Comprehensive Genetic Study of Malignant Cervical Paraganglioma
Abstract
1. Introduction
2. Case Presentation
Clinical Characteristics of the Patient
3. Results
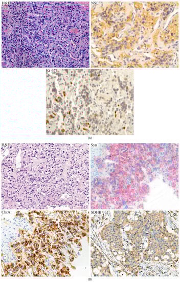
3.1. Immunohistochemical Analysis of Tumor and Metastasis
3.2. Mutation Profiling and Mutational Signatures
3.3. Copy Number Variation (CNV) Analysis
4. Discussion
5. Conclusions
Supplementary Materials
Author Contributions
Funding
Institutional Review Board Statement
Informed Consent Statement
Data Availability Statement
Acknowledgments
Conflicts of Interest
References
- Weber, P.C.; Patel, S. Jugulotympanic paragangliomas. Otolaryngol. Clin. North. Am. 2001, 34, 1231–1240. [Google Scholar] [CrossRef] [PubMed]
- El-Naggar, A.K.; Chan, J.K.C.; Rubin Grandis, J.; Takata, T.; Slootweg, P.J. WHO Classification of Head and Neck Tumours; International Agency for Research on Cancer: Lyon, France, 2017. [Google Scholar]
- Williams, M.D. Paragangliomas of the Head and Neck: An Overview from Diagnosis to Genetics. Head Neck Pathol. 2017, 11, 278–287. [Google Scholar] [CrossRef]
- Lee, J.H.; Barich, F.; Karnell, L.H.; Robinson, R.A.; Zhen, W.K.; Gantz, B.J.; Hoffman, H.T.; American College of Surgeons Commission on Cancer; the American Cancer Society. National Cancer Data Base report on malignant paragangliomas of the head and neck. Cancer 2002, 94, 730–737. [Google Scholar] [CrossRef] [PubMed]
- Snezhkina, A.V.; Kalinin, D.V.; Pavlov, V.S.; Lukyanova, E.N.; Golovyuk, A.L.; Fedorova, M.S.; Pudova, E.A.; Savvateeva, M.V.; Stepanov, O.A.; Poloznikov, A.A.; et al. Immunohistochemistry and Mutation Analysis of SDHx Genes in Carotid Paragangliomas. Int. J. Mol. Sci. 2020, 21, 6950. [Google Scholar] [CrossRef] [PubMed]
- Savvateeva, M.; Kudryavtseva, A.; Lukyanova, E.; Kobelyatskaya, A.; Pavlov, V.; Fedorova, M.; Pudova, E.; Guvatova, Z.; Kalinin, D.; Golovyuk, A.; et al. Somatic Mutation Profiling in Head and Neck Paragangliomas. J. Clin. Endocrinol. Metab. 2022, 107, 1833–1842. [Google Scholar] [CrossRef]
- McKenna, A.; Hanna, M.; Banks, E.; Sivachenko, A.; Cibulskis, K.; Kernytsky, A.; Garimella, K.; Altshuler, D.; Gabriel, S.; Daly, M.; et al. The Genome Analysis Toolkit: A MapReduce framework for analyzing next-generation DNA sequencing data. Genome Res. 2010, 20, 1297–1303. [Google Scholar] [CrossRef]
- DePristo, M.A.; Banks, E.; Poplin, R.; Garimella, K.V.; Maguire, J.R.; Hartl, C.; Philippakis, A.A.; del Angel, G.; Rivas, M.A.; Hanna, M.; et al. A framework for variation discovery and genotyping using next-generation DNA sequencing data. Nat. Genet. 2011, 43, 491–498. [Google Scholar] [CrossRef]
- Bergstrom, E.N.; Huang, M.N.; Mahto, U.; Barnes, M.; Stratton, M.R.; Rozen, S.G.; Alexandrov, L.B. SigProfilerMatrixGenerator: A tool for visualizing and exploring patterns of small mutational events. BMC Genom. 2019, 20, 685. [Google Scholar] [CrossRef]
