Glyphosate Interference in Follicular Organization in the Wall Lizard Podarcis siculus
Abstract
1. Introduction
2. Results
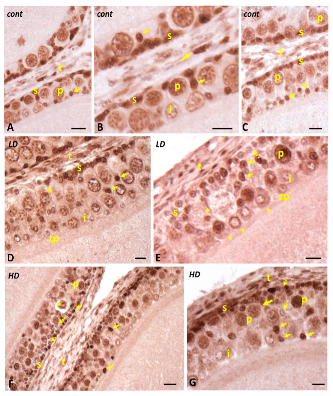
2.1. Effects of Glyphosate on Ovarian Anatomy
2.2. Effects of Glyphosate on Collagen Deposition
2.3. Effects of Glyphosate on Carbohydrate Composition
2.4. Effects of Glyphosate on the Presence and Localization of E-Caderin and PCNA
2.5. Effects of Glyphosate on the Presence and Localization of Alpha and Beta Estrogen Receptors
3. Discussion
4. Materials and Methods
4.1. Animals
4.2. Histological Analysis
4.3. Immunohistochemistry
Author Contributions
Funding
Institutional Review Board Statement
Informed Consent Statement
Data Availability Statement
Conflicts of Interest
References
- Zhang, J.; Zhao, C.; Shi, F.; Zhang, S.; Wang, S.; Feng, X. Melatonin alleviates the deterioration of oocytes and hormonal disorders from mice subjected to glyphosate. Mol. Cell. Endocrinol. 2021, 520, 111073. [Google Scholar] [CrossRef] [PubMed]
- Ren, X.; Li, R.; Liu, J.; Huang, K.; Wu, S.; Li, Y.; Li, C. Effects of glyphosate on the ovarian function of pregnant mice, the secretion of hormones and the sex ratio of their fetuses. Environ. Pollut. 2018, 243, 833–841. [Google Scholar] [CrossRef] [PubMed]
- Uren Webster, T.M.; Santos, E.M. Global transcriptomic profiling demonstrates induction of oxidative stress and of compensatory cellular stress responses in brown trout exposed to glyphosate and Roundup. BMC Genom. 2015, 16, 1–14. [Google Scholar] [CrossRef] [PubMed]
- Bai, S.H.; Ogbourne, S.M. Glyphosate: Environmental contamination, toxicity and potential risks to human health via food contamination. Environ. Sci. Pollut. Res. Int. 2016, 23, 18988–19001. [Google Scholar] [CrossRef]
- Gastiazoro, M.P.; Durando, M.; Milesi, M.M.; Lorenz, V.; Vollmer, G.; Varayoud, J.; Zierau, O. Glyphosate induces epithelial mesenchymal transition-related changes in human endometrial Ishikawa cells via estrogen receptor pathway. Mol. Cell. Endocrinol. 2020, 510, 110841. [Google Scholar] [CrossRef]
- Bhardwaj, J.K.; Mittal, M.; Saraf, P.; Sharma, S. Ameliorative potential of vitamin C and E against Roundup-glyphosate induced genotoxicity triggering apoptosis in caprine granulosa cells. Environ. Mol. Mutagen. 2022, 63, 246–254. [Google Scholar] [CrossRef] [PubMed]
- Serra, L.; Estienne, A.; Vasseur, C.; Froment, P.; Dupont, J. Review: Mechanisms of Glyphosate and Glyphosate-Based Herbicides Action in Female and Male Fertility in Humans and Animal Models. Cells 2021, 10, 3079. [Google Scholar] [CrossRef] [PubMed]
- Milesi, M.M.; Lorenz, V.; Pacini, G.; Repetti, M.R.; Demonte, L.D.; Varayoud, J.; Luque, E.H. Perinatal exposure to a glyphosate-based herbicide impairs female reproductive outcomes and induces second-generation adverse effects in Wistar rats. Arch. Toxicol. 2018, 92, 2629–2643. [Google Scholar] [CrossRef]
- Dallegrave, E.; Mantese, F.D.; Coelho, R.S.; Pereira, J.D.; Dalsenter, P.R.; Langeloh, A. The teratogenic potential of the herbicide glyphosate-Roundup in Wistar rats. Toxicol. Lett. 2003, 142, 45–52. [Google Scholar] [CrossRef] [PubMed]
