Synovial Sarcoma of the Kidney: Diagnostic Pitfalls in a Case with Myxoid Monophasic Differentiation and No Epithelial Biomarkers Expression
Abstract
1. Introduction
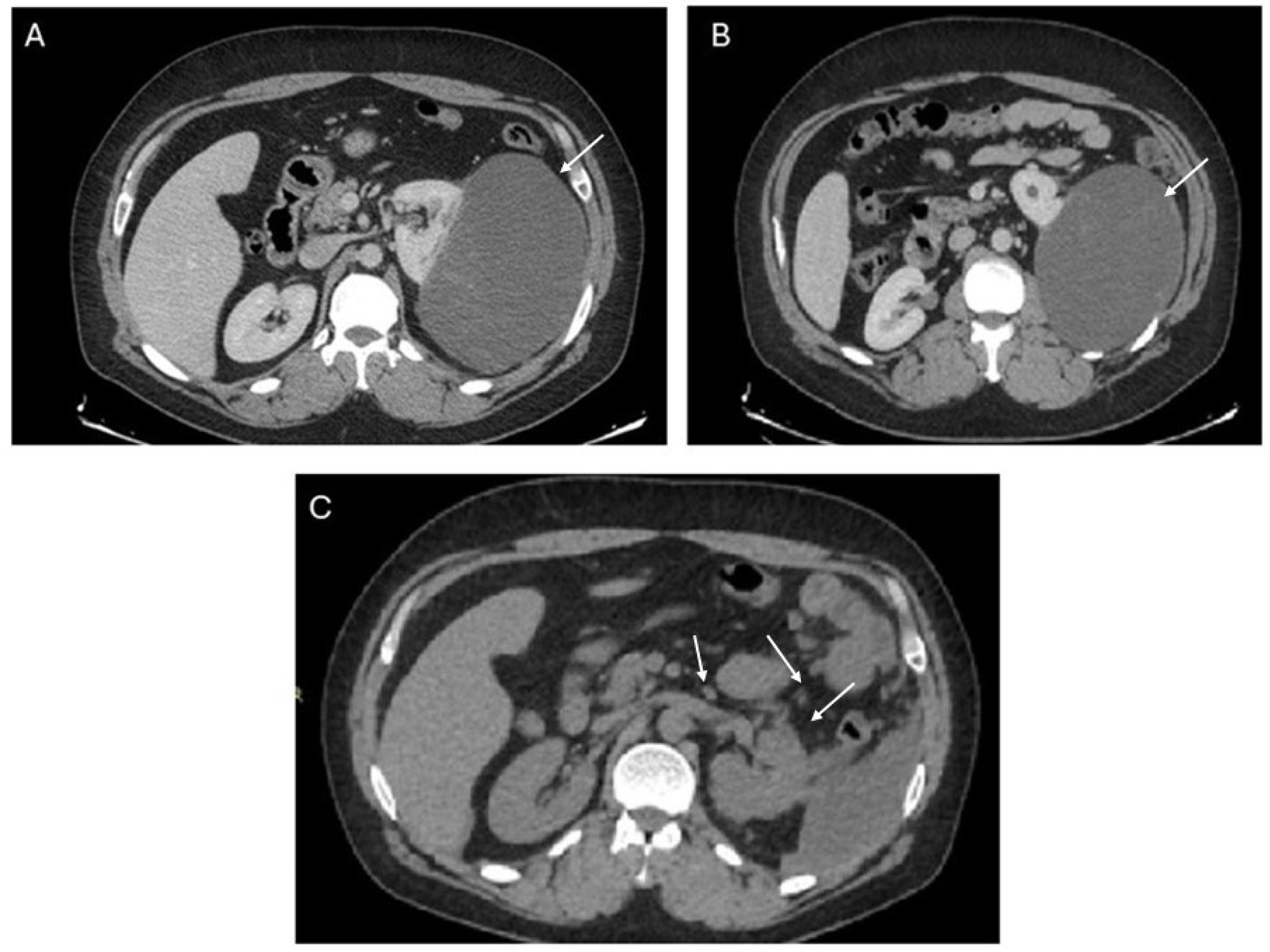
2. Case Report
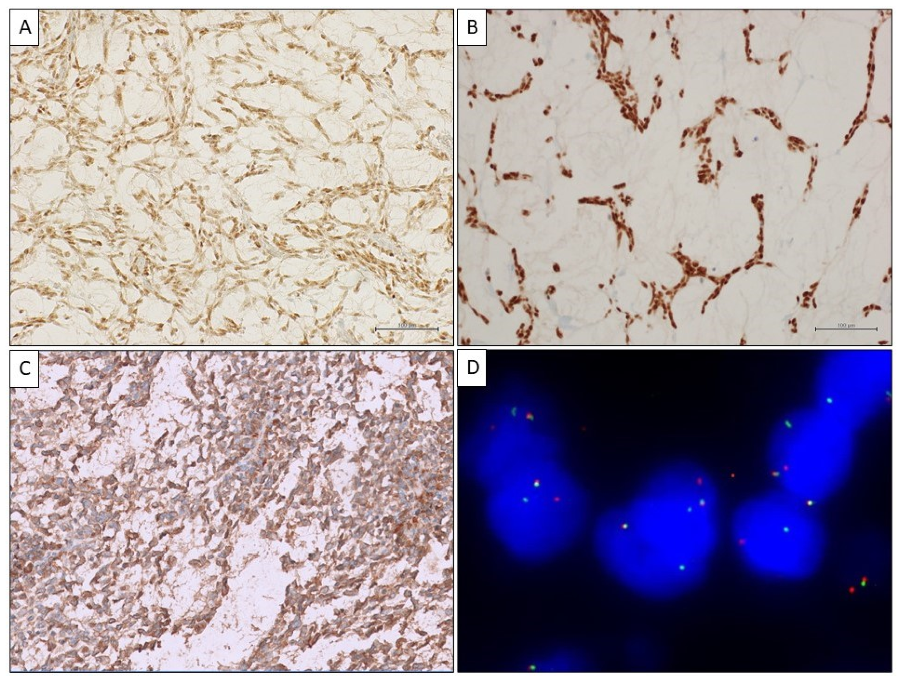
3. Materials and Methods
4. Discussion
5. Conclusions
Author Contributions
Funding
Institutional Review Board Statement
Informed Consent Statement
Data Availability Statement
Acknowledgments
Conflicts of Interest
References
- Suurmeijer, A.J.H.; Ladanyi, M.; Nielsen, T.O. (Eds.) Chapter 1: Soft tissue tumours: Synovial sarcoma. In WHO Classification of Tumours Editorial Board, 5th ed.; WHO classification of tumours series, Soft tissue and bone tumours; International Agency for Research on Cancer: Lyon, France, 2020; Volume 3. [Google Scholar]
 - Thway, K.; Fisher, C. Synovial Sarcoma: Defining Features and Diagnostic Evolution. Ann. Diagn. Pathol. 2014, 18, 369–380. [Google Scholar] [CrossRef] [PubMed]
 - Argani, P.; Faria, P.A.; Epstein, J.I.; Reuter, V.E.; Perlman, E.J.; Beckwith, J.B.; Ladanyi, M. Primary Renal Synovial Sarcoma. Am. J. Surg. Pathol. 2000, 24, 1087–1096. [Google Scholar] [CrossRef] [PubMed]
 - Kim, D.H.; Sohn, J.H.; Lee, M.C.; Lee, G.; Yoon, G.S.; Hashimoto, H.; Sonobe, H.; Ro, J.Y. Primary Synovial Sarcoma of the Kidney. Am. J. Surg. Pathol. 2000, 24, 1097–1104. [Google Scholar] [CrossRef] [PubMed]
 - Chen, S.; Bhuiya, T.; Liatsikos, E.; Alexianu, M.D.; Weiss, G.H.; Kahn, L.B. Primary Synovial Sarcoma of the Kidney. Int. J. Surg. Pathol. 2001, 9, 335–339. [Google Scholar] [CrossRef] [PubMed]
 - Koyama, S.; Morimitsu, Y.; Morokuma, F.; Hashimoto, H. Primary Synovial Sarcoma of the Kidney: Report of a Case Confirmed by Molecular Detection of the SYT-SSX2 Fusion Transcripts. Pathol. Int. 2001, 51, 385–391. [Google Scholar] [CrossRef] [PubMed]
 - Bella, A.J.; Winquist, E.W.; Perlman, E.J. Primary Synovial Sarcoma of the Kidney Diagnosed by Molecular Detection of SYT-SSX Fusion Transcripts. J. Urol. 2002, 168, 1092–1093. [Google Scholar] [CrossRef] [PubMed]
 - Dai, Y.-C.; Wu, H.-M.; Chang, C.-W.; Liou, C.-P.; Tzeng, C.-C. A Rare Synovial Sarcoma of the Kidney Exhibiting Translocation (X;18) and SYT-SSX2 Fusion Gene. Zhonghua Yi Xue Za Zhi Chin. Med. J. 2002, 65, 293–297. [Google Scholar]
 - Vesoulis, Z.; Rahmeh, T.; Nelson, R.; Clarke, R.; Lu, Y.; Dankoff, J. Fine needle aspiration biopsy of primary renal synovial sarcoma. Acta Cytol. 2003, 47, 668–672. [Google Scholar] [CrossRef] [PubMed]
 - Moch, H.; Wodzynski, A.; Guillou, L.; Nickeleit, V. [Primary Renal Synovial Sarcoma. A New Entity in the Morphological Spectrum of Spindle Cell Renal Tumors]. Der Pathol. 2003, 24, 466–472. [Google Scholar] [CrossRef]
 - Chen, P.C.-H.; Chang, Y.-H.; Yen, C.-C.; Pan, C.-C.; Chiang, H. Primary Renal Synovial Sarcoma with Inferior Vena Cava and Right Atrium Invasion. Int. J. Urol. 2003, 10, 657–660. [Google Scholar] [CrossRef]
 - Park, S.-J.; Kim, H.-K.; Kim, C.-K.; Park, S.-K.; Go, E.-S.; Kim, M.-E.; Hong, D.S. A Case of Renal Synovial Sarcoma: Complete Remission Was Induced by Chemotherapy with Doxorubicin and Ifosfamide. Korean J. Intern. Med. 2004, 19, 62–65. [Google Scholar] [CrossRef] [PubMed]
 - Jun, S.-Y.; Choi, J.; Kang, G.H.; Park, S.H.; Ayala, A.G.; Ro, J.Y. Synovial Sarcoma of the Kidney with Rhabdoid Features: Report of Three Cases. Am. J. Surg. Pathol. 2004, 28, 634–637. [Google Scholar] [CrossRef] [PubMed]
 - Törnkvist, M.; Wejde, J.; Ahlén, J.; Brodin, B.; Larsson, O. A Novel Case of Synovial Sarcoma of the Kidney: Impact of SS18/SSX Analysis of Renal Hemangiopericytoma-like Tumors. Diagn. Mol. Pathol. Am. J. Surg. Pathol. Part B 2004, 13, 47–51. [Google Scholar] [CrossRef] [PubMed]
 - Schaal, C.H.; Navarro, F.C.; Moraes Neto, F.A. Primary Renal Sarcoma with Morphologic and Immunohistochemical Aspects Compatible with Synovial Sarcoma. Int. Braz. J. 2004, 30, 210–213. [Google Scholar] [CrossRef] [PubMed]
