Isolation and Characterization of Extracellular Vesicles in Human Bowel Lavage Fluid
Abstract
1. Introduction
2. Results
2.1. Extracellular Vesicles Can Be Isolated from Bowel Lavage Fluid
2.2. RNA Can Be Isolated from Extracellular Vesicles from Bowel Lavage Fluid and Can Be Used for Real-Time PCR
2.3. DNA Can Be Isolated from Extracellular Vesicles from Bowel Lavage Fluid
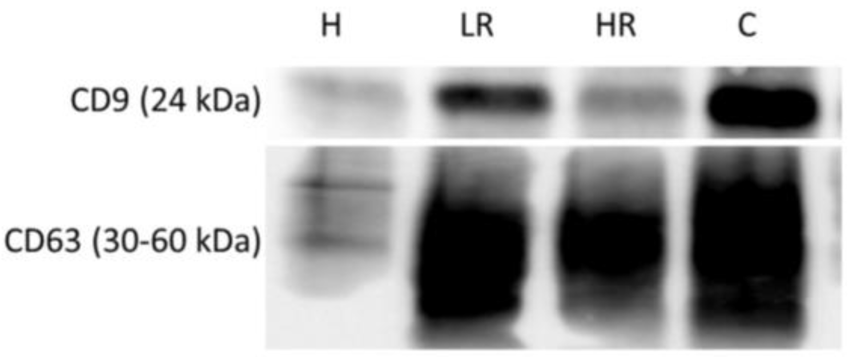
2.4. Western Blot Analyses of Proteins Isolated from Extracellular Vesicles from Bowel Lavage Fluid and Directly from Bowel Lavage Fluid
3. Discussion
4. Materials and Methods
4.1. Patients and Sample Acquisition
4.2. Extracellular Vesicles Isolation by Ultracentrifugation
4.3. Atomic Force Microscopy (AFM)
4.4. Transmission Electron Microscopy (TEM)
4.5. Nanoparticle Tracking Analysis (NTA)
4.6. RNA Isolation, Reverse Transcription, and Real-Time PCR
4.7. DNA Isolation and Quantification
4.8. Protein Isolation and Quantification
4.9. Western Blot
4.10. Statistical Analysis
5. Conclusions
Author Contributions
Funding
Institutional Review Board Statement
Informed Consent Statement
Data Availability Statement
Acknowledgments
Conflicts of Interest
References
- Ferlay, J.; Ervik, M.; Lam, F.; Colombet, M.; Mery, L.; Piñeros, M.; Znaor, A.; I Soerjomataram, B.F. Global Cancer Observatory: Cancer Today. Available online: https://gco.iarc.fr/today (accessed on 1 December 2021).
 - Cheshomi, H.; Matin, M.M. Exosomes and their importance in metastasis, diagnosis, and therapy of colorectal cancer. J. Cell. Biochem. 2019, 120, 2671–2686. [Google Scholar] [CrossRef] [PubMed]
 - Mammes, A.; Pasquier, J.; Mammes, O.; Conti, M.; Douard, R.; Loric, S. Extracellular vesicles: General features and usefulness in diagnosis and therapeutic management of colorectal cancer. World J. Gastrointest. Oncol. 2021, 13, 1561–1599. [Google Scholar] [CrossRef] [PubMed]
 - Świderska, M.; Choromańska, B.; Dąbrowska, E.; Konarzewska-Duchnowska, E.; Choromanska, K.; Szczurko, G.; Mysliwiec, P.; Dada, J.; Ladny, J.R.; Zwierz, K. The diagnostics of colorectal cancer. Contemp Oncol. 2014, 18, 1–6. [Google Scholar] [CrossRef]
 - Trelles Guzman, M.G.; Novella Duran, M.T.; Heredia Centeno, M.L.; Florido Garcia, M.; Sanchez-Contador Escudero, M.d.C.; Iyo Miyashiro, E.Y.; Ortega Moya, S.P.; Miro Viamonte, E.; Artigues Vives, G.; Gelabert Zorxona, J.; et al. Result of the first two rounds of the colorectal cancer screening program in the Balearic Islands (Spain). Gastroenterol. Hepatol. 2022, 45, 55–57. [Google Scholar] [PubMed]
 - Trelles, M.; Roca, P.; Sastre-Serra, J.; Florido, M.; Iyo, E.; Patricia Ortega, S.; Crespi, M.A.; Sanchez-Contador, C.; Miró, E.; Artigues, G.; et al. Búsqueda de un patrón clínico para la predicción de colonoscopia patológica en los pacientes participantes de las 2 primeras rondas del Programa de Detección precoz de Cáncer Colorrectal del Hospital Comarcal de Inca. Acad. J. Health Sci. 2023, 38, 76–83. [Google Scholar] [CrossRef]
 - Vega, P.; Valentín, F.; Cubiella, J. Colorectal cancer diagnosis: Pitfalls and opportunities. World J. Gastrointest. Oncol. 2015, 7, 422–433. [Google Scholar] [CrossRef] [PubMed]
