Garcinol Promotes the Formation of Slow-Twitch Muscle Fibers by Inhibiting p300-Dependent Acetylation of PGC-1α
Abstract
1. Introduction
2. Results
2.1. Effect of Garcinol Supplementation on Endurance Exercise Capacity and Muscle Fatigue in Mice
2.2. Effect of Garcinol Supplementation on the Muscle Fiber Type-Related Protein Expression in Mice
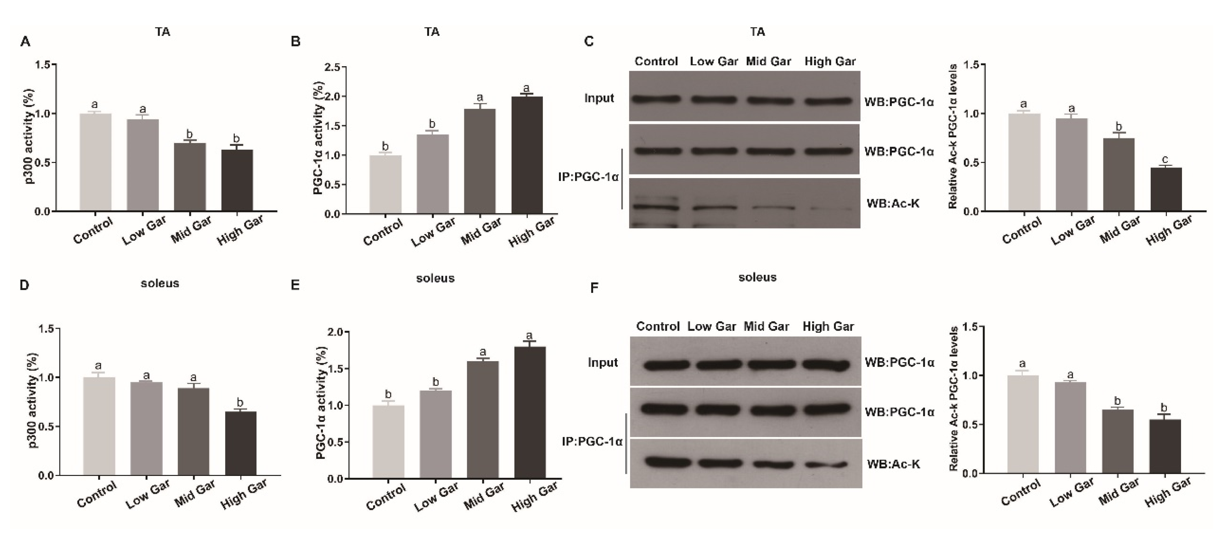
2.3. Effect of Garcinol Supplementation on the Acetylation Levels of PGC-1α in Muscle
2.4. Effect of Garcinol Supplementation on Antioxidant Capacity and Metabolic Enzyme Activities
2.5. Effect of Garcinol Supplementation on Myofiber Composition
2.6. Garcinol Inhibits the p300-Dependent Acetylation of PGC-1α in C2C12 Myotubes
3. Discussion
4. Materials and Methods
4.1. Animals, Treatments, and Sample Collection
4.2. Strength and Exercise Endurance
4.3. Cell Culture and Treatment
4.4. Western Blotting and Immunoprecipitation
4.5. Mitochondrial DNA Content and Respiratory Chain Complex Activity
4.6. Enzymatic Activity Assay
4.7. Seahorse Oxidative and Glycolytic Metabolic Assay
4.8. PGC-1α Transcriptional Activity
4.9. Antioxidant Enzyme Activity Analysis
4.10. RNA Isolation and Real-Time Quantitative PCR
4.11. Statistical Analysis
5. Conclusions
Supplementary Materials
Author Contributions
Funding
Institutional Review Board Statement
Informed Consent Statement
Data Availability Statement
Acknowledgments
Conflicts of Interest
Abbreviations
References
- Zierath, J.R.; Hawley, J.A. Skeletal Muscle Fiber Type: Influence on Contractile and Metabolic Properties. PLoS Biol. 2004, 2, e348. [Google Scholar] [CrossRef] [PubMed]
- Schiaffino, S. Muscle fiber type diversity revealed by anti-myosin heavy chain antibodies. FEBS J. 2018, 285, 3688–3694. [Google Scholar] [CrossRef] [PubMed]
- Crew, J.R.; Falzari, K.; Dimario, J.X. Muscle fiber type specific induction of slow myosin heavy chain 2 gene expression by electrical stimulation. Exp. Cell Res. 2010, 316, 1039–1049. [Google Scholar] [CrossRef] [PubMed]
- Jingjing, D.; Linyuan, S.; Peiwen, Z.; Zhendong, T.; Xiao, C.; Jia, L.; Xue, Z.; Qiong, Y.; Hao, G.; An’an, J. The regulation of skeletal muscle fiber-type composition by betaine is associated with NFATc1/MyoD. J. Mol. Med.-Jmm 2018, 96, 685–700. [Google Scholar]
- Lefaucheur, L. A second look into fibre typing–relation to meat quality. Meat Sci. 2010, 84, 257–270. [Google Scholar] [CrossRef]
- Hargreaves, M.; Spriet, L.L. Skeletal muscle energy metabolism during exercise. Nat. Metab. 2020, 2, 817–828. [Google Scholar] [CrossRef]
- Goh, K.P.; Lee, H.Y.; Lau, D.P.; Supaat, W.; Fang, Y. Effects of resveratrol in patients with type 2 diabetes mellitus on skeletal muscle SIRT1 expression and energy expenditure. Int. J. Sport Nutr. Exerc. Metab. 2014, 24, 2. [Google Scholar] [CrossRef]
