Molecular Characterization of the Interplay between Fasciola hepatica Juveniles and Laminin as a Mechanism to Adhere to and Break through the Host Intestinal Wall
Abstract
1. Introduction
2. Results
2.1. The FhNEJ Tegument-Enriched Protein Fraction (FhNEJ-Teg) Contains Proteins That Bind to LM but Not FN
2.2. Identification of Potential LM-Binding Proteins in FhNEJ-Teg
2.3. LM Degradation by FhCL3
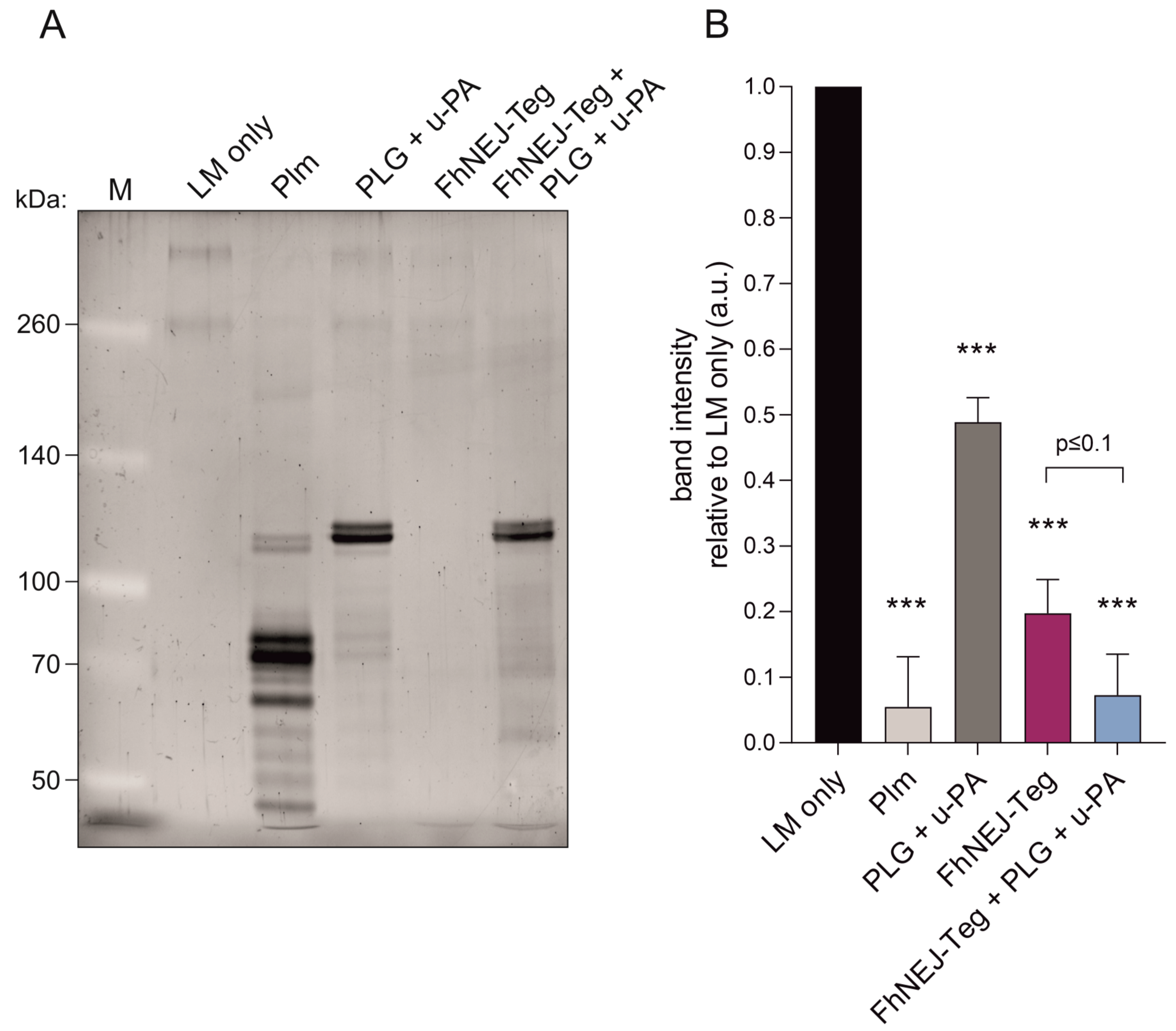
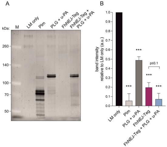
2.4. FhNEJ-Teg Contains Proteins That Act as Cofactors for Plasmin-Mediated Degradation of LM
2.5. Proteomic Changes Induced in FhNEJ upon Interaction with LM
3. Discussion
4. Materials and Methods
4.1. In Vitro Excystment of F. hepatica Metacercariae
4.2. Protein Extraction of the Tegument- and Somatic-Enriched Antigenic Fractions of FhNEJ
4.3. LM and FN Binding Assays
4.4. Detection of LM Binding on the Surface of FhNEJ by Immunofluorescence
4.5. 2D Electrophoresis of FhNEJ-Teg
4.6. Immunoblot Detection of LM-Binding Proteins
4.7. Spot Analysis by Liquid Chromatography Coupled to Tandem Mass Spectrometry (LC-MS/MS)
4.8. Protein Identification within LM-Binding Spots
4.9. LM Degradation Assays
4.10. Analysis of LM-Induced Proteomic Changes in FhNEJ by SWATH-MS
4.11. Immunoblotting
4.12. Statistical Analysis
5. Conclusions
Supplementary Materials
Author Contributions
Funding
Institutional Review Board Statement
Informed Consent Statement
Data Availability Statement
Acknowledgments
Conflicts of Interest
References
- Siles-Lucas, M.; Becerro-Recio, D.; Serrat, J.; González-Miguel, J. Fascioliasis and fasciolopsiasis: Current knowledge and future trends. Res. Vet. Sci. 2021, 134, 27–35. [Google Scholar] [CrossRef] [PubMed]
- Toet, H.; Piedrafita, D.M.; Spithill, T.W. Liver fluke vaccines in ruminants: Strategies, progress and future opportunities. Int. J. Parasitol. 2014, 44, 915–927. [Google Scholar] [CrossRef] [PubMed]
- Fitzpatrick, J.L. Global food security: The impact of veterinary parasites and parasitologists. Vet. Parasitol. 2013, 195, 233–248. [Google Scholar] [CrossRef] [PubMed]
- Mas-Coma, S.; Valero, M.A.; Bargues, M.D. Fascioliasis. In Digenetic Trematodes; Toledo, R., Fried, B., Eds.; Springer International Publishing: Cham, Switzerland, 2019; Volume 1154, pp. 71–103. ISBN 978-3-030-18615-9. [Google Scholar]
- Nyindo, M.; Lukambagire, A.H. Fascioliasis: An ongoing zoonotic trematode infection. Biomed. Res. Int. 2015, 2015, 786195. [Google Scholar] [CrossRef]
- González-Miguel, J.; Becerro-Recio, D.; Siles-Lucas, M. Insights into Fasciola hepatica juveniles: Crossing the fasciolosis Rubicon. Trends. Parasitol. 2021, 37, 35–47. [Google Scholar] [CrossRef]