 - Shao, L.; Hill, D.A.; Perlman, E.J. Expression of WT-1, Bcl-2, and CD34 by Primary Renal Spindle Cell Tumors in Children. Pediatr. Dev. Pathol. Off. J. Soc. Pediatr. Pathol. Paediatr. Pathol. Soc. 2004, 7, 577–582. [Google Scholar] [CrossRef] [PubMed]
 - Shannon, B.A.; Murch, A.; Cohen, R.J. Primary Renal Synovial Sarcoma Confirmed by Cytogenetic Analysis: A Lesion Distinct from Sarcomatoid Renal Cell Carcinoma. Arch. Pathol. Lab. Med. 2005, 129, 238–240. [Google Scholar] [CrossRef] [PubMed]
 - Perlmutter, A.E.; Saunders, S.E.; Zaslau, S.; Chang, W.W.; Farivar-Mohseni, H. Primary Synovial Sarcoma of the Kidney. Int. J. Urol. Off. J. Jpn. Urol. Assoc. 2005, 12, 760–762. [Google Scholar] [CrossRef] [PubMed]
 - Paláu, M.A.; Pham, T.T.; Barnard, N.; Merino, M.J. Primary Synovial Sarcoma of the Kidney with Rhabdoid Features. Int. J. Surg. Pathol. 2007, 15, 421–428. [Google Scholar] [CrossRef] [PubMed]
 - Drozenová, J.; Povýsil, C.; Tvrdík, D.; Babjuk, M.; Hanus, T. [Primary Synovial Sarcoma of the Kidney]. Ceskoslovenska Patol. 2008, 44, 20–22. [Google Scholar]
 - Mirza, M.; Zamilpa, I.; Bunning, J. Primary Renal Synovial Sarcoma. Urology 2008, 72, 716.e11–716.e12. [Google Scholar] [CrossRef]
 - Gabilondo, F.; Rodríguez, F.; Mohar, A.; Nuovo, G.J.; Domínguez-Malagón, H. Primary Synovial Sarcoma of the Kidney: Corroboration with in Situ Polymerase Chain Reaction. Ann. Diagn. Pathol. 2008, 12, 134–137. [Google Scholar] [CrossRef] [PubMed]
 - Zakhary, M.M. Magnetic Resonance Imaging Features of Renal Synovial Sarcoma: A Case Report. Cancer Imaging 2008, 8, 45–47. [Google Scholar] [CrossRef] [PubMed]
 - Chung, S.-D.; Huang, K.-H.; Chueh, S.-C.; Lai, M.-K.; Lin, W.-C. Primary Synovial Sarcoma of the Kidney. J. Formos. Med. Assoc. 2008, 107, 344–347. [Google Scholar] [CrossRef] [PubMed]
 - Erturhan, S.; Seçkiner, I.; Zincirkeser, S.; Erbagci, A.; Celik, M.; Yagci, F.; Karakok, M. Primary Synovial Sarcoma of the Kidney: Use of PET/CT in Diagnosis and Follow-Up. Ann. Nucl. Med. 2008, 22, 225–229. [Google Scholar] [CrossRef] [PubMed]
 - Divetia, M.; Karpate, A.; Basak, R.; Desai, S.B. Synovial Sarcoma of the Kidney. Ann. Diagn. Pathol. 2008, 12, 333–339. [Google Scholar] [CrossRef] [PubMed]
 - Dassi, V.; Das, K.; Singh, B.P.; Swain, S.K. Primary Synovial Sarcoma of Kidney: A Rare Tumor with an Atypical Presentation. Indian J. Urol. IJU J. Urol. Soc. India 2009, 25, 269–271. [Google Scholar] [CrossRef] [PubMed]
 - Kawahara, T.; Sekiguchi, Z.; Makiyama, K.; Nakayama, T.; Nagashima, Y.; Kita, K.; Namura, K.; Itou, H.; Sano, F.; Hayashi, N.; et al. Primary Synovial Sarcoma of the Kidney. Case Rep. Oncol. 2009, 2, 189–193. [Google Scholar] [CrossRef] [PubMed]
 - Long, J.-A.; Dinia, E.M.; Saada-Sebag, G.; Cyprien, J.; Pasquier, D.; Thuillier, C.; Terrier, N.; Boillot, B.; Descotes, J.-L.; Rambeaud, J.-J. [Primitive Renal Synovial Sarcoma: A Cystic Tumor in Young Patients]. Prog. Urol. 2009, 19, 474–478. [Google Scholar] [CrossRef]
 - Wezel, F.; Ströbel, P.; Michaely, H.; Michel, M.S.; Häcker, A. [Primary Biphasic Synovial Sarcoma of the Kidney]. Urologe. Ausg. A 2010, 49, 411–414. [Google Scholar] [CrossRef] [PubMed]
 - Wang, Z.-H.; Wang, X.-C.; Xue, M. Clinicopathologic Analysis of 4 Cases of Primary Renal Synovial Sarcoma. Chin. J. Cancer 2010, 29, 212–216. [Google Scholar] [CrossRef]
 - Kageyama, S.; Tsuru, T.; Okamoto, K.; Narita, M.; Okada, Y. Primary Synovial Sarcoma Arising from a Crossed Ectopic Kidney with Fusion. Int. J. Urol. 2009, 17, 96–98. [Google Scholar] [CrossRef] [PubMed]
 - Tan, Y.S.; Ng, L.G.; Yip, S.K.-H.; Tay, M.-H.; Lim, A.S.-T.; Tien, S.L.; Cheng, L.; Tan, P.H. Synovial Sarcoma of the Kidney: A Report of 4 Cases with Pathologic Appraisal and Differential Diagnostic Review. Anal. Quant. Cytol. Histol. 2010, 32, 239–245. [Google Scholar] [PubMed]
 - Romero-Rojas, A.E.; Díaz-Pérez, J.A.; Messa-Botero, O.A.; Neira-Mejia, F.E. Early Age Renal Synovial Sarcoma. Arch. Esp. De Urol. 2010, 63, 464–471. [Google Scholar] [CrossRef]