- Jarrell, Z.R.; Ahammad, M.U.; Benson, A.P. Glyphosate-based herbicide formulations and reproductive toxicity in animals. Vet. Anim. Sci. 2020, 10, 100126. [Google Scholar] [CrossRef]
- Abarikwu, S.O.; Akiri, O.F.; Durojaiye, M.A.; Adenike, A. Combined effects of repeated administration of Bretmont Wipeout (glyphosate) and Ultrazin (atrazine) on testosterone, oxidative stress and sperm quality of Wistar rats. Toxicol. Mech. Methods 2015, 25, 70–80. [Google Scholar] [CrossRef] [PubMed]
- Cai, W.; Ji, Y.; Song, X.; Guo, H.; Han, L.; Zhang, F.; Liu, X.; Zhang, H.; Zhu, B.; Xu, M. Effects of glyphosate exposure on sperm concentration in rodents: A systematic review and meta-analysis. Environ. Toxicol. Pharmacol. 2017, 55, 148–155. [Google Scholar] [CrossRef]
- Marino, M.; Mele, E.; Viggiano, A.; Nori, S.L.; Meccariello, R.; Santoro, A. Pleiotropic Outcomes of Glyphosate Exposure: From Organ Damage to Effects on Inflammation, Cancer, Reproduction and Development. Int. J. Mol. Sci. 2021, 22, 12606. [Google Scholar] [CrossRef] [PubMed]
- Razi, M.; Najafi, G.; Feyzi, S.; Karimi, A.; Shahmohamadloo, S.; Nejati, V. Histological and histochemical effects of Glyphosate on testicular tissue and function. Iran. J. Reprod. Med. 2012, 10, 181–192. [Google Scholar] [PubMed]
- Cassault-Meyer, E.; Gress, S.; Séralini, G.É.; Galeraud-Denis, I. An acute exposure to glyphosate-based herbicide alters aromatase levels in testis and sperm nuclear quality. Environ. Toxicol. Pharmacol. 2014, 38, 131–140. [Google Scholar] [CrossRef] [PubMed]
- Walsh, L.P.; McCormick, C.; Martin, C.; Stocco, D.M. Roundup inhibits steroidogenesis by disrupting steroidogenic acute regulatory (StAR) protein expression. Environ. Health Perspect. 2000, 108, 769–776. [Google Scholar] [CrossRef]
- Kaboli Kafshgiri, S.; Farkhondeh, T.; Miri-Moghaddam, E. Glyphosate effects on the female reproductive systems: A systematic review. Rev. Environ. Health 2021, 37, 487–500. [Google Scholar] [CrossRef]
- Singh, S.; Kumar, V.; Gill, J.P.K.; Datta, S.; Singh, S.; Dhaka, V.; Kapoor, D.; Wani, A.B.; Dhanjal, D.S.; Kumar, M.; et al. Herbicide Glyphosate: Toxicity and Microbial Degradation. Int. J. Environ. Res. Public Health 2020, 17, 7519. [Google Scholar] [CrossRef] [PubMed]
- Uren Webster, T.M.; Laing, L.V.; Florance, H.; Santos, E.M. Effects of glyphosate and its formulation, roundup, on reproduction in zebrafish (Danio rerio). Environ. Sci. Technol. 2014, 48, 1271–1279. [Google Scholar] [CrossRef]
- Rodríguez, E.M.; Medesani, D.A.; Canosa, I.S.; Avigliano, L. The Effect of Glyphosate on the Reproduction of Estuarine Crabs: Neohelice granulata as a Study Model. Front. Endocrinol. (Lausanne) 2021, 12, 643168. [Google Scholar] [CrossRef]
- Moltedo, G.; Catalano, B.; Martuccio, G.; Sesta, G.; Romanelli, G.; Lauria, A.; Berducci, M.T.; Parravano, R.; Maggi, C.; Simbula, G.; et al. Processes involved in biochemical response to pesticides by lizard Podarcis siculus (Rafinesque-Schmaltz, 1810)—A field study. Toxicol. Appl. Pharmacol. 2023, 467, 116491. [Google Scholar] [CrossRef] [PubMed]
