New Histoprognostic Factors to Consider for the Staging of Colon Cancers: Tumor Deposits, Invasive Tumor Infiltration and High-Grade Budding
Abstract
1. Introduction
2. Results
2.1. Clinical Population Characteristics
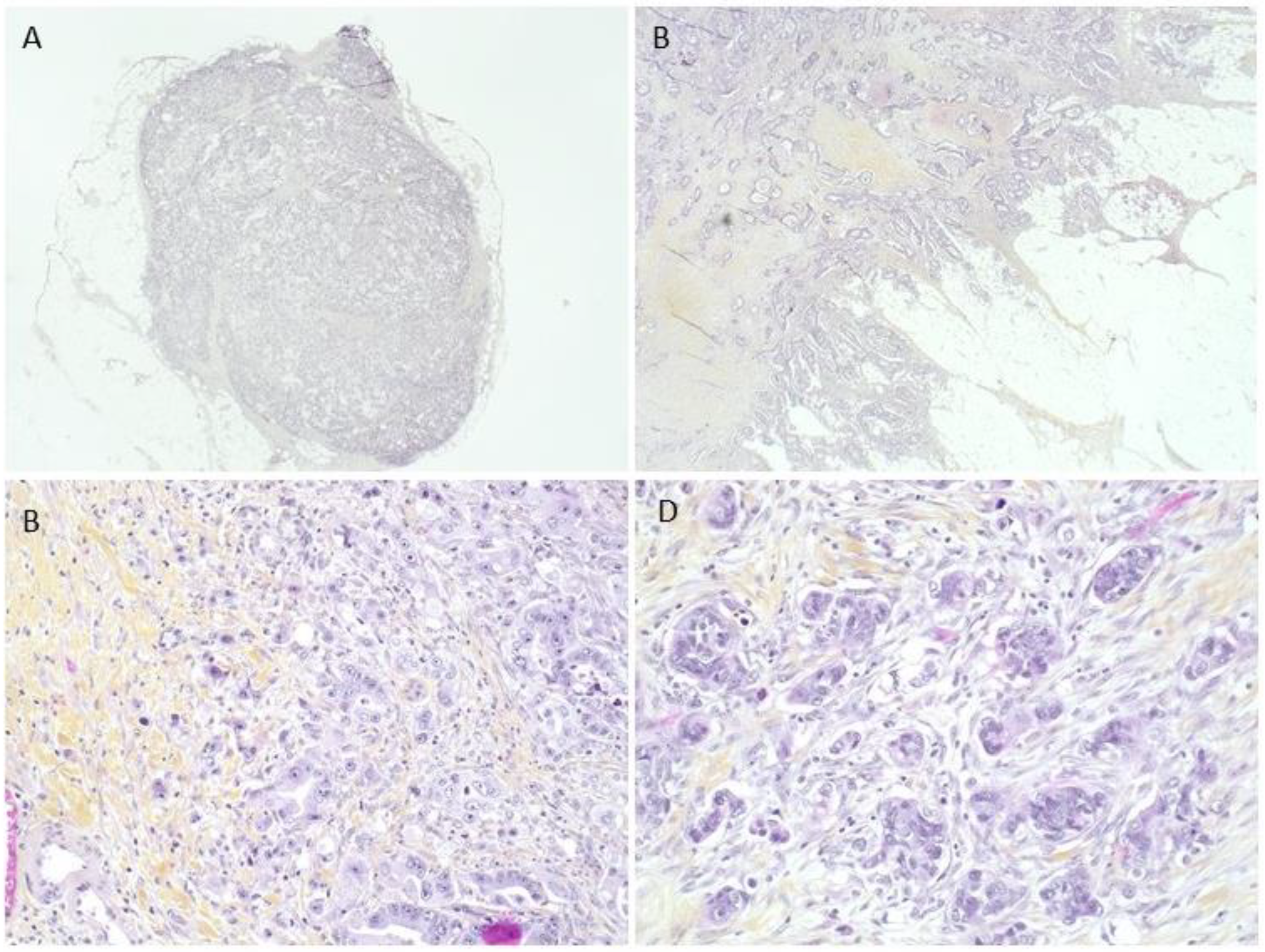
2.2. Histoprognostic Factors
3. Discussion
4. Materials and Methods
4.1. Study Population
4.2. Clinical Data
4.3. Morphological Criteria
4.4. Standard HES Staining
4.5. Statistical Analysis
5. Conclusions
Supplementary Materials
Author Contributions
Funding
Institutional Review Board Statement
Informed Consent Statement
Data Availability Statement
Acknowledgments
Conflicts of Interest
References
- Tajiri, K.; Sudou, T.; Fujita, F.; Hisaka, T.; Kinugasa, T.; Akagi, Y. Clinicopathological and Corresponding Genetic Features of Colorectal Signet Ring Cell Carcinoma. Anticancer. Res. 2017, 37, 3817–3823. [Google Scholar] [CrossRef] [PubMed]
- Jakubowska, K.; Guzińska-Ustymowicz, K.; Pryczynicz, A. Invasive micropapillary component and its clinico-histopathological significance in patients with colorectal cancer. Oncol. Lett. 2016, 12, 1154–1158. [Google Scholar] [CrossRef] [PubMed]
- Lee, H.J.; Eom, D.-W.; Kang, G.H.; Han, S.H.; Cheon, G.J.; Oh, H.-S.; Han, K.H.; Ahn, H.J.; Jang, H.-J.; Han, M.S. Colorectal micropapillary carcinomas are associated with poor prognosis and enriched in markers of stem cells. Mod. Pathol. 2012, 26, 1123–1131. [Google Scholar] [CrossRef]
- Toumi, O.; Hamida, B.; Njima, M.; Bouchrika, A.; Ammar, H.; Daldoul, A.; Zaied, S.; Ben Jabra, S.; Gupta, R.; Noomen, F.; et al. Adenosquamous carcinoma of the right colon: A case report and review of the literature. Int. J. Surg. Case Rep. 2018, 50, 119–121. [Google Scholar] [CrossRef] [PubMed]
- Masoomi, H.; Ziogas, A.; Lin, B.S.; Barleben, A.; Mills, S.; Stamos, M.J.; Zell, J. Population–Based Evaluation of Adenosquamous Carcinoma of the Colon and Rectum. Dis. Colon Rectum 2012, 55, 509–514. [Google Scholar] [CrossRef]
