The Combined Immunohistochemical Expression of GLI1 and BCOR in Synovial Sarcomas for the Identification of Three Risk Groups and Their Prognostic Outcomes: A Study of 52 Patients
Abstract
1. Introduction
2. Results
2.1. Clinical Findings
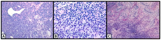
2.2. Histopathological Findings
2.3. Immunohistochemical Findings
2.4. Molecular Analysis
2.5. Statistical Study
3. Discussion
4. Materials and Methods
4.1. Patients and Samples
4.2. Histopathology
4.3. Assembly of Tissue Microarrays (TMAs)
4.4. Immunohistochemistry
4.5. Fluorescence In Situ Hybridization (FISH)
4.6. Statistical Analysis
Supplementary Materials
Author Contributions
Funding
Institutional Review Board Statement
Informed Consent Statement
Data Availability Statement
Conflicts of Interest
References
- Suurmeijer, A.J.H.; Ladanyi, M.; Nielsen, T.O. Synovial sarcoma. In WHO Classification of Tumours of Soft Tissue and Bone, 5th ed.; WHO Classification of Tumours Editorial Board, Ed.; IARC Press: Lyon, France, 2020; pp. 290–293. [Google Scholar]
- Sultan, I.; Rodriguez-Galindo, C.; Saab, R.; Yasir, S.; Casanova, M.; Ferrari, A. Comparing children and adults with synovial sarcoma in the Surveillance, Epidemiology, and End Results program, 1983 to 2005: An analysis of 1268 patients. Cancer 2009, 115, 3537–3547. [Google Scholar] [CrossRef] [PubMed]
- De Logu, F.; Ugolini, F.; Caporalini, C.; Palomba, A.; Simi, S.; Portelli, F.; Campanacci, D.A.; Beltrami, G.; Massi, D.; Nassini, R. TRPA1 Expression in Synovial Sarcoma May Support Neural Origin. Biomolecules 2020, 10, 1446. [Google Scholar] [CrossRef] [PubMed]
- Chen, H.; Zhang, S.; Wen, J.C.; Zheng, J.-K.; Chen, Q.; Li, W.-Y.; Wang, P.-P.; Ma, L.; Huang, T.-H.; Huang, G.; et al. Several types of soft tissue sarcomas originate from the malignant transformation of adipose tissue-derived stem cells. Mol. Med. Rep. 2010, 3, 441–448. [Google Scholar] [PubMed]
- Pelmus, M.; Guillou, L.; Hostein, I.; Sierankowski, G.; Lussan, C.; Coindre, J.-M. Monophasic fibrous and poorly differentiated synovial sarcoma: Immunohistochemical reassessment of 60 t(X;18)(SYT-SSX)-positive cases. Am. J. Surg. Pathol. 2002, 26, 1434–1440. [Google Scholar] [CrossRef] [PubMed]
- Parrack, P.H.; Mariño-Enríquez, A.; Fletcher, C.D.M.; Hornick, J.L.; Papke, D.J.J. GLI1 Immunohistochemistry Distinguishes Mesenchymal Neoplasms with GLI1 Alterations from Morphologic Mimics. Am. J. Surg. Pathol. 2023, 47, 453–460. [Google Scholar] [CrossRef] [PubMed]
- Machado, I.; Agaimy, A.; Giner, F.; Navarro, S.; Michal, M.; Bridge, J.; Claramunt, R.; López-Guerrero, J.A.; Alcacer, J.; Linos, K.; et al. The value of GLI1 and p16 immunohistochemistry in the premolecular screening for GLI1-altered mesenchymal neoplasms. Virchows Arch. 2024, 484, 765–775. [Google Scholar] [CrossRef] [PubMed]
- Stein, U.; Eder, C.; Karsten, U.; Haensch, W.; Walther, W.; Schlag, P.M. GLI gene expression in bone and soft tissue sarcomas of adult patients correlates with tumor grade. Cancer Res. 1999, 59, 1890–1895. [Google Scholar] [PubMed]
