Female Psammomys obesus Are Protected from Circadian Disruption-Induced Glucose Intolerance, Cardiac Fibrosis and Adipocyte Dysfunction
Abstract
1. Introduction
2. Results
2.1. Short Photoperiod Impairs Glucose Tolerance in Males but Not Females
2.2. Short Photoperiod Induced Cardiac Perivascular Fibrosis in Male P. obesus
2.3. Differential Gene Changes with Short Photoperiod Exposure in Males and Females
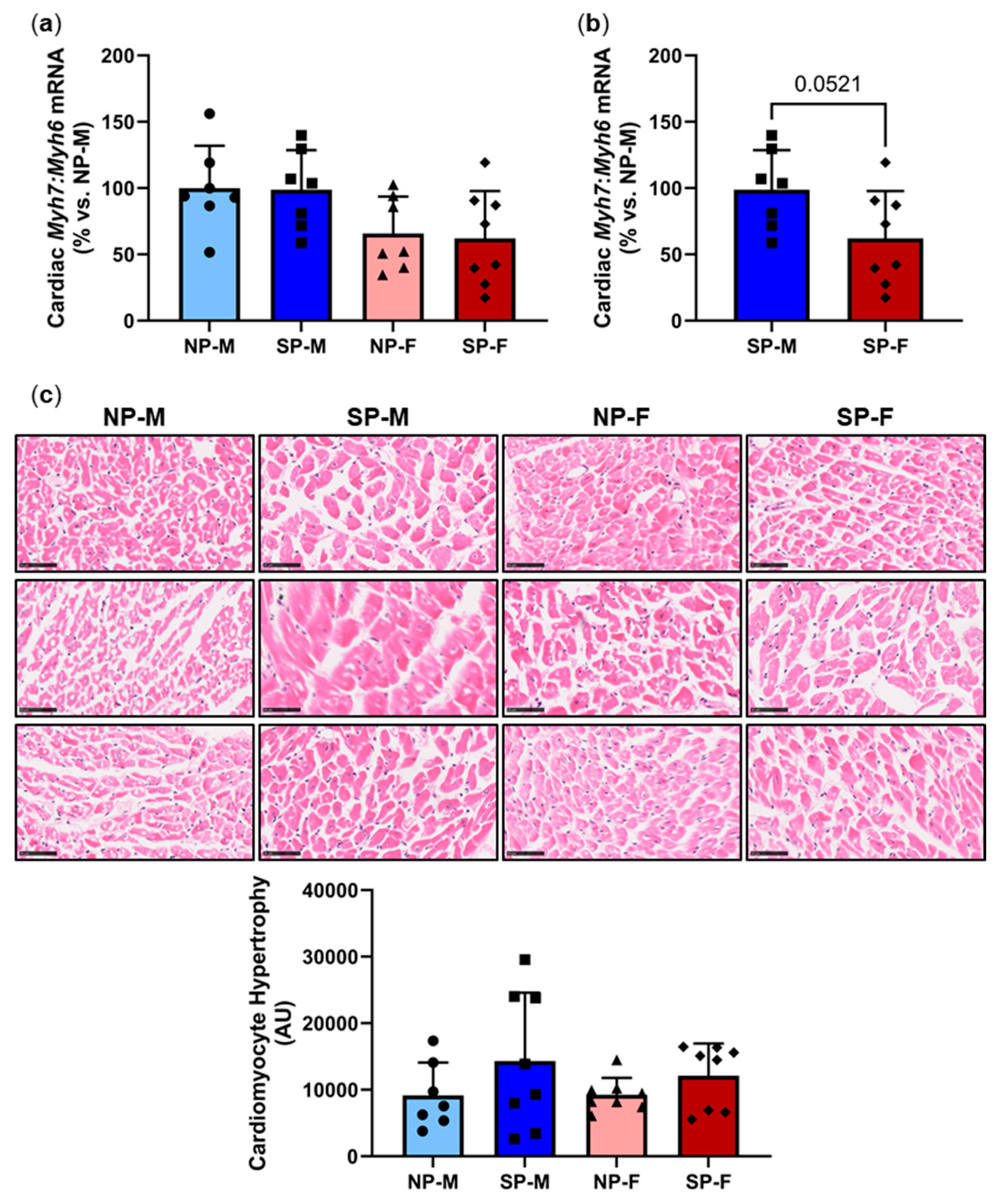
2.4. Differential Effects of a Short Photoperiod on Cardiac Hypertrophy Gene Expression and Cardiomyocyte Size in Male and Female P. obesus
2.5. Short Photoperiod Induces Adipocyte Hypertrophy in Visceral and Subcutaneous Depots
2.6. Short Photoperiod Reduces Visceral Expression of Adipocyte Differentiation Markers
2.7. Short Photoperiod Reduces Expression of Browning Marker Ucp1 in Males but Not Females
2.8. Short Photoperiod Induces Visceral Inflammation in Males but Not Females
3. Discussion
4. Materials and Methods
4.1. Animal Studies
4.2. Histological Analysis
4.3. Gene expression Analysis
4.4. Statistics
5. Conclusions
Supplementary Materials
Author Contributions
Funding
Institutional Review Board Statement
Informed Consent Statement
Data Availability Statement
Conflicts of Interest
References
- Arnold, S.V.; Bhatt, D.L.; Barsness, G.W.; Beatty, A.L.; Deedwania, P.C.; Inzucchi, S.E.; Kosiborod, M.; Leiter, L.A.; Lipska, K.J.; Newman, J.D.; et al. Clinical Management of Stable Coronary Artery Disease in Patients with Type 2 Diabetes Mellitus: A Scientific Statement From the American Heart Association. Circulation 2020, 141, e779–e806. [Google Scholar] [CrossRef] [PubMed]
- Bugger, H.; Abel, E.D. Molecular mechanisms of diabetic cardiomyopathy. Diabetologia 2014, 57, 660–671. [Google Scholar] [CrossRef] [PubMed]
- Nankivell, V.A.; Tan, J.T.M.; Wilsdon, L.A.; Morrison, K.R.; Bilu, C.; Psaltis, P.J.; Zimmet, P.; Kronfeld-Schor, N.; Nicholls, S.J.; Bursill, C.A.; et al. Circadian disruption by short light exposure and a high energy diet impairs glucose tolerance and increases cardiac fibrosis in Psammomys obesus. Sci. Rep. 2021, 11, 9673. [Google Scholar] [CrossRef] [PubMed]
- Chait, A.; den Hartigh, L.J. Adipose Tissue Distribution, Inflammation and Its Metabolic Consequences, Including Diabetes and Cardiovascular Disease. Front. Cardiovasc. Med. 2020, 7, 22. [Google Scholar] [CrossRef] [PubMed]
- Shah, A.; Mehta, N.; Reilly, M.P. Adipose inflammation, insulin resistance, and cardiovascular disease. JPEN J. Parenter. Enter. Nutr. 2008, 32, 638–644. [Google Scholar] [CrossRef] [PubMed]
