The Role of Alpha-Synuclein Deposits in Parkinson’s Disease: A Focus on the Human Retina
Abstract
1. Introduction
2. Alpha-Synuclein in Human Retina
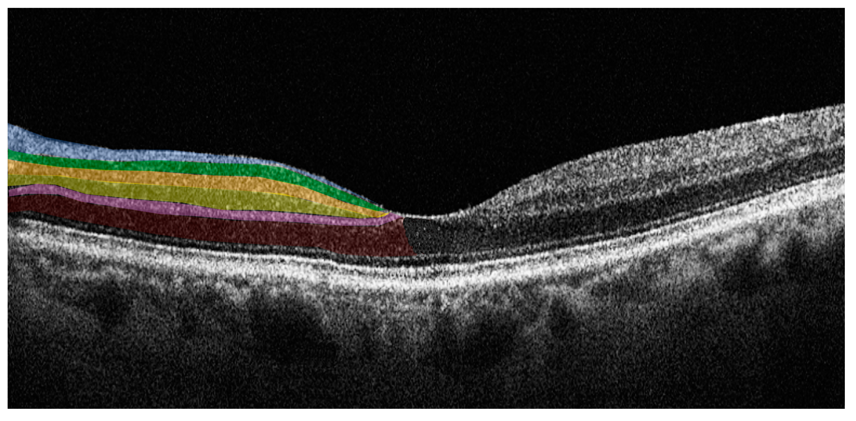
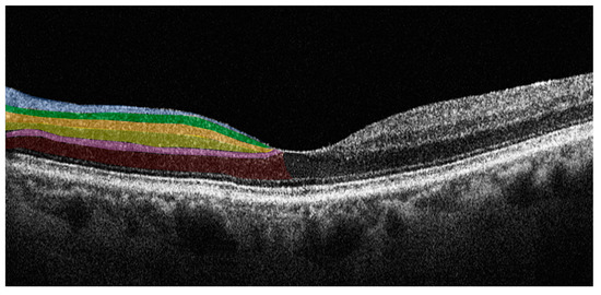
3. SD-OCT Findings
4. Discussion
Author Contributions
Funding
Institutional Review Board Statement
Informed Consent Statement
Data Availability Statement
Conflicts of Interest
References
- Surguchov, A. Biomarkers in Parkinson’s Disease. In Neurodegenerative Diseases Biomarkers; Neuromethods; Peplow, P.V., Martinez, B., Gennarelli, T.A., Eds.; Humana: New York, NY, USA, 2021; Volume 173. [Google Scholar] [CrossRef]
- Samii, A.; Nutt, J.G.; Ransom, B.R. Parkinson’s disease. Lancet 2004, 363, 1783–1793. [Google Scholar] [CrossRef] [PubMed]
- Martínez-Navarrete, G.C.; Martín-Nieto, J.; Esteve-Rudd, J.; Angulo, A.; Cuenca, N. Alpha synuclein gene expression profile in the retina of vertebrates. Mol. Vis. 2007, 13, 949–961. [Google Scholar] [PubMed]
- Kawahata, I.; Finkelstein, D.I.; Fukunaga, K. Pathogenic Impact of α-Synuclein Phosphorylation and Its Kinases in α-Synucleinopathies. Int. J. Mol. Sci. 2022, 23, 6216. [Google Scholar] [CrossRef] [PubMed]
- Lotharius, J.; Brundin, P. Pathogenesis of Parkinson’s disease: Dopamine, vesicles and alpha-synuclein. Nat. Rev. Neurosci. 2002, 3, 932–942. [Google Scholar] [CrossRef] [PubMed]
- Beach, T.G.; Adler, C.H.; Lue, L.; Sue, L.I.; Bachalakuri, J.; Henry-Watson, J.; Sasse, J.; Boyer, S.; Shirohi, S.; Brooks, R.; et al. Unified staging system for Lewy body disorders: Correlation with nigrostriatal degeneration, cognitive impairment and motor dysfunction. Acta Neuropathol. 2009, 117, 613–634. [Google Scholar] [CrossRef]
- Lee, J.M.; Derkinderen, P.; Kordower, J.H.; Freeman, R.; Munoz, D.G.; Kremer, T.; Zago, W.; Hutten, S.J.; Adler, C.H.; Serrano, G.E.; et al. The Search for a Peripheral Biopsy Indicator of α-Synuclein Pathology for Parkinson Disease. J. Neuropathol. Exp. Neurol. 2017, 76, 2–15. [Google Scholar] [CrossRef]
- Jankovic, J. Parkinson’s disease: Clinical features and diagnosis. J. Neurol. Neurosurg. Psychiatry 2008, 79, 368–376. [Google Scholar] [CrossRef]
- Braak, H.; Ghebremedhin, E.; Rüb, U.; Bratzke, H.; Del Tredici, K. Stages in the development of Parkinson’s disease-related pathology. Cell Tissue Res. 2004, 318, 121–134. [Google Scholar] [CrossRef]
- Pellicano, C.; Benincasa, D.; Pisani, V.; Buttarelli, F.R.; Giovannelli, M.; Pontieri, F.E. Prodromal non-motor symptoms of Parkinson’s disease. Neuropsychiatr. Dis. Treat. 2007, 3, 145–152. [Google Scholar] [CrossRef]
- Mahlknecht, P.; Seppi, K.; Poewe, W. The Concept of Prodromal Parkinson’s Disease. J. Park. Dis. 2015, 5, 681–697. [Google Scholar] [CrossRef]
- Sartucci, F.; Porciatti, V. Visual-evoked potentials to onset of chromatic red-green and blue-yellow gratings in Parkinson’s disease never treated with L-dopa. J. Clin. Neurophysiol. 2006, 23, 431–435. [Google Scholar] [CrossRef] [PubMed]
