvant action of aluminium. Nat. Rev. Immunol. 2009, 9, 287–293. [Google Scholar] [CrossRef]
- Hogenesch, H. Mechanism of immunopotentiation and safety of aluminum adjuvants. Front. Immunol. 2012, 3, 406. [Google Scholar] [CrossRef]
- Mosca, F.; Tritto, E.; Muzzi, A.; Monaci, E.; Bagnoli, F.; Iavarone, C.; O’Hagan, D.; Rappuoli, R.; De Gregorio, E. Molecular and cellular signatures of human vaccine adjuvants. Proc. Natl. Acad. Sci. USA 2008, 105, 10501–10506. [Google Scholar] [CrossRef]
- Kooijman, S.; Brummelman, J.; van Els, C.; Marino, F.; Heck, A.J.R.; Mommen, G.P.M.; Metz, B.; Kersten, G.F.A.; Pennings, J.L.A.; Meiring, H.D.; et al. Novel identified aluminum hydroxide-induced pathways prove monocyte activation and pro-inflammatory preparedness. J. Proteom. 2018, 175, 144–155. [Google Scholar] [CrossRef]
- Eisenbarth, S.C.; Colegio, O.R.; O’Connor, W.; Sutterwala, F.S.; Flavell, R.A. Crucial role for the Nalp3 inflammasome in the immunostimulatory properties of aluminium adjuvants. Nature 2008, 453, 1122–1126. [Google Scholar] [CrossRef]
- Terhune, T.D.; Deth, R.C. How aluminum adjuvants could promote and enhance non-target IgE synthesis in a genetically-vulnerable sub-population. J. Immunotoxicol. 2013, 10, 210–222. [Google Scholar] [CrossRef]
- Kool, M.; Soullie, T.; van Nimwegen, M.; Willart, M.A.; Muskens, F.; Jung, S.; Hoogsteden, H.C.; Hammad, H.; Lambrecht, B.N. Alum adjuvant boosts adaptive immunity by inducing uric acid and activating inflammatory dendritic cells. J. Exp. Med. 2008, 205, 869–882. [Google Scholar] [CrossRef]
- Marichal, T.; Ohata, K.; Bedoret, D.; Mesnil, C.; Sabatel, C.; Kobiyama, K.; Lekeux, P.; Coban, C.; Akira, S.; Ishii, K.J.; et al. DNA released from dying host cells mediates aluminum adjuvant activity. Nat. Med. 2011, 17, 996–1002. [Google Scholar] [CrossRef]
- Hornung, V.; Bauernfeind, F.; Halle, A.; Samstad, E.O.; Kono, H.; Rock, K.L.; Fitzgerald, K.A.; Latz, E. Silica crystals and aluminum salts activate the NALP3 inflammasome through phagosomal destabilization. Nat. Immunol. 2008, 9, 847–856. [Google Scholar] [CrossRef] [PubMed]
- Li, H.; Willingham, S.B.; Ting, J.P.; Re, F. Cutting edge: Inflammasome activation by alum and alum’s adjuvant effect are mediated by NLRP3. J. Immunol. 2008, 181, 17–21. [Google Scholar] [CrossRef] [PubMed]
- Wang, X.Y.; Yao, X.; Wan, Y.M.; Wang, B.; Xu, J.Q.; Wen, Y.M. Responses to multiple injections with alum alone compared to injections with alum adsorbed to proteins in mice. Immunol. Lett. 2013, 149, 88–92. [Google Scholar] [CrossRef] [PubMed]
- Oleszycka, E.; McCluskey, S.; Sharp, F.A.; Munoz-Wolf, N.; Hams, E.; Gorman, A.L.; Fallon, P.G.; Lavelle, E.C. The vaccine adjuvant alum promotes IL-10 production that suppresses Th1 responses. Eur. J. Immunol. 2018, 48, 705–715. [Google Scholar] [CrossRef] [PubMed]
- Orr, M.T.; Khandhar, A.P.; Seydoux, E.; Liang, H.; Gage, E.; Mikasa, T.; Beebe, E.L.; Rintala, N.D.; Persson, K.H.; Ahniyaz, A.; et al. Reprogramming the adjuvant properties of aluminum oxyhydroxide with nanoparticle technology. NPJ Vaccines 2019, 4, 1. [Google Scholar] [CrossRef]
- Fogh-Andersen, N.; Altura, B.M.; Altura, B.T.; Siggaard-Andersen, O. Composition of interstitial fluid. Clin. Chem. 1995, 41, 1522–1525. [Google Scholar] [CrossRef]






| Experiment 1 | Experiment 2 | Experiment 3 | |||||
|---|---|---|---|---|---|---|---|
| Spot | ABA High | ABA Low | ABA High | ABA Low | ABA High | ABA Low | Average High/Low ± SD |
