Use of Guazuma ulmifolia Lam. Stem Bark Extracts to Prevent High-Fat Diet Induced Metabolic Disorders in Mice
Abstract
1. Introduction
2. Results
2.1. Phytochemical Composition, Antioxidant Activity, and Identified Compounds
2.2. Experimental Protocol
2.2.1. Acute Toxicity Test
2.2.2. Control of Body Weight and Food Intake
2.2.3. Assessment of Body Fat
2.3. Glycemic Profile: Oral Glucose Tolerance Test, Insulin Sensitivity, and Fasting Blood Glucose
2.4. Serum Analyses
2.5. Hormonal and Inflammatory Profile
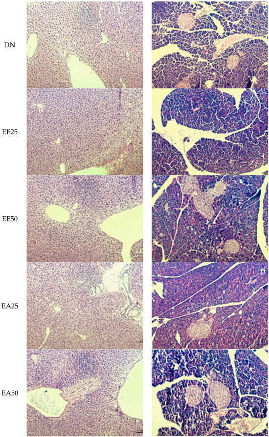
2.6. Histology of the Liver and Pancreas
3. Discussion
4. Materials and Methods
4.1. Obtaining Raw Materials
4.2. Preparation of the Ethanolic and Aqueous Extract of the Stem Bark of G. ulmifolia
4.3. Phytochemical Analysis of the G. ulmifolia Stem Bark Extracts
4.3.1. Quantification of Phenolic Compounds, Flavonoids, and Tannins
4.3.2. Antioxidant Potential
4.3.3. Identification of Compounds
4.4. Experimental Protocol
4.4.1. Acute Toxicity Test
4.4.2. Experimental Design
4.4.3. Diet Composition
4.4.4. Control of Body Weight and Food Intake
- FEC: food efficiency coefficient;
- PF: final body weight in grams;
- PI: initial body weight in grams;
- TA: total amount of feed consumed in grams.
- CGPCC: coefficient of weight gain per caloric intake;
- PF: final body weight in grams;
- PI: initial body weight in grams;
- Kcal: caloric value of the diet consumed.
4.4.5. Assessment of Body Fat
4.5. Oral Glucose TOLERANCE and Insulin Sensitivity Test
4.6. Serum Biochemical Analyses
4.7. Hormonal and Inflammatory Profile
4.8. Histology of Epididymal Adipose Tissue, Liver, and Pancreas
4.9. Statistical Analysis
5. Conclusions
Author Contributions
Funding
Institutional Review Board Statement
Informed Consent Statement
Data Availability Statement
Acknowledgments
Conflicts of Interest
References
- Nasreddine, L.M.; Kassis, A.N.; Ayoub, J.J.; Naja, F.A.; Hwalla, N.C. Nutritional status and dietary intakes of children amid the nutrition transition: The case of the Eastern Mediterranean Region. Nutr. Res. 2018, 57, 12–27. [Google Scholar] [CrossRef]
- Lee, S.; Bacha, F.; Silva, A.A. Waist circumference, blood pressure, and lipid components of the metabolic syndrome. J. Pediatr. 2006, 149, 809–816. [Google Scholar] [CrossRef]
- Havel, P.J. Update on adipocyte hormones: Regulation of energy balance and carbohydrate/lipid metabolism. Diabetes 2004, 53, S143–S151. [Google Scholar] [CrossRef] [PubMed]
- Noh, D.; Choi, J.G.; Huh, E.; Oh, M.S. Tectorigenin, a flavonoid-based compound of leopard lily rhizome, attenuates UV-B-induced apoptosis and collagen degradation by inhibiting oxidative stress in human keratinocytes. Nutrients 2018, 10, 1998. [Google Scholar] [CrossRef] [PubMed]
- Hauner, H. The new concept of adipose tissue function. Physiol. Behav. 2004, 83, 653–658. [Google Scholar] [CrossRef] [PubMed]
- Thaipitakwong, T.; Numhom, S.; Aramwit, P. Mulberry leaves and their potential effects against cardiometabolic risks: A review of chemical compositions, biological properties and clinical efficacy. Pharm. Biol. 2018, 56, 109–118. [Google Scholar] [CrossRef]
- Pereira, G.A.; Araujo, N.M.P.; Arruda, H.S.; Farias, D.P.; Molina, G.; Pastore, G.M. Phytochemicals and biological activities of mutamba (Guazuma ulmifolia Lam.): A review. Food Res. Int. 2019, 126, 108713. [Google Scholar] [CrossRef] [PubMed]
- Lopes, G.C.; Longhini, R.; dos Santos, P.V.P.; Araújo, A.A.S.; Bruschi, M.L.; de Mello, J.C.P. Preliminary assessment of the chemical stability of dried extracts from Guazuma ulmifolia Lam. (Sterculiaceae). Int. J. Anal. Chem. 2012, 7, 508945. [Google Scholar] [CrossRef]
- Villalobos, W.; Martini, M.; Garita, L.; Muñoz, M.; Osler, R.; Moreira, L. Guazuma ulmifolia (Sterculiaceae), a new natural host of 16SrXV phytoplasma in Costa Rica. Trop. Plant Pathol. 2011, 36, 110–115. [Google Scholar] [CrossRef][Green Version]
