Expression of Acetabular Labral Vascular Endothelial Growth Factor and Nerve Growth Factor Is Directly Associated with Hip Osteoarthritis Pain: Investigation by Immunohistochemical Staining
Abstract
:1. Introduction
2. Results
2.1. Histological Analysis of the Acetabular Labrum
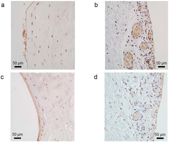
2.2. Immunohistochemistry of VEGF and NGF
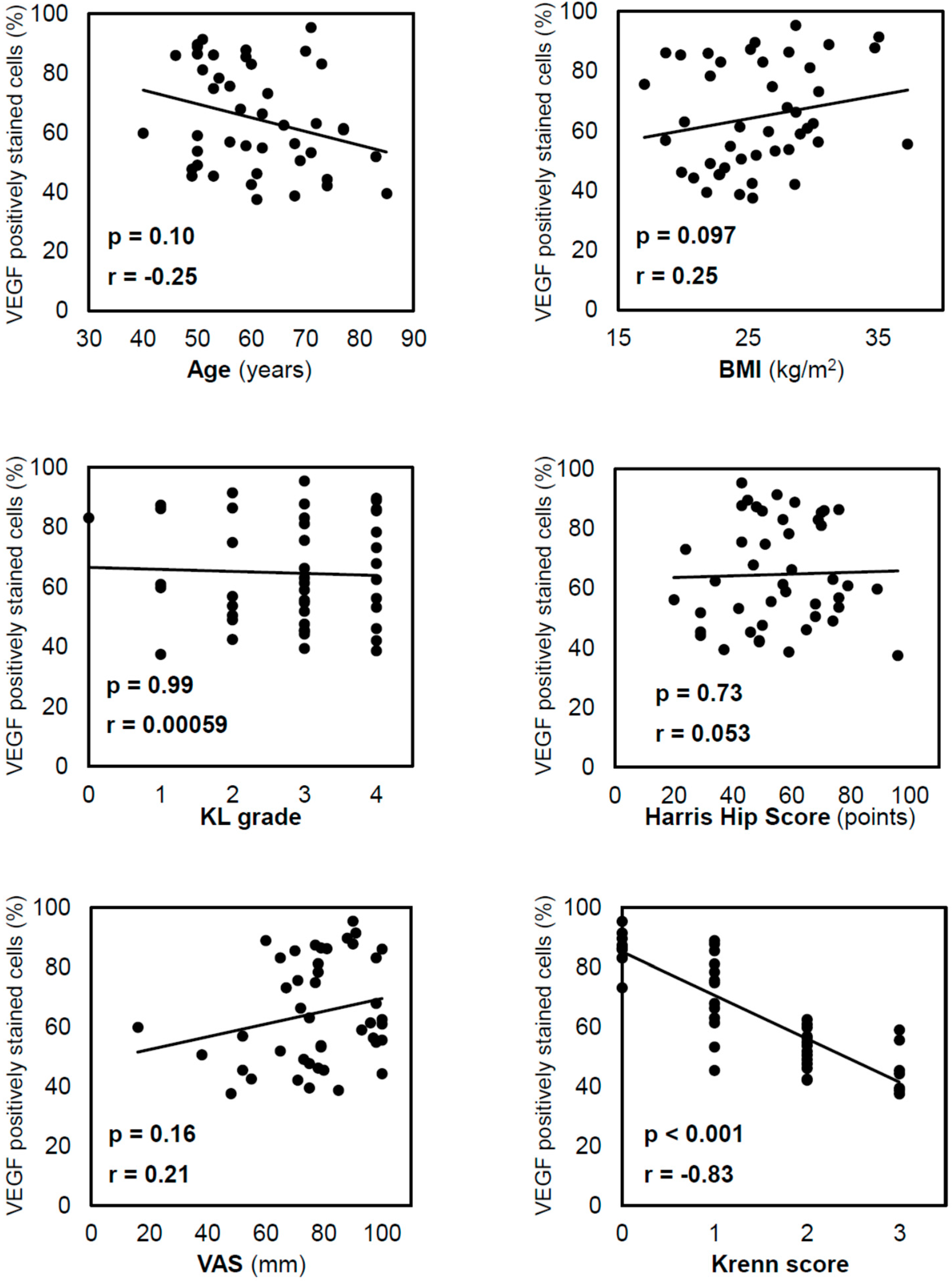
2.3. Correlations of Inner VEGF and NGF Levels with Age, Gender, BMI, KL Grade, HHS, the VAS, and Krenn Score
2.4. VEGF and NGF Expression Is Correlated with Pain in Early OA
2.5. VEGF and NGF mRNA Expression Significantly Decreases with the Progression of Acetabular Labral Degeneration
2.6. VEGF and NGF mRNA Expression Significantly Increases in Patients with Severe Pain
3. Discussion
4. Materials and Methods
4.1. Tissue Collection and Preparation
4.2. Cells and Cell Culture
4.3. Histological Examinations
4.4. Immunohistochemical Staining
4.5. Reverse Transcription (RT)–Polymerase Chain Reaction (PCR) and Quantitative Real-Time PCR Analyses
4.6. Statistical Analysis
5. Conclusions
Author Contributions
Funding
Institutional Review Board Statement
Informed Consent Statement
Data Availability Statement
Acknowledgments
Conflicts of Interest
References
- Petersen, W.; Petersen, F.; Tillmann, B. Structure and vascularization of the acetabular labrum with regard to the pathogenesis and healing of labral lesions. Arch. Orthop. Trauma Surg. 2003, 123, 283–288. [Google Scholar] [CrossRef] [PubMed]
- Kappe, T.; Kocak, T.; Bieger, R.; Reichel, H.; Fraitzl, C.R. Radiographic Risk Factors for Labral Lesions in Femoroacetabular Impingement. Clin. Orthop. Relat. Res. 2011, 469, 3241–3247. [Google Scholar] [CrossRef]
- Romero, E.S.; Oliva, E.M.; Pérez, J.A.; Pérez, S.M.; Turroni, S.; Marchese, L.; Villafañe, J. Relationship between the Gut Microbiome and Osteoarthritis Pain: Review of the Literature. Nutrients 2021, 13, 716. [Google Scholar] [CrossRef]
- Hamilton, J.L.; Nagao, M.; Levine, B.R.; Chen, D.; Olsen, B.R.; Im, H.-J. Targeting VEGF and Its Receptors for the Treatment of Osteoarthritis and Associated Pain. J. Bone Miner. Res. 2016, 31, 911–924. [Google Scholar] [CrossRef] [PubMed]
- Jansen, H.; Meffert, R.H.; Birkenfeld, F.; Petersen, W.; Pufe, T. Detection of vascular endothelial growth factor (VEGF) in moderate osteoarthritis in a rabbit model. Ann. Anat. Anat. Anz. 2012, 194, 452–456. [Google Scholar] [CrossRef] [PubMed]
- Kim, Y.T.; Azuma, H. The nerve endings of the acetabular labrum. Clin. Orthop. Relat. Res. 1995, 320, 176–181. [Google Scholar] [CrossRef]
- Haversath, M.; Hanke, J.; Landgraeber, S.; Herten, M.; Zilkens, C.; Krauspe, R.; Jäger, M. The distribution of nociceptive innervation in the painful hip: A histological investigation. Bone Jt. J. 2013, 95, 770–776. [Google Scholar] [CrossRef]
