Protective Immunity against Chlamydia psittaci Lung Infection Induced by a DNA Plasmid Vaccine Carrying CPSIT_p7 Gene Inhibits Dissemination in BALB/c Mice
Abstract
1. Introduction
2. Results
2.1. Plasmid pcDNA3.1(+)/CPSIT_p7 Was Successfully Constructed and Expressed CPSIT_p7 Protein in HeLa Cells
2.2. pcDNA3.1(+)/CPSIT_p7 Vaccine Induced Strong Antibody-Specific Responses in BALB/c Mice
2.3. Vaccinations with pcDNA3.1(+)/CPSIT_p7 Plasmid Effectively Decreased the C. psittaci load in the Lungs of BALB/c Mice
2.4. pcDNA3.1(+)/CPSIT_p7 Vaccine Regulated the Production of IL-6 and IFN-γ in BALB/c Mice
2.5. pcDNA3.1(+)/CPSIT_p7 Vaccine Diminished Pulmonary Pathological Lesions and Reduced the C. psittaci Load in the Lung of the Infected BALB/c Mice
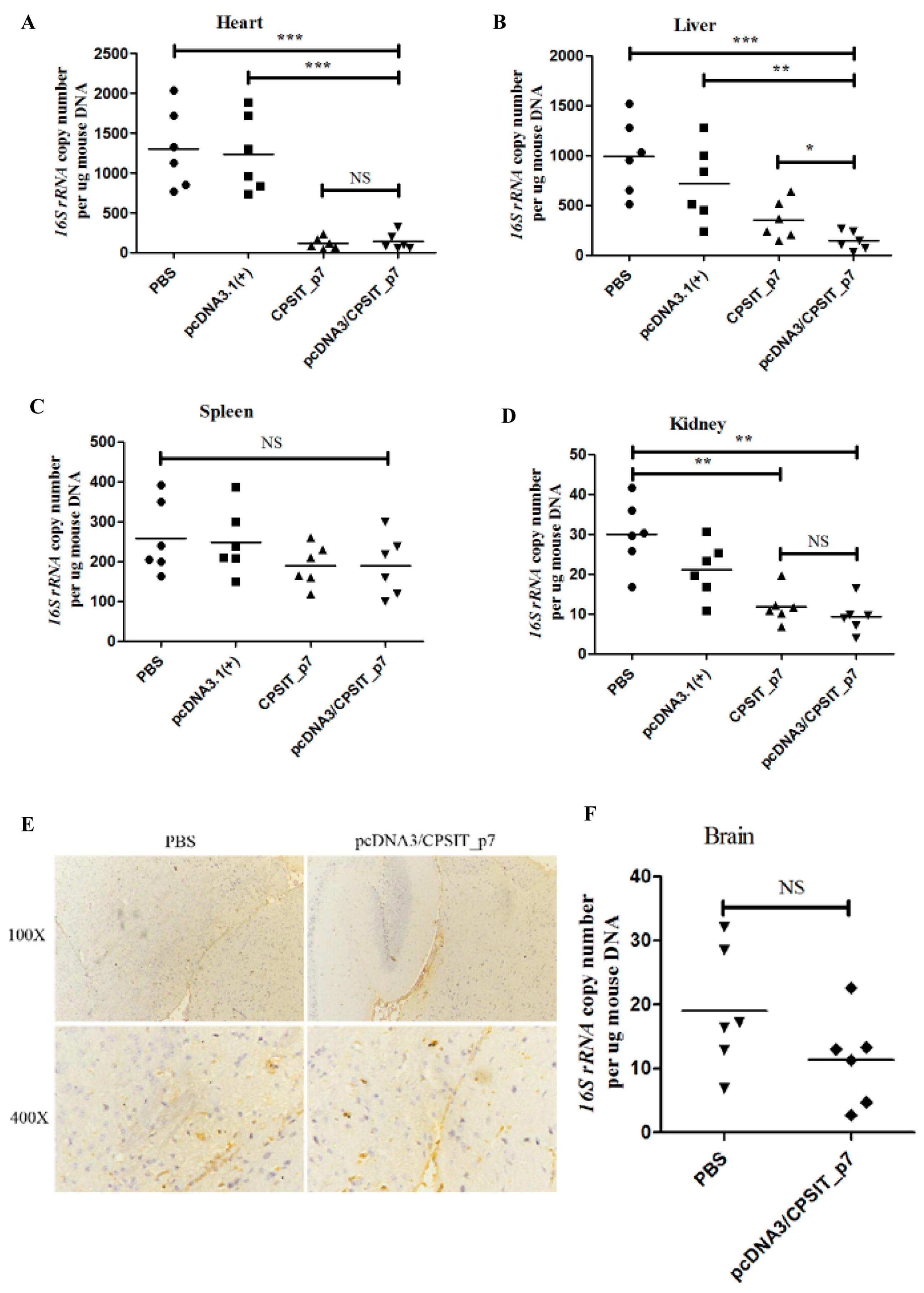
2.6. pcDNA3.1(+)/CPSIT_p7 Vaccine Suppressed C. psittaci Dissemination in BALB/c Mice
3. Discussion
4. Materials and Methods
4.1. Construction and Identification of the pcDNA3.1(+)/CPSIT_p7 Plasmid
4.2. Transfection
4.3. Western Blot Analysis
4.4. Mice Care and Immunization
4.5. ELISA Analysis of Antibody Levels
4.6. Preparations of C. psittaci and Intranasal Challenge
4.7. Indirect Immunofluorescence Assay
4.8. Detection of Cytokine Levels in Lung
4.9. Histopathology
4.10. Quantitative PCR
4.11. Animal Ethics Statement
4.12. Statistical Analysis
Author Contributions
Funding
Institutional Review Board Statement
Data Availability Statement
Conflicts of Interest
References
- Knittler, M.R.; Sachse, K. Chlamydia psittaci: Update on an underestimated zoonotic agent. Pathog. Dis. 2015, 73, 1–15. [Google Scholar] [CrossRef] [PubMed]
- Liebler-Tenorio, E.M.; Lambertz, J.; Ostermann, C.; Sachse, K.; Reinhold, P. Regeneration of Pulmonary Tissue in a Calf Model of Fibrinonecrotic Bronchopneumonia Induced by Experimental Infection with Chlamydia Psittaci. Int. J. Mol. Sci. 2020, 21, 2817. [Google Scholar] [CrossRef] [PubMed]
- Brunham, R.C. Problems with Understanding Chlamydia trachomatis Immunology. J. Infect. Dis. 2022, 225, 2043–2049. [Google Scholar] [CrossRef] [PubMed]
- de la Maza, L.M.; Zhong, G.; Brunham, R.C. Update on Chlamydia trachomatis Vaccinology. Clin. Vaccine Immunol. CVI 2017, 24, e00543-16. [Google Scholar] [CrossRef] [PubMed]
- Poston, T.B.; Darville, T. Chlamydia trachomatis: Protective Adaptive Responses and Prospects for a Vaccine. Curr. Top. Microbiol. Immunol. 2018, 412, 217–237. [Google Scholar]
- Li, L.; Saade, F.; Petrovsky, N. The future of human DNA vaccines. J. Biotechnol. 2012, 162, 171–182. [Google Scholar] [CrossRef]
- Rajcani, J.; Mosko, T.; Rezuchova, I. Current developments in viral DNA vaccines: Shall they solve the unsolved? Rev. Med. Virol. 2005, 15, 303–325. [Google Scholar] [CrossRef]
