Whole-Genome Resequencing Analysis of the Camelus bactrianus (Bactrian Camel) Genome Identifies Mutations and Genes Affecting Milk Production Traits
Abstract
1. Introduction
2. Results
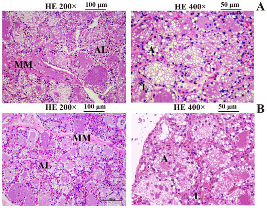
2.1. Differences between High- and Low-Yield Camels
2.2. Genome Sequencing, Mapping, and SNP Detection
2.3. Genome-Wide Selection Mapping Analysis
2.4. Functional Enrichment and Pathway Analysis
2.5. SNP Genotyping
2.6. Associations between the SNPs and Milk Production Yield
2.7. Associations between the SNPs and Milk Composition Percentages
3. Discussion
4. Methods
4.1. Animals and Management
4.2. Milk Yield and Composition Recording
4.3. Sample Collection
4.4. Sample Processing and Microscopic Observations
4.5. DNA Library Construction, Sequencing, Read Mapping, and Quality Control
4.6. Identification of Selective Sweep Detection of Candidate Gene
4.7. Signatures of Selection Annotation and Gene Functional Enrichment Analysis
4.8. SNP Genotyping and Association Analysis
5. Conclusions
Supplementary Materials
Author Contributions
Funding
Institutional Review Board Statement
Data Availability Statement
Acknowledgments
Conflicts of Interest
References
- Burger, P.A. The history of Old World camelids in the light of molecular genetics. Trop. Anim. Health Prod. 2016, 48, 905–913. [Google Scholar] [CrossRef] [PubMed]
- Xiao, Y.; Yi, L.; Ming, L.; He, J.; Ji, R. Changes in milk components, amino acids, and fatty acids of Bactrian camels in different lactation periods. Int. Dairy J. 2022, 131, 105363. [Google Scholar] [CrossRef]
- De Matos Reis, S.; Mendes, G.d.R.L.; Mesquita, B.M.A.d.C.; Lima, W.J.N.; Pinheiro, C.A.F.D.; Ruas, F.A.O.; Santos, G.L.M.; Brandi, I.V. Development of milk drink with whey fermented and acceptability by children and adolescents. J. Food Sci. Tech. 2021, 58, 2847–2852. [Google Scholar] [CrossRef] [PubMed]
- Inostroza, M.G.P.; Landi, V.; González, F.J.N.; Jurado, J.M.L.; Bermejo, J.V.D.; Álvarez, J.F.; Martínez, M.d.A.M. Integrating Casein Complex SNPs Additive, Dominance and Epistatic Effects on Genetic Parameters and Breeding Values Estimation for Murciano-Granadina Goat Milk Yield and Components. Genes 2020, 11, 309. [Google Scholar] [CrossRef] [PubMed]
- Ayalew, W.; Wu, X.; Tarekegn, G.M.; Sisay Tessema, T.; Naboulsi, R.; Van Damme, R.; Bongcam-Rudloff, E.; Edea, Z.; Chu, M.; Enquahone, S.; et al. Whole genome scan uncovers candidate genes related to milk production traits in Barka cattle. Int. J. Mol. Sci. 2024, 25, 6142. [Google Scholar] [CrossRef] [PubMed]
- Seifu, E. Recent advances on camel milk: Nutritional and health benefits and processing implications—A review. AIMS Agric. Food 2022, 7, 777–804. [Google Scholar] [CrossRef]
- Pauciullo, A.; Giambra, I.J.; Iannuzzi, L.; Erhardt, G. The β-casein in camels: Molecular characterization of the CSN2 gene, promoter analysis and genetic variability. Gene 2014, 547, 159–168. [Google Scholar] [CrossRef] [PubMed]
- Darwish, A.M.; Abdelhafez, M.A.; El-Metwaly, H.A.; Khim, J.S.; Allam, A.A.; Ajarem, J.S. Genetic divergence of two casein genes and correlated milk traits in Maghrebi camels. Biologia 2022, 77, 1889–1898. [Google Scholar] [CrossRef]