- Calixto Júnior, J.T.; Morais, S.M.; Gomez, C.V.; Molas, C.C.; Rolon, M.; Boligon, A.A.; Athayde, M.L.; Oliveira, C.D.M.; Tintino, S.R.; Coutinho, H.D.M. Phenolic composition and antiparasitic activity of plants from the Brazilian Northeast “Cerrado”. Saudi J. Biol. Sci. 2016, 23, 434–440. [Google Scholar] [CrossRef]
- Santos, J.M.; Alfredo, T.M.; Antunes, K.A.; Cunha, J.S.M.; Costa, E.M.A.; Lima, E.S.; Silva, D.B.; Carollo, C.A.; Schmitz, W.O.; Boleti, A.P.A.; et al. Guazuma ulmifolia Lam. decreases oxidative stress in blood cells and prevents doxorubicin-induced cardiotoxicity. Oxid. Med. Cell. Longev. 2018, 16, 2935051. [Google Scholar] [CrossRef]
- Alonso-Castro, A.J.; Salazar-Olivo, L.A. The anti-diabetic properties of Guazuma ulmifolia Lam. are mediated by the stimulation of glucose uptake in normal and diabetic adipocytes without inducing adipogenesis. J. Ethnopharmacol. 2008, 118, 252–256. [Google Scholar] [CrossRef] [PubMed]
- Adnyana, I.K.; Yulinah, E.; Yuliet, Y.; Kurniati, N.F. Antidiabetic activity of aqueous leaf extracts of Guazuma ulmifolia Lamk., ethanolic extracts of Curcuma xanthorrhiza and their combinations in alloxan-induced diabetic mice. Res. J. Med. Plant 2013, 7, 158–164. [Google Scholar] [CrossRef]
- Magos, G.A.; Mateos, J.C.; Páez, E.; Fernández, G.; Lobato, C.; Márquez, C.; Enríquez, R.G. Hypotensive and vasorelaxant effects of the procyanidin fraction from Guazuma ulmifolia bark in normotensive and hypertensive rats. J. Ethnopharmacol. 2008, 117, 58–68. [Google Scholar] [CrossRef] [PubMed]
- Sutrisna, E.; Usdiana, D.; Wahyuni, S. Hypocholesterolemia effect of Guazuma ulmifolia Lamk. on rats model hyperlipidemic and liver histopathological picture. Biomed. Pharmacol. J. 2022, 15, 1109–1113. [Google Scholar] [CrossRef]
- Hör, M.; Heinrich, M.; Rimpler, H. Proanthocyanidin polymers with antisecretory activity and proanthocyanidin oligomers from Guazuma ulmifolia bark. Phytochemistry 1996, 42, 109–119. [Google Scholar] [CrossRef]
- Lopes, G.C.; Rocha, J.C.B.; Almeida, G.C.; Mello, J.P.C. Condensed Tannins from the Bark of Guazuma ulmiflia Lam. (Sterculiaceae). J. Braz. Chem. Soc. 2009, 20, 1103–1109. [Google Scholar] [CrossRef][Green Version]
- Oroian, M.; Escriche, I. Antioxidants: Characterization, natural sources, extraction and analysis. Food Res. Int. 2015, 74, 10–36. [Google Scholar] [CrossRef] [PubMed]
- Patanè, G.T.; Putaggio, S.; Tellone, E.; Barreca, D.; Ficarra, S.; Maffei, C.; Calderaro, A.; Laganà, G. Catechins and proanthocyanidins involvement in metabolic syndrome. Int. J. Mol. Sci. 2023, 24, 9228. [Google Scholar] [CrossRef]
- Malone, M.H.; Robichaud, R.C. A Hippocratic screen for pure or crude drug materials. Lloydia 1962, 25, 320–332. [Google Scholar]
- Yogesh, C.; Imtiyaz, A.; Vanita, K.; Sudha, R. A brief review on phytochemical and pharmacological profile of Guazuma tomentosa L. Int. J. Pharmacol. Res. 2017, 7, 214–220. [Google Scholar]
- Kumar, N.S.; Gurunani, S.G. Guazuma ulmifolia LAM: A review for future View. J. Med. Plants Stud. 2019, 7, 205–210. [Google Scholar]
- Meerabai, G.; Subbalakshm, C. Pharmacognosy Studies of Guazuma ulmifolia, LAM of the family Malvaceae. World J. Pharm. Pharm. Sci. 2017, 6, 933–945. [Google Scholar] [CrossRef]
- Musial, C.; Kuban-Jankowska, A.; Gorska-Ponikowska, M. Benificial properties of green tea catechins. Int. J. Mol. Sci. 2020, 21, 1744. [Google Scholar] [CrossRef] [PubMed]
- Youn, H.S.; Lee, J.Y.; Saitoh, S.I.; Miyake, K.; Kang, K.W.; Choi, Y.J.; Hwang, D.H. Suppression of MyD88- and TRIF-dependent signaling pathways of toll-like receptor by (-)-epigallocatechin-3-gallate, a polyphenol component of green tea. Biochem. Pharmacol. 2006, 72, 850–859. [Google Scholar] [CrossRef]
- Bernatoniene, J.; Kopustinskiene, D.M. The role of catechins in cellular responses to oxidative stress. Molecules 2018, 23, 965. [Google Scholar] [CrossRef]
- Meeusen, R.; Roelands, B.; Spriet, L.L. Caffeine, exercise and the brain. Limits Hum. Endur. 2013, 76, 1–12. [Google Scholar]
