Cadmium Induces Vascular Endothelial Cell Detachment by Downregulating Claudin-5 and ZO-1 Levels
Abstract
1. Introduction
2. Results
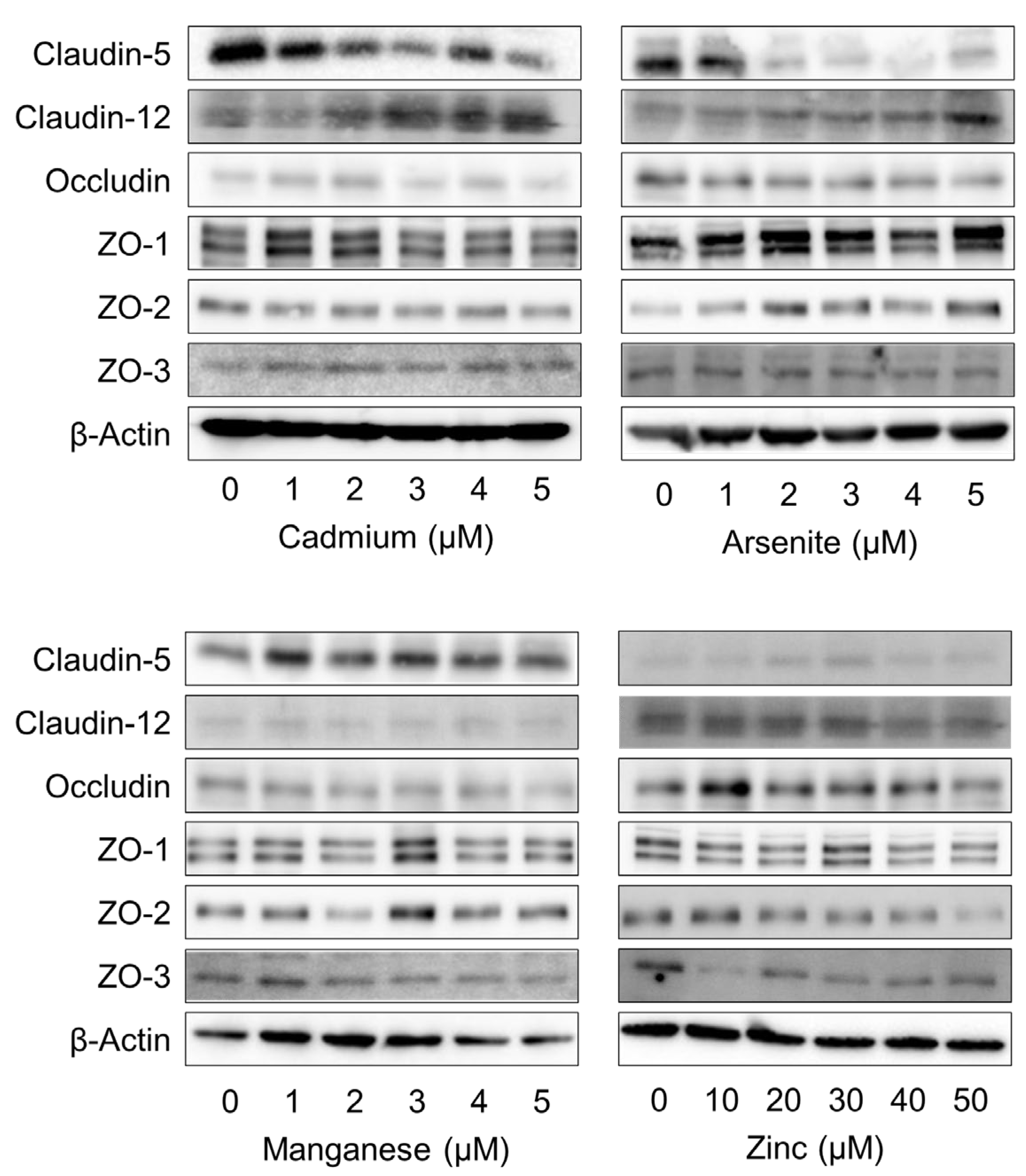
2.1. Cadmium Inhibits Claudin-5 and ZO-1 Expression in Vascular Endothelial Cells
2.2. Claudin-5 and ZO-1 Are Key Molecules for Cadmium Toxicity in Vascular Endothelial Cells
2.3. Cadmium-Activated CRE-Binding Protein (CREB) Inhibits Claudin-5 Expression and Promotes Endothelial Detachment
3. Discussion
4. Materials and Methods
4.1. Materials
4.2. Cell Culture and Treatment
4.3. siRNA Transfection
4.4. Construction of a Bidirectional Expression Plasmid Vector
4.4.1. Claudin-5 Expression Plasmid
4.4.2. ZO-1 Expression and Claudin-5 and ZO-1 Co-Expression Plasmids
4.5. Plasmid Vector Transfection
4.6. Western Blotting
4.7. Total RNA Extraction and Quantitative Reverse Transcription (qRT)-PCR
4.8. Cytotoxicity Assay
4.9. Intracellular Accumulation of Cadmium
4.10. Statistical Analyses
5. Conclusions
Supplementary Materials
Author Contributions
Funding
Institutional Review Board Statement
Informed Consent Statement
Data Availability Statement
Conflicts of Interest
References
- Bautista, C.J.; Arango, N.; Plata, C.; Mitre-Aguilar, I.B.; Trujillo, J.; Ramírez, V. Mechanism of cadmium-induced nephrotoxicity. Toxicology 2024, 502, 153726. [Google Scholar] [CrossRef] [PubMed]
- Souza-Arroyo, V.; Fabián, J.J.; Bucio-Ortiz, L.; Miranda-Labra, R.U.; Gomez-Quiroz, L.E.; Gutiérrez-Ruiz, M.C. The mechanism of the cadmium-induced toxicity and cellular response in the liver. Toxicology 2022, 480, 153339. [Google Scholar] [CrossRef] [PubMed]
- Koçak, M.; Akçil, E. The effects of chronic cadmium toxicity on the hemostatic system. Pathophysiol. Haemost. Thromb. 2006, 35, 411–416. [Google Scholar] [CrossRef] [PubMed]
- Nontarach, A.; Srihirun, S.; Chaturapanich, G.; Unchern, S.; Swaddiwudhipong, W.; Pattanapanyasat, K.; Chamchoi, A.; Vivithanaporn, P.; Visoottiviseth, P.; Sibmooh, N. Increased platelet activation in subjects chronically exposed to cadmium: A pilot study. Platelets 2016, 27, 136–142. [Google Scholar] [CrossRef]
- Oliveira, T.F.; Batista, P.R.; Leal, M.A.; Campagnaro, B.P.; Nogueira, B.V.; Vassallo, D.V.; Meyrelles, S.S.; Padilha, A.S. Chronic Cadmium Exposure Accelerates the Development of Atherosclerosis and Induces Vascular Dysfunction in the Aorta of ApoE-/- Mice. Biol. Trace Elem. Res. 2019, 187, 163–171. [Google Scholar] [CrossRef]
