Assessing the Prognostic Value of Cytoplasmic and Stromal Caveolin-1 in Early Triple-Negative Breast Cancer Undergoing Neoadjuvant Chemotherapy
Abstract
1. Introduction
2. Results
2.1. In Silico Analysis of the Impact of CAV1 Expression in TNBC
2.2. Patients and Tumor Characteristics
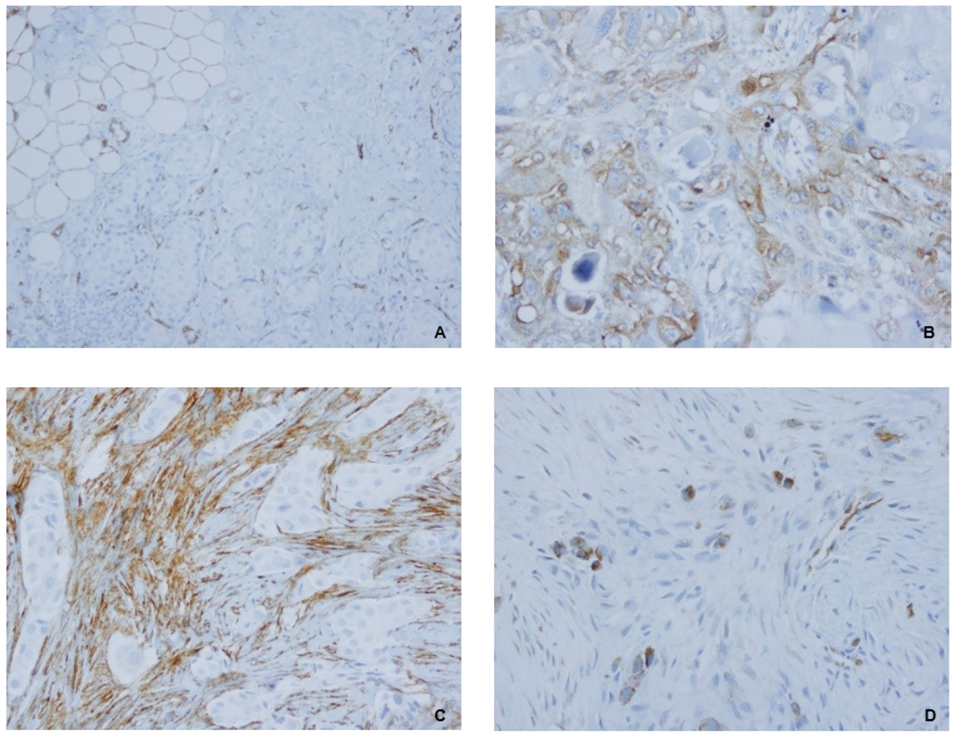
2.3. Immunohistochemical Evaluation of CAV1 Protein Expression Stratified by Cellular Compartments
2.4. Association Between Levels of CAV1 and Patient’s Characteristics
2.5. Impact of Levels of CAV1 in Response to Treatment and Prognosis
3. Material and Methods
3.1. In Silico Analysis of the Impact of CAV1 Expression in TNBC
3.2. Patients and Samples
3.3. Immunohistochemical Staining of CAV1
3.4. Immunohistochemical Analysis
3.5. Statistical Analysis
4. Discussion
Supplementary Materials
Author Contributions
Funding
Institutional Review Board Statement
Informed Consent Statement
Data Availability Statement
Conflicts of Interest
References
- Bianchini, G.; Balko, J.M.; Mayer, I.A.; Sanders, M.E.; Gianni, L. Triple-negative breast cancer: Challenges and opportunities of a heterogeneous disease. Nat. Rev. Clin. Oncol. 2016, 13, 674–690. [Google Scholar] [CrossRef] [PubMed]
- Burstein, H.J.; Curigliano, G.; Loibl, S.; Dubsky, P.; Gnant, M.; Poortmans, P.; Colleoni, M.; Denkert, C.; Piccart-Gebhart, M.; Regan, M.; et al. Estimating the benefits of therapy for early-stage breast cancer: The St. Gallen International Consensus Guidelines for the primary therapy of early breast cancer 2019. Ann. Oncol. 2019, 30, 1541–1557. [Google Scholar] [PubMed]
- Korde, L.A.; Somerfield, M.R.; Carey, L.A.; Crews, J.R.; Denduluri, N.; Hwang, E.S.; Khan, S.A.; Loibl, S.; Morris, E.A.; Perez, A.; et al. Neoadjuvant Chemotherapy, Endocrine Therapy, and Targeted Therapy for Breast Cancer: ASCO Guideline. J. Clin. Oncol. 2021, 39, 1485–1505. [Google Scholar] [PubMed]
- Schmid, P.; Cortes, J.; Dent, R.; Pusztai, L.; McArthur, H.; Kümmel, S.; Bergh, J.; Denkert, C.; Park, Y.H.; Hui, R.; et al. Event-free Survival with Pembrolizumab in Early Triple-Negative Breast Cancer. N. Engl. J. Med. 2022, 386, 556–567. [Google Scholar] [CrossRef]
- Biswas, T.; Efird, J.T.; Prasad, S.; Jindal, C.; Walker, P.R. The survival benefit of neoadjuvant chemotherapy and pCR among patients with advanced stage triple negative breast cancer. Oncotarget 2017, 8, 112712. [Google Scholar]
- Poggio, F.; Bruzzone, M.; Ceppi, M.; Pondé, N.F.; La Valle, G.; Del Mastro, L.; de Azambuja, E.; Lambertini, M. Platinum-based neoadjuvant chemotherapy in triple-negative breast cancer: A systematic review and meta-analysis. Ann. Oncol. 2018, 29, 1497–1508. [Google Scholar] [CrossRef]
