Evaluation of Prostate-Specific Membrane Antigen (PSMA) Immunohistochemical Expression in Early-Stage Breast Cancer Subtypes
Abstract
1. Introduction
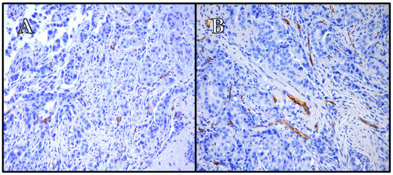
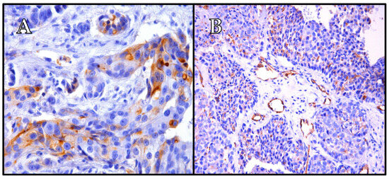
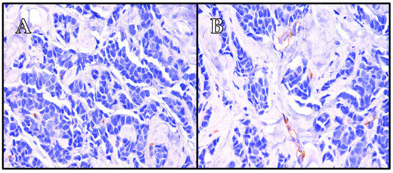
2. Results
- HER2-positive: 29 cases, including 12 HER2 non-luminal and 17 HER2 luminal cancers;
- Triple-negative breast cancer (TNBC): 19 cases;
- Luminal A-like: 25 cases;
- Luminal B-like: 25 cases.
2.1. Ki67 Level
2.2. Estrogen Receptor Expression
2.3. Progesterone Receptor Expression
2.4. HER2 Status
3. Discussion



4. Materials and Methods
4.1. Population
- Diagnosis of stage I or II breast cancer, indicating early-stage disease;
- Age lower than 50 years at the time of diagnosis.
- History of another malignancy;
- History of any prior oncological treatment;
- History of autoimmune disease;
- Undergoing immunosuppressive therapy.
4.2. Immunohistochemistry
4.3. Statistical Analysis
5. Conclusions
Author Contributions
Funding
Institutional Review Board Statement
Informed Consent Statement
Data Availability Statement
Conflicts of Interest
References
- Giaquinto, A.N.; Sung, H.; Miller, K.D.; Kramer, J.L.; Newman, L.A.; Minihan, A.; Jemal, A.; Siegel, R.L. Breast Cancer Statistics, 2022. CA Cancer J. Clin. 2022, 72, 524–541. [Google Scholar] [CrossRef] [PubMed]
- Cardoso, F.; Kyriakides, S.; Ohno, S.; Penault-Llorca, F.; Poortmans, P.; Rubio, I.T.; Zackrisson, S.; Senkus, E.; ESMO Guidelines Committee. Early breast cancer: ESMO Clinical Practice Guidelines for diagnosis, treatment and follow-up†. Ann. Oncol. 2019, 30, 1194–1220. [Google Scholar] [CrossRef] [PubMed]
- Ceci, F.; Oprea-Lager, D.E.; Emmett, L.; Adam, J.A.; Bomanji, J.; Czernin, J.; Eiber, M.; Haberkorn, U.; Hofman, M.S.; Hope, T.A.; et al. E-PSMA: The EANM standardized reporting guidelines v1.0 for PSMA-PET. Eur. J. Nucl. Med. Mol. Imaging 2021, 48, 1626–1638. [Google Scholar] [CrossRef] [PubMed]
- Denmeade, S. Prostate-Specific Membrane Antigen. In Encyclopedia of Cancer; Schwab, M., Ed.; Springer: Berlin/Heidelberg, Germany, 2016; pp. 3795–3800. [Google Scholar]
- O’Keefe, D.S.; Bacich, D.J.; Huang, S.S.; Heston, W.D.W. A Perspective on the Evolving Story of PSMA Biology, PSMA-Based Imaging, and Endoradiotherapeutic Strategies. J. Nucl. Med. Off. Publ. Soc. Nucl. Med. 2018, 59, 1007–1013. [Google Scholar] [CrossRef] [PubMed]
- Chang, S.S.; Reuter, V.E.; Heston, W.D.; Bander, N.H.; Grauer, L.S.; Gaudin, P.B. Five different anti-prostate-specific membrane antigen (PSMA) antibodies confirm PSMA expression in tumor-associated neovasculature. Cancer Res. 1999, 59, 3192–3198. [Google Scholar] [PubMed]