- Lee, M.J.; Wu, Y.; Fried, S.K. Adipose tissue heterogeneity: Implication of depot differences in adipose tissue for obesity complications. Mol. Asp. Med. 2013, 34, 1–11. [Google Scholar] [CrossRef] [PubMed]
- Zimmet, P.; Alberti, K.; Stern, N.; Bilu, C.; El-Osta, A.; Einat, H.; Kronfeld-Schor, N. The Circadian Syndrome: Is the Metabolic Syndrome and much more! J. Intern. Med. 2019, 286, 181–191. [Google Scholar] [CrossRef] [PubMed]
- Panda, S. The arrival of circadian medicine. Nat. Rev. Endocrinol. 2019, 15, 67–69. [Google Scholar] [CrossRef] [PubMed]
- Wang, Y.; O’Neil, A.; Jiao, Y.; Wang, L.; Huang, J.; Lan, Y.; Zhu, Y.; Yu, C. Sex differences in the association between diabetes and risk of cardiovascular disease, cancer, and all-cause and cause-specific mortality: A systematic review and meta-analysis of 5,162,654 participants. BMC Med. 2019, 17, 136. [Google Scholar] [CrossRef]
- Bailey, M.; Silver, R. Sex differences in circadian timing systems: Implications for disease. Front. Neuroendocr. 2014, 35, 111–139. [Google Scholar] [CrossRef]
- Sahraoui, A.; Dewachter, C.; de Medina, G.; Naeije, R.; Aouichat Bouguerra, S.; Dewachter, L. Myocardial Structural and Biological Anomalies Induced by High Fat Diet in Psammomys obesus Gerbils. PLoS ONE 2016, 11, e0148117. [Google Scholar] [CrossRef] [PubMed]
- Bilu, C.; Zimmet, P.; Vishnevskia-Dai, V.; Einat, H.; Agam, G.; Grossman, E.; Kronfeld-Schor, N. Diurnality, Type 2 Diabetes, and Depressive-Like Behavior. J. Biol. Rhythm. 2019, 34, 69–83. [Google Scholar] [CrossRef] [PubMed]
- Tan, J.T.M.; Nankivell, V.A.; Bilu, C.; Shemesh, T.; Nicholls, S.J.; Zimmet, P.; Kronfeld-Schor, N.; Brown, A.; Bursill, C.A. High-Energy Diet and Shorter Light Exposure Drives Markers of Adipocyte Dysfunction in Visceral and Subcutaneous Adipose Depots of Psammomys obesus. Int. J. Mol. Sci. 2019, 20, 6291. [Google Scholar] [CrossRef] [PubMed]
- Bilu, C.; Kronfeld-Schor, N.; Zimmet, P.; Einat, H. Sex differences in the response to circadian disruption in diurnal sand rats. Chronobiol. Int. 2022, 39, 169–185. [Google Scholar] [CrossRef] [PubMed]
- Crnko, S.; Cour, M.; Van Laake, L.W.; Lecour, S. Vasculature on the clock: Circadian rhythm and vascular dysfunction. Vasc. Pharmacol. 2018, 108, 1–7. [Google Scholar] [CrossRef] [PubMed]
- Salans, L.B.; Knittle, J.L.; Hirsch, J. The role of adipose cell size and adipose tissue insulin sensitivity in the carbohydrate intolerance of human obesity. J. Clin. Investig. 1968, 47, 153–165. [Google Scholar] [CrossRef] [PubMed]