- Archibald, N.K.; Clarke, M.P.; Mosimann, U.P.; Burn, D.J. Visual symptoms in Parkinson’s disease and Parkinson’s disease dementia. Mov. Disord. 2011, 26, 2387–2395. [Google Scholar] [CrossRef] [PubMed]
- Bodis-Wollner, I. Foveal vision is impaired in Parkinson’s disease. Park. Relat. Disord. 2013, 19, 1–14. [Google Scholar] [CrossRef] [PubMed]
- Fearnley, J.M.; Lees, A.J. Ageing and Parkinson’s disease: Substantia nigra regional selectivity. Brain 1991, 114, 2283–2301. [Google Scholar] [CrossRef]
- De Groef, L.; Cordeiro, M.F. Is the Eye an Extension of the Brain in Central Nervous System Disease? J. Ocul. Pharmacol. Ther. 2018, 34, 129–133. [Google Scholar] [CrossRef]
- Guo, L.; Normando, E.M.; Shah, P.A.; De Groef, L.; Cordeiro, M.F. Oculo-visual abnormalities in Parkinson’s disease: Possible value as biomarkers. Mov. Disord. 2018, 33, 1390–1406. [Google Scholar] [CrossRef]
- Armstrong, R.A. Oculo-Visual Dysfunction in Parkinson.s Disease. J. Park. Dis. 2015, 5, 715–726. [Google Scholar] [CrossRef]
- Marrocco, E.; Indrieri, A.; Esposito, F.; Tarallo, V.; Carboncino, A.; Alvino, F.G.; De Falco, S.; Franco, B.; De Risi, M.; De Leonibus, E. α-synuclein overexpression in the retina leads to vision impairment and degeneration of dopaminergic amacrine cells. Sci. Rep. 2020, 10, 9619. [Google Scholar] [CrossRef]
- Abdolrahimzadeh, S.; Di Pippo, M.; Sordi, E.; Zweifel, S.A. Inner Retinal Layer Thickness Alterations in Early Age Related Macular Degeneration in Eyes with Subretinal Drusenoid Deposits or Conventional Drusen. J. Clin. Med. 2021, 10, 5136. [Google Scholar] [CrossRef]
- Mackenzie, S.; Schmermer, C.; Charnley, A.; Sim, D.; Tah, V.; Dumskyj, M.; Nussey, S.; Egan, C. SDOCT imaging to identify macular pathology in patients diagnosed with diabetic maculopathy by a digital photographic retinal screening programme. PLoS ONE 2011, 6, e14811. [Google Scholar] [CrossRef]
- Formisano, M.; Di Pippo, M.; Scuderi, L.; Abdolrahimzadeh, S. Current concepts on diffuse choroidal hemangioma in Sturge Weber syndrome. Ophthalmic Genet. 2021, 42, 375–382. [Google Scholar] [CrossRef] [PubMed]
- Chan, V.T.T.; Sun, Z.; Tang, S.; Chen, L.J.; Wong, A.; Tham, C.C.; Wong, T.Y.; Chen, C.; Ikram, M.K.; Whitson, H.E.; et al. Spectral-Domain OCT Measurements in Alzheimer’s Disease: A Systematic Review and Meta-analysis. Ophthalmology 2019, 126, 497–510. [Google Scholar] [CrossRef]
- Shields, C.L.; Benevides, R.; Materin, M.A.; Shields, J.A. Optical coherence tomography of retinal astrocytic hamartoma in 15 cases. Ophthalmology 2006, 113, 1553–1557. [Google Scholar] [CrossRef] [PubMed]
- Surguchov, A.; McMahan, B.; Masliah, E.; Surgucheva, I. Synucleins in ocular tissues. J. Neurosci. Res. 2001, 65, 68–77. [Google Scholar] [CrossRef] [PubMed]