- Schmid, P.; Cortes, J.; Pusztai, L.; McArthur, H.; Kümmel, S.; Bergh, J.; Denkert, C.; Park, Y.H.; Hui, R.; Harbeck, N.; et al. Pembrolizumab for early triple-negative breast cancer. N. Engl. J. Med. 2020, 382, 810–821. [Google Scholar]
- Masuda, N.; Lee, S.J.; Ohtani, S.; Im, Y.H.; Lee, E.S.; Yokota, I.; Kuroi, K.; Im, S.A.; Park, B.W.; Kim, S.B.; et al. Adjuvant Capecitabine for Breast Cancer after Preoperative Chemotherapy. N. Engl. J. Med. 2017, 376, 2147–2159. [Google Scholar]
- Mayer, I.A.; Zhao, F.; Arteaga, C.L.; Symmans, W.F.; Park, B.H.; Burnette, B.L.; Tevaarwerk, A.J.; Garcia, S.F.; Smith, K.L.; Makower, D.F.; et al. Randomized Phase III Postoperative Trial of Platinum-Based Chemotherapy Versus Capecitabine in Patients With Residual Triple-Negative Breast Cancer Following Neoadjuvant Chemotherapy: ECOG-ACRIN EA1131. J. Clin. Oncol. 2021, 39, 2539–2551. [Google Scholar]
- Tang, S.Q.; Tang, L.L.; Mao, Y.P.; Li, W.F.; Chen, L.; Zhang, Y.; Guo, Y.; Liu, Q.; Sun, Y.; Xu, C.; et al. The Pattern of Time to Onset and Resolution of Immune-Related Adverse Events Caused by Immune Checkpoint Inhibitors in Cancer: A Pooled Analysis of 23 Clinical Trials and 8,436 Patients. Cancer Res. Treat. 2021, 53, 339–354. [Google Scholar]
- Echarri, A.; Del Pozo, M.A. Caveolae. Curr. Biol. 2012, 22, R114–R116. [Google Scholar] [CrossRef] [PubMed]
- Razani, B. Caveolae: From Cell Biology to Animal Physiology. Pharmacol. Rev. 2002, 54, 431–467. [Google Scholar] [CrossRef] [PubMed]
- Qian, X.L.; Pan, Y.H.; Huang, Q.Y.; Shi, Y.B.; Huang, Q.Y.; Hu, Z.Z.; Xiong, L.X. Caveolin-1: A multifaceted driver of breast cancer progression and its application in clinical treatment. Onco Targets Ther. 2019, 12, 1539–1552. [Google Scholar] [CrossRef] [PubMed]
- Liang, Y.; Liu, Y.; Wang, L.; Yao, G.; Li, X.; Meng, X.; Wang, F.; Li, M.; Tong, D.; Geng, J. Combined caveolin-1 and epidermal growth factor receptor expression as a prognostic marker for breast cancer. Oncol Lett. 2018, 15, 9271–9282. [Google Scholar] [CrossRef]
- Liu, M.C.; Pitcher, B.N.; Mardis, E.R.; Davies, S.R.; Friedman, P.N.; Snider, J.E.; Vickery, T.L.; Reed, J.P.; DeSchryver, K.; Singh, B.; et al. PAM50 gene signatures and breast cancer prognosis with adjuvant anthracycline- and taxane-based chemotherapy: Correlative analysis of C9741 (Alliance). NPJ Breast Cancer 2016, 2, 15023. [Google Scholar]
- Waks, A.G.; Winer, E.P. Breast Cancer Treatment: A Review. JAMA 2019, 321, 288–300. [Google Scholar] [CrossRef]
- Sotgia, F.; Martinez-Outschoorn, U.E.; Pavlides, S.; Howell, A.; Pestell, R.G.; Lisanti, M.P. Understanding the Warburg effect and the prognostic value of stromal caveolin-1 as a marker of a lethal tumor microenvironment. Breast Cancer Res. 2011, 13, 213. [Google Scholar] [CrossRef]