- Skurk, T.; Alberti-Huber, C.; Herder, C.; Hauner, H. Relationship between adipocyte size and adipokine expression and secretion. J. Clin. Endocrinol. Metab. 2007, 92, 1023–1033. [Google Scholar] [CrossRef] [PubMed]
- Rosen, E.D.; Hsu, C.H.; Wang, X.; Sakai, S.; Freeman, M.W.; Gonzalez, F.J.; Spiegelman, B.M. C/EBPalpha induces adipogenesis through PPARgamma: A unified pathway. Genes. Dev. 2002, 16, 22–26. [Google Scholar] [CrossRef]
- Contreras, C.; Nogueiras, R.; Diéguez, C.; Medina-Gómez, G.; López, M. Hypothalamus and thermogenesis: Heating the BAT, browning the WAT. Mol. Cell. Endocrinol. 2016, 438, 107–115. [Google Scholar] [CrossRef]
- Lizcano, F. The Beige Adipocyte as a Therapy for Metabolic Diseases. Int. J. Mol. Sci. 2019, 20, 5058. [Google Scholar] [CrossRef]
- Kohlgruber, A.; Lynch, L. Adipose tissue inflammation in the pathogenesis of type 2 diabetes. Curr. Diab Rep. 2015, 15, 92. [Google Scholar] [CrossRef] [PubMed]
- La Fleur, S.E.; Kalsbeek, A.; Wortel, J.; Fekkes, M.L.; Buijs, R.M. A daily rhythm in glucose tolerance: A role for the suprachiasmatic nucleus. Diabetes 2001, 50, 1237–1243. [Google Scholar] [CrossRef] [PubMed]
- Mason, I.C.; Qian, J.; Adler, G.K.; Scheer, F. Impact of circadian disruption on glucose metabolism: Implications for type 2 diabetes. Diabetologia 2020, 63, 462–472. [Google Scholar] [CrossRef] [PubMed]
- In Het Panhuis, W.; Schonke, M.; Siebeler, R.; Banen, D.; Pronk, A.C.M.; Streefland, T.C.M.; Afkir, S.; Sips, H.C.M.; Kroon, J.; Rensen, P.C.N.; et al. Circadian disruption impairs glucose homeostasis in male but not in female mice and is dependent on gonadal sex hormones. FASEB J. 2023, 37, e22772. [Google Scholar] [CrossRef] [PubMed]
- Chu, P.Y.; Walder, K.; Horlock, D.; Williams, D.; Nelson, E.; Byrne, M.; Jandeleit-Dahm, K.; Zimmet, P.; Kaye, D.M. CXCR4 Antagonism Attenuates the Development of Diabetic Cardiac Fibrosis. PLoS ONE 2015, 10, e0133616. [Google Scholar] [CrossRef] [PubMed]
- Iorga, A.; Cunningham, C.M.; Moazeni, S.; Ruffenach, G.; Umar, S.; Eghbali, M. The protective role of estrogen and estrogen receptors in cardiovascular disease and the controversial use of estrogen therapy. Biol. Sex. Differ. 2017, 8, 33. [Google Scholar] [CrossRef] [PubMed]
- Russo, I.; Frangogiannis, N.G. Diabetes-associated cardiac fibrosis: Cellular effectors, molecular mechanisms and therapeutic opportunities. J. Mol. Cell. Cardiol. 2016, 90, 84–93. [Google Scholar] [CrossRef] [PubMed]
- Filardi, T.; Ghinassi, B.; Di Baldassarre, A.; Tanzilli, G.; Morano, S.; Lenzi, A.; Basili, S.; Crescioli, C. Cardiomyopathy Associated with Diabetes: The Central Role of the Cardiomyocyte. Int. J. Mol. Sci. 2019, 20, 3299. [Google Scholar] [CrossRef]