- Revis, N.W.; Zinsmeister, A.R.; Bull, R. Atherosclerosis and hypertension induction by lead and cadmium ions: An effect prevented by calcium ion. Proc. Natl. Acad. Sci. USA 1981, 78, 6494–6498. [Google Scholar] [CrossRef]
- Tellez-Plaza, M.; Navas-Acien, A.; Menke, A.; Crainiceanu, C.M.; Pastor-Barriuso, R.; Guallar, E. Cadmium exposure and all-cause and cardiovascular mortality in the U.S. general population. Environ. Health Perspect. 2012, 120, 1017–1022. [Google Scholar] [CrossRef] [PubMed]
- Kaji, T.; Mishima, A.; Yamamoto, C.; Sakamoto, M.; Koizumi, F. Effect of cadmium on the monolayer maintenance of vascular endothelial cells in culture. Toxicology 1992, 71, 267–276. [Google Scholar] [CrossRef]
- Kaji, T.; Mishima, A.; Yamamoto, C.; Sakamoto, M.; Kozuka, H. Zinc protection against cadmium-induced destruction of the monolayer of cultured vascular endothelial cells. Toxicol. Lett. 1993, 66, 247–255. [Google Scholar] [CrossRef] [PubMed]
- Kaji, T.; Suzuki, M.; Yamamoto, C.; Mishima, A.; Sakamoto, M.; Kozuka, H. Severe damage of cultured vascular endothelial cell monolayer after simultaneous exposure to cadmium and lead. Arch. Environ. Contam. Toxicol. 1995, 28, 168–172. [Google Scholar] [CrossRef]
- Hartsock, A.; Nelson, W.J. Adherens and tight junctions: Structure, function and connections to the actin cytoskeleton. Biochim. Biophys. Acta 2008, 1778, 660–669. [Google Scholar] [CrossRef] [PubMed]
- Otani, T.; Furuse, M. Tight Junction Structure and Function Revisited. Trends Cell. Biol. 2020, 30, 805–817. [Google Scholar] [CrossRef] [PubMed]
- Tsukita, S.; Tanaka, H.; Tamura, A. The Claudins: From Tight Junctions to Biological Systems. Trends Biochem. Sci. 2019, 44, 141–152. [Google Scholar] [CrossRef]
- Zihni, C.; Mills, C.; Matter, K.; Balda, M.S. Tight junctions: From simple barriers to multifunctional molecular gates. Nat. Rev. Mol. Cell. Biol. 2016, 17, 564–580. [Google Scholar] [CrossRef]
- Nolan, C.V.; Shaikh, Z.A. The vascular endothelium as a target tissue in acute cadmium toxicity. Life Sci. 1986, 39, 1403–1409. [Google Scholar] [CrossRef] [PubMed]