- Barcelos, R.P.; Lima, F.D.; Carvalho, N.R.; Bresciani, G.; Royes, L.F.F. Caffeine effects on systemic metabolism, oxidative-inflammatory pathways, and exercise performance. Nutr. Res. 2020, 80, 1–17. [Google Scholar] [CrossRef] [PubMed]
- OECD. Guidelines. 425: Acute Oral Toxicity: Up-and-Down Procedure; OECD, Organization for Economic Co-operation and Development: Paris, France, 2008; 27p. [Google Scholar]
- Prahastuti, S.; Hidayat, M.; Hasiana, S.T.; Widowati, W.; Widodo, W.S.; Handayani, R.A.S.; Kusuma, H.S.W. The ethanol extract of the bastard cedar (Guazuma ulmifolia L.) as antioxidants. Pharmaciana 2020, 10, 77–88. [Google Scholar] [CrossRef]
- Rafi, M.; Meitary, N.; Septaningsih, D.A.; Bintang, M. Phytochemical profile and antioxidant activity of Guazuma ulmifolia leaves extracts using different solvent extraction. Indones. J. Pharm. 2020, 31, 171–180. [Google Scholar] [CrossRef]
- Phillips, C.M. Metabolically healthy obesity across the life course: Epidemiology, determinants, and implications. Ann. N. Y. Acad. Sci. 2017, 1391, 85–100. [Google Scholar] [CrossRef] [PubMed]
- Sung, J.; Jeong, H.S.; Lee, J. Effect of the capsicoside G—Rich fraction from pepper (Capsicum annuum L.) seeds on high--fat diet—Induced obesity in mice. Phytother. Res. 2016, 30, 1848–1855. [Google Scholar] [CrossRef] [PubMed]
- Reeves, P.G.; Nielsen, F.H.; Fahey, G.C., Jr. AIN-93 purified diets for laboratory rodents: Final report of the American Institute of Nutrition ad hoc writing committee on the reformulation of the AIN-76A rodent diet. J. Nutr. 1993, 123, 1939–1951. [Google Scholar] [CrossRef] [PubMed]
- Nuri, P.B.; Nugraha, A.S.; Sukardiman. Anti-adipogenic compound from Guazuma ulmifolia leaf. Res. J. Pharm. Technol. 2020, 13, 411–415. [Google Scholar] [CrossRef]
- Rupasinghe, H.V.; Sekhon-Loodu, S.; Mantso, T.; Panayiotidis, M.I. Phytochemicals in regulating fatty acid β-oxidation: Potential underlying mechanisms and their involvement in obesity and weight loss. Pharmacol. Ther. 2016, 165, 153–163. [Google Scholar] [CrossRef] [PubMed]
- Maurya, P.K.; Noto, C.; Rizzo, L.B.; Rios, A.C.; Nunes, S.O.; Barbosa, D.S.; Brietzke, E. The role of oxidative and nitrosative stress in accelerated aging and major depressive disorder. Prog. Neuro-Psychopharmacol. Biol. Psychiatry 2016, 65, 134–144. [Google Scholar] [CrossRef] [PubMed]
- Aouacheri, O.; Saka, S.; Krim, M.; Messaadia, A.; Maidi, I. The investigation of the oxidative stress-related parameters in type 2 diabetes mellitus. Can. J. Diabetes 2015, 39, 44–49. [Google Scholar] [CrossRef] [PubMed]
- Alam, F.; Shafique, Z.; Amjad, S.T.; Bin Asad, M.H.H. Enzymes inhibitors from natural sources with antidiabetic activity: A review. Phytother. Res. 2019, 33, 41–54. [Google Scholar] [CrossRef] [PubMed]
- Contreras, T.A.; Aranda-Ventura, J.; Vallejo, J.V.; Tuesta, L.N.; González-Aspajo, G. Antidiabetic effect of freeze-dried extracts of Guazuma ulmifolia Lam, Dracontium loretense Krause, Physalis angulata L, and Handroanthus obscurus (Bureau & K. Schum) Mattos, through in vitro inhibition of alpha α-glucosidase. Rev. Peru. Med. Integr. 2020, 5, 5–11. [Google Scholar] [CrossRef]
- Ramadhansyah, R.; Thadeus, M.S.; Muktamiroh, H.; Hardini, N. The therapeutic effects of west Indian Elm (Guazuma ulmifolia) leaf extract on coronary artery atherosclerosis in hypercholesterolemic Wistar rats. J. Gizi Pangan 2023, 18, 109–116. [Google Scholar] [CrossRef]
- Mahfudh, N.; Sulistyani, N.; Kumalasari, I.D.; Hilal, A.K.; Refliandi, R.; Othman, F.; Zakaria, Z.A. Antihyperlipidemic and hepatoprotective activity of extracts of Zingiber cassumunar rhizome, Guazuma ulmifolia leaves, and their combination in high-fat diet-fed rats. Acta Sci. Pol. Technol. Aliment. 2024, 23, 39–47. [Google Scholar] [CrossRef]
- Iswantini, D.; Silitonga, R.F.; Martatilofa, E.; Darusman, L.K. Zingiber cassumunar, Guazuma ulmifolia, and Murraya paniculata extracts as antiobesity: In vitro inhibitory effect on pancreatic lipase activity. HAYATI J. Biosci. 2011, 18, 6–10. [Google Scholar] [CrossRef]
