Near-Complete Response to Osimertinib for Advanced Non-Small-Cell Lung Cancer in a Pretreated Patient Bearing Rare Compound Exon 20 Mutation (S768I + V774M): A Case Report
Abstract
1. Introduction
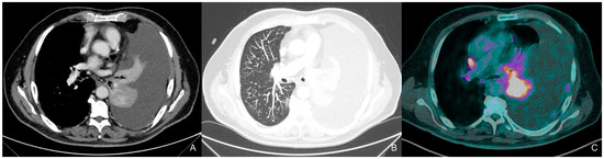
2. Case Description
3. Discussion and Literature Review
4. Conclusions
Supplementary Materials
Author Contributions
Funding
Institutional Review Board Statement
Informed Consent Statement
Data Availability Statement
Conflicts of Interest
References
- Soria, J.-C.; Ohe, Y.; Vansteenkiste, J.; Reungwetwattana, T.; Chewaskulyong, B.; Lee, K.H.; Dechaphunkul, A.; Imamura, F.; Nogami, N.; Kurata, T.; et al. Osimertinib in Untreated EGFR-Mutated Advanced Non–Small-Cell Lung Cancer. N. Engl. J. Med. 2018, 378, 113–125. [Google Scholar] [CrossRef] [PubMed]
- Planchard, D.; Jänne, P.A.; Cheng, Y.; Yang, J.C.-H.; Yanagitani, N.; Kim, S.-W.; Sugawara, S.; Yu, Y.; Fan, Y.; Geater, S.L.; et al. Osimertinib with or without Chemotherapy in EGFR -Mutated Advanced NSCLC. N. Engl. J. Med. 2023, 389, 1935–1948. [Google Scholar] [CrossRef] [PubMed]
- Yang, J.C.-H.; Schuler, M.; Popat, S.; Miura, S.; Heeke, S.; Park, K.; Märten, A.; Kim, E.S. Afatinib for the Treatment of NSCLC Harboring Uncommon EGFR Mutations: A Database of 693 Cases. J. Thorac. Oncol. 2020, 15, 803–815. [Google Scholar] [CrossRef] [PubMed]
- Jiang, Y.; Fang, X.; Xiang, Y.; Fang, T.; Liu, J.; Lu, K. Afatinib for the Treatment of NSCLC with Uncommon EGFR Mutations: A Narrative Review. Curr. Oncol. 2023, 30, 5337–5349. [Google Scholar] [CrossRef] [PubMed]
- Wang, C.; Zhao, K.; Hu, S.; Dong, W.; Gong, Y.; Xie, C. Clinical Outcomes of Afatinib Versus Osimertinib in Patients with Non-Small Cell Lung Cancer with Uncommon EGFR Mutations: A Pooled Analysis. Oncologist 2023, 28, e397–e405. [Google Scholar] [CrossRef]
- Bar, J.; Peled, N.; Schokrpur, S.; Wolner, M.; Rotem, O.; Girard, N.; Nana, F.A.; Derijcke, S.; Kian, W.; Patel, S.; et al. UNcommon EGFR Mutations: International Case Series on Efficacy of Osimertinib in Real-Life Practice in First-LiNe Setting (UNICORN). J. Thorac. Oncol. 2022, 18, 169–180. [Google Scholar] [CrossRef] [PubMed]
- Ramalingam, S.S.; Vansteenkiste, J.; Planchard, D.; Cho, B.C.; Gray, J.E.; Ohe, Y.; Zhou, C.; Reungwetwattana, T.; Cheng, Y.; Chewaskulyong, B.; et al. Overall Survival with Osimertinib in Untreated, EGFR-Mutated Advanced NSCLC. N. Engl. J. Med. 2020, 382, 41–50. [Google Scholar] [CrossRef] [PubMed]
- Keam, B.; Kim, D.-W.; Park, J.H.; Lee, J.-O.; Kim, T.M.; Lee, S.-H.; Chung, D.H.; Heo, D.S. Rare and complex mutations of epidermal growth factor receptor, and efficacy of tyrosine kinase inhibitor in patients with non-small cell lung cancer. Int. J. Clin. Oncol. 2013, 19, 594–600. [Google Scholar] [CrossRef] [PubMed]