- Condorelli, G.; Morisco, C.; Stassi, G.; Notte, A.; Farina, F.; Sgaramella, G.; de Rienzo, A.; Roncarati, R.; Trimarco, B.; Lembo, G. Increased cardiomyocyte apoptosis and changes in proapoptotic and antiapoptotic genes bax and bcl-2 during left ventricular adaptations to chronic pressure overload in the rat. Circulation 1999, 99, 3071–3078. [Google Scholar] [CrossRef]
- Liu, H.; Pedram, A.; Kim, J.K. Oestrogen prevents cardiomyocyte apoptosis by suppressing p38alpha-mediated activation of p53 and by down-regulating p53 inhibition on p38beta. Cardiovasc. Res. 2011, 89, 119–128. [Google Scholar] [CrossRef]
- Van Empel, V.P.; Bertrand, A.T.; Hofstra, L.; Crijns, H.J.; Doevendans, P.A.; De Windt, L.J. Myocyte apoptosis in heart failure. Cardiovasc. Res. 2005, 67, 21–29. [Google Scholar] [CrossRef] [PubMed]
- Viswambharan, H.; Carvas, J.M.; Antic, V.; Marecic, A.; Jud, C.; Zaugg, C.E.; Ming, X.F.; Montani, J.P.; Albrecht, U.; Yang, Z. Mutation of the circadian clock gene Per2 alters vascular endothelial function. Circulation 2007, 115, 2188–2195. [Google Scholar] [CrossRef] [PubMed]
- Alvord, V.M.; Kantra, E.J.; Pendergast, J.S. Estrogens and the circadian system. Semin. Cell Dev. Biol. 2022, 126, 56–65. [Google Scholar] [CrossRef] [PubMed]
- Laforest, S.; Labrecque, J.; Michaud, A.; Cianflone, K.; Tchernof, A. Adipocyte size as a determinant of metabolic disease and adipose tissue dysfunction. Crit. Rev. Clin. Lab. Sci. 2015, 52, 301–313. [Google Scholar] [CrossRef] [PubMed]
- Verboven, K.; Wouters, K.; Gaens, K.; Hansen, D.; Bijnen, M.; Wetzels, S.; Stehouwer, C.D.; Goossens, G.H.; Schalkwijk, C.G.; Blaak, E.E.; et al. Abdominal subcutaneous and visceral adipocyte size, lipolysis and inflammation relate to insulin resistance in male obese humans. Sci. Rep. 2018, 8, 4677. [Google Scholar] [CrossRef] [PubMed]
- Kautzky-Willer, A.; Harreiter, J.; Pacini, G. Sex and Gender Differences in Risk, Pathophysiology and Complications of Type 2 Diabetes Mellitus. Endocr. Rev. 2016, 37, 278–316. [Google Scholar] [CrossRef]
- Michaud, A.; Drolet, R.; Noël, S.; Paris, G.; Tchernof, A. Visceral fat accumulation is an indicator of adipose tissue macrophage infiltration in women. Metabolism 2012, 61, 689–698. [Google Scholar] [CrossRef]
- Fried, S.K.; Lee, M.-J.; Karastergiou, K. Shaping fat distribution: New insights into the molecular determinants of depot- and sex-dependent adipose biology. Obesity 2015, 23, 1345–1352. [Google Scholar] [CrossRef]
