Early Diagnosis and Treatment of Kidney Injury: A Focus on Urine Protein
Abstract
1. Introduction
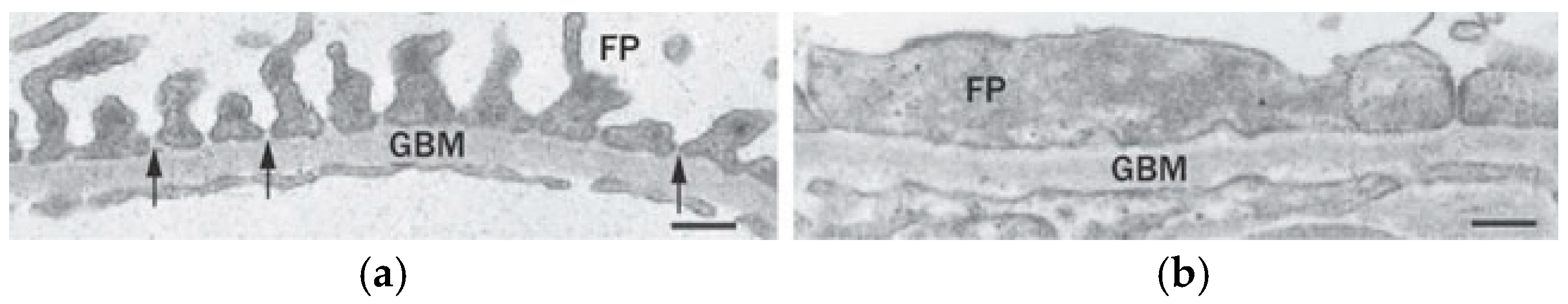
2. A New Insight Focused on Protein Particle Size and Charge for Renal Injury Identification from the Perspective of the Physiological Mechanism of the GFB


3. Challenges and Opportunities in the Detection of Urine Protein
3.1. Current State of Clinical Methods for Detecting Urinary Protein
3.1.1. Qualitative Detection
3.1.2. Quantitative Detection
3.1.3. Specific Protein Detection
3.2. Utilization of Fluorescence Sensors Based on Particle Size and Charge Offers a Novel Perspective for the Detection of Urinary Protein and the Identification of Kidney Injury Progression
4. Common Strategies and Mechanisms for Targeting the GFB to Mitigate Urinary Protein Excretion
5. Conclusions and Prospects
Author Contributions
Funding
Data Availability Statement
Conflicts of Interest
References
- Du, B.; Yu, M.; Zheng, J. Transport and interactions of nanoparticles in the kidneys. Nat. Rev. Mater. 2018, 3, 358–374. [Google Scholar] [CrossRef]
- Sparrow, H.G.; Swan, J.T.; Moore, L.W.; Gaber, A.O.; Suki, W.N. Disparate outcomes observed within Kidney Disease: Improving Global Outcomes (KDIGO) acute kidney injury stage 1. Kidney Int. 2019, 95, 905–913. [Google Scholar] [CrossRef]
- Chawla, L.S.; Eggers, P.W.; Star, R.A.; Kimmel, P.L. Acute kidney injury and chronic kidney disease as interconnected syndromes. N. Engl. J. Med. 2014, 371, 58–66. [Google Scholar] [CrossRef]
- Li, P.K.T.; Burdmann, E.A.; Mehta, R.L.; Joint Int Soc Nephrology Int, F. Acute kidney injury-global health alert. Nat. Rev. Nephrol. 2013, 9, 133–135. [Google Scholar] [CrossRef]
- Kellum, J.A.; Bihorac, A. Artificial intelligence to predict AKI: Is it a breakthrough? Nat. Rev. Nephrol. 2019, 15, 663–664. [Google Scholar] [CrossRef]
- Ramachandran, P.; Jayakumar, D. Contrast-induced acute kidney injury. Indian J. Crit. Care Med. 2020, 24 (Suppl. 3), S122. [Google Scholar]
- Finucane, T. Acute kidney injury. Ann. Intern. Med. 2018, 168, 835. [Google Scholar] [CrossRef]
- Hoste, E.A.J.; Clermont, G.; Kersten, A.; Venkataraman, R.; Angus, D.C.; De Bacquer, D.; Kellum, J.A. RIFLE criteria for acute kidney injury are associated with hospital mortality in critically ill patients: A cohort analysis. Crit. Care 2006, 10, R73. [Google Scholar] [CrossRef]
- Rosner, M.H. Urinary biomarkers for the detection of renal injury. Adv. Clin. Chem. 2009, 49, 73–97. [Google Scholar]
- Cao, P.; Song, W.W. Relationship between urinary protein and acute kidney injury caused by postpartum hemorrhage. Adv. Obstet. Gynecol. 2016, 25. [Google Scholar]
- Yuan, Y.P.; Zhao, H.; Peng, L.Q.; Li, Z.F.; Liu, S.; Yuan, C.Y.; Mwamunyi, M.J.; Pearce, D.; Yao, L.J. The SGK3-triggered ubiquitin-proteasome degradation of podocalyxin (PC) and ezrin in podocytes was associated with the stability of the PC/ezrin complex. Cell Death Dis. 2018, 9, 1114. [Google Scholar] [CrossRef]
- Bai, X.F.; Yu, X.A.; Zhang, R.; Zhang, Y.; Hu, Y.T.; Zhao, L.; Zhang, M.; Tian, J.W.; Yu, B.Y. Protein/Gold nanoparticle-based sensors for monitoring the progression of adriamycin nephropathy. Acs Appl. Nano Mater. 2021, 4, 4919–4929. [Google Scholar] [CrossRef]