- Zhang, D.; Yang, X.; Berry, J.; Shen, C.; McClarty, G.; Brunham, R.C. DNA vaccination with the major outer-membrane protein gene induces acquired immunity to Chlamydia trachomatis (mouse pneumonitis) infection. J. Infect. Dis. 1997, 176, 1035–1040. [Google Scholar] [CrossRef]
- Verminnen, K.; Loock, M.V.; Cox, E.; Goddeeris, B.M.; Vanrompay, D. Protection of turkeys against Chlamydophila psittaci challenge by DNA and rMOMP vaccination and evaluation of the immunomodulating effect of 1 alpha,25-dihydroxyvitamin D(3). Vaccine 2005, 23, 4509–4516. [Google Scholar] [CrossRef]
- Svanholm, C.; Bandholtz, L.; Castanos-Velez, E.; Wigzell, H.; Rottenberg, M.E. Protective DNA immunization against Chlamydia pneumoniae. Scand. J. Immunol. 2000, 51, 345–353. [Google Scholar] [CrossRef]
- Hechard, C.; Grepinet, O.; Rodolakis, A. Proteic boost enhances humoral response induced by DNA vaccination with the dnaK gene of Chlamydophila abortus but fails to protect pregnant mice against a virulence challenge. Vet. Res. 2003, 34, 119–125. [Google Scholar] [CrossRef] [PubMed]
- Schautteet, K.; De Clercq, E.; Jonsson, Y.; Lagae, S.; Chiers, K.; Cox, E.; Vanrompay, D. Protection of pigs against genital Chlamydia trachomatis challenge by parenteral or mucosal DNA immunization. Vaccine 2012, 30, 2869–2881. [Google Scholar] [CrossRef] [PubMed]
- Ou, C.; Tian, D.; Ling, Y.; Pan, Q.; He, Q.; Eko, F.O.; He, C. Evaluation of an ompA-based phage-mediated DNA vaccine against Chlamydia abortus in piglets. Int. Immunopharmacol. 2013, 16, 505–510. [Google Scholar] [CrossRef] [PubMed]
- Clarridge, J.E., 3rd. Impact of 16S rRNA gene sequence analysis for identification of bacteria on clinical microbiology and infectious diseases. Clin. Microbiol. Rev. 2004, 17, 840–862. [Google Scholar] [CrossRef]
- Zhong, G. Chlamydial Plasmid-Dependent Pathogenicity. Trends Microbiol. 2017, 25, 141–152. [Google Scholar] [CrossRef]
- Kari, L.; Whitmire, W.M.; Olivares-Zavaleta, N.; Goheen, M.M.; Taylor, L.D.; Carlson, J.H.; Sturdevant, G.L.; Lu, C.; Bakios, L.E.; Randall, L.B.; et al. A live-attenuated chlamydial vaccine protects against trachoma in nonhuman primates. J. Exp. Med. 2011, 208, 2217–2223. [Google Scholar] [CrossRef]
- Mosolygo, T.; Szabo, A.M.; Balogh, E.P.; Faludi, I.; Virok, D.P.; Endresz, V.; Samu, A.; Krenacs, T.; Burian, K. Protection promoted by pGP3 or pGP4 against Chlamydia muridarum is mediated by CD4(+) cells in C57BL/6N mice. Vaccine 2014, 32, 5228–5233. [Google Scholar] [CrossRef]
- Wang, C.; Li, Y.; Wang, S.; Yan, X.; Xiao, J.; Chen, Y.; Zheng, K.; Tan, Y.; Yu, J.; Lu, C.; et al. Evaluation of a tandem Chlamydia psittaci Pgp3 multiepitope peptide vaccine against a pulmonary chlamydial challenge in mice. Microb. Pathog. 2020, 147, 104256. [Google Scholar] [CrossRef]
- Tan, Y.; Li, Y.; Zhang, Y.; Yu, J.; Wen, Y.; Wang, C.; Xu, M.; Chen, Q.; Lu, C.; Wu, Y. Immunization with Chlamydia psittaci plasmid-encoded protein CPSIT_p7 induces partial protective immunity against chlamydia lung infection in mice. Immunol. Res. 2018, 66, 471–479. [Google Scholar] [CrossRef]