- Agaimy, A.; Daum, O.; Märkl, B.; Lichtmannegger, I.; Michal, M.; Hartmann, A. SWI/SNF Complex–deficient Undifferentiated/Rhabdoid Carcinomas of the Gastrointestinal Tract. Am. J. Surg. Pathol. 2016, 40, 544–553. [Google Scholar] [CrossRef]
- González, I.A.; Bauer, P.S.; Liu, J.; Chatterjee, D. Adenoma-like adenocarcinoma: Clinicopathologic characterization of a newly recognized subtype of colorectal carcinoma. Hum. Pathol. 2020, 107, 9–19. [Google Scholar] [CrossRef]
- van Wyk, H.C.; Roxburgh, C.S.; Horgan, P.G.; Foulis, A.F.; McMillan, D.C. The detection and role of lymphatic and blood vessel invasion in predicting survival in patients with node negative operable primary colorectal cancer. Crit. Rev. Oncol. 2014, 90, 77–90. [Google Scholar] [CrossRef]
- Knijn, N.; van Exsel, U.E.; de Noo, M.E.; Nagtegaal, I.D. The value of intramural vascular invasion in colorectal cancer—A systematic review and meta-analysis. Histopathology 2017, 72, 721–728. [Google Scholar] [CrossRef]
- van Wyk, H.; Going, J.; Horgan, P.; McMillan, D.C. The role of perineural invasion in predicting survival in patients with primary operable colorectal cancer: A systematic review. Crit. Rev. Oncol. 2017, 112, 11–20. [Google Scholar] [CrossRef]
- Nagtegaal, I.D.; Knijn, N.; Hugen, N.; Marshall, H.; Sugihara, K.; Tot, T.; Ueno, H.; Quirke, P. Tumor Deposits in Colorectal Cancer: Improving the Value of Modern Staging—A Systematic Review and Meta-Analysis. J. Clin. Oncol. 2017, 35, 1119–1127. [Google Scholar] [CrossRef]
- Mirkin, K.A.; Kulaylat, A.S.; Hollenbeak, C.S.; Messaris, E. Prognostic Significance of Tumor Deposits in Stage III Colon Cancer. Ann. Surg. Oncol. 2018, 25, 3179–3184. [Google Scholar] [CrossRef] [PubMed]
- Liu, F.; Zhao, J.; Li, C.; Wu, Y.; Song, W.; Guo, T.; Chen, S.; Cai, S.; Huang, D.; Xu, Y. The unique prognostic characteristics of tumor deposits in colorectal cancer patients. Ann. Transl. Med. 2019, 7, 769. [Google Scholar] [CrossRef]