- Richards, S.; Aziz, N.; Bale, S.; Bick, D.; Das, S.; Gastier-Foster, J.; Grody, W.W.; Hegde, M.; Lyon, E.; Spector, E.; et al. Standards and guidelines for the interpretation of sequence variants: A joint consensus recommendation of the American College of Medical Genetics and Genomics and the Association for Molecular Pathology. Genet. Med. 2015, 17, 405–424. [Google Scholar] [CrossRef]
- Kopanos, C.; Tsiolkas, V.; Kouris, A.; Chapple, C.E.; Albarca Aguilera, M.; Meyer, R.; Massouras, A. VarSome: The human genomic variant search engine. Bioinformatics 2019, 35, 1978–1980. [Google Scholar] [CrossRef]
- Kudryavtseva, A.V.; Lukyanova, E.N.; Kalinin, D.V.; Zaretsky, A.R.; Pokrovsky, A.V.; Golovyuk, A.L.; Fedorova, M.S.; Pudova, E.A.; Kharitonov, S.L.; Pavlov, V.S.; et al. Mutational load in carotid body tumor. BMC Med. Genom. 2019, 12, 39. [Google Scholar] [CrossRef] [PubMed]
- COSMIC Mutational Signatures. Available online: https://cancer.sanger.ac.uk/signatures/sbs/ (accessed on 15 September 2022).
- Lloyd, R.; Osamura, R.; Klöppel, G.; Rosai, J. WHO Classification of Tumours of Endocrine Organs, 4th ed.; International Agency for Research on Cancer: Lyon, France, 2017. [Google Scholar]
- Prasad, S.C.; Paties, C.T.; Schiavi, F.; Esposito, D.L.; Lotti, L.V.; Mariani-Costantini, R.; Sanna, M. Tympanojugular Paragangliomas: Surgical Management and Clinicopathological Features. In Paraganglioma: A Multidisciplinary Approach; Mariani-Costantini, R., Ed.; Codon Publications: Brisbane, Australia, 2019. [Google Scholar]
- Verginelli, F.; Perconti, S.; Vespa, S.; Schiavi, F.; Prasad, S.C.; Lanuti, P.; Cama, A.; Tramontana, L.; Esposito, D.L.; Guarnieri, S.; et al. Paragangliomas arise through an autonomous vasculo-angio-neurogenic program inhibited by imatinib. Acta Neuropathol. 2018, 135, 779–798. [Google Scholar] [CrossRef]
- Snezhkina, A.V.; Fedorova, M.S.; Pavlov, V.S.; Kalinin, D.V.; Golovyuk, A.L.; Pudova, E.A.; Guvatova, Z.G.; Melnikova, N.V.; Dmitriev, A.A.; Razmakhaev, G.S.; et al. Mutation Frequency in Main Susceptibility Genes Among Patients With Head and Neck Paragangliomas. Front. Genet. 2020, 11, 614908. [Google Scholar] [CrossRef]
- Angelousi, A.; Peppa, M.; Chrisoulidou, A.; Alexandraki, K.; Berthon, A.; Faucz, F.R.; Kassi, E.; Kaltsas, G. Malignant Pheochromocytomas/Paragangliomas and Ectopic Hormonal Secretion: A Case Series and Review of the Literature. Cancers 2019, 11, 724. [Google Scholar] [CrossRef] [PubMed]
- Lenders, J.W.; Duh, Q.Y.; Eisenhofer, G.; Gimenez-Roqueplo, A.P.; Grebe, S.K.; Murad, M.H.; Naruse, M.; Pacak, K.; Young, W.F., Jr.; Endocrine, S. Pheochromocytoma and paraganglioma: An endocrine society clinical practice guideline. J. Clin. Endocrinol. Metab. 2014, 99, 1915–1942. [Google Scholar] [CrossRef]
- Snezhkina, A.; Pavlov, V.; Dmitriev, A.; Melnikova, N.; Kudryavtseva, A. Potential Biomarkers of Metastasizing Paragangliomas and Pheochromocytomas. Life 2021, 11, 1179. [Google Scholar] [CrossRef]