- Jiang, Q.; Cheng, X.; Cui, Y.; Xia, Q.; Yan, X.; Zhang, M.; Lan, G.; Liu, J.; Shan, T.; Huang, Y. Resveratrol regulates skeletal muscle fibers switching through the AdipoR1-AMPK-PGC-1α pathway. Food Funct. 2019, 10, 3334–3343. [Google Scholar] [CrossRef]
- Mizunoya, W.; Okamoto, S.; Miyahara, H.; Akahoshi, M.; Suzuki, T.; Do, M.K.Q.; Ohtsubo, H.; Komiya, Y.; Qahar, M.; Waga, T. Fast-to-slow shift of muscle fiber-type composition by dietary apple polyphenols in rats: Impact of the low-dose supplementation. Anim. Sci. J. 2016, 88, 489–499. [Google Scholar] [CrossRef]
- Chung, S.; Yao, H.; Caito, S.; Hwang, J.-W.; Arunachalam, G.; Rahman, I. Regulation of SIRT1 in cellular functions: Role of polyphenols. Arch. Biochem. Biophys. 2010, 501, 79–90. [Google Scholar] [CrossRef]
- Lin, J.; Wu, H.; Tarr, P.T.; Zhang, C.Y.; Wu, Z.; Boss, O.; Michael, L.F.; Puigserver, P.; Isotani, E.; Olson, E.N. Transcriptional co-activator PGC-1 alpha drives the formation of slow-twitch muscle fibres. Nature 2002, 418, 797. [Google Scholar] [CrossRef]
- Arany, Z.; Lebrasseur, N.; Morris, C.; Smith, E.; Yang, W.; Ma, Y.; Chin, S.; Spiegelman, B.M. The Transcriptional Coactivator PGC-1β Drives the Formation of Oxidative Type IIX Fibers in Skeletal Muscle. Cell Metab. 2007, 5, 35–46. [Google Scholar] [CrossRef]
- Nemoto, S.; Fergusson, M.M.; Finkel, T. SIRT1 Functionally Interacts with the Metabolic Regulator and Transcriptional Coactivator PGC-1α. J. Biol. Chem. 2005, 280, 16456–16460. [Google Scholar] [CrossRef]
- Puigserver, P.; Adelmant, G.; Wu, Z. Activation of PPARγ Coactivator-1 Through Transcription Factor Docking. Science 1999, 286, 1368–1371. [Google Scholar] [CrossRef]
- Wallberg, A.E.; Yamamura, S.; Malik, S.; Spiegelman, B.M.; Roeder, R.G. Coordination of p300-Mediated Chromatin Remodeling and TRAP/Mediator Function through Coactivator PGC-1α. Mol. Cell 2003, 12, 1137–1149. [Google Scholar] [CrossRef]
- Wang, J.; Wu, M.; Zheng, D.; Zhang, H.; Lv, Y.; Zhang, L.; Tan, H.-S.; Zhou, H.; Lao, Y.-Z.; Xu, H.-X. Garcinol inhibits esophageal cancer metastasis by suppressing the p300 and TGF-β1 signaling pathways. Acta Pharmacol. Sin. 2020, 41, 82–92. [Google Scholar] [CrossRef]
- Balasubramanyam, K.; Altaf, M.; Varier, R.A.; Swaminathan, V.; Ravindran, A.; Sadhale, P.P.; Kundu, T.K. Polyisoprenylated Benzophenone, Garcinol, a Natural Histone Acetyltransferase Inhibitor, Represses Chromatin Transcription and Alters Global Gene Expression. J. Biol. Chem. 2004, 279, 33716–33726. [Google Scholar] [CrossRef]
- Liu, C.; Ho, C.L.; Wong, F.C.; Sethi, G.; Wang, L.Z.; Goh, B.C. Garcinol: Current status of its anti-oxidative, anti-inflammatory and anti-cancer effects. Cancer Lett. 2015, 362, 8–14. [Google Scholar] [CrossRef]