- Bahbahani, H.; Musa, H.H.; Wragg, D.; Almathen, F.; Hanotte, O. Genome diversity and signatures of selection for production and performance traits in dromedary camels. Front. Genet. 2019, 10, 448854. [Google Scholar] [CrossRef]
- Gubin, H.; Lixin, M.; Wusutiannan; Qimude; Lihushan; Liyi; Song, H.; Liang, M.; Hasi; Jirenduribu; et al. Genome wide association studies for milk nutrition traits in Gobi red Bactrian camel. J. Camel Pract. Res. 2023, 30, 273–282. [Google Scholar] [CrossRef]
- Yao, H.; Dou, Z.; Zhao, Z.; Liang, X.; Yue, H.; Ma, W.; Su, Z.; Wang, Y.; Hao, Z.; Yan, H.; et al. Transcriptome analysis of the Bactrian camel (Camelus bactrianus) reveals candidate genes affecting milk production traits. BMC Genom. 2023, 24, 660. [Google Scholar] [CrossRef] [PubMed]
- Almutairi, S.E.; Boujenane, I.; Musaad, A.; Awad-Acharari, F. Genetic and nongenetic effects for milk yield and growth traits in Saudi camels. Trop. Anim. Health Prod. 2010, 42, 1845–1853. [Google Scholar] [CrossRef] [PubMed]
- Ibeagha-Awemu, E.M.; Kgwatalala, P.; Ibeagha, A.E.; Zhao, X. A critical analysis of disease-associated DNA polymorphisms in the genes of cattle, goat, sheep, and pig. Mamm. Genome 2008, 19, 226–245. [Google Scholar] [CrossRef] [PubMed]
- Atigui, M.; Marnet, P.-G.; Harrabi, H.; Bessalah, S.; Khorchani, T.; Hammadi, M. Relationship between external and internal udder and teat measurements of machine milked dromedary camels. Trop. Anim. Health Prod. 2016, 48, 935–942. [Google Scholar] [CrossRef]
- Eisa, M.O.; Hassabo, A.A. Variations in milk yield and composition between fore and rear udder-halves in she-camel (Camelus dromedarius). Pak. J. Nutr. 2009, 8, 1868–1872. [Google Scholar] [CrossRef][Green Version]
- De Haas, Y.; Janss, L.L.; Kadarmideen, H.N. Genetic and phenotypic parameters for conformation and yield traits in three Swiss dairy cattle breeds. J. Anim. Breed. Genet. 2007, 124, 12–19. [Google Scholar] [CrossRef] [PubMed]
- Wasana, N.; Cho, G.; Park, S.; Kim, S.; Choi, J.; Park, B.; Park, C.; Do, C. Genetic relationship of productive life, production and type traits of Korean Holsteins at early lactations. Asian-Australas. J. Anim. Sci. 2015, 28, 1259–1265. [Google Scholar] [CrossRef]
- Alphonsus, C.; Akpa, G.N.; Oni, O.O.; Rekwot, P.I.; Barje, P.P.; Yashim, S.M. Relationship of Linear Conformation Traits with Bodyweight, Body Condition Score and Milk yield in Friesian × Bunaji Cows. J. Appl. Anim. Res. 2010, 38, 97–100. [Google Scholar] [CrossRef]
- Guzman, J.L.G.; Lázaro, S.F.; Nascimento, A.V.D.; Santos, D.J.d.A.; Cardoso, D.F.; Scalez, D.C.B.; de Albuquerque, L.G.; Lugo, N.A.H.; Tonhati, H. Genome-wide association study applied to type traits related to milk yield in water buffaloes (Bubalus bubalis). J. Dairy Sci. 2020, 103, 1642–1650. [Google Scholar] [CrossRef]
- Mingoas, K.J.P.; Awah-Ndukum, J.; Dakyang, H.; Zoli, P.A. Effects of body conformation and udder morphology on milk yield of zebu cows in North region of Cameroon. Vet. World 2017, 10, 901–905. [Google Scholar] [CrossRef][Green Version]
- Gorelik, O.; Galushina, P.; Knysh, I.; Bobkova, E.Y.; Grigoryants, I. Relationship between cow milk yield and milk quality indicators. In IOP Conference Series: Earth and Environmental Science; IOP Publishing: Bristol, UK, 2021; Volume 2021, p. 32013. [Google Scholar]