 - Théry, C.; Witwer, K.W.; Aikawa, E.; Alcaraz, M.J.; Anderson, J.D.; Andriantsitohaina, R.; Antoniou, A.; Arab, T.; Archer, F.; Atkin-smith, G.K.; et al. Minimal information for studies of extracellular vesicles 2018 (MISEV2018): A position statement of the International Society for Extracellular Vesicles and update of the MISEV2014 guidelines. J. Extracell. Vesicles 2018, 7, 1535750. [Google Scholar] [CrossRef]
 - Hooten, N.N.; Byappanahalli, A.M.; Vannoy, M.; Omoniyi, V.; Evans, M.K. Influences of age, race, and sex on extracellular vesicle characteristics. Theranostics 2022, 12, 4459–4476. [Google Scholar] [CrossRef]
 - Ruiz-López, L.; Blancas, I.; Garrido, J.M.; Mut-Salud, N.; Moya-Jódar, M.; Osuna, A.; Rodríguez-Serrano, F. The role of exosomes on colorectal cancer: A review. J. Gastroenterol. Hepatol. 2018, 33, 792–799. [Google Scholar] [CrossRef]
 - Bracci, L.; Lozupone, F.; Parolini, I. The role of exosomes in colorectal cancer disease progression and respone to therapy. Cytokine Growth Factor Rev. 2020, 51, 84–91. [Google Scholar] [CrossRef]
 - Zhou, J.; Li, X.L.; Chen, Z.R.; Chng, W.J. Tumor-derived exosomes in colorectal cancer progression and their clinical applications. Oncotarget 2017, 8, 100781–100790. [Google Scholar] [CrossRef] [PubMed]
 - Xiao, Y.; Zhong, J.; Zhong, B.; Huang, J.; Jiang, L.; Jiang, Y.; Yuan, J.; Sun, J.; Dai, L.; Yang, C.; et al. Exosomes as potential sources of biomarkers in colorectal cancer. Cancer Lett. 2020, 476, 13–22. [Google Scholar] [CrossRef] [PubMed]
 - Siveen, K.S.; Raza, A.; Ahmed, E.I.; Khan, A.Q.; Prabhu, K.S.; Kuttikrishnan, S.; Mateo, J.M.; Zayed, H.; Rasul, K.; Azizi, F.; et al. The Role of Extracellular Vesicles as Modulators of the Tumor Microenvironment, Metastasis and Drug Resistance in Colorectal Cancer. Cancers 2019, 11, 746. [Google Scholar] [CrossRef] [PubMed]
 - Pap, E. The Role of Microvesicles in Malignancies. Adv. Exp. Med. Biol. 2011, 714, 183–199. [Google Scholar] [CrossRef] [PubMed]
 - Rocker, J.M.; DiPalma, J.A.; Pannell, L.K. Rectal Effluent as a Research Tool. Dig. Dis. Sci. 2015, 60, 24–31. [Google Scholar] [CrossRef] [PubMed]
 - Heinzlmann, M.; Neynaber, S.; Heldwein, W.; Folwaczny, C. K-ras and p53 mutations in colonic lavage fluid of patients with colorectal neoplasias. Digestion 2001, 63, 229–233. [Google Scholar] [CrossRef]
 - Potter, M.A.; Morris, R.G.; Ferguson, A.; Wyllie, A.H. Detection of Mutations Associated with Colorectal Cancer in DNA From Whole-Gut Lavage Fluid. J. Natl. Cancer Inst. 1998, 90, 623–626. [Google Scholar] [CrossRef]
 - Harada, T.; Yamamoto, E.; Yamano, H.O.; Nojima, M.; Maruyama, R.; Kumegawa, K.; Ashida, M.; Yoshikawa, K.; Kimura, T.; Harada, E.; et al. Analysis of DNA methylation in bowel lavage fluid for detection of colorectal cancer. Cancer Prev. Res. 2014, 7, 1002–1010. [Google Scholar] [CrossRef]
 - Park, Y.S.; Kim, D.S.; Cho, S.W.; Park, J.W.; Jeon, S.J.; Moon, T.J.; Kim, S.H.; Son, B.K.; Oh, T.J.; An, S.; et al. Analysis of syndecan-2 methylation in bowel lavage fluid for the detection of colorectal neoplasm. Gut Liver 2018, 12, 508–515. [Google Scholar] [CrossRef]