- Duraiswamy, B.; Singanan, M.; Varadarajan, V. Physicochemical, phytochemicals and antioxidant evaluation of Guazuma ulmifolia fruit. Int. J. Pharm. Pharm. Sci. 2018, 10, 87. [Google Scholar] [CrossRef]
- Maldini, M.; Di Micco, S.; Montoro, P.; Darra, E.; Mariotto, S.; Bifulco, G.; Pizza, C.; Piacente, S. Flavanocoumarins from Guazuma ulmifolia bark and evaluation of their affinity for STAT1. Phytochemistry 2013, 86, 64–71. [Google Scholar] [CrossRef] [PubMed]
- Syaefudin, S.; Wahyuni, W.T.; Artika, I.M.; Sulistiyani. Antioxidant activity of flavonoid from Guazuma ulmifolia Lamk leaves and apoptosis induction in yeast cells. J. Biol. Sci. 2014, 14, 305–310. [Google Scholar]
- Zhang, F.; Hao, G.; Shao, M.; Nham, K.; An, Y.; Wang, Q.; Oz, O.K. An adipose tissue atlas: An image-guided identification of human-like BAT and beige depots in rodents. Cell Metab. 2018, 27, 252–262. [Google Scholar] [CrossRef]
- Al-Hussaniy, H.A.; Alburghaif, A.H.; Naji, M.A. Leptin hormone and its effectiveness in reproduction, metabolism, immunity, diabetes, hopes and ambitions. J. Med. Life 2021, 14, 600. [Google Scholar] [CrossRef] [PubMed]
- Harrison, L.; Schriever, S.C.; Feuchtinger, A.; Kyriakou, E.; Baumann, P.; Pfuhlmann, K.; Messias, A.C.; Walch, A.; Tschöp, M.H.; Pfluger, P.T. Fluorescent blood-brain barrier tracing shows intact leptin transport in obese mice. Int. J. Obes. 2019, 6, 1305–1318. [Google Scholar] [CrossRef]
- Izquierdo, A.G.; Crujeiras, A.B.; Casanueva, F.F.; Carreira, M.C. Leptin, Obesity, and Leptin Resistance: Where Are We 25 Years Later? Nutrients 2019, 11, 2704. [Google Scholar] [CrossRef]
- Misch, M.; Puthanveetil, P. The Head-to-Toe Hormone: Leptin as an Extensive Modulator of Physiologic Systems. Int. J. Mol. Sci. 2022, 23, 5439. [Google Scholar] [CrossRef]
- Picó, C.; Palou, M.; Pomar, C.A. Leptin as a key regulator of the adipose organ. Rev. Endocr. Metab. Disord. 2022, 23, 13–30. [Google Scholar] [CrossRef] [PubMed]
- Irving, A.; Harvey, J. Regulation of hippocampal synaptic function by the metabolic hormone leptin: Implications for health and disease. Prog. Lipid Res. 2021, 82, 101098. [Google Scholar] [CrossRef] [PubMed]
- Guimarães, D.E.D.; Sardinha, F.D.C.; Mizurini, D.D.M.; Carmo, M.D.G.T.D. Adipokines: A new view of adipose tissue. Rev. Nutr. 2007, 20, 549–559. [Google Scholar] [CrossRef]
- Ouchi, N.; Parker, J.L.; Lugus, J.J.; Walsh, K. Adipokines in inflammation and metabolic disease. Nat. Rev. Immunol. 2011, 11, 85–97. [Google Scholar] [CrossRef] [PubMed]
- Lee, S.; Keirsey, K.I.; Kirkland, R.; Grunewald, Z.I.; Fischer, J.G.; De La Serre, C.B. Blueberry supplementation influences the gut microbiota, inflammation, and insulin resistance in high-fat-diet–fed rats. J. Nutr. 2018, 148, 209–219. [Google Scholar] [CrossRef] [PubMed]
- Sarapio, E.; De Souza, S.K.; Model, J.F.; Trapp, M.; Da Silva, R.S. Stanniocalcin-1 and-2 effects on glucose and lipid metabolism in white adipose tissue from fed and fasted rats. Can. J. Physiol. Pharmacol. 2019, 97, 916–923. [Google Scholar] [CrossRef] [PubMed]
- Islam, M.M.; Islam, A.; Bari, M.W.; Hossain, M.I.; Abdul, M. Hypoglycemic and hypolipidemic activities of Carica papaya fruits in streptozotocin induced diabetic mice. World J. Pharm. Pharm. Sci. 2019, 8, 332–343. [Google Scholar]
- Roese, F.M. Efeito da Espécie Guazuma ulmifolia (Sterculiaceae) no peso Corporal e no Perfil Sérico de ratos Wistar Induzidos à Obesidade. Master’s Thesis, Faculdade de Medicina, Universidade Federal de Mato Grosso do Sul, Campo Grande, Brazil, 2011. [Google Scholar]
- Matos, F.J.A. Introdução a Fitoquímica Experimental, 3rd ed.; Edições UFC: Fortaleza, Brazil, 2009; 150p. [Google Scholar]
- Wagner, H.; Bladt, S. Plant Drug Analysis: A Thin Layer Chromatography Atlas, 2nd ed.; Springer: London, UK, 2009; 384p. [Google Scholar]