 - Lakshmaiah, K.C.; Saini, K.S.; Singh, T.; Jain, A.; Kumar, R.V.; Jacob, L.A. Primary Synovial Sarcoma of Kidney-a Report of 2 Cases and Review of Literature. J. Egypt. Natl. Cancer Inst. 2010, 22, 149–153. [Google Scholar]
 - Kataria, T.; Janardhan, N.; Agarwal, A.; Sharan, G.; Mitra, S. Pulmonary Metastasis from Renal Synovial Sarcoma Treated by Stereotactic Body Radiotherapy: A Case Report and Review of the Literature. J. Cancer Res. Ther. 2010, 6, 75. [Google Scholar] [CrossRef] [PubMed]
 - Grampurohit, V.; Myageri, A.; Rao, R. Primary Renal Synovial Sarcoma. Urol. Ann. 2011, 3, 110. [Google Scholar] [CrossRef] [PubMed]
 - Ozkan, E.E.; Mertsoylu, H.; Ozardali, H.I. A Case of Renal Synovial Sarcoma Treated with Adjuvant Ifosfamide and Doxorubicin. Intern. Med. 2011, 50, 1575–1580. [Google Scholar] [CrossRef] [PubMed]
 - Karafin, M.; Parwani, A.V.; Netto, G.J.; Illei, P.B.; Epstein, J.I.; Ladanyi, M.; Argani, P. Diffuse Expression of PAX2 and PAX8 in the Cystic Epithelium of Mixed Epithelial Stromal Tumor, Angiomyolipoma with Epithelial Cysts, and Primary Renal Synovial Sarcoma. Am. J. Surg. Pathol. 2011, 35, 1264–1273. [Google Scholar] [CrossRef]
 - Nishida, T.; Inamoto, T.; Uehara, H.; Ibuki, N.; Koyama, K.; Komura, K.; Fujisue, Y.; Kurisu, Y.; Tsuji, M.; Azuma, H.; et al. Monophasic Primary Renal Synovial Sarcoma Accompanied with a Hemorrhagic Cyst. Urol. J. 2011, 8, 244–247. [Google Scholar]
 - Pitino, A.; Squillaci, S.; Spairani, C.; Cosimi, M.F.; Feyles, E.; Ricci, D.; Bardari, F.; Graziano, M.; Morabito, F.; Cesarani, F.; et al. Primary Synovial Sarcoma of the Kidney. A Case Report with Pathologic Appraisal Investigation and Literature Review. Pathologica 2011, 103, 271–278. [Google Scholar]
 - Bakhshi, G.D.; Khan, A.S.; Shaikh, A.S.; Khan, M.A.A.; Khan, M.A.A.; Jamadar, N.M. Primary Renal Synovial Sarcoma. Clin. Pract. 2012, 2, 44. [Google Scholar] [CrossRef] [PubMed]
 - Lopes, H.; Pereira, C.A.D.; Zucca, L.E.R.; Serrano, S.V.; Silva, S.R.M.; Camparoto, M.L.; Cárcano, F.M. Primary Monophasic Synovial Sarcoma of the Kidney: A Case Report and Review of Literature. Clin. Med. Insights. Oncol. 2013, 7, 257–262. [Google Scholar] [CrossRef]
 - Pereira E Silva, R.; Leitão, T.; Correia, L.; Martins, F.; Palma Dos Reis, J.; Lopes, T. Primary Synovial Sarcoma of the Kidney with Unusual Follow up Findings. Can. J. Urol. 2013, 20, 6734–6736. [Google Scholar]
 - Marković-Lipkovski, J.; Sopta, J.; Vjestica, J.; Vujanić, G.; Tulić, C. Rapidly Progressive Course of Primary Renal Synovial Sarcoma—Case Report. Srpski Arhiv Za Celokupno Lekarstvo 2013, 141, 814–818. [Google Scholar] [CrossRef] [PubMed]
 - Moorthy, H.K.; Pillai, B.S.; Varghese, J. Primary Renal Synovial Sarcoma: An Oncologic Surprise. Urol. Case Rep. 2014, 2, 152–153. [Google Scholar] [CrossRef][Green Version]
 - Majumder, A.; Dey, S.; Khandakar, B.; Medda, S.; Chandra Paul, P. Primary Renal Synovial Sarcoma: A Rare Tumor with an Atypical Presentation. Arch. Iran. Med. 2014, 17, 726–728. [Google Scholar] [PubMed]
 - Schoolmeester, J.K.; Cheville, J.C.; Folpe, A.L. Synovial Sarcoma of the Kidney. Am. J. Surg. Pathol. 2014, 38, 60–65. [Google Scholar] [CrossRef]
 - Özkanli, S.Ş.; Yıldırım, A.; Zemherı, E.; Gücer, F.I.; Aydın, A.; Çaşkurlu, T. Primary Synovial Sarcoma of the Kidney. Urol. Int. 2013, 92, 369–372. [Google Scholar] [CrossRef] [PubMed]
 - Mishra, S.; Awasthi, N.; Hazra, S.; Bera, M. Primary Synovial Sarcoma of the Kidney. Saudi J. Kidney Dis. Transplant. 2015, 26, 996. [Google Scholar] [CrossRef]
 - Wang, Z.; Zhong, Z.; Zhu, L.; Xiong, W.; Pan, C.; Wang, X.; Huang, Z.; Zhao, X. Primary Synovial Sarcoma of the Kidney: A Case Report. Oncol. Lett. 2015, 10, 3542–3544. [Google Scholar] [CrossRef][Green Version]
 - Vedana, M.; Fuenfschilling, M.; Tzankov, A.; Zellweger, T. Primary Synovial Cell Sarcoma of the Kidney: Case Report and Review of the Literature. Case Rep. Oncol. 2015, 8, 128–132. [Google Scholar] [CrossRef] [PubMed]
 - Lv, X.F.; Qiu, Y.W.; Han, L.J.; Cao, J.; Zhang, C.; Liu, Z.Y.; Zhang, X.L.; Cai, P.Q.; Li, L. Primary Renal Synovial Sarcoma: Computed Tomography Imaging Findings. Acta Radiol. 2015, 56, 493–499. [Google Scholar] [CrossRef] [PubMed]
