Assessment of the Effect on Periodontitis of Antibiotic Therapy and Bacterial Lysate Treatment
Abstract
1. Introduction
2. Results
2.1. Hematological Examination Results
2.2. Immunological Examination Results
2.3. Microbiological Examination Results
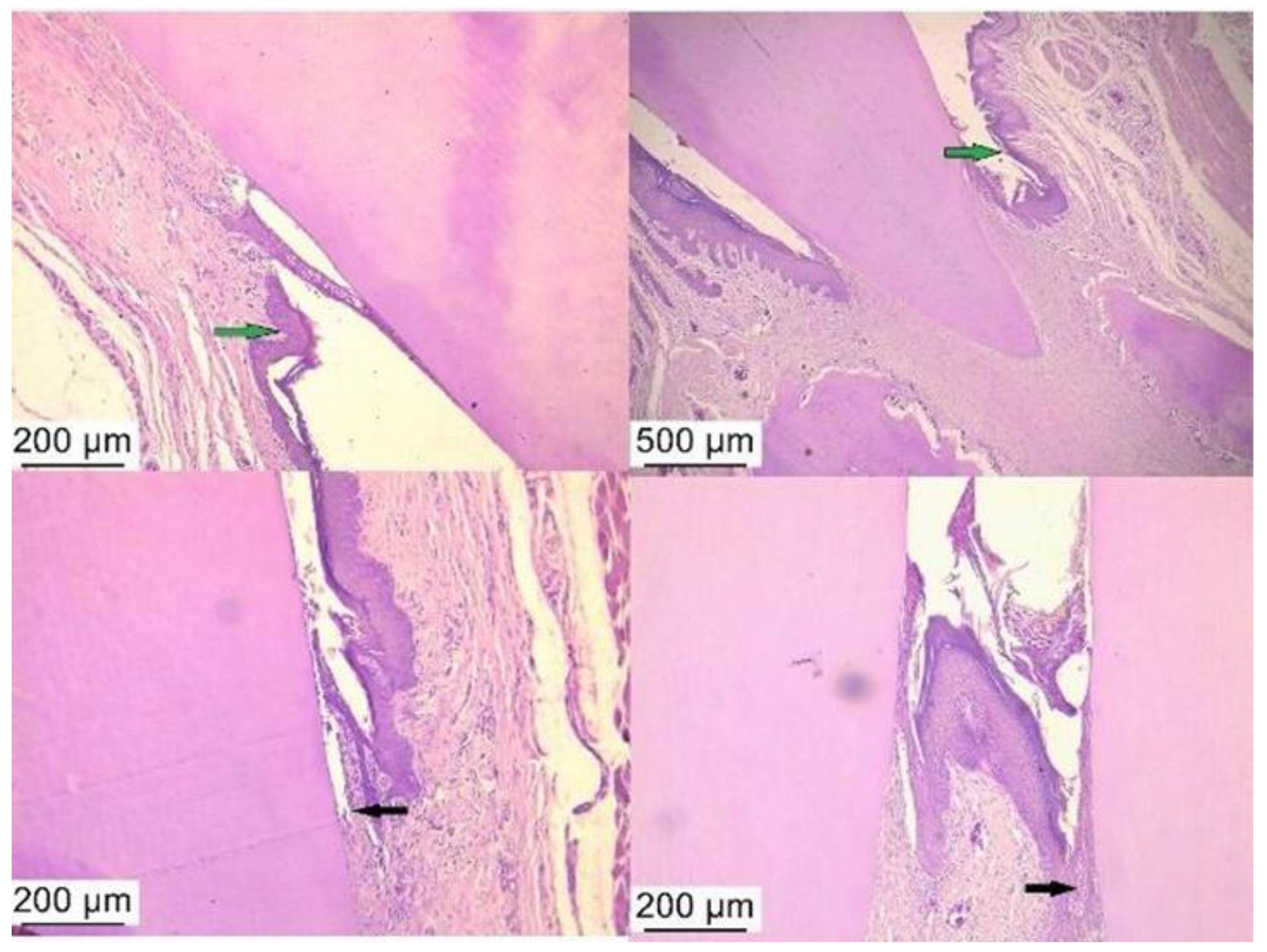
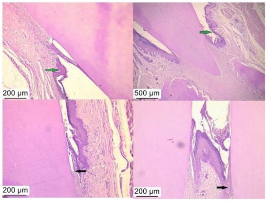
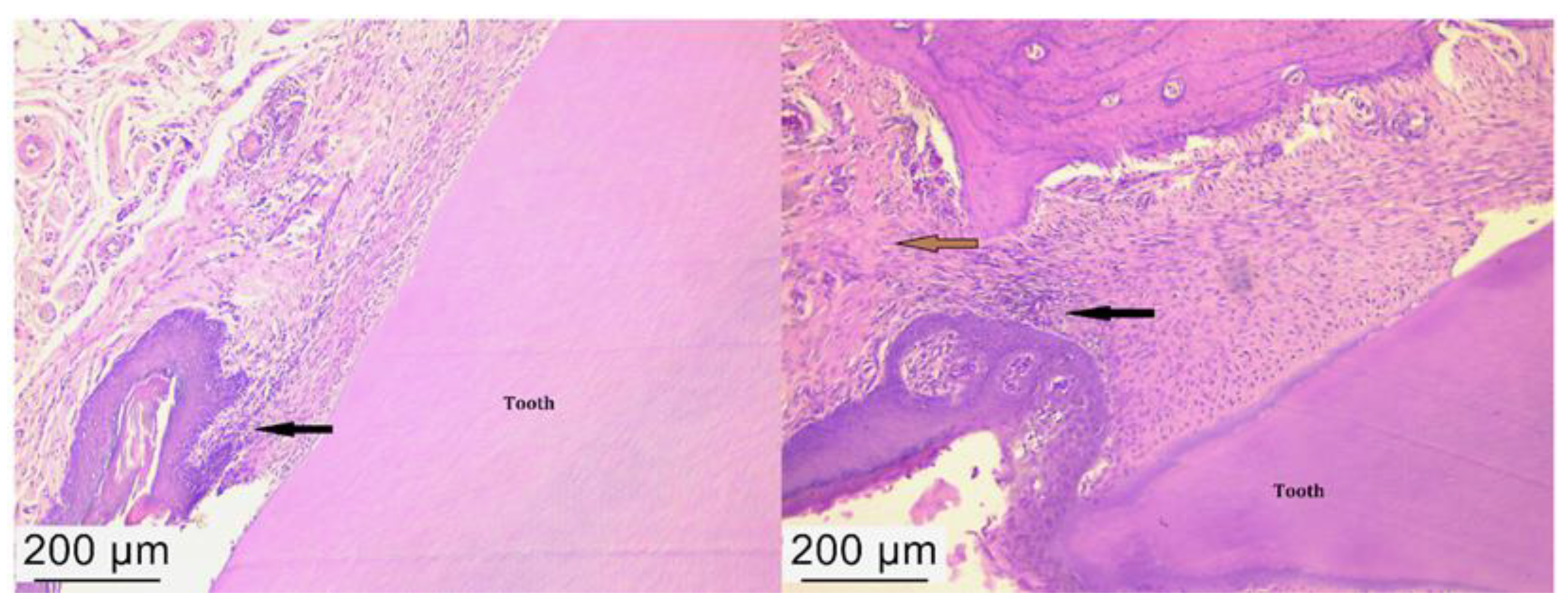
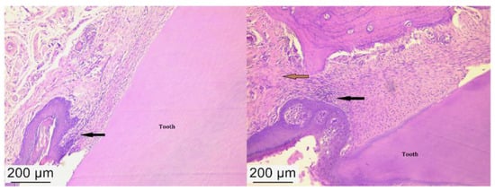
2.4. Histopathological Examination Results
3. Discussion
4. Materials and Methods
4.1. Ethics Statement
4.2. Bacterial Cultures and Their Processing
4.3. Bacterial Lysate
4.4. Animal Selection
4.5. Periodontitis Rat Model Protocol
4.6. Therapeutic Scheme Applied to Rats with Periodontitis
4.7. Animal Monitoring and Analysis
4.8. Statistical Analysis
5. Conclusions
Author Contributions
Funding
Institutional Review Board Statement
Informed Consent Statement
Data Availability Statement
Acknowledgments
Conflicts of Interest
References
- Nazir, M.; Al-Ansari, A.; Al-Khalifa, K.; Alhareky, M.; Gaffar, B.; Almas, K. Global Prevalence of Periodontal Disease and Lack of Its Surveillance. Sci. World J. 2020, 2020, 2146160. [Google Scholar] [CrossRef]
- GBD 2016 Disease and Injury Incidence and Prevalence Collaborators. Global, regional, and national incidence, prevalence, and years lived with disability for 328 diseases and injuries for 195 countries, 1990–2016: A systematic analysis for the Global Burden of Disease Study 2016. Lancet 2017, 390, 1211–1259. [Google Scholar] [CrossRef] [PubMed]
- Bhattarai, G.; Poudel, S.B.; Kook, S.H.; Lee, J.C. Resveratrol prevents alveolar bone loss in an experimental rat model of periodontitis. Acta Biomater. 2016, 29, 398–408. [Google Scholar] [CrossRef] [PubMed]
- Ancuta, D.L.; Alexandru, D.M.; Crivineanu, M.; Coman, C. Induction of Periodontitis Using Bacterial Strains Isolated from the Human Oral Microbiome in an Experimental Rat Model. Biomedicines 2023, 11, 2098. [Google Scholar] [CrossRef]
- Eke, P.I.; Dye, B.A.; Wei, L.; Slade, G.D.; Thornton-Evans, G.O.; Borgnakke, W.S.; Taylor, G.W.; Page, R.C.; Beck, J.D.; Genco, R.J. Update on Prevalence of Periodontitis in Adults in the United States: NHANES 2009 to 2012. J. Periodontol. 2015, 86, 611–622. [Google Scholar] [CrossRef] [PubMed]
- Okuda, K.; Kato, T.; Ishihara, K. Involvement of periodontopathic biofilm in vascular diseases. Oral Dis. 2004, 10, 5–12. [Google Scholar] [CrossRef] [PubMed]