- Djeridane, A.; Yousfi, M.; Nadjemi, B.; Boutassouna, D.; Stocker, P.; Vidal, N. Antioxidant activity of some Algerian medicinal plants extracts containing phenolic compounds. Food Chem. 2006, 97, 654–660. [Google Scholar] [CrossRef]
- Pansera, M.R.; Santos, A.C.A.; Wasum, R.; Rossato, M.; Rota, L.D.; Pauletti, G.F.; Serafini, L.D. Análise de taninos totais em plantas aromáticas e medicinais cultivadas no Nordeste do Rio Grande do Sul. Rev. Bras. Farmacogn. 2003, 13, 17–23. [Google Scholar] [CrossRef]
- Kumaran, A.; Karunakaran, R.J. Antioxidant and free radical scavenging activity of an aqueous extract of Coleus aromaticus. Food Chem. 2006, 97, 109–114. [Google Scholar] [CrossRef]
- Nery, C.D.S.; Pinheiro, I.L.; Muniz, G.D.S.; Vasconcelos, D.A.A.D.; França, S.P.D.; Nascimento, E.D. Medidas murinométricas e eficiência alimentar em ratos provenientes de ninhadas reduzidas na lactação e submetidos ou não ao exercício de natação. Rev. Bras. Med. Esp. 2014, 17, 49–55. [Google Scholar] [CrossRef]
- White, P.A.S.; Cercato, L.M.; Batista, V.S.; Camargo, E.A.; De Lucca, W., Jr.; Oliveira, A.S.; Silva, F.T.; Goes, T.C.; Oliveira, E.R.A.; Moraes, V.R.S.; et al. Aqueous extract of Chrysobalanus icaco leaves, in lower doses, prevent fat gain in obese high-fat fed mice. J. Ethnopharmocol. 2016, 17, 92–100. [Google Scholar] [CrossRef] [PubMed]
- Agada, R.; Usman, W.A.; Shehu, S.; Thagariki, D.; Agada, R. In vitro and in vivo inhibitory effects of Carica papaya seed on α-amylase and α-glucosidase enzymes. Heliyon 2020, 6, e03618. [Google Scholar] [CrossRef] [PubMed]
- Tai, M.M. A mathematical model for the determination of total area under glucose tolerance and other metabolic curves. Diabetes Care 1994, 17, 152–154. [Google Scholar] [CrossRef] [PubMed]
- Florence, N.T.; Benoit, M.Z.; Jonas, K.; Alexandra, T.; Désiré, D.D.P.; Pierre, K.; Théophile, D. Antidiabetic and antioxidant effects of Annona muricata (Annonaceae), aqueous extract on streptozotocin-induced diabetic rats. J. Ethnopharmacol. 2014, 151, 784–790. [Google Scholar] [CrossRef]
- Morais, C.M. Avaliação das Alterações Inflamatórias e Funcionais do Pulmão no Curso da Pancreatite Aguda Experimental Induzida por Ceruleína. Master’s Thesis, Faculdade de Medicina, Universidade Federal do Ceará, Fortaleza, Brazil, 2013. [Google Scholar]
- Kleiner, D.E.; Brunt, E.M.; Van Natta, M.; Behling, C.; Contos, M.J.; Cummings, O.W.; Ferrell, L.D.; Liu, Y.C.; Torbenson, M.S.; Unalp-Arida, A.; et al. Design and validation of a histological scoring system for nonalcoholic fatty liver disease. Hepatology 2005, 41, 1313–1321. [Google Scholar] [CrossRef]
- Chandran, R.; Parimelazhagan, T.; Shanmugam, S.; Thankarajan, S. Antidiabetic activity of Syzygium calophyllifolium in Streptozotocin-Nicotinamide induced Type-2 diabetic rats. Biomed. Pharmacother. 2016, 82, 547–554. [Google Scholar] [CrossRef]
- Pereira, F.L.; Vasques, F.T.; Moricz, A.D.; Campos, T.D.; Pacheco, A.M., Jr.; Silva, R.A. Correlation analysis between post-pancreatoduodenectomy pancreatic fistula and pancreatic histology. Rev. Col. Bras. Cir. 2012, 39, 41–47. [Google Scholar] [CrossRef][Green Version]







| Classes | Aqueous Extract | Ethanolic Extract |
|---|---|---|
| Phenolic compounds | ++ | ++ |
| Flavonoids | ++ | ++ |
| Tannins | +++ | +++ |
| Naphthoquinone | − | − |
| Coumarins | + | + |
| Triterpenes and steroids | + | + |
| Cyanogenic heterosides | + | + |
| Cardioactive heterosides | + | + |
| Reducing sugars | + | − |
| Saponins | + | + |
| Alkaloids | − | − |
| TCF [mg g−1] | 11.1 | 13.8 |
| TF [mg g−1] | 3.1 | 3.3 |
| TT [mg g−1] | 72.6 | 65.2 |
| DPPH [µg mL−1] | 37.3 | 45.2 |
| Compounds | Correlation Coefficient (r2) | LOD (pg/Injection) | LOQ (pg/Injection) | AEB (% m:m) | EEB (% m:m) |
|---|---|---|---|---|---|
| Gallocatechin | 0.9994 | 0.15 | 0.50 | 5.84 ± 0.17 | 4.27 ± 0.12 |
| Epigallocatechin | 0.9996 | 0.14 | 0.47 | 5.33 ± 0.11 | 4.54 ± 0.0 6 |