- Kobayashi, S.; Canepa, H.M.; Bailey, A.S.; Nakayama, S.; Yamaguchi, N.; Goldstein, M.A.; Huberman, M.S.; Costa, D.B. Compound EGFR Mutations and Response to EGFR Tyrosine Kinase Inhibitors. J. Thorac. Oncol. 2013, 8, 118–122. [Google Scholar] [CrossRef]
- Wu, J.; Shih, J.; Yang, C.; Chen, K.; Ho, C.; Yu, C.; Yang, P. Second-line treatments after first-line gefitinib therapy in advanced nonsmall cell lung cancer. Int. J. Cancer 2009, 126, 247–255. [Google Scholar] [CrossRef]
- Huang, S.-F.; Chang, J.; Hou, M.-M.; Hsieh, J.-J.; Cheung, Y.-C.; Wang, H.-M.; Chen, J.-S.; Wang, C.-H.; Chen, C.-H.; Yeh, K.-Y.; et al. Early radiographic response to epidermal growth factor receptor-tyrosine kinase inhibitor in non-small cell lung cancer patients with epidermal growth factor receptor mutations: A prospective study. Biomed. J. 2015, 38, 221–228. [Google Scholar] [CrossRef] [PubMed]
- Peng, L.; Song, Z.-G.; Jiao, S.-C. Efficacy analysis of tyrosine kinase inhibitors on rare non-small cell lung cancer patients harboring complex EGFR mutations. Sci. Rep. 2014, 4, 6104. [Google Scholar] [CrossRef] [PubMed]
- Wu, J.-Y.; Wu, S.-G.; Yang, C.-H.; Gow, C.-H.; Chang, Y.-L.; Yu, C.-J.; Shih, J.-Y.; Yang, P.-C. Lung Cancer with Epidermal Growth Factor Receptor Exon 20 Mutations Is Associated with Poor Gefitinib Treatment Response. Clin. Cancer Res. 2008, 14, 4877–4882. [Google Scholar] [CrossRef] [PubMed]
- Pallan, L.; Taniere, P.; Koh, P. Rare EGFR Exon 20 S768I Mutation Predicts Resistance to Targeted Therapy: A Report of Two Cases. J. Thorac. Oncol. 2014, 9, e75. [Google Scholar] [CrossRef] [PubMed]
- Hellmann, M.D.; Reva, B.; Yu, H.; Rusch, V.W.; Rizvi, N.A.; Kris, M.G.; Arcila, M.E. Clinical and in vivo Evidence that EGFR S768I Mutant Lung Adenocarcinomas Are Sensitive to Erlotinib. J. Thorac. Oncol. 2014, 9, e73–e74. [Google Scholar] [CrossRef] [PubMed]
- Chen, Y.-R.; Fu, Y.-N.; Lin, C.-H.; Yang, S.-T.; Hu, S.-F.; Chen, Y.-T.; Tsai, S.-F.; Huang, S.-F. Distinctive activation patterns in constitutively active and gefitinib-sensitive EGFR mutants. Oncogene 2005, 25, 1205–1215. [Google Scholar] [CrossRef] [PubMed]
- Kancha, R.K.; von Bubnoff, N.; Peschel, C.; Duyster, J. Functional Analysis of Epidermal Growth Factor Receptor (EGFR) Mutations and Potential Implications for EGFR Targeted Therapy. Clin. Cancer Res. 2009, 15, 460–467. [Google Scholar] [CrossRef] [PubMed]
- Kohsaka, S.; Nagano, M.; Ueno, T.; Suehara, Y.; Hayashi, T.; Shimada, N.; Takahashi, K.; Suzuki, K.; Takamochi, K.; Takahashi, F.; et al. A method of high-throughput functional evaluation of EGFR gene variants of unknown significance in cancer. Sci. Transl. Med. 2017, 9, eaan6566. [Google Scholar] [CrossRef]
- Robichaux, J.P.; Le, X.; Vijayan, R.S.K.; Hicks, J.K.; Heeke, S.; Elamin, Y.Y.; Lin, H.Y.; Udagawa, H.; Skoulidis, F.; Tran, H.; et al. Structure-based classification predicts drug response in EGFR-mutant NSCLC. Nature 2021, 597, 732–737. [Google Scholar] [CrossRef]