- Abbate, M.; Zoja, C.; Remuzzi, G. How does proteinuria cause progressive renal damage? J. Am. Soc. Nephrol. 2006, 17, 2974–2984. [Google Scholar] [CrossRef]
- Atkins, R.C.; Briganti, E.M.; Lewis, J.B.; Hunsicker, L.G.; Braden, G.; Champion de Crespigny, P.J.; DeFerrari, G.; Drury, P.; Locatelli, F.; Wiegmann, T.B.; et al. Proteinuria reduction and progression to renal failure in patients with type 2 diabetes mellitus and overt nephropathy. Am. J. Kidney Dis. 2005, 45, 281–287. [Google Scholar] [CrossRef]
- Cravedi, P.; Ruggenenti, P.; Remuzzi, G. Proteinuria should be used as a surrogate in CKD. Nat. Rev. Nephrol. 2012, 8, 301–306. [Google Scholar] [CrossRef]
- Tojo, A.; Endou, H. Intrarenal handling of proteins in rats using fractional micropuncture technique. Am. J. Physiol. 1992, 263, F601–F606. [Google Scholar] [CrossRef]
- López-Novoa, J.M.; Rodríguez-Peña, A.B.; Ortiz, A.; Martínez-Salgado, C.; Hernández, F.J.L. Etiopathology of chronic tubular, glomerular and renovascular nephropathies: Clinical implications. J. Transl. Med. 2011, 9, 1–26. [Google Scholar] [CrossRef]
- Li, H.; Dai, W.N.; Liu, Z.W.; He, L.Y. Renal Proximal tubular cells: A new site for targeted delivery therapy of diabetic kidney disease. Pharmaceuticals 2022, 15, 1494. [Google Scholar] [CrossRef]
- Korakas, E.; Ikonomidis, I.; Markakis, K.; Raptis, A.; Dimitriadis, G.; Lambadiari, V. The endothelial glycocalyx as a key mediator of albumin handling and the development of diabetic nephropathy. Curr. Vasc. Pharmacol. 2020, 18, 619–631. [Google Scholar] [CrossRef]
- Yang, J.; Liu, Z.S. Mechanistic pathogenesis of endothelial dysfunction in diabetic nephropathy and retinopathy. Front. Endocrinol. 2022, 13, 816400. [Google Scholar] [CrossRef]
- Ye, Q.; Lan, B.; Liu, H.H.; Persson, P.B.; Lai, E.Y.; Mao, J.H. A critical role of the podocyte cytoskeleton in the pathogenesis of glomerular proteinuria and autoimmune podocytopathies. Acta Physiol. 2022, 235, e13850. [Google Scholar] [CrossRef]
- Aypek, H.; Krisp, C.; Lu, S.; Liu, S.Y.; Kylies, D.; Kretz, O.; Wu, G.C.; Moritz, M.; Amann, K.; Benz, K.; et al. Loss of the collagen IV modifier prolyl 3-hydroxylase 2 causes thin basement membrane nephropathy. J. Clin. Investig. 2022, 132, e147253. [Google Scholar] [CrossRef]
- Haraldsson, B.; Nyström, J.; Deen, W.M. Properties of the glomerular barrier and mechanisms of proteinuria. Physiol. Rev. 2008, 88, 451–487. [Google Scholar] [CrossRef]
- Rennke, H.G.; Cotran, R.S.; Venkatachalam, M.A. Role of molecular charge in glomerular permeability. Tracer studies with cationized ferritins. J. Cell Biol. 1975, 67, 638–646. [Google Scholar] [CrossRef]
- Pavenstädt, H.; Kriz, W.; Kretzler, M. Cell biology of the glomerular podocyte. Physiol. Rev. 2003, 83, 253–307. [Google Scholar] [CrossRef]
- D’Amico, G.; Bazzi, C. Pathophysiology of proteinuria. Kidney Int. 2003, 63, 809–825. [Google Scholar] [CrossRef]
- Schieppati, A.; Remuzzi, G. Proteinuria and its consequences in renal disease. Acta Paediatr. Suppl. 2003, 92, 9–13. [Google Scholar] [CrossRef]