- Pompili, S.; Latella, G.; Gaudio, E.; Sferra, R.; Vetuschi, A. The charming world of the extracellular matrix: A dynamic and protective network of the intestinal wall. Front. Med. 2021, 8, 610189. [Google Scholar] [CrossRef]
- Singh, B.; Fleury, C.; Jalalvand, F.; Riesbeck, K. Human pathogens utilize host extracellular matrix proteins laminin and collagen for adhesion and invasion of the host. FEMS Microbiol. Rev. 2012, 36, 1122–1180. [Google Scholar] [CrossRef]
- Betanzos, A.; Bañuelos, C.; Orozco, E. Host invasion by pathogenic amoebae: Epithelial disruption by parasite proteins. Genes 2019, 10, 618. [Google Scholar] [CrossRef]
- Mowat, A.M.; Agace, W.W. Regional specialization within the intestinal immune system. Nat. Rev. Immunol. 2014, 14, 667–685. [Google Scholar] [CrossRef]
- Hastings, J.F.; Skhinas, J.N.; Fey, D.; Croucher, D.R.; Cox, T.R. The extracellular matrix as a key regulator of intracellular signalling networks. Br. J. Pharmacol. 2019, 176, 82–92. [Google Scholar] [CrossRef]
- Kline, K.A.; Fälker, S.; Dahlberg, S.; Normark, S.; Henriques-Normark, B. Bacterial adhesins in host-microbe interactions. Cell Host Microbe 2009, 5, 580–592. [Google Scholar] [CrossRef]
- Cesarman-Maus, G.; Hajjar, K.A. Molecular mechanisms of fibrinolysis. Br. J. Haematol. 2005, 129, 307–321. [Google Scholar] [CrossRef]
- Serrat, J.; Becerro-Recio, D.; Torres-Valle, M.; Simón, F.; Valero, M.A.; Bargues, M.D.; Mas-Coma, S.; Siles-Lucas, M.; González-Miguel, J. Fasciola hepatica juveniles interact with the host fibrinolytic system as a potential early-stage invasion mechanism. PLoS Negl. Trop. Dis. 2023, 17, e0010936. [Google Scholar] [CrossRef]
- Nakagami, Y.; Abe, K.; Nishiyama, N.; Matsuki, N. Laminin degradation by plasmin regulates long-term potentiation. J. Neurosci. 2000, 20, 2003–2010. [Google Scholar] [CrossRef]
- Nicholl, S.; Roztocil, E.; Davies, M. Plasminogen activator system and vascular disease. Curr. Vasc. Pharmacol. 2006, 4, 101–116. [Google Scholar] [CrossRef]
- Becerro-Recio, D.; Serrat, J.; López-García, M.; Sotillo, J.; Simón, F.; González-Miguel, J.; Siles-Lucas, M. Proteomics coupled with in vitro model to study the early crosstalk occurring between newly excysted juveniles of Fasciola hepatica and host intestinal cells. PLoS Negl. Trop. Dis. 2022, 16, e0010811. [Google Scholar] [CrossRef]
- Robinson, M.W.; Menon, R.; Donnelly, S.M.; Dalton, J.P.; Ranganathan, S. An integrated transcriptomics and proteomics analysis of the secretome of the helminth pathogen Fasciola hepatica. Mol. Cell. Proteom. 2009, 8, 1891–1907. [Google Scholar] [CrossRef]