- Rocha Cabrero, F.; Morrison, E.H. Lewy Bodies; StatPearls: Tampa, FL, USA, 2022. [Google Scholar]
- Beach, T.G.; Carew, J.; Serrano, G.; Adler, C.H.; Shill, H.A.; Sue, L.I.; Sabbagh, M.N.; Akiyama, H.; Cuenca, N. Phosphorylated α-synuclein-immunoreactive retinal neuronal elements in Parkinson’s disease subjects. Neurosci. Lett. 2014, 571, 34–38. [Google Scholar] [CrossRef] [PubMed]
- Ho, C.Y.; Troncoso, J.C.; Knox, D.; Stark, W.; Eberhart, C.G. Beta-amyloid, phospho-tau and alpha-synuclein deposits similar to those in the brain are not identified in the eyes of Alzheimer’s and Parkinson’s disease patients. Brain Pathol. 2014, 24, 25–32. [Google Scholar] [CrossRef] [PubMed]
- Mammadova, N.; Summers, C.M.; Kokemuller, R.D.; He, Q.; Ding, S.; Baron, T.; Yu, C.; Valentine, R.J.; Sakaguchi, D.S.; Kanthasamy, A.G.; et al. Accelerated accumulation of retinal α-synuclein (pSer129) and tau, neuroinflammation, and autophagic dysregulation in a seeded mouse model of Parkinson’s disease. Neurobiol. Dis. 2019, 121, 1–16. [Google Scholar] [CrossRef]
- Peng, X.; Tehranian, R.; Dietrich, P.; Stefanis, L.; Perez, R.G. Alpha-synuclein activation of protein phosphatase 2A reduces tyrosine hydroxylase phosphorylation in dopaminergic cells. J. Cell Sci. 2005, 118 Pt 15, 3523–3530. [Google Scholar] [CrossRef]
- Freundt, E.C.; Maynard, N.; Clancy, E.K.; Roy, S.; Bousset, L.; Sourigues, Y.; Covert, M.; Melki, R.; Kirkegaard, K.; Brahic, M. Neuron-to-neuron transmission of α-synuclein fibrils through axonal transport. Ann. Neurol. 2012, 72, 517–524. [Google Scholar] [CrossRef]
- George, S.; Rey, N.L.; Reichenbach, N.; Steiner, J.A.; Brundin, P. α-Synuclein: The long distance runner. Brain Pathol. 2013, 23, 350–357. [Google Scholar] [CrossRef]
- Bodis-Wollner, I.; Kozlowski, P.B.; Glazman, S.; Miri, S. α-synuclein in the inner retina in Parkinson disease. Ann. Neurol. 2014, 75, 964–966. [Google Scholar] [CrossRef] [PubMed]
- Ortuño-Lizarán, I.; Beach, T.G.; Serrano, G.E.; Walker, D.G.; Adler, C.H.; Cuenca, N. Phosphorylated α-synuclein in the retina is a biomarker of Parkinson’s disease pathology severity. Mov. Disord. 2018, 33, 1315–1324. [Google Scholar] [CrossRef] [PubMed]
- Staurenghi, G.; Sadda, S.; Chakravarthy, U.; Spaide, R.F. International Nomenclature for Optical Coherence Tomography (IN-OCT) Panel. Proposed lexicon for anatomic landmarks in normal posterior segment spectral-domain optical coherence tomography: The IN-OCT consensus. Ophthalmology 2014, 121, 1572–1578. [Google Scholar] [CrossRef] [PubMed]
- Tian, T.; Zhu, X.H.; Liu, Y.H. Potential role of retina as a biomarker for progression of Parkinson’s disease. Int. J. Ophthalmol. 2011, 4, 433–438. [Google Scholar] [CrossRef] [PubMed]
- Aydin, T.S.; Umit, D.; Nur, O.M.; Fatih, U.; Asena, K.; Nefise, O.Y.; Serpil, Y. Optical coherence tomography findings in Parkinson’s disease. Kaohsiung J. Med. Sci. 2018, 34, 166–171. [Google Scholar] [CrossRef]