| Catechin | 0.9994 | 0.15 | 0.50 | 3.73 ± 0.11 | 2.87 ± 0.11 |
| Epigallocatechin gallate | 0.9992 | 0.14 | 0.47 | 5.99 ± 0.22 | 5.14 ± 0.11 |
| Epicatechin | 0.9992 | 0.15 | 0.50 | 3.29 ± 0.09 | 2.45 ± 0.07 |
| Gallocatechin gallate | 0.9996 | 0.17 | 0.44 | 4. 31 ± 0.11 | 3. 38 ± 0.13 |
| Caffeine | 0.9994 | 0.12 | 0.40 | 4.15 ± 0.07 | 3.37 ± 0.05 |
| Epicatechin gallate | 0.9992 | 0.18 | 0.60 | 2.98 ± 0.06 | 1.88 ± 0.05 |
| Catechin gallate | 0.9990 | 0.14 | 0.47 | 3.05 ± 0.05 | 1.95 ± 0.08 |
| Parameters | Experimental Groups | ||||||
|---|---|---|---|---|---|---|---|
| DN | DC | DH | EE25 | EE50 | EA25 | EA50 | |
| Starting weight (g) | 24.67 ± 1.50 | 24.75 ± 1.14 | 24.42 ± 1.56 | 24.75 ± 1.82 | 24.17 ± 2.44 | 24.00 ± 1.60 | 24.25 ± 1.54 |
| Final weight (g) | 29.00 ± 2.00 | 28.33 ± 0.78 | 30.25 ± 3.05 | 29.33 ± 3.23 | 31.00 ± 3.13 | 29.58 ± 3.78 | 29.08 ± 5.28 |
| Total weight gain (g) ** | 4.33 ± 2.06 | 3.58 ± 1.17 | 5.83 ± 2.33 | 4.58 ± 1.98 | 6.83 ± 3.01 b | 5.58 ± 3.00 | 4.83 ± 4.09 |
| Total food intake (g) * | 50.77 ± 4.19 | 64.52 ± 3.50 | 43.69 ± 2.00 | 37.63 ± 2.08 a,b,c | 38.39 ± 3.16 a,b | 38.57 ± 3.62 a,b | 37.25 ± 3.46 a,b,c |
| Total caloric intake (kcal) * | 192.92 ± 15.91 b | 281.31 ± 15.26 | 231.57 ± 10.62 a | 199.45 ± 11.03 b,c | 203.49 ± 16.73 b | 204.42 ± 19.17 b | 197.42 ± 18.36 b,c |
| CEA * | 0.093 ± 0.031 | 0.056 ± 0.019 | 0.134 ± 0.053 b | 0.121 ± 0.049 | 0.180 ± 0.086 a,b | 0.142 ± 0.070 b | 0.124 ± 0.097 |
| CGPCC * | 0.027 ± 0.006 b | 0.014 ± 0.003 | 0.025 ± 0.010 | 0.024 ± 0.008 | 0.034 ± 0.016 b | 0.034 ± 0.011 b | 0.028 ± 0.014 b |
| Groups | Adipose Tissue (mg) | % Adiposity * | Adipocyte Area * (µm2) | ||||
|---|---|---|---|---|---|---|---|
| Epididymal * | Perirenal * | Retroperitoneal * | Mesenteric | Omental | |||
| DN | 348.70 ± 120.84 | 52.52 ± 22.91 | 92.50 ± 39.81 | 199.89 ± 55.74 | 31.69 ± 13.68 | 2.50 ± 0.66 | 2,286,227.97 ± 515,840.80 |
| DC | 222.59 ± 84.00 | 37.98 ± 24.69 | 44.02 ± 20.27 | 172.60 ± 59.10 | 40.08 ± 10.64 | 1.82 ± 0.54 | 1,881,104.03 ± 296,416.70 |
| DH | 699.05 ± 289.18 b | 122.08 ± 67.05 b | 284.06 ± 119.99 b | 241.34 ± 80.51 | 45.44 ± 14.62 | 4.53 ± 1.24 b | 3,969,639.00 ± 1,308,460.12 a,b |
| EE25 | 814.51 ± 399.18 a,b | 121.37 ± 67.05 b | 305.86 ± 167.83 a,b | 245.97 ± 113.87 | 41.99 ± 9.25 | 5.04 ± 1.89 a,b | 3,271,761.53 ± 1,178,744.39 b |
| EE50 | 864.77 ± 406.58 a,b | 109.46 ± 60.49 b | 363.60 ± 186.45 a,b | 266.17 ± 103.60 | 43.57 ± 11.44 | 5.18 ± 1.83 a,b | 3,489,449.25 ± 1,054,370.87 b |
| EA25 | 866.92 ± 439.16 a,b | 102.20 ± 46.66 b | 337.65 ± 177.64 a,b | 295.90 ± 144.08 | 45.11 ± 17.64 | 5.46 ± 2.15 a,b | 3,595,736.22 ± 750,844.13 a,b |
| EA50 | 782.30 ± 553.90 b | 95.67 ± 74.44 | 279.38 ± 199.22 b | 207.51 ± 154.11 | 41.78 ± 12.15 | 4.50 ± 2.43 b | 3,315,501.00 ± 1,393,916.23 b |
| Groups | Time (min) | ||||
|---|---|---|---|---|---|
| 0 * | 15 ** | 30 ** | 60 ** | 120 ** | |
| DC | 202.00 ± 21.64 | 307.00 ± 34.83 | 221.00 ± 46.40 | 180.25 ± 29.28 | 151.75 ± 21.18 |
| DN | 172.92 ± 30.68 | 321.50 ± 45.00 | 211.33 ± 45.82 | 163.25 ± 32.80 | 135.08 ± 40.90 |
| DH | 198.83 ± 29.01 | 352.08 ± 42.79 | 271.67 ± 64.94 b | 206.33 ± 26.74 b | 174.50 ± 30.22 |
| EE25 | 210.67 ± 33.65 b | 366.25 ± 34.36 a | 265.36 ± 37.04 | 225.33 ± 41.17 a,b | 184.92 ± 30.76 b |
| EE50 | 221.92 ± 25.65 b | 393.17 ± 36.36 a,b | 288.08 ± 30.46 a,b | 237.42 ± 36.05 a,b | 204.08 ± 31.34 a,b |
| EA25 | 209.67 ± 34.99 b | 396.67 ± 33.01 a,b | 321.83 ± 36.36 a,b | 216.58 ± 25.96 b | 183.25 ± 29.76 b |
| EA50 | 209.67 ± 29.78 b | 380.00 ± 52.52 a,b | 274.67 ± 54.68 b | 209.42 ± 30.87 b | 184.17 ± 40.38 b |
| Groups | Time (min) | |||
|---|---|---|---|---|
| 0 * | 15 | 30 ** | 60 *** | |
| DC | 181.82 ± 13.40 | 86.12 ± 10.69 | 74.92 ± 14.91 | 95.42 ± 31.87 |
| DN | 199.00 ± 30.81 | 116.33 ± 28.51 | 95.42 ± 15.36 a | 123.25 ± 39.45 |
| DH | 201.58 ± 18.77 | 86.18 ± 14.96 | 89.18 ± 11.66 | 130.09 ± 17.43 |
| EE25 | 209.08 ± 16.82 | 88.75 ± 22.03 | 92.00 ± 8.89 | 143.75 ± 28.36 a |