- Link, J.C.; Hasin-Brumshtein, Y.; Cantor, R.M.; Chen, X.; Arnold, A.P.; Lusis, A.J.; Reue, K. Diet, gonadal sex, and sex chromosome complement influence white adipose tissue miRNA expression. BMC Genom. 2017, 18, 89. [Google Scholar] [CrossRef] [PubMed]
- Schwartz, R.S.; Shuman, W.P.; Larson, V.; Cain, K.C.; Fellingham, G.W.; Beard, J.C.; Kahn, S.E.; Stratton, J.R.; Cerqueira, M.D.; Abrass, I.B. The effect of intensive endurance exercise training on body fat distribution in young and older men. Metabolism 1991, 40, 545–551. [Google Scholar] [CrossRef]
- Frias, J.P.; Macaraeg, G.B.; Ofrecio, J.; Yu, J.G.; Olefsky, J.M.; Kruszynska, Y.T. Decreased susceptibility to fatty acid-induced peripheral tissue insulin resistance in women. Diabetes 2001, 50, 1344–1350. [Google Scholar] [CrossRef]
- Snijder, M.B.; Dekker, J.M.; Visser, M.; Yudkin, J.S.; Stehouwer, C.D.; Bouter, L.M.; Heine, R.J.; Nijpels, G.; Seidell, J.C. Larger thigh and hip circumferences are associated with better glucose tolerance: The Hoorn study. Obes. Res. 2003, 11, 104–111. [Google Scholar] [CrossRef]
- Corrales, P.; Vidal-Puig, A.; Medina-Gomez, G. PPARs and Metabolic Disorders Associated with Challenged Adipose Tissue Plasticity. Int. J. Mol. Sci. 2018, 19, 2124. [Google Scholar] [CrossRef]
- Fruhbeck, G.; Gomez-Ambrosi, J. Control of body weight: A physiologic and transgenic perspective. Diabetologia 2003, 46, 143–172. [Google Scholar] [CrossRef]
- Lefterova, M.I.; Zhang, Y.; Steger, D.J.; Schupp, M.; Schug, J.; Cristancho, A.; Feng, D.; Zhuo, D.; Stoeckert, C.J., Jr.; Liu, X.S.; et al. PPARgamma and C/EBP factors orchestrate adipocyte biology via adjacent binding on a genome-wide scale. Genes. Dev. 2008, 22, 2941–2952. [Google Scholar] [CrossRef]
- Tramunt, B.; Smati, S.; Grandgeorge, N.; Lenfant, F.; Arnal, J.-F.; Montagner, A.; Gourdy, P. Sex differences in metabolic regulation and diabetes susceptibility. Diabetologia 2020, 63, 453–461. [Google Scholar] [CrossRef]
- Macotela, Y.; Boucher, J.; Tran, T.T.; Kahn, C.R. Sex and depot differences in adipocyte insulin sensitivity and glucose metabolism. Diabetes 2009, 58, 803–812. [Google Scholar] [CrossRef]
- Powell, C.S.; Blaylock, M.L.; Wang, R.; Hunter, H.L.; Johanning, G.L.; Nagy, T.R. Effects of energy expenditure and Ucp1 on photoperiod-induced weight gain in collard lemmings. Obes. Res. 2002, 10, 541–550. [Google Scholar] [CrossRef]
- Navarro-Masip, E.; Caron, A.; Mulero, M.; Arola, L.; Aragones, G. Photoperiodic Remodeling of Adiposity and Energy Metabolism in Non-Human Mammals. Int. J. Mol. Sci. 2023, 24, 1008. [Google Scholar] [CrossRef]