- Saskoi, E.; Hujber, Z.; Nyiro, G.; Liko, I.; Matyasi, B.; Petovari, G.; Meszaros, K.; Kovacs, A.L.; Patthy, L.; Supekar, S.; et al. The SDHB Arg230His mutation causing familial paraganglioma alters glycolysis in a new Caenorhabditis elegans model. Dis. Model. Mech. 2020, 13, dmm044925. [Google Scholar] [CrossRef]
- Andrews, K.A.; Ascher, D.B.; Pires, D.E.V.; Barnes, D.R.; Vialard, L.; Casey, R.T.; Bradshaw, N.; Adlard, J.; Aylwin, S.; Brennan, P.; et al. Tumour risks and genotype-phenotype correlations associated with germline variants in succinate dehydrogenase subunit genes SDHB, SDHC and SDHD. J. Med. Genet. 2018, 55, 384–394. [Google Scholar] [CrossRef] [PubMed]
- Cerecer-Gil, N.Y.; Figuera, L.E.; Llamas, F.J.; Lara, M.; Escamilla, J.G.; Ramos, R.; Estrada, G.; Hussain, A.K.; Gaal, J.; Korpershoek, E.; et al. Mutation of SDHB is a cause of hypoxia-related high-altitude paraganglioma. Clin. Cancer Res. 2010, 16, 4148–4154. [Google Scholar] [CrossRef]
- Klein, R.D.; Jin, L.; Rumilla, K.; Young, W.F., Jr.; Lloyd, R.V. Germline SDHB mutations are common in patients with apparently sporadic sympathetic paragangliomas. Diagn. Mol. Pathol. 2008, 17, 94–100. [Google Scholar] [CrossRef]
- Lefebvre, S.; Borson-Chazot, F.; Boutry-Kryza, N.; Wion, N.; Schillo, F.; Peix, J.L.; Brunaud, L.; Finat, A.; Calender, A.; Giraud, S. Screening of mutations in genes that predispose to hereditary paragangliomas and pheochromocytomas. Horm. Metab. Res. 2012, 44, 334–338. [Google Scholar] [CrossRef] [PubMed]
- Knudson, A.G., Jr. Mutation and cancer: Statistical study of retinoblastoma. Proc. Natl. Acad. Sci. USA 1971, 68, 820–823. [Google Scholar] [CrossRef]
- Hensen, E.F.; Jordanova, E.S.; van Minderhout, I.J.; Hogendoorn, P.C.; Taschner, P.E.; van der Mey, A.G.; Devilee, P.; Cornelisse, C.J. Somatic loss of maternal chromosome 11 causes parent-of-origin-dependent inheritance in SDHD-linked paraganglioma and phaeochromocytoma families. Oncogene 2004, 23, 4076–4083. [Google Scholar] [CrossRef] [PubMed]
- Hoekstra, A.S.; Hensen, E.F.; Jordanova, E.S.; Korpershoek, E.; van der Horst-Schrivers, A.N.; Cornelisse, C.; Corssmit, E.P.; Hes, F.J.; Jansen, J.C.; Kunst, H.P.; et al. Loss of maternal chromosome 11 is a signature event in SDHAF2, SDHD, and VHL-related paragangliomas, but less significant in SDHB-related paragangliomas. Oncotarget 2017, 8, 14525–14536. [Google Scholar] [CrossRef]
- Edstrom, E.; Mahlamaki, E.; Nord, B.; Kjellman, M.; Karhu, R.; Hoog, A.; Goncharov, N.; Teh, B.T.; Backdahl, M.; Larsson, C. Comparative genomic hybridization reveals frequent losses of chromosomes 1p and 3q in pheochromocytomas and abdominal paragangliomas, suggesting a common genetic etiology. Am. J. Pathol. 2000, 156, 651–659. [Google Scholar] [CrossRef]