- Becerro-Recio, D.; Serrat, J.; López-García, M.; Molina-Hernández, V.; Pérez-Arévalo, J.; Martínez-Moreno, Á.; Sotillo, J.; Simón, F.; González-Miguel, J.; Siles-Lucas, M. Study of the migration of Fasciola hepatica juveniles across the intestinal barrier of the host by quantitative proteomics in an ex vivo model. PLoS Negl. Trop. Dis. 2022, 16, e0010766. [Google Scholar] [CrossRef]
- Seetharaman, S.; Etienne-Manneville, S. Cytoskeletal crosstalk in cell migration. Trends Cell. Biol. 2020, 30, 720–735. [Google Scholar] [CrossRef]
- Colognato, H.; Yurchenco, P.D. Form and function: The laminin family of heterotrimers. Dev. Dyn. 2000, 218, 213–234. [Google Scholar] [CrossRef]
- Schéele, S.; Nyström, A.; Durbeej, M.; Talts, J.F.; Ekblom, M.; Ekblom, P. Laminin isoforms in development and disease. J. Mol. Med. 2007, 85, 825–836. [Google Scholar] [CrossRef] [PubMed]
- Gu, Y.-C.; Kortesmaa, J.; Tryggvason, K.; Persson, J.; Ekblom, P.; Jacobsen, S.-E.; Ekblom, M. Laminin isoform–specific promotion of adhesion and migration of human bone marrow progenitor cells. Blood 2003, 101, 877–885. [Google Scholar] [CrossRef]
- McCusker, P.; McVeigh, P.; Rathinasamy, V.; Toet, H.; McCammick, E.; O’Connor, A.; Marks, N.J.; Mousley, A.; Brennan, G.P.; Halton, D.W.; et al. Stimulating neoblast-like cell proliferation in juvenile Fasciola hepatica supports growth and progression towards the adult phenotype in vitro. PLoS Negl. Trop. Dis. 2016, 10, e0004994. [Google Scholar] [CrossRef] [PubMed]
- Cwiklinski, K.; Robinson, M.W.; Donnelly, S.; Dalton, J.P. Complementary transcriptomic and proteomic analyses reveal the cellular and molecular processes that drive growth and development of Fasciola hepatica in the host liver. BMC Genom. 2021, 22, 46. [Google Scholar] [CrossRef] [PubMed]
- Liu, P.; Chen, H.; Yan, L.; Sun, Y. Laminin A5 modulates fibroblast proliferation in epidural fibrosis through the PI3K/AKT/MTOR signalling pathway. Mol. Med. Rep. 2020, 21, 1491–1500. [Google Scholar] [CrossRef]
- Corvo, I.; O’Donoghue, A.J.; Pastro, L.; Pi-Denis, N.; Eroy-Reveles, A.; Roche, L.; McKerrow, J.H.; Dalton, J.P.; Craik, C.S.; Caffrey, C.R.; et al. Dissecting the active Site of the collagenolytic cathepsin L3 protease of the invasive stage of Fasciola hepatica. PLoS Negl. Trop. Dis. 2013, 7, e2269. [Google Scholar] [CrossRef] [PubMed]
- Corvo, I.; Cancela, M.; Cappetta, M.; Pi-Denis, N.; Tort, J.F.; Roche, L. The major cathepsin L secreted by the invasive juvenile Fasciola hepatica prefers proline in the S2 subsite and can cleave collagen. Mol. Biochem. Parasitol. 2009, 167, 41–47. [Google Scholar] [CrossRef]
