Lung Inflammation Signature in Post-COVID-19 TB Patients
Abstract
:1. Introduction
2. Results
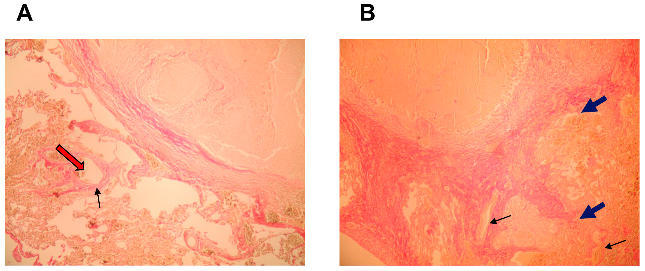
2.1. Lung Histology of Post-COVID TB Patients
2.2. Cytokine/Chemokine Genes Are Differentially Expressed in Lung Tissues of TB and TB/Post-COVID Patients

2.3. Serum miRNA Expression Pattern of TB Patients 3 Months Post-COVID-19 Differs from That of TB Patients without COVID-19 Infection
3. Discussion
4. Materials and Methods
4.1. Patients and Human Biological Material
- Thirty patients aged 18–65 years (12 women and 18 men)—tuberculoma without evidence of any clinical COVID-19 symptoms (with negative sputum SARS-CoV-2 PCR test) or history of COVID-19 or any other infections in the past three months;
- Thirty patients 20–65 years (17 women and 13 men)—tuberculoma 3 months post-COVID-19;
- Twenty patients 18–65 years (12 women and 18 men)—tuberculoma and active COVID-19 co-infection (including clinical COVID-19 symptoms and positive sputum SARS-CoV-2 PCR test).
4.2. Sample Collection and Processing
4.3. Total RNA Extraction
4.4. miRNA PCR Array
4.5. Quantitative Real-Time PCR
4.6. Histological Staining
4.7. Statistical Analysis
Author Contributions
Funding
Institutional Review Board Statement
Informed Consent Statement
Data Availability Statement
Conflicts of Interest
References
- Vasilyeva, I.A.; Testov, V.V.; Sterlikov, S.A. Tuberculosis situation in the years of the COVID-19 pandemic—2020–2021. Tuberc. Lung Dis. 2022, 100, 6–12. (In Russian) [Google Scholar] [CrossRef]
- Global Tuberculosis Report 2021; World Health Organization: Geneva, Switzerland. 2021. Available online: https://www.who.int/publications/digital/global-tuberculosis-report-2021 (accessed on 12 November 2023).
- World Health Organization. Information Note: Tuberculosis and COVID-19. 12 May 2020. Available online: https://www.who.int/docs/default-source/documents/tuberculosis/infonote-tb-covid-19.pdf (accessed on 12 November 2023).
- Motta, I.; Centis, R.; D’Ambrosio, L.; Garcia-Garcia, J.M.; Goletti, D.; Gualano, G.; Lipani, F.; Palmieri, F.; Sánchez-Montalvá, A.; Pontali, E.; et al. Tuberculosis, COVID19 and migrants: Preliminary analysis of deaths occurring in 69 patients from two cohorts. Pulmonology 2020, 26, 233–240. [Google Scholar] [CrossRef] [PubMed]
- Tadolini, M.; Codecasa, L.R.; Garcia-Garcia, J.M.; Blanc, F.X.; Borisov, S.; Alffenaar, J.W.; Andréjak, C.; Bachez, P.; Bart, P.-A.; Belilovski, E.; et al. Active tuberculosis, sequelae and COVID-19 co-infection: First cohort of 49 cases. Eur. Respir. J. 2020, 56, 2001398. [Google Scholar] [CrossRef] [PubMed]
- Kumar, M.S.; Surendran, D.; Manu, M.S.; Rakesh, P.S.; Balakrishnan, S. Mortality due to TB-COVID-19 coinfection in India. Int. J. Tuberc. Lung Dis. 2021, 25, 250–251. [Google Scholar] [CrossRef] [PubMed]
- Gao, Y.; Liu, M.; Chen, Y.; Shi, S.; Geng, J.; Tian, J. Association between tuberculosis and COVID-19 severity and mortality: A rapid systematic review and meta-analysis. J. Med. Virol. 2021, 93, 194–196. [Google Scholar] [CrossRef] [PubMed]
- Sheerin, D.; Abhimanyu; Peton, N.; Vo, W.; Allison, C.C.; Wang, X.; Johnson, W.E.; Coussens, A. Immunopathogenic overlap between COVID-19 and tuberculosis identified from transcriptomic meta-analysis and human macrophage infection. iScience 2022, 25, 104464. [Google Scholar] [CrossRef]
- Mousquer, G.T.; Peres, A.; Fiegenbaum, M. Pathology of TB/COVID-19 co-infection: The phantom menace. Tuberculosis 2021, 126, 102020. [Google Scholar] [CrossRef]
- Russian Research Institute of Health. Epidemic Situation of Tuberculosis in Russia. 2018. Available online: https://mednet.ru/images/materials/CMT/2018_god_tuberkulez_epidsituaciya.pdf (accessed on 12 November 2023).
