Expression of Insl3 Protein in Adult Danio rerio
Abstract
1. Introduction
2. Results
2.1. Expressions of Insl3 Gene
2.2. Insl3 Protein Level in Danio rerio Tissues
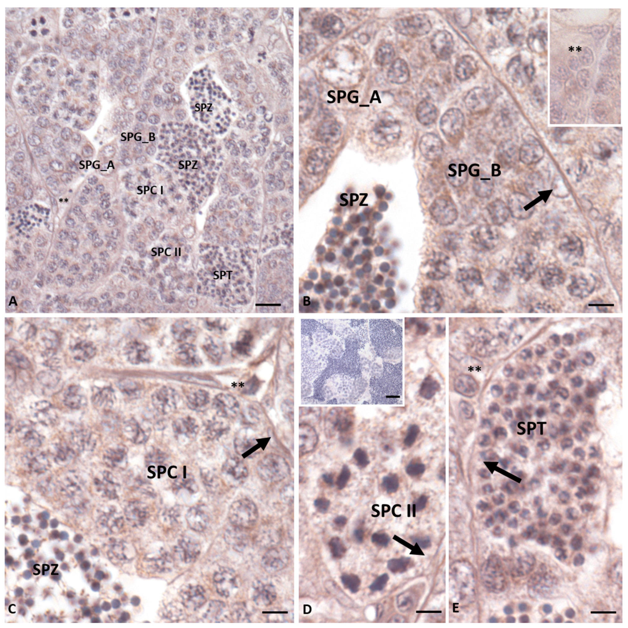
2.3. Insl3 Protein Localization in Danio rerio Testis
2.4. Comparison of Danio rerio Insl3 and Rxfp2 Protein Sequence with Other Vertebrate Species
3. Discussion
4. Materials and Methods
4.1. Bioinformatics Analysis
4.2. Animals
4.3. Expression of Danio rerio Insl3 mRNA in Tissues
4.4. Production of Antibody
4.5. Western Blotting (WB) Analysis
4.6. Immunohistochemistry
4.7. Statistical Analysis
5. Conclusions
Supplementary Materials
Author Contributions
Funding
Institutional Review Board Statement
Informed Consent Statement
Data Availability Statement
Conflicts of Interest
References
- Good-Avila, S.V.; Yegorov, S.; Harron, S.; Bogerd, J.; Glen, P.; Ozon, J.; Wilson, B.C. Relaxin gene family in teleosts: Phylogeny, syntenic mapping, selective constraint, and expression analysis. BMC Evol. Biol. 2009, 9, 293. [Google Scholar] [CrossRef] [PubMed]
- Good, S.; Yegorov, S.; Martijn, J.; Franck, J.; Bogerd, J. New insights into ligand-receptor pairing and coevolution of relaxin family peptides and their receptors in teleosts. Int. J. Evol. Biol. 2012, 2012, 310278, Erratum in Int. J. Evol. Biol. 2013, 2013, 807326. [Google Scholar] [CrossRef] [PubMed]
- Yegorov, S.; Good, S. Using paleogenomics to study the evolution of gene families: Origin and duplication history of the relaxin family hormones and their receptors. PLoS ONE 2012, 3, e32923. [Google Scholar] [CrossRef] [PubMed]
- Wilkinson, T.N.; Speed, T.P.; Tregear, G.W.; Bathgate, R.A. Evolution of the relaxin-like peptide family. BMC Evol. Biol. 2005, 5, 14. [Google Scholar] [CrossRef] [PubMed]
- Halls, M.L.; van der Westhuizen, E.T.; Bathgate, R.A.; Summers, R.J. Relaxin family peptide receptors--former orphans reunite with their parent ligands to activate multiple signalling pathways. Br. J. Pharmacol. 2007, 150, 677–691. [Google Scholar] [CrossRef] [PubMed]
- Hsu, S.Y.; Nakabayashi, K.; Nishi, S.; Kumagai, J.; Kudo, M.; Sherwood, O.D.; Hsueh, A.J. Activation of orphan receptors by the hormone relaxin. Science 2002, 295, 671–674. [Google Scholar] [CrossRef] [PubMed]
- Kumagai, J.; Hsu, S.Y.; Matsumi, H.; Roh, J.S.; Fu, P.; Wade, J.D.; Bathgate, R.A.; Hsueh, A.J. INSL3/Leydig insulin-like peptide activates the LGR8 receptor important in testis descent. J. Biol. Chem. 2002, 277, 31283–31286. [Google Scholar] [CrossRef] [PubMed]
- Adham, I.M.; Burkhardt, E.; Benahmed, M.; Engel, W. Cloning of a cDNA for a novel insulin-like peptide of the testicular Leydig cells. J. Biol. Chem. 1993, 268, 26668–26672. [Google Scholar] [CrossRef] [PubMed]
- Pusch, W.; Balvers, M.; Ivell, R. Molecular Cloning and Expression of the Relaxin Like Factor From the Mouse Testis. Endocrinology 1996, 137, 3009–3013. [Google Scholar] [CrossRef]
- Ivell, R.; Balvers, M.; Domagalski, R.; Ungefroren, H.; Hunt, N.; Schulze, W. Relaxin-like factor: A highly specific and constitutive new marker for Leydig cells in the human testis. Mol. Hum. Reprod. 1997, 3, 459–466. [Google Scholar] [CrossRef][Green Version]
- Kohsaka, T.; Sagata, D.; Minagawa, I.; Kohriki, H.; Pitia, A.M.; Sugii, Y.; Morimoto, M.; Uera, N.; Shibata, M.; Sasada, H.; et al. Expression and localization of RLF/ INSL3 receptor RXFP2 in boar testes. Ital. J. Anat. Embryol. 2013, 118 (Suppl. 1), 23–25. [Google Scholar] [PubMed]