- Lugli, A.; Kirsch, R.; Ajioka, Y.; Bosman, F.; Cathomas, G.; Dawson, H.; El Zimaity, H.; Fléjou, J.-F.; Hansen, T.P.; Hartmann, A.; et al. Recommendations for reporting tumor budding in colorectal cancer based on the International Tumor Budding Consensus Conference (ITBCC) 2016. Mod. Pathol. 2017, 30, 1299–1311. [Google Scholar] [CrossRef] [PubMed]
- Trinh, A.; Lädrach, C.; Dawson, H.E.; Hoorn, S.T.; Kuppen, P.J.K.; Reimers, M.S.; Koopman, M.; Punt, C.J.A.; Lugli, A.; Vermeulen, L.; et al. Tumour budding is associated with the mesenchymal colon cancer subtype and RAS/RAF mutations: A study of 1320 colorectal cancers with Consensus Molecular Subgroup (CMS) data. Br. J. Cancer 2018, 119, 1244–1251. [Google Scholar] [CrossRef] [PubMed]
- Maffeis, V.; Nicolè, L.; Cappellesso, R. RAS, Cellular Plasticity, and Tumor Budding in Colorectal Cancer. Front. Oncol. 2019, 9, 1255. [Google Scholar] [CrossRef]
- Cappellesso, R.; Luchini, C.; Veronese, N.; Mele, M.L.; Rosa-Rizzotto, E.; Guido, E.; De Lazzari, F.; Pilati, P.; Farinati, F.; Realdon, S.; et al. Tumor budding as a risk factor for nodal metastasis in pT1 colorectal cancers: A meta-analysis. Hum. Pathol. 2017, 65, 62–70. [Google Scholar] [CrossRef]
- Barresi, V.; Bonetti, L.R.; Ieni, A.; Caruso, R.A.; Tuccari, G. Poorly Differentiated Clusters: Clinical Impact in Colorectal Cancer. Clin. Color. Cancer 2016, 16, 9–15. [Google Scholar] [CrossRef]
- Barresi, V.; Branca, G.; Ieni, A.; Bonetti, L.R.; Baron, L.; Mondello, S.; Tuccari, G. Poorly differentiated clusters (PDCs) as a novel histological predictor of nodal metastases in pT1 colorectal cancer. Virchows Arch. 2014, 464, 655–662. [Google Scholar] [CrossRef]
- Konishi, T.; Shimada, Y.; Lee, L.H.; Cavalcanti, M.S.; Hsu, M.M.; Smith, J.J.; Nash, G.M.; Temple, L.K.; Guillem, J.G.; Paty, P.B.; et al. Poorly Differentiated Clusters Predict Colon Cancer Recurrence. Am. J. Surg. Pathol. 2018, 42, 705–714. [Google Scholar] [CrossRef]
- Le Cancer Colorectal—Les Cancers les Plus Fréquents. Available online: https://www.e-cancer.fr/Professionnels-de-sante/Les-chiffres-du-cancer-en-France/Epidemiologie-des-cancers/Les-cancers-les-plus-frequents/Cancer-colorectal (accessed on 14 February 2020).
