Impact of Mechanical Strain and Nicotinamide on RUNX2-Deficient Osteoblast Mimicking Cleidocranial Dysplasia
Abstract
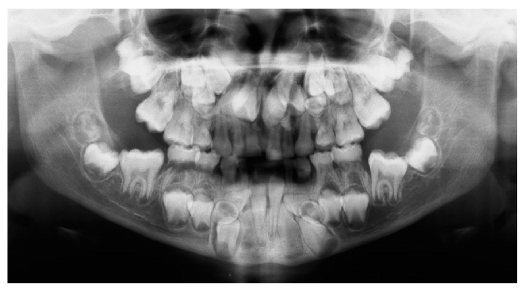
:1. Introduction
2. Results
2.1. Impact of Different Nicotinamide (NAM) Concentrations on Control Osteoblasts
2.2. Impact of NAM on Control and RUNX2-Deficient Osteoblasts
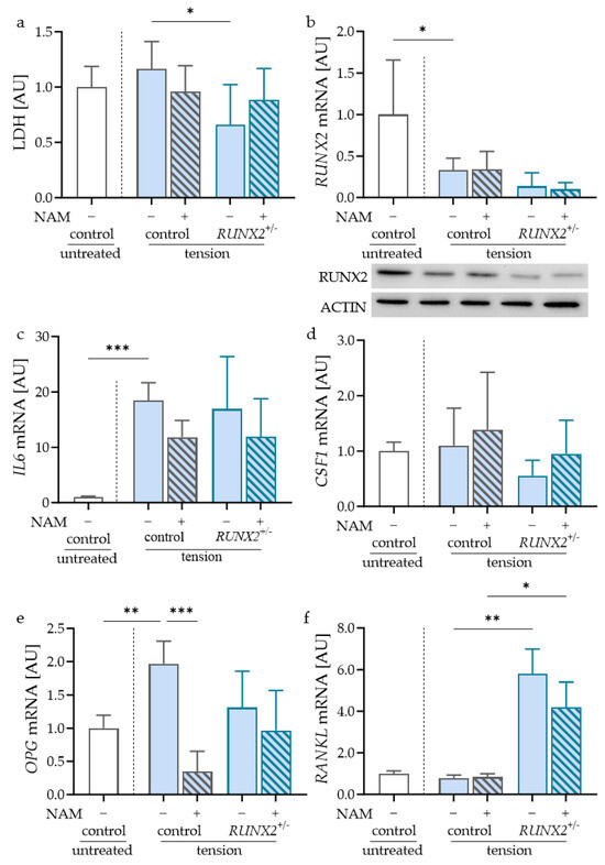
2.3. Impact of NAM on Control and RUNX2-Deficient Osteoblasts during Tensile Strain
2.4. Impact of NAM on Control and RUNX2-Deficient Osteoblasts during Compressive Strain
3. Discussion
4. Materials and Methods
4.1. Cultivation of Human Osteoblasts
4.1.1. General Cell Culture Conditions
4.1.2. Experimental Setup to Determine the Optimal Nicotinamide (NAM) Concentration
4.1.3. Experimental Setup for Tensile Strain
4.1.4. Experimental Setup for Compressive Strain
4.2. Determination of Cytotoxicity with the Lactate Dehydrogenase (LDH) Test
4.3. RNA Analysis
4.3.1. RNA Isolation
4.3.2. copyDNA (cDNA) Synthesis
4.3.3. Quantitative Polymerase Chain Reaction (qPCR)
4.4. Protein Analysis
4.4.1. Protein Isolation and Determination of Protein Concentration
4.4.2. Polyacrylamide (PAA) Gel Electrophoresis and Western Blot
5. Conclusions
Author Contributions
Funding
Institutional Review Board Statement
Informed Consent Statement
Data Availability Statement
Conflicts of Interest
References
- Roslan, A.A.; Rahman, N.A.; Alam, M.K. Dental anomalies and their treatment modalities/planning in orthodontic patients. J. Orthod. Sci. 2018, 7, 16. [Google Scholar] [CrossRef] [PubMed]
- Ferrer, D. Are dental anomalies risk factors for apical root resorption in orthodontic patients? Today’s FDA 2002, 14, 27. [Google Scholar] [PubMed]
- Silva Junior, M.L.S.; Brito, M.L.D.; Carvalho, B.W.L.; Silva, E.M.C.D.; Lira, A.D.L.S.D. Prevalence and influence of dental development anomalies in smile esthetics: A cross-sectional analysis. Braz. J. Oral Sci. 2022, 22, e237434. [Google Scholar] [CrossRef]
- Kutilek, S.; Machytka, R.; Munzar, P. Cleidocranial dysplasia. Sudan. J. Paediatr. 2019, 19, 165–168. [Google Scholar] [CrossRef] [PubMed]
- Cammarata-Scalisi, F.; Avendaño, A.; Callea, M. Main genetic entities associated with supernumerary teeth. Arch. Argent. Pediatr. 2018, 116, 437–444. [Google Scholar] [CrossRef]
- Machol, K.; Mendoza-Londono, R.; Lee, B. GeneReviews®: Cleidocranial Dysplasia Spectrum Disorder; University of Washington: Seattle, WA, USA, 1993. [Google Scholar]
- Garg, R.K. Clinical spectrum of cleidocranial dysplasia: A case report. Cases J. 2008, 1, 377. [Google Scholar] [CrossRef]
- Lee, K.-E.; Seymen, F.; Ko, J.; Yildirim, M.; Tuna, E.B.; Gencay, K.; Kim, J.-W. RUNX2 mutations in cleidocranial dysplasia. Genet. Mol. Res. 2013, 12, 4567–4574. [Google Scholar] [CrossRef]
- Hordyjewska-Kowalczyk, E.; Sowińska-Seidler, A.; Olech, E.M.; Socha, M.; Glazar, R.; Kruczek, A.; Latos-Bieleńska, A.; Tylzanowski, P.; Jamsheer, A. Functional analysis of novel RUNX2 mutations identified in patients with cleidocranial dysplasia. Clin. Genet. 2019, 96, 429–438. [Google Scholar] [CrossRef]