- Kao, Y.C.; Sung, Y.S.; Zhang, L.; Jungbluth, A.A.; Huang, S.-C.; Argani, P.; Agaram, N.P.M.; Zin, A.; Alaggio, R.; Antonescu, C.R. BCOR overexpression is a highly sensitive marker in round cell sarcomas with BCOR genetic abnormalities. Am. J. Surg. Pathol. 2016, 40, 1670–1678. [Google Scholar] [CrossRef]
- Matsuyama, A.; Shiba, E.; Umekita, Y.; Nosaka, K.; Kamio, T.; Yanai, H.; Miyasaka, C.; Watanabe, R.; Ito, I.; Tamaki, T.; et al. Clinicopathologic diversity of undifferentiated sarcoma with BCOR-CCNB3 fusion: Analysis of 11 cases with a reappraisal of the utility of immunohistochemistry for BCOR and CCNB3. Am. J. Surg. Pathol. 2017, 41, 1713–1721. [Google Scholar] [CrossRef] [PubMed]
- Foo, W.C.; Cruise, M.W.; Wick, M.R.; Hornick, J.L. Immunohistochemical staining for TLE1 distinguishes synovial sarcoma from histologic mimics. Am. J. Clin. Pathol. 2011, 135, 839–844. [Google Scholar] [CrossRef]
- Li, Y.; Zhang, X.; Wang, A.; Ding, S.; Li, Y.; Wang, H.; Lv, Y.; Shi, H. Transducer-like enhancer of split 1 (TLE1) as a novel biomarker for diagnosis of synovial sarcoma correlates with translocation t(X;18): A study of 155 cases in China. Int. J. Clin. Exp. Pathol. 2019, 12, 251–258. [Google Scholar]
- Guillou, L.; Coindre, J.; Gallagher, G.; Terrier, P.; Gebhard, S.; Somerhausen, N.D.S.A.; Michels, J.-J.; Jundt, G.; Vince, D.R.; Collin, F.; et al. Detection of the synovial sarcoma translocation t(X;18) (SYT;SSX) in paraffin-embedded tissues using reverse transcriptase-polymerase chain reaction: A reliable and powerful diagnostic tool for pathologists. A molecular analysis of 221 mesenchymal tumors fixed in different fixatives. Hum. Pathol. 2001, 32, 105–112. [Google Scholar] [CrossRef] [PubMed]
- Panagopoulos, I.; Mertens, F.; Isaksson, M.; Limon, J.; Gustafson, P.; Skytting, B.; Åkerman, M.; Sciot, R.; Cin, P.D.; Samson, I.; et al. Clinical impact of molecular and cytogenetic findings in synovial sarcoma. Genes Chromosomes Cancer 2001, 31, 362–372. [Google Scholar] [CrossRef] [PubMed]
- Baranov, E.; McBride, M.J.; Bellizzi, A.M.; Ligon, A.H.; Fletcher, C.D.M.; Kadoch, C.; Hornick, J.L. A Novel SS18-SSX Fusion-specific Antibody for the Diagnosis of Synovial Sarcoma. Am. J. Surg. Pathol. 2020, 44, 922–933. [Google Scholar] [CrossRef]
- Tay, T.K.Y.; Sukma, N.B.; Lim, T.H.; Kuick, C.H.; Goh, J.Y.; Chang, K.T.E. Correlating SS18-SSX immunohistochemistry (IHC) with SS18 fluorescent in situ hybridization (FISH) in synovial sarcomas: A study of 36 cases. Virchows Arch. 2021, 479, 785–793. [Google Scholar] [CrossRef] [PubMed]
- Orlando, G.; Santoro, F.; Linari, A.; Tampieri, C.; di Cantogno, L.V.; De Meo, S.; Ratto, N.; Grignani, G.; Papotti, M.; Senetta, R. SS18-SSX Antibody: A Useful Tool to Save Time and Reduce Costs in Synovial Sarcoma Diagnosis. Proposal of a Novel Diagnostic Algorithm. J. Histochem. Cytochem. 2023, 71, 377–385. [Google Scholar] [CrossRef] [PubMed]
- Zaborowski, M.; Vargas, A.C.; Pulvers, J.; Clarkson, A.; de Guzman, D.; Sioson, L.; Maclean, F.; Chou, A.; Gill, A.J. When used together SS18-SSX fusion-specific and SSX C-terminus immunohistochemistry are highly specific and sensitive for the diagnosis of synovial sarcoma and can replace FISH or molecular testing in most cases. Histopathology 2020, 77, 588–600. [Google Scholar] [CrossRef] [PubMed]
