Evaluation of 73 Enlisted Patients for Liver Transplant with Unknown Etiology Reveals a Late-Diagnosed Case of Lysosomal Acid Lipase Deficiency
Abstract
1. Introduction
2. Cohort Study That Led to the Diagnosis of the Reported Patient
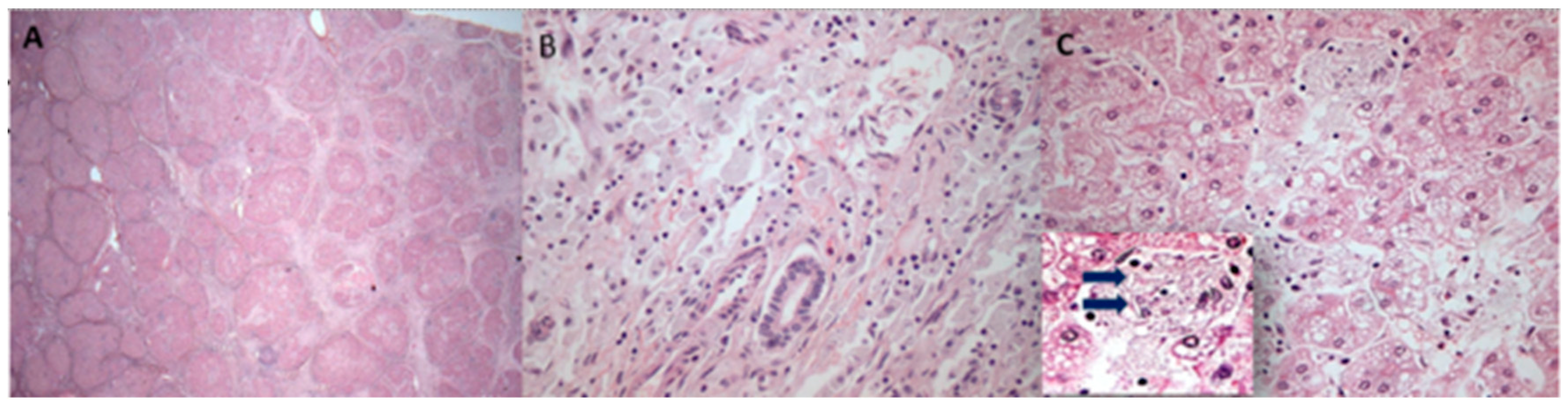
3. Case Report
4. Discussion
5. Conclusions
Supplementary Materials
Author Contributions
Funding
Institutional Review Board Statement
Informed Consent Statement
Data Availability Statement
Acknowledgments
Conflicts of Interest
References
- Korbelius, M.; Kuentzel, K.B.; Bradić, I.; Vujić, N.; Kratky, D. Recent insights into lysosomal acid lipase deficiency. Trends Mol. Med. 2023, 29, 425–438. [Google Scholar] [CrossRef]
- Witeck, C.d.R.; Schmitz, A.C.; de Oliveira, J.M.D.; Porporatti, A.L.; De Luca Canto, G.; Pires, M.M.d.S. Lysosomal acid lipase deficiency in pediatric patients: A scoping review. J. Pediatr. (Rio. J.) 2022, 98, 4–14. [Google Scholar] [CrossRef]
- Carter, A.; Brackley, S.M.; Gao, J.; Mann, J.P. The global prevalence and genetic spectrum of lysosomal acid lipase deficiency: A rare condition that mimics NAFLD. J. Hepatol. 2019, 70, 142–150. [Google Scholar] [CrossRef]
- Giugliani, R.; Federhen, A.; Michelin-Tirelli, K.; Riegel, M.; Burin, M. Relative frequency and estimated minimal frequency of Lysosomal Storage Diseases in Brazil: Report from a Reference Laboratory. Genet. Mol. Biol. 2017, 40, 31–39. [Google Scholar] [CrossRef]
- Curiati, M.A.; Kyosen, S.O.; Pereira, V.G.; Patrício, F.R.d.S.; Martins, A.M. Lysosomal Acid Lipase Deficiency: Report of Five Cases across the Age Spectrum. Case Rep. Pediatr. 2018, 2018, 4375434. [Google Scholar] [CrossRef]
- Benevides, G.N.; Miura, I.K.; Person, N.C.; Pugliese, R.P.S.; Danesi, V.L.B.; Lima, F.R.; Porta, G. Lysosomal acid lipase deficiency in Brazilian children: A case series. J. Pediatr. (Rio. J.) 2019, 95, 552–558. [Google Scholar] [CrossRef] [PubMed]
- Bernstein, D.L.; Lobritto, S.; Iuga, A.; Remotti, H.; Schiano, T.; Fiel, M.I.; Balwani, M. Lysosomal acid lipase deficiency allograft recurrence and liver failure-clinical outcomes of 18 liver transplantation patients. Mol. Genet. Metab. 2018, 124, 11–19. [Google Scholar] [CrossRef]
- Synoracki, S.; Kathemann, S.; Schmid, K.W.; Jastrow, H.; Baba, H.A. Mangel an lysosomaler saurer Lipase (LAL-D). Pathologe 2018, 39, 249–254. [Google Scholar] [CrossRef]
- Bernstein, D.L.; Hülkova, H.; Bialer, M.G.; Desnick, R.J. Cholesteryl ester storage disease: Review of the findings in 135 reported patients with an underdiagnosed disease. J. Hepatol. 2013, 58, 1230–1243. [Google Scholar] [CrossRef] [PubMed]
- Assessoria de Imprensa do HC-FMUSP. Instituto da Criança do HC realiza milésimo transplante hepático infantil em menina com doença rara. J. USP 2023. Available online: https://jornal.usp.br/universidade/instituto-da-crianca-do-hc-realiza-milesimo-transplante-hepatico-infantil-em-menina-com-doenca-rara/ (accessed on 3 July 2024).