- Verderame, M.; Limatola, E.; Scudiero, R. Estrogenic contamination by manure fertilizer in organic farming: A case study with the lizard Podarcis sicula. Ecotoxicology 2016, 1, 105–114. [Google Scholar] [CrossRef] [PubMed]
- Simbula, G.; Moltedo, G.; Catalano, B.; Martuccio, G.; Sebbio, C.; Onorati, F.; Stellati, L.; Bissattini, A.M.; Vignoli, L. Biological responses in pesticide exposed lizards (Podarcis siculus). Ecotoxicology 2021, 30, 1017–1028. [Google Scholar] [CrossRef]
- Verderame, M.; Scudiero, R. How glyphosate impairs liver condition in the field lizard Podarcis siculus (Rafinesque-Schmaltz, 1810): Histological and molecular evidence. Biomed Res. Int. 2019, 2019, 4746283. [Google Scholar] [CrossRef] [PubMed]
- Verderame, M.; Chianese, T.; Rosati, L.; Scudiero, R. Molecular and Histological Effects of Glyphosate on Testicular Tissue of the Lizard Podarcis siculus. Int. J. Mol. Sci. 2022, 23, 4850. [Google Scholar] [CrossRef] [PubMed]
- Wang, L.; Kong, W.; Liu, B.; Zhang, X. Proliferating cell nuclear antigen promotes cell proliferation and tumorigenesis by up-regulating STAT3 in non-small cell lung cancer. Biomed. Pharmacother. 2018, 104, 595–602. [Google Scholar] [CrossRef] [PubMed]
- Sundfeldt, K.; Piontkewitz, Y.; Billig, H.; Hedin, L. E-cadherin-catenin complex in the rat ovary: Cell-specific expression during folliculogenesis and luteal formation. J. Reprod. Fertil. 2000, 118, 375–385. [Google Scholar] [CrossRef] [PubMed]
- Motta, C.M.; Scanderbeg, M.C.; Filosa, S.; Andreuccetti, P. Role of pyriform cells during the growth of oocytes in the lizard Podarcis sicula. J. Exp. Zool. 1995, 273, 247–256. [Google Scholar] [CrossRef]
- Tammaro, S.; Simoniello, P.; Ristoratore, F.; Coppola, U.; Scudiero, R.; Motta, C.M. Expression of caspase 3 in ovarian follicle cells of the lizard Podarcis sicula. Cell Tissue Res. 2017, 367, 397–404. [Google Scholar] [CrossRef] [PubMed]
- Filosa, S. Biological and cytological aspects of the ovarian cycle in Lacerta sicula Raf. Mon. Zool. Ital. 1973, 7, 151–165. [Google Scholar] [CrossRef]
- Motta, C.M.; Tammaro, S.; Di Lorenzo, M.; Panzuto, R.; Verderame, M.; Migliaccio, V.; Simoniello, P. Spring and Fall recrudescence in Podarcis siculus ovaries: A role for progesterone. Gen. Comp. Endocrinol. 2020, 290, 113393. [Google Scholar] [CrossRef] [PubMed]
- Samsel, A.; Seneff, S. Glyphosate pathways to modern diseases V: Amino acid analogue of glycine in diverse proteins. J. Biol. Phys. Chem. 2016, 16, 9–46. [Google Scholar] [CrossRef]
- Ganesan, S.; Keating, A.F. Ovarian mitochondrial and oxidative stress proteins are altered by glyphosate exposure in mice. Toxicol. Appl. Pharmacol. 2020, 402, 115116. [Google Scholar] [CrossRef] [PubMed]
- Benedetti, A.L.; de Lourdes Vituri, C.; Trentin, A.G.; Domingues, M.A.C.; Alvarez-Silva, M. The effects of sub-chronic exposure of Wistar rats to the herbicide Glyphosate-Biocarb®. Toxicol. Lett. 2004, 153, 227–232. [Google Scholar] [CrossRef] [PubMed]
- Rosati, L.; Chianese, T.; Simoniello, P.; Motta, C.M.; Scudiero, R. The Italian Wall Lizard Podarcis siculus as a Biological Model for Research in Male Reproductive Toxicology. Int. J. Mol. Sci. 2022, 23, 15220. [Google Scholar] [CrossRef]