- Demirkale, I.; Kilicarslan, K.; Kilicarslan, A.; Aytekin, M.N.; Aksekili, M.A.E.; Ugurlu, M. Immunohistochemical analysis of mechanoreceptors in transverse acetabular ligament and labrum: A prospective analysis of 35 cases. Acta Orthop. Traumatol. Turc. 2015, 49, 394–398. [Google Scholar] [CrossRef]
- Levi-Montalcini, R.; Angeletti, P.U. Essential role of the nerve growth factor in the survival and maintenance of dissociated sensory and sympathetic embryonic nerve cells in vitro. Dev. Biol. 1963, 7, 653–659. [Google Scholar] [CrossRef]
- Mapp, P.I.; Walsh, D.A. Mechanisms and targets of angiogenesis and nerve growth in osteoarthritis. Nat. Rev. Rheumatol. 2012, 8, 390–398. [Google Scholar] [CrossRef]
- Walsh, D.A.; McWilliams, D.F.; Turley, M.J.; Dixon, M.R.; Fransès, R.E.; Mapp, P.I.; Wilson, D. Angiogenesis and nerve growth factor at the osteochondral junction in rheumatoid arthritis and osteoarthritis. Rheumatology 2010, 49, 1852–1861. [Google Scholar] [CrossRef] [PubMed]
- Kiguchi, N.; Kobayashi, Y.; Kadowaki, Y.; Fukazawa, Y.; Saika, F.; Kishioka, S. Vascular endothelial growth factor signaling in injured nerves underlies peripheral sensitization in neuropathic pain. J. Neurochem. 2014, 129, 169–178. [Google Scholar] [CrossRef] [PubMed]
- Li, W.; Lin, J.; Wang, Z.; Ren, S.; Wu, X.; Yu, F.; Weng, J.; Zeng, H. Bevacizumab tested for treatment of knee osteoarthritis via inhibition of synovial vascular hyperplasia in rabbits. J. Orthop. Transl. 2019, 19, 38–46. [Google Scholar] [CrossRef] [PubMed]
- Lin, J.; Li, G.; Den, X.; Xu, C.; Liu, S.; Gao, Y.; Liu, H.; Zhang, J.; Li, X.; Liang, S. VEGF and its receptor-2 involved in neuropathic pain transmission mediated by P2X2/3 receptor of primary sensory neurons. Brain Res. Bull. 2010, 83, 284–291. [Google Scholar] [CrossRef]
- Liu, S.; Xu, C.; Li, G.; Liu, H.; Xie, J.; Tu, G.; Peng, H.; Qiu, S.; Liang, S. Vatalanib decrease the positive interaction of VEGF receptor-2 and P2X2/3 receptor in chronic constriction injury rats. Neurochem. Int. 2012, 60, 565–572. [Google Scholar] [CrossRef]
- Takano, S.; Uchida, K.; Inoue, G.; Matsumoto, T.; Aikawa, J.; Iwase, D.; Mukai, M.; Miyagi, M.; Takaso, M. Vascular endothelial growth factor expression and their action in the synovial membranes of patients with painful knee osteoarthritis. BMC Musculoskelet. Disord. 2018, 19, 204. [Google Scholar] [CrossRef]
- Hawellek, T.; Hubert, J.; Hischke, S.; Krause, M.; Bertrand, J.; Schmidt, B.C.; Kronz, A.; Püschel, K.; Rüther, W.; Niemeier, A. Calcification of the acetabular labrum of the hip: Prevalence in the general population and relation to hip articular cartilage and fibrocartilage degeneration. Arthritis Res. Ther. 2018, 20, 104. [Google Scholar] [CrossRef]