- Robinson, M.W.; Corvo, I.; Jones, P.M.; George, A.M.; Padula, M.P.; To, J.; Cancela, M.; Rinaldi, G.; Tort, J.F.; Roche, L.; et al. Collagenolytic activities of the major secreted cathepsin L peptidases involved in the virulence of the helminth pathogen, Fasciola hepatica. PLoS Negl. Trop. Dis. 2011, 5, e1012. [Google Scholar] [CrossRef]
- Norbury, L.J.; Beckham, S.; Pike, R.N.; Grams, R.; Spithill, T.W.; Fecondo, J.V.; Smooker, P.M. Adult and juvenile Fasciola cathepsin L proteases: Different enzymes for different roles. Biochimie 2011, 93, 604–611. [Google Scholar] [CrossRef]
- Berasain, P.; Goni, F.; McGonigle, S.; Dowd, A.; Dalton, J.P.; Frangione, B.; Carmona, C. Proteinases secreted by Fasciola hepatica degrade extracellular matrix and basement membrane components. J. Parasitol. 1997, 83, 1. [Google Scholar] [CrossRef]
- Freire, E.; Coelho-Sampaio, T. Self-assembly of laminin induced by acidic pH. J. Biol. Chem. 2000, 275, 817–822. [Google Scholar] [CrossRef]
- Barbour, T.; Cwiklinski, K.; Lalor, R.; Dalton, J.P.; de Marco Verissimo, C. The zoonotic helminth parasite Fasciola hepatica: Virulence-associated cathepsin B and cathepsin L cysteine peptidases secreted by infective newly excysted juveniles (NEJ). Animals 2021, 11, 3495. [Google Scholar] [CrossRef]
- Miles, L.A.; Parmer, R.J. Plasminogen receptors: The first quarter century. Semin. Thromb. Hemost. 2013, 39, 329–337. [Google Scholar] [CrossRef]
- Faisal Khan, K.M.; Laurie, G.W.; McCaffrey, T.A.; Falcone, D.J. Exposure of cryptic domains in the alpha 1-chain of laminin-1 by elastase stimulates macrophages urokinase and matrix metalloproteinase-9 expression. J. Biol. Chem. 2002, 277, 13778–13786. [Google Scholar] [CrossRef]
- Figuera, L.; Gómez-Arreaza, A.; Avilán, L. Parasitism in optima forma: Exploiting the host fibrinolytic system for invasion. Acta Tropica 2013, 128, 116–123. [Google Scholar] [CrossRef]
- Diosdado, A.; Simón, F.; Serrat, J.; González-Miguel, J. Interaction of helminth parasites with the haemostatic system of their vertebrate hosts: A scoping review. Parasite 2022, 29, 35. [Google Scholar] [CrossRef]
- González-Miguel, J.; Siles-Lucas, M.; Kartashev, V.; Morchón, R.; Simón, F. Plasmin in parasitic chronic infections: Friend or foe? Trends Parasitol. 2016, 32, 325–335. [Google Scholar] [CrossRef]
- Gibson, P.R.; Birchall, I.; Rosella, O.; Albert, V.; Finch, C.F.; Barkla, D.H.; Young, G.P. Urokinase and the intestinal mucosa: Evidence for a role in epithelial cell turnover. Gut 1998, 43, 656–663. [Google Scholar] [CrossRef]
- Aisina, R.B.; Mukhametova, L.I. Structure and function of plasminogen/plasmin System. Russ. J. Bioorganic Chem. 2014, 40, 590–605. [Google Scholar] [CrossRef]