 - El Chediak, A.; Mukherji, D.; Temraz, S.; Nassif, S.; Sinno, S.; Mahfouz, R.; Shamseddine, A. Primary Synovial Sarcoma of the Kidney: A Case Report of Complete Pathological Response at a Lebanese Tertiary Care Center. BMC Urol. 2018, 18, 40. [Google Scholar] [CrossRef] [PubMed]
 - Radhakrishnan, V.; Dhanushkodi, M.; Narayanswamy, K.; Raja, A.; Sundersingh, S.; Sagar, T. Synovial Sarcoma of Kidney in a Child: A Rare Presentation. J. Indian Assoc. Pediatr. Surg. 2016, 21, 75–77. [Google Scholar] [CrossRef] [PubMed]
 - Chandrasekaran, D.; Narayanaswamy, K.; Sundersingh, S.; Senniappan, K.; Raja, A. Primary Synovial Sarcoma of the Kidney with Inferior Vena Caval Thrombus. Indian J. Surg. Oncol. 2016, 7, 345–348. [Google Scholar] [CrossRef] [PubMed]
 - Pathrose, G.; John, N.T.; Hariharan, P. Renal Synovial Sarcoma in a Young Pregnant Lady: A Case Report and Clinico-Pathological Profile. J. Clin. Diagn. Res. 2017, 11, PD13. [Google Scholar] [CrossRef] [PubMed]
 - Pichler, R.; Heidegger, I.; Schachtner, G.; Stuehmeier, J.; Agaimy, A.; Maier, H.; Glodny, B.; Rehder, P. Renal Rupture—Not What It Seems. Urol. Case Rep. 2017, 16, 132–134. [Google Scholar] [CrossRef] [PubMed]
 - Chen, W.; Huang, Y.; Liu, D.; Luo, J. Primary Renal Synovial Sarcoma: A Case Report and Literature Review. J. Cancer Res. Ther. 2018, 14, 267. [Google Scholar] [CrossRef]
 - Tranesh, G.; Cortese, C.; Thiel, D.; Zhai, Q.J. Primary Synovial Sarcoma of the Kidney—A Case Report and Literature Review. Int. J. Clin. Exp. Pathol. 2018, 11, 2241–2245. [Google Scholar]
 - Puj, K.S.; Pandya, S.J.; Warikoo, V.; Chauhan, T.; Samanta, S.T. Primary Synovial Sarcoma of the Kidney: A Rare Presentation. Urology 2018, 116, e7–e8. [Google Scholar] [CrossRef]
 - Dutt, U.K.; Manikandan, R.; Dorairajan, L.N.; Srinivas, B.H. Biphasic Renal Synovial Sarcoma with Extensive Venous Tumor Thrombosis: A Rare Presentation. Urol. Ann. 2018, 10, 339–341. [Google Scholar] [CrossRef]
 - Cao, Z.; Lu, H.-Z.; Feng, X.-L. Primary Renal Synovial Sarcoma: Two Cases and Review of the Literature. Int. J. Clin. Exp. Pathol. 2018, 11, 4346–4351. [Google Scholar]
 - Stamm, A.; Conti, N.; Olgac, S.; Flores, J.P.; Wagner, M.J.; Kozlowski, P. Intraperitoneal Rupture of a Synovial Sarcoma of the Kidney. Rev. Urol. 2019, 21, 136–140. [Google Scholar] [PubMed]
 - Dewana, S.K.; Parmar, K.M.; Sharma, G.; Bansal, A.; Panwar, P.; Mavuduru, R.S. Paraneoplastic Hepatic Dysfunction with Jaundice in a Case of Primary Renal Synovial Sarcoma: A Very Rare Scenario. Urol. Case Rep. 2019, 24, 100841. [Google Scholar] [CrossRef] [PubMed]
 - Xu, R.-F.; He, E.-H.; Yi, Z.-X.; Lin, J.; Zhang, Y.-N.; Qian, L.-X. Multimodality-Imaging Manifestations of Primary Renal-Allograft Synovial Sarcoma: First Case Report and Literature Review. World J. Clin. Cases 2019, 7, 1677–1685. [Google Scholar] [CrossRef]
 - Cai, H.-J.; Cao, N.; Wang, W.; Kong, F.-L.; Sun, X.-X.; Huang, B. Primary Renal Synovial Sarcoma: A Case Report. World J. Clin. Cases 2019, 7, 3098–3103. [Google Scholar] [CrossRef]
 - Rose, L.; Grignon, D.; Cheng, L.; Fan, R.; Zhang, S.; Alruwaii, F.; Chen, S. Primary Renal Synovial Sarcomas: PAX 8 Immunostaining and Unusual Molecular Findings. Appl. Immunohistochem. Mol. Morphol. 2019, 28, 221–228. [Google Scholar] [CrossRef] [PubMed]
 - Argani, P.; Zhang, L.; Sung, S.Y.; Bacchi, C.; Swanson, D.; Dickson, B.C.; Antonescu, C.R. Novel SS18-NEDD4 Gene Fusion in a Primary Renal Synovial Sarcoma. Genes Chromosomes Cancer/Genes Chromosomes Cancer 2019, 59, 203–208. [Google Scholar] [CrossRef]
 - Kanuj, M.; Anand, R.; Venkatraman, R.; Mayank, G. Paediatric Renal Synovial Sarcoma: Another Diagnostic Pathological Dilemma. Indian J. Surg. Oncol. 2019, 11, 138–141. [Google Scholar] [CrossRef]
 - Zhang, B.; An, C.; Zhang, Y.; Tian, J.; Wang, Z.; Wang, J. Primary Renal Synovial Sarcoma. Medicine 2020, 99, e22706. [Google Scholar] [CrossRef]