- Giller, D.B.; Giller, B.D.; Giller, G.V.; Shcherbakova, G.V.; Bizhanov, A.B.; Enilenis, I.I.; Glotov, A.A. Treatment of pulmonary tuberculosis: Past and present. Eur. J. Cardiothorac. Surg. 2018, 53, 967–972. [Google Scholar] [CrossRef]
- Strelis, A.K.; Strelis, A.A.; Anastasov, O.V.; Nekrasov, Y.V.; Raskoshnykh, V.K.; Zadorozniy, A.I.; Gubin, Y.A.; Schegertzov, D.Y.; Khristenko, O.Y.; Yanova, G.V. Efficiency of surgical treatment of multidrug-resistant Pulmonary Tuberculosis within the DOTS-PLUS program. Bull. Sib. Med. 2009, 8, 85–91. (In Russian) [Google Scholar] [CrossRef]
- Averbakh, M.M.; Shadrin, V.P. Pulmonary tuberculomas. Sovrem. Probl. Tuberk. 1956, 7, 3–10. [Google Scholar]
- Kholodok, O.A.; Grigorenko, A.A.; Cheremkin, M.I. Pulmonary tuberculoma as a form of the tuberculosis process. Bull. Physiol. Pathol. Respir. 2014, 53, 126–131. (In Russian) [Google Scholar]
- Kazak, T.I.; Tregubov, E.S.; Berdnikov, R.B. Logical characteristics of specimens of the lung resected for tuberculosis. Probl. Tuberk. Bolezn. Legk. 2005, 12, 32–34. (In Russian). Available online: https://pubmed.ncbi.nlm.nih.gov/16496760/ (accessed on 10 November 2023).
- Petrosillo, N.; Viceconte, G.; Ergonul, O.; Ippolito, G.; Petersen, E. COVID-19, SARS and MERS: Are they closely related? Clin. Microbiol. Infect. 2020, 26, 729–734. [Google Scholar] [CrossRef] [PubMed]
- Samsonova, M.V.; Mikhaleva, L.M.; Zairatyants, O.V.; Varyasin, V.V.; Bykanova, A.V.; Mishnev, O.D.; Berezovsky, Y.S.; Tishkevich, O.A.; Gomzikova, E.A.; Chernyaev, A.L.; et al. Lung pathology of COVID-19 in Moscow. Arkhiv. Patol. 2020, 82, 32–40. (In Russian) [Google Scholar] [CrossRef]
- Kogan, E.; Berezovskiy, Y.; Blagova, O.; Kukleva, A.; Semyonova, L.; Gretsov, E.; Ergeshov, A. Morphologically, immunohistochemically and PCR proven lymphocytic viral peri-, endo-, myocarditis in patients with fatal COVID-19. Diagn. Pathol. 2022, 17, 31. [Google Scholar] [CrossRef]
- George, P.M.; Wells, A.U.; Jenkins, R.G. Pulmonary fibrosis, and COVID-19: The potential role for antifibrotic therapy. Lancet Respir. Med. 2020, 8, 807–815. [Google Scholar] [CrossRef]
- Shepelkova, G.S.; Evstifeev, V.V.; Tarasov, R.V.; Ergeshova, A.E.; Bagirov, M.A.; Yeremeev, V.V. MicroRNAs as Biomarkers of Active Pulmonary TB Course. Microorganisms 2023, 11, 626. [Google Scholar] [CrossRef]
- Kogan, E.A.; Berezovsky, Y.S.; Protsenko, D.D.; Bagdasaryan, T.R.; Gretsov, E.M.; Demura, S.A.; Demyashkin, G.A.; Kalinin, D.V.; Kukleva, A.D.; Kurilina, E.V.; et al. Pathological Anatomy of Infection Caused by SARS-CoV-2. Russ. J. Forensic Med. 2020, 6, 8–30. (In Russian) [Google Scholar] [CrossRef]
- Arman, K.; Dalloul, Z.; Bozgeyik, E. Emerging role of microRNAs and long non-coding RNAs in COVID-19 with implications to therapeutics. Gene 2023, 861, 147232. [Google Scholar] [CrossRef]
- Dorhoi, A.; Iannaccone, M.; Farinacci, M.; Faé, K.C.; Schreiber, J.; Moura-Alves, P.; Nouailles, G.; Mollenkopf, S.-J.; Oberbeck-Müller, D.; Jörg, S.; et al. MicroRNA-223 controls susceptibility to tuberculosis by regulating lung neutrophil recruitment. J. Clin. Investig. 2013, 123, 4836–4848. [Google Scholar] [CrossRef]
- Ni, B.; Rajaram, M.V.; Lafuse, W.P.; Landes, M.B.; Schlesinger, L.S. Mycobacterium tuberculosis decreases human macrophage IFNγ responsiveness through miR-132 and miR-26a. J. Immunol. 2014, 193, 4537–4547. [Google Scholar] [CrossRef] [PubMed]
- Hu, X.; Liao, S.; Bai, H.; Wu, L.; Wang, M.; Wu, Q.; Zhou, J.; Jiao, L.; Chen, X.; Zhou, Y.; et al. Integrating exosomal microRNAs and electronic health data improved tuberculosis diagnosis. EBioMedicine 2019, 40, 564–573. [Google Scholar] [CrossRef] [PubMed]