- Verderame, M.; Chianese, T.; Scudiero, R. Morphological and Molecular Evidence of Active Principle Glyphosate Toxicity on the Liver of the Field Lizard Podarcis siculus. In Issues in Toxicology Vol. 45: Bird and Reptile Species in Environmental Risk Assessment Strategies; Liwszyc, G., Larramendy, M.L., Eds.; The Royal Society of Chemistry (RSC) Publishing: Cambridge, UK, 2023; Chapter 9; pp. 151–168. ISBN 978-1-83916-710-2. [Google Scholar]
- Sarg, N.A.; Manawy, S.M.; Kamal, K.M. Protective Effects of Allium Cepa on Testis of Rats Exposed to GlyPhosate. Egypt. J. Anat. 2019, 42, 1–9. [Google Scholar] [CrossRef]
- Perego, M.C.; Schutz, L.F.; Caloni, F.; Cortinovis, C.; Albonico, M.; Spicer, L.J. Evidence for direct effects of glyphosate on ovarian function: Glyphosate influences steroidogenesis and proliferation of bovine granulosa but not theca cells In Vitro. J. Appl. Toxicol. 2017, 37, 692–698. [Google Scholar] [CrossRef] [PubMed]
- Magoffin, D.A. Ovarian theca cell. Int. J. Biochem. Cell Biol. 2005, 37, 1344–1349. [Google Scholar] [CrossRef] [PubMed]
- Bjersing, L.; Cajander, S. Ovulation and the mechanism of follicle rupture: V. Ultrastructure of tunica albuginea and theca externa of rabbit Graafian follicles prior to induced ovulation. Cell Tissue Res. 1974, 153, 15–30. [Google Scholar] [CrossRef]
- Lind, A.K.; Weijdegård, B.; Dahm-Kähler, P.; Mölne, J.; Sundfeldt, K.; Brännström, M. Collagens in the human ovary and their changes in the perifollicular stroma during ovulation. Acta Obstet. Gynecol. Scand. 2006, 85, 1476–1484. [Google Scholar] [CrossRef] [PubMed]
- Takahashi, N.; Tarumi, W.; Ishizuka, B. Involvement of hyaluronan synthesis in ovarian follicle growth in rats. Reproduction 2014, 147, 189–197. [Google Scholar] [CrossRef] [PubMed]
- Salustri, A.; Camaioni, A.; Di Giacomo, M.; Fulop, C.; Hascall, V.C. Hyaluronan and proteoglycans in ovarian follicles. Hum. Reprod. Update 1999, 5, 293–301. [Google Scholar] [CrossRef] [PubMed]
- Tammaro, S.; Simoniello, P.; Filosa, S.; Motta, C.M. Block of mitochondrial apoptotic pathways in lizard ovarian follicle cells as an adaptation to their nurse function. Cell Tissue Res. 2007, 327, 625–635. [Google Scholar] [CrossRef] [PubMed]
- Tammaro, S.; Simoniello, P.; Filosa, S.; Motta, C.M. cGnRH II involvement in pyriform cell apoptosis. Cell Tissue Res. 2008, 332, 337–347. [Google Scholar] [CrossRef]
- Motta, C.M.; Filosa, S.; Andreuccetti, P. Regression of the epithelium in late previtellogenic follicles of Podarcis sicula: A case of apoptosis. J. Exp. Zool. 1996, 276, 233–241. [Google Scholar] [CrossRef]
- Wang, X.; Lu, Q.; Guo, J.; Ares, I.; Martínez, M.; Martínez-Larrañaga, M.R.; Martínez, M.A. Oxidative stress and metabolism: A mechanistic insight for glyphosate toxicology. Annu. Rev. Pharmacol. Toxicol. 2022, 62, 617–639. [Google Scholar] [CrossRef] [PubMed]
- Davico, C.E.; Pereira, A.G.; Nezzi, L.; Jaramillo, M.L.; de Melo, M.S.; Müller, Y.M.R.; Nazari, E.M. Reproductive toxicity of Roundup WG® herbicide: Impairments in ovarian follicles of model organism Danio rerio. Environ. Science Pollut. Res. 2021, 28, 15147–15159. [Google Scholar] [CrossRef] [PubMed]