- Donati, M.; Sambri, V.; Comanducci, M.; Di Leo, K.; Storni, E.; Giacani, L.; Ratti, G.; Cevenini, R. DNA immunization with pgp3 gene of Chlamydia trachomatis inhibits the spread of chlamydial infection from the lower to the upper genital tract in C3H/HeN mice. Vaccine 2003, 21, 1089–1093. [Google Scholar] [CrossRef]
- Li, Z.; Wang, S.; Wu, Y.; Zhong, G.; Chen, D. Immunization with chlamydial plasmid protein pORF5 DNA vaccine induces protective immunity against genital chlamydial infection in mice. Sci. China. Ser. C Life Sci. 2008, 51, 973–980. [Google Scholar] [CrossRef] [PubMed]
- Peng, B.; Zhong, S.; Hua, Y.; Luo, Q.; Dong, W.; Wang, C.; Li, Z.; Yang, C.; Lei, A.; Lu, C. Efficacy of Pgp3 vaccination for Chlamydia urogenital tract infection depends on its native conformation. Front. Immunol. 2022, 13, 1018774. [Google Scholar] [CrossRef] [PubMed]
- Galaleldeen, A.; Taylor, A.B.; Chen, D.; Schuermann, J.P.; Holloway, S.P.; Hou, S.; Gong, S.; Zhong, G.; Hart, P.J. Structure of the Chlamydia trachomatis immunodominant antigen Pgp3. J. Biol. Chem. 2013, 288, 22068–22079. [Google Scholar] [CrossRef] [PubMed]
- Chen, D.; Lei, L.; Lu, C.; Galaleldeen, A.; Hart, P.J.; Zhong, G. Characterization of Pgp3, a Chlamydia trachomatis plasmid-encoded immunodominant antigen. J. Bacteriol. 2010, 192, 6017–6024. [Google Scholar] [CrossRef]
- Donati, M.; Laroucau, K.; Storni, E.; Mazzeo, C.; Magnino, S.; Di Francesco, A.; Baldelli, R.; Ceglie, L.; Renzi, M.; Cevenini, R. Serological response to pgp3 protein in animal and human chlamydial infections. Vet. Microbiol. 2009, 135, 181–185. [Google Scholar] [CrossRef]
- Liang, M.; Wen, Y.; Ran, O.; Chen, L.; Wang, C.; Li, L.; Xie, Y.; Zhang, Y.; Chen, C.; Wu, Y. Protective immunity induced by recombinant protein CPSIT_p8 of Chlamydia psittaci. Appl. Microbiol. Biotechnol. 2016, 100, 6385–6393. [Google Scholar] [CrossRef]
- Labuda, J.C.; Pham, O.H.; Depew, C.E.; Fong, K.D.; Lee, B.S.; Rixon, J.A.; McSorley, S.J. Circulating immunity protects the female reproductive tract from Chlamydia infection. Proc. Natl. Acad. Sci. USA 2021, 118, e2104407118. [Google Scholar] [CrossRef]
- Helble, J.D.; Gonzalez, R.J.; von Andrian, U.H.; Starnbach, M.N. Gamma Interferon Is Required for Chlamydia Clearance but Is Dispensable for T Cell Homing to the Genital Tract. mBio 2020, 11, e00191-20. [Google Scholar] [CrossRef]
- Farris, C.M.; Morrison, S.G.; Morrison, R.P. CD4+ T cells and antibody are required for optimal major outer membrane protein vaccine-induced immunity to Chlamydia muridarum genital infection. Infect. Immun. 2010, 78, 4374–4383. [Google Scholar] [CrossRef]