- Mattos, E.C.; Canuto, G.; Manchola, N.C.; Magalhães, R.D.M.; Crozier, T.W.M.; Lamont, D.J.; Tavares, M.F.M.; Colli, W.; Ferguson, M.A.J.; Alves, M.J.M. Reprogramming of Trypanosoma cruzi metabolism triggered by parasite interaction with the host cell extracellular matrix. PLoS Negl. Trop. Dis. 2019, 13, e0007103. [Google Scholar] [CrossRef]
- Guillén, N. Role of signalling and cytoskeletal rearrangements in the pathogenesis of Entamoeba histolytica. Trends Microbiol. 1996, 4, 191–197. [Google Scholar] [CrossRef]
- Dalton, J.P. (Ed.) Fasciolosis, 2nd ed.; CABI: Egham, UK, 2021; ISBN 978-1-78924-616-2. [Google Scholar]
- Yap, Z.Y.; Strucinska, K.; Matsuzaki, S.; Lee, S.; Si, Y.; Humphries, K.; Tarnopolsky, M.A.; Yoon, W.H. A biallelic pathogenic variant in the OGDH gene results in a neurological disorder with features of a mitochondrial disease. J. Inherit. Metab. Dis. 2021, 44, 388–400. [Google Scholar] [CrossRef] [PubMed]
- Guffon, N.; Lopez-Mediavilla, C.; Dumoulin, R.; Mousson, B.; Godinot, C.; Carrier, H.; Collombet, J.M.; Divry, P.; Mathieu, M.; Guibaud, P. 2-ketoglutarate dehydrogenase deficiency, a rare cause of primary hyperlactataemia: Report of a new case. J. Inherit. Metab. Dis. 1993, 16, 821–830. [Google Scholar] [CrossRef] [PubMed]
- Donnelly, S.; O’Neill, S.M.; Stack, C.M.; Robinson, M.W.; Turnbull, L.; Whitchurch, C.; Dalton, J.P. Helminth cysteine proteases inhibit TRIF-dependent activation of macrophages via degradation of TLR3. J. Biol. Chem. 2010, 285, 3383–3392. [Google Scholar] [CrossRef]
- Cwiklinski, K.; Donnelly, S.; Drysdale, O.; Jewhurst, H.; Smith, D.; de Marco Verissimo, C.; Pritsch, I.C.; O’Neill, S.; Dalton, J.P.; Robinson, M.W. The cathepsin-like cysteine peptidases of trematodes of the genus Fasciola. In Advances in Parasitology; Elsevier: Amsterdam, The Netherlands, 2019; Volume 104, pp. 113–164. ISBN 978-0-12-817716-7. [Google Scholar]
- Ryan, S.; Shiels, J.; Taggart, C.C.; Dalton, J.P.; Weldon, S. Fasciola hepatica-derived molecules as regulators of the host immune response. Front. Immunol. 2020, 11, 2182. [Google Scholar] [CrossRef] [PubMed]
- Hernández-González, A.; Valero, M.L.; del Pino, M.S.; Oleaga, A.; Siles-Lucas, M. Proteomic analysis of in vitro newly excysted juveniles from Fasciola hepatica. Mol. Biochem. Parasitol. 2010, 172, 121–128. [Google Scholar] [CrossRef] [PubMed]
- Garcia-Campos, A.; Ravidà, A.; Nguyen, D.L.; Cwiklinski, K.; Dalton, J.P.; Hokke, C.H.; O’Neill, S.; Mulcahy, G. Tegument glycoproteins and cathepsins of newly excysted juvenile Fasciola hepatica carry mannosidic and paucimannosidic N-glycans. PLoS Negl. Trop. Dis. 2016, 10, e0004688. [Google Scholar] [CrossRef]