| GM-CSF | 10,903.02 | 17,328.6 | 9951.94 | 12,525.28 | 9457.14 | 13,761.82 | 0.70 ± 0.08 |
| CCL1/I-309 | 1054.65 | 624.89 | 310.91 | 383.69 | 3385.27 | 5344.73 | 1.04 ± 0.56 |
| MIF | 3514.08 | 7793.85 | 4129.54 | 12,224.48 | 11,790.3 | 13,751.68 | 0.55± 0.27 |
| Cytokines and Growth Factors Detected in the Culture Medium | Alhydrogel® High/Low Ratio | Adsorbed by Alhydrogel® |
|---|---|---|
| CCL1/I-309 | 1.04 +/− 0.56 | No |
| MCP-1/CCL2 | 0.46 +/− 0.18 | Yes |
| MIP-1α/MIP-1β, CCL3/CCL4 | 0.84 +/− 0.13 | Yes |
| RANTES/CCL5 | 0.22 +/− 0.10 | Yes |
| CXCL1/GRO alpha | 0.57 +/− 0.18 | Yes |
| CXCL12/SDF-1α | 0.58 +/− 0.47 | No |
| GM-CSF | 0.70 +/− 0.08 | Yes |
| IFN-γ | 0.60 +/− 0.33 | Yes |
| IL-1 beta/IL-F2 | 1.14 +/− 0.39 | No |
| IL-1ra/IL-1F3 | 0.56 +/− 0.08 | Yes |
| IL-2 | 0.52 +/− 0.16 | Yes |
| IL-5 | 0.39 +/− 0.16 | Yes |
| IL-6 | 1.19 +/− 0.44 | No |
| IL-8/CXCL8 | 1.05 +/− 0.08 | No |
| IL-16 | 0.71 +/− 0.75 | No |
| MIF | 0.55 +/− 0.27 | Yes |
| Serpin E1 | 0.48 +/− 0.30 | Yes |
| F-α | 0.47 +/− 0.35 | Yes |
| Sample | Day 0 Added IFN-γ (ng) | Day 1 Ratio: MFI Sample/MFI R10 | Day 2 Ratio: MFI Sample/MFI R10 | ||
|---|---|---|---|---|---|
| MFI R10 | MHC-II | MHC-I | MHC-II | ||
| Medium control | 0 | 1.0 | 1.0 | 1.0 | 1.0 |
| Free IFN-γ | 7.5 | 1.3 | 18.7 | 1.8 | 12.7 |
| Free IFN-γ | 37.5 | 1.4 | 27.8 | 1.8 | 24.6 |
| 200 μg Alhydrogel® | 0 | 1.0 | 1.0 | 1.0 | 1.0 |
| 6.7 μg Alhydrogel® with adsorbedIFN-γ | 2.5 a | 1.3 | 9.7 | 1.6 | 5.0 |
| 32 μg Alhydrogel® with adsorbed IFN-γ | 11.7 a | 1.4 | 21.3 | 1.9 | 18.5 |
Disclaimer/Publisher’s Note: The statements, opinions and data contained in all publications are solely those of the individual author(s) and contributor(s) and not of MDPI and/or the editor(s). MDPI and/or the editor(s) disclaim responsibility for any injury to people or property resulting from any ideas, methods, instructions or products referred to in the content. |
© 2024 by the authors. Licensee MDPI, Basel, Switzerland. This article is an open access article distributed under the terms and conditions of the Creative Commons Attribution (CC BY) license (https://creativecommons.org/licenses/by/4.0/).
Share and Cite
Danielsson, R.; Mile, I.; Eriksson, H. Adsorption and Desorption of Immune-Modulating Substances by Aluminium-Based Adjuvants: An Overlooked Feature of the Immune-Stimulating Mechanisms of Aluminium-Based Adjuvants. Int. J. Mol. Sci. 2024, 25, 12399. https://doi.org/10.3390/ijms252212399
Danielsson R, Mile I, Eriksson H. Adsorption and Desorption of Immune-Modulating Substances by Aluminium-Based Adjuvants: An Overlooked Feature of the Immune-Stimulating Mechanisms of Aluminium-Based Adjuvants. International Journal of Molecular Sciences. 2024; 25(22):12399. https://doi.org/10.3390/ijms252212399
Chicago/Turabian StyleDanielsson, Ravi, Irene Mile, and Håkan Eriksson. 2024. "Adsorption and Desorption of Immune-Modulating Substances by Aluminium-Based Adjuvants: An Overlooked Feature of the Immune-Stimulating Mechanisms of Aluminium-Based Adjuvants" International Journal of Molecular Sciences 25, no. 22: 12399. https://doi.org/10.3390/ijms252212399
APA StyleDanielsson, R., Mile, I., & Eriksson, H. (2024). Adsorption and Desorption of Immune-Modulating Substances by Aluminium-Based Adjuvants: An Overlooked Feature of the Immune-Stimulating Mechanisms of Aluminium-Based Adjuvants. International Journal of Molecular Sciences, 25(22), 12399. https://doi.org/10.3390/ijms252212399

