Editorial for the IJMS Special Issue on “Infection and the Kidney”
Conflicts of Interest
References
- Masset, C.; Le Turnier, P.; Bressollette-Bodin, C.; Renaudin, K.; Raffi, F.; Dantal, J. Virus-associated nephropathies: A narrative review. Int. J. Mol. Sci. 2022, 23, 12014. [Google Scholar] [CrossRef] [PubMed]
- Teixeira, J.P.; Barone, S.; Zahedi, K.; Soleimani, M. Kidney injury in COVID-19: Epidemiology, molecular mechanisms and potential therapeutic targets. Int. J. Mol. Sci. 2022, 23, 2242. [Google Scholar] [CrossRef] [PubMed]
- Vrečko, M.M.; Rigler, A.A.; Večerić-Haler, Z. Coronavirus disease 2019-associated thrombotic microangiopathy: Literature review. Int. J. Mol. Sci. 2022, 23, 11307. [Google Scholar] [CrossRef]
- Hotta, O.; Ieiri, N.; Nagai, M.; Tanaka, A.; Harabuchi, Y. Role of palatine tonsil and epipharyngeal lymphoid tissue in the development of glomerular active lesions (glomerular vasculitis) in immunoglobulin A nephropathy. Int. J. Mol. Sci. 2022, 23, 727. [Google Scholar] [CrossRef] [PubMed]
- Nagasawa, Y.; Nomura, R.; Misaki, T.; Ito, S.; Naka, S.; Wato, K.; Okunaka, M.; Watabe, M.; Fushimi, K.; Tsuzuki, K.; et al. Relationship between IgA nephropathy and Porphyromonas gingivalis; red complex of periodontopathic bacterial species. Int. J. Mol. Sci. 2021, 22, 13022. [Google Scholar] [CrossRef] [PubMed]
- Nagasawa, Y.; Misaki, T.; Ito, S.; Naka, S.; Wato, K.; Nomura, R.; Matsumoto-Nakano, M.; Nakano, K. IgA nephropathy and oral bacterial species related to dental caries and periodontitis. Int. J. Mol. Sci. 2022, 23, 725. [Google Scholar] [CrossRef] [PubMed]
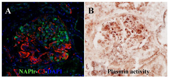
- Yoshizawa, N.; Yamada, M.; Fujino, M.; Oda, T. Nephritis-associated plasmin receptor (NAPlr): An essential inducer of C3-dominant glomerular injury and a potential key diagnostic biomarker of infection-related glomerulonephritis (IRGN). Int. J. Mol. Sci. 2022, 23, 9974. [Google Scholar] [CrossRef] [PubMed]
- Takayasu, M.; Hirayama, K.; Shimohata, H.; Kobayashi, M.; Koyama, A. Staphylococcus aureus infection-related glomerulonephritis with dominant IgA deposition. Int. J. Mol. Sci. 2022, 23, 7482. [Google Scholar] [CrossRef] [PubMed]
- Uchida, T.; Seki, S.; Oda, T. Infections, Reactions of Natural Killer T Cells and natural killer cells, and kidney injury. Int. J. Mol. Sci. 2022, 23, 479. [Google Scholar] [CrossRef] [PubMed]
- Infection and the Kidney 2.0. Special Issue. Available online: https://www.mdpi.com/journal/ijms/special_issues/836YXN0V1G (accessed on 17 October 2022).

Disclaimer/Publisher’s Note: The statements, opinions and data contained in all publications are solely those of the individual author(s) and contributor(s) and not of MDPI and/or the editor(s). MDPI and/or the editor(s) disclaim responsibility for any injury to people or property resulting from any ideas, methods, instructions or products referred to in the content. |
© 2023 by the author. Licensee MDPI, Basel, Switzerland. This article is an open access article distributed under the terms and conditions of the Creative Commons Attribution (CC BY) license (https://creativecommons.org/licenses/by/4.0/).
Share and Cite
Oda, T. Editorial for the IJMS Special Issue on “Infection and the Kidney”. Int. J. Mol. Sci. 2023, 24, 8431. https://doi.org/10.3390/ijms24098431
Oda T. Editorial for the IJMS Special Issue on “Infection and the Kidney”. International Journal of Molecular Sciences. 2023; 24(9):8431. https://doi.org/10.3390/ijms24098431
Chicago/Turabian StyleOda, Takashi. 2023. "Editorial for the IJMS Special Issue on “Infection and the Kidney”" International Journal of Molecular Sciences 24, no. 9: 8431. https://doi.org/10.3390/ijms24098431
APA StyleOda, T. (2023). Editorial for the IJMS Special Issue on “Infection and the Kidney”. International Journal of Molecular Sciences, 24(9), 8431. https://doi.org/10.3390/ijms24098431