- Broman, K.K.; Bailey, C.E.; Parikh, A.A. Sidedness of Colorectal Cancer Impacts Risk of Second Primary Gastrointestinal Malignancy. Ann. Surg. Oncol. 2019, 26, 2037–2043. [Google Scholar] [CrossRef]
- Brenner, H.; Chen, C. The colorectal cancer epidemic: Challenges and opportunities for primary, secondary and tertiary prevention. Br. J. Cancer 2018, 119, 785–792. [Google Scholar] [CrossRef]
- Siegel, R.; DeSantis, C.; Jemal, A. Colorectal cancer statistics, 2014. CA A Cancer J. Clin. 2014, 64, 104–117. [Google Scholar] [CrossRef]
- Loree, J.M.; Pereira, A.A.; Lam, M.; Willauer, A.N.; Raghav, K.; Dasari, A.; Morris, V.K.; Advani, S.; Menter, D.G.; Eng, C.; et al. Classifying Colorectal Cancer by Tumor Location Rather than Sidedness Highlights a Continuum in Mutation Profiles and Consensus Molecular Subtypes. Clin. Cancer Res. 2018, 24, 1062–1072. [Google Scholar] [CrossRef] [PubMed]
- Connell, L.C.; Mota, J.M.; Braghiroli, M.I.; Hoff, P.M. The Rising Incidence of Younger Patients With Colorectal Cancer: Questions About Screening, Biology, and Treatment. Curr. Treat. Options Oncol. 2017, 18, 23. [Google Scholar] [CrossRef] [PubMed]
- Yahagi, M.; Okabayashi, K.; Hasegawa, H.; Tsuruta, M.; Kitagawa, Y. The Worse Prognosis of Right-Sided Compared with Left-Sided Colon Cancers: A Systematic Review and Meta-analysis. J. Gastrointest. Surg. 2015, 20, 648–655. [Google Scholar] [CrossRef]
- Lee, G.; Malietzis, G.; Askari, A.; Bernardo, D.; Al-Hassi, H.; Clark, S. Is right-sided colon cancer different to left-sided colorectal cancer?—A systematic review. Eur. J. Surg. Oncol. (EJSO) 2014, 41, 300–308. [Google Scholar] [CrossRef]
- Benedix, F.; Kube, R.; Meyer, F.; Schmidt, U.; Gastinger, I.; Lippert, H.; the Colon/Rectum Carcinomas (Primary Tumor) Study Group. Comparison of 17,641 Patients with Right- and Left-Sided Colon Cancer: Differences in Epidemiology, Perioperative Course, Histology, and Survival. Dis. Colon. Rectum. 2010, 53, 57–64. [Google Scholar] [CrossRef]
- Bryan, S.; Masoud, H.; Weir, H.K.; Woods, R.; Lockwood, G.; Smith, L.; Brierley, J.; Gospodarowicz, M.; Badets, N. Cancer in Canada: Stage at diagnosis. Health Rep. 2018, 29, 21–25. [Google Scholar] [PubMed]
- Aguiar Junior, S.; Oliveira, M.M.D.; Silva, D.R.M.; Mello, C.A.L.D.; Calsavara, V.F.; Curado, M.P. Survival of patients with colorectal cancer in a cancer center. Arq. Gastroenterol. 2020, 57, 172–177. [Google Scholar] [CrossRef] [PubMed]
- Lord, A.C.; D’Souza, N.; Pucher, P.H.; Moran, B.J.; Abulafi, A.M.; Wotherspoon, A.; Rasheed, S.; Brown, G. Significance of extranodal tumour deposits in colorectal cancer: A systematic review and meta-analysis. Eur. J. Cancer 2017, 82, 92–102. [Google Scholar] [CrossRef]
- Qwaider, Y.Z.; Sell, N.M.; Stafford, C.E.; Kunitake, H.; Cusack, J.C.; Ricciardi, R.; Bordeianou, L.G.; Deshpande, V.; Goldstone, R.N.; Cauley, C.E.; et al. Infiltrating Tumor Border Configuration is a Poor Prognostic Factor in Stage II and III Colon Adenocarcinoma. Ann. Surg. Oncol. 2020, 28, 3408–3414. [Google Scholar] [CrossRef]
- Li, X.; Zhao, Q.; An, B.; Qi, J.; Wang, W.; Zhang, D.; Li, Z.; Qin, C. Prognostic and predictive value of the macroscopic growth pattern in patients undergoing curative resection of colorectal cancer: A single-institution retrospective cohort study of 4,080 Chinese patients. Cancer Manag. Res. 2018, 10, 1875–1887. [Google Scholar] [CrossRef]