- Sengupta, P.; Dutta, K.; Ghosh, S.; Mukherjee, A.; Pal, S.; Basu, D. Optical Coherence Tomography Findings in Patients of Parkinson’s Disease: An Indian Perspective. Ann. Indian Acad. Neurol. 2018, 21, 150–155. [Google Scholar] [CrossRef]
- Moschos, M.M.; Chatziralli, I.P. Evaluation of Choroidal and Retinal Thickness Changes in Parkinson’s Disease Using Spectral Domain Optical Coherence Tomography. Semin. Ophthalmol. 2018, 33, 494–497. [Google Scholar] [CrossRef]
- Verghese, S.; Berkowitz, S.T.; Shah, V.M.; Shah, P.; Priya, S.; Saravanan, V.R.; Narendran, V.; Selvan, V.A. Assessment of retinal manifestations of Parkinson’s disease using spectral domain optical coherence tomography: A study in Indian eyes. Indian J. Ophthalmol. 2022, 70, 448–452. [Google Scholar] [CrossRef]
- Huang, J.; Li, Y.; Xiao, J.; Zhang, Q.; Xu, G.; Wu, G.; Liu, T.; Luo, W. Combination of Multifocal Electroretinogram and Spectral-Domain OCT Can Increase Diagnostic Efficacy of Parkinson’s Disease. Park. Dis. 2018, 2018, 4163239. [Google Scholar] [CrossRef]
- Huang, L.; Zhang, D.; Ji, J.; Wang, Y.; Zhang, R. Central retina changes in Parkinson’s disease: A systematic review and meta-analysis. J. Neurol. 2021, 268, 4646–4654. [Google Scholar] [CrossRef]
- Lee, J.Y.; Ahn, J.; Yoon, E.J.; Oh, S.; Kim, Y.K.; Jeon, B. Macular ganglion-cell-complex layer thinning and optic nerve integrity in drug-naïve Parkinson’s disease. J. Neural Transm. 2019, 126, 1695–1699. [Google Scholar] [CrossRef] [PubMed]
- Rascunà, C.; Russo, A.; Terravecchia, C.; Castellino, N.; Avitabile, T.; Bonfiglio, V.; Fallico, M.; Chisari, C.G.; Cicero, C.E.; Grillo, M.; et al. Retinal Thickness and Microvascular Pattern in Early Parkinson’s Disease. Front. Neurol. 2020, 11, 533375. [Google Scholar] [CrossRef] [PubMed]
- Rascunà, C.; Cicero, C.E.; Chisari, C.G.; Russo, A.; Giuliano, L.; Castellino, N.; Terravecchia, C.; Grillo, M.; Longo, A.; Avitabile, T.; et al. Retinal thickness and microvascular pathway in Idiopathic Rapid eye movement sleep behaviour disorder and Parkinson’s disease. Park. Relat. Disord. 2021, 88, 40–45. [Google Scholar] [CrossRef] [PubMed]
- Wang, X.; Jiao, B.; Jia, X.; Wang, Y.; Liu, H.; Zhu, X.; Hao, X.; Zhu, Y.; Xu, B.; Zhang, S.; et al. The macular inner plexiform layer thickness as an early diagnostic indicator for Parkinson’s disease. NPJ Park. Dis. 2022, 8, 63. [Google Scholar] [CrossRef] [PubMed]
- Zou, J.; Liu, K.; Li, F.; Xu, Y.; Shen, L.; Xu, H. Combination of optical coherence tomography (OCT) and OCT angiography increases diagnostic efficacy of Parkinson’s disease. Quant. Imaging Med. Surg. 2020, 10, 1930–1939. [Google Scholar] [CrossRef]
- Unlu, M.; Gulmez Sevim, D.; Gultekin, M.; Karaca, C. Correlations among multifocal electroretinography and optical coherence tomography findings in patients with Parkinson’s disease. Neurol. Sci. 2018, 39, 533–541. [Google Scholar] [CrossRef]