- Seneff, S.; Morley, W.A.; Hadden, M.J.; Michener, M.C. Does glyphosate acting as a glycine analogue contribute to ALS? J. Bioinform. Proteom. Rev. 2017, 3, 1–21. [Google Scholar] [CrossRef]
- Uchida, M.; Takumi, S.; Tachikawa, K.; Yamauchi, R.; Goto, Y.; Matsusaki, H.; Arizono, K. Toxicity evaluation of glyphosate agrochemical components using Japanese medaka (Oryzias latipes) and DNA microarray gene expression analysis. J. Toxicol. Sci. 2012, 37, 245–254. [Google Scholar] [CrossRef] [PubMed]
- Kimura, Y.; Manabe, N.; Matsushita, H.; Tajima, C.; Myoumoto, A.; Miyamoto, H. Examination of granulosa cell glycoconjugates which change during follicular atresia in the pig ovary. J. Reprod. Dev. 1998, 44, 35–44. [Google Scholar] [CrossRef]
- Nagarajan, A.; Malvi, P.; Wajapeyee, N. Heparan sulfate and heparan sulfate proteoglycans in cancer initiation and progression. Front. Endocrinol. 2018, 9, 483. [Google Scholar] [CrossRef] [PubMed]
- Andreuccetti, P.; Taddei, C.; Filosa, S. Intercellular bridges between follicle cells and oocyte during the differentiation of follicular epithelium in Lacerta sicula Raf. J. Cell Sci. 1978, 33, 341–350. [Google Scholar] [CrossRef] [PubMed]
- Miller, D.J.; Ax, R.L. Carbohydrates and fertilization in animals. Mol. Reprod. Dev. 1990, 26, 184–198. [Google Scholar] [CrossRef] [PubMed]
- Filosa, S.; Taddei, C.; Andreuccetti, P. The differentiation and proliferation of follicle cells during oocyte growth in Lacerta sicula. J. Embryol. Exp. Morphol. 1979, 54, 5–15. [Google Scholar] [CrossRef] [PubMed]
- Botte, V.; Angelini, F.; Picariello, O. Autumn photothermal regimes and spring reproduction in the female lizard, Lacerta sicula. Herpetologica 1978, 34, 298–302. [Google Scholar] [CrossRef]
- Xu, B.; Hua, J.; Zhang, Y.; Jiang, X.; Zhang, H.; Ma, T.; Shi, Q. Proliferating cell nuclear antigen (PCNA) regulates primordial follicle assembly by promoting apoptosis of oocytes in fetal and neonatal mouse ovaries. PLoS ONE 2011, 6, e16046. [Google Scholar] [CrossRef] [PubMed]
- Simoniello, P.; Filosa, S.; Scudiero, R.; Trinchella, F.; Motta, C.M. Cadmium impairment of reproduction in the female wall lizard Podarcis sicula. Environ. Toxicol. 2013, 28, 553–562. [Google Scholar] [CrossRef]
- Wu, L.; Sampson, N.S. Fucose, mannose, and β-N-acetylglucosamine glycopolymers initiate the mouse sperm acrosome reaction through convergent signaling pathways. ACS Chem. Biol. 2014, 9, 468–475. [Google Scholar] [CrossRef] [PubMed]
- Díaz-Martín, R.D.; Valencia-Hernández, J.D.; Betancourt-Lozano, M.; Yáñez-Rivera, B. Changes in microtubule stability in zebrafish (Danio rerio) embryos after glyphosate exposure. Heliyon 2021, 7, 06027. [Google Scholar] [CrossRef]
- Heu, C.; Berquand, A.; Elie-Caille, C.; Nicod, L. Glyphosate-induced stiffening of HaCaT keratinocytes, a Peak Force Tapping study on living cells. J. Struct. Biol. 2012, 178, 1–7. [Google Scholar] [CrossRef] [PubMed]
- De Almeida, L.K.S.; Pletschke, B.I.; Frost, C.L. Moderate levels of glyphosate and its formulations vary in their cytotoxicity and genotoxicity in a whole blood model and in human cell lines with different estrogen receptor status. 3 Biotech 2018, 8, 438. [Google Scholar] [CrossRef] [PubMed]