- Yoon, J.T.; Lee, J.H.; Kim, C.K.; Chung, Y.C.; Kim, C.-H. Effects of milk production, season, parity and lactation period on variations of milk urea nitrogen concentration and milk components of Holstein dairy cows. Asian-Australas. J. Anim. Sci. 2004, 17, 479–484. [Google Scholar] [CrossRef]
- Morton, J.M.; Auldist, M.J.; Douglas, M.L.; Macmillan, K.L. Associations between milk protein concentration, milk yield, and reproductive performance in dairy cows. J. Dairy Sci. 2016, 99, 10033–10043. [Google Scholar] [CrossRef]
- Huhtanen, P.; Rinne, M. Effects of increasing the milk yield of dairy cows on milk composition. J. Anim. Feed Sci. 2007, 16 (Suppl. S1), 42–58. [Google Scholar] [CrossRef]
- Yao, H.; Liang, X.; Dou, Z.; Zhao, Z.; Ma, W.; Hao, Z.; Yan, H.; Wang, Y.; Wu, Z.; Chen, G.; et al. Transcriptome analysis to identify candidate genes related to mammary gland development of Bactrian camel (Camelus bactrianus). Front. Vet. Sci. 2023, 10, 1196950. [Google Scholar] [CrossRef]
- Guo, L.; DaoLema, L.; Liu, B.; Dai, L.; Wang, X.; Wang, X.; Cao, J.; Zhang, W. Identification of milk-related genes and regulatory networks in Bactrian camel either supplemented or under grazing. Trop. Anim. Health Prod. 2023, 55, 342. [Google Scholar] [CrossRef]
- Rusidzé, M.; Adlanmérini, M.; Chantalat, E.; Raymond-Letron, I.; Cayre, S.; Arnal, J.-F.; Deugnier, M.-A.; Lenfant, F. Estrogen receptor-Îą signaling in post-natal mammary development and breast cancers. Cell. Mol. Life Sci. 2021, 78, 5681–5705. [Google Scholar] [CrossRef]
- Lollivier, V.; Guinard-Flament, J.; Ollivier-Bousquet, M.; Marnet, P.-G. Oxytocin and milk removal: Two important sources of variation in milk production and milk quality during and between milkings. Reprod. Nutr. Dev. 2002, 42, 173–186. [Google Scholar] [CrossRef]
- Li, C.; Cai, W.; Zhou, C.; Yin, H.; Zhang, Z.; Loor, J.J.; Sun, D.; Zhang, Q.; Liu, J.; Zhang, S. RNA-Seq reveals 10 novel promising candidate genes affecting milk protein concentration in the Chinese Holstein population. Sci. Rep. 2016, 6, 26813. [Google Scholar] [CrossRef]
- Williams, M.M.; Vaught, D.B.; Joly, M.M.; Hicks, D.J.; Sanchez, V.; Owens, P.; Rahman, B.; Elion, D.L.; Balko, J.M.; Cook, R.S. ErbB3 drives mammary epithelial survival and differentiation during pregnancy and lactation. Breast Cancer Res. 2017, 19, 105. [Google Scholar] [CrossRef]
- Anderson, S.M.; Rudolph, M.C.; McManaman, J.L.; Neville, M.C. Key stages in mammary gland development. Secretory activation in the mammary gland: It’s not just about milk protein synthesis! Breast Cancer Res. 2007, 9, 204. [Google Scholar] [CrossRef]
- Dettori, M.L.; Pazzola, M.; Pira, E.; Paschino, P.; Vacca, G.M. The sheep growth hormone gene polymorphism and its effects on milk traits. J. Dairy Res. 2015, 82, 169–176. [Google Scholar] [CrossRef]
- El-Komy, S.M.; Saleh, A.A.; Abdel-Hamid, T.M.; El-Magd, M.A. Association of GHR polymorphisms with milk production in buffaloes. Animals 2020, 10, 1203. [Google Scholar] [CrossRef]
- Raven, L.-A.; Cocks, B.G.; Goddard, M.E.; Pryce, J.E.; Hayes, B.J. Genetic variants in mammary development, prolactin signalling and involution pathways explain considerable variation in bovine milk production and milk composition. Genet. Sel. Evol. 2014, 46, 29. [Google Scholar] [CrossRef][Green Version]