- Karamitopoulou, E.; Zlobec, I.; Koelzer, V.H.; Langer, R.; Dawson, H.; Lugli, A. Tumour border configuration in colorectal cancer: Proposal for an alternative scoring system based on the percentage of infiltrating margin. Histopathology 2015, 67, 464–473. [Google Scholar] [CrossRef] [PubMed]
- Betge, J.; Kornprat, P.; Pollheimer, M.J.; Lindtner, R.A.; Schlemmer, A.; Rehak, P.; Vieth, M.; Langner, C. Tumor Budding is an Independent Predictor of Outcome in AJCC/UICC Stage II Colorectal Cancer. Ann. Surg. Oncol. 2012, 19, 3706–3712. [Google Scholar] [CrossRef] [PubMed]
- Lai, Y.-H.; Wu, L.-C.; Li, P.-S.; Wu, W.-H.; Yang, S.-B.; Xia, P.; He, X.-X.; Xiao, L.-B. Tumour budding is a reproducible index for risk stratification of patients with Stage II colon cancer. Color. Dis. 2014, 16, 259–264. [Google Scholar] [CrossRef]
- Nakamura, T.; Mitomi, H.; Kanazawa, H.; Ohkura, Y.; Watanabe, M. Tumor Budding as an Index to Identify High-Risk Patients with Stage II Colon Cancer. Dis. Colon Rectum 2008, 51, 568–572. [Google Scholar] [CrossRef]
- Graham, R.P.; Vierkant, R.A.; Tillmans, L.S.; Wang, A.H.; Laird, P.W.; Weisenberger, D.J.; Lynch, C.F.; French, A.J.; Slager, S.L.; Raissian, Y.; et al. Tumor Budding in Colorectal Carcinoma: Confirmation of prognostic significance and histologic cutoff in a population-based cohort. Am. J. Surg. Pathol. 2015, 39, 1340–1346. [Google Scholar] [CrossRef]
- Petrelli, F.; Pezzica, E.; Cabiddu, M.; Coinu, A.; Borgonovo, K.; Ghilardi, M.; Lonati, V.; Corti, D.; Barni, S. Tumour Budding and Survival in Stage II Colorectal Cancer: A Systematic Review and Pooled Analysis. J. Gastrointest. Cancer 2015, 46, 212–218. [Google Scholar] [CrossRef]
- Haruki, K.; Kosumi, K.; Li, P.; Arima, K.; Väyrynen, J.P.; Lau, M.C.; Twombly, T.S.; Hamada, T.; Glickman, J.N.; Fujiyoshi, K.; et al. An integrated analysis of lymphocytic reaction, tumour molecular characteristics and patient survival in colorectal cancer. Br. J. Cancer 2020, 122, 1367–1377. [Google Scholar] [CrossRef]
- Idos, G.E.; Kwok, J.; Bonthala, N.; Kysh, L.; Gruber, S.B.; Qu, C. The Prognostic Implications of Tumor Infiltrating Lymphocytes in Colorectal Cancer: A Systematic Review and Meta-Analysis. Sci. Rep. 2020, 10, 3360. [Google Scholar] [CrossRef] [PubMed]


| Clinical Characteristics | All Patients N = 229 | |
|---|---|---|
| N | % | |
| Age (years old) | 71 (27–99) | |
| Sex (female/male) | 109/120 | 47.6/52.4 |
| Location (right/left) | 119/110 | 52.0/48.0 |
| Tumor size (cm) | 5.05 (0.4–16) | |
| Clinical stage | 21/81/87/40 | 9.1/35.4/38.0/17.5 |
| I/II/III/IV | ||
| Intestinal occlusion | 67 | 29.2 |
| Synchronous metastasis (No/hepatic/extrahepatic) | 188/35/6 | 82.1/15.3/2.6 |
| No recurrence | 180 | 78.6 |
| Recurrence local/hepatic/extrahepatic | 18/19/8 | 7.9/8.3/3.5 |
| Death | 96 | 40.6 |
| Histological Characteristics | All Patients N = 229 | |
|---|---|---|
| N | % | |
| Differentiation (well/moderate/poor) Mucinous | 101/76/23 29 | 44.1/33.2/10.0 12.7 |
| Stage T 1/2/3/4a/4b | 7/18/140/51/2 | 3.0/7.8/61.1/22.2/0.9 |
| Stage N 0/1a/1b/1c/2 | 113/34/37/9/36 | 49.3/14.9/16.2/3.9/15.7 |
| Emboli (no, lymphatic, venous) | 133/51/45 | 58.1/22.3/19.6 |
| Tumor deposit | 62 | 27.1 |
| Budding (1/2/3/NA 1) | 174/35/18/2 | 76.0/15.3/7.8/0.9 |
| CPD (1/2/3/NA 1) | 170/25/32/2 | 74.2/10.9/14.0/0.9 |
| Tumor invasion front (expansive/infiltrating) | 78/151 | 34.1/65.9 |
| Inflammation (low/moderate/intense/Crohn-like) | 62/105/56/6 | 27.1/45.8/24.5/2.6 |