- Powell, H.J.; Cong, Y.; Yu, J.J.; Guentzel, M.N.; Berton, M.T.; Klose, K.E.; Murthy, A.K.; Arulanandam, B.P. CD4+ T cells are required during priming but not the effector phase of antibody-mediated IFN-gamma-dependent protective immunity against pulmonary Francisella novicida infection. Immunol. Cell Biol. 2008, 86, 515–522. [Google Scholar] [CrossRef]
- Li, Y.; Zheng, K.; Tan, Y.; Wen, Y.; Wang, C.; Chen, Q.; Yu, J.; Xu, M.; Tan, M.; Wu, Y. A recombinant multi-epitope peptide vaccine based on MOMP and CPSIT_p6 protein protects against Chlamydia psittaci lung infection. Appl. Microbiol. Biotechnol. 2019, 103, 941–952. [Google Scholar] [CrossRef] [PubMed]
- Olivares-Zavaleta, N.; Whitmire, W.; Gardner, D.; Caldwell, H.D. Immunization with the attenuated plasmidless Chlamydia trachomatis L2(25667R) strain provides partial protection in a murine model of female genitourinary tract infection. Vaccine 2010, 28, 1454–1462. [Google Scholar] [CrossRef] [PubMed]
- Kaleta, E.F.; Taday, E.M. Avian host range of Chlamydophila spp. based on isolation, antigen detection and serology. Avian Pathol. 2003, 32, 435–461. [Google Scholar] [CrossRef] [PubMed]
- Kashimura, M. The human spleen as the center of the blood defense system. Int. J. Hematol. 2020, 112, 147–158. [Google Scholar] [CrossRef]
- Aoshi, T.; Carrero, J.A.; Konjufca, V.; Koide, Y.; Unanue, E.R.; Miller, M.J. The cellular niche of Listeria monocytogenes infection changes rapidly in the spleen. Eur. J. Immunol. 2009, 39, 417–425. [Google Scholar] [CrossRef]
- Ghosh, D.; Stumhofer, J.S. The spleen: “epicenter” in malaria infection and immunity. J. Leukoc. Biol. 2021, 110, 753–769. [Google Scholar] [CrossRef]
- Herweg, J.A.; Rudel, T. Interaction of Chlamydiae with human macrophages. FEBS J. 2016, 283, 608–618. [Google Scholar] [CrossRef]
- Lausen, M.; Christiansen, G.; Bouet Guldbæk Poulsen, T.; Birkelund, S. Immunobiology of monocytes and macrophages during Chlamydia trachomatis infection. Microbes Infect. 2019, 21, 73–84. [Google Scholar] [CrossRef]
- Beagley, K.W.; Huston, W.M.; Hansbro, P.M.; Timms, P. Chlamydial infection of immune cells: Altered function and implications for disease. Crit. Rev. Immunol 2009, 29, 275–305. [Google Scholar] [CrossRef]
- Kessell, A.E.; Finnie, J.W.; Windsor, P.A. Neurological diseases of ruminant livestock in Australia. III: Bacterial and protozoal infections. Aust. Vet. J. 2011, 89, 289–296. [Google Scholar] [CrossRef]
- Kalams, S.A.; Parker, S.; Jin, X.; Elizaga, M.; Metch, B.; Wang, M.; Hural, J.; Lubeck, M.; Eldridge, J.; Cardinali, M.; et al. Safety and immunogenicity of an HIV-1 gag DNA vaccine with or without IL-12 and/or IL-15 plasmid cytokine adjuvant in healthy, HIV-1 uninfected adults. PLoS ONE 2012, 7, e29231. [Google Scholar] [CrossRef] [PubMed]
- Yu, Y.Z.; Ma, Y.; Xu, W.H.; Wang, S.; Sun, Z.W. Combinations of various CpG motifs cloned into plasmid backbone modulate and enhance protective immunity of viral replicon DNA anthrax vaccines. Med. Microbiol. Immunol. 2015, 204, 481–491. [Google Scholar] [CrossRef] [PubMed]