- Pitia, A.M.; Minagawa, I.; Abe, Y.; Kizaki, K.; Hamano, K.I.; Sasada, H.; Hashizume, K.; Kohsaka, T. Evidence for existence of insulin-like factor 3 (INSL3) hormone-receptor system in the ovarian corpus luteum and extra-ovarian reproductive organs during pregnancy in goats. Cell Tissue Res. 2021, 385, 173–189. [Google Scholar] [CrossRef] [PubMed]
- Sagata, D.; Minagawa, I.; Kohriki, H.; Pitia, A.M.; Uera, N.; Katakura, Y.; Sukigara, H.; Terada, K.; Shibata, M.; Park, E.Y.; et al. The insulin-like factor 3 (INSL3)-receptor (RXFP2) network functions as a germ cell survival/anti-apoptotic factor in boar testes. Endocrinology 2015, 156, 1523–1539. [Google Scholar] [CrossRef] [PubMed]
- Balvers, M.; Spiess, A.N.; Domagalski, R.; Hunt, N.; Kilic, E.; Mukhopadhyay, A.K.; Hanks, E.; Charlton, H.M.; Ivell, R. Relaxin-like factor expression as a marker of differentiation in the mouse testis and ovary. Endocrinology 1998, 139, 2960–2970. [Google Scholar] [CrossRef] [PubMed]
- Nef, S.; Parada, L.F. Cryptorchidism in mice mutant for Insl3. Nat. Genet. 1999, 22, 295–299. [Google Scholar] [CrossRef] [PubMed]
- Zimmermann, S.; Steding, G.; Emmen, J.M.; Brinkmann, A.O.; Nayernia, K.; Holstein, A.F.; Engel, W.; Adham, I.M. Targeted disruption of the Insl3 gene causes bilateral cryptorchidism. Mol. Endocrinol. 1999, 13, 681–691. [Google Scholar] [CrossRef] [PubMed]
- Minagawa, I.; Fukuda, M.; Ishige, H.; Kohriki, H.; Shibata, M.; Park, E.Y.; Kawarasaki, T.; Kohsaka, T. Relaxin-like factor (RLF)/insulin-like peptide 3 (INSL3) is secreted from testicular Leydig cells as a monomeric protein comprising three domains B-C-A with full biological activity in boars. Biochem. J. 2012, 441, 265–273. [Google Scholar] [CrossRef] [PubMed]
- Ivell, R.; Alhujaili, W.; Kohsaka, T.; Anand-Ivell, R. Physiology and evolution of the INSL3/RXFP2 hormone/receptor system in higher vertebrates. Gen. Comp. Endocrinol. 2020, 299, 113583. [Google Scholar] [CrossRef] [PubMed]
- Fagerberg, L.; Hallström, B.M.; Oksvold, P.; Kampf, C.; Djureinovic, D.; Odeberg, J.; Habuka, M.; Tahmasebpoor, S.; Danielsson, A.; Edlund, K.; et al. Analysis of the human tissue-specific expression by genome-wide integration of transcriptomics and antibody-based proteomics. Mol. Cell Proteomics 2014, 13, 397–406. [Google Scholar] [CrossRef]
- de Rienzo, G.; Aniello, F.; Branno, M.; Minucci, S. Isolation and characterization of a novel member of the relaxin/insulin family from the testis of the frog Rana esculenta. Endocrinology 2001, 142, 3231–3238. [Google Scholar] [CrossRef][Green Version]
- de Rienzo, G.; Aniello, F.; Branno, M.; Izzo, G.; Minucci, S. The expression level of frog relaxin mRNA (fRLX), in the testis of Rana esculenta, is influenced by testosterone. J. Exp. Biol. 2006, 209, 3806–3811. [Google Scholar] [CrossRef]
- Assis, L.H.; Crespo, D.; Morais, R.D.; França, L.R.; Bogerd, J.; Schulz, R.W. INSL3 stimulates spermatogonial differentiation in testis of adult zebrafish (Danio rerio). Cell Tissue Res. 2016, 363, 579–588. [Google Scholar] [CrossRef] [PubMed]
- Crespo, D.; Assis, L.H.C.; Zhang, Y.T.; Safian, D.; Furmanek, T.; Skaftnesmo, K.O.; Norberg, B.; Ge, W.; Choi, Y.C.; den Broeder, M.J.; et al. Insulin-like 3 affects zebrafish spermatogenic cells directly and via Sertoli cells. Commun. Biol. 2021, 4, 204. [Google Scholar] [CrossRef] [PubMed]