- Mumtaz, P.T.; Bhat, B.; Ibeagha-Awemu, E.M.; Taban, Q.; Wang, M.; Dar, M.A.; Bhat, S.A.; Shabir, N.; Shah, R.A.; Ganie, N.A.; et al. Mammary epithelial cell transcriptome reveals potential roles of lncRNAs in regulating milk synthesis pathways in Jersey and Kashmiri cattle. BMC Genom. 2022, 23, 176. [Google Scholar] [CrossRef]
- Kim, J.; Lee, J.-E.; Lee, J.-S.; Park, J.-S.; Moon, J.-O.; Lee, H.-G. Phenylalanine and valine differentially stimulate milk protein synthetic and energy-mediated pathway in immortalized bovine mammary epithelial cells. J. Anim. Sci. Technol. 2020, 62, 263–275. [Google Scholar] [CrossRef]
- Du, A.; Zhao, F.; Liu, Y.; Xu, L.; Chen, K.; Sun, D.; Han, B. Genetic polymorphisms of PKLR gene and their associations with milk production traits in Chinese Holstein cows. Front. Genet. 2022, 13, 1002706. [Google Scholar] [CrossRef]
- Martin, P.; Szymanowska, M.; Zwierzchowski, L.; Leroux, C. The impact of genetic polymorphisms on the protein composition of ruminant milks. Reprod. Nutr. Dev. 2002, 42, 433–459. [Google Scholar] [CrossRef]
- Li, Y.; Han, B.; Liu, L.; Zhao, F.; Liang, W.; Jiang, J.; Yang, Y.; Ma, Z.; Sun, D. Genetic association of DDIT 3, RPL 23A, SESN 2 and NR 4A1 genes with milk yield and composition in dairy cattle. Anim. Genet. 2019, 50, 123–135. [Google Scholar] [CrossRef]
- Su, Z.; Tsaih, S.W.; Szatkiewicz, J.; Shen, Y.; Paigen, B. Candidate genes for plasma triglyceride, FFA, and glucose revealed from an intercross between inbred mouse strains NZB/B1NJ and NZW/LacJ. J. Lipid Res. 2008, 49, 1500–1510. [Google Scholar] [CrossRef]
- Moradian, H.; Esmailizadeh Koshkoiyeh, A.; Mohammadabadi, M.; Asadi Fozi, M. Whole genome detection of recent selection signatures in Sarabi cattle: A unique Iranian taurine breed. Genes Genom. 2020, 42, 203–215. [Google Scholar] [CrossRef]
- He, H.-Y.; Liu, L.-L.; Chen, B.; Xiao, H.-X.; Liu, W.-J. Study on lactation performance and development of KASP marker for milk traits in Xinjiang donkey (Equus asinus). Anim. Biotechnol. 2023, 34, 2724–2735. [Google Scholar] [CrossRef] [PubMed]
- Roarty, K.; Shore, A.N.; Creighton, C.J.; Rosen, J.M. Ror2 regulates branching, differentiation, and actin-cytoskeletal dynamics within the mammary epithelium. J. Cell Biol. 2015, 208, 351–366. [Google Scholar] [CrossRef] [PubMed]
- Howard, B.A. The role of NRG3 in mammary development. J. Mammary Gland Biol. Neoplasia 2008, 13, 195–203. [Google Scholar] [CrossRef] [PubMed]
- Szewczuk, M. The Association of Four Polymorphisms within the Insulin-Like Growth Factor 1 Receptor Gene with Milk Production Traits in Simmental Cows. Ann. Anim. Sci. 2016, 16, 1029–1044. [Google Scholar] [CrossRef]
- Zhang, Z.; Xiao, Q.; Zhang, Q.-Q.; Sun, H.; Chen, J.-C.; Li, Z.-C.; Xue, M.; Ma, P.-P.; Yang, H.-J.; Xu, N.-Y.; et al. Genomic analysis reveals genes affecting distinct phenotypes among different Chinese and western pig breeds. Sci. Rep. 2018, 8, 13352. [Google Scholar] [CrossRef] [PubMed]
- Alex, P.; Kanakkaparambil, R.; Gopalakrishnan, R.; Ramasamy, C.; Thazhathuveettil, A. The effect of insulin-like growth factor 1 receptor gene single nucleotide polymorphism on growth and milk production traits in two native Indian tropical goat breeds. Anim. Biotechnol. 2023, 34, 4828–4836. [Google Scholar] [CrossRef]