- Richard, S.; Moslemi, S.; Sipahutar, H.; Benachour, N.; Seralini, G.E. Differential effects of glyphosate and roundup on human placental cells and aromatase. Environ. Health Perspect. 2005, 113, 716–720. [Google Scholar] [CrossRef] [PubMed]
- Thongprakaisang, S.; Thiantanawat, A.; Rangkadilok, N.; Suriyo, T.; Satayavivad, J. Glyphosate induces human breast cancer cells growth via estrogen receptors. Food Chem. Toxicol. 2013, 59, 129–136. [Google Scholar] [CrossRef]
- US EPA. Edsp: Weight of Evidence Analysis of Potential Interaction with the Estrogen, Androgen or Thyroid Pathways. Glyphosate; 2015. Available online: https://wwwepagov/sites/production/files/2015-06/documents/glyphosate-417300_2015-06-29_txr0057175pdf (accessed on 5 March 2023).
- Klinge, C.M. Estrogen receptor interaction with estrogen response elements. Nucleic Acids Res. 2001, 29, 2905–2919. [Google Scholar] [CrossRef] [PubMed]
- Alarcón, R.; Ingaramo, P.I.; Rivera, O.E.; Dioguardi, G.H.; Repetti, M.R.; Demonte, L.D.; Luque, E.H. Neonatal exposure to a glyphosate-based herbicide alters the histofunctional differentiation of the ovaries and uterus in lambs. Mol. Cell. Endocrinol. 2019, 482, 45–56. [Google Scholar] [CrossRef] [PubMed]
- Borrelli, L.; De Stasio, R.; Motta, C.M.; Parisi, E.; Filosa, S. Seasonal-dependent effect of temperature on the response of adenylate cyclase to FSH stimulation in the oviparous lizard, Podarcis sicula. J. Endocrinol. 2020, 167, 275–280. [Google Scholar] [CrossRef] [PubMed]
- Carnevali, O.; Mosconi, G.; Angelini, F.; Limatola, E.; Ciarcia, G.; Polzonetti-Magni, A. Plasma vitellogenin and 17 beta-estradiol levels during the annual reproductive cycle of Podarcis sicula Raf. Gen. Comp. Endocrinol. 1991, 84, 337–343. [Google Scholar] [CrossRef] [PubMed]
- Angelini, F.; Botte, V.; D’alterio, E. Autumn photothermal regimes and reproductive functions in the female lizard Podarcis sicula Raf. Ital. J. Zool. 1982, 16, 133–148. [Google Scholar] [CrossRef]
- Andreuccetti, P.; Motta, C.M.; Filosa, S. Regulation of oocyte number during oocyte differentiation in the lizard Podarcis sicula. Cell Differ. Dev. 1990, 29, 129–141. [Google Scholar] [CrossRef]
- Di Lorenzo, M.; Mileo, A.; Laforgia, V.; De Falco, M.; Rosati, L. Alkyphenol Exposure Alters Steroidogenesis in Male Lizard Podarcis siculus. Animals 2021, 11, 1003. [Google Scholar] [CrossRef]
- Motta, C.M.; Simoniello, P.; Di Lorenzo, M.; Migliaccio, V.; Panzuto, R.; Califano, E.; Santovito, G. Endocrine disrupting effects of copper and cadmium in the oocytes of the Antarctic Emerald rockcod Trematomus bernacchii. Chemosphere 2021, 268, 129282. [Google Scholar] [CrossRef] [PubMed]
- Motta, C.M.; Tammaro, S.; Simoniello, P.; Prisco, M.; Ricchiari, L.; Andreuccetti, P.; Filosa, S. Characterization of cortical alveoli content in several species of Antarctic notothenioids. J. Fish. Biol. 2005, 66, 442–453. [Google Scholar] [CrossRef]