- Brennan, C.A.; Garrett, W.S. Fusobacterium nucleatum—Symbiont, opportunist and oncobacterium. Nat. Rev. Microbiol. 2019, 17, 156–166. [Google Scholar] [CrossRef]
- Leonov, G.E.; Varaeva, Y.R.; Livantsova, E.N.; Starodubova, A.V. The Complicated Relationship of Short-Chain Fatty Acids and Oral Microbiome: A Narrative Review. Biomedicines 2023, 11, 2749. [Google Scholar] [CrossRef] [PubMed]
- Kantarci, A.; Hasturk, H.; Van Dyke, T.E. Animal models for periodontal regeneration and peri-implant responses. Periodontology 2000 2015, 68, 66–82. [Google Scholar] [CrossRef]
- Proff, P.; Schröder, A.; Seyler, L.; Wolf, F.; Korkmaz, Y.; Bäuerle, T.; Gölz, L.; Kirschneck, C. Local Vascularization during Orthodontic Tooth Movement in a Split Mouth Rat Model—A MRI Study. Biomedicines 2020, 8, 632. [Google Scholar] [CrossRef]
- Moiseev, D.; Donskov, S.; Dubrovin, I.; Kulyukina, M.; Vasil’ev, Y.; Volel, B.; Shadieva, S.; Babaev, A.; Shevelyuk, J.; Utyuzh, A.; et al. A New Way to Model Periodontitis in Laboratory Animals. Dent. J. 2023, 11, 219. [Google Scholar] [CrossRef]
- Graves, D.T.; Kang, J.; Andriankaja, O.; Wada, K.; Rossa, C., Jr. Animal models to study host-bacteria interactions involved in periodontitis. Front. Oral Biol. 2012, 15, 117–132. [Google Scholar] [CrossRef] [PubMed]
- Blank, E.; Grischke, J.; Winkel, A.; Eberhard, J.; Kommerein, N.; Doll, K.; Yang, I.; Stiesch, M. Evaluation of biofilm colonization on multi-part dental implants in a rat model. BMC Oral Health 2021, 21, 313. [Google Scholar] [CrossRef] [PubMed]
- Hajishengallis, G.; Kajikawa, T.; Hajishengallis, E.; Maekawa, T.; Reis, E.S.; Mastellos, D.C.; Yancopoulou, D.; Hasturk, H.; Lambris, J.D. Complement-Dependent Mechanisms and Interventions in Periodontal Disease. Front. Immunol. 2019, 10, 406. [Google Scholar] [CrossRef] [PubMed]
- Alvarez, C.; Rojas, C.; Rojas, L.; Cafferata, E.A.; Monasterio, G.; Vernal, R. Regulatory T Lymphocytes in Periodontitis: A Translational View. Mediat. Inflamm. 2018, 2018, 7806912. [Google Scholar] [CrossRef] [PubMed]
- Sima, C.; Viniegra, A.; Glogauer, M. Macrophage immunomodulation in chronic osteolytic diseases-the case of periodontitis. J. Leukoc. Biol. 2019, 105, 473–487. [Google Scholar] [CrossRef] [PubMed]
- Balta, M.G.; Papathanasiou, E.; Blix, I.J.; Van Dyke, T.E. Host Modulation and Treatment of Periodontal Disease. J. Dent. Res. 2021, 100, 798–809. [Google Scholar] [CrossRef]