- Jones, C.; Mackay, A.; Grigoriadis, A.; Cossu, A.; Reis-Filho, J.S.; Fulford, L.; Dexter, T.; Davies, S.; Bulmer, K.; Ford, E.; et al. Expression Profiling of Purified Normal Human Luminal and Myoepithelial Breast Cells. Cancer Res. 2004, 64, 3037–3045. [Google Scholar] [CrossRef]
- Pinilla, S.M.R.; Honrado, E.; Hardisson, D.; Benítez, J.; Palacios, J. Caveolin-1 expression is associated with a basal-like phenotype in sporadic and hereditary breast cancer. Breast Cancer Res. Treat. 2006, 99, 85–90. [Google Scholar] [CrossRef]
- Savage, K.; Lambros, M.B.K.; Robertson, D.; Jones, R.L.; Jones, C.; Mackay, A.; James, M.; Hornick, J.L.; Pereira, E.M.; Milanezi, F.; et al. Caveolin 1 Is Overexpressed and Amplified in a Subset of Basal-like and Metaplastic Breast Carcinomas: A Morphologic, Ultrastructural, Immunohistochemical, and In situ Hybridization Analysis. Clin. Cancer Res. 2007, 13, 90–101. [Google Scholar]
- Antonio Rebollo, M.; Ballester Alabau, R.M.; Balmaña Gelpi, J.; Bellet Ezquerra, M.; Brunet Vidal, J.; Campos Alcázar, G. ICO-ICS Praxis para el Tratamiento Médico y con Irradiación del Cáncer de Mama; Institut Català de la Salut: Barcelona, Spain, 2022; pp. 1–223. ISBN 978-84-123506-5-4. [Google Scholar]
- Lavie, Y.; Liscovitch, M. Changes in lipid and protein constituents of rafts and caveolae in multidrug resistant cancer cells and their functional consequences. Glycoconj. J. 2000, 17, 253–259. [Google Scholar] [CrossRef] [PubMed]
- Lavie, Y.; Fiucci, G.; Liscovitch, M. Up-regulation of Caveolae and Caveolar Constituents in Multidrug-resistant Cancer Cells. J. Biol. Chem. 1998, 273, 32380–32383. [Google Scholar] [CrossRef] [PubMed]
- Godina, C.; Indira Chandran, V.; Barbachowska, M.; Tryggvadottir, H.; Nodin, B.; Visse, E.; Borgquist, S.; Jirström, K.; Isaksson, K.; Bosch, A.; et al. Interplay between Caveolin-1 and body and tumor size affects clinical outcomes in breast cancer. Transl. Oncol. 2022, 22, 101464. [Google Scholar] [CrossRef] [PubMed]
- Campos, A.; Burgos-Ravanal, R.; González, M.; Huilcaman, R.; Lobos González, L.; Quest, A. Cell Intrinsic and Extrinsic Mechanisms of Caveolin-1-Enhanced Metastasis. Biomolecules 2019, 9, 314. [Google Scholar] [CrossRef]
- Qian, N.; Ueno, T.; Kawaguchi-Sakita, N.; Kawashima, M.; Yoshida, N.; Mikami, Y.; Wakasa, T.; Shintaku, M.; Tsuyuki, S.; Inamoto, T.; et al. Prognostic significance of tumor/stromal caveolin-1 expression in breast cancer patients. Cancer Sci. 2011, 102, 1590–1596. [Google Scholar] [CrossRef]