- Cho, J.H.; Lim, S.H.; An, H.J.; Kim, K.H.; Park, K.U.; Kang, E.J.; Choi, Y.H.; Ahn, M.S.; Lee, M.H.; Sun, J.-M.; et al. Osimertinib for Patients with Non-Small-Cell Lung Cancer Harboring Uncommon EGFR Mutations: A Multicenter, Open-Label, Phase II Trial (KCSG-LU15-09). J. Clin. Oncol. 2020, 38, 488–495. [Google Scholar] [CrossRef]
- Park, K.; Haura, E.B.; Leighl, N.B.; Mitchell, P.; Shu, C.A.; Girard, N.; Viteri, S.; Han, J.-Y.; Kim, S.-W.; Lee, C.K.; et al. Amivantamab in EGFR Exon 20 Insertion–Mutated Non-Small-Cell Lung Cancer Progressing on Platinum Chemotherapy: Initial Results from the CHRYSALIS Phase I Study. J. Clin. Oncol. 2021, 39, 3391–3402. [Google Scholar] [CrossRef] [PubMed]
- Zhou, C.; Ramalingam, S.S.; Kim, T.M.; Kim, S.-W.; Yang, J.C.-H.; Riely, G.J.; Mekhail, T.; Nguyen, D.; Campelo, M.R.G.; Felip, E.; et al. Treatment Outcomes and Safety of Mobocertinib in Platinum-Pretreated Patients with EGFR Exon 20 Insertion–Positive Metastatic Non-Small Cell Lung Cancer. JAMA Oncol. 2021, 7, e214761. [Google Scholar] [CrossRef] [PubMed]
- Banna, G.L.; Camerini, A.; Bronte, G.; Anile, G.; Addeo, A.; Rundo, F.; Zanghì, G.; Lal, R.; Libra, M. Oral Metronomic Vinorelbine in Advanced Non-small Cell Lung Cancer Patients Unfit for Chemotherapy. Anticancer Res. 2018, 38, 3689–3697. [Google Scholar] [CrossRef] [PubMed]
- Yang, J.C.-H.; Sequist, L.V.; Geater, S.L.; Tsai, C.-M.; Mok, T.S.K.; Schuler, M.; Yamamoto, N.; Yu, C.-J.; Ou, S.-H.I.; Zhou, C.; et al. Clinical activity of afatinib in patients with advanced non-small-cell lung cancer harbouring uncommon EGFR mutations: A combined post-hoc analysis of LUX-Lung 2, LUX-Lung 3, and LUX-Lung 6. Lancet Oncol. 2015, 16, 830–838. [Google Scholar] [CrossRef] [PubMed]
- Santos, F.N.; de Castria, T.B.; Cruz, M.R.; Riera, R. Chemotherapy for advanced non-small cell lung cancer in the elderly population. Cochrane Database Syst. Rev. 2015, 2019, CD010463. [Google Scholar] [CrossRef]
- Bronte, G.; Rolfo, C.; Passiglia, F.; Rizzo, S.; Gil-Bazo, I.; Fiorentino, E.; Cajozzo, M.; Van Meerbeeck, J.P.; Lequaglie, C.; Santini, D.; et al. What can platinum offer yet in the treatment of PS2 NSCLC patients? A systematic review and meta-analysis. Crit. Rev. Oncol. 2015, 95, 306–317. [Google Scholar] [CrossRef]
- Eide, I.J.Z.; Stensgaard, S.; Helland, Å.; Ekman, S.; Mellemgaard, A.; Hansen, K.H.; Cicenas, S.; Koivunen, J.; Grønberg, B.H.; Sørensen, B.S.; et al. Osimertinib in non-small cell lung cancer with uncommon EGFR-mutations: A post-hoc subgroup analysis with pooled data from two phase II clinical trials. Transl. Lung Cancer Res. 2022, 11, 953–963. [Google Scholar] [CrossRef] [PubMed]
- Castañeda-González, J.P.; Chaves, J.J.; Parra-Medina, R. Multiple mutations in the EGFR gene in lung cancer: A systematic review. Transl. Lung Cancer Res. 2022, 11, 2148–2163. [Google Scholar] [CrossRef] [PubMed]