- Liao, C.H.; Ho, C.T.; Lin, J.K. Effects of garcinol on free radical generation and NO production in embryonic rat cortical neurons and astrocytes. Biochem. Biophys. Res. Commun. 2005, 329, 1306–1314. [Google Scholar] [CrossRef]
- Saadat, N.; Gupta, S.V. Potential role of garcinol as an anticancer agent. J. Oncol. 2012, 2012, 647206. [Google Scholar] [CrossRef]
- Kaur, R.; Chattopadhyay, S.K.; Tandon, S.; Sharma, S. Large scale extraction of the fruits of Garcinia indica for the isolation of new and known polyisoprenylated benzophenone derivatives. Ind. Crops Prod. 2012, 37, 420–426. [Google Scholar] [CrossRef]
- Padhye, S.; Ahmad, A.; Oswal, N.; Sarkar, F.H. Emerging role of Garcinol, the antioxidant chalcone from Garcinia indica Choisy and its synthetic analogs. J. Hematol. Oncol. 2009, 2, 38. [Google Scholar] [CrossRef] [PubMed]
- Warriar, P.; Barve, K.; Prabhakar, B. Anti-Arthritic Effect of Garcinol Enriched Fraction Against Adjuvant Induced Arthritis. Recent Pat. Inflamm. Allergy Drug Discov. 2019, 13, 49–56. [Google Scholar] [CrossRef] [PubMed]
- Picard, M.; Hepple, R.T.; Burelle, Y. Mitochondrial functional specialization in glycolytic and oxidative muscle fibers: Tailoring the organelle for optimal function. Am. J. Physiol. Cell Physiol. 2012, 302, 629–641. [Google Scholar] [CrossRef] [PubMed]
- Ortiz, M.; Soto-Alarcón, S.A.; Orellana, P.; Espinosa, A.; Campos, C.; López-Arana, S.; Rincón, M.A.; Illesca, P.; Valenzuela, R.; Videla, L.A. Suppression of high-fat diet-induced obesity-associated liver mitochondrial dysfunction by docosahexaenoic acid and hydroxytyrosol co-administration. Dig. Liver Dis. 2020, 52, 895–904. [Google Scholar] [CrossRef]
- Gosker, H.; Van Mameren, H.; Van Dijk, P.; Engelen, M.; Van Der Vusse, G.; Wouters, E.; Schols, A. Skeletal muscle fibre-type shifting and metabolic profile in patients with chronic obstructive pulmonary disease. Eur. Respir. J. 2002, 19, 617–625. [Google Scholar] [CrossRef]
- Liang, H.; Ward, W.F. PGC-1α: A key regulator of energy metabolism. Adv. Physiol. Educ. 2006, 30, 145–151. [Google Scholar] [CrossRef]
- Lagouge, M.; Argmann, C.; Gerhart-Hines, Z.; Meziane, H.; Lerin, C.; Daussin, F.; Messadeq, N.; Milne, J.; Lambert, P.; Elliott, P. Resveratrol improves mitochondrial function and protects against metabolic disease by activating SIRT1 and PGC-1α. Cell 2006, 127, 1109–1122. [Google Scholar] [CrossRef]
- Sandri, M.; Lin, J.; Handschin, C.; Yang, W.; Arany, Z.P.; Lecker, S.H.; Goldberg, A.L.; Spiegelman, B.M. PGC-1α protects skeletal muscle from atrophy by suppressing FoxO3 action and atrophy-specific gene transcription. Proc. Natl. Acad. Sci. USA 2006, 103, 16260–16265. [Google Scholar] [CrossRef]