- Cesareo, M.; Di Marco, E.; Giannini, C.; Di Marino, M.; Aiello, F.; Pisani, A.; Pierantozzi, M.; Mercuri, N.B.; Nucci, C.; Mancino, R. The Retinal Posterior Pole in Early Parkinson’s Disease: A Fundus Perimetry and SD-OCT Study. Clin. Ophthalmol. 2021, 15, 4005–4014. [Google Scholar] [CrossRef]
- Günes, A.; Sığırlı, D. Assessment of Neurodegeneration by Optical Coherence Tomography and Mini-Mental Test in Parkinson’s Disease. Ann. Indian Acad. Neurol. 2019, 22, 212–216. [Google Scholar] [CrossRef]
- Alkabie, S.; Lange, A.; Manogaran, P.; Stoessl, A.J.; Costello, F.; Barton, J.J.S. Optical coherence tomography of patients with Parkinson’s disease and progressive supranuclear palsy. Clin. Neurol. Neurosurg. 2020, 189, 105635. [Google Scholar] [CrossRef]
- Robbins, C.B.; Thompson, A.C.; Bhullar, P.K.; Koo, H.Y.; Agrawal, R.; Soundararajan, S.; Yoon, S.P.; Polascik, B.W.; Scott, B.L.; Grewal, D.S.; et al. Characterization of Retinal Microvascular and Choroidal Structural Changes in Parkinson Disease. JAMA Ophthalmol. 2021, 139, 256. [Google Scholar] [CrossRef]
- Bayram, D.; Yüksel, G.; Bayram, T.; Tireli, H. Optical Coherence Tomography Findings in Parkinson’s and Alzheimer’s Disease -Retinal Changes in Neurodegenerative Disease. Noro Psikiyatr Ars. 2019, 58, 103–107. [Google Scholar] [CrossRef] [PubMed]
- Matlach, J.; Wagner, M.; Malzahn, U.; Schmidtmann, I.; Steigerwald, F.; Musacchio, T.; Volkmann, J.; Grehn, F.; Göbel, W.; Klebe, S. Retinal changes in Parkinson’s disease and glaucoma. Park. Relat. Disord. 2018, 56, 41–46. [Google Scholar] [CrossRef] [PubMed]
- Batum, M.; Ak, A.K.; Arı, M.S.; Mayali, H.; Kurt, E.; Selçuki, D. Evaluation of the visual system with visual evoked potential and optical coherence tomography in patients with idiopathic Parkinson’s disease and with multiple system atrophy. Doc. Ophthalmol. 2022, 145, 99–112. [Google Scholar] [CrossRef] [PubMed]
- Satue, M.; Obis, J.; Alarcia, R.; Orduna, E.; Rodrigo, M.J.; Vilades, E.; Gracia, H.; Otin, S.; Fuertes, M.I.; Polo, V.; et al. Retinal and Choroidal Changes in Patients with Parkinson’s Disease Detected by Swept-Source Optical Coherence Tomography. Curr. Eye Res. 2018, 43, 109–115. [Google Scholar] [CrossRef] [PubMed]
- Chorostecki, J.; Seraji-Bozorgzad, N.; Shah, A.; Bao, F.; Bao, G.; George, E.; Gorden, V.; Caon, C.; Frohman, E.; Bhatti, M.T.; et al. Characterization of retinal architecture in Parkinson’s disease. J. Neurol. Sci. 2015, 355, 44–48. [Google Scholar] [CrossRef] [PubMed]
- Baksi, S.; Singh, N. Alpha-Synuclein impairs ferritinophagy in the retinal pigment epithelium: Implications for retinal iron dyshomeostasis in Parkinson’s disease. Sci. Rep. 2017, 7, 12843. [Google Scholar] [CrossRef] [PubMed]