- Marettová, E.; Maretta, M.; Legáth, J. Toxic effects of cadmium on testis of birds and mammals: A review. Anim. Reprod. Sci. 2015, 155, 1–10. [Google Scholar] [CrossRef] [PubMed]
- Li, C.X.; Talukder, M.; Xu, Y.R.; Zhu, S.Y.; Zhao, Y.X.; Li, J.L. Cadmium aggravates the blood-brain barrier disruption via inhibition of the Wnt7A/β-catenin signaling axis. Environ. Pollut. 2023, 324, 121400. [Google Scholar] [CrossRef]
- Cao, X.; Lin, H.; Muskhelishvili, L.; Latendresse, J.; Richter, P.; Heflich, R.H. Tight junction disruption by cadmium in an in vitro human airway tissue model. Respir. Res. 2015, 16, 30. [Google Scholar] [CrossRef]
- Branca, J.J.V.; Maresca, M.; Morucci, G.; Mello, T.; Becatti, M.; Pazzagli, L.; Colzi, I.; Gonnelli, C.; Carrino, D.; Paternostro, F.; et al. Effects of Cadmium on ZO-1 Tight Junction Integrity of the Blood Brain Barrier. Int. J. Mol. Sci. 2019, 20, 6010. [Google Scholar] [CrossRef] [PubMed]
- Kaji, T.; Mishima, A.; Koyanagi, E.; Yamamoto, C.; Sakamoto, M.; Kozuka, H. Possible mechanism for zinc protection against cadmium cytotoxicity in cultured vascular endothelial cells. Toxicology 1992, 76, 257–270. [Google Scholar] [CrossRef]
- Fujie, T.; Ando, R.; Abe, M.; Ichida, N.; Ito, K.; Hara, T.; Yamamoto, C.; Kaji, T. Protection of cultured vascular endothelial cells against cadmium cytotoxicity by simultaneous treatment or pretreatment with manganese. J. Toxicol. Sci. 2024, 49, 349–358. [Google Scholar] [CrossRef] [PubMed]
- Zhang, T.; Xu, Z.; Wen, L.; Lei, D.; Li, S.; Wang, J.; Huang, J.; Wang, N.; Durkan, C.; Liao, X.; et al. Cadmium-induced dysfunction of the blood-brain barrier depends on ROS-mediated inhibition of PTPase activity in zebrafish. J. Hazard. Mater. 2021, 412, 125198. [Google Scholar] [CrossRef] [PubMed]
- Bao, L.; Shi, H. Arsenite induces endothelial cell permeability increase through a reactive oxygen species-vascular endothelial growth factor pathway. Chem. Res. Toxicol. 2010, 23, 1726–1734. [Google Scholar] [CrossRef] [PubMed]
- Hara, T.; Kumagai, R.; Tanaka, T.; Nakano, T.; Fujie, T.; Fujiwara, Y.; Yamamoto, C.; Kaji, T. Lead suppresses perlecan expression via EGFR-ERK1/2-COX-2-PGI2 pathway in cultured bovine vascular endothelial cells. J. Toxicol. Sci. 2023, 48, 655–663. [Google Scholar] [CrossRef]