- Hubert, J.; Hawellek, T.; Moe, M.; Hischke, S.; Krause, M.; Rolvien, T.; Schmidt, T.; Rüther, W.; Niemeier, A. Labral calcification in end-stage osteoarthritis of the hip correlates with pain and clinical function. J. Orthop. Res. 2018, 36, 1248–1255. [Google Scholar] [CrossRef]
- Schon, J.; Chahla, J.; Paudel, S.; Manandhar, L.; Feltham, T.; Huard, J.; Philippon, M.; Zhang, Z. Expression profile of matrix metalloproteinases in the labrum of femoroacetabular impingement. Bone Jt. Res. 2020, 9, 173–181. [Google Scholar] [CrossRef]
- Kelly, B.T.; Shapiro, G.S.; Digiovanni, C.W.; Buly, R.L.; Potter, H.G.; Hannafin, J.A. Vascularity of the hip labrum: A cadaveric investigation. Arthrosc. J. Arthrosc. Relat. Surg. 2005, 21, 3–11. [Google Scholar] [CrossRef]
- Seldes, R.M.; Tan, V.; Hunt, J.; Katz, M.; Winiarsky, R.; Fitzgerald, R.H. Anatomy, Histologic Features, and Vascularity of the Adult Acetabular Labrum. Clin. Orthop. Relat. Res. 2001, 382, 232–240. [Google Scholar] [CrossRef] [PubMed]
- Alzaharani, A.; Bali, K.; Gudena, R.; Railton, P.; Ponjevic, D.; Matyas, J.R.; Powell, J.N. The innervation of the human acetabular labrum and hip joint: An anatomic study. BMC Musculoskelet. Disord. 2014, 15, 41. [Google Scholar] [CrossRef] [PubMed]
- Kapetanakis, S.; Dermon, A.; Gkantsinikoudis, N.; Kommata, V.; Soukakos, P.; Dermon, C.R. Acetabular labrum of hip joint in osteoarthritis: A qualitative original study and short review of the literature. J. Orthop. Surg. 2017, 25, 2309499017734444. [Google Scholar] [CrossRef] [PubMed]
- Domzalski, M.E.; Synder, M.; Karauda, A.; Papierz, W. Histological Changes of the Acetabular Labrum in Coxarthrosis: Labral Degeneration and Repair. HIP Int. 2017, 27, 66–73. [Google Scholar] [CrossRef]
- Elias-Jones, C.J.; Reilly, J.H.; Kerr, S.; Meek, R.M.D.; Campton, J.L.; Farrow, L.; Kelly, M.P.; Millar, N.L. Inflammation and Neovascularization in Hip Impingement: Not Just Wear and Tear. Am. J. Sports Med. 2015, 43, 1875–1881. [Google Scholar] [CrossRef]
- Sánchez-Romero, E.A.; Battaglino, A.P.; Campanella, W.; Turroni, S.; Bishop, M.D.; Villafañe, J.H. Impact on Blood Tests of Lower Limb Joint Replacement for the Treatment of Osteoarthritis. Top. Geriatr. Rehabil. 2021, 37, 227–229. [Google Scholar] [CrossRef]
- Ohashi, Y.; Uchida, K.; Fukushima, K.; Satoh, M.; Koyama, T.; Tsuchiya, M.; Saito, H.; Takahira, N.; Inoue, G.; Takaso, M. NGF Expression and Elevation in Hip Osteoarthritis Patients with Pain and Central Sensitization. BioMed Res. Int. 2021, 2021, 9212585. [Google Scholar] [CrossRef]
- Kellgren, J.H.; Lawrence, J.S. Radiological Assessment of Osteo-Arthrosis. Ann. Rheum. Dis. 1957, 16, 494–502. [Google Scholar] [CrossRef]
- Krenn, V.; Kurz, B.; Krukemeyer, M.G.; Knoess, P.; Jakobs, M.; Poremba, C.; Möllenhoff, G. Histopathologischer Degenerations-Score Des Faserknorpels. Z. Rheumatol. 2010, 69, 644–652. [Google Scholar] [CrossRef]