- Deeg, A.A.; Reiner, A.M.; Schmidt, F.; Schueder, F.; Ryazanov, S.; Ruf, V.C.; Giller, K.; Becker, S.; Leonov, A.; Griesinger, C.; et al. Anle138b and related compounds are aggregation specific fluorescence markers and reveal high affinity binding to α-synuclein aggregates. Biochim. Biophys. Acta 2015, 1850, 1884–1890. [Google Scholar] [CrossRef]
- Cai, W.; Feng, D.; Schwarzschild, M.A.; McLean, P.J.; Chen, X. Bimolecular Fluorescence Complementation of Alpha-synuclein Demonstrates its Oligomerization with Dopaminergic Phenotype in Mice. EBioMedicine 2018, 29, 13–22. [Google Scholar] [CrossRef]
- Veys, L.; Vandenabeele, M.; Ortuño-Lizarán, I.; Baekelandt, V.; Cuenca, N.; Moons, L.; De Groef, L. Retinal α-synuclein deposits in Parkinson’s disease patients and animal models. Acta Neuropathol. 2019, 137, 379–395. [Google Scholar] [CrossRef]
- Giampà, M.; Amundarain, M.J.; Herrera, M.G.; Tonali, N.; Dodero, V.I. Implementing Complementary Approaches to Shape the Mechanism of α-Synuclein Oligomerization as a Model of Amyloid Aggregation. Molecules 2021, 27, 88. [Google Scholar] [CrossRef]


| Study | Number of Eyes | Parameters Measured | SD-OCT Model | Results on PD Patients | Other Findings |
|---|---|---|---|---|---|
| Aydin et al. 2018 [37] | Cases: 25 PD Controls: 29 | RNFL and retinal thickness Correlation between RNFL thickness and severity of disease | Heidelberg Spectralis SD-OCT (software version 5.3; Heidelberg Engineering, Heidelberg, Germany) | Nasal retinal thickness and mean RNFL thickness reduced in PD | |
| Sengupta et al. 2018 [38] | Cases: 34 PD Controls: 50 | RNFL thickness, macular volume | Heidelberg Spectralis HRA + OCT (Heidelberg Engineering, Heidelberg, Germany) | Reduction of RNFL thickness in PD. Macular volumes diminished in both perifoveal and outer macular regions in all sectors in PD | No differences in central foveal volume |
| Moschos et al. 2018 [39] | Cases: 31 PD Controls: 25 | GCC, RNFL and choroidal thickness | Heidelberg Spectralis HRA + OCT (Heidelberg Engineering, Heidelberg, Germany) | Reduced GCC and RNFL thickness in PD | |
| Verghesee et al. 2022 [40] | Cases: 15 PD Controls: 11 | Macular GCC and RNFL, peripapillary RNFL thickness | Heidelberg Spectralis HRA + OCT (Heidelberg Engineering, Heidelberg, Germany) | Reduced macular thickness, macular GCC and RNFL, and peripapillary RNFL in PD | |
| Huang et al. 2018 [41] | Cases: 53 PD Controls: 41 | RNFL, central and mean macular thickness, and macular volumes | Zeiss Cirrus HD-4000 SD-OCT (Carl Zeiss Meditec, Inc., Dublin, CA, USA) | Macular retinal thickness, macular volume, and average RNFL thickness thinner in PD | |
| Huang et al. 2020 [42] | Cases: 53 PD Controls: 41 | MRT, TMV and peripapillary RNFL thickness | Zeiss Cirrus HD-4000 SD-OCT (Carl Zeiss Meditec, Inc., Dublin, CA, USA) | Reduction of MRT, TMV and peripapillary RNFL in patients with advanced stage of PD versus controls | |