- Grant, C.L.; Caromile, L.A.; Ho, V.; Durrani, K.; Rahman, M.M.; Claffey, K.P.; Fong, G.H.; Shapiro, L.H. Prostate specific membrane antigen (PSMA) regulates angiogenesis independently of VEGF during ocular neovascularization. PLoS ONE 2012, 7, e41285. [Google Scholar] [CrossRef]
- De Galiza Barbosa, F.; Queiroz, M.A.; Nunes, R.F.; Costa, L.B.; Zaniboni, E.C.; Marin, J.F.G.; Cerri, G.G.; Buchpiguel, C.A. Nonprostatic diseases on PSMA PET imaging: A spectrum of benign and malignant findings. Cancer Imaging 2020, 20, 23. [Google Scholar] [CrossRef] [PubMed]
- Conway, R.E.; Rojas, C.; Alt, J.; Nováková, Z.; Richardson, S.M.; Rodrick, T.C.; Fuentes, J.L.; Richardson, N.H.; Attalla, J.; Stewart, S. Prostate-specific membrane antigen (PSMA)-mediated laminin proteolysis generates a pro-angiogenic peptide. Angiogenesis 2016, 19, 487–500. [Google Scholar] [CrossRef] [PubMed]
- Unger, C.; Bronsert, P.; Michalski, K.; Bicker, A.; Juhasz-Böss, I. Expression of Prostate Specific Membrane Antigen (PSMA) in Breast Cancer. Geburtshilfe Frauenheilkd 2022, 82, 50–58. [Google Scholar] [CrossRef]
- Tolkach, Y.; Gevensleben, H.; Bundschuh, R. Prostate-specific membrane antigen in breast cancer: A comprehensive evaluation of expression and a case report of radionuclide therapy. Breast Cancer Res. Treat. 2018, 169, 447–455. [Google Scholar] [CrossRef]
- Ross, J.S.; Schenkein, D.; Webb, I. Expression of prostate specific membrane antigen in the neo-vasculature of non-prostate cancers. J. Clin. Oncol. 2004, 22, 3110. [Google Scholar] [CrossRef]
- Wernicke, A.G.; Varma, S.; Greenwood, E.A.; Christos, P.J.; Chao, K.S.C.; Liu, H. Prostate-specific membrane antigen expression in tumor-associated vasculature of breast cancers. APMIS Acta Pathol. Microbiol. Immunol. Scand. 2014, 122, 482–489. [Google Scholar] [CrossRef]
- Kasoha, M.; Unger, C.; Solomayer, E.F.; Bohle, R.M.; Zaharia, C.; Khreich, F.; Wagenpfeil, S.; Juhasz-Böss, I. Prostate-specific membrane antigen (PSMA) expression in breast cancer and its metastases. Clin. Exp. Metastasis 2017, 34, 479–490. [Google Scholar] [CrossRef] [PubMed]
- Sartor, O.; de Bono, J.; Chi, K.N.; Fizazi, K.; Herrmann, K.; Rahbar, K.; Tagawa, S.T.; Nordquist, L.T.; Vaishampayan, N.; El-Haddad, G.; et al. Lutetium-177-PSMA-617 for Metastatic Castration-Resistant Prostate Cancer. N. Engl. J. Med. 2021, 385, 1091–1103. [Google Scholar] [CrossRef] [PubMed]
- Evans, J.C.; Malhotra, M.; Cryan, J.F.; O’Driscoll, C.M. The therapeutic and diagnostic potential of the prostate specific membrane antigen/glutamate carboxypeptidase II (PSMA/GCPII) in cancer and neurological disease. Br. J. Pharmacol. 2016, 173, 3041–3079. [Google Scholar] [CrossRef]