- Kimura, N.; Takayanagi, R.; Takizawa, N.; Itagaki, E.; Katabami, T.; Kakoi, N.; Rakugi, H.; Ikeda, Y.; Tanabe, A.; Nigawara, T.; et al. Pathological grading for predicting metastasis in phaeochromocytoma and paraganglioma. Endocr. Relat. Cancer 2014, 21, 405–414. [Google Scholar] [CrossRef] [PubMed]
- Nagura, S.; Katoh, R.; Kawaoi, A.; Kobayashi, M.; Obara, T.; Omata, K. Immunohistochemical estimations of growth activity to predict biological behavior of pheochromocytomas. Mod. Pathol. 1999, 12, 1107–1111. [Google Scholar]
- de Wailly, P.; Oragano, L.; Rade, F.; Beaulieu, A.; Arnault, V.; Levillain, P.; Kraimps, J.L. Malignant pheochromocytoma: New malignancy criteria. Langenbecks Arch. Surg. 2012, 397, 239–246. [Google Scholar] [CrossRef] [PubMed]
- van der Harst, E.; Bruining, H.A.; Jaap Bonjer, H.; van der Ham, F.; Dinjens, W.N.; Lamberts, S.W.; de Herder, W.W.; Koper, J.W.; Stijnen, T.; Proye, C.; et al. Proliferative index in phaeochromocytomas: Does it predict the occurrence of metastases? J. Pathol. 2000, 191, 175–180. [Google Scholar] [CrossRef]
- Jackson, C.B.; Huemer, M.; Bolognini, R.; Martin, F.; Szinnai, G.; Donner, B.C.; Richter, U.; Battersby, B.J.; Nuoffer, J.M.; Suomalainen, A.; et al. A variant in MRPS14 (uS14m) causes perinatal hypertrophic cardiomyopathy with neonatal lactic acidosis, growth retardation, dysmorphic features and neurological involvement. Hum. Mol. Genet. 2019, 28, 639–649. [Google Scholar] [CrossRef]
- Idelfonso-Garcia, O.G.; Alarcon-Sanchez, B.R.; Vasquez-Garzon, V.R.; Baltierrez-Hoyos, R.; Villa-Trevino, S.; Muriel, P.; Serrano, H.; Perez-Carreon, J.I.; Arellanes-Robledo, J. Is Nucleoredoxin a Master Regulator of Cellular Redox Homeostasis? Its Implication in Different Pathologies. Antioxidants 2022, 11, 670. [Google Scholar] [CrossRef] [PubMed]
- Maitra, A.; Biswas, N.K.; Amin, K.; Kowtal, P.; Kumar, S.; Das, S.; Sarin, R.; Majumder, P.P.; Bagchi, I.; Bairagya, B.B.; et al. Mutational landscape of gingivo-buccal oral squamous cell carcinoma reveals new recurrently-mutated genes and molecular subgroups. Nat. Commun. 2013, 4, 2873. [Google Scholar] [CrossRef]
- Velmurugan, B.K.; Yeh, K.T.; Hsieh, M.J.; Yeh, C.M.; Lin, C.C.; Kao, C.Y.; Huang, L.R.; Lin, S.H. UNC13C Suppress Tumor Progression via Inhibiting EMT Pathway and Improves Survival in Oral Squamous Cell Carcinoma. Front. Oncol. 2019, 9, 728. [Google Scholar] [CrossRef] [PubMed]
- Pavlov, V.; Snezhkina, A.; Kalinin, D.; Golovyuk, A.; Kobelyatskaya, A.; Bakhtogarimov, I.; Volchenko, N.; Krasnov, G.; Kudryavtseva, A. Case Report: Genetic Alterations Associated with the Progression of Carotid Paraganglioma. Curr. Issues Mol. Biol. 2021, 43, 2266–2275. [Google Scholar] [CrossRef]
- Alexandrov, L.B.; Nik-Zainal, S.; Wedge, D.C.; Aparicio, S.A.; Behjati, S.; Biankin, A.V.; Bignell, G.R.; Bolli, N.; Borg, A.; Borresen-Dale, A.L.; et al. Signatures of mutational processes in human cancer. Nature 2013, 500, 415–421. [Google Scholar] [CrossRef]