- Ma, B.; Wang, X.; Zhang, R.; Niu, S.; Rong, Z.; Ni, L.; Di, X.; Han, Q.; Liu, C. Cigarette smoke extract stimulates PCSK9 production in HepG2 cells via ROS/NF-kappa B signaling. Mol. Med. Rep. 2021, 23, 331. [Google Scholar] [CrossRef] [PubMed]
- Kostrzewska-Poczekaj, M.; Bednarek, K.; Jarmuz-Szymczak, M.; Bodnar, M.; Filas, V.; Marszalek, A.; Bartochowska, A.; Grenman, R.; Kiwerska, K.; Szyfter, K.; et al. Copy number gains of the putative CRKL oncogene in laryngeal squamous cell carcinoma result in strong nuclear expression of the protein and influence cell proliferation and migration. Sci. Rep. 2020, 10, 24. [Google Scholar] [CrossRef]
- Johnson, K.D.; Boyer, M.E.; Kang, J.-A.; Wickrema, A.; Cantor, A.B.; Bresnick, E.H. Friend of GATA-1–independent transcriptional repression: A novel mode of GATA-1 function. Blood 2007, 109, 5230–5233. [Google Scholar] [CrossRef]
- Xu, B.Y.; Batonon-Alavo, D.I.; Mercier, Y.; Rouffineau, F.; Ma, L.B.; Zhang, N.Y.; Sun, L. 716 Maternal supplementation of DL-Met or OH-Met above the requirement in total sulfur amino acids benefits to neonatal growth of piglets. J. Anim. Sci. 2017, 95 (Suppl. S4), 348–349. [Google Scholar] [CrossRef]
- Ataç, F.; Gevrekçi, Y.; Takma, Ç.; Akkaya, F.; Yılmaz, M.C.; Ayyılmaz, T.; Yegenoglu, D. Bioinformatical evaluation of PPARA and PPARG candidate genes for milk quality characteristics in Turkish Saanen goats. J. Agric. Fac. Gaziosmanpa Univ. (JAFAG) 2022, 39, 77–84. [Google Scholar] [CrossRef]
- Sun, T.; Huang, G.-Y.; Wang, Z.-H.; Teng, S.-H.; Cao, Y.-H.; Sun, J.-L.; Hanif, Q.; Chen, N.-B.; Lei, C.-Z.; Liao, Y.-Y. Selection signatures of Fuzhong Buffalo based on whole-genome sequences. BMC Genom. 2020, 21, 674. [Google Scholar] [CrossRef]
- Amandykova, M.; Dossybayev, K.; Mussayeva, A.; Bekmanov, B.; Saitou, N. Comparative analysis of the polymorphism of the casein genes in camels bred in Kazakhstan. Diversity 2022, 14, 285. [Google Scholar] [CrossRef]
- Yao, H.; Liu, M.; Ma, W.; Yue, H.; Su, Z.; Song, R.; Ma, Q.; Li, L.; Wu, Z.; Ma, Y.; et al. Prevalence and pathology of Cephalopina titillator infestation in Camelus bactrianus from Xinjiang, China. BMC Vet. Res. 2022, 18, 360. [Google Scholar] [CrossRef]
- Lindgreen, S. AdapterRemoval: Easy cleaning of next-generation sequencing reads. BMC Res. Notes 2012, 5, 337. [Google Scholar] [CrossRef]
- Li, H.; Durbin, R. Fast and accurate short read alignment with Burrows–Wheeler transform. Bioinformatics 2009, 25, 1754–1760. [Google Scholar] [CrossRef] [PubMed]
- McKenna, A.; Hanna, M.; Banks, E.; Sivachenko, A.; Cibulskis, K.; Kernytsky, A.; Garimella, K.; Altshuler, D.; Gabriel, S.; Daly, M.; et al. The Genome Analysis Toolkit: A MapReduce framework for analyzing next-generation DNA sequencing data. Genome Res. 2010, 20, 1297–1303. [Google Scholar] [CrossRef] [PubMed]
- Akey, J.M.; Zhang, G.; Zhang, K.; Jin, L.; Shriver, M.D. Interrogating a high-density SNP map for signatures of natural selection. Genome Res. 2002, 12, 1805–1814. [Google Scholar] [CrossRef] [PubMed]