- Komori, T. Roles of RUNX2 in Skeletal Development. Adv. Exp. Med. Biol. 2017, 962, 83–93. [Google Scholar] [CrossRef]
- Hollis, W.; Clements, J.; Brooks, J. Multidisciplinary prosthetic rehabilitation of an adult patient with cleidocranial dysplasia by using a rapid external distraction device: A clinical report. J. Prosthet. Dent. 2023, 129, 243–246. [Google Scholar] [CrossRef]
- Lizończyk, B.; Pielech, K.; Panaś, M.; Stós, W. Orthodontic treatment of patients with cleidocranial dysplasia Systematic review of the literature. Forum Ortod. 2020, 16, 307–317. [Google Scholar] [CrossRef]
- Li, M.; Zhang, C.; Yang, Y. Effects of mechanical forces on osteogenesis and osteoclastogenesis in human periodontal ligament fibroblasts: A systematic review of in vitro studies. Bone Jt. Res. 2019, 8, 19–31. [Google Scholar] [CrossRef] [PubMed]
- Takegahara, N.; Kim, H.; Choi, Y. RANKL biology. Bone 2022, 159, 116353. [Google Scholar] [CrossRef] [PubMed]
- Udagawa, N.; Koide, M.; Nakamura, M.; Nakamichi, Y.; Yamashita, T.; Uehara, S.; Kobayashi, Y.; Furuya, Y.; Yasuda, H.; Fukuda, C.; et al. Osteoclast differentiation by RANKL and OPG signaling pathways. J. Bone Miner. Metab. 2021, 39, 19–26. [Google Scholar] [CrossRef]
- Otto, F.; Kanegane, H.; Mundlos, S. Mutations in the RUNX2 gene in patients with cleidocranial dysplasia. Hum. Mutat. 2002, 19, 209–216. [Google Scholar] [CrossRef]
- Yoon, H.; Kim, H.J.; Shin, H.R.; Kim, B.S.; Kim, W.J.; Cho, Y.D.; Ryoo, H.M. Nicotinamide Improves Delayed Tooth Eruption in RUNX2+/− Mice. J. Dent. Res. 2021, 100, 423–431. [Google Scholar] [CrossRef]
- Poddar, S.K.; Sifat, A.E.; Haque, S.; Nahid, N.A.; Chowdhury, S.; Mehedi, I. Nicotinamide Mononucleotide: Exploration of Diverse Therapeutic Applications of a Potential Molecule. Biomolecules 2019, 9, 34. [Google Scholar] [CrossRef]
- Liu, Y.; Wang, Y.; Sun, X.; Zhang, X.; Wang, X.; Zhang, C.; Zheng, S. RUNX2 mutation reduces osteogenic differentiation of dental follicle cells in cleidocranial dysplasia. Mutagenesis 2018, 33, 203–214. [Google Scholar] [CrossRef]
- Schröder, A. Expression kinetics of human periodontal ligament fibroblasts in the early phases of orthodontic tooth movement. J. Orofac. Orthop. 2018, 79, 337–351. [Google Scholar] [CrossRef]
- Schröder, A.; Käppler, P.; Nazet, U.; Jantsch, J.; Proff, P.; Cieplik, F.; Deschner, J.; Kirschneck, C. Effects of Compressive and Tensile Strain on Macrophages during Simulated Orthodontic Tooth Movement. Mediat. Inflamm. 2020, 2020, 2814015. [Google Scholar] [CrossRef]
- Liu, Y.; Song, F.; Wu, S.; He, S.; Meng, M.; Lv, C.; Yang, Q.; Chen, S. Protein and mRNA expressions of IL-6 and its key signaling factors under orthodontic forces in mice: An in-vivo study. Am. J. Orthod. Dentofac. Orthop. 2017, 152, 654–662. [Google Scholar] [CrossRef] [PubMed]