- Elsheikh, S.E.; Green, A.R.; Rakha, E.A.; Samaka, R.M.; Ammar, A.A.; Powe, D.; Reis-Filho, J.S.; Ellis, I.O. Caveolin 1 and Caveolin 2 are associated with breast cancer basal-like and triple-negative immunophenotype. Br. J. Cancer 2008, 99, 327–334. [Google Scholar] [CrossRef]
- Lehmann, B.D.; Bauer, J.A.; Chen, X.; Sanders, M.E.; Chakravarthy, A.B.; Shyr, Y.; Pietenpol, J.A. Identification of human triple-negative breast cancer subtypes and preclinical models for selection of targeted therapies. J. Clin. Investig. 2011, 121, 2750–2767. [Google Scholar] [CrossRef]
- Ye, J.H.; Shi, J.J.; Yin, X.; Wu, H.Y.; Xu, X.Y.; Yao, Y.Z.; Zhang, W.J. Elevated Expression of CAV1 is Associated with Unfavorable Prognosis of Patients with Breast Cancer Who Undergo Surgery and Neoadjuvant Chemotherapy. Cancer Manag. Res. 2020, 12, 8887–8892. [Google Scholar] [CrossRef]
- Cancer Genome Atlas Network. Comprehensive molecular portraits of human breast tumours. Nature 2012, 490, 61–70. [Google Scholar] [CrossRef]
- Mavaddat, N.; Dorling, L.; Carvalho, S.; Allen, J.; González-Neira, A.; Keeman, R.; Bolla, M.K.; Dennis, J.; Wang, Q.; Ahearn, T.U.; et al. Pathology of Tumors Associated With Pathogenic Germline Variants in 9 Breast Cancer Susceptibility Genes. JAMA Oncol. 2022, 8, e216744. [Google Scholar]
- Turner, N.C.; Reis-Filho, J.S. Basal-like breast cancer and the BRCA1 phenotype. Oncogene 2006, 25, 5846–5853. [Google Scholar] [CrossRef]
- Campbell, L.; Jasani, B.; Edwards, K.; Gumbleton, M.; Griffiths, D.F.R. Combined expression of caveolin-1 and an activated AKT/mTOR pathway predicts reduced disease-free survival in clinically confined renal cell carcinoma. Br. J. Cancer. 2008, 98, 931–940. [Google Scholar] [CrossRef] [PubMed]
- Satoh, T.; Yang, G.; Egawa, S.; Addai, J.; Frolov, A.; Kuwao, S.; Timme, T.L.; Baba, S.; Thompson, T.C. Caveolin-1 expression is a predictor of recurrence-free survival in pT2N0 prostate carcinoma diagnosed in Japanese patients. Cancer 2003, 97, 1225–1233. [Google Scholar] [CrossRef] [PubMed]
- Ando, T.; Ishiguro, H.; Kimura, M.; Mitsui, A.; Mori, Y.; Sugito, N.; Tomoda, K.; Mori, R.; Harada, K.; Katada, T.; et al. The overexpression of caveolin-1 and caveolin-2 correlates with a poor prognosis and tumor progression in esophageal squamous cell carcinoma. Oncol. Rep. 2007, 18, 601–609. [Google Scholar] [CrossRef] [PubMed][Green Version]
- Suzuoki, M.; Miyamoto, M.; Kato, K.; Hiraoka, K.; Oshikiri, T.; Nakakubo, Y.; Fukunaga, A.; Shichinohe, T.; Shinohara, T.; Itoh, T.; et al. Impact of caveolin-1 expression on prognosis of pancreatic ductal adenocarcinoma. Br. J. Cancer 2002, 87, 1140–1144. [Google Scholar] [CrossRef] [PubMed]