- Donizetti, A.; Fiengo, M.; del Gaudio, R.; Iazzetti, G.; Pariante, P.; Minucci, S.; Aniello, F. Expression pattern of zebrafish rxfp2 homologue genes during embryonic development. J. Exp. Zool. B Mol. Dev. Evol. 2015, 324, 605–613. [Google Scholar] [CrossRef]
- Rosengren, K.J.; Zhang, S.; Lin, F.; Daly, N.L.; Scott, D.J.; Hughes, R.A.; Bathgate, R.A.; Craik, D.J.; Wade, J.D. Solution structure and characterization of the LGR8 receptor binding surface of insulin-like peptide 3. J. Biol. Chem. 2006, 281, 28287–28295. [Google Scholar] [CrossRef]
- Scott, D.J.; Rosengren, K.J.; Bathgate, R.A. The different ligand-binding modes of relaxin family peptide receptors RXFP1 and RXFP2. Mol. Endocrinol. 2012, 26, 1896–1906. [Google Scholar] [CrossRef]
- Kong, R.C.; Shilling, P.J.; Lobb, D.K.; Gooley, P.R.; Bathgate, R.A. Membrane receptors: Structure and function of the relaxin family peptide receptors. Mol. Cell Endocrinol. 2010, 320, 1–15. [Google Scholar] [CrossRef] [PubMed]
- Bruell, S.; Kong, R.C.; Petrie, E.J.; Hoare, B.; Wade, J.D.; Scott, D.J.; Gooley, P.R.; Bathgate, R.A. Chimeric RXFP1 and RXFP2 Receptors Highlight the Similar Mechanism of Activation Utilizing Their N-Terminal Low-Density Lipoprotein Class A Modules. Front. Endocrinol. 2013, 4, 171. [Google Scholar] [CrossRef] [PubMed]
- Bruell, S.; Sethi, A.; Smith, N.; Scott, D.J.; Hossain, M.A.; Wu, Q.P.; Guo, Z.Y.; Petrie, E.J.; Gooley, P.R.; Bathgate, R.A.D. Distinct activation modes of the Relaxin Family Peptide Receptor 2 in response to insulin-like peptide 3 and relaxin. Sci. Rep. 2017, 7, 3294. [Google Scholar] [CrossRef]
- Sethi, A.; Bruell, S.; Ryan, T.; Yan, F.; Tanipour, M.H.; Mok, Y.F.; Draper-Joyce, C.; Khandokar, Y.; Metcalfe, R.D.; Griffin, M.D.W.; et al. Structural Insights into the Unique Modes of Relaxin-Binding and Tethered-Agonist Mediated Activation of RXFP1 and RXFP2. J. Mol. Biol. 2021, 433, 167217. [Google Scholar] [CrossRef]
- Ivell, R.; Mamsen, L.S.; Andersen, C.Y.; Anand-Ivell, R. Expression and Role of INSL3 in the Fetal Testis. Front. Endocrinol. 2022, 13, 868313. [Google Scholar] [CrossRef] [PubMed]
- Foresta, C.; Bettella, A.; Vinanzi, C.; Dabrilli, P.; Meriggiola, M.C.; Garolla, A.; Ferlin, A. A novel circulating hormone of testis origin in humans. J. Clin. Endocrinol. Metab. 2004, 89, 5952–5958. [Google Scholar] [CrossRef] [PubMed]
- Anand-Ivell, R.; Dai, Y.; Ivell, R. Neohormones as biomarkers of reproductive health. Fertil. Steril. 2013, 99, 1153–1160. [Google Scholar] [CrossRef] [PubMed]
- Esteban-Lopez, M.; Agoulnik, A.I. Diverse functions of insulin-like 3 peptide. J. Endocrinol. 2020, 247, R1–R12. [Google Scholar] [CrossRef] [PubMed]
- Alnafea, H.; Vahkal, B.; Zelmer, C.K.; Yegorov, S.; Bogerd, J.; Good, S.V. Japanese medaka as a model for studying the relaxin family genes involved in neuroendocrine regulation: Insights from the expression of fish-specific rln3 and insl5 and rxfp3/4-type receptor paralogues. Mol. Cell Endocrinol. 2019, 487, 2–11. [Google Scholar] [CrossRef]
- Söding, J.; Biegert, A.; Lupas, A.N. The HHpred interactive server for protein homology detection and structure prediction. Nucleic Acids Res. 2005, 33, W244–W248. [Google Scholar] [CrossRef] [PubMed]