| EE50 | 247.42 ± 27.22 a,b,c,d | 86.82 ± 18.14 | 87.33 ± 14.29 | 135.25 ± 38.93 |
| EA25 | 233.83 ± 30.29 a,b,c | 95.27 ± 40.17 | 87.09 ± 13.61 | 148.17 ± 42.61 a |
| EA50 | 226.25 ± 24.86 a | 92.00 ± 29.12 | 81.73 ± 7.31 | 119.18 ± 21.27 |
| Parameters (mg/dL) | Experimental Groups | ||||||
|---|---|---|---|---|---|---|---|
| DN | DC | DH | EE25 | EE50 | EA25 | EA50 | |
| Total cholesterol * | 174.33 ± 14.39 | 145.41 ± 17.05 | 207.92 ± 20.21 b | 236.53 ± 28.40 a,b | 231.68 ± 34.36 a,b | 228.00 ± 27.43 a,b | 243.71 ± 41.13 a,b,c |
| LDL-c * | 25.69 ± 9.66 | 34.73 ± 19.96 | 41.79 ± 24.66 | 46.91 ± 13.69 | 81.44 ± 28.72 a,b | 63.64 ± 24.49 a | 92.60 ± 29.00 a,b,c |
| HDL-c * | 111.08 ± 8.73 | 77.33 ± 7.67 | 138.79 ± 13.84 b | 152.74 ± 14.87 a,b,e,g | 118.49 ± 17.43 b | 134.19 ± 20.55 b | 119.20 ± 17.53 b |
| Non-HDL * | 64.29 ± 9.39 | 63.92 ± 14.81 | 75.95 ± 24.47 | 78.51 ± 15.06 | 113.14 ± 27.58 a,b,c,d | 96.01 ± 24.93 a,b | 124.51 ± 31.11 a,b,c,d,f |
| VLDL-c * | 37.86 ± 5.00 | 33.35 ± 4.34 | 34.16 ± 4.98 | 31.76 ± 3.73 a | 31.73 ± 4.95 a | 32.44 ± 4.13 | 31.91 ± 4.83 a |
| Triglycerides ** | 189.29 ± 24.99 | 166.77 ± 21.72 | 170.79 ± 24.89 | 158.78 ± 18.67 a | 158.65 ± 24.75 a | 162.20 ± 20.67 | 159.54 ± 24.13 a |
| Atherogenic index * | 1.58 ± 0.08 | 1.90 ± 0.28 a,c,d | 1.55 ± 0.17 | 1.55 ± 0.15 | 1.97 ± 0.25 a,c,d | 1.74 ± 0.26 | 1.99 ± 0.17 a,c,d |
| Parameters | Experimental Groups | ||||||
|---|---|---|---|---|---|---|---|
| DN | DC | DH | EE25 | EE50 | EA25 | EA50 | |
| IL-6 * | 7.77 ± 3.92 | 4.87 ± 1.22 | 16.12 ± 16.60 | 5.97 ± 2.84 | 9.65 ± 5.27 | 7.89 ± 3.99 | 36.11 ± 37.16 b,c |
| MCP-1 | 12.46 ± 2.04 | 13.69 ± 3.05 | 23.62 ± 10.02 d | 14.07 ± 5.61 | 12.45 ± 2.52 | 12.10 ± 3.33 | 13.93 ± 3.82 |
| PAI-1 | 6148.50 ± 2119.77 | 4494.81 ± 2211.39 | 6037.90 ± 2034.07 | 5694.18 ± 2602.76 | 6515.00 ± 3422.14 | 7893.30 ± 4047.81 | 5052.20 ± 1647.79 |
| TNF-α | 6.41 ± 1.36 | 6.74 ± 0.73 | 7.23 ± 1.62 | 5.92 ± 0.65 | 6.44 ± 0.91 | 6.28 ± 1.00 | 6.63 ± 1.12 |
| Insulin ** | 183.87 ± 70.18 | 251.06 ± 133.25 | 419.91 ± 233.98 | 328.92 ± 161.64 | 464.95 ± 235.57 a | 370.23 ± 169.16 | 910.98 ± 415.21 a,b |
| Leptin ** | 974.08 ± 728.57 | 512.75 ± 394.71 | 15,019.60 ± 11,375.73 a,b | 6145.16 ± 4467.20 b | 8797.24 ± 6874.92 b | 10,168.60 ± 7534.31 a,b | 19,221.45 ± 12,480.90 a,b |
| Resistin ** | 834.89 ± 220.99 | 920.63 ± 205.49 | 2118.72 ± 1004.43 a,b | 1423.19 ± 406.24 | 1581.25 ± 730.71 | 2266.64 ± 1247.78 a,b | 2412.67 ± 963.52 a,b |
| Parameters Evaluated | DC | DH | DN | EE25 | EE50 | EA25 | EA50 | |||||||
|---|---|---|---|---|---|---|---|---|---|---|---|---|---|---|
| Changes in the Liver | n | % | n | % | n | % | n | % | n | % | n | % | n | % |
| Steatosis | ||||||||||||||
| <5% | 13 | 100.0 | 11 | 84.6 | 12 | 100.0 | 10 | 83.3 | 13 | 100.0 | 12 | 100.0 | 11 | 91.7 |
| 5 to 33% | - | - | 2 | 15.4 | - | - | 2 | 16.7 | - | - | - | - | 1 | 8.3 |
| 34 to 66% | 0 | 0.0 | 0 | 0.0 | 0 | 0.0 | 0 | 0.0 | 0 | 0.0 | 0 | 0.0 | 0 | 0.0 |
| <66% | 0 | 0.0 | 0 | 0.0 | 0 | 0.0 | 0 | 0.0 | 0 | 0.0 | 0 | 0.0 | 0 | 0.0 |
| Microvesicular steatosis | ||||||||||||||
| Absent | 13 | 100.0 | 13 | 100.0 | 12 | 100.0 | 11 | 91.7 | 13 | 100.0 | 12 | 100.0 | 11 | 91.7 |
| Presence | - | - | - | - | - | - | 1 | 8.3 | - | - | - | - | 1 | 8.3 |
| Lobular Inflammation | ||||||||||||||
| Absent | 7 | 53.8 | 3 | 23.1 | 6 | 50.0 | 6 | 50.0 | 2 | 15.4 | 2 | 16.7 | 9 | 75.0 |
| <2 focuses per 200× field | 6 | 46.2 | 9 | 69.2 | 6 | 50.0 | 6 | 50.0 | 10 | 76.9 | 10 | 83.3 | 3 | 25.0 |
| 2–4 focuses per 200× field | - | 1 | 7.7 | - | - | 1 | 7.7 | - | - | |||||
| >4 focuses per 200× field | 0 | 0.0 | 0 | 0.0 | 0 | 0.0 | 0 | 0.0 | 0 | 0.0 | 0 | 0.0 | 0 | 0.0 |
| Ballooning * | ||||||||||||||
| Absent | 12 | 92.3 | 7 | 53.8 | 11 | 91.7 | 7 | 58.3 | 4 | 30.8 | 6 | 50.0 | 5 | 41.7 |
| Few cells | 1 | 7.7 b | 6 | 46.2 ab | 1 | 8.3 b | 5 | 41.7 ab | 9 | 86.2 a | 6 | 50.0 ab | 7 | 58.2 |