- Cyra, M.; Schulte, M.; Berthold, R.; Heinst, L.; Jansen, E.-P.; Grünewald, I.; Elges, S.; Larsson, O.; Schliemann, C.; Steinestel, K.; et al. SS18-SSX drives CREB activation in synovial sarcoma. Cell. Oncol. 2022, 45, 399–413. [Google Scholar] [CrossRef] [PubMed]
- Malik, T.H.; Von Stechow, D.; Bronson, R.T.; Shivdasani, R.A. Deletion of the GATA domain of TRPS1 causes an absence of facial hair and provides new insights into the bone disorder in inherited tricho-rhino-phalangeal syndromes. Mol. Cell. Biol. 2002, 22, 8592–8600. [Google Scholar] [CrossRef] [PubMed]
- Suemoto, H.; Muragaki, Y.; Nishioka, K.; Sato, M.; Ooshima, A.; Itoh, S.; Hatamura, I.; Ozaki, M.; Braun, A.; Gustafsson, E.; et al. Trps1 regulates proliferation and apoptosis of chondrocytes through Stat3 signaling. Dev. Biol. 2007, 312, 572–581. [Google Scholar] [CrossRef]
- Gai, Z.; Zhou, G.; Itoh, S.; Morimoto, Y.; Tanishima, H.; Hatamura, I.; Uetani, K.; Ito, M.; Muragaki, Y. Trps1 functions downstream of Bmp7 in kidney development. J. Am. Soc. Nephrol. 2009, 20, 2403–2411. [Google Scholar] [CrossRef] [PubMed]
- Cornelissen, L.M.; Drenth, A.P.; van der Burg, E.; de Bruijn, R.; Pritchard, C.E.; Huijbers, I.J.; Zwart, W.; Jonkers, J. TRPS1 acts as a context-dependent regulator of mammary epithelial cell growth/differentiation and breast cancer development. Genes Dev. 2020, 34, 179–193. [Google Scholar] [CrossRef] [PubMed]
- Cloutier, J.M.; Ingram, D.R.; Wani, K.; Lazar, A.J.; Wang, W.-L. Frequent TRPS1 expression in synovial sarcoma is associated with SS18-SSX fusion oncoprotein activity. Hum. Pathol. 2022, 130, 88–94. [Google Scholar] [CrossRef] [PubMed]
- Gazendam, A.M.; Popovic, S.; Munir, S.; Parasu, N.; Wilson, D.; Ghert, M. Synovial Sarcoma: A Clinical Review. Curr. Oncol. 2021, 28, 1909–1920. [Google Scholar] [CrossRef] [PubMed]
- Sacchetti, F.; Alsina, A.C.; Muratori, F.; Scoccianti, G.; Neri, E.; Kaya, H.; Sabah, D.; Capanna, R.; Campanacci, D.A. Tumor size and surgical margins are important prognostic factors of synovial sarcoma—A retrospective study. J. Orthop. 2023, 42, 74–79. [Google Scholar] [CrossRef] [PubMed]
- Vlenterie, M.; Litière, S.; Rizzo, E.; Marréaud, S.; Judson, I.; Gelderblom, H.; Le Cesne, A.; Wardelmann, E.; Messiou, C.; Gronchi, A.; et al. Outcome of chemotherapy in advanced synovial sarcoma patients: Review of 15 clinical trials from the European Organisation for Research and Treatment of Cancer Soft Tissue and Bone Sarcoma Group; setting a new landmark for studies in this entity. Eur. J. Cancer 2016, 58, 62–72. [Google Scholar] [CrossRef] [PubMed]
- Tansir, G.; Rastogi, S.; Kumar, A.; Barwad, A.; Mridha, A.R.; Dhamija, E.; Shamim, S.A.; Bhatnagar, S.; Bhoriwal, S. A phase II study of gemcitabine and docetaxel combination in relapsed metastatic or unresectable locally advanced synovial sarcoma. BMC Cancer 2023, 23, 639. [Google Scholar] [CrossRef] [PubMed]