| Lee et al. 2019 [43] | Cases: 36 PD Controls: 57 | Retinal, RNFL, GCL and IPL thickness | Heidelberg Spectralis SD-OCT (Heidelberg Engineering, Heidelberg, Germany) | Reduction of retinal, GCL and IPL thickness in temporal and inferior sectors. reduction of RNFL in inferior sector in PD | |
| Rascunà et al. 2020 [44] | Cases: 21 PD Controls: 17 | Peripapillary and macular RNFL, GCL thickness, IPL thickness, and INL thickness | Zeiss Cirrus HD-5000 SD-OCT (Carl Zeiss Meditec, Inc., Dublin, CA, USA) | Peripapillary and macular RNFL, GCL, IPL, and INL thinner in PD versus HCs. | |
| Rascunà et al. 2021 [45] | Cases: 21 PD, 19 MSA Controls: 33 | RNFL, GCL, IPL, INL, OPL and ONLthickness (both PD and iRBD patients) | Zeiss Cirrus HD-5000 SD-OCT (Carl Zeiss Meditec, Inc., Dublin, CA, USA) | RNFL, GCL, IPL, INL, OPL and ONL thinner in PD and iRBD versus controls | |
| Wang et al. 2022 [46] | Cases: 397 PD Controls: 427 | Peripapillary RNFL thickness, MRT, and TMV | Zeiss Cirrus HD-5000 SD-OCT (Carl Zeiss Meditec, Inc., Dublin, CA, USA) | Peripapillary RNFL thickness, MRT and TMV reduced in PD | GCL, IPL and ONL thinner in patients with advanced stage of disease |
| Zou et al. 2020 [47] | Cases: 35 PD Controls: 35 | CMT, MRT, TMV, GCL-IPL thickness, RNFL thickness | Zeiss Cirrus HD-5000 SD-OCT (Carl Zeiss Meditec, Inc., Dublin, CA, USA) | Temporal RNFL thinner in PD | No difference of mean RNFL thickness and CMT. |
| Unlu et al. 2018 [48] | Cases: 58 PD Controls: 30 | Peripapillary and macular RNFL, GCL thickness, IPL thickness, INL, ONL, OPL, PR, RPE thickness | Heidelberg Spectralis SD-OCT (Heidelberg Engineering, Heidelberg, Germany) | Peripapillary and macular RNFL, GCL thickness, IPL thickness, INL, ONL, PR, and RPE thickness volumes lower in PD. OPL volumes increased in PD | |
| Cesareo et al. 2021 [49] | Cases: 41 PD Controls: 41 | Peripapillary RNFL and retinal thickness | Heidelberg Spectralis SD-OCT (Heidelberg Engineering, Heidelberg, Germany) | No differences in peripapillary RNFL thickness. ONL thinner whereas OPL and RPE thicker in PD | |
| Günes et al. 2019 [50] | Cases: 22 PD Controls: 22 | RNFL and GCC thickness | RTVue-XR Avanti (Optovue Inc., Fremont, CA, USA) | No differences in RNFL and GCC thickness | |
| Alkabie et al. 2020 [51] | Cases: 12 PD, 11 PSP Controls: 12 | RNFL thickness and macular volume | Heidelberg Spectralis SD-OCT (software version 5.1.2; Heidelberg Engineering, Heidelberg, Germany) | RNFL thickness and macular volume not significantly different between eyes of PD patients and controls | |
| Robbins et al. 2021 [52] | Cases: 69 PD Controls: 137 | RNFL, GCL-IPL thickness, CST, SFCT, Angio-OCT parameters, and CVI | Zeiss Cirrus HD-5000 SD-OCT (Carl Zeiss Meditec, Inc., Dublin, CA, USA) | No difference in CST, RNFL, and GCIPL thickness between PD and controls. | Increased total choroidal and choroidal luminal area; decreased CVI in PD |