- Slots, J. Low-cost periodontal therapy. Periodontology 2000 2012, 60, 110–137. [Google Scholar] [CrossRef] [PubMed]
- Heitz-Mayfield, L.J. How effective is surgical therapy compared with nonsurgical debridement? Periodontology 2000 2005, 37, 72–87. [Google Scholar] [CrossRef]
- Zou, J.; Zeng, Z.; Xie, W.; Zeng, Z. Immunotherapy with regulatory T and B cells in periodontitis. Int. Immunopharmacol. 2022, 109, 108797. [Google Scholar] [CrossRef]
- Ancuța, D.L.; Vuță, V.; Șalgău, C.; Bărbuceanu, F.; Coman, C. Innovative treatment against human periodontitis and periimplantitis—In vitro study. Farmacia 2024, 72, 125–131. [Google Scholar] [CrossRef]
- Irwin, C.R.; Myrillas, T.T. The role of IL-6 in the pathogenesis of periodontal disease. Oral Dis. 1998, 4, 43–47. [Google Scholar] [CrossRef] [PubMed]
- Bleich, A.; Mähler, M.; Most, C.; Leiter, E.H.; Liebler-Tenorio, E.; Elson, C.O.; Hedrich, H.J.; Schlegelberger, B.; Sundberg, J.P. Refined histopathologic scoring system improves power to detect colitis QTL in mice. Mamm. Genome 2004, 15, 865–871. [Google Scholar] [CrossRef] [PubMed]
- Schwarz, F.; Derks, J.; Monje, A.; Wang, H.-L. Peri-Implantitis. J. Clin. Periodontol. 2018, 45, S246–S266. [Google Scholar] [CrossRef]
- De Waal, Y.C.M.; Vangsted, T.E.; Van Winkelhoff, A.J. Systemic Antibiotic Therapy as an Adjunct to Non-Surgical Peri-Implantitis Treatment: A Single-Blind RCT. J. Clin. Periodontol. 2021, 48, 996–1006. [Google Scholar] [CrossRef] [PubMed]
- Renvert, S.; Roos-Jansåker, A.-M.; Claffey, N. Non-Surgical Treatment of Peri-Implant Mucositis and Peri-Implantitis: A Literature Review. J. Clin. Periodontol. 2008, 35, 305–315. [Google Scholar] [CrossRef] [PubMed]
- Doğan, B.; Kemer Doğan, E.S.; Özmen, Ö.; Fentoğlu, Ö.; Kırzıoğlu, F.Y.; Calapoğlu, M. Synergistic Effect of Omega-3 and Probiotic Supplementation on Preventing Ligature-Induced Periodontitis. Probiotics Antimicrob. Proteins 2022, 14, 114–120. [Google Scholar] [CrossRef] [PubMed]
- Martin-Cabezas, R.; Davideau, J.L.; Tenenbaum, H.; Huck, O. Clinical efficacy of probiotics as an adjunctive therapy to non-surgical periodontal treatment of chronic periodontitis: A systematic review and meta-analysis. J. Clin. Periodontol. 2016, 43, 520–530. [Google Scholar] [CrossRef]
- İnce, G.; Gürsoy, H.; İpçi, Ş.D.; Cakar, G.; Emekli-Alturfan, E.; Yılmaz, S. Clinical and Biochemical Evaluation of Lozenges Containing Lactobacillus reuteri as an Adjunct to Non-Surgical Periodontal Therapy in Chronic Periodontitis. J. Periodontol. 2015, 86, 746–754. [Google Scholar] [CrossRef]