- Tam, I.Y.-S.; Leung, E.L.-H.; Tin, V.P.-C.; Chua, D.T.-T.; Sihoe, A.D.-L.; Cheng, L.-C.; Chung, L.-P.; Wong, M.P. Double EGFR mutants containing rare EGFR mutant types show reduced in vitro response to gefitinib compared with common activating missense mutations. Mol. Cancer Ther. 2009, 8, 2142–2151. [Google Scholar] [CrossRef]
- Kimura, S.; Tanaka, K.; Harada, T.; Liu, R.; Shibahara, D.; Kawano, Y.; Nakanishi, Y.; Okamoto, I. Sensitivity of epidermal growth factor receptor with single or double uncommon mutations to afatinib confirmed by a visual assay. Cancer Sci. 2018, 109, 3657–3661. [Google Scholar] [CrossRef]
- Grigoriu, B.; Berghmans, T.; Meert, A.-P. Management of EGFR mutated nonsmall cell lung carcinoma patients. Eur. Respir. J. 2015, 45, 1132–1141. [Google Scholar] [CrossRef] [PubMed]
- Leonetti, A.; Sharma, S.; Minari, R.; Perego, P.; Giovannetti, E.; Tiseo, M. Resistance mechanisms to osimertinib in EGFR-mutated non-small cell lung cancer. Br. J. Cancer 2019, 121, 725–737. [Google Scholar] [CrossRef] [PubMed]
- John, T.; Taylor, A.; Wang, H.; Eichinger, C.; Freeman, C.; Ahn, M.-J. Uncommon EGFR mutations in non-small-cell lung cancer: A systematic literature review of prevalence and clinical outcomes. Cancer Epidemiol. 2022, 76, 102080. [Google Scholar] [CrossRef]
- Xu, C.; Wang, W.-X.; Fang, M.; Zhuang, W.; Lin, G.; Chen, X.-H.; Zhu, Y.-C.; Du, K.-Q.; Huang, Y.-J.; Xu, H.-P.; et al. Clinical efficacy of icotinib in patients with advanced non-small cell lung cancer harboring EGFR exon 18, 20 and 21 uncommon mutations. J. Clin. Oncol. 2017, 35, e14050. [Google Scholar] [CrossRef]
- Chen, L.; Shih, J.; Yu, C.; Yang, C. A rare epidermal growth factor receptor H773L/V774M compound mutation in advanced non-small-cell lung cancer with poor response to epidermal growth factor receptor tyrosine kinase inhibitor. Respirol. Case Rep. 2019, 7, e00425. [Google Scholar] [CrossRef]
- Abramson, J.; Adler, J.; Dunger, J.; Evans, R.; Green, T.; Pritzel, A.; Ronneberger, O.; Willmore, L.; Ballard, A.J.; Bambrick, J.; et al. Accurate structure prediction of biomolecular interactions with AlphaFold 3. Nature 2024, 630, 493–500. [Google Scholar] [CrossRef]
- Kashima, K.; Kawauchi, H.; Tanimura, H.; Tachibana, Y.; Chiba, T.; Torizawa, T.; Sakamoto, H. CH7233163 Overcomes Osimertinib-Resistant EGFR-Del19/T790M/C797S Mutation. Mol. Cancer Ther. 2020, 19, 2288–2297. [Google Scholar] [CrossRef] [PubMed]
- Salentin, S.; Schreiber, S.; Haupt, V.J.; Adasme, M.F.; Schroeder, M. PLIP: Fully automated protein–ligand interaction profiler. Nucleic Acids Res. 2015, 43, W443–W447. [Google Scholar] [CrossRef]



| Article Reference | Article Type | N of Cases | EGFR Mutation | TKI | Line of Therapy | ORR (%) | PFS (months) |