- Gibert-Ramos, A.; Ibars, M.; Salvado, M.J.; Crescenti, A. Response to the photoperiod in the white and brown adipose tissues of Fischer 344 rats fed a standard or cafeteria diet. J. Nutr. Biochem. 2019, 70, 82–90. [Google Scholar] [CrossRef]
- Valle, A.; Català-Niell, A.; Colom, B.; García-Palmer, F.J.; Oliver, J.; Roca, P. Sex-related differences in energy balance in response to caloric restriction. Am. J. Physiol.-Endocrinol. Metab. 2005, 289, E15–E22. [Google Scholar] [CrossRef][Green Version]
- Van den Beukel, J.C.; Grefhorst, A.; Hoogduijn, M.J.; Steenbergen, J.; Mastroberardino, P.G.; Dor, F.J.M.F.; Themmen, A.P.N. Women have more potential to induce browning of perirenal adipose tissue than men. Obesity 2015, 23, 1671–1679. [Google Scholar] [CrossRef]
- Cancello, R.; Henegar, C.; Viguerie, N.; Taleb, S.; Poitou, C.; Rouault, C.; Coupaye, M.; Pelloux, V.; Hugol, D.; Bouillot, J.L.; et al. Reduction of macrophage infiltration and chemoattractant gene expression changes in white adipose tissue of morbidly obese subjects after surgery-induced weight loss. Diabetes 2005, 54, 2277–2286. [Google Scholar] [CrossRef]
- Vohl, M.C.; Sladek, R.; Robitaille, J.; Gurd, S.; Marceau, P.; Richard, D.; Hudson, T.J.; Tchernof, A. A survey of genes differentially expressed in subcutaneous and visceral adipose tissue in men. Obes. Res. 2004, 12, 1217–1222. [Google Scholar] [CrossRef]
- Christiansen, T.; Richelsen, B.; Bruun, J.M. Monocyte chemoattractant protein-1 is produced in isolated adipocytes, associated with adiposity and reduced after weight loss in morbid obese subjects. Int. J. Obes. 2005, 29, 146–150. [Google Scholar] [CrossRef]
- Kim, C.S.; Park, H.S.; Kawada, T.; Kim, J.H.; Lim, D.; Hubbard, N.E.; Kwon, B.S.; Erickson, K.L.; Yu, R. Circulating levels of MCP-1 and IL-8 are elevated in human obese subjects and associated with obesity-related parameters. Int. J. Obes. 2006, 30, 1347–1355. [Google Scholar] [CrossRef]
- Samad, F.; Yamamoto, K.; Pandey, M.; Loskutoff, D.J. Elevated expression of transforming growth factor-beta in adipose tissue from obese mice. Mol. Med. 1997, 3, 37–48. [Google Scholar] [CrossRef]
- Kaiser, N.; Cerasi, E.; Leibowitz, G. Diet-induced diabetes in the sand rat (Psammomys obesus). Methods Mol. Biol. 2012, 933, 89–102. [Google Scholar] [CrossRef]
- Spolding, B.; Connor, T.; Wittmer, C.; Abreu, L.L.; Kaspi, A.; Ziemann, M.; Kaur, G.; Cooper, A.; Morrison, S.; Lee, S.; et al. Rapid development of non-alcoholic steatohepatitis in Psammomys obesus (Israeli sand rat). PLoS ONE 2014, 9, e92656. [Google Scholar] [CrossRef]









| NP-M | SP-M | NP-F | SP-F | |