- Rahbar, K.; Ahmadzadehfar, H.; Kratochwil, C.; Haberkorn, U.; Schäfers, M.; Essler, M.; Baum, R.P.; Kulkarni, H.R.; Schmidt, M.; Drzezga, A.; et al. German Multicenter Study Investigating 177Lu-PSMA-617 Radioligand Therapy in Advanced Prostate Cancer Patients. J. Nucl. Med. Off. Publ. Soc. Nucl. Med. 2017, 58, 85–90. [Google Scholar]
- Almuradova, E.; Seyyar, M.; Arak, H.; Tamer, F.; Kefeli, U.; Koca, S.; Sen, E.; Telli, T.A.; Karatas, F.; Gokmen, I.; et al. The real-world outcomes of Lutetium-177 PSMA-617 radioligand therapy in metastatic castration-resistant prostate cancer: Turkish Oncology Group multicenter study. Int. J. Cancer 2024, 154, 692–700. [Google Scholar] [CrossRef]
- Kunikowska, J.; Czepczyński, R.; Pawlak, D.; Koziara, H.; Pełka, K.; Królicki, L. Expression of glutamate carboxypeptidase II in the glial tumor recurrence evaluated in vivo using radionuclide imaging. Sci. Rep. 2022, 12, 652. [Google Scholar] [CrossRef] [PubMed]
- Bertagna, F.; Albano, D.; Cerudelli, E.; Gazzilli, M.; Tomasini, D.; Bonù, M.; Giubbini, R.; Treglia, G. Radiolabelled PSMA PET/CT in breast cancer. A systematic review. Nucl. Med. Rev. Cent. East. Eur. 2020, 23, 32–35. [Google Scholar] [PubMed]
- Sathekge, M.; Lengana, T.; Modiselle, M.; Vorster, M.; Zeevaart, J.; Maes, A.; Ebenhan, T.; Van de Wiele, C. 68Ga-PSMA-HBED-CC PET imaging in breast carcinoma patients. Eur. J. Nucl. Med. Mol. Imaging 2017, 44, 689–694. [Google Scholar] [CrossRef]
- Turashvili, G.; Brogi, E. Tumor Heterogeneity in Breast Cancer. Front. Med. 2017, 4, 227. [Google Scholar] [CrossRef] [PubMed]
- Lu, B.; Natarajan, E.; Balaji Raghavendran, H.R.; Markandan, U.D. Molecular Classification, Treatment, and Genetic Biomarkers in Triple-Negative Breast Cancer: A Review. Technol. Cancer Res. Treat. 2023, 22, 153303382211452. [Google Scholar] [CrossRef] [PubMed]
- Ghosh, A.; Heston, W.D.W. Tumor target prostate specific membrane antigen (PSMA) and its regulation in prostate cancer. J. Cell Biochem. 2004, 91, 528–539. [Google Scholar] [CrossRef] [PubMed]
- Morgenroth, A.; Tinkir, E.; Vogg, A.T.J.; Sankaranarayanan, R.A.; Baazaoui, F.; Mottaghy, F.M. Targeting of prostate-specific membrane antigen for radio-ligand therapy of triple-negative breast cancer. Breast Cancer Res. 2019, 21, 116. [Google Scholar] [CrossRef] [PubMed]
- Nguyen, D.P.; Xiong, P.L.; Liu, H.; Pan, S.; Leconet, W.; Navarro, V.; Guo, M.; Moy, J.; Kim, S.; Ramirez-Fort, M.K.; et al. Induction of PSMA and internalisation of an anti-PSMA mAb in the vascular compartment. Mol. Cancer Res. 2016, 14, 1045–1053. [Google Scholar] [CrossRef] [PubMed]