- Tripathi, A.; Srivastava, V.; Singh, B.N. hsa-let-7b-5p facilitates Mycobacterium tuberculosis survival in THP-1 human macrophages by Fas downregulation. FEMS Microbiol. Lett. 2018, 365, fny040. [Google Scholar] [CrossRef] [PubMed]
- Furci, L.; Schena, E.; Miotto, P.; Cirillo, D.M. Alteration of human macrophages microRNA expression profile upon infection with Mycobacterium tuberculosis. Int. J. Mycobacteriol. 2013, 2, 128–134. [Google Scholar] [CrossRef] [PubMed]
- Chen, Y.C.; Lin, M.C.; Lee, C.P.; Zheng, Y.X.; Fang, W.F. Decreased miR-150-5p and miR-23a-3p expressions in patients with active Pulmonary Tuberculosis (TB) disease. Eur. Respir. J. 2019, 54, PA4594. [Google Scholar] [CrossRef]
- Badry, A.; Jaspers, V.L.B.; Waugh, C.A. Environmental pollutants modulate RNA and DNA virus-activated miRNA-155 expression and innate immune system responses: Insights into new immunomodulative mechanisms. J. Immunotoxicol. 2020, 17, 86–93. [Google Scholar] [CrossRef]
- Dickey, L.L.; Hanley, T.M.; Huffaker, T.B.; Ramstead, A.G.; O’Connell, R.M.; Lane, T.E. MicroRNA 155 and viral-induced neuroinflammation. J. Neuroimmunol. 2017, 308, 17–24. [Google Scholar] [CrossRef]
- Haroun, R.A.; Osman, W.H.; Amin, R.E.; Hassan, A.K.; Abo-Shanab, W.S.; Eessa, A.M. Circulating plasma miR-155 is a potential biomarker for the detection of SARS-CoV-2 infection. Pathology 2022, 54, 104–110. [Google Scholar] [CrossRef]
- Slogotskaya, L.; Bogorodskaya, E.; Ivanova, D.; Sevostyanova, T. Comparative sensitivity of the test with tuberculosis recombinant allergen, containing ESAT6-CFP10 protein, and Mantoux test with 2 TU PPD-L in newly diagnosed tuberculosis children and adolescents in Moscow. PLoS ONE 2018, 13, e0208705. [Google Scholar] [CrossRef]
- Peltier, H.J.; Latham, G.J. Normalization of microRNA expression levels in quantitative RT-PCR assays: Identification of suitable reference RNA targets in normal and cancerous human solid tissues. RNA 2008, 14, 844–852. [Google Scholar] [CrossRef]





Disclaimer/Publisher’s Note: The statements, opinions and data contained in all publications are solely those of the individual author(s) and contributor(s) and not of MDPI and/or the editor(s). MDPI and/or the editor(s) disclaim responsibility for any injury to people or property resulting from any ideas, methods, instructions or products referred to in the content. |
© 2023 by the authors. Licensee MDPI, Basel, Switzerland. This article is an open access article distributed under the terms and conditions of the Creative Commons Attribution (CC BY) license (https://creativecommons.org/licenses/by/4.0/).
Share and Cite
Shepelkova, G.S.; Evstifeev, V.V.; Berezovskiy, Y.S.; Tarasov, R.V.; Bagirov, M.A.; Yeremeev, V.V. Lung Inflammation Signature in Post-COVID-19 TB Patients. Int. J. Mol. Sci. 2023, 24, 16315. https://doi.org/10.3390/ijms242216315
Shepelkova GS, Evstifeev VV, Berezovskiy YS, Tarasov RV, Bagirov MA, Yeremeev VV. Lung Inflammation Signature in Post-COVID-19 TB Patients. International Journal of Molecular Sciences. 2023; 24(22):16315. https://doi.org/10.3390/ijms242216315
Chicago/Turabian StyleShepelkova, Galina S., Vladimir V. Evstifeev, Yuriy S. Berezovskiy, Ruslan V. Tarasov, Mamed A. Bagirov, and Vladimir V. Yeremeev. 2023. "Lung Inflammation Signature in Post-COVID-19 TB Patients" International Journal of Molecular Sciences 24, no. 22: 16315. https://doi.org/10.3390/ijms242216315
APA StyleShepelkova, G. S., Evstifeev, V. V., Berezovskiy, Y. S., Tarasov, R. V., Bagirov, M. A., & Yeremeev, V. V. (2023). Lung Inflammation Signature in Post-COVID-19 TB Patients. International Journal of Molecular Sciences, 24(22), 16315. https://doi.org/10.3390/ijms242216315