- Horz, H.P.; Meinelt, A.; Houben, B.; Conrads, G. Distribution and persistence of probiotic Streptococcus salivarius K12 in the human oral cavity as determined by real-time quantitative polymerase chain reaction. Oral Microbiol. Immunol. 2007, 22, 126–130. [Google Scholar] [CrossRef]
- Zidar, A.; Kristl, J.; Kocbek, P.; Zupančič, Š. Treatment challenges and delivery systems in immunomodulation and probiotic therapies for periodontitis. Expert Opin. Drug Deliv. 2021, 18, 1229–1244. [Google Scholar] [CrossRef]
- Wang, L.; Guan, N.; Jin, Y.; Lin, X.; Gao, H. Subcutaneous vaccination with Porphyromonas gingivalis ameliorates periodontitis by modulating Th17/Treg imbalance in a murine model. Int. Immunopharmacol. 2015, 25, 65–73. [Google Scholar] [CrossRef]
- Nuñez, J.; Vignoletti, F.; Caffesse, R.G.; Sanz, M. Cellular therapy in periodontal regeneration. Periodontology 2000 2019, 79, 107–116. [Google Scholar] [CrossRef]
- Brodzikowska, A.; Górska, R.; Kowalski, J. Interleukin-1 Genotype in Periodontitis. Arch. Immunol. Ther. Exp. 2019, 67, 367–373. [Google Scholar] [CrossRef]
- Murakami-Malaquias-da-Silva, F.; Rosa, E.P.; Oliveira, J.G.; Avelar, I.S.; Palma-Cruz, M.; Silva, J.G.; Rigonato-Oliveira, N.C.; Bussadori, S.K.; Negreiros, R.M.; Ligeiro-de-Oliveira, A.P.; et al. The role of periodontal treatment associated with photodynamic therapy on the modulation of systemic inflammation in the experimental model of asthma and periodontitis. Photodiagnosis Photodyn. Ther. 2020, 29, 101619. [Google Scholar] [CrossRef]
- Jurkiewicz, D.; Zielnik-Jurkiewicz, B. Bacterial lysates in the prevention of respiratory tract infections. Pol. J. Otolaryngol. 2018, 72, 1–8. [Google Scholar] [CrossRef]
- Bhattacharya, H.S.; Srivastava, R.; Gummaluri, S.S.; Agarwal, M.C.; Bhattacharya, P.; Astekar, M.S. Comparison of blood parameters between periodontitis patients and healthy participants: A cross-sectional hematological study. J. Oral Maxillofac. Pathol. 2022, 26, 77–81. [Google Scholar] [CrossRef] [PubMed] [PubMed Central]
- Ryder, M.I. Comparison of neutrophil functions in aggressive and chronic periodontitis. Periodontology 2000 2010, 53, 124–137. [Google Scholar] [CrossRef]
- Ievtushenko, M.; Koshova, A.; Kryzhna, S.; Tyupka, T. Study of the influence of bacterial lysate on oxidative stress indicators in experimental periodontis in rats. Likarska Sprav. 2020, 7–8, 50–55. [Google Scholar] [CrossRef]