- Hamilton, J.; Jones, I.; Srivastava, R.; Galloway, P. A new method for the measurement of lysosomal acid lipase in dried blood spots using the inhibitor Lalistat 2. Clin. Chim. Acta 2012, 413, 1207–1210. [Google Scholar] [CrossRef] [PubMed]
- Richards, S.; Aziz, N.; Bale, S.; Bick, D.; Das, S.; Gastier-Foster, J.; Grody, W.W.; Hegde, M.; Lyon, E.; Spector, E.; et al. Standards and guidelines for the interpretation of sequence variants: A joint consensus recommendation of the American College of Medical Genetics and Genomics and the Association for Molecular Pathology. Genet Med. 2015, 17, 405–424. [Google Scholar] [CrossRef] [PubMed]
- Tavtigian, S.V.; Harrison, S.M.; Boucher, K.M.; Biesecker, L.G. Fitting a naturally scaled point system to the ACMG/AMP variant classification guidelines. Hum. Mutat. 2020, 41, 1734–1737. [Google Scholar] [CrossRef] [PubMed]
- Paton, D.M. Sebelipase alfa: Enzymatic replacement treatment for lysosomal acid lipase deficiency. Drugs Today 2016, 52, 287. [Google Scholar] [CrossRef] [PubMed]
- Shirley, M. Sebelipase Alfa: First Global Approval. Drugs 2015, 75, 1935–1940. [Google Scholar] [CrossRef] [PubMed]
- Besler, K.J.; Blanchard, V.; Francis, G.A. Lysosomal acid lipase deficiency: A rare inherited dyslipidemia but potential ubiquitous factor in the development of atherosclerosis and fatty liver disease. Front. Genet. 2022, 13, 1013266. [Google Scholar] [CrossRef]
- Hoffman, E.P.; Barr, M.L.; Giovanni, M.A.; Murray, M.F. Lysosomal Acid Lipase Deficiency; GeneReviews®: Seattle, WA, USA, 1993. [Google Scholar]
- Landrum, M.J.; Lee, J.M.; Benson, M.; Brown, G.R.; Chao, C.; Chitipiralla, S.; Gu, B.; Hart, J.; Hoffman, D.; Jang, W.; et al. ClinVar: Improving access to variant interpretations and supporting evidence. Nucleic Acids Res. 2018, 46, D1062–D1067. [Google Scholar] [CrossRef] [PubMed]
- Frampton, J.E. Sebelipase Alfa: A Review in Lysosomal Acid Lipase Deficiency. Am. J. Cardiovasc. Drugs 2016, 16, 461–468. [Google Scholar] [CrossRef] [PubMed]
- Ambler, G.K.; Hoare, M.; Brais, R.; Shaw, A.; Butler, A.; Flynn, P.; Deegan, P.; Griffiths, W.J. Orthotopic Liver Transplantation in an Adult with Cholesterol Ester Storage Disease; Springer: Berlin/Heidelberg, Germany, 2012; pp. 41–46. [Google Scholar] [CrossRef]
- Sreekantam, S.; Nicklaus-Wollenteit, I.; Orr, J.; Sharif, K.; Vijay, S.; McKiernan, P.J.; Santra, S. Successful long-term outcome of liver transplantation in late-onset lysosomal acid lipase deficiency. Pediatr. Transplant. 2016, 20, 851–854. [Google Scholar] [CrossRef]
- Ramakrishna, S.H.; Kasala, M.B.; Perumal, K.; Malleeswaran, S.; Patcha, R.V.; Varghese, J. Living-Donor Liver Transplantation for Late-Onset Lysosomal Acid Lipase Deficiency. J. Clin. Exp. Hepatol. 2022, 12, 672–676. [Google Scholar] [CrossRef]
- Aguirre-Villarreal, D.; Servin-Rojas, M.; Sánchez-Cedillo, A.; Chávez-Villa, M.; Hernandez-Alejandro, R.; Arab, J.P.; Ruiz, I.; Avendaño-Castro, K.P.; Matamoros, M.A.; Adames-Almengor, E.; et al. Liver transplantation in Latin America: Reality and challenges. Lancet Reg. Health-Am. 2023, 28, 100633. [Google Scholar] [CrossRef]
- Rajkumar, V.; Dumpa, V. Lysosomal Storage Disease; StatPearls: St. Petersburg, FL, USA, 2024. [Google Scholar]