|---|---|---|---|---|---|---|---|
| J. C.-H. Yang et al. [24] | Post hoc analysis of clinical trials (LUX-Lung 2, 3 and 6) | 75 | S768I +/− G719X or L858A (n = 8) | Afatinib | Any | 100% | 14.7 (95% CI 2.6-NE) |
| C. Xu et al. [34] | Retrospective study | 99 | S768I (n = NR) | Icotinib | Not reported | 25% | 2.0 (95% CI NR) |
| J. H. Cho et al. [20] | Prospective study | 37 | S768I +/− G719X (n = 8) | Osimertinib | Any | 38% | 12.3 (95% CI 0–28.8) |
| I. J. Z. Eide et al. [27] | Post hoc subgroup analysis | 21 | G719X compound mutation with either S768I or L861Q (n = 8) | Osimertinib | Any | 62.5% | 13.7 (95% CI NR) |
Disclaimer/Publisher’s Note: The statements, opinions and data contained in all publications are solely those of the individual author(s) and contributor(s) and not of MDPI and/or the editor(s). MDPI and/or the editor(s) disclaim responsibility for any injury to people or property resulting from any ideas, methods, instructions or products referred to in the content. |
© 2024 by the authors. Licensee MDPI, Basel, Switzerland. This article is an open access article distributed under the terms and conditions of the Creative Commons Attribution (CC BY) license (https://creativecommons.org/licenses/by/4.0/).
Share and Cite
Cosi, D.M.; Fragale, C.; Magri, C.; Carnevale, A.; Ciancetta, A.; Guidoboni, M.; Negrini, M.; Bronte, G.; Calabrò, L. Near-Complete Response to Osimertinib for Advanced Non-Small-Cell Lung Cancer in a Pretreated Patient Bearing Rare Compound Exon 20 Mutation (S768I + V774M): A Case Report. Int. J. Mol. Sci. 2024, 25, 7508. https://doi.org/10.3390/ijms25147508
Cosi DM, Fragale C, Magri C, Carnevale A, Ciancetta A, Guidoboni M, Negrini M, Bronte G, Calabrò L. Near-Complete Response to Osimertinib for Advanced Non-Small-Cell Lung Cancer in a Pretreated Patient Bearing Rare Compound Exon 20 Mutation (S768I + V774M): A Case Report. International Journal of Molecular Sciences. 2024; 25(14):7508. https://doi.org/10.3390/ijms25147508
Chicago/Turabian StyleCosi, Donato Michele, Cristina Fragale, Chiara Magri, Aldo Carnevale, Antonella Ciancetta, Massimo Guidoboni, Massimo Negrini, Giuseppe Bronte, and Luana Calabrò. 2024. "Near-Complete Response to Osimertinib for Advanced Non-Small-Cell Lung Cancer in a Pretreated Patient Bearing Rare Compound Exon 20 Mutation (S768I + V774M): A Case Report" International Journal of Molecular Sciences 25, no. 14: 7508. https://doi.org/10.3390/ijms25147508
APA StyleCosi, D. M., Fragale, C., Magri, C., Carnevale, A., Ciancetta, A., Guidoboni, M., Negrini, M., Bronte, G., & Calabrò, L. (2024). Near-Complete Response to Osimertinib for Advanced Non-Small-Cell Lung Cancer in a Pretreated Patient Bearing Rare Compound Exon 20 Mutation (S768I + V774M): A Case Report. International Journal of Molecular Sciences, 25(14), 7508. https://doi.org/10.3390/ijms25147508