- Hirschfeld, J. Dynamic interactions of neutrophils and biofilms. J. Oral Microbiol. 2014, 6, 26102. [Google Scholar] [CrossRef]
- Belkaid, Y.; Hand, T.W. Role of the microbiota in immunity and inflammation. Cell 2014, 157, 121–141. [Google Scholar] [CrossRef]
- Ryder, M.I.; Couch, E.T.; Chaffee, B.W. Personalized periodontal treatment for the tobacco- and alcohol-using patient. Periodontology 2000 2018, 78, 30–46. [Google Scholar] [CrossRef]
- Suh, J.S.; Kim, S.; Boström, K.I.; Wang, C.Y.; Kim, R.H.; Park, N.H. Periodontitis-induced systemic inflammation exacerbates atherosclerosis partly via endothelial-mesenchymal transition in mice. Int. J. Oral Sci. 2019, 11, 21. [Google Scholar] [CrossRef]
- Meng, L.; Yang, Y.; Hu, X.; Zhang, R.; Li, X. Prognostic value of the pretreatment systemic immune-inflammation index in patients with prostate cancer: A systematic review and meta-analysis. J. Transl. Med. 2023, 21, 79. [Google Scholar] [CrossRef]
- Cao, R.; Li, C.; Geng, F.; Pan, Y. J-shaped association between systemic immune-inflammation index and periodontitis: Results from NHANES 2009–2014. J. Periodontol. 2023; Advance online publication. [Google Scholar] [CrossRef]
- Mishra, S.; Johnson, L.; Gazala, M.P.; Dahiya, S.; Rahman, W.; Sreeraj, V.S. Systemic immune-inflammation index in patients with generalized stage III grade C periodontitis. Oral Dis. 2023, 29, 3599–3609. [Google Scholar] [CrossRef]
- Hao, Y.; Li, S.; Dong, S.; Niu, L. The Association between Tooth Loss and Insulin Resistance Mediated by Diet Quality and Systemic Immunoinflammatory Index. Nutrients 2023, 15, 5008. [Google Scholar] [CrossRef]
- Hu, B.; Yang, X.R.; Xu, Y.; Sun, Y.F.; Sun, C.; Guo, W.; Zhang, X.; Wang, W.M.; Qiu, S.J.; Zhou, J.; et al. Systemic immune-inflammation index predicts prognosis of patients after curative resection for hepatocellular carcinoma. Clin. Cancer Res. 2014, 20, 6212–6222. [Google Scholar] [CrossRef]
- Isola, G. Advances in biomarkers and diagnostics in periodontitis and oral diseases. Int. J. Environ. Res. Public Health 2021, 18, 1886. [Google Scholar] [CrossRef]
- Kowalski, J.; Nowak, M.; Górski, B.; Górska, R. What Has Immunology Brought to Periodontal Disease in Recent Years? Arch. Immunol. Ther. Exp. 2022, 70, 26. [Google Scholar] [CrossRef]
- Kang, S.; Narazaki, M.; Metwally, H.; Kishimoto, T. Historical overview of the interleukin-6 family cytokine. J. Exp. Med. 2020, 4, 217, Erratum in J. Exp. Med. 2020, 217, e20190347. [Google Scholar] [CrossRef]