- De Gregorio, V.; La Rocca, A.; Urciuolo, F.; Annunziata, C.; Tornesello, M.L.; Buonaguro, F.M.; Netti, P.A.; Imparato, G. Modeling the epithelial-mesenchymal transition process in a 3D organotypic cervical neoplasia. Acta Biomater. 2020, 116, 209–222. [Google Scholar] [CrossRef] [PubMed]
- De Gregorio, V.; Corrado, B.; Sbrescia, S.; Sibilio, S.; Urciuolo, F.; Netti, P.A.; Imparato, G. Intestine-on-chip device increases ECM remodeling inducing faster epithelial cell differentiation. Biotechnol. Bioeng. 2020, 117, 556–566. [Google Scholar] [CrossRef] [PubMed]
- Rosati, L.; Agnese, M.; Verderame, M.; Aniello, F.; Venditti, M.; Mita, D.G.; Andreuccetti, P.; Prisco, M. Morphological and molecular responses in ovaries of Mytilus galloprovincialis collected in two different sites of the Naples Bay. J. Exp. Zool. A Ecol. Integr. Physiol. 2019, 331, 52–60. [Google Scholar] [CrossRef]
- Santillo, A.; Rosati, L.; Prisco, M.; Chieffi Baccari, G.; Andreuccetti, P.; Falvo, S.; Di Fiore, M.M. Aromatase immunolocalization and activity in the lizard’s brain: Dynamic changes during the reproductive cycle. C. R. Biol. 2019, 342, 18–26. [Google Scholar] [CrossRef] [PubMed]
- Rosati, L.; Prisco, M.; Di Lorenzo, M.; De Falco, M.; Andreuccetti, P. Immunolocalization of aromatase P450 in the epididymis of Podarcis sicula and Rattus rattus. Eur. J. Histochem. 2020, 64, 3080. [Google Scholar] [CrossRef] [PubMed]








Disclaimer/Publisher’s Note: The statements, opinions and data contained in all publications are solely those of the individual author(s) and contributor(s) and not of MDPI and/or the editor(s). MDPI and/or the editor(s) disclaim responsibility for any injury to people or property resulting from any ideas, methods, instructions or products referred to in the content. |
© 2023 by the authors. Licensee MDPI, Basel, Switzerland. This article is an open access article distributed under the terms and conditions of the Creative Commons Attribution (CC BY) license (https://creativecommons.org/licenses/by/4.0/).
Share and Cite
Rosati, L.; Chianese, T.; De Gregorio, V.; Verderame, M.; Raggio, A.; Motta, C.M.; Scudiero, R. Glyphosate Interference in Follicular Organization in the Wall Lizard Podarcis siculus. Int. J. Mol. Sci. 2023, 24, 7363. https://doi.org/10.3390/ijms24087363
Rosati L, Chianese T, De Gregorio V, Verderame M, Raggio A, Motta CM, Scudiero R. Glyphosate Interference in Follicular Organization in the Wall Lizard Podarcis siculus. International Journal of Molecular Sciences. 2023; 24(8):7363. https://doi.org/10.3390/ijms24087363
Chicago/Turabian StyleRosati, Luigi, Teresa Chianese, Vincenza De Gregorio, Mariailaria Verderame, Anja Raggio, Chiara Maria Motta, and Rosaria Scudiero. 2023. "Glyphosate Interference in Follicular Organization in the Wall Lizard Podarcis siculus" International Journal of Molecular Sciences 24, no. 8: 7363. https://doi.org/10.3390/ijms24087363
APA StyleRosati, L., Chianese, T., De Gregorio, V., Verderame, M., Raggio, A., Motta, C. M., & Scudiero, R. (2023). Glyphosate Interference in Follicular Organization in the Wall Lizard Podarcis siculus. International Journal of Molecular Sciences, 24(8), 7363. https://doi.org/10.3390/ijms24087363