 - Krishnappa, P.; Keshavamurthy, M.; Tabrez, S.; Harinatha, S.; Aswathaiya, M.B. Primary Renal Synovial Sarcoma—A Rare Histology. Urol. Case Rep. 2020, 33, 101402. [Google Scholar] [CrossRef] [PubMed]
 - Huned, D.; Kam, J.H.; Lee, L.S.; Tiwari, R.V. Primary Renal Synovial Sarcoma Presenting with a Retroperitoneal Bleed. BMJ Case Rep. 2021, 14, e237099. [Google Scholar] [CrossRef] [PubMed]
 - Alzahrani, I.; Albqami, N.; Alkhayal, A.; AlOudah, N.; Alyami, A. Primary Renal Synovial Sarcoma Presenting as Haemorrhagic Shock. J. Kidney Cancer VHL 2021, 8, 1. [Google Scholar] [CrossRef] [PubMed]
 - Raja, A.; Ratnagiri, R.; MSS, K.; Malik, K.; Menon, A.R. Primary Renal Synovial Sarcoma Case Series: Clinical Profile and Management of a Rare Entity. Urol. Int. 2021, 106, 426–428. [Google Scholar] [CrossRef] [PubMed]
 - Fitra, A.F.; Kloping, Y.P.; Djatisoesanto, W.; Hakim, L. Doxorubicin and Ifosfamide for Recurrent Renal Synovial Sarcoma: The First Case Report in Indonesia. Int. J. Surg. Case Rep. 2022, 92, 106895. [Google Scholar] [CrossRef] [PubMed]
 - Guimarães, T.; Cristovão, M.; Gião, N.; Pinheiro, H.; Pinheiro, L.C. An Extremely Rare and Demanding Diagnosis of Primary Renal Synovial Sarcoma: A Case Report. Cureus 2023, 15, e33954. [Google Scholar] [CrossRef]
 - Challa, B.; Mohanty, S.K.; Jha, S.; Sampat, N.Y.; Sardana, R.; Lobo, A.; Sharma, S.; Arora, S.; Rath, D.; Munjal, G.; et al. SS18-SSX Expression in a Contemporary Cohort of Primary Renal Synovial Sarcoma: A Multi-Institutional Experience of Fourteen Patients. Int. J. Surg. Pathol. 2023, 31, 1232–1243. [Google Scholar] [CrossRef] [PubMed]
 - Francalanci, P.; Giovannoni, I.; Tancredi, C.; Gagliardi, M.G.; Palmieri, R.; Brancaccio, G.; Spada, M.; Maggiore, G.; Pietrobattista, A.; Monti, L.; et al. Histopathological Spectrum and Molecular Characterization of Liver Tumors in the Setting of Fontan-Associated Liver Disease. Cancers 2024, 16, 307. [Google Scholar] [CrossRef] [PubMed]
 - Haldar, M.; Hancock, J.D.; Coffin, C.M.; Lessnick, S.L.; Capecchi, M.R. A Conditional Mouse Model of Synovial Sarcoma: Insights into a Myogenic Origin. Cancer Cell 2007, 11, 375–388. [Google Scholar] [CrossRef]
 - Naka, N.; Takenaka, S.; Araki, N.; Miwa, T.; Hashimoto, N.; Yoshioka, K.; Joyama, S.; Hamada, K.; Tsukamoto, Y.; Tomita, Y.; et al. Synovial Sarcoma Is a Stem Cell Malignancy. Stem Cells 2010, 28, 1119–1131. [Google Scholar] [CrossRef]
 - Kadoch, C.; Crabtree, G.R. Reversible Disruption of MSWI/SNF (BAF) Complexes by the SS18-SSX Oncogenic Fusion in Synovial Sarcoma. Cell 2013, 153, 71–85. [Google Scholar] [CrossRef] [PubMed]
 - McBride, M.J.; Pulice, J.L.; Beird, H.C.; Ingram, D.R.; D’Avino, A.R.; Shern, J.F.; Charville, G.W.; Hornick, J.L.; Nakayama, R.T.; Garcia-Rivera, E.M.; et al. The SS18-SSX Fusion Oncoprotein Hijacks BAF Complex Targeting and Function to Drive Synovial Sarcoma. Cancer Cell 2018, 33, 1128–1141.e7. [Google Scholar] [CrossRef] [PubMed]
 - Nilsson, G.; Skytting, B.; Xie, Y.; Brodin, B.; Perfekt, R.; Mandahl, N.; Lundeberg, J.; Uhlén, M.; Larsson, O. The SYT-SSX1 Variant of Synovial Sarcoma Is Associated with a High Rate of Tumor Cell Proliferation and Poor Clinical Outcome. Cancer Res. 1999, 59, 3180–3184. [Google Scholar] [PubMed]
 - Ladanyi, M.; Antonescu, C.R.; Leung, D.H.; Woodruff, J.M.; Kawai, A.; Healey, J.H.; Brennan, M.F.; Bridge, J.A.; Neff, J.R.; Barr, F.G.; et al. Impact of SYT-SSX Fusion Type on the Clinical Behavior of Synovial Sarcoma: A Multi-Institutional Retrospective Study of 243 Patients. Cancer Res. 2002, 62, 135–140. [Google Scholar] [PubMed]
 - Sun, Y.; Sun, B.; Wang, J.; Cai, W.; Zhao, X.; Zhang, S.; Hao, X. Prognostic Implication of SYT-SSX Fusion Type and Clinicopathological Parameters for Tumor-Related Death, Recurrence, and Metastasis in Synovial Sarcoma. Cancer Sci. 2009, 100, 1018–1025. [Google Scholar] [CrossRef] [PubMed]
 - Guillou, L.; Benhattar, J.; Bonichon, F.; Gallagher, G.; Terrier, P.; Stauffer, E.; Nicolas; Michels, J.-J.; Jundt, G.; Vince, D.R.; et al. Histologic Grade, but Not SYT-SSX Fusion Type, Is an Important Prognostic Factor in Patients with Synovial Sarcoma: A Multicenter. Retrosp. Anal. 2004, 22, 4040–4050. [Google Scholar] [CrossRef] [PubMed]