- Ruas, J.L.; White, J.P.; Rao, R.R.; Kleiner, S.; Brannan, K.T.; Harrison, B.C.; Greene, N.P.; Wu, J.; Estall, J.L.; Irving, B.A. A PGC-1α isoform induced by resistance training regulates skeletal muscle hypertrophy. Cell 2012, 151, 1319–1331. [Google Scholar] [CrossRef]
- Bouitbir, J.; Singh, F.; Charles, A.-L.; Schlagowski, A.-I.; Bonifacio, A.; Echaniz-Laguna, A.; Geny, B.; Krähenbühl, S.; Zoll, J. Statins trigger mitochondrial reactive oxygen species-induced apoptosis in glycolytic skeletal muscle. Antioxid. Redox Signal. 2016, 24, 84–98. [Google Scholar] [CrossRef]
- Luqman, S.; Pezzuto, J.M. NFκB: A promising target for natural products in cancer chemoprevention. Phytother. Res. 2010, 24, 949–963. [Google Scholar] [CrossRef]
- Delma, C.R.; Thirugnanasambandan, S.; Srinivasan, G.P.; Raviprakash, N.; Manna, S.K.; Natarajan, M.; Aravindan, N. Fucoidan from marine brown algae attenuates pancreatic cancer progression by regulating p53–NFκB crosstalk. Phytochemistry 2019, 167, 112078. [Google Scholar] [CrossRef]
- Chen, X.; Guo, Y.; Jia, G.; Liu, G.; Zhao, H.; Huang, Z. Arginine promotes skeletal muscle fiber type transformation from fast-twitch to slow-twitch via Sirt1/AMPK pathway. J. Nutr. Biochem. 2018, 61, 155–162. [Google Scholar] [CrossRef]
- Xianchu, L.; Ming, L.; Xiangbin, L.; Lan, Z. Grape seed proanthocyanidin extract supplementation affects exhaustive exercise-induced fatigue in mice. Food Nutr. Res. 2018, 62. [Google Scholar] [CrossRef]
- Seko, D.; Ogawa, S.; Li, T.S.; Taimura, A.; Ono, Y. μ-Crystallin controls muscle function through thyroid hormone action. FASEB J. 2016, 30, 1733–1740. [Google Scholar] [CrossRef]
- Yao, W.; Wang, T.; Xia, J.; Li, J.; Yu, X.; Huang, F. Dietary garcinol attenuates hepatic pyruvate and triglyceride accumulation by inhibiting P300/CBP-associated factor in mid-to-late pregnant rats. J. Nutr. 2020, 150, 231–239. [Google Scholar] [CrossRef]
- Zhao, S.; Xu, W.; Jiang, W.; Yu, W.; Lin, Y.; Zhang, T.; Yao, J.; Zhou, L.; Zeng, Y.; Li, H. Regulation of cellular metabolism by protein lysine acetylation. Science 2010, 327, 1000–1004. [Google Scholar] [CrossRef]






| Item | Control | Low Gar | Mid Gar | High Gar | p-Value | 
|---|---|---|---|---|---|
| Serum | |||||
| SOD (U/mL) | 39.6 ± 0.96 b | 42.46 ± 1.03 b | 49.37 ± 0.95 a | 52.43 ± 1.35 a | <0.05 | 
| CAT (U/mL) | 1.21 ± 0.23 b | 1.35 ± 0.14 b | 2.25 ± 0.17 a | 2.46 ± 0.13 a | <0.05 | 
| GSH (μmol/L) | 3.28 ± 0.35 b | 3.56 ± 0.27 b | 5.26 ± 0.23 a | 5.57 ± 0.31 a | <0.05 | 
| GPx (U/mL) | 220.7 ± 3.16 b | 253.6 ± 2.58 a | 259.5 ± 5.69 a | 263.4 ± 4.75 a | <0.05 | 
| MDA (μmol/L) | 6.34 ± 0.21 | 6.24 ± 0.18 | 6.16 ± 0.24 | 6.15 ± 0.19 | 0.35 | 
| TA | |||||