- Witkiewicz, A.K.; Dasgupta, A.; Sammons, S.; Er, O.; Potoczek, M.; Guiles, F.; Sotgia, F.; Brody, J.R.; Mitchell, E.P.; Lisanti, M.P. Loss of stromal caveolin-1 expression predicts poor clinical outcome in triple negative and basal-like breast cancers. Cancer Biol. Ther. 2010, 10, 135–143. [Google Scholar] [CrossRef]
- Wang, S.W.; Xu, K.L.; Ruan, S.Q.; Zhao, L.L.; Chen, L.R. Overexpression of Caveolin-1 in Cancer-Associated Fibroblasts Predicts Good Outcome in Breast Cancer. Breast Care 2012, 7, 477–483. [Google Scholar] [CrossRef]
- Witkiewicz, A.K.; Dasgupta, A.; Sotgia, F.; Mercier, I.; Pestell, R.G.; Sabel, M.; Kleer, C.G.; Brody, J.R.; Lisanti, M.P. An Absence of Stromal Caveolin-1 Expression Predicts Early Tumor Recurrence and Poor Clinical Outcome in Human Breast Cancers. Am. J. Pathol. 2009, 174, 2023–2034. [Google Scholar] [CrossRef]
- Sloan, E.K.; Ciocca, D.R.; Pouliot, N.; Natoli, A.; Restall, C.; Henderson, M.A.; Fanelli, M.A.; Cuello-Carrión, F.D.; Gago, F.E.; Anderson, R.L. Stromal Cell Expression of Caveolin-1 Predicts Outcome in Breast Cancer. Am. J. Pathol. 2009, 174, 2035–2043. [Google Scholar] [CrossRef] [PubMed]
- Ketteler, J.; Klein, D. Caveolin-1, cancer and therapy resistance. Int. J. Cancer 2018, 143, 2092–2104. [Google Scholar] [CrossRef] [PubMed]
- Xiao, J.; Zhao, T.; Fang, W.; Chen, Y.; Wu, H.; Li, P.; Chen, X.; Yan, R.; Jiang, Y.; Li, S.; et al. Caveolin-1 signaling-driven mitochondrial fission and cytoskeleton remodeling promotes breast cancer migration. Int. J. Biochem. Cell Biol. 2022, 152, 106307. [Google Scholar] [CrossRef] [PubMed]



| Variable | Entire Cohort (N = 58) |
|---|---|
| Age (y), Mean (min–max) | 52.4 (25–83) |
| Menopausal status, n (%) Yes No Unknown | 30 (51.7) 27 (46.6) 1 (1.7) |
| Clinical Stage, n (%) II III | 42 (72.4) 16 (27.6) |
| Nodal status, n (%) Negative Positive | 23 (39.7) 35 (60.3) |
| Ki67 mean (min-max) | 68.7 (20–95) |
| Histological grade, n (%) II III Unknown | 9 (15.5) 48 (82.8) 1 (1.7) |
| TILS mean (standard deviation) | 24.12 (26.6) |
| Chemotherapy, n (%) NP—EC NP | 12 (20.7) 46 (79.3) |
| Adjuvant Radiotherapy, n (%) Yes No | 49 (84.5) 9 (15.5) |
| RFS HR (95%CI) | p | OS HR (95% CI) | p | |
|---|---|---|---|---|
| Menopausal status Premenopausal vs. menopausal | 1.02 (0.36–2.81) | 0.97 | 1.28 (0.45–3.6) | 0.63 |
| Clinical Stage III vs. II | 5.61 (1.98–15.89) | 0.001 | 18.77 (5.15–68.43) | 0.001 |
| Node involvement Positive vs. Negative | 3.51 (1.20–10.30) | 0.022 | 3.46 (1.18–10.15) | 0.023 |
| Histological grade Grade 2 vs. 3 | 1.39 (0.31–6.19) | 0.66 | 1.27 (0.28–5.64) | 0.75 |
| Chemotherapy NP vs. NP-EC | 2.99 (1.06–8.42) | 0.038 | 2.93 (1.04–8.27) | 0.041 |