- Du, B.J.; Jiang, X.Y.; Das, A.; Zhou, Q.H.; Yu, M.X.; Jin, R.C.; Zheng, J. Glomerular barrier behaves as an atomically precise bandpass filter in a sub-nanometre regime. Nat. Nanotechnol. 2017, 12, 1096–1102. [Google Scholar] [CrossRef]
- Lahdenkari, A.-T.; Lounatmaa, K.; Patrakka, J.; Holmberg, C.; Wartiovaara, J.; Kestilä, M.; Koskimies, O.; Jalanko, H. Podocytes are firmly attached to glomerular basement membrane in kidneys with heavy proteinuria. J. Am. Soc. Nephrol. 2004, 15, 2611–2618. [Google Scholar] [CrossRef]
- Barratt, J.; Topham, P. Urine proteomics: The present and future of measuring urinary protein components in disease. Can. Med. Assoc. J. 2007, 177, 361–368. [Google Scholar] [CrossRef]
- Free, A.H.; Rupe, C.O.; Metzler, I. Studies with a new colorimetric test for proteinuria. Clin. Chem. 1957, 3, 716–727. [Google Scholar] [CrossRef]
- Glassock, R.J. Evaluation of proteinuria redux. Kidney Int. 2016, 90, 938–940. [Google Scholar] [CrossRef]
- McElderry, L.A.; Tarbit, I.F.; Cassells-Smith, A.J. Six methods for urinary protein compared. Clin. Chem. 1982, 28, 356–360. [Google Scholar] [CrossRef]
- Raza, A.; Nawaz, S.H.; Rashid, R.; Ahmed, E.; Mubarak, M. The correlation of spot urinary protein-to-creatinine ratio with 24-h urinary protein excretion in various glomerulopathies. World J. Nephrol. 2023, 12, 159–167. [Google Scholar] [CrossRef]
- Ginsberg, J.M.; Chang, B.S.; Matarese, R.A.; Garella, S. Use of single voided urine samples to estimate quantitative proteinuria. N. Engl. J. Med. 1983, 309, 1543–1546. [Google Scholar] [CrossRef]
- Chitalia, V.C.; Kothari, J.; Wells, E.J.; Livesey, J.H.; Robson, R.A.; Searle, M.; Lynn, K.L. Cost-benefit analysis and prediction of 24-hour proteinuria from the spot urine protein-creatinine ratio. Clin. Nephrol. 2001, 55, 436–447. [Google Scholar]
- Schwab, S.J.; Christensen, R.L.; Dougherty, K.; Klahr, S. Quantitation of proteinuria by the use of protein-to-creatinine ratios in single urine samples. Arch. Intern. Med. 1987, 147, 943–944. [Google Scholar] [CrossRef]
- Steinhauslin, F.; Wauters, J.P. Quantitation of proteinuria in kidney transplant patients: Accuracy of the urinary protein/creatinine ratio. Clin. Nephrol. 1995, 43, 110–115. [Google Scholar]
- Omoruyi, F.O.; Mustafa, G.M.; Okorodudu, A.O.; Petersen, J.R. Evaluation of the performance of urine albumin, creatinine and albumin-creatinine ratio assay on two POCT analyzers relative to a central laboratory method. Clin. Chim. Acta 2012, 413, 625–629. [Google Scholar] [CrossRef]
- Siangproh, W.; Teshima, N.; Sakai, T.; Katoh, S.; Chailapakul, O. Alternative method for measurement of albumin/creatinine ratio using spectrophotometric sequential injection analysis. Talanta 2009, 79, 1111–1117. [Google Scholar] [CrossRef]
- Mogensen, C.E. Microalbuminuria predicts clinical proteinuria and early mortality in maturity-onset diabetes. N. Engl. J. Med. 1984, 310, 356–360. [Google Scholar] [CrossRef]
- Segura, J.; Campo, C.; Ruilope, L.M. Proteinuria: An underappreciated risk factor in cardiovascular disease. Curr. Cardiol. Rep. 2002, 4, 458–462. [Google Scholar] [CrossRef]
- Comper, W.D.; Jerums, G.; Osicka, T.M. Differences in urinary albumin detected by four immunoassays and high-performance liquid chromatography. Clin. Biochem. 2004, 37, 105–111. [Google Scholar] [CrossRef]