- Nazet, U.; Schröder, A.; Spanier, G.; Wolf, M.; Proff, P.; Kirschneck, C. Simplified method for applying static isotropic tensile strain in cell culture experiments with identification of valid RT-qPCR reference genes for PDL fibroblasts. Eur. J. Orthod. 2020, 42, 359–370. [Google Scholar] [CrossRef] [PubMed]
- Frost, A.; Jonsson, K.B.; Brändström, H.; Ljunghall, S.; Nilsson, O.; Ljunggren, O. Interleukin (IL)-13 and IL-4 inhibit proliferation and stimulate IL-6 formation in human osteoblasts: Evidence for involvement of receptor subunits IL-13R, IL-13Rα, and IL-4Rα. Bone 2001, 28, 268–274. [Google Scholar] [CrossRef] [PubMed]
- Yoshitake, F.; Itoh, S.; Narita, H.; Ishihara, K.; Ebisu, S. Interleukin-6 directly inhibits osteoclast differentiation by suppressing receptor activator of NF-κB signaling pathways. J. Biol. Chem. 2008, 283, 11535–11540. [Google Scholar] [CrossRef]
- Wittrant, Y.; Gorin, Y.; Mohan, S.; Wagner, B.; Abboud-Werner, S.L. Colony-stimulating factor-1 (CSF-1) directly inhibits receptor activator of nuclear factor-κB ligand (RANKL) expression by osteoblasts. Endocrinology 2009, 150, 4977–4988. [Google Scholar] [CrossRef]
- Proff, P.; Römer, P. The molecular mechanism behind bone remodelling: A review. Clin. Oral Investig. 2009, 13, 355–362. [Google Scholar] [CrossRef]
- Tobeiha, M.; Moghadasian, M.H.; Amin, N.; Jafarnejad, S. RANKL/RANK/OPG Pathway: A Mechanism Involved in Exercise-Induced Bone Remodeling. BioMed Res. Int. 2020, 2020, 6910312. [Google Scholar] [CrossRef]
- Enomoto, H.; Shiojiri, S.; Hoshi, K.; Furuichi, T.; Fukuyama, R.; Yoshida, C.A.; Kanatani, N.; Nakamura, R.; Mizuno, A.; Zanma, A.; et al. Induction of osteoclast differentiation by RUNX2 through receptor activator of nuclear factor-κB ligand (RANKL) and osteoprotegerin regulation and partial rescue of osteoclastogenesis in RUNX2−/− mice by RANKL transgene. J. Biol. Chem. 2003, 278, 23971–23977. [Google Scholar] [CrossRef]
- Yoda, S.; Suda, N.; Kitahara, Y.; Komori, T.; Ohyama, K. Delayed tooth eruption and suppressed osteoclast number in the eruption pathway of heterozygous RUNX2/Cbfa1 knockout mice. Arch. Oral Biol. 2004, 49, 435–442. [Google Scholar] [CrossRef]
- Römer, P.; Behr, M.; Proff, P.; Faltermeier, A.; Reicheneder, C. Effect of strontium on human RUNX2+/− osteoblasts from a patient with cleidocranial dysplasia. Eur. J. Pharmacol. 2011, 654, 195–199. [Google Scholar] [CrossRef]
- Schröder, A.; Schöniger, R.; Oeldemann, J.; Spanier, G.; Proff, P.; Jantsch, J.; Kirschneck, C.; Ullrich, N. An Evaluation of Different 3D Cultivation Models on Expression Profiles of Human Periodontal Ligament Fibroblasts with Compressive Strain. Int. J. Mol. Sci. 2022, 23, 2029. [Google Scholar] [CrossRef] [PubMed]
- Livak, K.J.; Schmittgen, T.D. Analysis of relative gene expression data using real-time quantitative PCR and the 2−ΔΔCT Method. Methods 2001, 25, 402–408. [Google Scholar] [CrossRef] [PubMed]
- Schmittgen, T.D.; Livak, K.J. Analyzing real-time PCR data by the comparative CT method. Nat. Protoc. 2008, 3, 1101–1108. [Google Scholar] [CrossRef] [PubMed]