|---|---|---|---|---|
| Body weight (g) | 260.4 ± 13.8 | 258.1 ± 27.9 | 217.6 ± 40.0 * | 223.1 ± 12.5 # |
| Baseline glucose (mM) | 6.4 ± 3.4 | 7.2 ± 2.8 | 6.1 ± 2.1 | 6.5 ± 2.5 |
| Independent Variable | Dependent Variable | Estimate | 95% CI | p Value | p Summary |
|---|---|---|---|---|---|
| Biological Sex | Intercept | 34.56 | 2.056 to 1976 | 0.035 | * |
| Ccl2 | 0.981 | 0.9531 to 0.9987 | 0.108 | ns | |
| Bax | 1.008 | 0.9726 to 1.047 | 0.670 | ns | |
| Per2 | 1.002 | 0.9897 to 1.016 | 0.752 | ns | |
| Myh7:Myh6 | 0.9712 | 0.9366 to 0.9977 | 0.058 | ns | |
| Photoperiod | Intercept | 4.17 | 0.2710 to 133.3 | 0.339 | ns |
| Ccl2 | 1.026 | 1.007 to 1.056 | 0.037 | * | |
| Bax | 0.9561 | 0.9092 to 0.9905 | 0.034 | * | |
| Per2 | 1.001 | 0.9902 to 1.015 | 0.831 | ns | |
| Myh7:Myh6 | 0.9877 | 0.9544 to 1.017 | 0.424 | ns |
| Adipose Tissue Depot | Independent Variable | Dependent Variable | Estimate | 95% CI | p Value | p Summary |
|---|---|---|---|---|---|---|
| Visceral | Biological Sex | Intercept | 0.4042 | 0.01679 to 4.918 | 0.504 | ns |
| Pparg | 0.994 | 0.9665 to 1.024 | 0.636 | ns | ||
| Cebpa | 0.9986 | 0.9761 to 1.021 | 0.895 | ns | ||
| Ucp1 | 1.025 | 1.006 to 1.056 | 0.033 | * | ||
| Photoperiod | Intercept | 330,417 | 59.25 to 2.548 × 1015 | 0.075 | ns | |
| Pparg | 0.8176 | 0.5991 to 0.9374 | 0.038 | * | ||
| Cebpa | 1.009 | 0.9337 to 1.112 | 0.820 | ns | ||
| Ucp1 | 0.9891 | 0.9329 to 1.026 | 0.603 | ns | ||
| Subcutaneous | Biological Sex | Intercept | 0.0003406 | 7.166 × 10−9 to 0.1203 | 0.040 | * |
| Pparg | 1.054 | 1.005 to 1.150 | 0.096 | ns | ||
| Cebpa | 0.9648 | 0.9034 to 1.004 | 0.162 | ns | ||
| Ucp1 | 1.099 | 1.029 to 1.249 | 0.039 | * | ||
| Photoperiod | Intercept | 1.31 | 0.05196 to 32.01 | 0.864 | ns | |
| Pparg | 1.006 | 0.9845 to 1.033 | 0.583 | ns | ||
| Cebpa | 0.9996 | 0.9785 to 1.021 | 0.970 | ns | ||
| Ucp1 | 0.9966 | 0.9670 to 1.027 | 0.814 | ns |
| Adipose Tissue Depot | Independent Variable | Dependent Variable | Estimate | 95% CI | p Value | p Summary |
|---|---|---|---|---|---|---|
| Visceral | Biological Sex | Intercept | 17.64 | 1.585 to 562.8 | 0.045 | * |
| Ccl2 | 0.9823 | 0.9622 to 0.9956 | 0.035 | * | ||
| Tgfb1 | 0.9938 | 0.9667 to 1.017 | 0.596 | ns | ||
| Cd68 | 1.003 | 0.9830 to 1.020 | 0.728 | ns | ||
| Photoperiod | Intercept | 0.2356 | 0.01742 to 1.860 | 0.213 | ns | |
| Ccl2 | 1.011 | 0.9999 to 1.029 | 0.106 | ns | ||
| Tgfb1 | 0.9894 | 0.9657 to 1.012 | 0.351 | ns | ||
| Cd68 | 1.011 | 0.9925 to 1.035 | 0.296 | ns | ||
| Subcutaneous | Biological Sex | Intercept | 0.1616 | 0.005404 to 1.471 | 0.158 | ns |