- Galgano, L.; Hutt, D. HSCT: How Does It Work? In The European Blood and Marrow Transplantation Textbook for Nurses: Under the Auspices of EBMT; Springer: Berlin/Heidelberg, Germany, 2018. [Google Scholar]
- Tolar, J.; Petryk, A.; Khan, K.; Bjoraker, K.J.; Jessurun, J.; Dolan, M.; Kivisto, T.; Charnas, L.; Shapiro, E.G.; Orchard, P.J. Long-term metabolic, endocrine, and neuropsychological outcome of hematopoietic cell transplantation for Wolman disease. Bone Marrow Transplant. 2009, 43, 21–27. [Google Scholar] [CrossRef]
- Stein, J.; Zion Garty, B.; Dror, Y.; Fenig, E.; Zeigler, M.; Yaniv, I. Successful treatment of Wolman disease by unrelated umbilical cord blood transplantation. Eur. J. Pediatr. 2007, 166, 663–666. [Google Scholar] [CrossRef]
- Jayakumar, I.; Gude, A.; Renangi, M.; Valliyappan, S.; Vellaichamy Swaminathan, V.; Meena, S.; Varla, H.; Chandar, R.; Uppuluri, R.; Raj, R. Successful matched unrelated donor hematopoietic stem cell transplantation for infantile Wolman disease. Pediatr. Hematol. Oncol. J. 2023, 8, 1–3. [Google Scholar] [CrossRef]
- Landrum, M.J.; Lee, J.M.; Benson, M.; Brown, G.; Chao, C.; Chitipiralla, S.; Gu, B.; Hart, J.; Hoffman, D.; Hoover, J.; et al. ClinVar: Public archive of interpretations of clinically relevant variants. Nucleic Acids Res. 2016, 44, D862–D868. [Google Scholar] [CrossRef] [PubMed]
- Scott, S.A.; Liu, B.; Nazarenko, I.; Martis, S.; Kozlitina, J.; Yang, Y.; Ramirez, C.; Kasai, Y.; Hyatt, T.; Peter, I.; et al. Frequency of the cholesteryl ester storage disease common LIPA E8SJM mutation (c.894G>A) in various racial and ethnic groups. Hepatology 2013, 58, 958–965. [Google Scholar] [CrossRef]
- Jackson, J.; Farajzadeh, J.; Turner, R.; Yukutake, K.; Baghdasaryan, E.; Denis, E.S.T.; Barseghyan, T.; Herrera, P.; Begaj, S.; Pietruszka, M.; et al. Prevalence of p.G87V and p.Gln298=Variations in LIPA Gene Within Middle Eastern Population Living Around Los Angeles. Genet. Test. Mol. Biomarkers 2023, 27, 319–324. [Google Scholar] [CrossRef] [PubMed]
- Chen, S.; Francioli, L.C.; Goodrich, J.K.; Collins, R.L.; Kanai, M.; Wang, Q.; Alföldi, J.; Watts, N.A.; Vittal, C.; Gauthier, L.D.; et al. A genomic mutational constraint map using variation in 76,156 human genomes. Nature 2023, 625, 92–100. [Google Scholar] [CrossRef]
- Naslavsky, M.S.; Scliar, M.O.; Yamamoto, G.L.; Wang, J.Y.T.; Zverinova, S.; Karp, T.; Nunes, K.; Ceroni, J.R.M.; de Carvalho, D.L.; Simões, C.E.d.S.; et al. Whole-genome sequencing of 1171 elderly admixed individuals from Brazil. Nat. Commun. 2022, 13, 1004. [Google Scholar] [CrossRef]
- Vinje, T.; Laerdahl, J.K.; Bjune, K.; Leren, T.P.; Strøm, T.B. Characterization of the mechanisms by which missense mutations in the lysosomal acid lipase gene disrupt enzymatic activity. Hum. Mol. Genet. 2019, 28, 3043–3052. [Google Scholar] [CrossRef]
- Ioannidis, N.M.; Rothstein, J.H.; Pejaver, V.; Middha, S.; McDonnell, S.K.; Baheti, S.; Musolf, A.; Li, Q.; Holzinger, E.; Karyadi, D.; et al. REVEL: An Ensemble Method for Predicting the Pathogenicity of Rare Missense Variants. Am. J. Hum. Genet. 2016, 99, 877–885. [Google Scholar] [CrossRef] [PubMed]
- Li, C.; Zhi, D.; Wang, K.; Liu, X. MetaRNN: Differentiating rare pathogenic and rare benign missense SNVs and InDels using deep learning. Genome Med. 2022, 14, 115. [Google Scholar] [CrossRef]