- Eppard, E.; de la Fuente, A.; Benešová, M.; Khawar, A.; Bundschuh, R.A.; Gärtner, F.C.; Kreppel, B.; Kopka, K.; Essler, M.; Rösch, F. Clinical translation and first in-human use of [44Sc]Sc-PSMA-617 for PET imaging of metastasized castrate-resistant prostate cancer. Theranostics 2017, 7, 4359–4369. [Google Scholar] [CrossRef] [PubMed]
- Ruigrok, E.A.M.; van Vliet, N.; Dalm, S.U.; de Blois, E.; van Gent, D.C.; Haeck, J.; de Ridder, C.; Stuurman, D.; Konijnenberg, M.W.; van Weerden, W.M.; et al. Extensive preclinical evaluation of lutetium-177-labeled PSMA-specific tracers for prostate cancer radionuclide therapy. Eur. J. Nucl. Med. Mol. Imaging 2021, 48, 1339–1350. [Google Scholar] [CrossRef] [PubMed]
- Andryszak, N.; Świniuch, D.; Wójcik, E.; Ramlau, R.; Ruchała, M.; Czepczyński, R. Head-to-Head Comparison of [18F]PSMA-1007 and [18F]FDG PET/CT in Patients with Triple-Negative Breast Cancer. Cancers 2024, 16, 667. [Google Scholar] [CrossRef]




| Breast Cancer Subtype | Number of Patients | I Stage | II Stage | |
|---|---|---|---|---|
| HER2-positive | 29 | 12 non-luminal | 6 | 6 |
| 17 luminal | 9 | 8 | ||
| Triple-negative | 19 | 5 | 14 | |
| Luminal A | 25 | 19 | 6 | |
| Luminal B | 25 | 17 | 8 | |
| NEGATIVE PSMA EXPRESSION IN VESSELS | ||||||
|---|---|---|---|---|---|---|
| N | Mean | Median | Minimum | Maximum | SD | |
| ER% | 10 | 68.50 | 80.00 | 0.00 | 95.00 | 34.24 |
| PR% | 10 | 51.00 | 60.00 | 0.00 | 95.00 | 36.50 |
| Ki67 | 10 | 16.90 | 17.50 | 2.00 | 45.00 | 12.46 |
| FOCAL PSMA EXPRESSION IN VESSELS | ||||||
| N | Mean | Median | Minimum | Maximum | SD | |
| ER% | 27 | 60.74 | 80.00 | 0.00 | 95.00 | 40.61 |
| PR% | 27 | 40.93 | 30.00 | 0.00 | 95.00 | 39.52 |
| Ki67 | 27 | 36.74 | 35.00 | 2.00 | 90.00 | 20.85 |
| WEAKLY POSITIVE PSMA EXPRESSION IN VESSELS | ||||||
| N | Mean | Median | Minimum | Maximum | SD | |
| ER% | 19 | 68.95 | 80.00 | 0.00 | 95.00 | 34.54 |
| PR% | 19 | 42.63 | 40.00 | 0.00 | 95.00 | 35.33 |
| Ki67 | 19 | 43.00 | 35.00 | 2.00 | 90.00 | 21.34 |
| STRONGLY POSITIVE PSMA EXPRESSION IN VESSELS | ||||||
| N | Mean | Median | Minimum | Maximum | SD | |
| ER% | 42 | 35.95 | 10.00 | 0.00 | 95.00 | 41.01 |
| PR% | 42 | 17.05 | 0.00 | 0.00 | 90.00 | 30.96 |
| Ki67 | 42 | 51.46 | 50.00 | 15.00 | 90.00 | 23.25 |
| NEGATIVE PSMA EXPRESSION IN TUMOR CELLS | ||||||
|---|---|---|---|---|---|---|
| N | Mean | Median | Minimum | Maximum | SD | |
| ER% | 23 | 47.39 | 70.00 | 0.00 | 95.00 | 42.72 |
| PR% | 23 | 28.30 | 10.00 | 0.00 | 95.00 | 36.61 |
| Ki67 | 23 | 35.04 | 30.00 | 2.00 | 85.00 | 26.99 |
| FOCAL PSMA EXPRESSION IN TUMOR CELLS | ||||||
| N | Mean | Median | Minimum | Maximum | SD | |