| General Clinical Symptoms | Dental Symptoms |
|---|---|
| Abnormal height | Hyperdontia |
| Open fontanelles | Supernumerary tooth germs |
| Bone-related problems | Wide spacing in the lower incisor area |
| Clavicular hypoplasia | Parallel-sided ascending rami |
| Congenital hip luxation | Altered eruption pattern |
| Joint hypermobility | Gingival cysts |
| Gene | Gene Name | Forward Primer | Reverse Primer |
|---|---|---|---|
| CSF1 | Colony-stimulating factor 1 | TGAGACACCTCTCCAGTTGCTG | GCAATCAGGCTTGGTCACCACA |
| GAPDH | Glycerinaldehyde-3-phosphate-dehydrogenase | TGCCCTCAACGACCACTTTG | CCACCACCCTGTTGCTGTAG |
| IL6 | Interleukin-6 | TGGCAGAAAACAACCTGAACC | CCTCAAACTCCAAAAGACCAGTG |
| OPG | Osteoprotegerin | TGTCTTTGGTCTCCTGCTAACTC | CCTGAAGAATGCCTCCTCACAC |
| RUNX2 | Runt-related transcription factor 2 | CAGTAGATGGACCTCGGGAAC | TGAGGCGGTCAGAGAACAAAC |
| RANKL | Receptor activator of NFkB ligand | ATACCCTGATGAAAGGAGGA | GGGGCTCAATCTATATCTCG |
| TBP | TATA binding protein | CGGCTGTTTAACTTCGCTTCC | TGGGTTATCTTCACACGCCAAG |
Disclaimer/Publisher’s Note: The statements, opinions and data contained in all publications are solely those of the individual author(s) and contributor(s) and not of MDPI and/or the editor(s). MDPI and/or the editor(s) disclaim responsibility for any injury to people or property resulting from any ideas, methods, instructions or products referred to in the content. |
© 2023 by the authors. Licensee MDPI, Basel, Switzerland. This article is an open access article distributed under the terms and conditions of the Creative Commons Attribution (CC BY) license (https://creativecommons.org/licenses/by/4.0/).
Share and Cite
Schröder, A.; Örs, T.; Byeon, Y.-O.; Cieplik, F.; Proff, P.; Kirschneck, C.; Paddenberg, E. Impact of Mechanical Strain and Nicotinamide on RUNX2-Deficient Osteoblast Mimicking Cleidocranial Dysplasia. Int. J. Mol. Sci. 2023, 24, 16581. https://doi.org/10.3390/ijms242316581
Schröder A, Örs T, Byeon Y-O, Cieplik F, Proff P, Kirschneck C, Paddenberg E. Impact of Mechanical Strain and Nicotinamide on RUNX2-Deficient Osteoblast Mimicking Cleidocranial Dysplasia. International Journal of Molecular Sciences. 2023; 24(23):16581. https://doi.org/10.3390/ijms242316581
Chicago/Turabian StyleSchröder, Agnes, Talia Örs, Ye-Oun Byeon, Fabian Cieplik, Peter Proff, Christian Kirschneck, and Eva Paddenberg. 2023. "Impact of Mechanical Strain and Nicotinamide on RUNX2-Deficient Osteoblast Mimicking Cleidocranial Dysplasia" International Journal of Molecular Sciences 24, no. 23: 16581. https://doi.org/10.3390/ijms242316581
APA StyleSchröder, A., Örs, T., Byeon, Y.-O., Cieplik, F., Proff, P., Kirschneck, C., & Paddenberg, E. (2023). Impact of Mechanical Strain and Nicotinamide on RUNX2-Deficient Osteoblast Mimicking Cleidocranial Dysplasia. International Journal of Molecular Sciences, 24(23), 16581. https://doi.org/10.3390/ijms242316581