- Kondo, M.; Inamura, H.; Matsumura, K.; Matsuoka, M. Cadmium activates extracellular signal-regulated kinase 5 in HK-2 human renal proximal tubular cells. Biochem. Biophys. Res. Commun. 2012, 421, 490–493. [Google Scholar] [CrossRef]
- Gu, T.; Zhang, Z.; Wang, J.; Guo, J.; Shen, W.H.; Yin, Y. CREB is a novel nuclear target of PTEN phosphatase. Cancer Res. 2011, 71, 2821–2825. [Google Scholar] [CrossRef]
- Chen, S.; Gu, C.; Xu, C.; Zhang, J.; Xu, Y.; Ren, Q.; Guo, M.; Huang, S.; Chen, L. Celastrol prevents cadmium-induced neuronal cell death via targeting JNK and PTEN-Akt/mTOR network. J. Neurochem. 2014, 128, 256–266. [Google Scholar] [CrossRef]
- Li, Y.C.; Li, Y.; Zhang, Y.N.; Zhao, Q.; Zhang, P.L.; Sun, M.R.; Liu, B.L.; Yang, H.; Li, P. Muscone and (+)-Borneol Cooperatively Strengthen CREB Induction of Claudin 5 in IL-1β-Induced Endothelium Injury. Antioxidants 2022, 11, 1455. [Google Scholar] [CrossRef]
- Zhan, R.; Zhao, M.; Zhou, T.; Chen, Y.; Yu, W.; Zhao, L.; Zhang, T.; Wang, H.; Yang, H.; Jin, Y.; et al. Dapsone protects brain microvascular integrity from high-fat diet induced LDL oxidation. Cell Death Dis. 2018, 9, 683. [Google Scholar] [CrossRef]
- Hara, T.; Matsuura, S.; Aikawa, K.; Shirai, M.; Yoshida, M.; Kaji, T.; Yamamoto, C. Cadmium induces chondroitin sulfate synthase 1 via protein kinase Cα and elongates chondroitin/dermatan sulfate chains in cultured vascular endothelial cells. J. Toxicol. Sci. 2023, 48, 457–467. [Google Scholar] [CrossRef]
- Hara, T.; Yoshida, E.; Shinkai, Y.; Yamamoto, C.; Fujiwara, Y.; Kumagai, Y.; Kaji, T. Biglycan Intensifies ALK5-Smad2/3 Signaling by TGF-β1 and Downregulates Syndecan-4 in Cultured Vascular Endothelial Cells. J. Cell. Biochem. 2017, 118, 1087–1096. [Google Scholar] [CrossRef] [PubMed]







| Target | Sense (5′-3′) | Antisense (5′-3′) |
|---|---|---|
| Claudin-5 (CLDN5) | ccggcgacuaugacaagaadTdT | uucuugucauagucgccggdTdT |
| ZO-1 (TJP1) | uuuaacuugcccuuagaccdTdT | ggucuaagggcaaguuaaadTdT |
| CREB (CREB1) | ucauuugcuggcuuucagcdTdT | gcugaaagccagcaaaugadTdT |
| Target | Sense (5′-3′) | Antisense (5′-3′) |
|---|---|---|
| CLDN5 | GTCTCAGAAGTACGAGCTGGG | GTACTTCACCGGGAAGCTGAA |
| CLDN12 | CAATAGTGCGGGCTGCCATC | AAAGACTGGCTCGAACTTCCTGT |
| OCLN | GTGCATCGCCATTTTCGCCT | AACCGTAGCCATAGCCGTAGC |