| Ccl2 | 1.108 | 1.009 to 1.318 | 0.115 | ns | ||
| Tgfb1 | 1.011 | 0.9997 to 1.030 | 0.137 | ns | ||
| Cd68 | 0.9884 | 0.9626 to 1.001 | 0.236 | ns | ||
| Photoperiod | Intercept | 0.3918 | 0.04577 to 2.635 | 0.348 | ns | |
| Ccl2 | 1.029 | 0.9774 to 1.099 | 0.306 | ns | ||
| Tgfb1 | 0.9961 | 0.9867 to 1.004 | 0.349 | ns | ||
| Cd68 | 1.007 | 0.9983 to 1.023 | 0.210 | ns |
Disclaimer/Publisher’s Note: The statements, opinions and data contained in all publications are solely those of the individual author(s) and contributor(s) and not of MDPI and/or the editor(s). MDPI and/or the editor(s) disclaim responsibility for any injury to people or property resulting from any ideas, methods, instructions or products referred to in the content. |
© 2024 by the authors. Licensee MDPI, Basel, Switzerland. This article is an open access article distributed under the terms and conditions of the Creative Commons Attribution (CC BY) license (https://creativecommons.org/licenses/by/4.0/).
Share and Cite
Tan, J.T.M.; Cheney, C.V.; Bamhare, N.E.S.; Hossin, T.; Bilu, C.; Sandeman, L.; Nankivell, V.A.; Solly, E.L.; Kronfeld-Schor, N.; Bursill, C.A. Female Psammomys obesus Are Protected from Circadian Disruption-Induced Glucose Intolerance, Cardiac Fibrosis and Adipocyte Dysfunction. Int. J. Mol. Sci. 2024, 25, 7265. https://doi.org/10.3390/ijms25137265
Tan JTM, Cheney CV, Bamhare NES, Hossin T, Bilu C, Sandeman L, Nankivell VA, Solly EL, Kronfeld-Schor N, Bursill CA. Female Psammomys obesus Are Protected from Circadian Disruption-Induced Glucose Intolerance, Cardiac Fibrosis and Adipocyte Dysfunction. International Journal of Molecular Sciences. 2024; 25(13):7265. https://doi.org/10.3390/ijms25137265
Chicago/Turabian StyleTan, Joanne T. M., Cate V. Cheney, Nicole E. S. Bamhare, Tasnim Hossin, Carmel Bilu, Lauren Sandeman, Victoria A. Nankivell, Emma L. Solly, Noga Kronfeld-Schor, and Christina A. Bursill. 2024. "Female Psammomys obesus Are Protected from Circadian Disruption-Induced Glucose Intolerance, Cardiac Fibrosis and Adipocyte Dysfunction" International Journal of Molecular Sciences 25, no. 13: 7265. https://doi.org/10.3390/ijms25137265
APA StyleTan, J. T. M., Cheney, C. V., Bamhare, N. E. S., Hossin, T., Bilu, C., Sandeman, L., Nankivell, V. A., Solly, E. L., Kronfeld-Schor, N., & Bursill, C. A. (2024). Female Psammomys obesus Are Protected from Circadian Disruption-Induced Glucose Intolerance, Cardiac Fibrosis and Adipocyte Dysfunction. International Journal of Molecular Sciences, 25(13), 7265. https://doi.org/10.3390/ijms25137265