- Manders, F.; van Boxtel, R.; Middelkamp, S. The Dynamics of Somatic Mutagenesis During Life in Humans. Front. Aging 2021, 2, 802407. [Google Scholar] [CrossRef]



| Gene | Position | Variant Type | Nucleotide Change | Amino Acid Change | Sample | VAF (%) | Deleterious Prediction Tools |
|---|---|---|---|---|---|---|---|
| MRPS14 | Chr1: 174987505 | Deletion | c.169_204del | p.57_68del | Metastasis | 28 | - |
| UNC13C | Chr15: 54838976 | Missense | c.A5753C | p.E1918A | Primary tumor, metastasis | 27, 29 | Polyphen2, DANN, SIFT, LRT, MutationTaster, PROVEAN, FATHMM, ClinPred |
| NXN | Chr17: 708424 | Missense | c.A884C | p.E295A | Metastasis | 28 | DANN, LRT, MutationTaster, FATHMM, M-CAP, ClinPred |
| SLC5A7 | Chr2: 108627262 | Missense | c.T1688C | p.F563S | Metastasis | 31 | DANN, FATHMM, MetaSVM, MetaLR, M-CAP, ClinPred |
| ZNF639 | Chr3: 179051692 | Missense | c.G940T | p.D314Y | Metastasis | 25 | Polyphen2, SIFT, CADD, DANN, LRT, MutationTaster, PROVEAN, ClinPred |
Disclaimer/Publisher’s Note: The statements, opinions and data contained in all publications are solely those of the individual author(s) and contributor(s) and not of MDPI and/or the editor(s). MDPI and/or the editor(s) disclaim responsibility for any injury to people or property resulting from any ideas, methods, instructions or products referred to in the content. |
© 2023 by the authors. Licensee MDPI, Basel, Switzerland. This article is an open access article distributed under the terms and conditions of the Creative Commons Attribution (CC BY) license (https://creativecommons.org/licenses/by/4.0/).
Share and Cite
Snezhkina, A.; Pavlov, V.; Fedorova, M.; Kalinin, D.; Pudova, E.; Kobelyatskaya, A.; Bakhtogarimov, I.; Krasnov, G.; Kudryavtseva, A. Comprehensive Genetic Study of Malignant Cervical Paraganglioma. Int. J. Mol. Sci. 2023, 24, 8220. https://doi.org/10.3390/ijms24098220
Snezhkina A, Pavlov V, Fedorova M, Kalinin D, Pudova E, Kobelyatskaya A, Bakhtogarimov I, Krasnov G, Kudryavtseva A. Comprehensive Genetic Study of Malignant Cervical Paraganglioma. International Journal of Molecular Sciences. 2023; 24(9):8220. https://doi.org/10.3390/ijms24098220
Chicago/Turabian StyleSnezhkina, Anastasiya, Vladislav Pavlov, Maria Fedorova, Dmitry Kalinin, Elena Pudova, Anastasiya Kobelyatskaya, Ildar Bakhtogarimov, George Krasnov, and Anna Kudryavtseva. 2023. "Comprehensive Genetic Study of Malignant Cervical Paraganglioma" International Journal of Molecular Sciences 24, no. 9: 8220. https://doi.org/10.3390/ijms24098220
APA StyleSnezhkina, A., Pavlov, V., Fedorova, M., Kalinin, D., Pudova, E., Kobelyatskaya, A., Bakhtogarimov, I., Krasnov, G., & Kudryavtseva, A. (2023). Comprehensive Genetic Study of Malignant Cervical Paraganglioma. International Journal of Molecular Sciences, 24(9), 8220. https://doi.org/10.3390/ijms24098220