| Characteristic | Value |
|---|---|
| Sex, male/female | 12/32 |
| Age (years) | 60.7 ± 10.6 |
| BMI (kg/m2) | 25.7 ± 4.5 |
| KL classification | |
| Grade 0 | 1 |
| Grade 1 | 6 |
| Grade 2 | 8 |
| Grade 3 | 16 |
| Grade 4 | 13 |
| HHS (points) | 55.6 ± 17.3 |
| VAS (mm) | 77.5 ± 18.3 |
| Grade | Features |
|---|---|
| 0 | Normal histological morphology |
| |
| |
| |
| 1 | Low-grade degeneration |
| |
| |
| |
| 2 | Moderate degeneration |
| |
| |
| |
| 3 | High-grade degeneration |
| |
| |
| |
|
| Gene | ID Numbers | |
|---|---|---|
| VEGFA | Vascular endothelial growth factor A | Hs00911700_m1 |
| NGF | Nerve growth factor | Hs00913377_m1 |
| GAPDH | Glyceraldehyde-3-phosphate dehydrogenase | Hs03929097_g1 |
Disclaimer/Publisher’s Note: The statements, opinions and data contained in all publications are solely those of the individual author(s) and contributor(s) and not of MDPI and/or the editor(s). MDPI and/or the editor(s) disclaim responsibility for any injury to people or property resulting from any ideas, methods, instructions or products referred to in the content. |
© 2023 by the authors. Licensee MDPI, Basel, Switzerland. This article is an open access article distributed under the terms and conditions of the Creative Commons Attribution (CC BY) license (https://creativecommons.org/licenses/by/4.0/).
Share and Cite
Sato, Y.; Tetsunaga, T.; Yamada, K.; Kawamura, Y.; Yoshida, A.; Ozaki, T. Expression of Acetabular Labral Vascular Endothelial Growth Factor and Nerve Growth Factor Is Directly Associated with Hip Osteoarthritis Pain: Investigation by Immunohistochemical Staining. Int. J. Mol. Sci. 2023, 24, 2926. https://doi.org/10.3390/ijms24032926
Sato Y, Tetsunaga T, Yamada K, Kawamura Y, Yoshida A, Ozaki T. Expression of Acetabular Labral Vascular Endothelial Growth Factor and Nerve Growth Factor Is Directly Associated with Hip Osteoarthritis Pain: Investigation by Immunohistochemical Staining. International Journal of Molecular Sciences. 2023; 24(3):2926. https://doi.org/10.3390/ijms24032926
Chicago/Turabian StyleSato, Yoshihiro, Tomonori Tetsunaga, Kazuki Yamada, Yoshi Kawamura, Aki Yoshida, and Toshifumi Ozaki. 2023. "Expression of Acetabular Labral Vascular Endothelial Growth Factor and Nerve Growth Factor Is Directly Associated with Hip Osteoarthritis Pain: Investigation by Immunohistochemical Staining" International Journal of Molecular Sciences 24, no. 3: 2926. https://doi.org/10.3390/ijms24032926
APA StyleSato, Y., Tetsunaga, T., Yamada, K., Kawamura, Y., Yoshida, A., & Ozaki, T. (2023). Expression of Acetabular Labral Vascular Endothelial Growth Factor and Nerve Growth Factor Is Directly Associated with Hip Osteoarthritis Pain: Investigation by Immunohistochemical Staining. International Journal of Molecular Sciences, 24(3), 2926. https://doi.org/10.3390/ijms24032926