- He, Z.; Xu, J.; Tao, W.; Fu, T.; He, F.; Hu, R.; Jia, L.; Hong, Y. A recombinant plasmid containing CpG motifs as a novel vaccine adjuvant for immune protection against herpes simplex virus 2. Mol. Med. Rep. 2016, 14, 1823–1828. [Google Scholar] [CrossRef] [PubMed]
- Würtele, H.; Little, K.C.; Chartrand, P. Illegitimate DNA integration in mammalian cells. Gene Ther. 2003, 10, 1791–1799. [Google Scholar] [CrossRef]
- Li, L.; Petrovsky, N. Molecular mechanisms for enhanced DNA vaccine immunogenicity. Expert Rev Vaccines 2016, 15, 313–329. [Google Scholar] [CrossRef]
- Hobernik, D.; Bros, M. DNA Vaccines-How Far From Clinical Use? Int. J. Mol. Sci. 2018, 19, 3605. [Google Scholar] [CrossRef]
- Lee, J.; Arun Kumar, S.; Jhan, Y.Y.; Bishop, C.J. Engineering DNA vaccines against infectious diseases. Acta Biomater. 2018, 80, 31–47. [Google Scholar] [CrossRef]







Disclaimer/Publisher’s Note: The statements, opinions and data contained in all publications are solely those of the individual author(s) and contributor(s) and not of MDPI and/or the editor(s). MDPI and/or the editor(s) disclaim responsibility for any injury to people or property resulting from any ideas, methods, instructions or products referred to in the content. |
© 2023 by the authors. Licensee MDPI, Basel, Switzerland. This article is an open access article distributed under the terms and conditions of the Creative Commons Attribution (CC BY) license (https://creativecommons.org/licenses/by/4.0/).
Share and Cite
Wang, C.; Jin, Y.; Wang, J.; Zheng, K.; Lei, A.; Lu, C.; Wang, S.; Wu, Y. Protective Immunity against Chlamydia psittaci Lung Infection Induced by a DNA Plasmid Vaccine Carrying CPSIT_p7 Gene Inhibits Dissemination in BALB/c Mice. Int. J. Mol. Sci. 2023, 24, 7013. https://doi.org/10.3390/ijms24087013
Wang C, Jin Y, Wang J, Zheng K, Lei A, Lu C, Wang S, Wu Y. Protective Immunity against Chlamydia psittaci Lung Infection Induced by a DNA Plasmid Vaccine Carrying CPSIT_p7 Gene Inhibits Dissemination in BALB/c Mice. International Journal of Molecular Sciences. 2023; 24(8):7013. https://doi.org/10.3390/ijms24087013
Chicago/Turabian StyleWang, Chuan, Yingqi Jin, Jiewen Wang, Kang Zheng, Aihua Lei, Chunxue Lu, Shuzhi Wang, and Yimou Wu. 2023. "Protective Immunity against Chlamydia psittaci Lung Infection Induced by a DNA Plasmid Vaccine Carrying CPSIT_p7 Gene Inhibits Dissemination in BALB/c Mice" International Journal of Molecular Sciences 24, no. 8: 7013. https://doi.org/10.3390/ijms24087013
APA StyleWang, C., Jin, Y., Wang, J., Zheng, K., Lei, A., Lu, C., Wang, S., & Wu, Y. (2023). Protective Immunity against Chlamydia psittaci Lung Infection Induced by a DNA Plasmid Vaccine Carrying CPSIT_p7 Gene Inhibits Dissemination in BALB/c Mice. International Journal of Molecular Sciences, 24(8), 7013. https://doi.org/10.3390/ijms24087013