 - Uno, Y.; Saitoh, H.; Ying, H.; Tamai, Y.; Ono, F.; Yoshiike, M.; Munakata, A.; Yoshida, Y. Enzymes in Intestinal Juice from Patients with Liver Diseases and Colon Polyps: Measurement of Bilirubin, Alkaline Phosphatase, Aspartate Aminotransferase and Lactate Dehydrogenase. J. Exp. Med. 1996, 178, 163–168. [Google Scholar] [CrossRef]
 - Schwab, D.; Raithel, M.; Klein, P.; Winterkamp, S.; Weidenhiller, M.; Radespiel-Troeger, M.; Hochberger, J.; Hahn, E.G. Immunoglobulin E and Eosinophilic Cationic Protein in Segmental Lavage Fluid of the Small and Large Bowel Identify Patients with Food Allergy. Am. J. Gastroenterol. 2001, 96, 508–514. [Google Scholar] [CrossRef] [PubMed]
 - Heinzlmann, M.; Lang, S.M.; Neynaber, S.; Reinshagen, M.; Emmrich, J.; Stratakis, D.F.; Heldwein, W.; Wiebecke, B.; Loeschke, K. Screening for p53 and K-ras mutations in whole-gut lavage in chronic inflammatory bowel disease. Eur. J. Gastroenterol. Hepatol. 2002, 14, 1061–1066. [Google Scholar] [CrossRef] [PubMed]
 - Alorda-Clara, M.; Torrens-Mas, M.; Morla-Barcelo, P.M.; Martinez-Bernabe, T.; Sastre-Serra, J.; Roca, P.; Pons, D.G.; Oliver, J.; Reyes, J. Use of Omics Technologies for the Detection of Colorectal Cancer Biomarkers. Cancers 2022, 14, 817. [Google Scholar] [CrossRef] [PubMed]
 - Andreu, Z.; Yáñez-mó, M. Tetraspanins in extracellular vesicle formation and function. Front. Immunol. 2014, 5, 1–12. [Google Scholar] [CrossRef]
 - Dilsiz, N. Role of exosomes and exosomal microRNAs in cancer. Futur. Sci. 2020, 6, FSO465. [Google Scholar] [CrossRef]
 - György, B.; Szabó, T.G.; Pásztói, M.; Pál, Z.; Misják, P.; Aradi, B.; László, V.; Pállinger, É.; Pap, E.; Kittel, Á.; et al. Membrane vesicles, current state-of-the-art: Emerging role of extracellular vesicles. Cell. Mol. Life Sci. 2011, 68, 2667–2688. [Google Scholar] [CrossRef]
 - Van der Pol, E.; Coumans, F.A.Q.; Grootemaat, A.E.; Gardiner, C.; Sargent, I.L.; Harrison, P.; Sturk, A.; Van Leeuwen, T.G.; Nieuwland, R. Particle size distribution of exosomes and microvesicles determined by transmission electron microscopy, flow cytometry, nanoparticle tracking analysis, and resistive pulse sensing. J. Thromb. Haemost. 2014, 12, 1182–1192. [Google Scholar] [CrossRef]
 - Bar-Sela, G.; Cohen, I.; Avisar, A.; Loven, D.; Aharon, A. Circulating blood extracellular vesicles as a tool to assess endothelial injury and chemotherapy toxicity in adjuvant cancer patients. PLoS ONE 2020, 15, e0240994. [Google Scholar] [CrossRef]
 - Cha, B.S.; Park, K.S.; Park, J.S. Signature mRNA markers in extracellular vesicles for the accurate diagnosis of colorectal cancer. J. Biol. Eng. 2020, 14, 1–9. [Google Scholar] [CrossRef]
 - Li, X.; Wang, Q.; Wang, R. Roles of Exosome Genomic DNA in Colorectal Cancer. Front. Pharmacol. 2022, 13, 923232. [Google Scholar] [CrossRef]
 - Kowal, E.J.K.; Ter-ovanesyan, D.; Regev, A.; Church, G.M. Extracellular Vesicle Isolation and Analysis by Western Blotting. Methods Mol. Biol. 2017, 1660, 143–152. [Google Scholar] [CrossRef]
 - Lee, C.; Im, E.; Moon, P.; Baek, M. Discovery of a diagnostic biomarker for colon cancer through proteomic profiling of small extracellular vesicles. BMC Cancer 2018, 18, 1058. [Google Scholar] [CrossRef] [PubMed]
 - Yunusova, N.V.; Zambalova, E.A.; Patysheva, M.R.; Elena, S.; Afanas, S.G.; Cheremisina, O.V.; Grigor, A.E.; Tamkovich, S.N.; Kondakova, I. V Exosomal Protease Cargo as Prognostic Biomarker in Colorectal Cancer. Asian Pac. J. Cancer Prev. 2021, 22, 861–869. [Google Scholar] [CrossRef] [PubMed]