- Watanabe, S.; Shimomura, A.; Kubo, T.; Sekimizu, M.; Seo, T.; Watanabe, S.-I.; Kawai, A.; Yamamoto, N.; Tamura, K.; Kohno, T.; et al. BRAF V600E mutation is a potential therapeutic target for a small subset of synovial sarcoma. Mod. Pathol. 2020, 33, 1660–1668. [Google Scholar] [CrossRef] [PubMed]
- Ai, D.; Yao, J.; Yang, F.; Huo, L.; Chen, H.; Lu, W.; Soto, L.M.S.; Jiang, M.; Raso, M.G.; Wang, S.; et al. TRPS1: A highly sensitive and specific marker for breast carcinoma, especially for triple-negative breast cancer. Mod. Pathol. 2021, 34, 710–719. [Google Scholar] [CrossRef]
- Shibuya, R.; Matsuyama, A.; Nakamoto, M.; Shiba, E.; Kasai, T.; Hisaoka, M. The combination of CD99 and NKX2.2, a transcriptional target of EWSR1-FLI1, is highly specific for the diagnosis of Ewing sarcoma. Virchows Arch. 2014, 465, 599–605. [Google Scholar] [CrossRef]
- Hung, Y.P.; Fletcher, C.D.; Hornick, J.L. Evaluation of NKX2-2 expression in round cell sarcomas and other tumors with EWSR1 rearrangement: Imperfect specificity for Ewing sarcoma. Mod. Pathol. 2016, 29, 370–380. [Google Scholar] [CrossRef]
- Saeed, S.M.; Hassan, U.; Hussain, M.; Mushtaq, S.; Ishtiaq, S. Expression of NKX2.2 in Non-Ewing Tumors with Round Cell Morphology. Cureus 2023, 15, e50704. [Google Scholar] [CrossRef] [PubMed]
- Oda, Y.; Sakamoto, A.; Satio, T.; Kawauchi, S.; Iwamoto, Y.; Tsuneyoshi, M. Molecular abnormalities of p53, MDM2, and H-ras in synovial sarcoma. Mod. Pathol. 2000, 13, 994–1004. [Google Scholar] [CrossRef] [PubMed]
- Nakagawa, Y.; Numoto, K.; Yoshida, A.; Kunisada, T.; Ohata, H.; Takeda, K.; Wai, D.; Poremba, C.; Ozaki, T. Chromosomal and genetic imbalances in synovial sarcoma detected by conventional and microarray comparative genomic hybridization. J. Cancer Res. Clin. Oncol. 2006, 132, 444–450. [Google Scholar] [CrossRef] [PubMed]
- Ito, M.; Barys, L.; O’Reilly, T.; Young, S.; Gorbatcheva, B.; Monahan, J.; Zumstein-Mecker, S.; Choong, P.F.; Dickinson, I.; Crowe, P.; et al. Comprehensive mapping of p53 pathway alterations reveals an apparent role for both SNP309 and MDM2 amplification in sarcomagenesis. Clin. Cancer Res. 2011, 17, 416–426. [Google Scholar] [CrossRef]
- Di Mauro, I.; Mescam-Mancini, L.; Chetaille, B.; Lae, M.; Pierron, G.; Dadone-Montaudie, B.; Bazin, A.; Bouvier, C.; Michiels, J.-F.; Pedeutour, F. MDM2 amplification and fusion gene ss18-ssx in a poorly differentiated synovial sarcoma: A rare but puzzling conjunction. Neoplasia 2020, 22, 311–321. [Google Scholar] [CrossRef] [PubMed]
- Larque, A.B.; Lozano-Calderon, S.; Cote, G.M.; Chen, Y.-L.; Hung, Y.P.; Deshpande, V.; Nielsen, G.P.; Chebib, I. Multivariate evaluation of prognostic markers in synovial sarcoma. J. Clin. Pathol. 2022, 77, 16–21. [Google Scholar] [CrossRef]
- Cocchi, S.; Gambarotti, M.; Gamberi, G.; Magagnoli, G.; Maioli, M.; Stevanin, M.; Samperi, F.; Righi, A.; Benini, S. The utility of FISH analysis in the diagnosis of BCOR-rearranged sarcomas. Pathol. Res. Pract. 2024, 255, 155209. [Google Scholar] [CrossRef] [PubMed]
- Baranwal, A.; Gurney, M.; Basmaci, R.; Katamesh, B.; He, R.; Viswanatha, D.S.; Greipp, P.; Foran, J.; Badar, T.; Murthy, H.; et al. Genetic landscape and clinical outcomes of patients with BCOR mutated myeloid neoplasms. Haematologica 2024, 109, 1779. [Google Scholar] [CrossRef]