- Jin, M.; Lu, J.; Fei, X.; Lu, Z.; Quan, K.; Liu, Y.; Chu, M.; Di, R.; Wang, H.; Wei, C. Genetic signatures of selection for cashmere traits in Chinese goats. Animals 2020, 10, 1905. [Google Scholar] [CrossRef]
- Axelsson, E.; Ratnakumar, A.; Arendt, M.-L.; Maqbool, K.; Webster, M.T.; Perloski, M.; Liberg, O.; Arnemo, J.M.; Hedhammar, A.; Lindblad-Toh, K. The genomic signature of dog domestication reveals adaptation to a starch-rich diet. Nature 2013, 495, 360–364. [Google Scholar] [CrossRef]
- Gabriel, S.; Ziaugra, L.; Tabbaa, D. SNP genotyping using the Sequenom MassARRAY iPLEX platform. Curr. Protoc. Hum. Genet. 2009, 60, 2–12. [Google Scholar] [CrossRef] [PubMed]
- Padrón, M.; Milhes, M.; Delcamp, A.; Guichoux, E. Identification of SNP markers for population genetics studies of the Mediterranean gorgonian, Leptogorgia sarmentosa. Conserv. Genet. Resour. 2021, 13, 379–381. [Google Scholar] [CrossRef]
- Bakshi, D.; Nagpal, A.; Sharma, V.; Sharma, I.; Kumar, R. MassARRAY-based single nucleotide polymorphism analysis in breast cancer of north Indian Population. BMC Cancer 2020, 20, 861. [Google Scholar] [CrossRef] [PubMed]









| Milk Traits | High-Yielding Camels | Low-Yielding Camels | p-Value | Sign. | ||||
|---|---|---|---|---|---|---|---|---|
| H1–H12 | L1–L12 | |||||||
| Mean ± SD | Maximum | Minimum | Mean ± SD | Maximum | Minimum | |||
| 300-day milk yield (kg) | 904.83 ± 57.80 | 983.68 | 827.16 | 520.14 ± 59.05 | 587.35 | 435.31 | p < 0.001 | *** |
| Fats (g/100 g) | 5.16 ± 0.51 | 5.77 | 4.23 | 6.21 ± 0.59 | 6.99 | 5.31 | p < 0.01 | ** |
| Solids non-fat (g/100 g) | 8.91 ± 0.37 | 9.34 | 8.05 | 9.10 ± 0.45 | 10.0 | 8.51 | 0.287 | NS |
| Protein (g/100 g) | 3.59 ± 0.22 | 3.84 | 3.14 | 3.93 ± 0.27 | 4.21 | 3.38 | p < 0.01 | ** |
| Ash specification (g/100 g) | 0.72 ± 0.03 | 0.77 | 0.66 | 0.74 ± 0.03 | 0.80 | 0.70 | 0.186 | NS |
| Lactase (g/100 g) | 4.65 ± 0.20 | 5.00 | 4.31 | 4.74 ± 0.17 | 5.15 | 4.55 | 0.228 | NS |
| SNP_ID | Region | Gene | Full Name | Mutation Type | Genotype Frequency | Daily Average Milk Yield (kg) |
|---|---|---|---|---|---|---|
| 17_2476351 | exon | NR4A1 | Nuclear receptor 4 group A1 | GG * | 0.52 | 3.12 ± 1.23 a |
| TT | 0.48 | 2.81 ± 1.17 b | ||||
| 56_11964679 | exon | ADCY8 | Adenylate Cyclase 8 | CC | 0.82 | 2.93 ± 1.17 b |
| CT | 0.16 | 2.97 ± 1.27 b | ||||
| TT * | 0.02 | 4.63 ± 1.28 a | ||||
| 7_2434270 | exon | ROR2 | Receptor tyrosine kinase-like orphan receptor 2 | AA | 0.26 | 2.77 ± 1.13 a |
| TA | 0.44 | 2.92 ± 1.21 ab | ||||
| TT * | 0.30 | 3.20 ± 1.25 b | ||||
| 14_2441931_15_2441956#2 | exon | NRG3 | Neuregulin 3 | CC * | 0.76 | 3.03 ± 1.23 a |
| TC | 0.08 | 2.36 ± 0.89 b | ||||
| TT | 0.16 | 2.95 ± 1.19 ab | ||||
| 69_3052315 | exon | IGF1R | Insulin-like Growth Factor-I Receptor | CC | 0.76 | 2.89 ± 1.21 ab |
| TC * | 0.23 | 3.22 ± 1.23 a | ||||
| TT | 0.01 | 2.81 ± 0.89 b | ||||
| NW_011516269_1.40371020 | exon | Unknown | Unknown | CC * | 0.37 | 3.09 ± 1.17 a |
| TC | 0.12 | 2.63 ± 1.05 ab | ||||
| TT | 0.51 | 2.60 ± 1.10 b | ||||
| NW_011516269_1.40373887 | exon | Unknown | Unknown | GG | 0.51 | 2.60 ± 1.10 a |
| GT | 0.36 | 2.88 ± 1.21 ab | ||||
| TT * | 0.13 | 3.24 ± 0.95 b | ||||
| NW_011544898_1.7434465 | exon | Unknown | Unknown | CC | 0.06 | 2.07 ± 0.80 a |
| TC | 0.35 | 2.73 ± 1.20 ab | ||||