 - Singh, A.i.; Patnam, S.; Koyyada, R.; Samal, R.; Alvi, S.B.; Satyanaryana, G.; Andrews, R.; Panigrahi, A.K.; Rengan, A.K.; Mudigonda, S.S.; et al. Identifying stable reference genes in polyethene glycol precipitated urinary extracellular vesicles for RT-qPCR-based gene expression studies in renal graft dysfunction patients. Transpl. Immunol. 2022, 75, 101715. [Google Scholar] [CrossRef] [PubMed]
 - Bryzgunova, O.E.; Zaripov, M.M.; Skvortsova, T.E.; Lekchnov, E.A.; Grigor’eva, A.E.; Zaporozhchenko, I.A.; Morozkin, E.S.; Ryabchikova, E.I.; Yurchenko, Y.B.; Voitsitskiy, V.E.; et al. Comparative study of extracellular vesicles from the urine of healthy individuals and prostate cancer patients. PLoS ONE 2016, 11, e0157566. [Google Scholar] [CrossRef]
 - Thakur, K.; Singh, M.S.; Feldstein-davydova, S.; Hannes, V.; Hershkovitz, D.; Tsuriel, S. Extracellular Vesicle-Derived DNA vs. CfDNA as a Biomarker for the Detection of Colon Cancer. Genes 2021, 12, 1171. [Google Scholar] [CrossRef]
 - Choi, J.; Cho, H.Y.; Jeon, J.; Kim, H.-A.; Han, Y.D.; Ahn, J.B.; Wortzel, I.; Lyden, D.; Kim, H.S. Detection of circulating KRAS mutant DNA in extracellular vesicles using droplet digital PCR in patients with colon cancer. Front. Oncol. 2022, 12, 1067210. [Google Scholar] [CrossRef]
 - Kayazawa, M.; Saitoh, O.; Kojima, K.; Nakagawa, K.; Tanaka, S.; Tabata, K.; Matsuse, R.; Uchida, K.; Hoshimoto, M.; Hirata, I.; et al. Lactoferrin in Whole Gut Lavage Fluid as a Marker for Disease Activity in Inflammatory Bowel Disease: Comparison with Other Neutrophil- Derived Proteins. Am. J. Gastroenterol. 2002, 97, 360–369. [Google Scholar] [CrossRef]
 - Al-Muhtaseb, S.I. Serum and saliva protein levels in females with breast cancer. Oncol. Lett. 2014, 8, 2752–2756. [Google Scholar] [CrossRef]
 - Bel’Skaya, L.V.; Sarf, E.A.; Solomatin, D.V.; Kosenok, V.K. Metabolic Features of Saliva in Breast Cancer Patients. Metabolites 2022, 12, 166. [Google Scholar] [CrossRef]
 - Weldon, S.; Ambroz, K.; Schutz-geschwender, A.; Olive, D.M. Near-infrared fluorescence detection permits accurate imaging of loading controls for Western blot analysis. Anal. Biochem. 2008, 375, 156–158. [Google Scholar] [CrossRef] [PubMed]
 - Lee, H.; Jo, J.; Hong, H.; Kim, K.K.; Park, J.; Cho, S.; Park, C. State-of-the-art housekeeping proteins for quantitative western blotting: Revisiting the first draft of the human proteome. Proteomics 2016, 16, 1863–1867. [Google Scholar] [CrossRef] [PubMed]
 - Tobias, I.S.; Lazauskas, K.K.; Arevalo, J.A.; Bagley, J.R.; Brown, L.E.; Galpin, A.J. Fiber type-specific analysis of AMPK isoforms in human skeletal muscle: Advancement in methods via capillary nanoimmunoassay. J. Appl. Physiol. 2018, 124, 840–849. [Google Scholar] [CrossRef]
 - Mangas-sanjuan, C.; Jover, R.; Cubiella, J.; Marzo-Castillejo, M.; Balaguer, F.; Bessa, X.; Bujanda, L.; Bustamante, M.; Castells, A.; Diaz-Tasende, J.; et al. Vigilancia tras resección de pólipos de colon y de cáncer colorrectal. Actualización 2018. Gastroenterol. Hepatol. 2019, 42, 188–201. [Google Scholar] [CrossRef]