- Patel, H.V.; Joshi, J.S.; Shah, F.D. A clinicopathological exploration of Hedgehog signaling: Implications in oral carcinogenesis. J. Cancer Res. Clin. Oncol. 2023, 149, 16525–16535. [Google Scholar] [CrossRef]
- Vecchiotti, D.; Verzella, D.; Di Vito Nolfi, M.; D’andrea, D.; Flati, I.; Di Francesco, B.; Cornice, J.; Alesse, E.; Capece, D.; Zazzeroni, F. Elevated NF-κB/SHh/GLI1 Signature Denotes a Worse Prognosis and Represent a Novel Potential Therapeutic Target in Advanced Prostate Cancer. Cells 2022, 11, 2118. [Google Scholar] [CrossRef]
- Li, K.; Sun, S.; Lu, Y.; Liang, W.; Xu, X.; Zhang, H.; Chang, Z.; Wang, C.; Gao, Y.; Chen, L. MT1M regulates gastric cancer progression and stemness by modulating the Hedgehog pathway protein GLI1. Biochem. Biophys. Res. Commun. 2023, 670, 63–72. [Google Scholar] [CrossRef]
- Li, Y.X.; Ding, S.S.; Wen, W.J.; Han, L.; Wang, H.-Q.; Shi, H.-Y. Impact of the Activation Status of the Akt/mTOR Signalling Pathway on the Clinical Behaviour of Synovial Sarcoma: Retrospective Analysis of 174 Patients at a Single Institution. Cancer Manag. Res. 2020, 12, 1759–1769. [Google Scholar] [CrossRef] [PubMed]
- Briski, L.M.; Thomas, D.G.; Patel, R.M.; Lawlor, E.R.; Chugh, R.; McHugh, J.B.; Lucas, D.R. Canonical Wnt/β-catenin signaling activation in soft-tissue sarcomas: A comparative study of synovial sarcoma and leiomyosarcoma. Rare Tumors 2018, 10, 2036361318813431. [Google Scholar] [CrossRef] [PubMed]
- Kubo, T.; Shimose, S.; Fujimori, J.; Furuta, T.; Ochi, M. Prognostic value of SS18-SSX fusion type in synovial sarcoma; systematic review and meta-analysis. Springerplus 2015, 4, 375. [Google Scholar] [CrossRef] [PubMed]
- Canter, R.J.; Qin, L.X.; Maki, R.G.; Brennan, M.F.; Ladanyi, M.; Singer, S. A synovial sarcoma-specific preoperative nomogram supports a survival benefit to ifosfamide-based chemotherapy and improves risk stratification for patients. Clin. Cancer Res. 2008, 14, 8191–8197. [Google Scholar] [CrossRef]





| Parameter | Value |
|---|---|
| Age (years) (n = 52) | |
| Mean | 40.33 |
| Median (range) | 40.5 (9–82) |
| Sex (n = 52) | |
| F | 19 (36.54%) |
| M | 33 (63.46%) |
| Location (n = 50) | |
| Limbs | 27 (54.00%) |
| Trunk and head | 23 (46.00%) |
| Size (cm) (n = 22) | |
| Mean | 9.11 |
| Median (range) | 9 (0.8–20.00) |
| PFS (months) (n = 44) | |
| Mean | 55.3 |
| Median (range) | 33 (1–240) |
| OS (months) (n = 52) | |
| Mean | 79.55 |
| Median (range) | 50 (2–336) |
| Stage (n = 41) | |
| II | 23 (56.10%) |
| III | 10 (24.40%) |
| IV | 8 (19.50%) |
| Histology (n = 52) | |
| Monophasic | 32 (61.54%) |
| Biphasic | 13 (25.00%) |
| Undifferentiated | 7 (13.46%) |
| Neoadjuvant therapy (n = 43) | |
| No | 33 (76.74%) |
| Yes | 10 (23.26%) |
| Surgical margins (n = 43) | |
| Free | 26 (60.46%) |
| Affected | 14 (32.56%) |
| Unresectable | 3 (6.98%) |
| Local recurrence (n = 52) | |
| No | 35 (67.31%) |
| Yes | 17 (32.69%) |
| Metastasis (n = 52) | |
| No | 29 (55.77%) |
| Yes | 23 (44.23%) |