| MSI (MSS/MSI/NA 1) | 24/10/195 | 10.5/4.4/85.1 |
| RAS (no, mutated/NA 1) | 46/34/149 | 20.1/14.8/65.1 |
| BRAF (no, mutated/NA 1) | 69/6/154 | 30.1/2.6/67.3 |
| OS | Mean Survival Time (Months) | p-Value |
| No Tumor deposit/Tumor deposit | 73.13/36.93 | 0.003 |
| Tumor invasion front: expansive/infiltrating | 88.23/48.73 | 0.008 |
| Budding 1/2/3 | 71.63/42.65/42.90 | 0.43 |
| SSR | Mean Survival Time (Months) | p-Value |
| No Tumor deposit/Tumor deposit | 58.20/22.43 | 0.001 |
| Tumor invasion front: expansive/infiltrating | 73.13/36.93 | 0.02 |
| Budding 1/2/3 | 49.8/42.23/14.51 | 0.11 |
| Characteristics | HR | p | HR a | p |
|---|---|---|---|---|
| OS | Univariate model | Multivariate model | ||
| Sex (male) | 1.43 | 0.04 | 1.73 | 0.003 |
| Age < 70 y | 1.68 | 0.004 | 2.25 | 0.0001 |
| Right location | 1.35 | 0.92 | 1.60 | 0.01 |
| No tumor deposit | 0.58 | 0.003 | 0.57 | 0.003 |
| Infiltrating invasion front | 1.65 | 0.009 | - | - |
| Stage III | 1.72 | 0.0001 | 1.62 | 0.0001 |
| Stage IV | 3.9 | 4.16 | ||
| SSR | Univariate model | Multivariate model | ||
| Sex (male) | 1.70 | 0.002 | 1.95 | 0.002 |
| Age < 70 y | 1.43 | 0.04 | 1.84 | 0.006 |
| Right location | 1.05 | 0.76 | - | - |
| No tumor deposit | 0.57 | 0.002 | 0.59 | 0.005 |
| Infiltrating invasion front | 1.51 | 0.023 | - | - |
| Stage III | 1.75 | 0.0001 | 1.78 | 0.0001 |
| Stage IV | 4.50 | 4.16 | ||
Disclaimer/Publisher’s Note: The statements, opinions and data contained in all publications are solely those of the individual author(s) and contributor(s) and not of MDPI and/or the editor(s). MDPI and/or the editor(s) disclaim responsibility for any injury to people or property resulting from any ideas, methods, instructions or products referred to in the content. |
© 2023 by the authors. Licensee MDPI, Basel, Switzerland. This article is an open access article distributed under the terms and conditions of the Creative Commons Attribution (CC BY) license (https://creativecommons.org/licenses/by/4.0/).
Share and Cite
Riffet, M.; Dupont, B.; Faisant, M.; Cerasuolo, D.; Menahem, B.; Alves, A.; Dubois, F.; Levallet, G.; Bazille, C. New Histoprognostic Factors to Consider for the Staging of Colon Cancers: Tumor Deposits, Invasive Tumor Infiltration and High-Grade Budding. Int. J. Mol. Sci. 2023, 24, 3573. https://doi.org/10.3390/ijms24043573
Riffet M, Dupont B, Faisant M, Cerasuolo D, Menahem B, Alves A, Dubois F, Levallet G, Bazille C. New Histoprognostic Factors to Consider for the Staging of Colon Cancers: Tumor Deposits, Invasive Tumor Infiltration and High-Grade Budding. International Journal of Molecular Sciences. 2023; 24(4):3573. https://doi.org/10.3390/ijms24043573
Chicago/Turabian StyleRiffet, Marc, Benoît Dupont, Maxime Faisant, Damiano Cerasuolo, Benjamin Menahem, Arnaud Alves, Fatémeh Dubois, Guénaëlle Levallet, and Céline Bazille. 2023. "New Histoprognostic Factors to Consider for the Staging of Colon Cancers: Tumor Deposits, Invasive Tumor Infiltration and High-Grade Budding" International Journal of Molecular Sciences 24, no. 4: 3573. https://doi.org/10.3390/ijms24043573
APA StyleRiffet, M., Dupont, B., Faisant, M., Cerasuolo, D., Menahem, B., Alves, A., Dubois, F., Levallet, G., & Bazille, C. (2023). New Histoprognostic Factors to Consider for the Staging of Colon Cancers: Tumor Deposits, Invasive Tumor Infiltration and High-Grade Budding. International Journal of Molecular Sciences, 24(4), 3573. https://doi.org/10.3390/ijms24043573