 - Forteza-Genestra, M.A.; Antich-Rosselló, M.; Calvo, J.; Gayà, A.; Monjo, M.; Ramis, J.M. Purity Determines the Effect of Extracellular Vesicles Derived from Mesenchymal Stromal Cells. Cells 2020, 9, 422. [Google Scholar] [CrossRef] [PubMed]
 - Bradford, M.M. A rapid and sensitive method for the quantitation of microgram quantities of protein utilizing the principle of protein-dye binding. Anal. Biochem. 1976, 72, 248–254. [Google Scholar] [CrossRef]
 





| Healthy | Low-Risk | High-Risk | Cancer | ANOVA | |
|---|---|---|---|---|---|
| Particles/mL | 1.80 × 1010 ± 7.80 × 109 | 1.36 × 1010 ± 5.57 × 108 | 1.51 × 1010 ± 3.59 × 109 | 1.59 × 1010 ± 2.12 × 109 | NS (p 0.690) | 
| Healthy | Low-Risk | High-Risk | Cancer | Kuskal–Wallis | |
|---|---|---|---|---|---|
| ng/mL BLF of EV RNA | 707 ± 844 | 225 ± 187 | 434 ± 585 | 1791 ± 2744 | NS (p 0.431) | 
| ng/mL BLF of EV DNA | 1055 ± 786 | 800 ± 482 | 756 ± 420 | 477 ± 547 | S (p 0.000) | 
| µg/mL BLF of EV Protein | 21.7 ± 17.1 | 14.0 ± 9.12 | 18.0 ± 12.1 | 15.5 ± 12.2 | NS (p 0.149) | 
| µg/mL BLF of BLF Protein | 392 ± 253 | 387 ± 249 | 407 ± 322 | 1487 ± 2179 | S (p 0.003) | 
| Healthy | Low-Risk | High-Risk | Cancer | Statistics | |
|---|---|---|---|---|---|
| Ct values | 32.9 ± 1.87 | 28.4 ± 1.09 | 32.0 ± 1.74 | 31.2 ± 0.98 | ANOVA: NS (p 0.108) | 
| Tm values | 81.5 ± 0.09 | 81.4 ± 0.04 | 81.5 ± 0.01 | 81.5 ± 0.02 | Kruskal-Wallis: NS (p 0.522) | 
Disclaimer/Publisher’s Note: The statements, opinions and data contained in all publications are solely those of the individual author(s) and contributor(s) and not of MDPI and/or the editor(s). MDPI and/or the editor(s) disclaim responsibility for any injury to people or property resulting from any ideas, methods, instructions or products referred to in the content.  | 
© 2023 by the authors. Licensee MDPI, Basel, Switzerland. This article is an open access article distributed under the terms and conditions of the Creative Commons Attribution (CC BY) license (https://creativecommons.org/licenses/by/4.0/).
Share and Cite
Alorda-Clara, M.; Reyes, J.; Trelles-Guzman, M.G.; Florido, M.; Roca, P.; Pons, D.G.; Oliver, J. Isolation and Characterization of Extracellular Vesicles in Human Bowel Lavage Fluid. Int. J. Mol. Sci. 2023, 24, 7391. https://doi.org/10.3390/ijms24087391
Alorda-Clara M, Reyes J, Trelles-Guzman MG, Florido M, Roca P, Pons DG, Oliver J. Isolation and Characterization of Extracellular Vesicles in Human Bowel Lavage Fluid. International Journal of Molecular Sciences. 2023; 24(8):7391. https://doi.org/10.3390/ijms24087391
Chicago/Turabian StyleAlorda-Clara, Marina, Jose Reyes, Marita Grimanesa Trelles-Guzman, Monica Florido, Pilar Roca, Daniel Gabriel Pons, and Jordi Oliver. 2023. "Isolation and Characterization of Extracellular Vesicles in Human Bowel Lavage Fluid" International Journal of Molecular Sciences 24, no. 8: 7391. https://doi.org/10.3390/ijms24087391
APA StyleAlorda-Clara, M., Reyes, J., Trelles-Guzman, M. G., Florido, M., Roca, P., Pons, D. G., & Oliver, J. (2023). Isolation and Characterization of Extracellular Vesicles in Human Bowel Lavage Fluid. International Journal of Molecular Sciences, 24(8), 7391. https://doi.org/10.3390/ijms24087391
        