| SOD (U/mg prot) | 145.63 ± 5.26 b | 152.68 ± 4.68 b | 185.34 ± 3.26 a | 188.74 ± 4.71 a | <0.05 | 
| CAT (U/mg prot) | 1.26 ± 0.09 b | 1.38 ± 0.12 b | 2.36 ± 0.07 a | 2.54 ± 0.09 a | <0.05 | 
| GSH (μmol/g prot) | 35.69 ± 2.36 b | 38.48 ± 1.28 b | 46.85 ± 3.26 a | 48.42 ± 2.27 a | <0.05 | 
| GPx (U/mg prot) | 18.63 ± 1.96 b | 20.45 ± 1.15 b | 26.85 ± 1.58 a | 28.63 ± 2.13 a | <0.05 | 
| MDA (nmol/mg prot) | 6.32 ± 0.17 a | 6.15 ± 0.09 a | 5.54 ± 0.11 b | 5.14 ± 0.08 b | <0.05 | 
| Soleus | |||||
| SOD (U/mg prot) | 176.95 ± 6.34 b | 185.64 ± 4.25 b | 223.64 ± 5.12 a | 245.69 ± 4.37 a | <0.05 | 
| CAT (U/mg prot) | 1.45 ± 0.14 b | 1.53 ± 0.08 b | 2.24 ± 0.12 a | 2.45 ± 0.13 a | <0.05 | 
| GSH (μmol/g prot) | 42.63 ± 2.24 c | 50.24 ± 1.25 b | 68.53 ± 2.36 a | 70.46 ± 3.24 a | <0.05 | 
| GPx (U/mg prot) | 21.36 ± 1.96 b | 24.56 ± 2.17 b | 33.67 ± 2.03 a | 36.42 ± 2.17 a | <0.05 | 
| MDA (nmol/mg prot) | 5.53 ± 0.08 a | 5.42 ± 0.07 a | 4.56 ± 0.11 b | 4.16 ± 0.12 c | <0.05 | 
| Disclaimer/Publisher’s Note: The statements, opinions and data contained in all publications are solely those of the individual author(s) and contributor(s) and not of MDPI and/or the editor(s). MDPI and/or the editor(s) disclaim responsibility for any injury to people or property resulting from any ideas, methods, instructions or products referred to in the content. | 
© 2023 by the authors. Licensee MDPI, Basel, Switzerland. This article is an open access article distributed under the terms and conditions of the Creative Commons Attribution (CC BY) license (https://creativecommons.org/licenses/by/4.0/).
Share and Cite
Yao, W.; Guo, B.; Jin, T.; Bao, Z.; Wang, T.; Wen, S.; Huang, F. Garcinol Promotes the Formation of Slow-Twitch Muscle Fibers by Inhibiting p300-Dependent Acetylation of PGC-1α. Int. J. Mol. Sci. 2023, 24, 2702. https://doi.org/10.3390/ijms24032702
Yao W, Guo B, Jin T, Bao Z, Wang T, Wen S, Huang F. Garcinol Promotes the Formation of Slow-Twitch Muscle Fibers by Inhibiting p300-Dependent Acetylation of PGC-1α. International Journal of Molecular Sciences. 2023; 24(3):2702. https://doi.org/10.3390/ijms24032702
Chicago/Turabian StyleYao, Weilei, Baoyin Guo, Taimin Jin, Zhengxi Bao, Tongxin Wang, Shu Wen, and Feiruo Huang. 2023. "Garcinol Promotes the Formation of Slow-Twitch Muscle Fibers by Inhibiting p300-Dependent Acetylation of PGC-1α" International Journal of Molecular Sciences 24, no. 3: 2702. https://doi.org/10.3390/ijms24032702
APA StyleYao, W., Guo, B., Jin, T., Bao, Z., Wang, T., Wen, S., & Huang, F. (2023). Garcinol Promotes the Formation of Slow-Twitch Muscle Fibers by Inhibiting p300-Dependent Acetylation of PGC-1α. International Journal of Molecular Sciences, 24(3), 2702. https://doi.org/10.3390/ijms24032702
 
        


 
       