 - Takenaka, S.; Ueda, T.; Naka, N.; Araki, N.; Hashimoto, N.; Myoui, A.; Ozaki, T.; Nakayama, T.; Toguchida, J.; Tanaka, K.; et al. Prognostic Implication of SYT-SSX Fusion Type in Synovial Sarcoma: A Multi-Institutional Retrospective Analysis in Japan. Oncol. Rep. 2008, 19, 467–476. [Google Scholar] [CrossRef] [PubMed]
 - Gazendam, A.M.; Popovic, S.; Munir, S.; Parasu, N.; Wilson, D.; Ghert, M. Synovial Sarcoma: A Clinical Review. Curr. Oncol. 2021, 28, 1909–1920. [Google Scholar] [CrossRef]
 - Krane, J.F.; Bertoni, F.; Fletcher, C.D. Myxoid synovial sarcoma: An underappreciated morphologic subset. Mod. Pathol. 1999, 12, 456–462. [Google Scholar]
 - Vijayan, S.; Mohammed, A.P.; Kulkarni, M.S.; Rao, S.K. Monophasic spindle cell myxoid synovial sarcoma of the hand: Promising results with marginal resection. BMJ Case Rep. 2021, 14, e238366. [Google Scholar] [CrossRef]
 - Coli, A.; Bigotti, G.; Parente, R.; Massi, G. Myxoid Monophasic Synovial Sarcoma: Case Report of an Unusual Histological Variant. J. Exp. Clin. Cancer Res. CR 2006, 25, 287–291. [Google Scholar] [PubMed]
 - Dhouib, R.S.; Driss, M.; Sassi, S.; Ben Alaya, Y.; Abbes, I.; Mrad, K.; Kacem, D.; Ben Romdhane, K. Myxoid Tumor of Soft Tissue. Pathologica 2006, 98, 175–177. [Google Scholar] [PubMed]
 - Li, W.S.; Liao, I.-C.; Wen, M.-C.; Haw, H.; Yu, S.C.; Huang, H.Y. BCOR-CCNB3-Positive Soft Tissue Sarcoma with Round-Cell and Spindle-Cell Histology: A Series of Four Cases Highlighting the Pitfall of Mimicking Poorly Differentiated Synovial Sarcoma. Histopathology 2016, 69, 792–801. [Google Scholar] [CrossRef] [PubMed]
 - Argani, P.; Kao, L.C.; Zhang, L.; Bacchi, C.E.; Matoso, A.; Alaggio, R.; Epstein, J.I.; Antonescu, C.R. Primary Renal Sarcomas with BCOR-CCNB3 Gene Fusion. Am. J. Surg. Pathol. 2017, 41, 1702–1712. [Google Scholar] [CrossRef] [PubMed]
 - Huynh, K.D.; Fischle, W.; Verdin, E.; Bardwell, V.J. BCoR, a Novel Corepressor Involved in BCL-6 Repression. Genes Dev. 2000, 14, 1810–1823. [Google Scholar] [CrossRef] [PubMed]
 - Sportoletti, P.; Sorcini, D.; Falini, B. BCOR Gene Alterations in Hematologic Diseases. Blood 2021, 138, 2455–2468. [Google Scholar] [CrossRef] [PubMed]
 - Yoshida, Y.; Nobusawa, S.; Nakata, S.; Nakada, M.; Arakawa, Y.; Mineharu, Y.; Sugita, Y.; Yoshioka, T.; Araki, A.; Sato, Y.; et al. CNS High-Grade Neuroepithelial Tumor with BCOR Internal Tandem Duplication: A Comparison with Its Counterparts in the Kidney and Soft Tissue. Brain Pathol. 2017, 28, 710–720. [Google Scholar] [CrossRef] [PubMed]
 - Kao, Y.-C.; Sung, Y.-S.; Zhang, L.; Jungbluth, A.A.; Huang, S.-C.; Argani, P.; Agaram, N.P.; Zin, A.; Alaggio, R.; Antonescu, C.R. BCOR Overexpression Is a Highly Sensitive Marker in Round Cell Sarcomas with BCOR Genetic Abnormalities. Am. J. Surg. Pathol. 2016, 40, 1670–1678. [Google Scholar] [CrossRef]
 - Kao, Y.-C.; Sung, Y.-S.; Zhang, L.; Kenan, S.; Singer, S.; Tap, W.D.; Swanson, D.; Dickson, B.C.; Antonescu, C.R. BCOR Upregulation in a Poorly Differentiated Synovial Sarcoma with SS18L1-SSX1 Fusion—A Pathologic and Molecular Pitfall. Genes Chromosomes Cancer 2017, 56, 296–302. [Google Scholar] [CrossRef]
 





| Authors/Year | N° Cases | Age/Sex | Histology | Epithelial Markers | 
|---|---|---|---|---|
| Argani P et al., 2000 [3] | 15 | 20–59 yrs M:9; F:6  | All 15 cases: spindle cells | EMA+ 3/6 studied cases CK− 0/5 studied cases  | 
| Kim DH et al., 2000 [4] | 2 | 53/M 47/M  | Both cases: poorly differentiated | EMA+ focal; CK AE1/AE3 + focal EMA+ focal; CK AE1/AE3 + focal  | 
| Chen S et al., 2001 [5] | 1 | 48/M | Monophasic/spindle | EMA+ focal; CK AE1/AE3 + focal | 
| Koyama S et al., 2001 [6] | 1 | 47/F | Monophasic/spindle | EMA+ focal; CK AE1/AE3 + focal | 
| Bella AJ et al., 2002 [7] | 1 | 24/M | Monophasic/spindle | CKs+ | 
| Dai YC et al., 2002 [8] | 1 | 19/F | Monophasic/spindle | N/A | 