| TJP1 | CCTCTTGAGCCTTGAACTTTGAC | ACACTTTAGGGCACAGCATCG |
| TJP2 | CAGCCCAGAGAGACACCAC | AGCAAAACCCTCTCGTAGGC |
| TJP3 | GGATTCTAGGACCGCGTCAG | GCCTGAACCCCGGATACAAA |
| CREB1 | ACATACCAGATTCGCACAGC | TTCTTTCTTCTTTCTACGACACTC |
| GAPDH | GGATCTGCTCCTGGAAGATG | CAATGACCCCTTCATTGACCTTC |
Disclaimer/Publisher’s Note: The statements, opinions and data contained in all publications are solely those of the individual author(s) and contributor(s) and not of MDPI and/or the editor(s). MDPI and/or the editor(s) disclaim responsibility for any injury to people or property resulting from any ideas, methods, instructions or products referred to in the content. |
© 2024 by the authors. Licensee MDPI, Basel, Switzerland. This article is an open access article distributed under the terms and conditions of the Creative Commons Attribution (CC BY) license (https://creativecommons.org/licenses/by/4.0/).
Share and Cite
Hara, T.; Asatsu, M.; Yamagishi, T.; Ohata, C.; Funatsu, H.; Takahashi, Y.; Shirai, M.; Nakata, C.; Katayama, H.; Kaji, T.; et al. Cadmium Induces Vascular Endothelial Cell Detachment by Downregulating Claudin-5 and ZO-1 Levels. Int. J. Mol. Sci. 2024, 25, 11035. https://doi.org/10.3390/ijms252011035
Hara T, Asatsu M, Yamagishi T, Ohata C, Funatsu H, Takahashi Y, Shirai M, Nakata C, Katayama H, Kaji T, et al. Cadmium Induces Vascular Endothelial Cell Detachment by Downregulating Claudin-5 and ZO-1 Levels. International Journal of Molecular Sciences. 2024; 25(20):11035. https://doi.org/10.3390/ijms252011035
Chicago/Turabian StyleHara, Takato, Mayuka Asatsu, Tatsuya Yamagishi, Chinami Ohata, Hitomi Funatsu, Yuzuki Takahashi, Misaki Shirai, Chiaki Nakata, Haruka Katayama, Toshiyuki Kaji, and et al. 2024. "Cadmium Induces Vascular Endothelial Cell Detachment by Downregulating Claudin-5 and ZO-1 Levels" International Journal of Molecular Sciences 25, no. 20: 11035. https://doi.org/10.3390/ijms252011035
APA StyleHara, T., Asatsu, M., Yamagishi, T., Ohata, C., Funatsu, H., Takahashi, Y., Shirai, M., Nakata, C., Katayama, H., Kaji, T., Fujie, T., & Yamamoto, C. (2024). Cadmium Induces Vascular Endothelial Cell Detachment by Downregulating Claudin-5 and ZO-1 Levels. International Journal of Molecular Sciences, 25(20), 11035. https://doi.org/10.3390/ijms252011035