- Li, Q.; Liu, H.; Du, D.; Yu, Y.; Ma, C.; Jiao, F.; Yao, H.; Lu, C.; Zhang, W. Identification of novel laminin- and fibronectin-binding proteins by Far-Western Blot: Capturing the adhesins of Streptococcus suis type 2. Front. Cell. Infect. Microbiol. 2015, 5, 82. [Google Scholar] [CrossRef]
- Marcos, C.M.; Fátima da Silva, J.; Oliveira, H.C.; Moraes da Silva, R.A.; Mendes-Giannini, M.J.S.; Fusco-Almeida, A.M. Surface-expressed enolase contributes to the adhesion of Paracoccidioides brasiliensis to host cells. FEMS Yeast Res. 2012, 12, 557–570. [Google Scholar] [CrossRef]
- González-Miguel, J.; Morchón, R.; Siles-Lucas, M.; Simón, F. Fibrinolysis and proliferative endarteritis: Two related processes in chronic infections? The model of the blood-borne pathogen Dirofilaria immitis. PLoS ONE 2015, 10, e0124445. [Google Scholar] [CrossRef]
- De Marco Verissimo, C.; Jewhurst, H.L.; Dobó, J.; Gál, P.; Dalton, J.P.; Cwiklinski, K. Fasciola hepatica is refractory to complement killing by preventing attachment of mannose binding lectin (MBL) and inhibiting MBL-associated serine proteases (MASPs) with serpins. PLoS Pathog. 2022, 18, e1010226. [Google Scholar] [CrossRef] [PubMed]
- Schindelin, J.; Arganda-Carreras, I.; Frise, E.; Kaynig, V.; Longair, M.; Pietzsch, T.; Preibisch, S.; Rueden, C.; Saalfeld, S.; Schmid, B.; et al. Fiji: An open-source platform for biological-image analysis. Nat. Methods 2012, 9, 676–682. [Google Scholar] [CrossRef] [PubMed]
- Shevchenko, A.; Jensen, O.N.; Podtelejnikov, A.V.; Sagliocco, F.; Wilm, M.; Vorm, O.; Mortensen, P.; Shevchenko, A.; Boucherie, H.; Mann, M. Linking genome and proteome by mass spectrometry: Large-scale identification of yeast proteins from two dimensional gels. Proc. Natl. Acad. Sci. USA 1996, 93, 14440–14445. [Google Scholar] [CrossRef] [PubMed]
- Shilov, I.V.; Seymour, S.L.; Patel, A.A.; Loboda, A.; Tang, W.H.; Keating, S.P.; Hunter, C.L.; Nuwaysir, L.M.; Schaeffer, D.A. The Paragon algorithm, a next generation search engine that uses sequence temperature values and feature probabilities to identify peptides from tandem mass spectra. Mol. Cell. Proteom. 2007, 6, 1638–1655. [Google Scholar] [CrossRef] [PubMed]
- Mattos, E.C.; Schumacher, R.I.; Colli, W.; Alves, M.J.M. Adhesion of Trypanosoma cruzi trypomastigotes to fibronectin or laminin modifies tubulin and paraflagellar rod protein phosphorylation. PLoS ONE 2012, 7, e46767. [Google Scholar] [CrossRef]
- Liskovykh, M.; Lee, N.C.; Larionov, V.; Kouprina, N. Moving toward a higher efficiency of microcell-mediated chromosome transfer. Mol. Ther. Methods Clin. Dev. 2016, 3, 16043. [Google Scholar] [CrossRef] [PubMed]
- Fox, J.; Bouchet-Valat, M. Rcmdr: R Commander. R Package Version 2.8-0. Available online: https://socialsciences.mcmaster.ca/jfox/Misc/Rcmdr/ (accessed on 10 March 2022).