| Pathological Response pCR vs. non-pCR | 0.116 (0.01–0.88) | 0.038 | 0.119 (0.01–0.90) | 0.04 |
| Adjuvant Radiotherapy Yes vs. No | 0.60 (0.17–2.14) | 0.43 | 0.60 (0.17–2.15) | 0.43 |
| cCAV1 +cCAV1 vs. −cCAV1 | 4.96 (1.56–15.71) | 0.006 | 5.21 (1.61–16.81) | 0.006 |
| sCAV1 +sCAV1 vs. −sCAV1 | 0.64 (0.22–1.9) | 0.43 | 0.7 (0.23–2.05) | 0.516 |
Disclaimer/Publisher’s Note: The statements, opinions and data contained in all publications are solely those of the individual author(s) and contributor(s) and not of MDPI and/or the editor(s). MDPI and/or the editor(s) disclaim responsibility for any injury to people or property resulting from any ideas, methods, instructions or products referred to in the content. |
© 2024 by the authors. Licensee MDPI, Basel, Switzerland. This article is an open access article distributed under the terms and conditions of the Creative Commons Attribution (CC BY) license (https://creativecommons.org/licenses/by/4.0/).
Share and Cite
Teruel, I.; Castellà, E.; Recalde, S.; Viñas, G.; Petit, A.; Trigueros, M.; Martínez-Balibrea, E.; Felip, E.; Bergamino, M.; Bernat-Peguera, A.; et al. Assessing the Prognostic Value of Cytoplasmic and Stromal Caveolin-1 in Early Triple-Negative Breast Cancer Undergoing Neoadjuvant Chemotherapy. Int. J. Mol. Sci. 2024, 25, 12241. https://doi.org/10.3390/ijms252212241
Teruel I, Castellà E, Recalde S, Viñas G, Petit A, Trigueros M, Martínez-Balibrea E, Felip E, Bergamino M, Bernat-Peguera A, et al. Assessing the Prognostic Value of Cytoplasmic and Stromal Caveolin-1 in Early Triple-Negative Breast Cancer Undergoing Neoadjuvant Chemotherapy. International Journal of Molecular Sciences. 2024; 25(22):12241. https://doi.org/10.3390/ijms252212241
Chicago/Turabian StyleTeruel, Iris, Eva Castellà, Sabela Recalde, Gemma Viñas, Anna Petit, Macedonia Trigueros, Eva Martínez-Balibrea, Eudald Felip, Milana Bergamino, Adrià Bernat-Peguera, and et al. 2024. "Assessing the Prognostic Value of Cytoplasmic and Stromal Caveolin-1 in Early Triple-Negative Breast Cancer Undergoing Neoadjuvant Chemotherapy" International Journal of Molecular Sciences 25, no. 22: 12241. https://doi.org/10.3390/ijms252212241
APA StyleTeruel, I., Castellà, E., Recalde, S., Viñas, G., Petit, A., Trigueros, M., Martínez-Balibrea, E., Felip, E., Bergamino, M., Bernat-Peguera, A., Cirauqui, B., Quiroga, V., Ferrando-Díez, A., Pous, A., López, A., Boronat, L., Soler, G., Recuero, J., Romeo, M., ... Margelí, M. (2024). Assessing the Prognostic Value of Cytoplasmic and Stromal Caveolin-1 in Early Triple-Negative Breast Cancer Undergoing Neoadjuvant Chemotherapy. International Journal of Molecular Sciences, 25(22), 12241. https://doi.org/10.3390/ijms252212241