| Many cells | 0 | 0.0 | 0 | 0.0 | 0 | 0.0 | 0 | 0.0 | 0 | 0.0 | 0 | 0.0 | 0 | 0.0 |
| Mallory’s Hyaline | ||||||||||||||
| Absent | 13 | 100.0 | 13 | 100.0 | 12 | 100.0 | 12 | 100.0 | 13 | 100.0 | 12 | 100.0 | 12 | 100.0 |
| Presence | 0 | 0.0 | 0 | 0.0 | 0 | 0.0 | 0 | 0.0 | 0 | 0.0 | 0 | 0.0 | 0 | 0.0 |
| Apoptosis | ||||||||||||||
| Absent | 10 | 76.9 | 9 | 69.2 | 9 | 75.0 | 8 | 66.7 | 6 | 46.2 | 8 | 66.7 | 8 | 66.7 |
| Presence | 3 | 23.1 | 4 | 30.8 | 3 | 25.0 | 4 | 33.3 | 7 | 53.8 | 4 | 33.3 | 4 | 33.3 |
| Glycogenated core | ||||||||||||||
| None/rare | 13 | 100.0 | 13 | 100.0 | 12 | 100.0 | 12 | 100.0 | 13 | 100.0 | 12 | 100.0 | 12 | 100.0 |
| Some | 0 | 0.0 | 0 | 0.0 | 0 | 0.0 | 0 | 0.0 | 0 | 0.0 | 0 | 0.0 | 0 | 0.0 |
| Changes in the Pancreas | ||||||||||||||
| Islet of Langerhans | ||||||||||||||
| No change | 9 | 86.2 | 12 | 92.3 | 11 | 91.7 | 11 | 91.7 | 9 | 86.2 | 10 | 83.3 | 11 | 91.7 |
| Mild atrophy | 0 | 0.0 | 0 | 0.0 | 0 | 0.0 | 0 | 0.0 | 0 | 0.0 | 0 | 0.0 | 0 | 0.0 |
| Atrophy | 4 | 30.8 | 1 | 7.7 | 1 | 8.3 | 1 | 8.3 | 4 | 30.8 | 2 | 16.7 | 1 | 8.3 |
| Mild hypertrophy | 0 | 0.0 | 0 | 0.0 | 0 | 0.0 | 0 | 0.0 | 0 | 0.0 | 0 | 0.0 | 0 | 0.0 |
| Hypertrophy | 0 | 0.0 | 0 | 0.0 | 0 | 0.0 | 0 | 0.0 | 0 | 0.0 | 0 | 0.0 | 0 | 0.0 |
| Pancreatic acini | ||||||||||||||
| No change | 13 | 100.0 | 13 | 100.0 | 12 | 100.0 | 12 | 100.0 | 13 | 100.0 | 12 | 100.0 | 12 | 100.0 |
| Necrosis/Atrophy | 0 | 0.0 | 0 | 0.0 | 0 | 0.0 | 0 | 0.0 | 0 | 0.0 | 0 | 0.0 | 0 | 0.0 |
| Inflammatory cells | ||||||||||||||
| No change | 13 | 100.0 | 13 | 100.0 | 12 | 100.0 | 12 | 100.0 | 13 | 100.0 | 12 | 100.0 | 12 | 100.0 |
| Insulitis | 0 | 0.0 | 0 | 0.0 | 0 | 0.0 | 0 | 0.0 | 0 | 0.0 | 0 | 0.0 | 0 | 0.0 |
| Perinsulitis | 0 | 0.0 | 0 | 0.0 | 0 | 0.0 | 0 | 0.0 | 0 | 0.0 | 0 | 0.0 | 0 | 0.0 |
Disclaimer/Publisher’s Note: The statements, opinions and data contained in all publications are solely those of the individual author(s) and contributor(s) and not of MDPI and/or the editor(s). MDPI and/or the editor(s) disclaim responsibility for any injury to people or property resulting from any ideas, methods, instructions or products referred to in the content. |
© 2024 by the authors. Licensee MDPI, Basel, Switzerland. This article is an open access article distributed under the terms and conditions of the Creative Commons Attribution (CC BY) license (https://creativecommons.org/licenses/by/4.0/).
Share and Cite
Rodrigues, E.L.; Santana, L.F.; Nascimento, V.A.d.; Arakaki, M.A.; Cardoso, C.A.L.; Filiú, W.F.d.O.; Guimarães, R.d.C.A.; Hiane, P.A.; Freitas, K.d.C. Use of Guazuma ulmifolia Lam. Stem Bark Extracts to Prevent High-Fat Diet Induced Metabolic Disorders in Mice. Int. J. Mol. Sci. 2024, 25, 8889. https://doi.org/10.3390/ijms25168889
Rodrigues EL, Santana LF, Nascimento VAd, Arakaki MA, Cardoso CAL, Filiú WFdO, Guimarães RdCA, Hiane PA, Freitas KdC. Use of Guazuma ulmifolia Lam. Stem Bark Extracts to Prevent High-Fat Diet Induced Metabolic Disorders in Mice. International Journal of Molecular Sciences. 2024; 25(16):8889. https://doi.org/10.3390/ijms25168889
Chicago/Turabian StyleRodrigues, Elisana Lima, Lidiani Figueiredo Santana, Valter Aragão do Nascimento, Marcel Asato Arakaki, Claudia Andréa Lima Cardoso, Wander Fernando de Oliveira Filiú, Rita de Cássia Avellaneda Guimarães, Priscila Aiko Hiane, and Karine de Cássia Freitas. 2024. "Use of Guazuma ulmifolia Lam. Stem Bark Extracts to Prevent High-Fat Diet Induced Metabolic Disorders in Mice" International Journal of Molecular Sciences 25, no. 16: 8889. https://doi.org/10.3390/ijms25168889
APA StyleRodrigues, E. L., Santana, L. F., Nascimento, V. A. d., Arakaki, M. A., Cardoso, C. A. L., Filiú, W. F. d. O., Guimarães, R. d. C. A., Hiane, P. A., & Freitas, K. d. C. (2024). Use of Guazuma ulmifolia Lam. Stem Bark Extracts to Prevent High-Fat Diet Induced Metabolic Disorders in Mice. International Journal of Molecular Sciences, 25(16), 8889. https://doi.org/10.3390/ijms25168889