- Giampietro, O.; Penno, G.; Clerico, A.; Cruschelli, L.; Lucchetti, A.; Nannipieri, M.; Cecere, M.; Rizzo, L.; Navalesi, R. Which method for quantifying “microalbuminuria” in diabetics? Comparison of several immunological methods (immunoturbidimetric assay, immunonephelometric assay, radioimmunoassay and two semiquantitative tests) for measurement of albumin in urine. Acta Diabetol. 1992, 28, 239–245. [Google Scholar] [CrossRef]
- Polkinghorne, K.R.; Epi, G.D.C.; Su, Q.; Chadban, S.J.; Shaw, J.E.; Zimmet, P.Z.; Atkins, R.C. Population prevalence of albuminuria in the Australian diabetes, obesity, and lifestyle (AusDiab) study: Immunonephelometry compared with high-performance liquid chromatography. Am. J. Kidney Dis. 2006, 47, 604–613. [Google Scholar] [CrossRef]
- Roberts, W.L.; Calcote, C.B.; Cook, C.B.; Gordon, D.L.; Moore, M.L.; Moore, S.; Scheer, W.D.; Snazelle, B.A. Comparison of four commercial urinary albumin (microalbumin) methods: Implications for detecting diabetic nephropathy using random urine specimens. Clin. Chim. Acta; Int. J. Clin. Chem. 1998, 273, 21–33. [Google Scholar] [CrossRef]
- Cameron, J.S.; Blandford, G. The simple assessment of selectivity in heavy proteinuria. Lancet 1966, 2, 242–247. [Google Scholar] [CrossRef]
- Putnam, F.W.; Easley, C.W.; Lynn, L.T.; Ritchie, A.E.; Phelps, R.A. The heat precipitation of Bence-Jones proteins. I. Optimum conditions. Arch. Biochem. Biophys. 1959, 83, 115–130. [Google Scholar] [CrossRef]
- McLaughlin, H. The clinical significance of Bence Jones proteinuria. J. Clin. Pathol. 1972, 25, 555–556. [Google Scholar] [CrossRef]
- Mayo, M.M.; Johns, G.S. Serum free light chains in the diagnosis and monitoring of patients with plasma cell dyscrasias. Contrib. Nephrol. 2007, 153, 44–65. [Google Scholar]
- Liu, Z.H.; Li, X.D.; Liu, X.P. Production of 89Sr-doped CdSe QDs@PAMAM as the radioanalytical-fluorescent indicator of renal injury and the preliminary application in diabetic nephropathy model. J. Radioanal. Nucl. Chem. 2017, 314, 1701–1706. [Google Scholar] [CrossRef]
- Lv, Y.; Cheng, D.; Su, D.D.; Chen, M.; Yin, B.C.; Yuan, L.; Zhang, X.B. Visualization of oxidative injury in the mouse kidney using selective superoxide anion fluorescent probes. Chem. Sci. 2018, 9, 7606–7613. [Google Scholar] [CrossRef]
- Luo, Z.J.; Lv, T.Y.Z.; Zhu, K.N.; Li, Y.; Wang, L.; Gooding, J.J.; Liu, G.Z.; Liu, B. Paper-based ratiometric fluorescence analytical devices towards point-of-care testing of human serum albumin. Angew. Chem. Int. Ed. 2020, 59, 3131–3136. [Google Scholar] [CrossRef]
- Huang, J.; Lyu, Y.; Li, J.; Cheng, P.; Jiang, Y.; Pu, K. A Renal-Clearable Duplex Optical Reporter for real-time imaging of contrast-induced acute kidney injury. Angew. Chem. Int. Ed. Engl. 2019, 58, 17796–17804. [Google Scholar] [CrossRef]
- Yu, X.A.; Zhang, L.; Zhang, R.; Bai, X.F.; Zhang, Y.; Hu, Y.T.; Wu, Y.; Li, Z.Y.; Wang, B.; Tian, J.W. Accurate identification of kidney injury progression via a fluorescent biosensor array. Microchim. Acta 2022, 189. [Google Scholar] [CrossRef]