- Nibali, L.; Fedele, S.; D’Aiuto, F.; Donos, N. Interleukin-6 in oral diseases: A review. Oral Dis. 2012, 18, 236–243. [Google Scholar] [CrossRef]
- Kaur, S.; Bansal, Y.; Kumar, R.; Bansal, G. A panoramic review of IL-6: Structure, pathophysiological roles and inhibitors. Bioorg. Med. Chem. 2020, 28, 115327. [Google Scholar] [CrossRef]
- Ptasiewicz, M.; Grywalska, E.; Mertowska, P.; Korona-Głowniak, I.; Poniewierska-Baran, A.; Niedźwiedzka-Rystwej, P.; Chałas, R. Armed to the Teeth-The Oral Mucosa Immunity System and Microbiota. Int. J. Mol. Sci. 2022, 23, 882. [Google Scholar] [CrossRef]
- Ptasiewicz, M.; Bębnowska, D.; Małkowska, P.; Sierawska, O.; Poniewierska-Baran, A.; Hrynkiewicz, R.; Niedźwiedzka-Rystwej, P.; Grywalska, E.; Chałas, R. Immunoglobulin Disorders and the Oral Cavity: A Narrative Review. J. Clin. Med. 2022, 11, 4873. [Google Scholar] [CrossRef]
- Kudo, O.; Sabokbar, A.; Pocock, A.; Itonaga, I.; Fujikawa, Y.; Athanasou, N.A. Interleukin-6 and interleukin-11 support human osteoclast formation by a RANKL-independent mechanism. Bone 2003, 32, 1–7. [Google Scholar] [CrossRef]
- Shyu, K.G.; Choy, C.S.; Wang, D.C.; Huang, W.C.; Chen, S.Y.; Chen, C.H.; Lin, C.T.; Chang, C.C.; Huang, Y.K. Change of scaling-induced proinflammatory cytokine on the clinical efficacy of periodontitis treatment. Sci. World J. 2015, 2015, 289647. [Google Scholar] [CrossRef]
- Wu, K.J.; Tu, C.C.; Hu, J.X.; Chu, P.H.; Ma, K.S.; Chiu, H.Y.; Kuo, M.Y.; Tsai, T.F.; Chen, Y.W. Severity of periodontitis and salivary interleukin-1β are associated with psoriasis involvement. J. Formos. Med. Assoc. 2022, 121, 1908–1916. [Google Scholar] [CrossRef]
- Rudick, C.P.; Lang, M.S.; Miyamoto, T. Understanding the pathophysiology behind chairside diagnostics and genetic testing for IL-1 and IL-6. Oral Dis. 2019, 25, 1879–1885. [Google Scholar] [CrossRef]
- Kim, J.H.; Goo, B.H.; Nam, S.S.; Park, Y.C. A review of rat models of periodontitis treated with natural extracts. J. Tradit. Chin. Med. Sci. 2020, 7, 95–103. [Google Scholar] [CrossRef]
- Irie, M.S.; Rabelo, G.D.; Spin-Neto, R.; Dechichi, P.; Borges, J.S.; Soares, P.B.F. Use of micro-computed tomography for bone evaluation in dentistry. Braz. Dent. J. 2018, 29, 227–238. [Google Scholar] [CrossRef]
- Shim, J.; Iwaya, C.; Ambrose, C.G.; Suzuki, A.; Iwata, J. Micro-computed tomography assessment of bone structure in aging mice. Sci. Rep. 2022, 12, 8117. [Google Scholar] [CrossRef]