| Bayram et al. 2019 [53] | Cases: 15 PD, 15 AD Controls: 15 | RNFL, macular, foveal and parafoveal thickness | Rtvue OCT (Optivue INC, Toredo, OH, USA) | Superior RNFL and superior retinal thickness higher in PD | Temporal, inferior and inferior retinal and RNFL thinner in PD (not statistically significant). |
| Matlach et al. 2018 [54] | Cases: 30 PD Controls: 40 | GCC and peripapillary RNFL thickness | Zeiss Cirrus HD-4000 SD-OCT (Carl Zeiss Meditec, Inc., Dublin, CA, USA) | No differences in RNFL and GCC thickness | Superior RNFL significantly thinner in ipsilateral eye (not contralateral eye) to the most-affected body side with bradykinesia of PD patients compared to controls |
| RTVue-100® (Optovue Inc., Fremont, CA, USA; software version 6.3) | |||||
| Batum et al. 2022 [55] | Cases: 50 PD, 15 MSA Controls: 50 | GCC and peripapillary RNFL thickness | Stratus OCT (Carl Zeiss Meditec Inc., Dublin, CA, USA) | Retinal thickness and GCC thinner in PD versus HCs. No significant difference in peripapillary RNFL thickness in all quadrants between PD and controls |
Disclaimer/Publisher’s Note: The statements, opinions and data contained in all publications are solely those of the individual author(s) and contributor(s) and not of MDPI and/or the editor(s). MDPI and/or the editor(s) disclaim responsibility for any injury to people or property resulting from any ideas, methods, instructions or products referred to in the content. |
© 2023 by the authors. Licensee MDPI, Basel, Switzerland. This article is an open access article distributed under the terms and conditions of the Creative Commons Attribution (CC BY) license (https://creativecommons.org/licenses/by/4.0/).
Share and Cite
Di Pippo, M.; Fragiotta, S.; Di Staso, F.; Scuderi, L.; Abdolrahimzadeh, S. The Role of Alpha-Synuclein Deposits in Parkinson’s Disease: A Focus on the Human Retina. Int. J. Mol. Sci. 2023, 24, 4391. https://doi.org/10.3390/ijms24054391
Di Pippo M, Fragiotta S, Di Staso F, Scuderi L, Abdolrahimzadeh S. The Role of Alpha-Synuclein Deposits in Parkinson’s Disease: A Focus on the Human Retina. International Journal of Molecular Sciences. 2023; 24(5):4391. https://doi.org/10.3390/ijms24054391
Chicago/Turabian StyleDi Pippo, Mariachiara, Serena Fragiotta, Federico Di Staso, Luca Scuderi, and Solmaz Abdolrahimzadeh. 2023. "The Role of Alpha-Synuclein Deposits in Parkinson’s Disease: A Focus on the Human Retina" International Journal of Molecular Sciences 24, no. 5: 4391. https://doi.org/10.3390/ijms24054391
APA StyleDi Pippo, M., Fragiotta, S., Di Staso, F., Scuderi, L., & Abdolrahimzadeh, S. (2023). The Role of Alpha-Synuclein Deposits in Parkinson’s Disease: A Focus on the Human Retina. International Journal of Molecular Sciences, 24(5), 4391. https://doi.org/10.3390/ijms24054391