| TT * | 0.58 | 2.90 ± 1.11 b | ||||
| NW_011514566_1.392885 | exon | PCSK9 | Preprotein transferase enzyme subtilin lysin 9 | AA * | 0.36 | 3.05 ± 3.05 a |
| AG | 0.48 | 2.70 ± 2.70 ab | ||||
| GG | 0.16 | 2.46 ± 2.46 b | ||||
| NW_011511178_1.2476130 | exon | CRKL | CRK like proto-oncogene, adaptor protein | GG | 0.23 | 2.47 ± 0.91 a |
| GT * | 0.49 | 2.96 ± 1.21 b | ||||
| TT | 0.28 | 2.72 ± 1.07 ab | ||||
| NW_011515666_1.146942 | exon | LOC105075649 | LOC105075649 | AA | 0.16 | 2.73 ± 1.19 ab |
| AG * | 0.43 | 3.05 ± 1.13 a | ||||
| GG | 0.41 | 2.54 ± 1.10 b | ||||
| NW_011516269_1.40374976 | exon | Unknown | Unknown | CC | 0.51 | 2.60 ± 1.12 a |
| CG | 0.36 | 2.89 ± 1.19 ab | ||||
| GG * | 0.13 | 3.27 ± 0.97 b | ||||
| NW_011516269_1.40370698 | exon | Unknown | Unknown | AA * | 0.13 | 3.24 ± 0.95 a |
| GA | 0.36 | 2.87 ± 1.22 ab | ||||
| GG | 0.51 | 2.63 ± 1.15 b |
| SNP ID | Region | Gene | Full Name | Mutation Type | Genotype Frequency | Milk Fat (g/100 g) | Milk Protein (g/100 g) |
|---|---|---|---|---|---|---|---|
| 55_11961771 | exon | ADCY8 | Adenylate cyclase 8 | AA | 0.47 | 5.48 ± 0.29 | 3.74 ± 0.14 a |
| GA | 0.43 | 5.40 ± 0.25 | 3.73 ± 0.12 a | ||||
| GG * | 0.10 | 5.49 ± 0.28 | 3.94 ± 0.19 b | ||||
| 25_7878112_26_7878118.2#2 | exon | TMEM44 | Transmembrane protein 44 | CC * | 0.86 | 5.50 ± 0.28 a | 3.83 ± 0.11 |
| TC | 0.02 | 5.40 ± 0.32 ab | 3.75 ± 0.20 | ||||
| TT | 0.12 | 5.37 ± 0.25 b | 3.69 ± 0.14 | ||||
| 62_3736867 | exon | DMD | Dystrophin | AA | 0.61 | 5.49 ± 0.29 | 3.74 ± 0.19 a |
| AG | 0.34 | 5.45 ± 0.28 | 3.73 ± 0.14 a | ||||
| GG * | 0.05 | 5.57 ± 0.28 | 3.90 ± 0.22 b | ||||
| 65_22885502 | exon | PPARG | Peroxisome proliferator activated receptor gamma | GA | 0.03 | 5.40 ± 0.27 | 3.73 ± 0.13 a |
| GG * | 0.97 | 5.48 ± 0.27 | 3.90 ± 0.58 b | ||||
| 14_2441931_15_2441956.1#1 | exon | ROR2 | Receptor tyrosine kinase like orphan receptor 2 | GC | 0.09 | 5.36 ± 0.29 a | 3.69 ± 0.12 a |
| GG * | 0.91 | 5.50 ± 0.25 b | 3.74 ± 0.20 b | ||||
| CSN2_2126 | Promoter | CSN2 | β-casein | GG | 0.44 | 5.44 ± 0.42 b | 3.61 ± 0.24 b |
| GA | 0.39 | 5.31 ± 0.53 b | 3.59 ± 0.29 b | ||||
| AA * | 0.17 | 5.86 ± 0.37 a | 3.94 ± 0.31 a | ||||
| CSN2_4109 | Intron | CSN2 | β-casein | GG * | 0.45 | 5.79 ± 0.28 a | 4.05 ± 0.27 a |
| GT | 0.37 | 5.25 ± 0.35 b | 3.57 ± 0.24 b | ||||
| TT | 0.28 | 5.34 ± 0.41 ab | 3.63 ± 0.32 ab | ||||
| CSN2_4321 | Intron | CSN2 | β-casein | GG * | 0.09 | 5.84 ± 0.21 a | 3.97 ± 0.27 a |
| GT | 0.38 | 5.29 ± 0.59 b | 3.58 ± 0.28 b | ||||
| TT | 0.53 | 5.28 ± 0.57 b | 3.47 ± 0.30 b | ||||
| CSN2_5901 | Intron | CSN2 | β-casein | AA * | 0.16 | 5.77 ± 0.35 a | 3.88 ± 0.26 a |
| AG | 0.38 | 5.24 ± 0.42 b | 3.56 ± 0.33 b | ||||
| GG | 0.46 | 5.26 ± 0.49 b | 3.48 ± 0.29 b | ||||
| CSN2_8312 | Intron | CSN2 | β-casein | GG | 0.13 | 5.19 ± 0.52 b | 3.41 ± 0.37 b |
| GA | 0.42 | 5.25 ± 0.47 b | 3.52 ± 0.36 b | ||||
| AA * | 0.44 | 5.76 ± 0.32 a | 3.93 ± 0.34 a | ||||
| CSN3_1033 | Intron | CSN3 | κ-casein | CC | 0.42 | 5.34 ± 0.24 b | 3.49 ± 0.26 b |
| CA | 0.43 | 5.22 ± 0.30 b | 3.42 ± 0.31 b | ||||
| AA * | 0.15 | 5.82 ± 0.32 a | 3.89 ± 0.35 a | ||||
| CSN3_1229 | Intron | CSN3 | κ-casein | GG * | 0.23 | 5.83 ± 0.43 a | 3.96 ± 0.37 a |
| GT | 0.26 | 5.26 ± 0.27 b | 3.40 ± 0.28 b | ||||