| Vesoulis Z et al., 2003 [9] | 1 | 38/M | Biphasic | EMA+; CK AE1/AE3+; Cam 5.2+ | 
| Moch H et al., 2003 [10] | 2 | 47/M 56/F  | Monophasic/spindle Monophasic/spindle  | EMA+ focal EMA+  | 
| Chen PC et al., 2003 [11] | 1 | 19/M | Monophasic/spindle | EMA−; CK AE1/AE3+ focal | 
| Park SJ et al., 2004 [12] | 1 | 32/F | Monophasic/spindle | EMA−; CK− | 
| Jun SY et al.; 2004 [13] | 3 | 27/F 35/F 26/M  | All 3 cases: monophasic/spindle with rabdoid features  | CK+ focal CK− CK−  | 
| Tornkvist M et al., 2004 [14] | 1 | 34/F | Monophasic/spindle Poorly differentiated  | EMA+, CK+ | 
| Schaal CH et al., 2004 [15] | 1 | 27/M | Monophasic/spindle Poorly differentiated  | EMA+, CK AE1/AE3+ | 
| Shao L et al., 2004 [16] | 4 | N/A | All 4 cases: monophasic/spindle  | N/A | 
| Shannon BA et al., 2005 [17] | 1 | 60/M | Monophasic/spindle | CK− | 
| Perlmutter AE et al., 2005 [18] | 1 | 61/F | Monophasic/spindle | EMA+ | 
| Paláu L MA et al., 2007 [19] | 1 | 71/F | Monophasic/spindle with rabdoid features | EMA+; CKs− | 
| Drozenova et al., 2008 [20] | 2 | 33/M 57/F  | Monophasic/spindle Poorly differentiated  | EMA+; CKs− EMA+; CKs−  | 
| Mirza M et al., 2008 [21] | 1 | 17/M | Monophasic/spindle | N/A | 
| Gabilondo F et al., 2008 [22] | 1 | 32/F | Monophasic/spindle | EMA−; CK AE1/AE3- | 
| Zakhary MM et al., 2008 [23] | 1 | 52/F | Monophasic/spindle Poorly differentiated  | Cam 5.2+ focal; EMA− | 
| Chung SD et al., 2008 [24] | 2 | 30/F 49/F  | Biphasic Biphasic  | EMA+ EMA+  | 
| Erturhan S et al., 2008 [25] | 1 | 59/M | Monophasic/spindle | CK7+; CKAE1/AE3+ focal | 
| Divetia M et al., 2008 [26] | 7 | 15–56 yrs M:2; F:5  | All 7 cases:  monophasic/spindle  | EMA+1/4; CK− | 
| Dassi V et al., 2009 [27] | 1 | 20/F | Monophasic/spindle | EMA+; CKs+ focal | 
| Kawahara et al., 2009 [28] | 1 | 40/F | Monophasic/spindle | CK AE1/AE3+ focal | 
| Long JA et al., 2009 [29] | 3 | 27/M; 32/F; 33/F | All 3 cases: biphasic | EMA+; CK AE1/AE2+ | 
| Wezel F et al., 2010 [30] | 1 | 47/M | Biphasic | EMA+ | 
| Wang Z-H et al., 2009 [31] | 4 | 32–48 yrs M:2; F:2  | All 4 cases: monophasic/spindle  | EMA+ focal (3/4);  CK+ focal (3/4)  | 
| Kageyama S et al., 2010 [32] | 1 | 67/M | Biphasic | N/A | 
| Tan YS et al., 2010 [33] | 4 | N/A | N/A | N/A | 
| Romero-Rojas AE et al., 2013 [34] | 1 | 15/M | Poorly differentiated | N/A | 
| Lakshmaiah KC et al., 2010 [35] | 2 | 50/F 45/M  | N/A | N/A | 
| Kataria et al., 2010 [36] | 1 | 52/F | N/A | N/A | 
| Grampurohit VU et al., 2011 [37] | 1 | 21/F | Monophasic/spindle Poorly differentiated  | EMA+ focal; CK+ focal | 
| Ozkan EE et al., 2011 [38] | 1 | 68/F | Biphasic | EMA+ focal; CK AE1/AE3− | 
| Karafin M et al., 2011 [39] | 3 | 39/F 41/M 53/M  | All 3 cases:  monophasic/spindle  | N/A | 
| Nishida T et al., 2011 [40] | 1 | 63/F | Monophasic/spindle | CKs− | 
| Pitino A et al., 2011 [41] | 1 | 67/M | Monophasic/spindle | N/A | 
| Bakhshi et al., 2012 [42] | 1 | 33/F | Monophasic/spindle | N/A | 
| Lopes et al., 2013 [43] | 1 | 19/M | Monophasic/spindle | EMA+; CK AE1/AE3+ | 
| Pereira E Silva R et al., 2013 [44] | 1 | 17/M | Monophasic/spindle | N/A | 
| Marković-Lipkovski J et al., 2013 [45] | 1 | 38/M | Monophasic/spindle | EMA+ | 
| Moorthy et al., 2014 [46] | 1 | 46/M | Biphasic | EMA+; CK AE1/AE3+ focal | 
| Majumber et al., 2014 [47] | 1 | 46/F | N/A | N/A | 
| Schoolmeester JK et al., 2014 [48] | 16 | 17–78 yrs M:9; F:7  | All 16 cases: monophasic/spindle  | 7/16 (44%) CK AE1/AE3 + focal | 
| Ozkanli SS et al., 2014 [49] | 1 | 45/M | Monophasic/spindle | EMA+ | 
| Mishra S et al., 2015 [50] | 1 | 60/M | Monophasic/spindle | EMA+ | 
| Wang Z et al., 2015 [51] | 1 | 54/F | Monophasic/spindle | EMA+; CKs+ | 
| Vedana M et al., 2015 [52] | 1 | 76/F | Monophasic/spindle | CK7+ focal | 
| Lv X-F et al., 2015 [53] | 5 | 15–43 yrs M:3; F:2  | N/A | N/A | 
| El Chediak A. et al., 2016 [54] | 1 | 26/M | Monophasic/spindle | EMA−; CK+ focal | 
| Radhakrishnan, V. et al., 2016 [55] | 1 | 4/F | Monophasic/spindle | EMA+ | 