| Exitus by SS (n = 42) | |
| No | 23 (54.76%) |
| Yes | 19 (45.24%) |
| Antibody | Value |
|---|---|
| Ki67 (n = 42) | |
| 0–10% | 23 (55%) |
| 11–20% | 8 (19%) |
| >20% | 11 (26%) |
| BCOR (n = 52) | |
| Negative | 23 (44.23%) |
| Focal | 11 (21.15%) |
| Positive | 18 (34.62%) |
| p53 (n = 50) | |
| Negative | 11 (22%) |
| Focal | 15 (30%) |
| Positive | 24 (48%) |
| GLI1 (n = 51) | |
| Negative | 25 (49.02%) |
| Focal | 20 (39.22%) |
| Positive | 6 (11.76%) |
| p16 (n = 51) | |
| Negative | 32 (62.75%) |
| Focal | 11 (21.57%) |
| Positive | 8 (15.69%) |
| CD117 (n = 50) | |
| Negative | 29 (58%) |
| Focal | 19 (38%) |
| Positive | 2 (4%) |
Disclaimer/Publisher’s Note: The statements, opinions and data contained in all publications are solely those of the individual author(s) and contributor(s) and not of MDPI and/or the editor(s). MDPI and/or the editor(s) disclaim responsibility for any injury to people or property resulting from any ideas, methods, instructions or products referred to in the content. |
© 2024 by the authors. Licensee MDPI, Basel, Switzerland. This article is an open access article distributed under the terms and conditions of the Creative Commons Attribution (CC BY) license (https://creativecommons.org/licenses/by/4.0/).
Share and Cite
Giner, F.; Medina-Ceballos, E.; López-Reig, R.; Machado, I.; López-Guerrero, J.A.; Navarro, S.; Rubio-Martínez, L.A.; Espino, M.; Mayordomo-Aranda, E.; Llombart-Bosch, A. The Combined Immunohistochemical Expression of GLI1 and BCOR in Synovial Sarcomas for the Identification of Three Risk Groups and Their Prognostic Outcomes: A Study of 52 Patients. Int. J. Mol. Sci. 2024, 25, 7615. https://doi.org/10.3390/ijms25147615
Giner F, Medina-Ceballos E, López-Reig R, Machado I, López-Guerrero JA, Navarro S, Rubio-Martínez LA, Espino M, Mayordomo-Aranda E, Llombart-Bosch A. The Combined Immunohistochemical Expression of GLI1 and BCOR in Synovial Sarcomas for the Identification of Three Risk Groups and Their Prognostic Outcomes: A Study of 52 Patients. International Journal of Molecular Sciences. 2024; 25(14):7615. https://doi.org/10.3390/ijms25147615
Chicago/Turabian StyleGiner, Francisco, Emilio Medina-Ceballos, Raquel López-Reig, Isidro Machado, José Antonio López-Guerrero, Samuel Navarro, Luis Alberto Rubio-Martínez, Mónica Espino, Empar Mayordomo-Aranda, and Antonio Llombart-Bosch. 2024. "The Combined Immunohistochemical Expression of GLI1 and BCOR in Synovial Sarcomas for the Identification of Three Risk Groups and Their Prognostic Outcomes: A Study of 52 Patients" International Journal of Molecular Sciences 25, no. 14: 7615. https://doi.org/10.3390/ijms25147615
APA StyleGiner, F., Medina-Ceballos, E., López-Reig, R., Machado, I., López-Guerrero, J. A., Navarro, S., Rubio-Martínez, L. A., Espino, M., Mayordomo-Aranda, E., & Llombart-Bosch, A. (2024). The Combined Immunohistochemical Expression of GLI1 and BCOR in Synovial Sarcomas for the Identification of Three Risk Groups and Their Prognostic Outcomes: A Study of 52 Patients. International Journal of Molecular Sciences, 25(14), 7615. https://doi.org/10.3390/ijms25147615