| TT | 0.51 | 5.32 ± 0.38 b | 3.42 ± 0.36 b | ||||
| NW_011509967_1.3155241 | exon | CDH7 | Cadherin 7 | AA | 0.33 | 5.38 ± 0.24 | 3.65 ± 0.18 a |
| GA * | 0.43 | 5.49 ± 0.29 | 3.73 ± 0.19 b | ||||
| GG | 0.27 | 5.41 ± 0.25 | 3.64 ± 0.17 a | ||||
| NW_011514566_1.392885 | exon | PCSK9 | Proprotein convertase subtilisin/kexin type 9 | AA | 0.36 | 5.38 ± 0.26 a | 3.66 ± 0.19 |
| AG | 0.48 | 5.45 ± 0.26 ab | 3.68 ± 0.18 | ||||
| GG * | 0.16 | 5.55 ± 0.28 b | 3.72 ± 0.18 | ||||
| NW_011515224.1. 967735 | exon | PHLPP1 | PH domain and leucine rich repeat protein phosphatase 1 | GG | 0.23 | 5.43 ± 0.24 | 3.69 ± 0.19 a |
| GT | 0.51 | 5.41 ± 0.25 | 3.64 ± 0.16 b | ||||
| TT * | 0.26 | 5.52 ± 0.27 | 3.74 ± 0.21 a | ||||
| NW_011515666_1.146942 | exon | LOC105075649 | LOC105075649 | AA | 0.16 | 5.43 ± 0.27 ab | 3.67 ± 0.19 |
| AG | 0.41 | 5.37 ± 0.22 a | 3.63 ± 0.15 | ||||
| GG * | 0.43 | 5.52 ± 0.30 b | 3.71 ± 0.19 | ||||
| NW_011514566_1.406545 | exon | PCSK9 | Proprotein convertase subtilisin/kexin type 9 | CC * | 0.15 | 5.53 ± 0.28 a | 3.71 ± 0.18 |
| CT | 0.47 | 5.46 ± 0.26 ab | 3.68 ± 0.18 | ||||
| TT | 0.38 | 5.39 ± 0.26 b | 3.66 ± 0.19 | ||||
| NW_011509967_1.3169781 | exon | CDH7 | Cadherin 7 | AA | 0.35 | 5.44 ± 0.26 | 3.66 ± 0.18 ab |
| GA * | 0.44 | 5.46 ± 0.28 | 3.72 ± 0.19 a | ||||
| GG | 0.21 | 5.42 ± 0.25 | 3.64 ± 0.17 b |
Disclaimer/Publisher’s Note: The statements, opinions and data contained in all publications are solely those of the individual author(s) and contributor(s) and not of MDPI and/or the editor(s). MDPI and/or the editor(s) disclaim responsibility for any injury to people or property resulting from any ideas, methods, instructions or products referred to in the content. |
© 2024 by the authors. Licensee MDPI, Basel, Switzerland. This article is an open access article distributed under the terms and conditions of the Creative Commons Attribution (CC BY) license (https://creativecommons.org/licenses/by/4.0/).
Share and Cite
Yao, H.; Pan, Z.; Ma, W.; Zhao, Z.; Su, Z.; Yang, J. Whole-Genome Resequencing Analysis of the Camelus bactrianus (Bactrian Camel) Genome Identifies Mutations and Genes Affecting Milk Production Traits. Int. J. Mol. Sci. 2024, 25, 7836. https://doi.org/10.3390/ijms25147836
Yao H, Pan Z, Ma W, Zhao Z, Su Z, Yang J. Whole-Genome Resequencing Analysis of the Camelus bactrianus (Bactrian Camel) Genome Identifies Mutations and Genes Affecting Milk Production Traits. International Journal of Molecular Sciences. 2024; 25(14):7836. https://doi.org/10.3390/ijms25147836
Chicago/Turabian StyleYao, Huaibing, Zhangyuan Pan, Wanpeng Ma, Zhongkai Zhao, Zhanqiang Su, and Jie Yang. 2024. "Whole-Genome Resequencing Analysis of the Camelus bactrianus (Bactrian Camel) Genome Identifies Mutations and Genes Affecting Milk Production Traits" International Journal of Molecular Sciences 25, no. 14: 7836. https://doi.org/10.3390/ijms25147836
APA StyleYao, H., Pan, Z., Ma, W., Zhao, Z., Su, Z., & Yang, J. (2024). Whole-Genome Resequencing Analysis of the Camelus bactrianus (Bactrian Camel) Genome Identifies Mutations and Genes Affecting Milk Production Traits. International Journal of Molecular Sciences, 25(14), 7836. https://doi.org/10.3390/ijms25147836