| ER% | 59 | 58.14 | 80.00 | 0.00 | 95.00 | 39.25 |
| PR% | 59 | 34.05 | 10.00 | 0.00 | 95.00 | 37.19 |
| Ki67 | 59 | 42.28 | 40.00 | 2.00 | 90.00 | 21.40 |
| WEAKLY POSITIVE PSMA EXPRESSION IN TUMOR CELLS | ||||||
| N | Mean | Median | Minimum | Maximum | SD | |
| ER% | 10 | 45.00 | 45.00 | 0.00 | 95.00 | 45.70 |
| PR% | 10 | 36.10 | 20.50 | 0.00 | 90.00 | 40.51 |
| Ki67 | 10 | 52.00 | 47.50 | 20.00 | 90.00 | 24.29 |
| STRONGLY POSITIVE PSMA EXPRESSION IN TUMOR CELLS | ||||||
| N | Mean | Median | Minimum | Maximum | SD | |
| ER% | 4 | 0.00 | 0.00 | 0.00 | 0.00 | 0.00 |
| PR% | 4 | 0.00 | 0.00 | 0.00 | 0.00 | 0.00 |
| Ki67 | 4 | 61.25 | 65.00 | 30.00 | 85.00 | 25.94 |
Disclaimer/Publisher’s Note: The statements, opinions and data contained in all publications are solely those of the individual author(s) and contributor(s) and not of MDPI and/or the editor(s). MDPI and/or the editor(s) disclaim responsibility for any injury to people or property resulting from any ideas, methods, instructions or products referred to in the content. |
© 2024 by the authors. Licensee MDPI, Basel, Switzerland. This article is an open access article distributed under the terms and conditions of the Creative Commons Attribution (CC BY) license (https://creativecommons.org/licenses/by/4.0/).
Share and Cite
Andryszak, N.; Kurzawa, P.; Krzyżaniak, M.; Nowicki, M.; Ruchała, M.; Iżycki, D.; Czepczyński, R. Evaluation of Prostate-Specific Membrane Antigen (PSMA) Immunohistochemical Expression in Early-Stage Breast Cancer Subtypes. Int. J. Mol. Sci. 2024, 25, 6519. https://doi.org/10.3390/ijms25126519
Andryszak N, Kurzawa P, Krzyżaniak M, Nowicki M, Ruchała M, Iżycki D, Czepczyński R. Evaluation of Prostate-Specific Membrane Antigen (PSMA) Immunohistochemical Expression in Early-Stage Breast Cancer Subtypes. International Journal of Molecular Sciences. 2024; 25(12):6519. https://doi.org/10.3390/ijms25126519
Chicago/Turabian StyleAndryszak, Natalia, Paweł Kurzawa, Monika Krzyżaniak, Michał Nowicki, Marek Ruchała, Dariusz Iżycki, and Rafał Czepczyński. 2024. "Evaluation of Prostate-Specific Membrane Antigen (PSMA) Immunohistochemical Expression in Early-Stage Breast Cancer Subtypes" International Journal of Molecular Sciences 25, no. 12: 6519. https://doi.org/10.3390/ijms25126519
APA StyleAndryszak, N., Kurzawa, P., Krzyżaniak, M., Nowicki, M., Ruchała, M., Iżycki, D., & Czepczyński, R. (2024). Evaluation of Prostate-Specific Membrane Antigen (PSMA) Immunohistochemical Expression in Early-Stage Breast Cancer Subtypes. International Journal of Molecular Sciences, 25(12), 6519. https://doi.org/10.3390/ijms25126519