| Chandrasekaran, D. et al., 2016 [56] | 1 | 44/M | Monophasic/spindle | EMA+; CK− | 
| Pathrose, G et al., 2017 [57] | 1 | 25/F | Monophasic/spindle | EMA−; CK− | 
| Pichler, R. et al., 2017 [58] | 1 | 20/M | Monophasic/spindle | CK7−; CK20− | 
| Chen, W. et al., 2018 [59] | 1 | 44/M | Monophasic/spindle | EMA+; CK8/18−; CK7− | 
| Tranesh, G. et al., 2018 [60] | 1 | 56/M | Monophasic/spindle | EMA+ focal; CK AE1/AE3+ focal | 
| Puj, K.S. et al., 2018 [61] | 1 | 17/N/A | Monophasic/spindle | N/A | 
| Dutt, U.K. et al., 2018 [62] | 1 | 21/M | Biphasic | CK+ | 
| Cao, Z. et al., 2018 [63] | 2 | 74/F 49/F  | Biphasic Biphasic  | CK AE1/AE3 + CK AE1/AE3+ focal  | 
| Stamm, A. et al., 2019 [64] | 1 | 43/F | Monophasic/spindle | EMA+ focal; CK AE1/AE3− | 
| Dewana, S.K. et al., 2019 [65] | 1 | 32/M | Monophasic/spindle | EMA+ focal; CK AE1/AE3− | 
| Xu, R.-F. et al., 2019 [66] | 1 | 43/M | Monophasic/spindle | N/A | 
| Cai, H.-J. et al., 2019 [67] | 1 | 54/M | Monophasic/spindle | EMA−; CK7+ | 
| Rose, L. et al., 2019 [68] | 11 | N/A | 6 monophasic/spindle 4 biphasic 1 poorly differentiated  | 6/10 EMA and/or CK AE1/AE3+ | 
| Argani, P. et al., 2019 [69] | 1 | 35/F | Monophasic/spindle | EMA−; CK AE1/AE3− | 
| Kanuj, M. et al., 2020 [70] | 1 | 2/M | Monophasic/spindle | EMA+ | 
| Zhang, B. et al., 2020 [71] | 1 | 56/M | N/A | EMA+; CK+ | 
| Krishnappa, P. et al., 2020 [72] | 1 | 54/M | Monophasic/spindle | N/A | 
| Huned, D. et al., 2021 [73] | 1 | 21/M | Monophasic/spindle | N/A | 
| Alzahrani, I. et al., 2021 [74] | 1 | 65/M | Monophasic/spindle | EMA−; CK AE1/AE3+ | 
| Raja, A. et al., 2022 [75] | 3 | N/A | N/A | N/A | 
| Fitra, A. F. et al., 2022 [76] | 1 | 18/M | N/A | EMA+ | 
| Guimarães, T. et al., 2023 [77] | 1 | 69/M | Monophasic/spindle | CK AE1/AE3+ focal; Cam 5.2+ focal | 
| Challa, B. et al., 2023 [78] | 14 | 17–72 yrs M:9; F:5  | All 14 cases: monophasic/spindle  | EMA+ 7/7 studied cases | 
Disclaimer/Publisher’s Note: The statements, opinions and data contained in all publications are solely those of the individual author(s) and contributor(s) and not of MDPI and/or the editor(s). MDPI and/or the editor(s) disclaim responsibility for any injury to people or property resulting from any ideas, methods, instructions or products referred to in the content.  | 
© 2024 by the authors. Licensee MDPI, Basel, Switzerland. This article is an open access article distributed under the terms and conditions of the Creative Commons Attribution (CC BY) license (https://creativecommons.org/licenses/by/4.0/).
Share and Cite
Pagliuca, F.; Carraturo, E.; De Chiara, A.; Vallese, S.; Giovannoni, I.; Alaggio, R.; Cannella, L.; Tafuto, S.; Franco, R. Synovial Sarcoma of the Kidney: Diagnostic Pitfalls in a Case with Myxoid Monophasic Differentiation and No Epithelial Biomarkers Expression. Int. J. Mol. Sci. 2024, 25, 7382. https://doi.org/10.3390/ijms25137382
Pagliuca F, Carraturo E, De Chiara A, Vallese S, Giovannoni I, Alaggio R, Cannella L, Tafuto S, Franco R. Synovial Sarcoma of the Kidney: Diagnostic Pitfalls in a Case with Myxoid Monophasic Differentiation and No Epithelial Biomarkers Expression. International Journal of Molecular Sciences. 2024; 25(13):7382. https://doi.org/10.3390/ijms25137382
Chicago/Turabian StylePagliuca, Francesca, Emma Carraturo, Anna De Chiara, Silvia Vallese, Isabella Giovannoni, Rita Alaggio, Lucia Cannella, Salvatore Tafuto, and Renato Franco. 2024. "Synovial Sarcoma of the Kidney: Diagnostic Pitfalls in a Case with Myxoid Monophasic Differentiation and No Epithelial Biomarkers Expression" International Journal of Molecular Sciences 25, no. 13: 7382. https://doi.org/10.3390/ijms25137382
APA StylePagliuca, F., Carraturo, E., De Chiara, A., Vallese, S., Giovannoni, I., Alaggio, R., Cannella, L., Tafuto, S., & Franco, R. (2024). Synovial Sarcoma of the Kidney: Diagnostic Pitfalls in a Case with Myxoid Monophasic Differentiation and No Epithelial Biomarkers Expression. International Journal of Molecular Sciences, 25(13), 7382. https://doi.org/10.3390/ijms25137382
        