- Boca, C.; Truyen, B.; Henin, L.; Schulte, A.G.; Stachniss, V.; De Clerck, N.; Bottenberg, P. Comparison of micro-CT imaging and histology for approximal caries detection. Sci. Rep. 2017, 7, 6680. [Google Scholar] [CrossRef]
- Arifin, W.N.; Zahiruddin, W.M. Sample Size Calculation in Animal Studies Using Resource Equation Approach. MJMS 2017, 24, 101–105. [Google Scholar] [CrossRef]
- Serdar, C.C.; Cihan, M.; Yücel, D.; Serdar, M.A. Sample size, power and effect size revisited: Simplified and practical approaches in pre-clinical, clinical and laboratory studies. Biochem. Medica 2021, 31, 010502. [Google Scholar] [CrossRef]







| Hematological Parameter (Mean ± SD) | Control Group | Antibiotic and Anti-Inflammatory Group | Bacterial Lysates Group | |||
|---|---|---|---|---|---|---|
| Day 0 | Final Day | Day 0 | Final Day | Day 0 | Final Day | |
| WBC, K/µL | 12.25 ± 2.83 | 6.72 ± 1.70 | 14.00 ± 2.85 | 10.92 ± 0.30 | 12.34 ± 4.84 | 4.0 1 ± 2.29 |
| p < 0.001 | p < 0.05 | p < 0.001 | ||||
| HGB, g/dL | 16.76 ± 1.31 | 16.07 ± 1.09 | 16.34 ± 0.91 | 15.1 ± 1.57 | 15.85 ± 0.77 | 14.05 ± 3.32 |
| ns (not significant) | ns | ns | ||||
| RBC, M/µL | 9.45 ± 0.75 | 9.32 ± 0.45 | 9.01 ± 0.73 | 7.91 ± 0.91 | 8.73 ± 0.51 | 8.05 ± 1.81 |
| ns | ns | ns | ||||
| MCH, pg | 17.75 ± 0.77 | 17.22 ± 0.92 | 18.18 ± 0.98 | 19.1 ± 0.95 | 18.15 ± 0.21 | 17.45 ± 0.21 |
| ns | ns | ns | ||||
| MCHC, g/dL | 35.65 ± 0.64 | 34.5 ± 0.60 | 36.12 ± 0.63 | 35 ± 0.45 | 35.9 ± 0.70 | 34.8 ± 0.42 |
| ns | ns | ns | ||||
| PLT, K/µL | 743.83 ± 169.64 | 964.75 ± 94.10 | 616.85 ± 69.27 | 701.66 ± 512.24 | 530 ± 11.31 | 918.5 ± 229.80 |
| p < 0.05 | ns | p < 0.05 | ||||
| ID | Microorganisms Identification | Score |
|---|---|---|
| Control 1 | Staphylococcus sciuri | 1.93 |
| Control 2 | Micrococcus luteus | 1.76 |
| Control 3 | Aggregatibacter actinomycemcomitans | 0.57 |
| Control 4 | Streptococcus oralis | 1.45 |
| Control 5 | Staphylococcus xylosus | 2.87 |
| Antibiotic and anti-inflammatory group 1 | Unidentified organism | 1.45 |
| Antibiotic and anti-inflammatory group 2 | Corynebacterium minutissimum | 1.63 |
| Antibiotic and anti-inflammatory group 3 | Unidentified organism | 0.22 |
| Bacterial lysates group 4 | Unidentified organism | 1.19 |
| Bacterial lysates group 5 | Staphylococcus epidermidis | 1.84 |
| Highly reliable identification | 2.00–3.00 | |