- Madeira, F.; Pearce, M.; Tivey, A.R.N.; Basutkar, P.; Lee, J.; Edbali, O.; Madhusoodanan, N.; Kolesnikov, A.; Lopez, R. Search and sequence analysis tools services from EMBL-EBI in 2022. Nucleic Acids Res. 2022, 50, W276–W279. [Google Scholar] [CrossRef]
- Fiengo, M.; del Gaudio, R.; Iazzetti, G.; Di Giaimo, R.; Minucci, S.; Aniello, F.; Donizetti, A. Developmental expression pattern of two zebrafish rxfp3 paralogue genes. Dev. Growth Differ. 2013, 55, 766–775. [Google Scholar] [CrossRef]
- Donizetti, A.; Fiengo, M.; Iazzetti, G.; del Gaudio, R.; Di Giaimo, R.; Pariante, P.; Minucci, S.; Aniello, F. Expression analysis of five zebrafish RXFP3 homologues reveals evolutionary conservation of gene expression pattern. J. Exp. Zool. B Mol. Dev. Evol. 2015, 324, 22–29. [Google Scholar] [CrossRef] [PubMed]
- Donizetti, A.; Venditti, M.; Arcaniolo, D.; Aliperti, V.; Carrese, A.M.; De Sio, M.; Minucci, S.; Caraglia, M.; Aniello, F. The long non-coding RNA transcript, LOC100130460 (CAND1.11) gene, encodes a novel protein highly expressed in cancer cells and tumor human testis tissues. Cancer Biomark. 2023, 38, 343–353. [Google Scholar] [CrossRef] [PubMed]
- Romano, M.Z.; Ben Rhouma, M.; Messaoudi, I.; Aniello, F.; Minucci, S.; Venditti, M. Expression of RSPH6A in the first wave of rat spermatogenesis and oxidative stress conditions: Attenuation by melatonin. Reprod. Med. Biol. 2023, 22, e12542. [Google Scholar] [CrossRef] [PubMed] [PubMed Central]
- Rosati, L.; Chianese, T.; De Gregorio, V.; Verderame, M.; Raggio, A.; Motta, C.M.; Scudiero, R. Glyphosate Interference in Follicular Organization in the Wall Lizard Podarcis siculus. Int. J. Mol. Sci. 2023, 24, 7363. [Google Scholar] [CrossRef] [PubMed]




| Disclaimer/Publisher’s Note: The statements, opinions and data contained in all publications are solely those of the individual author(s) and contributor(s) and not of MDPI and/or the editor(s). MDPI and/or the editor(s) disclaim responsibility for any injury to people or property resulting from any ideas, methods, instructions or products referred to in the content. | 
© 2024 by the authors. Licensee MDPI, Basel, Switzerland. This article is an open access article distributed under the terms and conditions of the Creative Commons Attribution (CC BY) license (https://creativecommons.org/licenses/by/4.0/).
Share and Cite
Donizetti, A.; Calicchio, M.; Romano, M.Z.; Rosati, L.; Turco, M.; Carrese, A.M.; del Gaudio, R.; Ferrandino, I.; Aniello, F. Expression of Insl3 Protein in Adult Danio rerio. Int. J. Mol. Sci. 2024, 25, 5419. https://doi.org/10.3390/ijms25105419
Donizetti A, Calicchio M, Romano MZ, Rosati L, Turco M, Carrese AM, del Gaudio R, Ferrandino I, Aniello F. Expression of Insl3 Protein in Adult Danio rerio. International Journal of Molecular Sciences. 2024; 25(10):5419. https://doi.org/10.3390/ijms25105419
Chicago/Turabian StyleDonizetti, Aldo, Mauro Calicchio, Maria Zelinda Romano, Luigi Rosati, Manuela Turco, Anna Maria Carrese, Rosanna del Gaudio, Ida Ferrandino, and Francesco Aniello. 2024. "Expression of Insl3 Protein in Adult Danio rerio" International Journal of Molecular Sciences 25, no. 10: 5419. https://doi.org/10.3390/ijms25105419
APA StyleDonizetti, A., Calicchio, M., Romano, M. Z., Rosati, L., Turco, M., Carrese, A. M., del Gaudio, R., Ferrandino, I., & Aniello, F. (2024). Expression of Insl3 Protein in Adult Danio rerio. International Journal of Molecular Sciences, 25(10), 5419. https://doi.org/10.3390/ijms25105419
 
        