- Pejaver, V.; Urresti, J.; Lugo-Martinez, J.; Pagel, K.A.; Lin, G.N.; Nam, H.-J.; Mort, M.; Cooper, D.N.; Sebat, J.; Iakoucheva, L.M.; et al. Inferring the molecular and phenotypic impact of amino acid variants with MutPred2. Nat. Commun. 2020, 11, 5918. [Google Scholar] [CrossRef]
- Ionita-Laza, I.; McCallum, K.; Xu, B.; Buxbaum, J.D. A spectral approach integrating functional genomic annotations for coding and noncoding variants. Nat. Genet. 2016, 48, 214–220. [Google Scholar] [CrossRef]
- Rogers, M.F.; Shihab, H.A.; Mort, M.; Cooper, D.N.; Gaunt, T.R.; Campbell, C. FATHMM-XF: Accurate prediction of pathogenic point mutations via extended features. Bioinformatics 2017, 34, 511–513. [Google Scholar] [CrossRef] [PubMed]
- Vaser, R.; Adusumalli, S.; Leng, S.N.; Sikic, M.; Ng, P.C. SIFT missense predictions for genomes. Nat. Protoc. 2015, 11, 1–9. [Google Scholar] [CrossRef] [PubMed]



Disclaimer/Publisher’s Note: The statements, opinions and data contained in all publications are solely those of the individual author(s) and contributor(s) and not of MDPI and/or the editor(s). MDPI and/or the editor(s) disclaim responsibility for any injury to people or property resulting from any ideas, methods, instructions or products referred to in the content. |
© 2024 by the authors. Licensee MDPI, Basel, Switzerland. This article is an open access article distributed under the terms and conditions of the Creative Commons Attribution (CC BY) license (https://creativecommons.org/licenses/by/4.0/).
Share and Cite
Bastos, K.L.d.M.; Stephan, B.d.O.; Linnenkamp, B.D.W.; Costa, L.A.; Lima, F.R.; Carvalho, L.M.L.; Honjo, R.S.; Tannuri, U.; Tannuri, A.C.A.; Kim, C.A. Evaluation of 73 Enlisted Patients for Liver Transplant with Unknown Etiology Reveals a Late-Diagnosed Case of Lysosomal Acid Lipase Deficiency. Int. J. Mol. Sci. 2024, 25, 8648. https://doi.org/10.3390/ijms25168648
Bastos KLdM, Stephan BdO, Linnenkamp BDW, Costa LA, Lima FR, Carvalho LML, Honjo RS, Tannuri U, Tannuri ACA, Kim CA. Evaluation of 73 Enlisted Patients for Liver Transplant with Unknown Etiology Reveals a Late-Diagnosed Case of Lysosomal Acid Lipase Deficiency. International Journal of Molecular Sciences. 2024; 25(16):8648. https://doi.org/10.3390/ijms25168648
Chicago/Turabian StyleBastos, Karina Lucio de Medeiros, Bruno de Oliveira Stephan, Bianca Domit Werner Linnenkamp, Larissa Athayde Costa, Fabiana Roberto Lima, Laura Machado Lara Carvalho, Rachel Sayuri Honjo, Uenis Tannuri, Ana Cristina Aoun Tannuri, and Chong Ae Kim. 2024. "Evaluation of 73 Enlisted Patients for Liver Transplant with Unknown Etiology Reveals a Late-Diagnosed Case of Lysosomal Acid Lipase Deficiency" International Journal of Molecular Sciences 25, no. 16: 8648. https://doi.org/10.3390/ijms25168648
APA StyleBastos, K. L. d. M., Stephan, B. d. O., Linnenkamp, B. D. W., Costa, L. A., Lima, F. R., Carvalho, L. M. L., Honjo, R. S., Tannuri, U., Tannuri, A. C. A., & Kim, C. A. (2024). Evaluation of 73 Enlisted Patients for Liver Transplant with Unknown Etiology Reveals a Late-Diagnosed Case of Lysosomal Acid Lipase Deficiency. International Journal of Molecular Sciences, 25(16), 8648. https://doi.org/10.3390/ijms25168648