| FhNEJ-Teg DEPs | Uniprot Accession | p-Value | Log2FC |
| Alkylated DNA repair protein alkB 1 | A0A4E0RF73 | 0.012 | 1.95 |
| Calcium-binding mitochondrial carrier protein SCaMC-1 | A0A4E0RTX3 | 0.037 | 1.76 |
| Cargo transport protein erv29 | A0A4E0RGI5 | 0.034 | 1.18 |
| Golgi-associated plant pathogenesis protein 1 | A0A2H1C4H4 | 0.044 | 1.01 |
| Glutathione S-transferase omega class | A0A4E0RYR4 | 0.036 | 0.53 |
| Propionyl-CoA carboxylase alpha chain | A0A4E0S3G7 | 0.012 | −1.21 |
| FhNEJ-Som DEPs | Uniprot Accession | p-Value | Log2FC |
| Nuclear protein localization protein 4 | A0A4E0R4V7 | 0.037 | 2.15 |
| NADH dehydrogenase | A0A4E0R2Z1 | 0.012 | 2.10 |
| Glucose-6-phosphate isomerase | A0A4E0RGH6 | 0.049 | 1.85 |
| 40S ribosomal protein S2 | A0A4E0RD65 | 0.032 | 1.80 |
| Programmed cell death protein 6 | A0A4E0S2T2 | 0.023 | 1.71 |
| Alpha-aminoadipic semialdehyde synthase | A0A4E0RQ3 | 0.008 | 1.70 |
| 60S ribosomal protein L6 | A0A2H1BY45 | 0.010 | 1.66 |
| Superoxide dismutase | A0A2H1CLW2 | 0.032 | 1.62 |
| Eukaryotic ribosomal protein L18 | A0A2H1C1P4 | 0.027 | 1.46 |
| Thioredoxin peroxidase | A0A4E0RVH8 | 0.038 | 1.44 |
| Cathepsin B2 | A0A4E0RNG2 | 0.027 | 1.41 |
| Solute carrier family 2 facilitated glucose transporter member 3 | A0A4E0RGV2 | 0.042 | 1.37 |
| Spectrin beta chain | A0A4E0RR49 | 0.035 | 1.19 |
| Heat shock protein 70 | B1NI98 | 0.034 | 0.99 |
| Oxoglutarate dehydrogenase | A0A4E0RQS7 | 0.044 | −1.22 |
Disclaimer/Publisher’s Note: The statements, opinions and data contained in all publications are solely those of the individual author(s) and contributor(s) and not of MDPI and/or the editor(s). MDPI and/or the editor(s) disclaim responsibility for any injury to people or property resulting from any ideas, methods, instructions or products referred to in the content. |
© 2023 by the authors. Licensee MDPI, Basel, Switzerland. This article is an open access article distributed under the terms and conditions of the Creative Commons Attribution (CC BY) license (https://creativecommons.org/licenses/by/4.0/).
Share and Cite
Serrat, J.; Torres-Valle, M.; López-García, M.; Becerro-Recio, D.; Siles-Lucas, M.; González-Miguel, J. Molecular Characterization of the Interplay between Fasciola hepatica Juveniles and Laminin as a Mechanism to Adhere to and Break through the Host Intestinal Wall. Int. J. Mol. Sci. 2023, 24, 8165. https://doi.org/10.3390/ijms24098165
Serrat J, Torres-Valle M, López-García M, Becerro-Recio D, Siles-Lucas M, González-Miguel J. Molecular Characterization of the Interplay between Fasciola hepatica Juveniles and Laminin as a Mechanism to Adhere to and Break through the Host Intestinal Wall. International Journal of Molecular Sciences. 2023; 24(9):8165. https://doi.org/10.3390/ijms24098165
Chicago/Turabian StyleSerrat, Judit, María Torres-Valle, Marta López-García, David Becerro-Recio, Mar Siles-Lucas, and Javier González-Miguel. 2023. "Molecular Characterization of the Interplay between Fasciola hepatica Juveniles and Laminin as a Mechanism to Adhere to and Break through the Host Intestinal Wall" International Journal of Molecular Sciences 24, no. 9: 8165. https://doi.org/10.3390/ijms24098165
APA StyleSerrat, J., Torres-Valle, M., López-García, M., Becerro-Recio, D., Siles-Lucas, M., & González-Miguel, J. (2023). Molecular Characterization of the Interplay between Fasciola hepatica Juveniles and Laminin as a Mechanism to Adhere to and Break through the Host Intestinal Wall. International Journal of Molecular Sciences, 24(9), 8165. https://doi.org/10.3390/ijms24098165