- Sun, K.H.; Wang, B.; Lin, J.L.; Han, L.; Li, M.F.; Wang, P.; Yu, X.A.; Tian, J.W. A multichannel fluorescent array sensor for discrimination of different types of drug-induced kidney injury. Sensors 2023, 23, 6114. [Google Scholar] [CrossRef]
- Kidney Disease: Improving Global Outcomes (KDIGO) Blood Pressure Work Group. KDIGO (2021) Clinical practice guideline for the management of blood pressure in chronic kidney disease. Kidney Int. 2012, 99, S1–S87. [Google Scholar]
- Ruggenenti, P.; Perna, A.; Mosconi, L.; Pisoni, R.; Remuzzi, G. Urinary protein excretion rate is the best independent predictor of ESRF in non-diabetic proteinuric chronic nephropathies. “Gruppo Italiano di Studi Epidemiologici in Nefrologia” (GISEN). Kidney Int. 1998, 53, 1209–1216. [Google Scholar] [CrossRef]
- Peterson, J.C.; Adler, S.; Burkart, J.M.; Greene, T.; Hebert, L.A.; Hunsicker, L.G.; King, A.J.; Klahr, S.; Massry, S.G.; Seifter, J.L. Blood pressure control, proteinuria, and the progression of renal disease. The Modification of Diet in Renal Disease Study. Ann. Intern. Med. 1995, 123, 754–762. [Google Scholar] [CrossRef]
- Praga, M.; Hernandez, E.; Montoyo, C.; Andres, A.; Ruilope, L.M.; Rodicio, J.L. Long-term beneficial effects of angiotensin-converting enzyme inhibition in patients with nephrotic proteinuria. Am. J. Kidney Dis. 1992, 20, 240–248. [Google Scholar] [CrossRef]
- Gansevoort, R.T.; de Zeeuw, D.; de Jong, P.E. Long-term benefits of the antiproteinuric effect of angiotensin-converting enzyme inhibition in nondiabetic renal disease. Am. J. Kidney Dis. 1993, 22, 202–206. [Google Scholar] [CrossRef]
- Jafar, T.H.; Stark, P.C.; Schmid, C.H.; Landa, M.; Maschio, G.; Marcantoni, C.; de Jong, P.E.; de Zeeuw, D.; Shahinfar, S.; Ruggenenti, P.; et al. Proteinuria as a modifiable risk factor for the progression of non-diabetic renal disease. Kidney Int. 2001, 60, 1131–1140. [Google Scholar] [CrossRef]
- Fuhrman, D.Y.; Schneider, M.F.; Dell, K.M.; Blydt-Hansen, T.D.; Mak, R.; Saland, J.M.; Furth, S.L.; Warady, B.A.; Moxey-Mims, M.M.; Schwartz, G.J. Albuminuria, Proteinuria, and Renal Disease Progression in Children with CKD. Clin. J. Am. Soc. Nephrol. 2017, 12, 912–920. [Google Scholar] [CrossRef]
- Kolb, A.; Gallacher, P.J.; Campbell, J.; O’Neill, M.; Smith, J.R.; Bell, S.; Conway, B.R.; Metcalfe, W.; Joss, N.; Dey, V.; et al. A national registry study of patient and renal survival in adult nephrotic syndrome. Kidney Int. Rep. 2021, 6, 449–459. [Google Scholar] [CrossRef]
- Praga, M.; Morales, E. Renal damage associated with proteinuria. Kidney Int. 2002, 62, S42–S46. [Google Scholar] [CrossRef][Green Version]
- Daehn, I.S.; Duffield, J.S. The glomerular filtration barrier: A structural target for novel kidney therapies. Nat. Rev. Drug Discov. 2021, 20, 770–788. [Google Scholar] [CrossRef]
- Wang, H.Y. Nephrology, 3rd ed.; People’s Medical Publishing House: Beijing, China, 2008; p. 1829. [Google Scholar]
- Lichtnekert, J.; Kaverina, N.V.; Eng, D.G.; Gross, K.W.; Kutz, J.N.; Pippin, J.W.; Shankland, S.J. Renin-angiotensin-aldosterone system inhibition increases podocyte derivation from cells of renin lineage. J. Am. Soc. Nephrol. 2016, 27, 3611–3627. [Google Scholar] [CrossRef]