| Low confidence identification | 1.70–1.99 | |
| Not possible to identify organism | 0.00–0.69 | |
| Parameter | Score | Incidence of Lesions | Group |
|---|---|---|---|
| Inflammatory infiltrate in periodontal connective tissue | 0 | No neutrophils/macrophages in the microscopic field | Antibiotic and anti-inflammatory group Bacterial lysates group |
| 1 | Reduced neutrophil/macrophage | Antibiotic and anti-inflammatory group Bacterial lysates group | |
| 2 | Moderated neutrophil/macrophage | - | |
| 3 | Neutrophil/macrophage marked | Control group | |
| Fibrosis | 0 | Absent | - |
| 1 | Mild | - | |
| 2 | Moderate | Antibiotic and anti-inflammatory group Bacterial lysates group | |
| 3 | Severe | - |
Disclaimer/Publisher’s Note: The statements, opinions and data contained in all publications are solely those of the individual author(s) and contributor(s) and not of MDPI and/or the editor(s). MDPI and/or the editor(s) disclaim responsibility for any injury to people or property resulting from any ideas, methods, instructions or products referred to in the content. |
© 2024 by the authors. Licensee MDPI, Basel, Switzerland. This article is an open access article distributed under the terms and conditions of the Creative Commons Attribution (CC BY) license (https://creativecommons.org/licenses/by/4.0/).
Share and Cite
Ancuţa, D.L.; Alexandru, D.M.; Muselin, F.; Cristina, R.T.; Coman, C. Assessment of the Effect on Periodontitis of Antibiotic Therapy and Bacterial Lysate Treatment. Int. J. Mol. Sci. 2024, 25, 5432. https://doi.org/10.3390/ijms25105432
Ancuţa DL, Alexandru DM, Muselin F, Cristina RT, Coman C. Assessment of the Effect on Periodontitis of Antibiotic Therapy and Bacterial Lysate Treatment. International Journal of Molecular Sciences. 2024; 25(10):5432. https://doi.org/10.3390/ijms25105432
Chicago/Turabian StyleAncuţa, Diana Larisa, Diana Mihaela Alexandru, Florin Muselin, Romeo Teodor Cristina, and Cristin Coman. 2024. "Assessment of the Effect on Periodontitis of Antibiotic Therapy and Bacterial Lysate Treatment" International Journal of Molecular Sciences 25, no. 10: 5432. https://doi.org/10.3390/ijms25105432
APA StyleAncuţa, D. L., Alexandru, D. M., Muselin, F., Cristina, R. T., & Coman, C. (2024). Assessment of the Effect on Periodontitis of Antibiotic Therapy and Bacterial Lysate Treatment. International Journal of Molecular Sciences, 25(10), 5432. https://doi.org/10.3390/ijms25105432