- Tryggvason, K.; Patrakka, J.; Wartiovaara, J. Mechanisms of disease: Hereditary proteinuria syndromes and mechanisms of proteinuria. N. Engl. J. Med. 2006, 354, 1387–1401. [Google Scholar] [CrossRef]
- Zhao, X.; Khurana, S.; Charkraborty, S.; Tian, Y.Q.; Sedor, J.R.; Bruggman, L.A.; Kao, H.Y. Actinin 4 (ACTN4) regulates glucocorticoid receptor-mediated transactivation and transrepression in podocytes. J. Biol. Chem. 2017, 292, 1637–1647. [Google Scholar] [CrossRef]
- Wang, L.; Zhang, L.W.; Hou, Q.; Zhu, X.D.; Chen, Z.H.; Liu, Z.H. Triptolide attenuates proteinuria and podocyte apoptosis via inhibition of NF-κB/GADD45B. Sci. Rep. 2018, 8, 10843. [Google Scholar] [CrossRef]
- Chen, Z.H.; Qin, W.S.; Zeng, C.H.; Zheng, C.X.; Hong, Y.M.; Lu, Y.Z.; Li, L.S.; Liu, Z.H. Triptolide reduces proteinuria in experimental membranous nephropathy and protects against C5b-9-induced podocyte injury in vitro. Kidney Int. 2010, 77, 974–988. [Google Scholar] [CrossRef]
- Yu, N.; Yang, L.; Ling, L.; Liu, Y.; Yu, Y.; Wu, Q.; Gu, Y.; Niu, J. Curcumin attenuates angiotensin II-induced podocyte injury and apoptosis by inhibiting endoplasmic reticulum stress. FEBS Open Bio. 2020, 10, 1957–1966. [Google Scholar] [CrossRef]
- Qin, X.; Jiang, M.; Zhao, Y.; Gong, J.; Su, H.; Yuan, F.; Fang, K.; Yuan, X.Y.; Yu, X.; Dong, H.; et al. Berberine protects against diabetic kidney disease via promoting PGC-1α-regulated mitochondrial energy homeostasis. Br. J. Pharmacol. 2020, 177, 3646–3661. [Google Scholar] [CrossRef]
Disclaimer/Publisher’s Note: The statements, opinions and data contained in all publications are solely those of the individual author(s) and contributor(s) and not of MDPI and/or the editor(s). MDPI and/or the editor(s) disclaim responsibility for any injury to people or property resulting from any ideas, methods, instructions or products referred to in the content. |
© 2024 by the authors. Licensee MDPI, Basel, Switzerland. This article is an open access article distributed under the terms and conditions of the Creative Commons Attribution (CC BY) license (https://creativecommons.org/licenses/by/4.0/).
Share and Cite
Zeng, D.; Wang, B.; Xiao, Z.; Wang, X.; Tang, X.; Yao, X.; Wang, P.; Li, M.; Dai, Y.; Yu, X. Early Diagnosis and Treatment of Kidney Injury: A Focus on Urine Protein. Int. J. Mol. Sci. 2024, 25, 11171. https://doi.org/10.3390/ijms252011171
Zeng D, Wang B, Xiao Z, Wang X, Tang X, Yao X, Wang P, Li M, Dai Y, Yu X. Early Diagnosis and Treatment of Kidney Injury: A Focus on Urine Protein. International Journal of Molecular Sciences. 2024; 25(20):11171. https://doi.org/10.3390/ijms252011171
Chicago/Turabian StyleZeng, Duanna, Bing Wang, Zheng Xiao, Xiongqin Wang, Xiyang Tang, Xinsheng Yao, Ping Wang, Meifang Li, Yi Dai, and Xiean Yu. 2024. "Early Diagnosis and Treatment of Kidney Injury: A Focus on Urine Protein" International Journal of Molecular Sciences 25, no. 20: 11171. https://doi.org/10.3390/ijms252011171
APA StyleZeng, D., Wang, B., Xiao, Z., Wang, X., Tang, X., Yao, X., Wang, P., Li, M., Dai, Y., & Yu, X. (2024). Early Diagnosis and Treatment of Kidney Injury: A Focus on Urine Protein. International Journal of Molecular Sciences, 25(20), 11171. https://doi.org/10.3390/ijms252011171

